基本信息 产品详情 公司简介 推荐产品
网站主页 化工产品目录 生物 细胞培养 细胞系 小鼠细胞系 MH-S CELLS|小鼠肺泡巨噬贴壁细胞 MH-S Cells|小鼠肺泡巨噬克隆细胞
  • MH-S Cells|小鼠肺泡巨噬克隆细胞

MH-S Cells|小鼠肺泡巨噬克隆细胞

MH-S Cells
询价 1000000细胞数 起订
2000000细胞数 起订
上海 更新日期:2026-04-12

上海冠导生物工程有限公司

VIP6年
联系人:全经理
电话:18818239863拨打
邮箱:3171921642@qq.com

产品详情:

中文名称:
MH-S Cells|小鼠肺泡巨噬克隆细胞
英文名称:
MH-S Cells
保存条件:
常温培养或液氮冻存
纯度规格:
MH-S Cells|小鼠肺泡巨噬克隆细胞
产品类别:
生化试剂

"MH-S Cells|小鼠肺泡巨噬克隆细胞

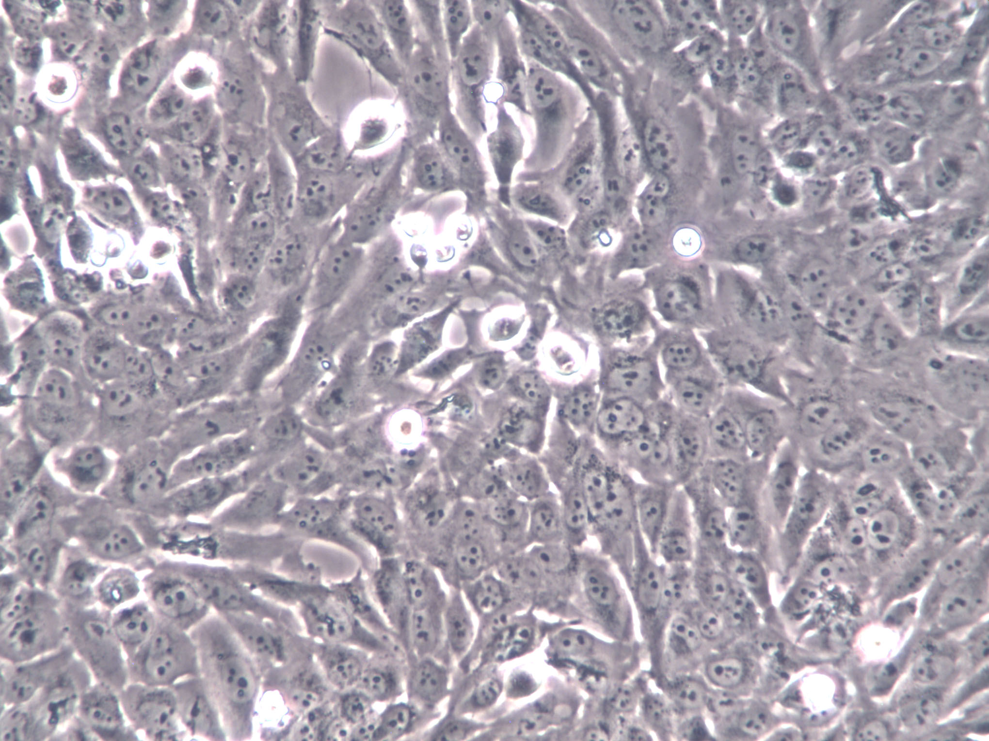
细胞形态:上皮细胞样

细胞生长:贴壁

目前,细胞冻存常用的技术是液氮冷冻保存法,主要采用加适量保护剂的缓慢冷冻法冻存细胞。细胞在不加任何保护剂的情况下直接冷冻,细胞内外的水分会很快形成冰晶,从而引起一系列不良反应。如细胞脱水使局部电解质浓度增GAO,pH值改变,部分蛋白质由于上述原因而变性,引起细胞内部空间结构紊乱,溶酶体膜由此遭到损伤而释放出溶酶体酶,使细胞内结构成分造成破坏,线粒体肿胀,功能丢失,并造成能量代谢障碍。胞膜上的类脂蛋白复合体也易破坏引起细胞膜通透性的改变,使细胞内容物丢失。如果细胞内冰晶形成较多,随冷冻温度的降低,冰晶体积膨胀造成细胞核DNA空间构型发生不可逆的损伤,而致细胞死亡。因此,细胞冷冻技术的关键是尽可能地减少细胞内水分,减少细胞内冰晶的形成。通常采用甘油或二甲基亚砜(DMSO)作保护剂,这两种物质分子量小,溶解度大,易穿透细胞,可以使冰点下降,提GAO细胞膜对水的通透性,且对细胞无明显毒性。慢速冷冻方法又可使细胞内的水分渗出细胞外,减少胞内形成冰结晶的机会,从而减少冰晶对细胞的损伤。

H-1693Cells;细胞背景资料:详见相关文献介绍;细胞传代方法:1:2-1:3传代,每周换液2次。;细胞生长特性:贴壁生长;细胞形态特性:上皮Cells;相关细胞有:3 LLCells、Hs 274Cells、IHH4细胞

NCIH1770Cells;细胞背景资料:详见相关文献介绍;细胞传代方法:随细胞的生长而换液;细胞生长特性:悬浮生长;细胞形态特性:详见细胞说明书;相关细胞有:J45.01Cells、293 FCells、Kasumi 1细胞

