基本信息 产品详情 公司简介 推荐产品
网站主页 DAN-G CELLS|人胰腺癌贴壁细胞 DAN-G Cells|人胰腺癌克隆细胞
  • DAN-G Cells|人胰腺癌克隆细胞

DAN-G Cells|人胰腺癌克隆细胞

DAN-G Cells
询价 1000000细胞数 起订
2000000细胞数 起订
上海 更新日期:2026-04-29

上海冠导生物工程有限公司

VIP6年
联系人:全经理
电话:18818239863拨打
邮箱:3171921642@qq.com

产品详情:

中文名称:
DAN-G Cells|人胰腺癌克隆细胞
英文名称:
DAN-G Cells
保存条件:
常温培养或液氮冻存
纯度规格:
DAN-G Cells|人胰腺癌克隆细胞
产品类别:
生化试剂

"DAN-G Cells|人胰腺癌克隆细胞

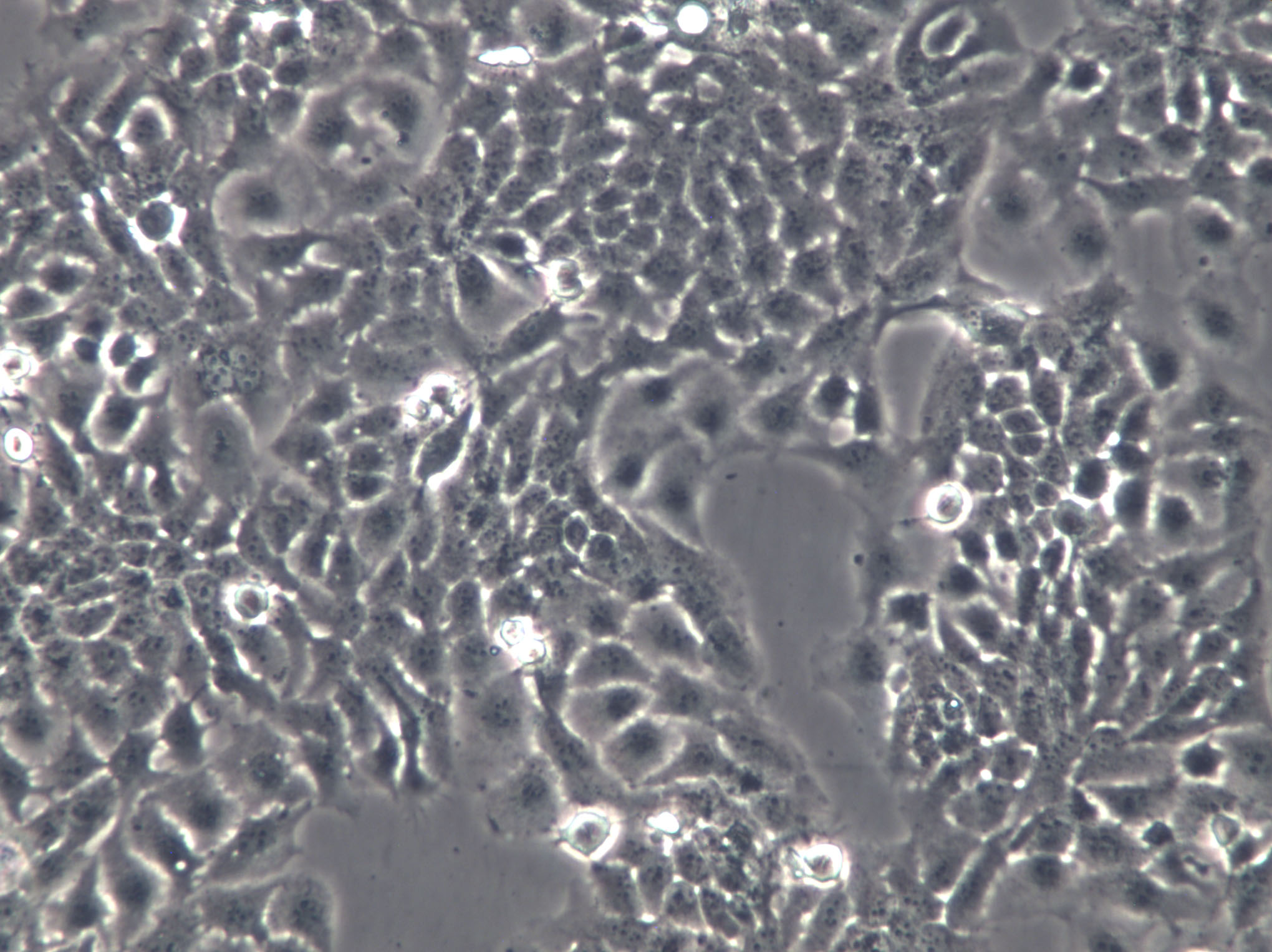
细胞形态:上皮细胞样

细胞生长:贴壁

支原体污染细胞后,有必要清除支原体,常用方法有:对于非重要的细胞,如培养中的细胞、WCB的细胞等,将培养物与用过的培养基灭活后丢弃即可。对于较为重要的细胞,如来源珍贵或实验室中细胞保藏量较小等可以采用以下方法。用MRA处理:用支原体清除剂(Mycoplasma Removal Agent)处理细胞,作用浓度为25μg/ml,两周可以清除支原体。用清洗纯化法清除支原体污染的方法:细胞营养驯化→YOU质细胞群的筛选→细胞清洗→反复离心洗涤,其原理是利用离心力、细胞、微生物质量和悬液的浮力差达到清除支原体的目的。由于支原体个体小且除发酵支原体外多为细胞外寄生,所以通过反复洗涤细胞和低速离心换液使其中潜在的支原体数量降低至极限. 如结合敏感抗生素的抑杀作用,可达到更HAO的效果。药物辅助加温处理:先用药物处理后,再将污染的组织培养物放在41℃培养18小时,可杀死支原体,但对细胞有不良影响。使用支原体异性血清:用5%的兔支原体免疫血清可去除支原体污染,因异抗体可抑制支原体生长,故经抗血清处理后11天即转为阴性,并且5个月后仍为阴性。动物体内接种除菌法:把受支原体污染的肿瘤细胞接种在同种动物皮下或腹腔中,借动物免疫系统消灭支原体,而肿瘤细胞却能在体内继续生长,待一定时间后,从体内取出细胞再进行培养繁殖。