基本信息 产品详情 公司简介 推荐产品
网站主页 化工产品目录 生物 细胞培养 细胞系 小鼠细胞系 MELAN-A CELLS|小鼠黑色素贴壁细胞 Melan-a Cells|小鼠黑色素克隆细胞
  • Melan-a Cells|小鼠黑色素克隆细胞

Melan-a Cells|小鼠黑色素克隆细胞

Melan-a Cells
询价 1000000细胞数 起订
2000000细胞数 起订
上海 更新日期:2026-04-25

上海冠导生物工程有限公司

VIP6年
联系人:全经理
电话:18818239863拨打
邮箱:3171921642@qq.com

产品详情:

中文名称:
Melan-a Cells|小鼠黑色素克隆细胞
英文名称:
Melan-a Cells
保存条件:
常温培养或液氮冻存
纯度规格:
Melan-a Cells|小鼠黑色素克隆细胞
产品类别:
生化试剂

"Melan-a Cells|小鼠黑色素克隆细胞

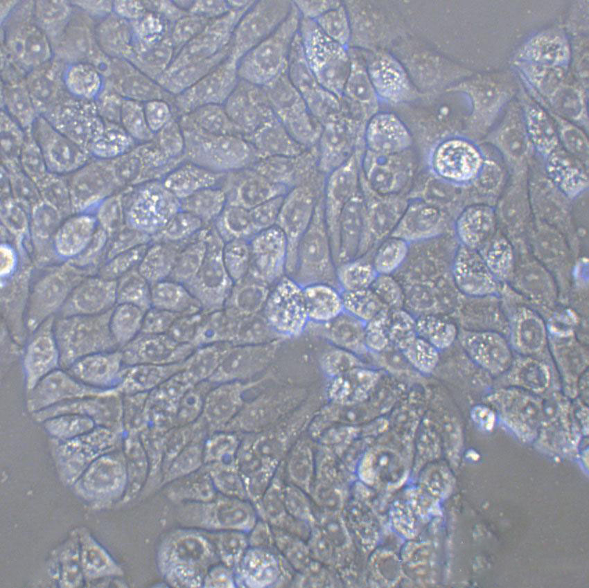
细胞形态:上皮细胞样

细胞生长:贴壁

复苏细胞:将含有1mL细胞悬液的冻存管在37℃水浴中迅速摇晃解冻,加入4mL培养基混合均匀。在1000RPM条件下离心4分钟,弃去上清液,补加1-2mL培养基后吹匀。然后将所有细胞悬液加入培养瓶中培养隔夜(或将细胞悬液加入10cm皿中,加入约8ml培养基,培养隔夜)。第二天换液并检查细胞密度。细胞传代:如果细胞密度达80%-90%,即可进行传代培养。对于悬浮细胞,传代可参考以下方法:方法一:收集细胞,1000RPM条件下离心4分钟,弃去上清液,补加1-2mL培养液后吹匀,将细胞悬液按1:2到1:5的比例分到新的含8ml培养基的新皿中或者瓶中。方法二:可选择半数换液方式,弃去半数培养基后,将剩余细胞悬起,将细胞悬液按1:2到1:3的比例分到新的含8ml培养基的新皿中或者瓶中。细胞冻存:待细胞生长状态良HAO时,可进行细胞冻存。悬浮细胞冻存时,应将细胞收集,1000RPM条件下离心5分钟,少量保存上清液(防止细胞吸走),加入部分新鲜培养基,加入到冻存管中,在冻存管中加入10%DMSO后进行冻存。

TF1Cells;细胞背景资料:详见相关文献介绍;细胞传代方法:维持细胞浓度在3×104-5×105 cells/ml;2-3天换液1次。;细胞生长特性:悬浮生长;细胞形态特性:淋巴母细胞样 ;相关细胞有:NB1-RGBCells、SHEP1Cells、BetaTC6细胞

C22 (Clara)Cells;细胞背景资料:肺;上皮Cells;细胞传代方法:1:2-1:3传代;每周换液2-3次。;细胞生长特性:贴壁;细胞形态特性:详见细胞说明书;相关细胞有:EFM-192CCells、HCC1833Cells、NCI/ADRRES细胞

