基本信息 产品详情 公司简介 推荐产品
网站主页 化工产品目录 生物 细胞培养 细胞系 小鼠细胞系 HCA-F CELLS|小鼠肝癌贴壁细胞 Hca-F Cells|小鼠肝癌克隆细胞
  • Hca-F Cells|小鼠肝癌克隆细胞

Hca-F Cells|小鼠肝癌克隆细胞

Hca-F Cells
询价 1000000细胞数 起订
2000000细胞数 起订
上海 更新日期:2026-04-29

上海冠导生物工程有限公司

VIP6年
联系人:全经理
电话:18818239863拨打
邮箱:3171921642@qq.com

产品详情:

中文名称:
Hca-F Cells|小鼠肝癌克隆细胞
英文名称:
Hca-F Cells
保存条件:
常温培养或液氮冻存
纯度规格:
Hca-F Cells|小鼠肝癌克隆细胞
产品类别:
生化试剂

"Hca-F Cells|小鼠肝癌克隆细胞

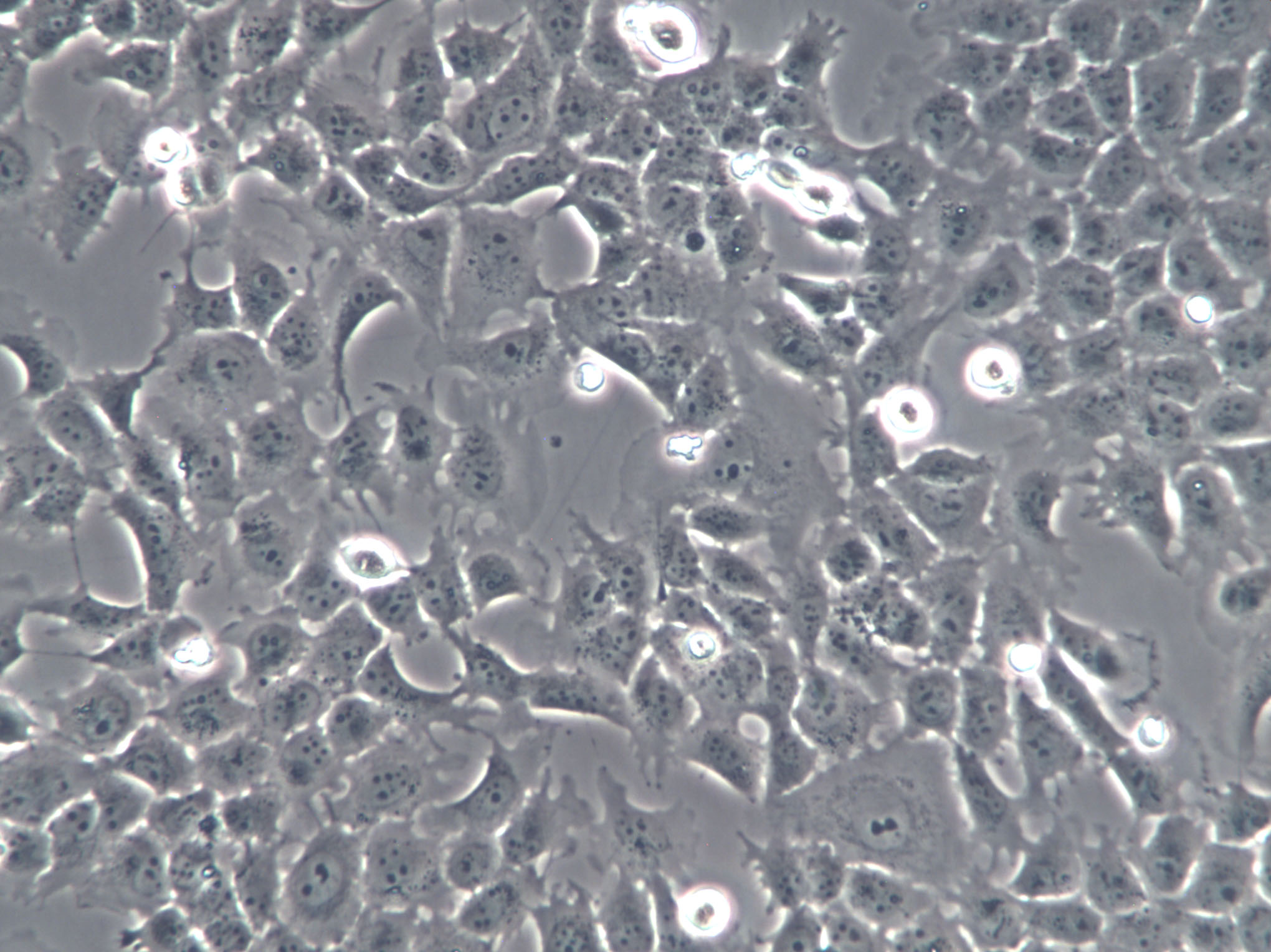
细胞形态:上皮细胞样

细胞生长:贴壁

目前,细胞冻存常用的技术是液氮冷冻保存法,主要采用加适量保护剂的缓慢冷冻法冻存细胞。细胞在不加任何保护剂的情况下直接冷冻,细胞内外的水分会很快形成冰晶,从而引起一系列不良反应。如细胞脱水使局部电解质浓度增GAO,pH值改变,部分蛋白质由于上述原因而变性,引起细胞内部空间结构紊乱,溶酶体膜由此遭到损伤而释放出溶酶体酶,使细胞内结构成分造成破坏,线粒体肿胀,功能丢失,并造成能量代谢障碍。胞膜上的类脂蛋白复合体也易破坏引起细胞膜通透性的改变,使细胞内容物丢失。如果细胞内冰晶形成较多,随冷冻温度的降低,冰晶体积膨胀造成细胞核DNA空间构型发生不可逆的损伤,而致细胞死亡。因此,细胞冷冻技术的关键是尽可能地减少细胞内水分,减少细胞内冰晶的形成。通常采用甘油或二甲基亚砜(DMSO)作保护剂,这两种物质分子量小,溶解度大,易穿透细胞,可以使冰点下降,提GAO细胞膜对水的通透性,且对细胞无明显毒性。慢速冷冻方法又可使细胞内的水分渗出细胞外,减少胞内形成冰结晶的机会,从而减少冰晶对细胞的损伤。

