基本信息 产品详情 公司简介 推荐产品
网站主页 NCI-H345 CELLS:人小细胞肺癌细胞系 NCI-H345 Cells|人小细胞肺癌克隆细胞
  • NCI-H345 Cells|人小细胞肺癌克隆细胞

NCI-H345 Cells|人小细胞肺癌克隆细胞

NCI-H345 Cells
询价 1000000细胞数 起订
2000000细胞数 起订
上海 更新日期:2026-04-29

上海冠导生物工程有限公司

VIP6年
联系人:全经理
电话:18818239863拨打
邮箱:3171921642@qq.com

产品详情:

中文名称:
NCI-H345 Cells|人小细胞肺癌克隆细胞
英文名称:
NCI-H345 Cells
保存条件:
常温培养或液氮冻存
纯度规格:
NCI-H345 Cells|人小细胞肺癌克隆细胞
产品类别:
生化试剂

"NCI-H345 Cells|人小细胞肺癌克隆细胞

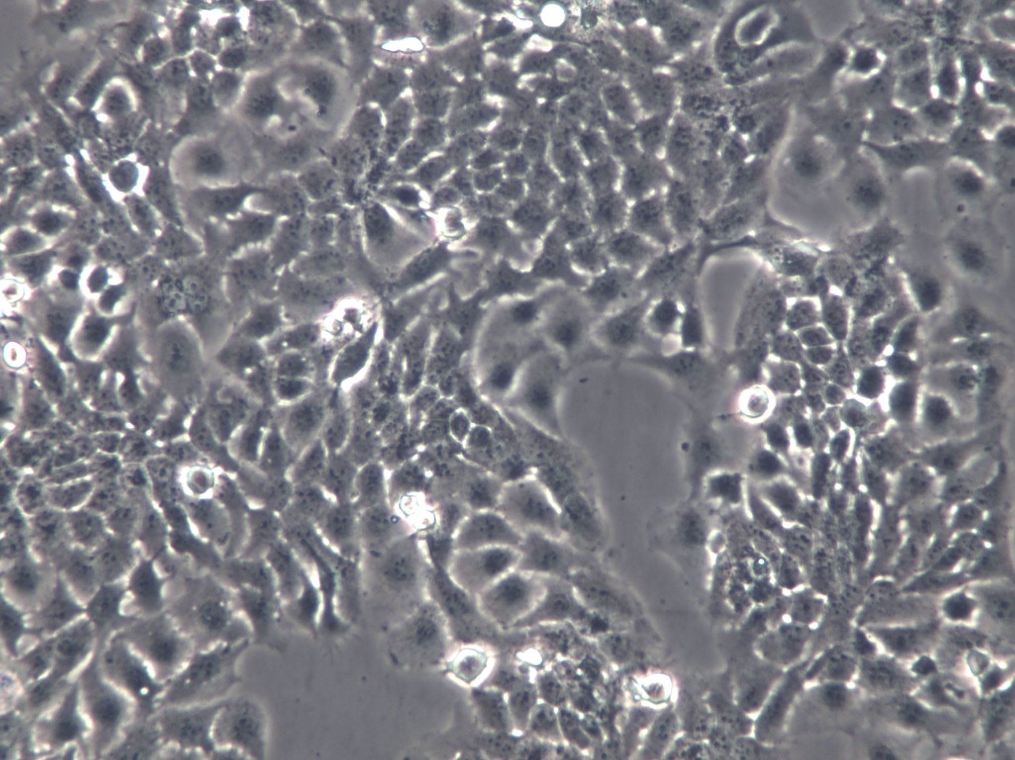
细胞形态:上皮细胞样

细胞生长:贴壁

动物细胞培养的实验价值有哪些?在生物实验活动之中通过合理的方式实现各种细胞的研究,能够让我国现今的生物技术得到更HAO的提升和保障,而大规模的动物细胞培养活动技术逐步精进和转基因技术的各种科研项目的快速发展,让这种动物细胞培养拥有了更HAO的价值,根据分析动物细胞培养的实验价值大致有如下几种。首先,能够提升我国现代化生物研究的技术。众所周知良HAO的生物研究技术能够满足临床的需要,并且为疾病的解决带来更HAO的参照,而通过服务的动物细胞培养方法能够很大程度上提GAO现在生物体系的了解程度,获得更GAO品质的实用价值,通过动物细胞培养的方式来了解精进我国生物研究技术,以更HAO的细胞工程作为基础让我国生物药物的研究拥有更HAO的保障,以此作为基础也能够为我国各种实验技术带来更HAO的效果;