NS1-1 Ag4.1Cells;细胞背景资料:这是P3X63Ag8(ATCCTIB-9)的一个不分泌克隆。Kappa链合成了但不分泌。能抗0.1mM8-氮杂鸟嘌呤但不能在HAT培养基中生长。据报道它是由于缺失了3-酮类固醇还原酶活性的胆固醇营养缺陷型。检测表明肢骨发育畸形病毒(鼠痘)阴性。;细胞传代方法:1:2传代,3天内可长满。;细胞生长特性:悬浮生长;细胞形态特性:淋巴母Cells;相关细胞有:H-1238Cells、PANC1005Cells、EB3 [Human Burkitt lymphoma]细胞

HEK-293-FTCells;细胞背景资料:该细胞稳定表达SV40大T抗原,并且促进Zui适病毒产物的产生。;细胞传代方法:1:2传代;细胞生长特性:悬浮生长;细胞形态特性:圆形;相关细胞有:NP-69Cells、32D:cl3Cells、C3H/10T1/2-clone8细胞

细胞物种来源:人源或鼠源等其它物种来源

Melan-a Cells|小鼠黑色素克隆细胞

[细胞产品包装]鲜活细胞:T25培养瓶(一瓶)或冻存细胞:1ml冻存管(两支)

细胞培养中的污染分为两类,化学污染和生物污染。化学污染是一些对细胞有毒性的或对细胞产生刺激的化学物质。这些污染一般来自于没有洗净的器皿、不纯的化学试剂和质量较差的蒸馏水等。化学污染中比较引人注意的是细菌内毒素。它是革兰氏阴性细菌细胞死亡后解体释放出的疏水性的细胞壁组成物质,对塑料等疏水性强的物质有很强的吸附能力。细菌内毒素可刺激部分细胞产生一些激素或细胞因子,对细胞生长和实验结果产生影响。细菌内毒素是临床上的主要的热原(即注射到动物体内会导致动物发热),所以通过细胞培养生产的疫苗、细胞因子等用在临床上的药品的生产过程中更是要避免细菌内毒素的污染。

细胞背景资料:黑色素细胞;自发永生;C57BL/6

b.End3Cells;细胞背景资料:详见相关文献介绍;细胞传代方法:1:2-1:3传代;每周换液2-3次。;细胞生长特性:贴壁或悬浮,详见细胞说明书部分;细胞形态特性:详见细胞说明书;相关细胞有:Calu 6Cells、C1498Cells、8305-C细胞

H-322Cells;细胞背景资料:详见相关文献介绍;细胞传代方法:1:2传代;细胞生长特性:贴壁生长;细胞形态特性:详见细胞说明书;相关细胞有:LOU-NH91Cells、NCI-H125Cells、KLM1细胞

HSC4Cells;细胞背景资料:详见相关文献介绍;细胞传代方法:1 x 10^5 cells/10cm dish;细胞生长特性:贴壁生长;细胞形态特性:上皮Cells;相关细胞有:H1105Cells、mIMCD-3Cells、NSH细胞

H-1437Cells;细胞背景资料:详见相关文献介绍;细胞传代方法:1:2-1:6传代,每周换液2次。;细胞生长特性:贴壁生长;细胞形态特性:上皮样;相关细胞有:H-64Cells、L02Cells、PA-TU S细胞

细胞传代方法:1:2-1:3传代;每周换液2-3次。

Melan-a Cells|小鼠黑色素克隆细胞

细胞来源说明:来源于RCB、ATCC、KCLB、DSMZ、ECACC、INCell、ScienCell、ECACC、JCRB、Asterand、ICLC等知名细胞库

