基本信息 产品详情 公司简介 推荐产品
网站主页 NCI-H2591 CELLS|人肺癌贴壁细胞 NCI-H2591 Cells|人肺癌克隆细胞
  • NCI-H2591 Cells|人肺癌克隆细胞

NCI-H2591 Cells|人肺癌克隆细胞

NCI-H2591 Cells
询价 1000000细胞数 起订
2000000细胞数 起订
上海 更新日期:2026-04-29

上海冠导生物工程有限公司

VIP6年
联系人:全经理
电话:18818239863拨打
邮箱:3171921642@qq.com

产品详情:

中文名称:
NCI-H2591 Cells|人肺癌克隆细胞
英文名称:
NCI-H2591 Cells
保存条件:
常温培养或液氮冻存
纯度规格:
NCI-H2591 Cells|人肺癌克隆细胞
产品类别:
生物试剂

"NCI-H2591 Cells|人肺癌克隆细胞

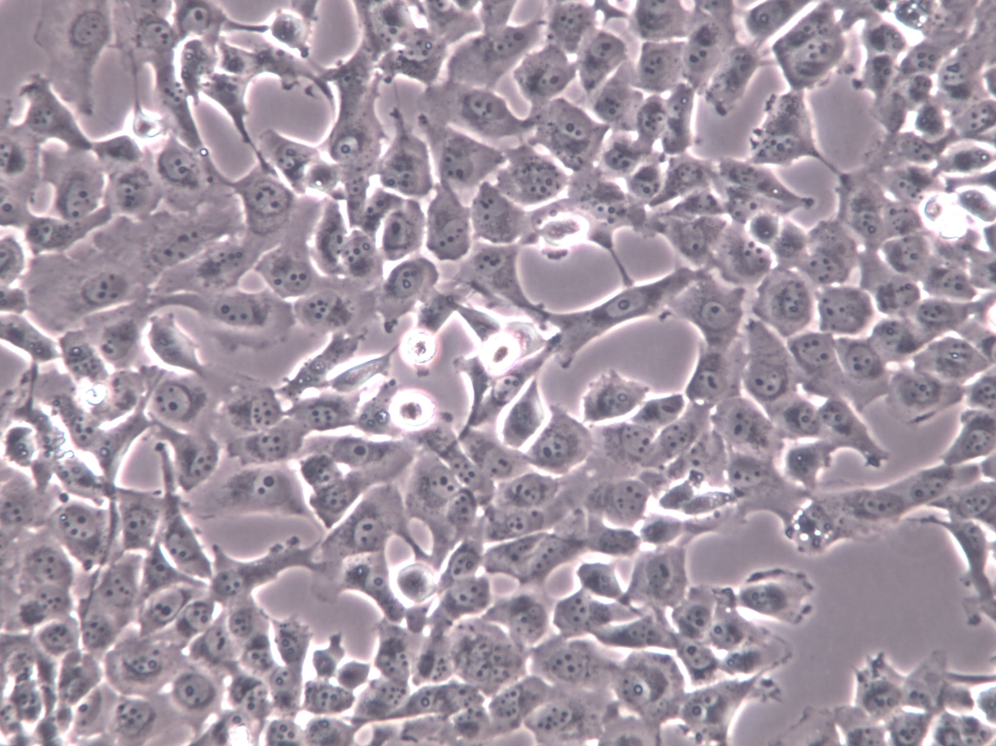
细胞形态:上皮细胞样

细胞生长:贴壁

支原体污染的严重性:细胞外形可以没有明显的变化,支原体可以与细胞共存,污染后细胞液不会死亡,培养基一般不发生浑浊;使用被支原体污染的细胞做实验会严重影响实验的结果,因为支原体会抑制细胞生长;导致染色体畸变;细胞膜抗原性改变;细胞复苏后存活率降低等。影响细胞的代谢和功能:培液中的精氨酸被支原体大量消耗,引起细胞蛋白质、DNA、rRNA、mRNA的合成障碍;支原体活动使培液成分发生改变(如发酵型支原体降解糖类产生酸性物质),影响细胞代谢。培养过程中细胞破碎较多,培养基pH变化明显,需要频繁更换新鲜培养基;细胞被支原体污染后会形成共生体系导致污染不断扩大。