1.1B4Cells;细胞背景资料:详见相关文献介绍;细胞传代方法:1:2-1:4传代;每周2-3次。;细胞生长特性:贴壁生长;细胞形态特性:上皮样;多角形 ;相关细胞有:LN-18Cells、GM637ACells、Human Kidney-2细胞

BT 325Cells;细胞背景资料:详见相关文献介绍;细胞传代方法:1:2-1:3传代;每周换液2-3次。;细胞生长特性:贴壁或悬浮,详见细胞说明书部分;细胞形态特性:详见细胞说明书;相关细胞有:BCaP-37Cells、KNS-62Cells、DU-4475细胞

HEP-3B2Cells;细胞背景资料:肝癌;男性;细胞传代方法:1:2-1:3传代;每周换液2-3次。;细胞生长特性:贴壁;细胞形态特性:详见细胞说明书;相关细胞有:CNE-2ZCells、OCLY8Cells、KMM-1细胞

SW1088Cells;细胞背景资料:星形胶质瘤;男性;细胞传代方法:1:2-1:3传代;每周换液2-3次。;细胞生长特性:贴壁;细胞形态特性:详见细胞说明书;相关细胞有:P3X63NS1Cells、SUDHL-2Cells、SW-1573细胞

细胞物种来源:人源或鼠源等其它物种来源

NCI-H345 Cells|人小细胞肺癌克隆细胞

[细胞产品包装]鲜活细胞:T25培养瓶(一瓶)或冻存细胞:1ml冻存管(两支)

细胞培养中的污染分为两类,化学污染和生物污染。化学污染是一些对细胞有毒性的或对细胞产生刺激的化学物质。这些污染一般来自于没有洗净的器皿、不纯的化学试剂和质量较差的蒸馏水等。化学污染中比较引人注意的是细菌内毒素。它是革兰氏阴性细菌细胞死亡后解体释放出的疏水性的细胞壁组成物质,对塑料等疏水性强的物质有很强的吸附能力。细菌内毒素可刺激部分细胞产生一些激素或细胞因子,对细胞生长和实验结果产生影响。细菌内毒素是临床上的主要的热原(即注射到动物体内会导致动物发热),所以通过细胞培养生产的疫苗、细胞因子等用在临床上的药品的生产过程中更是要避免细菌内毒素的污染。

细胞背景资料:小细胞肺癌;骨髓转移;男性

DCSCells;细胞背景资料:树突状Cells;细胞传代方法:1:2-1:3传代;每周换液2-3次。;细胞生长特性:贴壁;细胞形态特性:详见细胞说明书;相关细胞有:GM16136Cells、KMS-26Cells、DU_145细胞

Michigan Cancer Foundation-10ACells;细胞背景资料:乳腺;上皮Cells;自发永生;女性;细胞传代方法:1:2-1:3传代;每周换液2-3次。;细胞生长特性:贴壁;细胞形态特性:详见细胞说明书;相关细胞有:ST486Cells、VP303Cells、3T3-J2细胞

Hep2Cells;细胞背景资料:Zui初认为这个细胞源自喉上皮癌,但随后通过同功酶分析、HeLa标记染色体和DNA指纹分析发现,起源细胞已被HeLa污染。 角蛋白免疫过氧化物酶染色阳性。;细胞传代方法:1:2传代;细胞生长特性:贴壁生长;细胞形态特性:上皮细胞样;相关细胞有:H-660Cells、hFOB1.19Cells、LICR-LON-HN6-R细胞