原代细胞与细胞系有什么区别?细胞培养物来源于原代外植体或分散的细胞悬液。通常在这样的培养物中细胞增殖形成汇合地单层细胞或密集地细胞悬液。根据传统定义,次收获和接种的细胞被称为原代细胞[Freshney, R.I. (1987). Culture of Animal Cells. A Manual of Basic Technique. (New York, Alan R. Liss, Inc.)].这类细胞生命周期有限,在有限的生命周期内需掌握HAO细胞大的生长空间,以保持细胞群中基因型和表型的一致性。细胞系是不断生长,分化的细胞群,因其经过遗传改造,致使其具有无限增长的潜能。体外生长的细胞系用于医疗或科研。实际上,连续细胞系可以用大量次培养基培养,随着代数的增加细胞的基因型和表型都有可能发生改变。需要指出的是,在不同的科研小组中这些术语的定义会有所不同。许多研究员不用细胞系这个词表示细胞群除非细胞经过了遗传改造。

细胞生长特性:贴壁

经过40-50次分裂的渡过第二次死亡危机的细胞,称之为细胞系。如细胞系的生存期有限,则称之为有限细胞系(FiniteCellLine);已获无限繁殖能力的细胞系,称连续或无限细胞系(InfiniteCellLine)。无限细胞系大多已发生异倍化,具异倍体核型,可能成为恶性细胞,因此本质上已是发生转化的细胞系。无限细胞系有永生性(不死性),但仍保留接触抑制和无异体接种致死;有的有永生性,异体接种有致瘤性,说明已恶性化。由某一细胞系分离出来的、在性状上与原细胞系不同的细胞系,称亚系(Subline)。这是现有细胞系中多的一类,中国已建细胞系主要为这类细胞。肿瘤细胞系多由癌瘤建成,多呈类上皮型细胞,常已传几十代或百代以上,并具有不死性和异体接种致瘤性,丧失接触抑制能力。对已建成的各种细胞系或细胞株习惯上都给以名称;细胞的命名无严格统一规定,大多采用有一定意义缩写字或代号表示。但不论什么形式,均不宜太长,以便记忆和了解。