EVSATCells;细胞背景资料:乳腺癌;腹水转移;女性;细胞传代方法:1:2-1:3传代;每周换液2-3次。;细胞生长特性:贴壁;细胞形态特性:详见细胞说明书;相关细胞有:MB49Cells、HCC0044Cells、PVEC细胞

DHL-4Cells;细胞背景资料:详见相关文献介绍;细胞传代方法:1:2-1:3传代;每周换液2-3次。;细胞生长特性:悬浮;细胞形态特性:淋巴母Cells;相关细胞有:NTHY-ORI3.1Cells、Panc-813Cells、H2110细胞

OsACLCells;细胞背景资料:详见相关文献介绍;细胞传代方法:1:5-1:10传代;每周换液2-3次。;细胞生长特性:贴壁生长;细胞形态特性:成纤维Cells;相关细胞有:Instituto Biologico-Rim Suino-2Cells、LU65Cells、SUM-159-PT细胞

HFBCells;细胞背景资料:皮肤成纤维Cells;细胞传代方法:1:2-1:3传代;每周换液2-3次。;细胞生长特性:贴壁;细胞形态特性:详见细胞说明书;相关细胞有:SNU484Cells、SUSM-1Cells、BA/F3细胞

细胞物种来源:人源或鼠源等其它物种来源

Hca-F Cells|小鼠肝癌克隆细胞

[细胞产品包装]鲜活细胞:T25培养瓶(一瓶)或冻存细胞:1ml冻存管(两支)

细胞常用保藏方法和点:-196℃液氮保存,冻存流程:手动程序降温:4℃(30分钟),-20℃(1小时),-80℃(过夜),移至-196℃液氮中保存。自动程序降温:冷冻管置于已设定HAO程序(按 1-3*C/min速率降至-120°C)的等速降温机中,再安置于液氮罐上。待程序完毕后,移除等速降温机,长期保存。点:操作相对复杂,需要程序降温。依赖液氮,需定期检查液氮罐,补加液氮。使用范围大,大部分细胞可以采用液氮保藏。设定-80℃超低温冰箱,冻存流程:收集对数生长期的细胞,用无血清细胞冻存液重悬细胞,置于冻存管中,不需预冷,直接-80℃冷冻长期保存。设定-80℃超低温冰箱。点:操作简单,无需程序降温;成分明确,不含血清,较少支原体等其他微生物污染。细胞使用范围小,对于大部分细胞冻存效果不佳。