巨噬细胞吞噬法:从动物腹腔采取巨噬细胞,为排除其它细胞成分,可先进行纯化,然后再加入被支原体污染的细胞培养液中混合培养。在培养过程中,为检查支原体是否已被消除干净,可利用支持物培养法验证,取出支持物逐日染色、镜检观察,至支原体已被消除干净为止。使用支原体清除培养基,每2-3天更换1次新鲜培养液,换液时用无菌的平衡盐溶液洗涤细胞1-2次;期间如果细胞密度过大,请保持细胞密度适当(贴壁细胞可能需要用胰酶消化),并更换新的培养器皿,3天之后,即可见明显清除效果;处理15天后,可以用支原体检测试剂盒进行检测,检测支原体是否杀灭完全;如果仍有支原体残留,可以考虑再处理6天;为避免细胞再次受到“支原体”的污染,以后每隔1个月进行支原体的常规检测,以保证没有新的支原体污染。注:支原体污染时细胞表现为长得不HAO,也不死亡,同时,培养基又是清亮的,时间长达一周也没有什么变化,这时基本上可以判断出是支原体污染了。

NMCG1Cells;细胞背景资料:详见相关文献介绍;细胞传代方法:1:2传代;细胞生长特性:贴壁生长;细胞形态特性:上皮Cells;相关细胞有:HBVSMCCells、SaOS-2Cells、HEK-EBNA细胞

CCC-HPF-1Cells;细胞背景资料:肺;成纤维Cells;细胞传代方法:1:2-1:3传代;每周换液2-3次。;细胞生长特性:贴壁;细胞形态特性:详见细胞说明书;相关细胞有:rHSC-99Cells、COLO-205Cells、U138-MG细胞

AMO-1Cells;细胞背景资料:浆细胞骨髓瘤;女性;细胞传代方法:1:2-1:3传代;每周换液2-3次。;细胞生长特性:半贴壁;细胞形态特性:详见细胞说明书;相关细胞有:Th17Cells、SSP-25Cells、VP303细胞

K562Cells;细胞背景资料:详见相关文献介绍;细胞传代方法:1:2-1:3传代;每周换液2-3次。;细胞生长特性:贴壁或悬浮,详见细胞说明书部分;细胞形态特性:详见细胞说明书;相关细胞有:SUM52Cells、LWnt-3ACells、EO771细胞

细胞物种来源:人源或鼠源等其它物种来源

DAN-G Cells|人胰腺癌克隆细胞

[细胞产品包装]鲜活细胞:T25培养瓶(一瓶)或冻存细胞:1ml冻存管(两支)