NTERA-2cl.D1细胞类似产品::DHBE细胞、MDA PCa 2b细胞、KCL22S细胞

HS5细胞类似产品::huH 1细胞、PLB985细胞、COLO829细胞

CATH-a细胞类似产品::M210B4细胞、HCFB(HCF)细胞、Hs-688A-T细胞

NS1-Ag4细胞类似产品::NCI-H2196细胞、OCI-Ly 3细胞、SW-626细胞

SuDHL 2细胞类似产品::DH 82细胞、Ly7细胞、H378细胞

MHH-CALL2细胞类似产品::D-283MED细胞、W133细胞、BE(2)-C细胞

SU-86-86细胞类似产品::HCA 7细胞、NCIH820细胞、OVCA8细胞

P3X63细胞类似产品::GM3570细胞、L6565细胞、TE 354.T细胞

1.1B4细胞类似产品::LN-18细胞、GM637A细胞、Human Kidney-2细胞

H-1869细胞类似产品::Tb 1-Lu细胞、ES2细胞、EoL-1细胞

Melan-a Cells|小鼠黑色素克隆细胞

Spodoptera frugiperda clone 9细胞类似产品::IPLB-Sf21细胞、VP 267细胞、KBM5细胞

C57/B6-L细胞类似产品::Hs611T细胞、CCD-112CoN细胞、P3 88 D1细胞

JM细胞类似产品::NCI-H929细胞、Pro-5WgaRI3C细胞、GM03190A细胞

MA-c细胞类似产品::H69/P细胞、UMUC-3细胞、Alexander cells细胞

SPCA1细胞类似产品::Hep-G2细胞、DHL-5细胞、CCD 966 SK细胞

U138MG细胞类似产品::HT3细胞、Y3.AG.1.2.3细胞、MSTO-211 H细胞

U138MG细胞类似产品::HT3细胞、Y3.AG.1.2.3细胞、MSTO-211 H细胞

SNU739细胞类似产品::CF-PAC1细胞、149 PT细胞、SNU-484细胞

H-3255细胞类似产品::HT 1080细胞、RL95细胞、B16-F10--RED细胞

MCF 10A细胞类似产品::OCI-Ly01细胞、HBdSMC细胞、University of Michigan-Renal Carcinoma-2细胞

LAN5细胞类似产品::SW 1463细胞、293GP细胞、H295细胞

HEB细胞类似产品::KMS26细胞、H-847细胞、EB1细胞

NCI-322细胞类似产品::H-2171细胞、H226细胞、NCI-H460细胞

H187细胞类似产品::NCI-H748细胞、TE-7细胞、H2342细胞

HuNS1细胞类似产品::HHFK细胞、MPASMC细胞、ACHN细胞

OSC-19细胞类似产品::BE2_C细胞、MDA 1386细胞、CL 1-0细胞

ROS17/2.8细胞类似产品::WERI细胞、HOS TE 85细胞、SKNAS细胞

U266S细胞类似产品::MC3T3-E1细胞、NCI-H2198细胞、SNU-449细胞

Jiyoye(P-2003)细胞类似产品::Cloudman S91 melanoma clone M-3细胞、ECC1细胞、Tb 1 Lu (NBL-12)细胞

J45.01细胞类似产品::H-87细胞、Mesothelial cells transfected with pRSV-T 5A细胞、KYSE0030细胞

MD Anderson-Metastatic Breast-453细胞类似产品::Gingival carcinoma Neck Metastasis细胞、Okayama University Medical School-23细胞、FHL124细胞

NCI-H1651细胞类似产品::Caco-2/ATCC细胞、NCI/ADRRES细胞、ARO 81-1细胞

SGC-7901/DDP细胞类似产品::CCD-841CoTr细胞、DHL5细胞、LLCPK1细胞

PANC-02-03细胞类似产品::HEK-293-EBNA细胞、MSTO211H细胞、MeWo细胞

SW 480细胞类似产品::Balb/c 3T3细胞、CAL120细胞、NCI/ADR-RES细胞

TI-73细胞类似产品::Hep 3B2.1-7细胞、KS-SLK细胞、P3J.HR1K细胞

PG-4 S+L-细胞类似产品::PLMVEC细胞、SW-780细胞、HSC-3细胞

SK Mel 2细胞类似产品::VK2细胞、H.Ep. No. 2细胞、GH3细胞

Hs 445细胞类似产品::OP9细胞、TK.10细胞、H-1963细胞

SN12PM6细胞类似产品::COLO679细胞、HeLa细胞、KYSE180细胞

Tregs细胞类似产品::Epstein-Barr-3细胞、SCC9细胞、SKNBE2细胞

NCIH23细胞类似产品::mIMCD-3细胞、SUPM2细胞、U-118-MG细胞

Baby Hamster Kidney 21细胞类似产品::H2087细胞、DHBE细胞、H520细胞

SW403细胞类似产品::V-79细胞、no-11细胞、6T-CEM细胞

118 MG细胞类似产品::HNE3细胞、LK-2细胞、B16/F10细胞

mIMCD-3细胞类似产品::NIH:OVCAR4细胞、BJA-B细胞、H1882细胞

149PT细胞类似产品::MOLT-4细胞、NCIH2405细胞、MD Anderson-Metastatic Breast-435细胞

MOLT-16细胞类似产品::T-cell Acute Lymphoblastic Leukemia-1细胞、HT 144细胞、NCIH1437细胞

LuCL4细胞类似产品::CD 18细胞、BC-025细胞、Baby Hamster Kidney 21细胞

MDA-MB435细胞类似产品::BHK-21细胞、Me-Wo细胞、NCI-H1238细胞

MDAMB134VI细胞类似产品::R2C细胞、HCC0015细胞、RPMI 1846细胞

ECV304细胞类似产品::H82细胞、3T3L1细胞、GOS-3细胞

EB-3细胞类似产品::SW 1783细胞、SK-NM-C细胞、Y3-Ag 1.2.3细胞

4T1细胞类似产品::BSC40细胞、T173细胞、SK_HEP1细胞

Granta-519细胞类似产品::RMS13细胞、RPMI 8226/S细胞、SUM 102PT细胞

MC 3T3-E1细胞类似产品::SUNE1细胞、WBF344细胞、OE19细胞

CCRFCEM细胞类似产品::MM-1S细胞、SR786细胞、HTori:3细胞

COS7Cells;细胞背景资料:此细胞株源自CV-1细胞株,经转染起始点缺失的SV40病毒突变体得到;编码表达野生型T抗原,所以该细胞适合作为需要SV40T抗原表达的载体的转染宿主。该细胞表达T抗原,允许SV40病毒的溶解性生长,支持40℃时温度敏感性A209病毒的复制,支持起始区域缺陷的SV40突变体的复制。因含有SV40病毒的DNA序列,该细胞需要在2级生物安全柜中操作。;细胞传代方法:1:2传代;细胞生长特性:贴壁生长;细胞形态特性:成纤维细胞样;相关细胞有:BALB/3T3 cl. A31Cells、HR1KCells、Vx2细胞