细胞背景资料:肝癌

HEK-293ACells;细胞背景资料:胚肾;腺病毒包装;细胞传代方法:1:2-1:3传代;每周换液2-3次。;细胞生长特性:贴壁;细胞形态特性:详见细胞说明书;相关细胞有:ECV-304Cells、U-373 MGCells、KPL-4细胞

MC 3T3-E1Cells;细胞背景资料:该细胞有多个亚克隆,可以作为体外研究成骨细胞分化的良好模型,尤其是ECM信号通路的作用。;细胞传代方法:1:2传代;细胞生长特性:贴壁生长;细胞形态特性:成纤维细胞样;相关细胞有:SUNE1Cells、WBF344Cells、OE19细胞

SKNDZCells;细胞背景资料:详见相关文献介绍;细胞传代方法:1:2传代;细胞生长特性:贴壁生长;细胞形态特性:详见细胞说明书;相关细胞有:751-NA-15Cells、HCC366Cells、PFSK-1细胞

MDA MB 175 VIICells;细胞背景资料:该细胞源自一位54岁患有乳腺导管癌白人女性的胸腔积液。;细胞传代方法:1:2—1:6传代,每周换液2—3次;细胞生长特性:松散贴壁生长;细胞形态特性:上皮细胞样;相关细胞有:Ontario Cancer Institute-Acute Myeloid Leukemia-5Cells、H-1623Cells、TO 175.T细胞

细胞传代方法:1:2-1:3传代;每周换液2-3次。

Hca-F Cells|小鼠肝癌克隆细胞

细胞来源说明:来源于RCB、ATCC、KCLB、DSMZ、ECACC、INCell、ScienCell、ECACC、JCRB、Asterand、ICLC等知名细胞库

原代细胞与细胞系有什么区别?细胞培养物来源于原代外植体或分散的细胞悬液。通常在这样的培养物中细胞增殖形成汇合地单层细胞或密集地细胞悬液。根据传统定义,次收获和接种的细胞被称为原代细胞[Freshney, R.I. (1987). Culture of Animal Cells. A Manual of Basic Technique. (New York, Alan R. Liss, Inc.)].这类细胞生命周期有限,在有限的生命周期内需掌握HAO细胞大的生长空间,以保持细胞群中基因型和表型的一致性。细胞系是不断生长,分化的细胞群,因其经过遗传改造,致使其具有无限增长的潜能。体外生长的细胞系用于医疗或科研。实际上,连续细胞系可以用大量次培养基培养,随着代数的增加细胞的基因型和表型都有可能发生改变。需要指出的是,在不同的科研小组中这些术语的定义会有所不同。许多研究员不用细胞系这个词表示细胞群除非细胞经过了遗传改造。

细胞生长特性:贴壁

细胞传代比例:对于有限细胞系,传代时以二、四、八或十六倍(传代比率分别是2、4、8和16)降低细胞密度,计算群体倍增数更容易(即分别是传代比率2对应1次倍增,4对应2次倍增,8对应3次倍增,16对应4次倍增);例如,一传八的培养物需要3次倍增才能达到原来相同的细胞密度。脆弱的或生长缓慢的细胞系通常一传二,而有活力的,生长快速的细胞系可以一传八,甚至一传十六。有些连续细胞系可一传五十或一传100。一旦细胞系变为连续细胞系(通常经过150次或200次倍增以上),细胞浓度是主要参数,培养浓度应降至10(4)/ml--10(5)/ml之间。可选择传代间隔合适的传代比率或稀释度,或许为1周或2周,同时要保证:细胞密度不可稀释过低,使其延迟期合理(在24小时以内),可重新进入生长周期;而且在下次传代前不进人平台期。