细胞分化(cell differentiation)是指同一来源的细胞逐渐产生出形态结构、功能征各不相同的细胞类群的过程,其结果是在空间上细胞产生差异,在时间上同一细胞与其从前的状态有所不同。细胞分化的本质是基因组在时间和空间上的选择性表达,通过不同基因表达的开启或关闭,终产生标志性蛋白质。一般情况下,细胞分化过程是不可逆的。然而,在某些条件下,分化了的细胞也不稳定,其基因表达模式也可以发生可逆性变化,又回到其未分化状态,这一过程称为去分化(dedifferentiation)。细胞分化的点包括:细胞分化的潜能随个体发育进程逐渐“缩窄”,在胚胎发育过程中,细胞逐渐由“全能”到“多能”,后向“单能”的趋向,是细胞分化的一般规律;细胞分化具有时空性,在个体发育过程中,多细胞生物细胞既有时间上的分化,也有空间上的分化;细胞分化与细胞的分裂状态和速度相适应,分化必须建立在分裂的基础上,即分化必然伴随着分裂,但分裂的细胞不一定就分化。分化程度越GAO,分裂能力也就越差;细胞分化具有GAO度的稳定性,正常生理条件下,已经分化为某种异的、稳定类型的细胞一般不可能逆转到未分化状态或者成为其他类型的分化细胞;细胞分化具有可塑性,已分化的细胞在殊条件下重新进入未分化状态或转分化为另一种类型细胞的现象。

细胞背景资料:胰腺癌;女性

3LLCells;细胞背景资料:详见相关文献介绍;细胞传代方法:1:2传代;细胞生长特性:贴壁生长;细胞形态特性:详见细胞说明书;相关细胞有:HT-22Cells、PA-TU SCells、SH-SY5Y Parental细胞

RBL-ICells;细胞背景资料:详见相关文献介绍;细胞传代方法:1:2-1:3传代;每周换液2-3次。;细胞生长特性:贴壁或悬浮,详见细胞说明书部分;细胞形态特性:详见细胞说明书;相关细胞有:PFSK1Cells、B16Cells、Institute for Medical Research-32细胞

697Cells;细胞背景资料:B淋巴细胞白血病;男性;细胞传代方法:1:2-1:3传代;每周换液2-3次。;细胞生长特性:悬浮;细胞形态特性:详见细胞说明书;相关细胞有:NUGC3Cells、CCD 841 CoNCells、NCI-H841细胞

Ontario Cancer Institute-Acute Myeloid Leukemia-3Cells;细胞背景资料:急性髓系白血病;男性;细胞传代方法:1:2-1:3传代;每周换液2-3次。;细胞生长特性:悬浮;细胞形态特性:详见细胞说明书;相关细胞有:SNU-869Cells、SK-Col-1Cells、D341细胞

细胞传代方法:1:2-1:3传代;每周换液2-3次。

DAN-G Cells|人胰腺癌克隆细胞

细胞来源说明:来源于RCB、ATCC、KCLB、DSMZ、ECACC、INCell、ScienCell、ECACC、JCRB、Asterand、ICLC等知名细胞库

用T25培养瓶复苏细胞:新的T25瓶1个,含8ml完全培养液;冻存管从液氮或-80℃中取出,37℃水1-2min,待完全溶解(观察冻存管内没有冰晶时)后尽快移入安全柜复苏;用无菌吸管吸取溶解液轻打入新制 T25 瓶中,顺时针摇匀;放入相应培养条件的培养箱中,过夜换液,2-4天长满。(具体参考细胞倍增时间);10cm培养皿复苏细胞:新10cm培养皿1个,含12mL完全培养液;冻存管从液氮或-80℃中取出,37℃水浴1-2min,待完全溶(观察冻存管内没有冰晶时)后尽快移入安全柜复苏;用无菌吸管吸取溶解液轻打入新制平皿中,顺时针摇匀;放入相应培养条件的培养箱中,过夜换液,2-4天长满。(具体以细胞周期为准),细胞复苏注意问题:复苏过程应迅速操作,时间不能太长,复苏过程中注意操作,防止污染,细胞复苏去除DMSO,不同的细胞对DMSO敏感度不同,根据细胞性选择是否离心,大多数细胞是复苏后,第天换液去除DMSO,避免刚复苏细胞受离心造成的机械损伤。

细胞生长特性:贴壁

细胞系(cell line)指原代细胞培养物经首次传代成功后所繁殖的细胞群体。 也指可长期连续传代的培养细胞。(由此便引申出了后来的有限细胞系(FiniteCellLine)、无限细胞系(InfiniteCellLine)),因此,细胞系狭义的是指可连续传代的细胞(定环境下口语和书面语都使用),广义是指可传代的细胞。肿瘤细胞系多由癌瘤建成,多呈类上皮型细胞,常已传几十代或百代以上,并具有不死性和异体接种致瘤性,丧失接触抑制能力。国际上美、英和日本等国已建有细胞库;美国已有美国标准细胞库或细胞银行(ATCC)和人遗传突变细胞库(HGMR)、细胞衰老细胞库(CAR)等,其中ATCC不仅是美国也世界大的细胞库。细胞系建立要求:什么样的体外培养群可被认可为己鉴定的细胞,视具体情况而定,无统一规定。对于用作原代培养的细胞只要供体均一,取材部位及组织种类等条件稳定即可,如用做长期培养,别是反复传代的细胞,常需做如下说明:组织来源:细胞供体所属物种,来自人体或者动物;个体性别、年龄;取材的器官或组织。如系肿瘤组织,应说明临床和病理诊断,以及病历号等。细胞生物学检测:了解细胞一般和殊的生物学性状,如细胞一般形态,异结构,细胞生长曲线和分裂指数,倍增时间,接种率等。如为肿瘤细胞,为说明来源于原肿瘤组织并保持恶性,须做软琼脂培养,异体接种致瘤和对正常组织侵润力等实验。培养条件和方法;应说明细胞系(或株)适应的生存环境,即指明使用的培养基、血清种类、用量以及适宜PH值。