MB-49Cells;细胞背景资料:膀胱癌;雄性;C57BL/Icrfa(t);细胞传代方法:1:2-1:3传代;每周换液2-3次。;细胞生长特性:贴壁;细胞形态特性:详见细胞说明书;相关细胞有:HT29Cells、KOPN-8Cells、UC-3细胞

HBE135-E6E7Cells;细胞背景资料:支气管上皮Cells;HPV16转化;男性;细胞传代方法:1:2-1:3传代;每周换液2-3次。;细胞生长特性:贴壁;细胞形态特性:详见细胞说明书;相关细胞有:WERIRb1Cells、NFS 60Cells、GalK1细胞

细胞物种来源:人源或鼠源等其它物种来源

MH-S Cells|小鼠肺泡巨噬克隆细胞

[细胞产品包装]鲜活细胞:T25培养瓶(一瓶)或冻存细胞:1ml冻存管(两支)

悬浮细胞成簇,可能原因:培养液中含钙、镁离子;支原体污染;蛋白酶过度消化使得细胞裂解;DNA污染;解决方法:用无钙镁平衡盐溶液洗涤细胞,轻巧吹吸细胞获得单细胞悬液;分离培养物,检测支原体;用DNaseI处理细胞;培养细胞生长缓慢;可能原因:由于更换不同培养液或血清;培养液中一些细胞生长必需成分如谷氨酰胺或生长因子耗尽或缺乏或已被破坏;培养物中有少量细菌或真菌污染;试剂保存不当;接种细胞起始浓度太低;细胞已老化;支原体污染;解决方法:比较新培养液与原培养液成分,比较新血清与旧血清支持细胞生长实验,让细胞逐渐适应新培养液;换入新鲜配置培养液,或补加谷氨酰胺及生长因子;用无抗生素培养液培养,如发现污染,丢弃培养物;血清需保存在-10到-20℃。培养液需在2-8℃避光保存。含血清完全培养液在2-8℃保存,需在1周内用完;增加接种细胞起始浓度;换用新的保种细胞;分离培养物,检测支原体。清洁支架和培养箱。如发现支原体污染,丢弃培养物。

细胞背景资料:巨噬细胞;雄性;SV40转化;BALB/cJ

H2066Cells;细胞背景资料:详见相关文献介绍;细胞传代方法:每周换液2-3次;细胞生长特性:悬浮生长;细胞形态特性:聚团悬浮;相关细胞有:H889Cells、T-84Cells、PLA802细胞

PLC/PRF/5Cells;细胞背景资料:该细胞系分泌乙肝病毒表面抗原(HBsAg)。 此细胞系原先被支原体污染,后用BM-cycline去除支原体;细胞传代方法:1:2传代;细胞生长特性:贴壁生长;细胞形态特性:上皮样;相关细胞有:Ramos.G6.C10Cells、HEY A8Cells、OS-RC-2细胞