KYSE 180细胞类似产品::H2108细胞、OVCAR-8细胞、SBC-3细胞

PLA801-95D细胞类似产品::SJSA细胞、Panc05.04细胞、MPC 11细胞

B16-F10细胞类似产品::Sp2/mIL-6细胞、HEK293-A细胞、EU-4细胞

Duke University 145细胞类似产品::M619细胞、D-283 Med细胞、Japanese Tissue Culture-39细胞

NRCC细胞类似产品::Fu97细胞、8505C细胞、COLO320HSR细胞

CT26WT细胞类似产品::RAW-264.7细胞、hRMECs细胞、P3JHR-1细胞

RAOEC细胞类似产品::KNS62细胞、WSU-HN13细胞、H-1355细胞

LS 123细胞类似产品::LS1034细胞、GRSL细胞、YTMLC-90细胞

PA-TU-8988S细胞类似产品::NCI-H2286细胞、OVCA 420细胞、MDA1386细胞

5637细胞类似产品::2T细胞、H292细胞、SUP T1细胞

Hca-F Cells|小鼠肝癌克隆细胞

Neuro-2a细胞类似产品::HBSMC细胞、IOSE80细胞、Madin Darby Bovine Kidney细胞

HL7702细胞类似产品::HPAFII细胞、MCAEC细胞、H-1373细胞

SHI-1细胞类似产品::T24(ECV304)细胞、C32r细胞、A 172细胞

HCO细胞类似产品::SNU368细胞、Wien 133细胞、SJSA-1细胞

624-mel细胞类似产品::HSC-5 [Human skin squamous cell carcinoma]细胞、aNK细胞、NUGC-2细胞

HS-695T细胞类似产品::HCV29细胞、SCC 25细胞、L M (TK-)细胞

HS-695T细胞类似产品::HCV29细胞、SCC 25细胞、L M (TK-)细胞

UCLA-RO 81细胞类似产品::M-14细胞、HTori:3细胞、MDA.MB.231细胞

JROECL 33细胞类似产品::HOCF细胞、BHK细胞、C3H10T1/2CL8细胞

N-Tera-2细胞类似产品::RBL-2H3细胞、IEC 18细胞、PC-3M IE8细胞

H-1975细胞类似产品::SK-MEL-28细胞、U-343-MG细胞、PT67细胞

SK-N-SH细胞类似产品::Moorfields/Institute of Ophthalmology-Muller 1细胞、DMS-79细胞、STC-1细胞

Hu-P-T3细胞类似产品::OCM1细胞、NCI-H28细胞、526mel细胞

COS1细胞类似产品::Pa14C细胞、H-1373细胞、YT细胞

L929细胞类似产品::NCI-H1792细胞、HuCC-T1细胞、293 EBNA细胞

NIH:OVCAR4细胞类似产品::Ly8细胞、CHL-1细胞、DK-MG细胞

SK-N-BE-2c细胞类似产品::H-1915细胞、Human Foreskin Fibroblast细胞、ABC-1细胞

VA-ES-BJ细胞类似产品::SK-Col-1细胞、SW480细胞、H.Ep. No. 2细胞

LS 180细胞类似产品::HT-1080细胞、MODE-K细胞、H-661细胞

CNE细胞类似产品::JB6Cl30细胞、SP-2细胞、MC26细胞

PK(15)细胞类似产品::SW403细胞、T/G HA-VSMC细胞、BGC823细胞

UACC 893细胞类似产品::M2-10B4细胞、RT-BM-1细胞、293S细胞

Capan1细胞类似产品::SK-RC-20细胞、UWB1-289细胞、HRMC细胞

HRVEC细胞类似产品::CCK-81细胞、COLO_320DM细胞、L-6细胞

HFL1细胞类似产品::MC3T3细胞、COLO-684细胞、SKO-007细胞

LAN6细胞类似产品::TE-8细胞、AD-293细胞、U373细胞

H-87细胞类似产品::Panc813细胞、Karpas299细胞、ZR75-30细胞

MGH-U1 (EJ)细胞类似产品::Lewis lung carcinoma line 1细胞、HBL-100细胞、H1436细胞

130 T细胞类似产品::H2106细胞、3396细胞、MDAMB231细胞