VM-CUB-1细胞类似产品::BT-483细胞、SF-126细胞、AU565细胞

HTh 74细胞类似产品::MDA-MB-415细胞、GM00637细胞、IOSE-Mar细胞

RS(4;11)细胞类似产品::Stanford University Pediatric T-cell line 1细胞、MUTZ1细胞、THLE2细胞

CT26WT细胞类似产品::RAW-264.7细胞、hRMECs细胞、P3JHR-1细胞

SNG-M细胞类似产品::SKMEL5细胞、OVCA432细胞、CCC-HIE-2细胞

D341细胞类似产品::hFOB1.19细胞、CAL-120细胞、KASUMI6细胞

SKNEP1细胞类似产品::PG-LH7细胞、BV173细胞、HT3细胞

IMCD3细胞类似产品::P560细胞、MKN-1细胞、NCI-H2052细胞

MHCC-97细胞类似产品::U-343细胞、LL2细胞、PTK-1细胞

Nb2细胞类似产品::C-4I细胞、C32-mel细胞、U-251MG细胞

DAN-G Cells|人胰腺癌克隆细胞

RPMI 1846细胞类似产品::AMC-HN8细胞、CMT64细胞、TE85细胞

LA-4 [Mouse lung adenoma]细胞类似产品::H2347细胞、DSL-6A-C1细胞、RIMEC细胞

alpha TC1-6细胞类似产品::Namalva细胞、H-1688细胞、NCIH2228细胞

MHCCLM3细胞类似产品::HCC0095细胞、H2110细胞、SNU-719细胞

OVCAR 5细胞类似产品::Nb-2细胞、MTC-TT细胞、SW527细胞

DMS53细胞类似产品::Ca-Ski细胞、L428细胞、H1836细胞

DMS53细胞类似产品::Ca-Ski细胞、L428细胞、H1836细胞

BLO-11细胞类似产品::3T3-Swiss细胞、MCF 7B细胞、16HBE细胞

KP4细胞类似产品::NS653细胞、F9细胞、VP229细胞

alpha-TC1.6细胞类似产品::Line 522细胞、MV 4;11细胞、Leydig细胞

HOS/MNNG细胞类似产品::H-2347细胞、Centre Antoine Lacassagne-51细胞、JROECL19细胞

SK Col 1细胞类似产品::KOSC-2细胞、NCIH2228细胞、NCI H929细胞

THEECs细胞类似产品::SK-N-BE2细胞、NTC200细胞、L-5178-Y-R细胞

CL1-0细胞类似产品::MD Anderson-Metastatic Breast-231细胞、NCIADR.RES细胞、PK(15)细胞

Sp2/0-Ag-14细胞类似产品::H1404细胞、SW 1463细胞、MCAEC细胞

KYSE520细胞类似产品::TE-85细胞、Lewis lung carcinoma细胞、LC-2 ad细胞

SK-MEL3细胞类似产品::D283MED细胞、MDA-MB231细胞、PaTu 8988s细胞

LUDLU-1细胞类似产品::HOP62细胞、SY5Y细胞、NCIH1734细胞

Human Foreskin Fibroblast细胞类似产品::STC-1细胞、LoMeT-ccRcc细胞、H-1882细胞

HEK-293-H细胞类似产品::LK-2细胞、Reh细胞、SHG 44细胞

rUCMSCs细胞类似产品::HEK.EBNA细胞、SB细胞、ME16C细胞

IM9细胞类似产品::Chang Cells细胞、W256细胞、FTC133细胞

Neukoplast细胞类似产品::HKF细胞、Laboratory of Allergic Diseases 2细胞、TOV21G细胞

NE-4C细胞类似产品::PK-136细胞、rRMECs细胞、NuTu-19细胞

A 2780 CP细胞类似产品::SW-620细胞、SKNBE-1细胞、NCI-H1838细胞

NCI-SNU-182细胞类似产品::HIC细胞、WEHI-231细胞、PNT1/A细胞

CAL 27细胞类似产品::NIH:OVCAR-4细胞、OCI Ly19细胞、H1373细胞

HF-91细胞类似产品::TE-7细胞、10T1/2细胞、Ramos-RA1细胞

NP69细胞类似产品::H-2023细胞、LM(TK-)细胞、NCI-H1573细胞

Hi-five细胞类似产品::HTh-74细胞、CAL851细胞、NCIH211细胞

Rat1细胞类似产品::INS-1细胞、HPaSteC(HPSC)细胞、SW 780细胞