HMECCells;细胞背景资料:乳腺;上皮Cells;细胞传代方法:1:2-1:3传代;每周换液2-3次。;细胞生长特性:贴壁;细胞形态特性:详见细胞说明书;相关细胞有:BE(2)-M17Cells、SKGT4Cells、QGP 1细胞

NCI-H-82Cells;细胞背景资料:详见相关文献介绍;细胞传代方法:1:2—1:5传代,每周换液2-3次;细胞生长特性:悬浮生长;细胞形态特性:上皮Cells;相关细胞有:BMDCCells、HOS-TE85Cells、M619细胞

B-104Cells;细胞背景资料:神经母细胞瘤;BDIX;细胞传代方法:1:2-1:3传代;每周换液2-3次。;细胞生长特性:贴壁;细胞形态特性:详见细胞说明书;相关细胞有:COLO-320DMCells、SaOSCells、RMS 13细胞

HCC-1500Cells;细胞背景资料:详见相关文献介绍;细胞传代方法:1:2-1:3传代;每3-5天换液;细胞生长特性:贴壁生长;细胞形态特性:上皮样;相关细胞有:SKMES1Cells、Nb-2Cells、SW-1783细胞

细胞物种来源:人源或鼠源等其它物种来源

NCI-H2591 Cells|人肺癌克隆细胞

[细胞产品包装]鲜活细胞:T25培养瓶(一瓶)或冻存细胞:1ml冻存管(两支)

被污染的细胞培养物是污染其他细胞培养物的污染源,被一代一代传下去,在吸取、吹出、离心、处理操作过程中产生的微滴,落到周围能存活几天。支原体污染的浓度一般在10'ccu/mL-108ccu/mL。因此,只从可靠来源引进细胞,别是知名的信誉良HAO的专门机构,如ATCC、基础医学细胞中心等。制备细胞的组织或器官本身就有可能带有支原体,因此在细胞原代培养时,需要进行常规支原体监测检查后使用,原代细胞或工作细胞库应分别管理,以防交叉感染。细胞株传代时,同时作培养或DNA染色检查,检测保存过程有否感染。一旦发现已经污染支原体的细胞,灭活后弃之,更换新的细胞,避免支原体的大范围播散。

细胞背景资料:上皮样间皮瘤;男性

CTV-1Cells;细胞背景资料:急性T淋巴细胞白血病;男性;细胞传代方法:1:2-1:3传代;每周换液2-3次。;细胞生长特性:悬浮;细胞形态特性:详见细胞说明书;相关细胞有:P3/NS1/Ag4-1Cells、T-98GCells、FLS细胞

SW-1116Cells;细胞背景资料:CSAp阴性(CSAp-)。 结肠抗原3,阴性。 角蛋白免疫过氧化物酶染色阳性。 癌基因c-myc, K-ras, H-ras, myb, sis 和fos的表达呈阳性。 未检测到癌基因N-myc和N-ras的表达。 表达肿瘤特异的核基质蛋白CC-4,CC-5和CC-6。;细胞传代方法:消化3-5分钟。1:2。3天内可长满。;细胞生长特性:贴壁生长;细胞形态特性:上皮Cells;相关细胞有:CL1Cells、Transformed Human Liver Epithelial-3Cells、MODE-K细胞

SNU620Cells;细胞背景资料:详见相关文献介绍;细胞传代方法:1:2-1:3传代;每周换液2-3次。;细胞生长特性:贴壁或悬浮,详见细胞说明书部分;细胞形态特性:详见细胞说明书;相关细胞有:NCI-H196Cells、NCI-H1838Cells、DU-145细胞

MC-26Cells;细胞背景资料:详见相关文献介绍;细胞传代方法:1:2-1:3传代;每周换液2-3次。;细胞生长特性:贴壁或悬浮,详见细胞说明书部分;细胞形态特性:详见细胞说明书;相关细胞有:HCC-1428Cells、C3ACells、Hs 683细胞

细胞传代方法:1:2-1:3传代;每周换液2-3次。

NCI-H2591 Cells|人肺癌克隆细胞

细胞来源说明:来源于RCB、ATCC、KCLB、DSMZ、ECACC、INCell、ScienCell、ECACC、JCRB、Asterand、ICLC等知名细胞库