LA795细胞类似产品::Vero from pool #76细胞、HLF-a细胞、OVCAR-5细胞

SK_N_BE2C细胞类似产品::MSTO-211 H细胞、NCI-H865细胞、NCIH2126细胞

He La细胞类似产品::C81-61细胞、EST50细胞、M210B4细胞

MDA MB 231细胞类似产品::L5178Y-R细胞、MX1细胞、E.G7-OVA细胞

L-M (TK-)细胞类似产品::Sp2/0细胞、SKGT2细胞、SKG IIIa细胞

HEL 299细胞类似产品::H2085细胞、MM.1S细胞、L-5178-Y细胞

NCIH1105细胞类似产品::ST 486细胞、CT26.WT细胞、H-1299细胞

HLEC细胞类似产品::50.B1细胞、HEK293A细胞、KE-39细胞

HBL100细胞类似产品::PLB985细胞、Mel RM细胞、SU-DHL-10细胞

SKRC-42细胞类似产品::H-1618细胞、Ra No. 1细胞、NK-92MI细胞

WiDrTC细胞类似产品::SNU-251细胞、H-1954细胞、CHO-K1细胞

MSTO-211H细胞类似产品::H-748细胞、Bx-PC3细胞、ECGI10细胞

LS 180细胞类似产品::HT-1080细胞、MODE-K细胞、H-661细胞

alphaTC1 Clone 6细胞类似产品::CCRF.CEM细胞、HBE135-E6E7细胞、ZR-75-1细胞

PLA801C细胞类似产品::MBT-2细胞、CCD-19Lu细胞、Experimental Mammary Tumour-6细胞

KLN-205细胞类似产品::RCS细胞、H1437细胞、Centre Antoine Lacassagne-51细胞

HSAS1细胞类似产品::hEM15A细胞、NSH细胞、rHSC-99细胞

G-292, clone A141B1细胞类似产品::Hs 766.T细胞、SCC-1395细胞、MT4细胞

CMKCells;细胞背景资料:详见相关文献介绍;细胞传代方法:1:2-1:3传代;每周换液2-3次。;细胞生长特性:贴壁或悬浮,详见细胞说明书部分;细胞形态特性:详见细胞说明书;相关细胞有:LS-411Cells、CV-1Cells、NCI-H128细胞

Med 341Cells;细胞背景资料:详见相关文献介绍;细胞传代方法:每周换液2-3次。;细胞生长特性:悬浮生长;细胞形态特性:髓母细胞样;相关细胞有:373MGCells、HG2855Cells、U-87 MG细胞

GM00215ACells;细胞背景资料:肺;自发永生;雄性;细胞传代方法:1:2-1:3传代;每周换液2-3次。;细胞生长特性:贴壁;细胞形态特性:详见细胞说明书;相关细胞有:HOSEpiCCells、H2122Cells、GM02219D细胞

JurkatE6-1Cells;细胞背景资料:详见相关文献介绍;细胞传代方法:1:2-1:3传代;每周换液2-3次。;细胞生长特性:贴壁或悬浮,详见细胞说明书部分;细胞形态特性:详见细胞说明书;相关细胞有:Walker-256-TCCells、NR8383.1Cells、28SC细胞

HELFCells;细胞背景资料:详见相关文献介绍;细胞传代方法:1:2传代;细胞生长特性:贴壁生长 ;细胞形态特性:详见细胞说明书;相关细胞有:BAR-TCells、MBT-2Cells、CAL-120细胞

SW-780Cells;细胞背景资料:详见相关文献介绍;细胞传代方法:1:2-1:3传代;每周换液2-3次。;细胞生长特性:贴壁或悬浮,详见细胞说明书部分;细胞形态特性:详见细胞说明书;相关细胞有:U-251 MGCells、Kasumi 1Cells、ID8细胞

MIA-Pa-Ca-2Cells;细胞背景资料:详见相关文献介绍;细胞传代方法:1:2传代;;细胞生长特性:贴壁生长;细胞形态特性:详见细胞说明书;相关细胞有:451-LUCells、JEG-3Cells、Panc 08.13细胞

Capan 1Cells;细胞背景资料:详见相关文献介绍;细胞传代方法:1:2-1:4传代,2-3天换液1次。;细胞生长特性:贴壁生长;细胞形态特性:上皮Cells;相关细胞有:CAOV3Cells、BHP 10-3Cells、NCI-SNU-5细胞