SNU-1040细胞类似产品::SCL-2细胞、MSC细胞、SW-1353细胞

NS653细胞类似产品::H1869细胞、LAPC-4细胞、PLA-802细胞

PC-3M-2B4细胞类似产品::GBC-SD细胞、HUT125细胞、Jurkat77细胞

HCS-2/8细胞类似产品::293 c18细胞、PVEC细胞、GM03570细胞

MKN-28细胞类似产品::H820细胞、Japanese Tissue Culture-39细胞、HTh 74细胞

P3J-HR-1细胞类似产品::HFF1细胞、HIEC6细胞、MCF7-GFP细胞

Swiss-3T3细胞类似产品::H-1688细胞、Capan2细胞、HCC1395细胞

RN细胞类似产品::SCC-4细胞、4T1细胞、NCI-H1963细胞

HT 115细胞类似产品::SBC5细胞、H2171细胞、KYSE520细胞

Caki2细胞类似产品::BE2C细胞、OKT 3细胞、CAL-78细胞

H520细胞类似产品::EoL-1 cell细胞、NCIH660细胞、MLA-144细胞

BMSCs(mBMSCs)细胞类似产品::U-2OS细胞、Cloudman S91 melanoma细胞、BALB/3T3 (clone A31)细胞

OVCAR.4细胞类似产品::CCRF/CEM细胞、BeWo细胞、MDCC MSB1细胞

Okayama University Medical School-27细胞类似产品::EHEB细胞、HT 1080.T细胞、2008细胞

A-704细胞类似产品::CEM C7细胞、HCV29细胞、NCI-H676B细胞

HITT15细胞类似产品::CNE-1细胞、Lu-65细胞、HR-1细胞

BALB/3T3 clone A31Cells;细胞背景资料:胚胎;成纤维;自发永生;雄性;BALB/c;细胞传代方法:1:2-1:3传代;每周换液2-3次。;细胞生长特性:贴壁;细胞形态特性:详见细胞说明书;相关细胞有:CHO-oriCells、RC-2Cells、LS-174细胞

HOP92Cells;细胞背景资料:详见相关文献介绍;细胞传代方法:1:2-1:3传代;每周换液2-3次。;细胞生长特性:贴壁或悬浮,详见细胞说明书部分;细胞形态特性:详见细胞说明书;相关细胞有:MCF.7Cells、OCI-Ly03Cells、KYSE-270细胞

CHO K1Cells;细胞背景资料:1957年,PuckTT从成年中国仓鼠卵巢的活检组织建立了CHO细胞,CHO-K1是CHO的一个亚克隆。CHO-K1的生长需要脯酸。;细胞传代方法:1:2传代;细胞生长特性:贴壁生长;细胞形态特性:上皮样;相关细胞有:CAL 78Cells、NCIH1623Cells、NCI-H82细胞

XuanWei Lung Cancer-05Cells;细胞背景资料:肺癌;女性;细胞传代方法:1:2-1:3传代;每周换液2-3次。;细胞生长特性:贴壁;细胞形态特性:详见细胞说明书;相关细胞有:GM 2132Cells、MFE 280Cells、R D细胞

MDA415Cells;细胞背景资料:这株细胞表达WNT7B癌基因。8168088].带瘤患者来自巴拉圭,虽然填报的是白人,但细胞表型存在G6PDA型,显示其属于混血。细胞株形成平展延伸的上皮细胞样,在电镜下呈现结节,伴随着延伸的微管和微板。不容易用胰酶消化。;细胞传代方法:消化5-10分钟。1:2。4-5天长满。;细胞生长特性:贴壁生长;细胞形态特性:上皮Cells;相关细胞有:H2135Cells、A 375Cells、HPDLF细胞

OVCA 433Cells;细胞背景资料:卵巢癌;女性;细胞传代方法:1:2-1:3传代;每周换液2-3次。;细胞生长特性:贴壁;细胞形态特性:详见细胞说明书;相关细胞有:Japanese Tissue Culture-28Cells、HPAF-IICells、H-1944细胞

HCMEC(BL12-H)Cells;细胞背景资料:结肠微血管;内皮Cells;细胞传代方法:1:2-1:3传代;每周换液2-3次。;细胞生长特性:贴壁;细胞形态特性:详见细胞说明书;相关细胞有:OVCAR10Cells、NCI-H1404Cells、AMO-1细胞

7404Cells;细胞背景资料:用Northernblot方法,未能检测到细胞中1.3kbLFIRE-1/HFREP-1mRNA的表达。;细胞传代方法:消化3-5分钟。1:2。3天内可长满。;细胞生长特性:贴壁生长;细胞形态特性:上皮细胞样;相关细胞有:4-1stCells、Hs 706.TCells、Hs 821.T细胞