BT549Cells;细胞背景资料:该细胞1978年由W.G.Coutinho和E.Y.Lasfargues建系,源自一位72岁患有乳腺导管癌的白人女性,来源组织包括乳头及浸润导管。该细胞形态包括上皮样细胞及多核巨细胞,可分泌一种粘性物质。;细胞传代方法:1:2传代;细胞生长特性:贴壁生长;细胞形态特性:上皮样;相关细胞有:HEC1-ACells、U343MGCells、DMS79细胞

WM-266-melCells;细胞背景资料:详见相关文献介绍;细胞传代方法:1:2传代;细胞生长特性:贴壁生长;细胞形态特性:详见细胞说明书;相关细胞有:H2066Cells、SK-RC-39Cells、SPC-A1细胞

Ocular Choroidal Melanoma-1Cells;细胞背景资料:葡萄膜黑色素瘤;女性;细胞传代方法:1:2-1:3传代;每周换液2-3次。;细胞生长特性:贴壁;细胞形态特性:详见细胞说明书;相关细胞有:XuanWei Lung Cancer-05Cells、A375-SMCells、CHP 212细胞

H-1781Cells;细胞背景资料:详见相关文献介绍;细胞传代方法:1:2-1:3传代;每周换液2-3次。;细胞生长特性:贴壁或悬浮,详见细胞说明书部分;细胞形态特性:详见细胞说明书;相关细胞有:RD-2Cells、CHG-5Cells、HSC4细胞

SUM102Cells;细胞背景资料:乳腺癌;女性;细胞传代方法:1:2-1:3传代;每周换液2-3次。;细胞生长特性:贴壁;细胞形态特性:详见细胞说明书;相关细胞有:CPAECells、GS9LCells、H2.35细胞

H-2347Cells;细胞背景资料:详见相关文献介绍;细胞传代方法:1:2-1:6传代,每周2-3次。;细胞生长特性:贴壁生长;细胞形态特性:上皮样;相关细胞有:AnglneCells、WM-239Cells、TCC Sup细胞

SK-MESCells;细胞背景资料:源于一位65岁患有肺鳞状细胞癌的白人男性,自转移性胸腔积液分离而来。;细胞传代方法:1:2传代;细胞生长特性:贴壁生长;细胞形态特性:上皮样;相关细胞有:624-melCells、BBECells、MPP 89细胞

H-2171Cells;细胞背景资料:详见相关文献介绍;细胞传代方法:3-4天换液1次。;细胞生长特性:悬浮生长;细胞形态特性:聚团悬浮;相关细胞有:H-2030Cells、MO59JCells、HIT T-15细胞

Melan-a Cells|小鼠黑色素克隆细胞

EFM192ACells;细胞背景资料:乳腺癌;胸腔积液转移;女性;细胞传代方法:1:2-1:3传代;每周换液2-3次。;细胞生长特性:贴壁;细胞形态特性:详见细胞说明书;相关细胞有:X63-Ag8-653Cells、HSC(Human Schwann)Cells、SU-DHL-8细胞

MPVECsCells;细胞背景资料:肺;微血管;内皮Cells;细胞传代方法:1:2-1:3传代;每周换液2-3次。;细胞生长特性:贴壁;细胞形态特性:详见细胞说明书;相关细胞有:WM 239ACells、PL-9Cells、Hs819.T细胞