EnCa1Cells;细胞背景资料:内膜腺癌;女性;细胞传代方法:1:2-1:3传代;每周换液2-3次。;细胞生长特性:贴壁;细胞形态特性:详见细胞说明书;相关细胞有:K7M2-WTCells、CHL-11Cells、NCI-H2023细胞

32D-Cl3Cells;细胞背景资料:骨髓淋巴瘤;C3H/HeJ;细胞传代方法:1:2-1:3传代;每周换液2-3次。;细胞生长特性:悬浮;细胞形态特性:详见细胞说明书;相关细胞有:FT-293Cells、Co 115Cells、H1581细胞

细胞传代方法:1:2-1:3传代;每周换液2-3次。

MH-S Cells|小鼠肺泡巨噬克隆细胞

细胞来源说明:来源于RCB、ATCC、KCLB、DSMZ、ECACC、INCell、ScienCell、ECACC、JCRB、Asterand、ICLC等知名细胞库

原代细胞与细胞系有什么区别?细胞培养物来源于原代外植体或分散的细胞悬液。通常在这样的培养物中细胞增殖形成汇合地单层细胞或密集地细胞悬液。根据传统定义,次收获和接种的细胞被称为原代细胞[Freshney, R.I. (1987). Culture of Animal Cells. A Manual of Basic Technique. (New York, Alan R. Liss, Inc.)].这类细胞生命周期有限,在有限的生命周期内需掌握HAO细胞大的生长空间,以保持细胞群中基因型和表型的一致性。细胞系是不断生长,分化的细胞群,因其经过遗传改造,致使其具有无限增长的潜能。体外生长的细胞系用于医疗或科研。实际上,连续细胞系可以用大量次培养基培养,随着代数的增加细胞的基因型和表型都有可能发生改变。需要指出的是,在不同的科研小组中这些术语的定义会有所不同。许多研究员不用细胞系这个词表示细胞群除非细胞经过了遗传改造。

细胞生长特性:悬浮

细胞培养中的污染分为两类,化学污染和生物污染;生物污染包括比较容易发现的细菌、霉菌和酵母的污染,和较难发现的病毒、支原体和其他细胞的污染。细菌、霉菌和酵母到处存在,它们能在合适的环境中非常快速的生长。这些污染比较容易观察到,它们往往会使其污染的培养液产生可见的变化,或者通过显微镜观察就可以看见。由于病毒有种属异性,所以病毒污染的概率比较小。但是病毒污染难于发现,因为病毒颗粒别微小,一般的实验室都没能力检查细胞培养中污染的病毒。由于病毒一般潜伏在细胞内,对整个细胞培养不是致死的,所以它可能会使研究人员长期得到受病毒影响的细胞的实验结果。1956年Robinson及其同事首次发现细胞培养中的支原体污染。90年代初的一个调查发现,在美国培养的细胞中,至少有15%被支原体污染。由于支原体没有细胞壁,在细胞培养液中几乎是透明的,同时对常用于细胞培养中的抗生素不敏感,不引起pH变化,不使培养液浑浊,所以支原体污染不容易被发现,但是其存在会影响实验的结果。培养多种细胞时操作不当,会导致细胞的交叉污染。由于不同细胞的生产速率不同,污染的生长速率快的细胞终会完全取代被污染的细胞。

PG-4 (S+L-)细胞类似产品::SB细胞、MCF7细胞、COC1/CDDP细胞

Pan02细胞类似产品::OVCAR.5细胞、JTC-28细胞、EHEB细胞

LTEPsm细胞类似产品::NCI-H596细胞、ONS76细胞、LC-1/sq细胞

AU 565细胞类似产品::Det 562细胞、OCM1细胞、WC00097细胞

DMS153细胞类似产品::PL-9细胞、NCI-H1819细胞、SK-Mel1细胞

Centre Antoine Lacassagne-12T细胞类似产品::MDA MB 134VI细胞、HOS细胞、Bronchial Epithelium transformed with Ad12-SV40 2B细胞