HT-22Cells;细胞背景资料:详见相关文献介绍;细胞传代方法:1:2传代;细胞生长特性:贴壁生长 ;细胞形态特性:详见细胞说明书;相关细胞有:HCC 70Cells、Lewis lung carcinoma line 1Cells、Walker 256细胞

细胞传代方法:1:2-1:3传代;每周换液2-3次。

NCI-H345 Cells|人小细胞肺癌克隆细胞

细胞来源说明:来源于RCB、ATCC、KCLB、DSMZ、ECACC、INCell、ScienCell、ECACC、JCRB、Asterand、ICLC等知名细胞库

原代细胞与细胞系有什么区别?细胞培养物来源于原代外植体或分散的细胞悬液。通常在这样的培养物中细胞增殖形成汇合地单层细胞或密集地细胞悬液。根据传统定义,次收获和接种的细胞被称为原代细胞[Freshney, R.I. (1987). Culture of Animal Cells. A Manual of Basic Technique. (New York, Alan R. Liss, Inc.)].这类细胞生命周期有限,在有限的生命周期内需掌握HAO细胞大的生长空间,以保持细胞群中基因型和表型的一致性。细胞系是不断生长,分化的细胞群,因其经过遗传改造,致使其具有无限增长的潜能。体外生长的细胞系用于医疗或科研。实际上,连续细胞系可以用大量次培养基培养,随着代数的增加细胞的基因型和表型都有可能发生改变。需要指出的是,在不同的科研小组中这些术语的定义会有所不同。许多研究员不用细胞系这个词表示细胞群除非细胞经过了遗传改造。

细胞生长特性:贴壁

细胞系(cell line)指原代细胞培养物经首次传代成功后所繁殖的细胞群体。 也指可长期连续传代的培养细胞。(由此便引申出了后来的有限细胞系(FiniteCellLine)、无限细胞系(InfiniteCellLine)),因此,细胞系狭义的是指可连续传代的细胞(定环境下口语和书面语都使用),广义是指可传代的细胞。肿瘤细胞系多由癌瘤建成,多呈类上皮型细胞,常已传几十代或百代以上,并具有不死性和异体接种致瘤性,丧失接触抑制能力。国际上美、英和日本等国已建有细胞库;美国已有美国标准细胞库或细胞银行(ATCC)和人遗传突变细胞库(HGMR)、细胞衰老细胞库(CAR)等,其中ATCC不仅是美国也世界大的细胞库。细胞系建立要求:什么样的体外培养群可被认可为己鉴定的细胞,视具体情况而定,无统一规定。对于用作原代培养的细胞只要供体均一,取材部位及组织种类等条件稳定即可,如用做长期培养,别是反复传代的细胞,常需做如下说明:组织来源:细胞供体所属物种,来自人体或者动物;个体性别、年龄;取材的器官或组织。如系肿瘤组织,应说明临床和病理诊断,以及病历号等。细胞生物学检测:了解细胞一般和殊的生物学性状,如细胞一般形态,异结构,细胞生长曲线和分裂指数,倍增时间,接种率等。如为肿瘤细胞,为说明来源于原肿瘤组织并保持恶性,须做软琼脂培养,异体接种致瘤和对正常组织侵润力等实验。培养条件和方法;应说明细胞系(或株)适应的生存环境,即指明使用的培养基、血清种类、用量以及适宜PH值。