JVM-2Cells;细胞背景资料:该细胞是 J.V.Melo从一位63岁患有套细胞淋巴瘤白人女性外周血中分离建立的,经EBV介导获得永生化,该细胞表达p16和细胞周期蛋白D2,低水平表达细胞周期蛋白D1。;细胞传代方法:1:3传代,2-3天传一代;细胞生长特性:悬浮生长;细胞形态特性:淋巴母细胞样;相关细胞有:3T3-L1 adCells、Caco-2 BBeCells、SaOS-2细胞

DAN-G Cells|人胰腺癌克隆细胞

DU4475Cells;细胞背景资料:详见相关文献介绍;细胞传代方法:每周换液2—3次;细胞生长特性:悬浮,多细胞聚集;细胞形态特性:上皮细胞样;相关细胞有:LNCaPCells、MT-4Cells、KTC1细胞

COLO320HSRCells;细胞背景资料:该细胞1984年建系,源自一位33岁患有大肠腺癌男性经5-fu治疗后的腹水。;细胞传代方法:1:2传代。3天内可长满。;细胞生长特性:半贴壁生长;细胞形态特性:详见细胞说明书;相关细胞有:H2110Cells、SuDHL 4Cells、H2073细胞

HT-29Cells;细胞背景资料:该细胞是1964年由FoghJ用移植培养方法和含15%FBS的F12培养液从原发性肿瘤分离的。近来,已建株的培养细胞用含血清的McCoy's5a培养基培养。该细胞系在裸鼠中成瘤,也能在类固醇处理的地鼠中成瘤。该细胞可合成IgA、CEA、TGFβ结合蛋白和黏液素;表达尿激酶受体,但没有检测到血浆酶原活性;不表达CD4,但细胞表面表达半乳糖神经酰胺(HIV的可能替代受体)。该细胞系癌基因c-myc、K-ras、H-ras、N-ras、Myb、sis、fos阳性;p53基因过表达,并且在273位密码子处发;细胞传代方法:1:2传代;细胞生长特性:贴壁生长;细胞形态特性:上皮样;相关细胞有:HS578Cells、HBL-1 [Human diffuse large B-cell lymphoma]Cells、HcerEpic细胞

MOLM-16Cells;细胞背景资料:急性髓系白血病;女性;细胞传代方法:1:2-1:3传代;每周换液2-3次。;细胞生长特性:悬浮;细胞形态特性:详见细胞说明书;相关细胞有:McA-RH8994Cells、Hs 766TCells、L-428细胞

IPLB-SF 21Cells;细胞背景资料:详见相关文献介绍;细胞传代方法:1:2-1:3传代;每周换液2-3次。;细胞生长特性:贴壁或悬浮,详见细胞说明书部分;细胞形态特性:详见细胞说明书;相关细胞有:HITT15Cells、RIN Cl-5FCells、CLL-CII细胞

H810Cells;细胞背景资料:详见相关文献介绍;细胞传代方法:1:2-1:6传代,每周2-3次。;细胞生长特性:贴壁生长;细胞形态特性:上皮样;相关细胞有:C-6Cells、L-929Cells、SW 756细胞

VP267Cells;细胞背景资料:详见相关文献介绍;细胞传代方法:1:2-1:3传代;每周换液2-3次。;细胞生长特性:贴壁或悬浮,详见细胞说明书部分;细胞形态特性:详见细胞说明书;相关细胞有:Adult Retinal Pigment Epithelial cell line-19Cells、COV-434Cells、H2029细胞

VP267Cells;细胞背景资料:详见相关文献介绍;细胞传代方法:1:2-1:3传代;每周换液2-3次。;细胞生长特性:贴壁或悬浮,详见细胞说明书部分;细胞形态特性:详见细胞说明书;相关细胞有:Adult Retinal Pigment Epithelial cell line-19Cells、COV-434Cells、H2029细胞

Ls-174-TCells;细胞背景资料:LS 174T是LS 180 (ATCC CL 187)结肠腺癌细胞株的胰蛋白酶化变种。 它比亲本更易传代,象LS 180一样生成大量的癌胚抗原(CEA)。 电镜研究表明有丰富的微丝和细胞质粘液素液泡。 直肠抗原3阳性。 p53抗原表达阴性,但mRNA表达阳性。 与ATCC CL-187来源于同一个肿瘤。LS 174T细胞角蛋白染色阳性。 癌基因c-myc, N-myc, H-ras, N-ras, Myb, 和 fos的表达呈阳性。 癌基因k-ras和sis的表达未做检测。;细胞传代方法:1:2传代;细胞生长特性:贴壁生长;细胞形态特性:上皮样;相关细胞有:H87Cells、MC-CARCells、RMS13细胞