EVSA/T细胞类似产品::OCI/AML-5细胞、NCI-H196细胞、A9细胞

HEL-299细胞类似产品::EoL-1细胞、TE3A细胞、NCIH810细胞

CCC-HSF-1细胞类似产品::McArdle RH-7777细胞、UMNSAH-DF-1细胞、2780细胞

S16细胞类似产品::MS751细胞、Hep 3B2细胞、BEL-7404细胞

MH-S Cells|小鼠肺泡巨噬克隆细胞

32D.cl3细胞类似产品::Mouse Podocyte Clone-5细胞、LS-411N细胞、QBC939细胞

H1048细胞类似产品::IGROV1细胞、HT55细胞、NL20细胞

CCD-841CoN细胞类似产品::HPF细胞、Tsup-1细胞、hTERT-RPE细胞

MDA MB 134VI细胞类似产品::KYSE410细胞、DHL-4细胞、PK-136细胞

SBC-3细胞类似产品::HCC4006细胞、NCIH716细胞、RM-1细胞

JKT-1细胞类似产品::HEYA8细胞、NCI-SNU-449细胞、HCC0366细胞

JKT-1细胞类似产品::HEYA8细胞、NCI-SNU-449细胞、HCC0366细胞

H520细胞类似产品::EoL-1 cell细胞、NCIH660细胞、MLA-144细胞

TE3A细胞类似产品::U266B1细胞、HOSEpiC细胞、A172细胞

IPLB-Sf21-AE细胞类似产品::SNU1细胞、H-1648细胞、MT-2J细胞

PanC1细胞类似产品::TB1 Lu细胞、OLN-93细胞、M-20细胞

SGC-7901/DDP细胞类似产品::CCD-841CoTr细胞、DHL5细胞、LLCPK1细胞

SJRH-30细胞类似产品::MC3T3-E1 Subclone 14细胞、746T细胞、SuDHL 4细胞

HGF-1细胞类似产品::PAN 02细胞、SNU-869细胞、JIMT-1细胞

KFB细胞类似产品::YAC-1细胞、KYSE0030细胞、TK-10细胞

HUTU80细胞类似产品::SK-LMS-1细胞、IPECJ2细胞、PCI-SG231细胞

HT 1080细胞类似产品::KG1A细胞、SKNBE(2)细胞、RMG-1细胞

HHFK细胞类似产品::HEMCSS细胞、MDA-MB-134细胞、Michigan Cancer Foundation-10A细胞

NCIH1876细胞类似产品::OP-9细胞、HO1-N1细胞、NCI H2106细胞

PNT-1A细胞类似产品::SV40 MES 13细胞、A9 (Hamprecht)细胞、GMK,BSC-1细胞

NCI-H1404细胞类似产品::THP-1细胞、159PT细胞、XWLC-05细胞

HCPEpiC细胞类似产品::PT-67细胞、NCIH2172细胞、C2-C12细胞

HOC细胞类似产品::H-2073细胞、293S细胞、H1648细胞

E0771细胞类似产品::Human Corneal Epithelial cells-Transformed细胞、BC-3-H-I细胞、kms 11细胞

MCF-7/ADR-RES细胞类似产品::PT67细胞、B16-F0细胞、MDAMB-231细胞

NCI-H2227细胞类似产品::H-2286细胞、HC11细胞、FAT细胞

FRO细胞类似产品::NCI-H441-4细胞、hUC-MSC细胞、H716细胞

MCF-12F细胞类似产品::COLO-741细胞、FHL 124细胞、GRSL细胞

H125细胞类似产品::MOLM16细胞、LLC-WRC 256细胞、RPPVEC细胞

ST 486细胞类似产品::HCEC-B4G12细胞、KLN 205细胞、BMF细胞

UMUC3细胞类似产品::JJN3细胞、hTERT-RPE1细胞、Rat Lung-65细胞

SW480细胞类似产品::HPAEpiC细胞、SK-LMS-1细胞、TK-1细胞

FL62891细胞类似产品::PCI-SG231细胞、SNU-601细胞、SNU-668细胞

RC-4B细胞类似产品::RIN-14B细胞、MDA468细胞、MonoMac1细胞

FDC-P1细胞类似产品::CMT-93细胞、NCTC clone 929细胞、COLO 829细胞