传代细胞时,使用无菌技术和合适的试剂及设备尤为重要。针对您的细胞系选择合适的培养液来得到佳的生长和扩增很关键。每一个细胞系都有定的生长营养组分配方,但是大多数细胞系起码需要的添加物有以下这些:血清,如胎牛血清,需热处理灭活其胎牛成分,它为细胞生长提供重要的生长因子。抗生素,如青霉素和链霉素用于防止细胞污染。其他的生长因子,如成纤维细胞生长因子,有助于延长细胞系的生长和扩增。不使用时,要将这些添加物或者“完全”细胞培养液保存于4摄氏度。首先要注意细胞培养液的颜色,富含营养的新鲜培养液由于添加了pH指示剂酚红故为透明橙色。当细胞耗尽培养液中的营养成分时,开始在培养物中积累废物和酸性物质,降低pH值。因此,许多细胞培养液含有酚红,当培养物呈酸性时会将培养液颜色由橙色变为黄色。培养液需在变黄之前更换。当酚红变为粉红色时,说明培养基pH偏碱,不利于细胞健康生长。这时可能需要改变二氧化碳浓度并更换培养液。很多贴壁细胞系可天然附着于无涂层的塑料上。因此,塑料细胞培养板如培养皿或六孔板经常用于传代细胞。塑料的细胞培养瓶也经常用到,如T25的细胞培养瓶,常用于扩增培养数目少的细胞或者开始培养生长缓慢的细胞系。T75细胞培养瓶常用在培养扩增速度较快的细胞系或用于生长超过T25培养瓶容量的大量细胞。在转移贴壁细胞时,要先剪切掉细胞上与和塑料结合的蛋白。因此,消化酶胰酶常用于消化细胞。控制胰酶消化的时间很重要,因为如果处理时间过长会损坏细胞表面的蛋白。细胞培养液能中和胰酶。所以在胰酶消化前常用磷酸缓冲液或PBS洗涤细胞。EDTA,一种钙螯合剂有时候也用于提GAO胰酶的蛋白水解功能。为扩增细胞克隆,将新鲜传代的细胞培养于细胞培养箱中,选择适合该细胞生长条件,通常为温度37度,二氧化碳5%和湿度95%。

细胞生长特性:贴壁

细胞传代比例:对于有限细胞系,传代时以二、四、八或十六倍(传代比率分别是2、4、8和16)降低细胞密度,计算群体倍增数更容易(即分别是传代比率2对应1次倍增,4对应2次倍增,8对应3次倍增,16对应4次倍增);例如,一传八的培养物需要3次倍增才能达到原来相同的细胞密度。脆弱的或生长缓慢的细胞系通常一传二,而有活力的,生长快速的细胞系可以一传八,甚至一传十六。有些连续细胞系可一传五十或一传100。一旦细胞系变为连续细胞系(通常经过150次或200次倍增以上),细胞浓度是主要参数,培养浓度应降至10(4)/ml--10(5)/ml之间。可选择传代间隔合适的传代比率或稀释度,或许为1周或2周,同时要保证:细胞密度不可稀释过低,使其延迟期合理(在24小时以内),可重新进入生长周期;而且在下次传代前不进人平台期。