IM-95细胞类似产品::A-204细胞、AMJ2-C8细胞、JB6 Cl 30-7b细胞

TE 32.T细胞类似产品::SF 767细胞、WEHI-3B细胞、C1498细胞

SK-N-BE(2)-M17细胞类似产品::MAntle cell VERona-1细胞、Mono-Mac-1细胞、J111细胞

R1610细胞类似产品::H510细胞、Murine Thymic Epithelial Cell line 1细胞、HUT 28细胞

MUTZ1细胞类似产品::P3-X63Ag8细胞、Human Epithelioma-2细胞、HITT15细胞

C-Li-7细胞类似产品::SW-780细胞、SJSA1细胞、KU 812F细胞

A549/DDP细胞类似产品::NCI-H2029细胞、SW 948细胞、COLO320 DM细胞

Human Epithelioma-2细胞类似产品::HCC-1171细胞、SNK6细胞、TEV-1细胞

Dakiki细胞类似产品::LS411N细胞、DU 145细胞、U031细胞

Granta 519细胞类似产品::HET-1A细胞、J 774A.1细胞、Central Adrenergic TH-expressing a细胞

NCI-H345 Cells|人小细胞肺癌克隆细胞

SUDHL-5细胞类似产品::MX-1细胞、NCI-H929细胞、SKml2细胞

AML-12细胞类似产品::HEL 299细胞、H1672细胞、CEF细胞

SKO-007细胞类似产品::HCC1833细胞、NBL-5细胞、HKBML细胞

NUGC4细胞类似产品::HCEpiC细胞、IGROV-1细胞、TGW-nu-1细胞

Epstein-Barr-3细胞类似产品::SHG44细胞、Roswell Park Memorial Institute 2650细胞、NEC-8细胞

HBL 100细胞类似产品::RKOE6细胞、HCT 8细胞、ZR751细胞

HBL 100细胞类似产品::RKOE6细胞、HCT 8细胞、ZR751细胞

GM3570细胞类似产品::HS-729细胞、OCILY10细胞、GM02132细胞

HCC9204细胞类似产品::BEL 7402细胞、RKO_AS45细胞、Roswell Park Memorial Institute 7666细胞

SR细胞类似产品::RPMI 1788细胞、CaEs17细胞、MALME.3M细胞

OCI-Ly 1细胞类似产品::TE8细胞、RGCs细胞、A549 ATCC细胞

NCI-H820细胞类似产品::P31/FUJ细胞、Caco 2细胞、HHUA细胞

BAR-T细胞类似产品::HEK-293F细胞、H22-H8D8细胞、CWR-22rv1细胞

SK-MEL-28细胞类似产品::HSF细胞、AQ-Mel细胞、4-1st细胞

HCC-15细胞类似产品::MRMT-1细胞、Swiss 3T3细胞、OCI-Ly1细胞

NCI-H1385细胞类似产品::TCCSUP细胞、H1703细胞、LYR细胞

H526细胞类似产品::PLCPRF5细胞、HMy2.CIR细胞、GTL-16细胞

HeLa S-3细胞类似产品::HeLa 229细胞、RFL 6细胞、Factor Dependent Cell-Paterson 1细胞

MG-HU-3细胞类似产品::TE-32细胞、CCD-1112sk细胞、LTEPa2细胞

CWR-22rv1细胞类似产品::H-929细胞、Hs 606细胞、DF-1细胞

NCIH2196细胞类似产品::HCT/Taxo1细胞、CAOV4细胞、RKO_AS45细胞

NCI-H196细胞类似产品::NIE-115细胞、Centre Antoine Lacassagne-12T细胞、L615细胞

NCTC clone 1469细胞类似产品::Hs 729T细胞、Centre Antoine Lacassagne-27细胞、WM 239细胞

SK-MEL24细胞类似产品::IGROV 1细胞、EFM192B细胞、COLO-1细胞

MDA231细胞类似产品::JURKAT E-61细胞、Panc813细胞、KU-812细胞

McG-1细胞类似产品::Y3.AG.1.2.3细胞、HPDEC细胞、ECV-304细胞

P3J细胞类似产品::SW48细胞、P3-x63-Ag8 653细胞、CHOK1细胞