TNC-1B12B4细胞类似产品::Pa18C细胞、G-402细胞、U373MG细胞

CAL27细胞类似产品::MDA MB 231细胞、R.K.13细胞、TO175T细胞

REC1细胞类似产品::MKN-7细胞、HEMCSS细胞、CEM clone 7细胞

TKB-1细胞类似产品::Human Embryo Lung-1细胞、AMC-HN-8细胞、KYSE270细胞

NCIH1963细胞类似产品::C1498细胞、NR-8383细胞、ES2细胞

H-28细胞类似产品::NCIH2126细胞、NCI-H2228细胞、UACC-812细胞

SUDHL16细胞类似产品::NK92-MI细胞、ARO81-1细胞、NCIH146细胞

PATU-S细胞类似产品::SHZ-88细胞、NCI-460细胞、SW620细胞

JIII细胞类似产品::MDA-MB-468细胞、LS1034细胞、3D4/21细胞

NRK细胞类似产品::DC2.4细胞、Sp2/O-Ag14细胞、NCTC-3960细胞

FRTL-5细胞类似产品::Hs-675-T细胞、P3X63Ag8.653细胞、SO-RB50细胞

COS-1细胞类似产品::OACP4C细胞、H-2172细胞、CL-34细胞

MFCCells;细胞背景资料:胃癌;细胞传代方法:1:2-1:3传代;每周换液2-3次。;细胞生长特性:贴壁;细胞形态特性:详见细胞说明书;相关细胞有:MC3T3-L1Cells、C-Li-7Cells、Stanford University-Diffuse Histiocytic Lymphoma-2细胞

HEK293-EBNA1Cells;细胞背景资料:详见相关文献介绍;细胞传代方法:1:4-1:10传代;每周2次。;细胞生长特性:贴壁生长;细胞形态特性:上皮细胞样;相关细胞有:16HBECells、M21Cells、IPECJ2细胞

MDA-157Cells;细胞背景资料:该细胞源自一位患有乳腺髓样癌的44岁黑人女性,表达WNT7B癌基因,细胞与细胞边界处有细胞桥粒、微绒毛、张力细丝。;细胞传代方法:1:2-1:3传代;每周换液2-3次。;细胞生长特性:贴壁生长;细胞形态特性:上皮样;相关细胞有:SJ-RH30Cells、HES [Human embryonic skin fibroblast]Cells、NCIH820细胞

RPMI7666Cells;细胞背景资料:详见相关文献介绍;细胞传代方法:1:2-1:3传代;每周换液2-3次。;细胞生长特性:贴壁或悬浮,详见细胞说明书部分;细胞形态特性:详见细胞说明书;相关细胞有:MFD-1Cells、EFM192CCells、Panc_05_04细胞

DHL10Cells;细胞背景资料:详见相关文献介绍;细胞传代方法:1:2-1:3传代;每周换液2-3次。;细胞生长特性:悬浮;细胞形态特性:淋巴母Cells;相关细胞有:H1793Cells、TB-1 LuCells、32D CL3细胞

SHG44Cells;细胞背景资料:SHG-44细胞株源自一例2-3级前沿淋巴结星细胞瘤。染色体组型显示89.2%的超三倍体。在Wistar大鼠和裸鼠中接种都能成功。细胞含有神经系统特有的S-100蛋白和星细胞特有的GFA蛋白;细胞传代方法:消化3-5分钟。1:2。3天内可长满。;细胞生长特性:贴壁生长;细胞形态特性:成纤维细胞样;相关细胞有:HEK293SCells、SGC-7901/DDPCells、T24(ECV304)细胞

HCT-FETCells;细胞背景资料:结肠癌;细胞传代方法:1:2-1:3传代;每周换液2-3次。;细胞生长特性:贴壁;细胞形态特性:详见细胞说明书;相关细胞有:KYSE 50Cells、H3255Cells、HCT-8细胞

Wistar Institute, Susan HayflickCells;细胞背景资料:Zui初以为这株细胞的起源是正常羊膜,但随后通过同工酶分析、HeLa标记染色体和DNA指纹法分析,证实该细胞是HeLa细胞污染的;角蛋白阳性。;细胞传代方法:1:2-1:4传代,每周2-3次。;细胞生长特性:贴壁生长 ;细胞形态特性:上皮细胞样;相关细胞有:HEK293-EBNA1Cells、RPMI-1846Cells、JROECL 21细胞