KG-1细胞类似产品::SPC-A1细胞、Hs 895.T细胞、AMJ2-C8细胞

Hs-578T细胞类似产品::MV411细胞、SGC-996细胞、H-2126细胞

ACHN细胞类似产品::HCV 29细胞、BrCL18细胞、MDA-MB-468细胞

QGY细胞类似产品::CCD-1112sk细胞、IPLB-SF-21细胞、HCC-4006细胞

UPCI-SCC090细胞类似产品::L M (TK-)细胞、Panc 1细胞、NCI.H460细胞

COLO-738细胞类似产品::Roswell Park Memorial Institute 1846细胞、M3 Clone M-3细胞、GM05862细胞

DAN-G细胞类似产品::aNK细胞、MC 3T3-E1细胞、Ramos-2G6-4C10细胞

MDCK Type II细胞类似产品::LMH细胞、Michigan Cancer Foundation-12F细胞、HEC-1A细胞

NCI522细胞类似产品::MDA-kb2细胞、Epithelioma Papulosum Cyprini细胞、OCI-LY-19细胞

H292细胞类似产品::SNU620细胞、BALB/3T3 clone A31细胞、NCI-H157细胞

NCI-H2591 Cells|人肺癌克隆细胞

C918细胞类似产品::BNL CL.2细胞、HCT-15细胞、MDA435细胞

WERI细胞类似产品::OV3121细胞、AHH1细胞、HAC-84细胞

MADB 106细胞类似产品::HCT FET细胞、KMS18细胞、KMS18细胞

Y1细胞类似产品::CaSki细胞、28SC细胞、LS-123细胞

Kuramochi细胞类似产品::OCI-AML-4细胞、OP9细胞、SNU-C1细胞

OCIAML2细胞类似产品::DF1细胞、Hk-2细胞、GM00637I细胞

OCIAML2细胞类似产品::DF1细胞、Hk-2细胞、GM00637I细胞

COV-362细胞类似产品::BAEC细胞、MKN45细胞、PLB 985细胞

GM03573A细胞类似产品::Panc 5.04细胞、NOMO1细胞、LLC-PK1细胞

NT2D1细胞类似产品::GAK细胞、NL20SV细胞、D10细胞

AHH1细胞类似产品::GOTO细胞、DKMG细胞、NCI-HUT-596细胞

C-28I2细胞类似产品::RPPVEC细胞、H-1650细胞、NCI-H1993细胞

Ca759细胞类似产品::130T细胞、C3H10T1/2CL8细胞、OAC-P4C细胞

H-889细胞类似产品::NCI-H1930细胞、NS-I/1细胞、SCL-1细胞

X63Ag8.653细胞类似产品::HT144mel细胞、Leydig细胞、SW-962细胞

SK-N-AS细胞类似产品::FDCP-1细胞、NCI N87细胞、CCRF细胞

CAL51细胞类似产品::MDA-MB231细胞、HEK/293细胞、HSC细胞

SNU251细胞类似产品::LS 513细胞、L-Wnt-3A细胞、AN3-CA细胞

Cor L51细胞类似产品::NU-GC-3细胞、8305C细胞、MeSoTheliOma-211H细胞

SKLMS-1细胞类似产品::NTERA2D1细胞、ASPC1细胞、16-HBE14o细胞

SVEC4-10细胞类似产品::Hx147细胞、CORL88细胞、Hs 729.T细胞

HCT-8/V细胞类似产品::DR2R 1610细胞、B-cell Acute Lymphoblastic Leukemia-1细胞、TCCSUP细胞

NCIH460细胞类似产品::Panc02-H0细胞、COLO-357细胞、NCIH292细胞

FRTL 5细胞类似产品::RAW264细胞、OCI/AML-5细胞、NS1-Ag 4/1细胞

HRIF细胞类似产品::CV-1细胞、Madin-Darby Bovine Kidney细胞、MCF-10A细胞

SW 403细胞类似产品::NBL_S细胞、4T1-LUC细胞、A375细胞

MAEC细胞类似产品::NCIH820细胞、TF1细胞、RBL细胞

Hut292细胞类似产品::H650细胞、GM3569细胞、H-841细胞

Mel-RM细胞类似产品::MDAMB436细胞、DR2R1610细胞、SCC 4细胞

HAVSMC细胞类似产品::HCC95细胞、P3/NS1/1-Ag4-1细胞、Colon-38细胞

JVM-3细胞类似产品::KYSE180细胞、HEL92.1.7细胞、Tca8113细胞

293-GP细胞类似产品::SHG 44细胞、SKES1细胞、Panc2.03细胞

TE-85 clone 5细胞类似产品::TE6细胞、MRC-5细胞、FT-293细胞

CHL/IU细胞类似产品::NCI-747细胞、DoTc2细胞、MOLP8细胞

NCI-H125细胞类似产品::J82COT细胞、SKMEL28细胞、HT144-mel细胞

aTC1-6细胞类似产品::WM115mel细胞、P31FUJ细胞、RCC-4细胞

Hs 445细胞类似产品::OP9细胞、TK.10细胞、H-1963细胞

HOC-1细胞类似产品::SCC 25细胞、Cloudman S91 melanoma clone M-3细胞、H-2023细胞

Kato-III细胞类似产品::Ramos 1细胞、Mel-RM细胞、ME180细胞

NCI-SNU-620细胞类似产品::NCI-441细胞、MKN 28细胞、MHCC97-L细胞

T98G细胞类似产品::RS4:11细胞、130T细胞、NSI/1-Ag4-1细胞

CCD18细胞类似产品::T-98G细胞、IM9细胞、NCI-H2110细胞

H69细胞类似产品::KYSE-50细胞、Ontario Cancer Institute-Acute Myeloid Leukemia-4细胞、PG [Human lung carcinoma]细胞