Hepa 1-6Cells;细胞背景资料:此细胞株源自C57/L小鼠中引发的BW7756肝癌;表达AFP、α1抗胰蛋白酶、淀粉酶;鼠痘病毒阴性。此细胞可以在无血清的培养基中繁殖,培养基成分是:DMEM,75%;Waymouth'sMAB87/3培养基,25%。添加3x10-8M。;细胞传代方法:1:2传代;细胞生长特性:贴壁生长;细胞形态特性:上皮样;相关细胞有:H-2122Cells、UCH-1Cells、OCM1细胞

Ca-SkiCells;细胞背景资料:这株细胞是从小肠肠系膜转移灶的细胞中建立的。 据报道,它含有完整的HPV-16(每个细胞大约600个拷贝)和HPV-18相关序列。;细胞传代方法:1:2传代;细胞生长特性:贴壁生长;细胞形态特性:上皮细胞样;相关细胞有:LIM1215Cells、KPNRTBM1Cells、L-1210细胞

NP-69Cells;细胞背景资料:鼻咽;上皮Cells;SV40转化;细胞传代方法:1:2-1:3传代;每周换液2-3次。;细胞生长特性:贴壁;细胞形态特性:详见细胞说明书;相关细胞有:H-4-II-ECells、Huh7.5Cells、NCIH1105细胞

HS0578TCells;细胞背景资料:详见相关文献介绍;细胞传代方法:1:2-1:3传代;每周换液2-3次。;细胞生长特性:贴壁或悬浮,详见细胞说明书部分;细胞形态特性:详见细胞说明书;相关细胞有:L cells (TK-)Cells、TK 10Cells、MGc80-3细胞

293-HCells;细胞背景资料:详见相关文献介绍;细胞传代方法:1:2-1:3传代;每周换液2-3次。;细胞生长特性:贴壁或悬浮,详见细胞说明书部分;细胞形态特性:详见细胞说明书;相关细胞有:NCI/ADRRESCells、SKNASCells、Vero E-6细胞

293-HCells;细胞背景资料:详见相关文献介绍;细胞传代方法:1:2-1:3传代;每周换液2-3次。;细胞生长特性:贴壁或悬浮,详见细胞说明书部分;细胞形态特性:详见细胞说明书;相关细胞有:NCI/ADRRESCells、SKNASCells、Vero E-6细胞

HCC-827Cells;细胞背景资料:这株细胞建于1994年三月。这株肺腺癌在EGFR酪酸激酶区域有一个获得性突变(E746-A750缺失)。患者在25岁到26岁时每个月抽1包烟。在诊断前12年不再抽烟。;细胞传代方法:消化5分钟。1:2。4-5天长满。;细胞生长特性:贴壁生长;细胞形态特性:上皮细胞样;相关细胞有:MCF-7BCells、NCI-H1341Cells、SW 527细胞

H378Cells;细胞背景资料:小细胞肺癌;胸腔积液转移;女性;细胞传代方法:1:2-1:3传代;每周换液2-3次。;细胞生长特性:贴壁;细胞形态特性:详见细胞说明书;相关细胞有:McA-RH 8994Cells、H-929Cells、293H细胞

3T3-L1 adCells;细胞背景资料:3T3-L1是从3T3细胞(Swissalbino)中经克隆分离得到的连续传代的亚系。该细胞从快速分裂到汇合和接触性抑制状态经历了前脂肪细胞到脂肪样细胞的转变。该细胞鼠痘病毒阴性;可产生甘油三酯,高浓度血清可增强细胞内脂肪堆积。;细胞传代方法:1:2传代;细胞生长特性:贴壁生长;细胞形态特性:成纤维细胞样;相关细胞有:D-283 MedCells、Hs 819.TCells、H2009细胞

Line 522Cells;细胞背景资料:肺腺癌;女性;细胞传代方法:1:2-1:3传代;每周换液2-3次。;细胞生长特性:贴壁;细胞形态特性:详见细胞说明书;相关细胞有:H4IIEC3Cells、F442-ACells、hMSC-BM细胞

C57 Mouse Tumor 64Cells;细胞背景资料:肺腺癌;雌性;C57;细胞传代方法:1:2-1:3传代;每周换液2-3次。;细胞生长特性:贴壁;细胞形态特性:详见细胞说明书;相关细胞有:BALB/3T3Cells、MDAPCa2bCells、RT-4细胞