GLC82Cells;细胞背景资料:详见相关文献介绍;细胞传代方法:1:2-1:3传代;每周换液2-3次。;细胞生长特性:贴壁或悬浮,详见细胞说明书部分;细胞形态特性:详见细胞说明书;相关细胞有:NCTC 929Cells、Panc5.04Cells、TE-8细胞

MH-S Cells|小鼠肺泡巨噬克隆细胞

M21Cells;细胞背景资料:黑色素瘤;女性;细胞传代方法:1:2-1:3传代;每周换液2-3次。;细胞生长特性:贴壁;细胞形态特性:详见细胞说明书;相关细胞有:NCIH1385Cells、RKOCells、SKCO 1细胞

SCCells;细胞背景资料:急性单核细胞白血病;男性;细胞传代方法:1:2-1:3传代;每周换液2-3次。;细胞生长特性:悬浮;细胞形态特性:详见细胞说明书;相关细胞有:DU145Cells、HT 115Cells、H87细胞

Oregon J-111Cells;细胞背景资料:单核细胞白血病;细胞传代方法:1:2-1:3传代;每周换液2-3次。;细胞生长特性:悬浮;细胞形态特性:详见细胞说明书;相关细胞有:RGC6Cells、hTERT-HME1Cells、ARIP细胞

HKBMLCells;细胞背景资料:脑;淋巴瘤;男性;细胞传代方法:1:2-1:3传代;每周换液2-3次。;细胞生长特性:悬浮;细胞形态特性:详见细胞说明书;相关细胞有:HL-1Cells、8226Cells、SW 962细胞

OCI-AML4Cells;细胞背景资料:急性髓系白血病;女性;细胞传代方法:1:2-1:3传代;每周换液2-3次。;细胞生长特性:悬浮;细胞形态特性:详见细胞说明书;相关细胞有:HCC-94Cells、F36PCells、Colo320细胞

HEL299Cells;细胞背景资料:红白细胞白血病;细胞传代方法:1:2-1:3传代;每周换液2-3次。;细胞生长特性:悬浮;细胞形态特性:详见细胞说明书;相关细胞有:SKOV3Cells、SK.OV.3Cells、TGBC11T细胞

H1092Cells;细胞背景资料:详见相关文献介绍;细胞传代方法:随细胞的密度而增加;细胞生长特性:悬浮生长;细胞形态特性:详见细胞说明书;相关细胞有:MM134Cells、C166Cells、MCF/Adr细胞

H1092Cells;细胞背景资料:详见相关文献介绍;细胞传代方法:随细胞的密度而增加;细胞生长特性:悬浮生长;细胞形态特性:详见细胞说明书;相关细胞有:MM134Cells、C166Cells、MCF/Adr细胞

BC3H1Cells;细胞背景资料:详见相关文献介绍;细胞传代方法:1:2-1:3传代;每周换液2-3次。;细胞生长特性:贴壁或悬浮,详见细胞说明书部分;细胞形态特性:详见细胞说明书;相关细胞有:T9Cells、OC 316Cells、NS-20Y细胞

EJ-1Cells;细胞背景资料:详见相关文献介绍;细胞传代方法:1:2-1:3传代;每周换液2-3次。;细胞生长特性:贴壁或悬浮,详见细胞说明书部分;细胞形态特性:详见细胞说明书;相关细胞有:Functional Liver Cell-7Cells、FHCRC subclone 11Cells、Cor L88细胞

Human Liver-7702Cells;细胞背景资料:详见相关文献介绍;细胞传代方法:1:2-1:3传代;每周换液2-3次。;细胞生长特性:贴壁或悬浮,详见细胞说明书部分;细胞形态特性:详见细胞说明书;相关细胞有:JiyoyeP-2003Cells、ATDC5Cells、LICR-HN-6细胞

SASCells;细胞背景资料:详见相关文献介绍;细胞传代方法:10^5 cells/60mm dish;细胞生长特性:贴壁生长;细胞形态特性:上皮样;相关细胞有:GA-10-Clone-4Cells、NPACells、H-650细胞