CFSC-8B细胞类似产品::L-6 myoblast细胞、HCAEC细胞、M20 [Human melanoma]细胞

H358细胞类似产品::P3/NS1/1-Ag4.1细胞、NK-92 transfected with MFG-hIL2细胞、ACC-2细胞

P3X63 Ag8.653细胞类似产品::Factor Dependent Cell-Paterson 1细胞、HHL-5细胞、MDA231-LM2-4175细胞

MEL细胞类似产品::RS411细胞、QGP1细胞、TE 85 ClF-5细胞

BCaP 37Cells;细胞背景资料:源自一位48岁女性乳癌患者。;细胞传代方法:消化3-5分钟,1:2,3天内可长满;细胞生长特性:贴壁生长;细胞形态特性:上皮样;相关细胞有:LA-N-1Cells、PC615.3Cells、AG06814-N细胞

SRS-82Cells;细胞背景资料:详见相关文献介绍;细胞传代方法:1:2-1:3传代;每周换液2-3次。;细胞生长特性:贴壁或悬浮,详见细胞说明书部分;细胞形态特性:详见细胞说明书;相关细胞有:BIC-1Cells、MDA-MB415Cells、UMNSAH-DF-1细胞

MN9DCells;细胞背景资料:多巴胺能神经元Cells;细胞传代方法:1:2-1:3传代;每周换液2-3次。;细胞生长特性:贴壁;细胞形态特性:详见细胞说明书;相关细胞有:U251nCells、Vero from pool #76Cells、HAPI细胞

SEG-1Cells;细胞背景资料:食管腺癌;胸腔积液转移;男性;细胞传代方法:1:2-1:3传代;每周换液2-3次。;细胞生长特性:贴壁;细胞形态特性:详见细胞说明书;相关细胞有:H-1522Cells、CNLMG-B5537SKINCells、AR4-2J细胞

MOLP2Cells;细胞背景资料:骨髓瘤;男性;细胞传代方法:1:2-1:3传代;每周换液2-3次。;细胞生长特性:悬浮;细胞形态特性:详见细胞说明书;相关细胞有:MDA231Cells、Panc2.03Cells、PTK1细胞

U-118-MGCells;细胞背景资料:注意: 据报道来自不同个体的胶质母细胞瘤细胞株U-118 MG (HTB-15) 和 U-138 MG (HTB-16)有着一致的VNTR和相近的STR模式。 U-118 MG 和 U-138 MG细胞遗传学上很相似并有至少六个衍生标记染色体。 这是1966年至1969年间J. Ponten和同事从恶性神经胶质瘤中构建的细胞株中的一株(其它包括ATCC HTB-14和 ATCC HTB-16 and ATCC HTB-17)。 1987年用BM-Cycline培养6周去除了支原体污染。 ;细胞传代方法: 消化3-5分钟。1:2传代。3天内可长满。;细胞生长特性:贴壁生长;细胞形态特性:混合型;相关细胞有:KP4Cells、Hs611TCells、NB-9细胞

AROCells;细胞背景资料:甲状腺癌;女性;细胞传代方法:1:2-1:3传代;每周换液2-3次。;细胞生长特性:贴壁;细胞形态特性:详见细胞说明书;相关细胞有:2PK3Cells、MOLM-14Cells、A375.S2细胞

OVCAR.4Cells;细胞背景资料:详见相关文献介绍;细胞传代方法:1:2-1:3传代;每周换液2-3次。;细胞生长特性:贴壁或悬浮,详见细胞说明书部分;细胞形态特性:详见细胞说明书;相关细胞有:CCRF/CEMCells、BeWoCells、MDCC MSB1细胞