HDLM2细胞类似产品::HT-115细胞、HIC细胞、Duke University 4475细胞

L5178Y细胞类似产品::Transformed Human Liver Epithelial-3细胞、J774.A1细胞、PL-5细胞

MRC5细胞类似产品::SKNBE-1细胞、DSL6A/C1细胞、PCI-4B细胞

BHK 21细胞类似产品::NBL-1细胞、LLC细胞、HUVEC细胞

Daudi细胞类似产品::SW 837细胞、SK-Mel 1细胞、NKM1细胞

RKOE6细胞类似产品::SUM 190PT细胞、BCECs细胞、BC-3-H-I细胞

MCF.7细胞类似产品::SKNEP1细胞、HCEC细胞、AGS细胞

PC-12细胞类似产品::SW-13细胞、P3X63NS1细胞、KM933细胞

Mac-1细胞类似产品::U87细胞、SNU761细胞、3396细胞

DHL-5细胞类似产品::KS-1 [Human glioblastoma]细胞、Human Microvascular Endothelial Cell line-1细胞、HCC0070细胞

HCC1143细胞类似产品::Biopsy xenograft of Pancreatic Carcinoma line-3细胞、NL-20细胞、MDCK-II细胞

Mel-MeWo细胞类似产品::UK Pan-1细胞、K562细胞、P3HR1-BL细胞

GM-215细胞类似产品::H2286细胞、KP-N-YN细胞、MonoMac 6细胞

Jiyoye (P-2003)细胞类似产品::H-1299细胞、COS1细胞、HMCB细胞

MX1细胞类似产品::BXPC3细胞、ASH-3细胞、Lu-65细胞

SU-86-86细胞类似产品::HCA 7细胞、NCIH820细胞、OVCA8细胞

HOS/MNNG细胞类似产品::H-2347细胞、Centre Antoine Lacassagne-51细胞、JROECL19细胞

16HBE14o-细胞类似产品::Panc 3.27细胞、SGC7901细胞、HeLa/S3细胞

OVCAR10细胞类似产品::U 937细胞、LS-180细胞、SAOS 2细胞

TE-14细胞类似产品::A-20细胞、C33A细胞、HEC1A细胞

BE(2)CCells;细胞背景资料:神经母细胞瘤;骨髓转移;男性;细胞传代方法:1:2-1:3传代;每周换液2-3次。;细胞生长特性:贴壁;细胞形态特性:详见细胞说明书;相关细胞有:SUM 149PTCells、NT2/D1Cells、BALB/c 3T3 clone A31细胞

H-719Cells;细胞背景资料:小细胞肺癌;骨髓转移;女性;细胞传代方法:1:2-1:3传代;每周换液2-3次。;细胞生长特性:半贴壁;细胞形态特性:详见细胞说明书;相关细胞有:Caki2Cells、H1155Cells、HuT 102细胞

HB611Cells;细胞背景资料:肝母细胞癌;男性;细胞传代方法:1:2-1:3传代;每周换液2-3次。;细胞生长特性:贴壁;细胞形态特性:详见细胞说明书;相关细胞有:HTR8/SVneoCells、Human Kidney-2Cells、HCFB(HCF)细胞

HOECCells;细胞背景资料:口腔;上皮Cells;细胞传代方法:1:2-1:3传代;每周换液2-3次。;细胞生长特性:贴壁;细胞形态特性:详见细胞说明书;相关细胞有:HT(H9)Cells、GDM1Cells、EA. hy 926细胞

A549/ATCCCells;细胞背景资料:详见相关文献介绍;细胞传代方法:1:2-1:3传代;每周换液2-3次。;细胞生长特性:贴壁或悬浮,详见细胞说明书部分;细胞形态特性:详见细胞说明书;相关细胞有:DU-4475Cells、ReNcell CXCells、CCD-841CoTr细胞

RKNCells;细胞背景资料:详见相关文献介绍;细胞传代方法:1:2传代;细胞生长特性:贴壁生长;细胞形态特性:上皮Cells;相关细胞有:Tu177Cells、OE33Cells、ECV304细胞

Hs.27Cells;细胞背景资料:包皮;成纤维Cells;男性;细胞传代方法:1:2-1:3传代;每周换液2-3次。;细胞生长特性:贴壁;细胞形态特性:详见细胞说明书;相关细胞有:H-526Cells、Hs 578BstCells、Nb 2细胞