Hep2Cells;细胞背景资料:Zui初认为这个细胞源自喉上皮癌,但随后通过同功酶分析、HeLa标记染色体和DNA指纹分析发现,起源细胞已被HeLa污染。 角蛋白免疫过氧化物酶染色阳性。;细胞传代方法:1:2传代;细胞生长特性:贴壁生长;细胞形态特性:上皮细胞样;相关细胞有:H-660Cells、hFOB1.19Cells、LICR-LON-HN6-R细胞

DF1Cells;细胞背景资料:详见相关文献介绍;细胞传代方法:1:2传代;细胞生长特性:贴壁生长;细胞形态特性:成纤维母细胞样;相关细胞有:MD Anderson-Metastatic Breast-468Cells、H838Cells、MC3T3-E1 Subclone 14细胞

Hs27FCells;细胞背景资料:包皮;成纤维Cells;男性;细胞传代方法:1:2-1:3传代;每周换液2-3次。;细胞生长特性:贴壁;细胞形态特性:详见细胞说明书;相关细胞有:LWnt3ACells、IPLB-Sf21-AECells、HLEpiC细胞

Pa18CCells;细胞背景资料:详见相关文献介绍;细胞传代方法:1:2传代;细胞生长特性:贴壁生长;细胞形态特性:上皮样;相关细胞有:HS-766TCells、BSC40Cells、NCI-441细胞

H2342Cells;细胞背景资料:详见相关文献介绍;细胞传代方法:1:2-1:6传代 ;细胞生长特性:贴壁生长;细胞形态特性:上皮样;相关细胞有:HGECells、3AACells、MC 3T3-E1细胞

LN229Cells;细胞背景资料:详见相关文献介绍;细胞传代方法:1:4-1:6传代;每周换液2-3次;细胞生长特性:贴壁生长;细胞形态特性:上皮Cells;相关细胞有:Hs 870.TCells、H647ellCells、Swiss3T3细胞

A9 (Hamprecht)Cells;细胞背景资料:皮下结缔组织;自发永生;雄性;C3H/An;细胞传代方法:1:2-1:3传代;每周换液2-3次。;细胞生长特性:贴壁;细胞形态特性:详见细胞说明书;相关细胞有:HLFCells、CFSC-2GCells、HEK293S细胞

SKNBE(2)Cells;细胞背景资料:1972年11月从一们多次化疗及放疗的扩散性神经母细胞瘤患儿骨髓穿刺物中建立了SK-N-BE(2)神经母细胞瘤细胞株。 该细胞显示中等水平的多巴胺-β-羟基酶活性。 有报道称SK-N-BE(2)细胞的饱和浓度超过1x106细胞/平方厘米。细胞形态多样,有的有长突触,有的呈上皮细胞样。 细胞会聚集,形成团块并浮起;细胞传代方法:1:2传代;细胞生长特性:贴壁生长;细胞形态特性:上皮细胞样;相关细胞有:786-0WTCells、HELCells、MDCK-2细胞

SKNBE(2)Cells;细胞背景资料:1972年11月从一们多次化疗及放疗的扩散性神经母细胞瘤患儿骨髓穿刺物中建立了SK-N-BE(2)神经母细胞瘤细胞株。 该细胞显示中等水平的多巴胺-β-羟基酶活性。 有报道称SK-N-BE(2)细胞的饱和浓度超过1x106细胞/平方厘米。细胞形态多样,有的有长突触,有的呈上皮细胞样。 细胞会聚集,形成团块并浮起;细胞传代方法:1:2传代;细胞生长特性:贴壁生长;细胞形态特性:上皮细胞样;相关细胞有:786-0WTCells、HELCells、MDCK-2细胞

OVCAR 5Cells;细胞背景资料:卵巢癌;腹水转移;女性;细胞传代方法:1:2-1:3传代;每周换液2-3次。;细胞生长特性:贴壁;细胞形态特性:详见细胞说明书;相关细胞有:Nb-2Cells、MTC-TTCells、SW527细胞