HCC1833Cells;细胞背景资料:详见相关文献介绍;细胞传代方法:1:2-1:3传代;每周换液2-3次。;细胞生长特性:贴壁或悬浮,详见细胞说明书部分;细胞形态特性:详见细胞说明书;相关细胞有:HBL-100Cells、NGECCells、HUT-125细胞

NCI-H2591 Cells|人肺癌克隆细胞

ROS-17/2.8Cells;细胞背景资料:骨肉瘤;ACI 9935;细胞传代方法:1:2-1:3传代;每周换液2-3次。;细胞生长特性:贴壁;细胞形态特性:详见细胞说明书;相关细胞有:MDA2BCells、COLO 824Cells、GM03570E细胞

Stanford University-Diffuse Histiocytic Lymphoma-4Cells;细胞背景资料:详见相关文献介绍;细胞传代方法:1:2-1:3传代;每周换液2-3次。;细胞生长特性:悬浮;细胞形态特性:淋巴母Cells;相关细胞有:MDA-MB361Cells、SW-837Cells、Cloudman M3细胞

SUDHL-1Cells;细胞背景资料:间变性大细胞淋巴瘤;胸腔积液转移;男性;细胞传代方法:1:2-1:3传代;每周换液2-3次。;细胞生长特性:悬浮;细胞形态特性:详见细胞说明书;相关细胞有:NCI-SNU-119Cells、JIMT-1Cells、COS1细胞

COLO 699Cells;细胞背景资料:详见相关文献介绍;细胞传代方法:1:2-1:3传代;每周换液2-3次。;细胞生长特性:贴壁或悬浮,详见细胞说明书部分;细胞形态特性:详见细胞说明书;相关细胞有:TE671/RDCells、UCD-MLA-144Cells、ZR-75-30细胞

JB6Cl30Cells;细胞背景资料:详见相关文献介绍;细胞传代方法:1:2传代;细胞生长特性:贴壁生长;细胞形态特性:上皮样;相关细胞有:MLO-Y4Cells、H661Cells、DHL4细胞

H-1792Cells;细胞背景资料:详见相关文献介绍;细胞传代方法:1:3-1:8传代。;细胞生长特性:贴壁生长;细胞形态特性:上皮细胞样;相关细胞有:Detroit 562Cells、NTERA-2 clone D1Cells、HuPT3细胞

GM02219Cells;细胞背景资料:MOLT-4与MOLT-3来源于一名19岁的男性急性淋巴细胞性白血病的复发患者,该患者前期接受过多种药物联合化疗。MOLT-4细胞系为T淋巴细胞起源,p53基因的第248位密码子有一个G→A突变,不表达p53,不表达免疫球蛋白或EB病毒;可产生高水平的末端脱氧核糖转移酶;表达CD1(49%),CD2(35%),CD3A(26%)B(33%)C(34%),CD4(55%),CD5(72%),CD6(22%),CD7(77%)。;细胞传代方法:1:2传代;细胞生长特性:悬浮生长;细胞形态特性:淋巴母细胞样;圆形;相关细胞有:KMY1022Cells、KP-2Cells、MDA 231-LM2-4175细胞

GM02219Cells;细胞背景资料:MOLT-4与MOLT-3来源于一名19岁的男性急性淋巴细胞性白血病的复发患者,该患者前期接受过多种药物联合化疗。MOLT-4细胞系为T淋巴细胞起源,p53基因的第248位密码子有一个G→A突变,不表达p53,不表达免疫球蛋白或EB病毒;可产生高水平的末端脱氧核糖转移酶;表达CD1(49%),CD2(35%),CD3A(26%)B(33%)C(34%),CD4(55%),CD5(72%),CD6(22%),CD7(77%)。;细胞传代方法:1:2传代;细胞生长特性:悬浮生长;细胞形态特性:淋巴母细胞样;圆形;相关细胞有:KMY1022Cells、KP-2Cells、MDA 231-LM2-4175细胞

A375.S2Cells;细胞背景资料:详见相关文献介绍;细胞传代方法:1:2传代;细胞生长特性:贴壁生长;细胞形态特性:上皮样;相关细胞有:DMS-153Cells、NH6Cells、NOZAWA细胞