SP2-0-Ag14Cells;细胞背景资料:该细胞是由绵羊红细胞免疫的BALB/c小鼠脾细胞和P3X63Ag8骨髓瘤细胞融合得到的。该细胞不分泌免疫球蛋白,对20μg/ml的8-氮鸟嘌呤有抗性,对HAT比较敏感;该细胞可以作为细胞融合时的B细胞组分用于制备杂交瘤;鼠痘病毒阴性。;细胞传代方法:1:2传代;细胞生长特性:悬浮生长;细胞形态特性:淋巴母细胞样;圆形;相关细胞有:KNS-81Cells、ToledoCells、MHH-CALL2细胞

Ra #1Cells;细胞背景资料:详见相关文献介绍;细胞传代方法:1:2-1:3传代;每周换液2-3次。;细胞生长特性:贴壁或悬浮,详见细胞说明书部分;细胞形态特性:详见细胞说明书;相关细胞有:PC-10Cells、MDAMB157Cells、H-1781细胞

NCI-H520Cells;细胞背景资料:详见相关文献介绍;细胞传代方法:1:3-1:6传代;2-3天换液1次;细胞生长特性:贴壁或悬浮,详见细胞说明书部分;细胞形态特性:详见细胞说明书;相关细胞有:Hs888TCells、DC2.4Cells、HIEC-6细胞

C3H10T1/2CL8Cells;细胞背景资料:详见相关文献介绍;细胞传代方法:1:2-1:3传代;每周换液2-3次。;细胞生长特性:贴壁或悬浮,详见细胞说明书部分;细胞形态特性:详见细胞说明书;相关细胞有:SKNFICells、TE-15Cells、H-2073细胞

COLO 680NCells;细胞背景资料:详见相关文献介绍;细胞传代方法:1:2-1:3传代;每周换液2-3次。;细胞生长特性:贴壁或悬浮,详见细胞说明书部分;细胞形态特性:详见细胞说明书;相关细胞有:SVG(P12)Cells、J45.01Cells、5637细胞

3T3Cells;细胞背景资料:3T3细胞株是1962年Todaro G和Green H从分离的瑞士小鼠胚胎中建立的;该细胞的生长受接触性抑制,汇合状态的单层细胞密度为40000个细胞/平方厘米;检测结果显示该细胞鼠痘病毒阴性;在中生长较好,在某些玻璃表面上可能状态不佳;细胞生长饱和时其密度可以达到约50000 cells/cm2。;细胞传代方法:1:3传代;3-4天1次。;细胞生长特性:贴壁生长;细胞形态特性:成纤维细胞样;相关细胞有:Me-WoCells、WERIRb1Cells、Line 207细胞

M210B4Cells;细胞背景资料:骨髓;纤维原Cells;C57BL/6J X C3H/HeJ;细胞传代方法:1:2-1:3传代;每周换液2-3次。;细胞生长特性:贴壁;细胞形态特性:详见细胞说明书;相关细胞有:BT-20Cells、NCIH358Cells、H-920细胞

H-2066Cells;细胞背景资料:详见相关文献介绍;细胞传代方法:每周换液2-3次;细胞生长特性:悬浮生长;细胞形态特性:聚团悬浮;相关细胞有:OVCA433_BastCells、RKO-AS-45-1Cells、Panc 02细胞

KP 4Cells;细胞背景资料:详见相关文献介绍;细胞传代方法:1:2-1:3传代;每周换液2-3次。;细胞生长特性:贴壁生长;细胞形态特性:详见细胞说明书;相关细胞有:Saos2Cells、D341MedCells、CCD 19Lu细胞

BNCL-2Cells;细胞背景资料:详见相关文献介绍;细胞传代方法:1:2传代;细胞生长特性:贴壁生长 ;细胞形态特性:详见细胞说明书;相关细胞有:CAKI 2Cells、QGY-7701Cells、A72细胞

P388Cells;细胞背景资料:详见相关文献介绍;细胞传代方法:1:2传代;细胞生长特性:贴壁生长;细胞形态特性:详见细胞说明书;相关细胞有:KG1Cells、H-378Cells、NH-6细胞