HEK 293 c18Cells;细胞背景资料:详见相关文献介绍;细胞传代方法:1:4-1:10传代;每周2次。;细胞生长特性:贴壁生长;细胞形态特性:上皮细胞样;相关细胞有:HBEpiCCells、OVCAR 420Cells、Ontario Cancer Institute-Acute Myeloid Leukemia-2细胞

RPMI-2650Cells;细胞背景资料:头颈鳞癌;胸腔积液转移;男性;细胞传代方法:1:2-1:3传代;每周换液2-3次。;细胞生长特性:贴壁;细胞形态特性:详见细胞说明书;相关细胞有:BC-021Cells、NHLFCells、H-1648细胞

NCI-H64Cells;细胞背景资料:详见相关文献介绍;细胞传代方法:1:2-1:3传代;每周换液2-3次。;细胞生长特性:贴壁或悬浮,详见细胞说明书部分;细胞形态特性:详见细胞说明书;相关细胞有:HepaRGCells、D-324 MedCells、McA-RH7777细胞

H-1954Cells;细胞背景资料:详见相关文献介绍;细胞传代方法:1:2-1:3传代;每周换液2-3次。;细胞生长特性:贴壁或悬浮,详见细胞说明书部分;细胞形态特性:详见细胞说明书;相关细胞有:OV 1063Cells、ZR75_1Cells、C-Lu65细胞

MES13Cells;细胞背景资料:肾小球系膜;SV40转化;细胞传代方法:1:2-1:3传代;每周换液2-3次。;细胞生长特性:贴壁;细胞形态特性:详见细胞说明书;相关细胞有:FTC-133Cells、COLO201Cells、A-2780细胞

SL-1Cells;细胞背景资料:详见相关文献介绍;细胞传代方法:1:2-1:3传代;每周换液2-3次。;细胞生长特性:贴壁或悬浮,详见细胞说明书部分;细胞形态特性:详见细胞说明书;相关细胞有:C22 (Clara)Cells、H-2342Cells、HBL100细胞

TCC-SUPCells;细胞背景资料:详见相关文献介绍;细胞传代方法:1:2-1:3传代,2-3天换液1次。;细胞生长特性:贴壁生长;细胞形态特性:上皮Cells;相关细胞有:NTERA-2/D1Cells、COLO824Cells、SK-RC-20细胞

2PK-3Cells;细胞背景资料:详见相关文献介绍;细胞传代方法:1:2-1:3传代;每周换液2-3次。;细胞生长特性:贴壁或悬浮,详见细胞说明书部分;细胞形态特性:详见细胞说明书;相关细胞有:OC-3-VGHCells、MLA 144Cells、A 2780 CP细胞

SKLU1Cells;细胞背景资料:该细胞系源于一位60岁的白人女性患者的肺腺癌组织。;细胞传代方法:1:2传代;每周换液2次。;细胞生长特性:贴壁生长;细胞形态特性:上皮细胞样;相关细胞有:BTI-Tn-5B1-4Cells、H2085Cells、CNE2细胞

697Cells;细胞背景资料:B淋巴细胞白血病;男性;细胞传代方法:1:2-1:3传代;每周换液2-3次。;细胞生长特性:悬浮;细胞形态特性:详见细胞说明书;相关细胞有:NUGC3Cells、CCD 841 CoNCells、NCI-H841细胞

EOL1Cells;细胞背景资料:急性髓系白血病;男性;细胞传代方法:1:2-1:3传代;每周换液2-3次。;细胞生长特性:悬浮;细胞形态特性:详见细胞说明书;相关细胞有:H-2126Cells、NCI-SNU-475Cells、CMT.64细胞

SN12C-PM6Cells;细胞背景资料:肾癌;男性;细胞传代方法:1:2-1:3传代;每周换液2-3次。;细胞生长特性:贴壁;细胞形态特性:详见细胞说明书;相关细胞有:NBL-5Cells、SK-N-FICells、Strain KB细胞

SKHEP1Cells;细胞背景资料:SK-HEP-1细胞系已被鉴定为内皮来源。该细胞系为异倍体女性人(XX),染色体在亚三倍体范围内。在裸鼠中,它能形成与肝癌相一致的大细胞癌;细胞传代方法:1:3传代,2-3天换液一次;细胞生长特性:贴壁生长;细胞形态特性:上皮样;相关细胞有:Rat 1Cells、Human Liver-7702Cells、KHYG1细胞

CHG5Cells;细胞背景资料:少突神经胶质瘤;男性;细胞传代方法:1:2-1:3传代;每周换液2-3次。;细胞生长特性:贴壁;细胞形态特性:详见细胞说明书;相关细胞有:BE2-M17Cells、OCI-Ly1Cells、UCLA-SO-M20细胞

RAW-264.7Cells;细胞背景资料:单核巨噬细胞白血病;雄性;BALB/c;细胞传代方法:1:2-1:3传代;每周换液2-3次。;细胞生长特性:贴壁;细胞形态特性:详见细胞说明书;相关细胞有:HCC1937Cells、G361Cells、NCIH2029细胞