Fox/NYCells;细胞背景资料:详见相关文献介绍;细胞传代方法:1:2-1:3传代;每周换液2-3次。;细胞生长特性:贴壁或悬浮,详见细胞说明书部分;细胞形态特性:详见细胞说明书;相关细胞有:ZR751Cells、HCS-2/8Cells、SNB-19细胞

H-1417Cells;细胞背景资料:小细胞肺癌;女性;细胞传代方法:1:2-1:3传代;每周换液2-3次。;细胞生长特性:贴壁;细胞形态特性:详见细胞说明书;相关细胞有:CFPAC1Cells、NCIH1581Cells、KOSC-2 cl3-43细胞

MASMCCells;细胞背景资料:气道平滑肌;细胞传代方法:1:2-1:3传代;每周换液2-3次。;细胞生长特性:贴壁;细胞形态特性:详见细胞说明书;相关细胞有:MDA-MB-468-REDCells、K562/ADRCells、RPMI8226细胞

HDF-aCells;细胞背景资料:详见相关文献介绍;细胞传代方法:1:2-1:3传代;每周换液2-3次。;细胞生长特性:贴壁或悬浮,详见细胞说明书部分;细胞形态特性:详见细胞说明书;相关细胞有:MDA-330Cells、HCC-38Cells、MILE SVEN 1细胞

LICR-HN6Cells;细胞背景资料:舌鳞癌;男性;细胞传代方法:1:2-1:3传代;每周换液2-3次。;细胞生长特性:贴壁;细胞形态特性:详见细胞说明书;相关细胞有:NK10aCells、MD Anderson-Metastatic Breast-468Cells、T-ALL 1细胞

Reuber H35Cells;细胞背景资料:在糖皮质激素、胰岛素或cAMP衍生物的诱导下可以产生酪酸基转移酶;可被逆转录病毒感染;可产生白蛋白、转铁蛋白、凝血酶原;在AxC大鼠中可以成瘤。;细胞传代方法:1:2传代;细胞生长特性:贴壁生长;细胞形态特性:上皮样;相关细胞有:TC-1[JHU-1]Cells、M-1 myeloid leukemiaCells、JM细胞

HT1376Cells;细胞背景资料:详见相关文献介绍;细胞传代方法:1:2传代;细胞生长特性:贴壁生长;细胞形态特性:详见细胞说明书;相关细胞有:RH30SJCells、RL-65Cells、NK62a细胞

NTera-2D1Cells;细胞背景资料:详见相关文献介绍;细胞传代方法:1:2-1:3传代;每周换液2-3次。;细胞生长特性:贴壁或悬浮,详见细胞说明书部分;细胞形态特性:详见细胞说明书;相关细胞有:HuH7Cells、NALM-6-M1Cells、TKB1细胞

GM00215Cells;细胞背景资料:肺;自发永生;雄性;细胞传代方法:1:2-1:3传代;每周换液2-3次。;细胞生长特性:贴壁;细胞形态特性:详见细胞说明书;相关细胞有:OS-RC-2Cells、NCIH524Cells、OCI AML2细胞

PAaCells;细胞背景资料:肺腺癌;细胞传代方法:1:2-1:3传代;每周换液2-3次。;细胞生长特性:贴壁;细胞形态特性:详见细胞说明书;相关细胞有:ML2Cells、HCC2218Cells、C-8161细胞

RBL 1Cells;细胞背景资料:详见相关文献介绍;细胞传代方法:1:2-1:3传代;每周换液2-3次。;细胞生长特性:贴壁或悬浮,详见细胞说明书部分;细胞形态特性:详见细胞说明书;相关细胞有:DMS79Cells、NIH-OVCAR-3Cells、HeLa S-3细胞

Colo741Cells;细胞背景资料:详见相关文献介绍;细胞传代方法:1:2传代;细胞生长特性:贴壁生长;细胞形态特性:详见细胞说明书;相关细胞有:KYSE-410Cells、EnCa1Cells、TE671细胞

RDES-1Cells;细胞背景资料:详见相关文献介绍;细胞传代方法:1:8传代:每周换液2-3次;细胞生长特性:贴壁和悬浮混合;细胞形态特性:上皮样;相关细胞有:HuT 78Cells、U-373-MGCells、C-Lu-65细胞