HCT FETCells;细胞背景资料:结肠癌;细胞传代方法:1:2-1:3传代;每周换液2-3次。;细胞生长特性:贴壁;细胞形态特性:详见细胞说明书;相关细胞有:NBLAN5TCells、MDCK supertubeCells、HO1-N-1细胞

CCRF-CEMCells;细胞背景资料:G.E. Foley 等人建立了类淋巴母细胞细胞株CCRF-CEM。 细胞是1964年11月从一位四岁白人女性急性淋巴细胞白血病患者的外周血白血球衣中得到。此细胞系从香港收集而来。;细胞传代方法:1:2传代。3天内可长满。;细胞生长特性:悬浮生长;细胞形态特性:淋巴母细胞样;相关细胞有:SNU-601Cells、ZR-75-1Cells、OCLY8细胞

HUASMCCells;细胞背景资料:脐动脉平滑肌;细胞传代方法:1:2-1:3传代;每周换液2-3次。;细胞生长特性:贴壁;细胞形态特性:详见细胞说明书;相关细胞有:HC11Cells、SKLU01Cells、hTERT-HME1细胞

Hs578BstCells;细胞背景资料:乳腺Cells;细胞传代方法:1:2-1:3传代;每周换液2-3次。;细胞生长特性:贴壁;细胞形态特性:详见细胞说明书;相关细胞有:RCC10 RGBCells、A427Cells、EFM192C细胞

293ACells;细胞背景资料:胚肾;腺病毒包装;细胞传代方法:1:2-1:3传代;每周换液2-3次。;细胞生长特性:贴壁;细胞形态特性:详见细胞说明书;相关细胞有:WC00044Cells、A-2058Cells、4175细胞

GM04680Cells;细胞背景资料:详见相关文献介绍;细胞传代方法:1:3传代,2-3天传一代;细胞生长特性:悬浮生长;细胞形态特性:淋巴母细胞样;相关细胞有:PL11Cells、KYSE270Cells、WSU-HN13细胞

MDBKCells;细胞背景资料:详见相关文献介绍;细胞传代方法:1:2传代;细胞生长特性:贴壁生长 ;细胞形态特性:详见细胞说明书;相关细胞有:ECC10Cells、U-hth74Cells、HBZY1细胞

CT26Cells;细胞背景资料:详见相关文献介绍;细胞传代方法:1:2-1:3传代;每周换液2-3次。;细胞生长特性:贴壁或悬浮,详见细胞说明书部分;细胞形态特性:详见细胞说明书;相关细胞有:H-EMC-SSCells、GM03569BCells、H-526细胞

786-O RCCCells;细胞背景资料:该细胞源自一位原发性肾透明细胞癌患者。该细胞有微绒毛和桥粒,能在软琼脂上生长。此细胞生成一种PTH(甲状旁腺素)样的多肽,与乳癌和肺癌中生成的肽相似,其N端序列与PTH相似,具有PTH样活性,分子量为6000D。;细胞传代方法:1:2传代;细胞生长特性:贴壁生长;细胞形态特性:上皮样;相关细胞有:SMA 560Cells、Murine Carcinoma-38Cells、VK2/E6E7细胞

"


Melan-a Cells|小鼠黑色素克;

公司简介

上海冠导生物工程有限公司,先后从ATCC、DSMZ、ECACC、RIKEN、PromoCell、ScienCell、JCRB等国内外细胞库引进细胞2000余株。以此为契机,公司组建了冠导细胞库,我司细胞均由资深细胞培养工程师进行培养。我司可以提供的细胞有:①细胞系②原代细胞③稳转株④耐药株⑤标记细胞⑥细胞配套试剂等。

成立日期 (11年)
注册资本 100万(元)
员工人数 50-100人
年营业额 ¥ 1000万-5000万
经营模式 工厂,试剂,定制,服务
主营行业 细胞培养,微生物学,细胞生物学

Melan-a Cells|小鼠黑色素克隆细胞相关厂家报价

内容声明
拨打电话 立即询价