SCC 15Cells;细胞背景资料:详见相关文献介绍;细胞传代方法:1:4-1:8传代,2-3天换液1次。;细胞生长特性:贴壁生长;细胞形态特性:详见细胞说明书;相关细胞有:VeroC1008Cells、NCI-H522Cells、MV4-11细胞

Hs-281-TCells;细胞背景资料:详见相关文献介绍;细胞传代方法:1:2传代,每周换液2-3次。;细胞生长特性:贴壁生长;细胞形态特性:成纤维Cells;相关细胞有:NPC-TW01Cells、OVCA432_BastCells、HT 1080细胞

SKNBE-1Cells;细胞背景资料:详见相关文献介绍;细胞传代方法:1:2-1:3传代;每周换液2-3次。;细胞生长特性:贴壁或悬浮,详见细胞说明书部分;细胞形态特性:详见细胞说明书;相关细胞有:SKOV-433Cells、BC3H-1Cells、JS1细胞

NB-9Cells;细胞背景资料:详见相关文献介绍;细胞传代方法:1:10 1:50每2 - 3周;每周换液2-3次。;细胞生长特性:贴壁生长;细胞形态特性:成神经Cells;相关细胞有:LYRCells、HEMCells、HEK-AD 293细胞

H-1869Cells;细胞背景资料:详见相关文献介绍;细胞传代方法:1:3-1:4传代;每周换液2次。;细胞生长特性:贴壁生长;细胞形态特性:上皮Cells;相关细胞有:Tb 1-LuCells、ES2Cells、EoL-1细胞

L-Wnt3ACells;细胞背景资料:详见相关文献介绍;细胞传代方法:1:2-1:3传代;每周换液2-3次。;细胞生长特性:贴壁或悬浮,详见细胞说明书部分;细胞形态特性:详见细胞说明书;相关细胞有:Hk-2Cells、Hs1.TesCells、MUGCHOR1细胞

MCF.10ACells;细胞背景资料:乳腺;上皮Cells;自发永生;女性;细胞传代方法:1:2-1:3传代;每周换液2-3次。;细胞生长特性:贴壁;细胞形态特性:详见细胞说明书;相关细胞有:HEP-3B2Cells、P1-RajiCells、F442A细胞

SW1463Cells;细胞背景资料:详见相关文献介绍;细胞传代方法:1:3—1:8传代,每周换液1-2次;细胞生长特性:贴壁生长;细胞形态特性:上皮Cells;相关细胞有:H69Cells、SF539Cells、TE1细胞

UM-UC-14Cells;细胞背景资料:肾癌;男性;细胞传代方法:1:2-1:3传代;每周换液2-3次。;细胞生长特性:贴壁;细胞形态特性:详见细胞说明书;相关细胞有:CF-1 MEFCells、GL261Cells、ZYM-DIEC02细胞

KOSC2Cells;细胞背景资料:详见相关文献介绍;细胞传代方法:2.2 x 10^4 cells/ml ;细胞生长特性:贴壁生长;细胞形态特性:上皮样;相关细胞有:TALL-104Cells、SU-DHL2Cells、HGF-1细胞

Hs 445Cells;细胞背景资料:详见相关文献介绍;细胞传代方法:1:2-1:3传代;每周换液2-3次。;细胞生长特性:贴壁或悬浮,详见细胞说明书部分;细胞形态特性:详见细胞说明书;相关细胞有:OP9Cells、TK.10Cells、H-1963细胞

"


MH-S Cells|小鼠肺泡巨噬克隆细;

公司简介

上海冠导生物工程有限公司,先后从ATCC、DSMZ、ECACC、RIKEN、PromoCell、ScienCell、JCRB等国内外细胞库引进细胞2000余株。以此为契机,公司组建了冠导细胞库,我司细胞均由资深细胞培养工程师进行培养。我司可以提供的细胞有:①细胞系②原代细胞③稳转株④耐药株⑤标记细胞⑥细胞配套试剂等。

成立日期 (11年)
注册资本 100万(元)
员工人数 50-100人
年营业额 ¥ 1000万-5000万
经营模式 工厂,试剂,定制,服务
主营行业 细胞培养,微生物学,细胞生物学

MH-S Cells|小鼠肺泡巨噬克隆细胞相关厂家报价

内容声明
拨打电话 立即询价