SKNASCells;细胞背景资料:详见相关文献介绍;细胞传代方法:1:5-1:10传代;每周换液2-3次。;细胞生长特性:贴壁生长;细胞形态特性:上皮样;相关细胞有:SNK-6Cells、Super TubeCells、NIH:OVCAR4细胞

C81-61Cells;细胞背景资料:皮肤黑色素瘤;腹壁转移;女性;细胞传代方法:1:2-1:3传代;每周换液2-3次。;细胞生长特性:贴壁;细胞形态特性:详见细胞说明书;相关细胞有:JB 6Cells、Hs 445Cells、Panc8.13细胞

RT 112Cells;细胞背景资料:详见相关文献介绍;细胞传代方法:1:2-1:3传代;每周换液2-3次。;细胞生长特性:贴壁或悬浮,详见细胞说明书部分;细胞形态特性:详见细胞说明书;相关细胞有:PLC/PRF5Cells、H-2291Cells、KYSE0520细胞

HT-1376Cells;细胞背景资料:详见相关文献介绍;细胞传代方法:1:2传代;细胞生长特性:贴壁生长;细胞形态特性:详见细胞说明书;相关细胞有:SUSM1Cells、NCI-H716Cells、KBM7细胞

C127Cells;细胞背景资料:详见相关文献介绍;细胞传代方法:1:2-1:3传代;每周换液2-3次。;细胞生长特性:贴壁或悬浮,详见细胞说明书部分;细胞形态特性:详见细胞说明书;相关细胞有:M 1Cells、PTK 1Cells、TE6细胞

HNTECCells;细胞背景资料:详见相关文献介绍;细胞传代方法:1:2-1:3传代;每周换液2-3次。;细胞生长特性:贴壁或悬浮,详见细胞说明书部分;细胞形态特性:详见细胞说明书;相关细胞有:MES-SACells、NRK clone 52ECells、MCM细胞

H-647Cells;细胞背景资料:详见相关文献介绍;细胞传代方法:1:3-1:6传代;每周换液2次。;细胞生长特性:贴壁生长;细胞形态特性:详见细胞说明书;相关细胞有:Kit225/K6Cells、P3X63 AG 8.653Cells、NRK49F细胞

GM3570Cells;细胞背景资料:详见相关文献介绍;细胞传代方法:1:2-1:3传代;每周换液2-3次。;细胞生长特性:贴壁或悬浮,详见细胞说明书部分;细胞形态特性:详见细胞说明书;相关细胞有:HS-729Cells、OCILY10Cells、GM02132细胞

MKN1Cells;细胞背景资料:详见相关文献介绍;细胞传代方法:1:2传代;细胞生长特性:贴壁生长;细胞形态特性:上皮Cells;相关细胞有:MDCK2Cells、KLN-205Cells、Ly3细胞

N9Cells;细胞背景资料:小胶质Cells;雄性;CD-1;细胞传代方法:1:2-1:3传代;每周换液2-3次。;细胞生长特性:半贴壁;细胞形态特性:详见细胞说明书;相关细胞有:KBCells、KU-812-FCells、HT144mel细胞

CAL78Cells;细胞背景资料:软骨肉瘤;男性;细胞传代方法:1:2-1:3传代;每周换液2-3次。;细胞生长特性:贴壁;细胞形态特性:详见细胞说明书;相关细胞有:MFE-296Cells、Hs 737.TCells、OEC19细胞

"


NCI-H2591 Cells|人肺癌克;

公司简介

上海冠导生物工程有限公司,先后从ATCC、DSMZ、ECACC、RIKEN、PromoCell、ScienCell、JCRB等国内外细胞库引进细胞2000余株。以此为契机,公司组建了冠导细胞库,我司细胞均由资深细胞培养工程师进行培养。我司可以提供的细胞有:①细胞系②原代细胞③稳转株④耐药株⑤标记细胞⑥细胞配套试剂等。

成立日期 (11年)
注册资本 100万(元)
员工人数 50-100人
年营业额 ¥ 1000万-5000万
经营模式 工厂,试剂,定制,服务
主营行业 细胞培养,微生物学,细胞生物学

NCI-H2591 Cells|人肺癌克隆细胞相关厂家报价

内容声明
拨打电话 立即询价