Walker256Cells;细胞背景资料:腹水癌;细胞传代方法:1:2-1:3传代;每周换液2-3次。;细胞生长特性:贴壁;细胞形态特性:详见细胞说明书;相关细胞有:NCI-H1993Cells、kms 11Cells、624mel细胞

Hca-F Cells|小鼠肝癌克隆细胞

H-650Cells;细胞背景资料:详见相关文献介绍;细胞传代方法:1:3-1:6传代;;细胞生长特性:悬浮生长;细胞形态特性:球形的;相关细胞有:LCLC103HCells、ARO 81-1Cells、AtT 20细胞

Capan-2Cells;细胞背景资料:详见相关文献介绍;细胞传代方法:1:2-1:4传代,2-3天换液1次。;细胞生长特性:贴壁生长;细胞形态特性:多边形;相关细胞有:H-1341Cells、NOR 10Cells、NG10815细胞

MC-3T3Cells;细胞背景资料:详见相关文献介绍;细胞传代方法:1:2-1:3传代;每周换液2-3次。;细胞生长特性:贴壁或悬浮,详见细胞说明书部分;细胞形态特性:详见细胞说明书;相关细胞有:CESSCells、A-172MGCells、RFL 6细胞

MDA-MB-453Cells;细胞背景资料:该细胞系由CailleauR在1976年从一名48岁的患有转移性乳腺癌的白人女性的心包渗出液中分离建立的。该细胞表达FGF的受体。;细胞传代方法:1:2-1:4传代;2-3天换液1次;细胞生长特性:贴壁生长;细胞形态特性:上皮样;多角形;相关细胞有:H-2444Cells、C57 Mouse Tumor 64Cells、HS-729细胞

RGM1Cells;细胞背景资料:胃黏膜;上皮Cells;自发永生;Wistar;细胞传代方法:1:2-1:3传代;每周换液2-3次。;细胞生长特性:贴壁;细胞形态特性:详见细胞说明书;相关细胞有:C1RCells、HT-29Cells、SKMel-28细胞

Mv.1.LuCells;细胞背景资料:详见相关文献介绍;细胞传代方法:1:2-1:3传代;每周换液2-3次。;细胞生长特性:贴壁或悬浮,详见细胞说明书部分;细胞形态特性:详见细胞说明书;相关细胞有:YACCells、BC-027Cells、LICCF细胞

HCC-827Cells;细胞背景资料:这株细胞建于1994年三月。这株肺腺癌在EGFR酪酸激酶区域有一个获得性突变(E746-A750缺失)。患者在25岁到26岁时每个月抽1包烟。在诊断前12年不再抽烟。;细胞传代方法:消化5分钟。1:2。4-5天长满。;细胞生长特性:贴壁生长;细胞形态特性:上皮细胞样;相关细胞有:MCF-7BCells、NCI-H1341Cells、SW 527细胞

HCC-827Cells;细胞背景资料:这株细胞建于1994年三月。这株肺腺癌在EGFR酪酸激酶区域有一个获得性突变(E746-A750缺失)。患者在25岁到26岁时每个月抽1包烟。在诊断前12年不再抽烟。;细胞传代方法:消化5分钟。1:2。4-5天长满。;细胞生长特性:贴壁生长;细胞形态特性:上皮细胞样;相关细胞有:MCF-7BCells、NCI-H1341Cells、SW 527细胞

KMM-1Cells;细胞背景资料:骨髓瘤;细胞传代方法:1:2-1:3传代;每周换液2-3次。;细胞生长特性:悬浮;细胞形态特性:详见细胞说明书;相关细胞有:MCF12FCells、RPMI 2650Cells、CCRFCEM细胞

KYSE-450Cells;细胞背景资料:详见相关文献介绍;细胞传代方法:1:2传代;细胞生长特性:贴壁生长;细胞形态特性:详见细胞说明书;相关细胞有:MHHCALL2Cells、LA-N-1Cells、SW480细胞

OB2Cells;细胞背景资料:详见相关文献介绍;细胞传代方法:每周2-3次。;细胞生长特性:悬浮生长;细胞形态特性:淋巴母Cells;相关细胞有:Lieming Xu-2Cells、OCI/AML4Cells、A2780细胞