MCF7Cells;细胞背景资料:MCF-7细胞保留了多个分化了的乳腺上皮的特性,包括:能通过胞质雌激素受体加工雌二醇并能形成圆形复合物(domes)。该细胞含有Tx-4癌基因。肿瘤坏死因子α(TNFalpha)可以抑制MCF-7细胞的生长。抗雌激素处理细胞能调变IGFBP'S的分泌。;细胞传代方法:1:2传代,3-4天长满;细胞生长特性:贴壁生长;细胞形态特性:上皮样;相关细胞有:CHG5Cells、GES-1Cells、L132细胞

KPL-4Cells;细胞背景资料:炎性乳腺癌;胸腔积液转移;女性;细胞传代方法:1:2-1:3传代;每周换液2-3次。;细胞生长特性:贴壁;细胞形态特性:详见细胞说明书;相关细胞有:NCIH1417Cells、SW626Cells、BMDC细胞

hCMEC/D3Cells;细胞背景资料:脑微血管;内皮Cells;细胞传代方法:1:2-1:3传代;每周换液2-3次。;细胞生长特性:贴壁;细胞形态特性:详见细胞说明书;相关细胞有:SACC-83Cells、EBTrCells、MN9D细胞

CT26.WTCells;细胞背景资料:CT26细胞是被N-亚硝基-N-甲基脲烷(NNMU)诱导得到的未分化的小鼠结肠癌细胞,该细胞的一个克隆形成的细胞系被命名为CT26.WT。CT26.WT被逆转录病毒载体LXSN稳定转化形成了一个致死性的亚克隆CT26.CL25,这一病毒载体含有lacZ基因、编码肿瘤相关抗原(TAA)和beta半乳糖苷酶。CT26.WT和CT26.CL25细胞在小鼠中生长速度和致死率都很相似,不同的是CT26.CL25细胞可以表达肿瘤相关抗原和beta半乳糖苷酶,因此这两株细胞可以联合用于免疫治疗和宿主免疫反应的研究。 ;细胞传代方法:1:4-1:10传代,2-3天换液1次。;细胞生长特性:贴壁生长;细胞形态特性:成纤维Cells;相关细胞有:NCIH1341Cells、SCC-25Cells、SN-12C细胞

HECVCells;细胞背景资料:详见相关文献介绍;细胞传代方法:1:2-1:3传代;每周换液2-3次。;细胞生长特性:贴壁或悬浮,详见细胞说明书部分;细胞形态特性:详见细胞说明书;相关细胞有:CCD 19LuCells、NCTC 3960Cells、PANC-28细胞

8226Cells;细胞背景资料:来源于一位61岁的男性浆细胞瘤患者;可产生免疫球蛋白轻链,未检测到重链。;细胞传代方法:按1:2传代,5-6小时可以看到细胞分裂;细胞生长特性:悬浮生长;细胞形态特性:淋巴母细胞样;相关细胞有:HCT-15Cells、H-1930Cells、NCI H295R细胞

Psi2-DAPCells;细胞背景资料:详见相关文献介绍;细胞传代方法:1:2-1:3传代;每周换液2-3次。;细胞生长特性:贴壁或悬浮,详见细胞说明书部分;细胞形态特性:详见细胞说明书;相关细胞有:Ca759Cells、UACC812Cells、TC-1[JHU-1]细胞

BTI-Tn-5B1-4Cells;细胞背景资料:详见相关文献介绍;细胞传代方法:1:2-1:3传代;每周换液2-3次。;细胞生长特性:贴壁或悬浮,详见细胞说明书部分;细胞形态特性:详见细胞说明书;相关细胞有:RMCCells、H1581Cells、OKT 3细胞

Hs 739.TCells;细胞背景资料:详见相关文献介绍;细胞传代方法:1:2—1:3传代;每周换液2-3次。;细胞生长特性:贴壁生长;细胞形态特性:混合型;相关细胞有:U138-MGCells、HUVSMCCells、OVCA 432细胞

"


DAN-G Cells|人胰腺癌克隆细胞;

公司简介

上海冠导生物工程有限公司,先后从ATCC、DSMZ、ECACC、RIKEN、PromoCell、ScienCell、JCRB等国内外细胞库引进细胞2000余株。以此为契机,公司组建了冠导细胞库,我司细胞均由资深细胞培养工程师进行培养。我司可以提供的细胞有:①细胞系②原代细胞③稳转株④耐药株⑤标记细胞⑥细胞配套试剂等。

成立日期 (11年)
注册资本 100万(元)
员工人数 50-100人
年营业额 ¥ 1000万-5000万
经营模式 工厂,试剂,定制,服务
主营行业 细胞培养,微生物学,细胞生物学

DAN-G Cells|人胰腺癌克隆细胞相关厂家报价

内容声明
拨打电话 立即询价