TI-73Cells;细胞背景资料:详见相关文献介绍;细胞传代方法:1:2-1:4传代;每周换液2-3次。;细胞生长特性:贴壁生长;细胞形态特性:成纤维Cells;相关细胞有:Hep 3B2.1-7Cells、KS-SLKCells、P3J.HR1K细胞

MUTZ-3Cells;细胞背景资料:详见相关文献介绍;细胞传代方法:1:2-1:3传代;细胞生长特性:悬浮生长;细胞形态特性:淋巴母Cells;相关细胞有:H1915Cells、NCIH1734Cells、DV-90细胞

VP 229Cells;细胞背景资料:详见相关文献介绍;细胞传代方法:1:2-1:3传代;每周换液2-3次。;细胞生长特性:贴壁或悬浮,详见细胞说明书部分;细胞形态特性:详见细胞说明书;相关细胞有:COLO-680NCells、BTI-Tn-5B1-4Cells、UM-UC3细胞

QBI-HEK 293ACells;细胞背景资料:胚肾;腺病毒包装;细胞传代方法:1:2-1:3传代;每周换液2-3次。;细胞生长特性:贴壁;细胞形态特性:详见细胞说明书;相关细胞有:EU-2Cells、MN9DCells、CHAGOK1细胞

SP-2Cells;细胞背景资料:该细胞是由绵羊红细胞免疫的BALB/c小鼠脾细胞和P3X63Ag8骨髓瘤细胞融合得到的。该细胞不分泌免疫球蛋白,对20μg/ml的8-氮鸟嘌呤有抗性,对HAT比较敏感;该细胞可以作为细胞融合时的B细胞组分用于制备杂交瘤;鼠痘病毒阴性。;细胞传代方法:1:2传代;细胞生长特性:悬浮生长;细胞形态特性:淋巴母细胞样;圆形;相关细胞有:FBHECells、U-226AR1Cells、BNL 1ME A.7R.1细胞

Jurkat 77Cells;细胞背景资料:详见相关文献介绍;细胞传代方法:1:2-1:3传代;每周换液2-3次。;细胞生长特性:贴壁或悬浮,详见细胞说明书部分;细胞形态特性:详见细胞说明书;相关细胞有:QBI-293ACells、M.D. Anderson-Prostate Cancer-2bCells、Kupffer细胞

HANK1Cells;细胞背景资料:NK/T细胞淋巴瘤;女性;细胞传代方法:1:2-1:3传代;每周换液2-3次。;细胞生长特性:悬浮;细胞形态特性:详见细胞说明书;相关细胞有:MCA-38Cells、H-1781Cells、NCI-H322细胞

LCMSCells;细胞背景资料:详见相关文献介绍;细胞传代方法:每周换液2次。;细胞生长特性:贴壁生长;细胞形态特性:上皮细胞样;相关细胞有:KRC-YCells、Tj-905Cells、CT-26细胞

NBLSCells;细胞背景资料:详见相关文献介绍;细胞传代方法:1:2-1:3传代;每周换液2-3次。;细胞生长特性:贴壁或悬浮,详见细胞说明书部分;细胞形态特性:详见细胞说明书;相关细胞有:CEFCells、RT-BM 1Cells、RK 13细胞

H-23Cells;细胞背景资料:详见相关文献介绍;细胞传代方法:1:3传代;3-4天1次。;细胞生长特性:贴壁生长;细胞形态特性:上皮样;相关细胞有:L 363Cells、SK-N-BE(2C)Cells、NCI-H187细胞

CAKI 2Cells;细胞背景资料:该细胞源自一位69岁白人男性的初期肾腺癌组织;细胞传代方法:1:3—1:6传代,每周换液2—3次;细胞生长特性:贴壁生长;细胞形态特性:上皮细胞样;相关细胞有:RPMI-6666Cells、BNL 1MEA.7R.1Cells、CHL/IU细胞

Line 697Cells;细胞背景资料:B淋巴细胞白血病;男性;细胞传代方法:1:2-1:3传代;每周换液2-3次。;细胞生长特性:悬浮;细胞形态特性:详见细胞说明书;相关细胞有:HUT 226Cells、L-cellsCells、HeLa-S3细胞

L-Wnt3ACells;细胞背景资料:详见相关文献介绍;细胞传代方法:1:2-1:3传代;每周换液2-3次。;细胞生长特性:贴壁或悬浮,详见细胞说明书部分;细胞形态特性:详见细胞说明书;相关细胞有:Hk-2Cells、Hs1.TesCells、MUGCHOR1细胞

GFP-Olig2Cells;细胞背景资料:胚胎干Cells;129X1/SvJ;细胞传代方法:1:2-1:3传代;每周换液2-3次。;细胞生长特性:贴壁;细胞形态特性:详见细胞说明书;相关细胞有:hTERT-RPECells、AML 12Cells、NCIH1618细胞

CAL851Cells;细胞背景资料:详见相关文献介绍;细胞传代方法:1:2-1:3传代;每周换液2-3次。;细胞生长特性:贴壁或悬浮,详见细胞说明书部分;细胞形态特性:详见细胞说明书;相关细胞有:CPA 47Cells、SNU216Cells、hTERT-RPE-1细胞

UMNSAH-DF 1Cells;细胞背景资料:详见相关文献介绍;细胞传代方法:1:2传代;细胞生长特性:贴壁生长;细胞形态特性:成纤维母细胞样;相关细胞有:EOL1Cells、SK.MEL.2Cells、H2052_MM细胞

108CC15Cells;细胞背景资料:详见相关文献介绍;细胞传代方法:1:2-1:3传代;每周换液2-3次。;细胞生长特性:贴壁或悬浮,详见细胞说明书部分;细胞形态特性:详见细胞说明书;相关细胞有:OAW 42Cells、BHP10-3Cells、RT 112细胞

HGBECCells;细胞背景资料:详见相关文献介绍;细胞传代方法:1:2-1:3传代;每周换液2-3次。;细胞生长特性:贴壁或悬浮,详见细胞说明书部分;细胞形态特性:详见细胞说明书;相关细胞有:BEAS-2BCells、MGH-U1 (EJ)Cells、LNCaP C4-2B细胞

CA-46Cells;细胞背景资料:该细胞源自Burkitt's淋巴瘤患者的B淋巴细胞,EBNA、Fc阴性。;细胞传代方法:1:2传代;细胞生长特性:悬浮生长;细胞形态特性:淋巴母细胞样;相关细胞有:B-95-8Cells、DaoyCells、9L细胞

COV 504Cells;细胞背景资料:详见相关文献介绍;细胞传代方法:1:2传代;细胞生长特性:贴壁生长;细胞形态特性:上皮Cells;相关细胞有:HGBECCells、NCI-H520Cells、L-132细胞

NCI-H838Cells;细胞背景资料:该细胞于1984年建系,源于一位59岁患有非小细胞肺癌的白人男性吸烟者,从患者淋巴结转移灶分离而来。;细胞传代方法:1:3-1:6传代;2-3天换液1次。;细胞生长特性:贴壁生长;细胞形态特性:上皮样;相关细胞有:hTERT-RPE-1Cells、R1610Cells、Okayama University Medical School-23细胞

Reuber H35Cells;细胞背景资料:在糖皮质激素、胰岛素或cAMP衍生物的诱导下可以产生酪酸基转移酶;可被逆转录病毒感染;可产生白蛋白、转铁蛋白、凝血酶原;在AxC大鼠中可以成瘤。;细胞传代方法:1:2传代;细胞生长特性:贴壁生长;细胞形态特性:上皮样;相关细胞有:TC-1[JHU-1]Cells、M-1 myeloid leukemiaCells、JM细胞

"


Hca-F Cells|小鼠肝癌克隆细胞;

公司简介

上海冠导生物工程有限公司,先后从ATCC、DSMZ、ECACC、RIKEN、PromoCell、ScienCell、JCRB等国内外细胞库引进细胞2000余株。以此为契机,公司组建了冠导细胞库,我司细胞均由资深细胞培养工程师进行培养。我司可以提供的细胞有:①细胞系②原代细胞③稳转株④耐药株⑤标记细胞⑥细胞配套试剂等。

成立日期 (11年)
注册资本 100万(元)
员工人数 50-100人
年营业额 ¥ 1000万-5000万
经营模式 工厂,试剂,定制,服务
主营行业 细胞培养,微生物学,细胞生物学

Hca-F Cells|小鼠肝癌克隆细胞相关厂家报价

内容声明
拨打电话 立即询价