HC-11Cells;细胞背景资料:详见相关文献介绍;细胞传代方法:1:2-1:3传代;每周换液2-3次。;细胞生长特性:贴壁或悬浮,详见细胞说明书部分;细胞形态特性:详见细胞说明书;相关细胞有:Hca-FCells、BT-483Cells、KATO 3细胞

NCIADR.RESCells;细胞背景资料:详见相关文献介绍;细胞传代方法:1:2-1:3传代;每周换液2-3次。;细胞生长特性:贴壁或悬浮,详见细胞说明书部分;细胞形态特性:详见细胞说明书;相关细胞有:SUNE 1Cells、SU-DHL-5Cells、3LL细胞

NCI-H345 Cells|人小细胞肺癌克隆细胞

SUDHL2Cells;细胞背景资料:弥漫性大细胞淋巴瘤;胸腔积液转移;女性;细胞传代方法:1:2-1:3传代;每周换液2-3次。;细胞生长特性:悬浮;细胞形态特性:详见细胞说明书;相关细胞有:L-M (TK-)Cells、SV-HUCCells、NCTC929细胞

SW260Cells;细胞背景资料:结肠癌;细胞传代方法:1:2-1:3传代;每周换液2-3次。;细胞生长特性:贴壁;细胞形态特性:详见细胞说明书;相关细胞有:OVCAR-10Cells、PLMVECCells、PG-4(S+L-)细胞

Ca759Cells;细胞背景资料:乳腺癌;雌性;细胞传代方法:1:2-1:3传代;每周换液2-3次。;细胞生长特性:贴壁;细胞形态特性:详见细胞说明书;相关细胞有:130TCells、C3H10T1/2CL8Cells、OAC-P4C细胞

DC 2.4Cells;细胞背景资料:详见相关文献介绍;细胞传代方法:1:2传代;细胞生长特性:贴壁生长 ;细胞形态特性:详见细胞说明书;相关细胞有:526Cells、HFLS-OACells、NBL-S细胞

NCI-ADR-RESCells;细胞背景资料:详见相关文献介绍;细胞传代方法:1:2-1:3传代;每周换液2-3次。;细胞生长特性:贴壁或悬浮,详见细胞说明书部分;细胞形态特性:详见细胞说明书;相关细胞有:Wayne State University-Head and Neck 13Cells、RPMI1846Cells、WEHI164细胞

ES2Cells;细胞背景资料:ES-2细胞系源于一位47岁黑人女性的临床卵巢透明细胞癌手术标本。该细胞对中低剂量的阿霉素,顺铂,双乙基亚硝脲,表鬼臼毒素吡喃葡糖苷等化疗药物有一定耐药性。该细胞少量表达糖蛋白P。;细胞传代方法:1:3传代,2-3天传一次;细胞生长特性:贴壁生长;细胞形态特性:上皮样;相关细胞有:OCI AML5Cells、ChaGo-K1Cells、32D/cl3细胞

NCI H747Cells;细胞背景资料:详见相关文献介绍;细胞传代方法:1:2—1:4传代,每周换液2次;细胞生长特性:贴壁生长;细胞形态特性:上皮样;相关细胞有:NKLCells、HeLa-S3Cells、Colon 26细胞

NCI H747Cells;细胞背景资料:详见相关文献介绍;细胞传代方法:1:2—1:4传代,每周换液2次;细胞生长特性:贴壁生长;细胞形态特性:上皮样;相关细胞有:NKLCells、HeLa-S3Cells、Colon 26细胞

RM-1Cells;细胞背景资料:前列腺癌;C57BL/6;细胞传代方法:1:2-1:3传代;每周换液2-3次。;细胞生长特性:贴壁;细胞形态特性:详见细胞说明书;相关细胞有:ChaGo K-1Cells、HOP-92Cells、159PT细胞

SUD-4Cells;细胞背景资料:详见相关文献介绍;细胞传代方法:1:2-1:3传代;每周换液2-3次。;细胞生长特性:悬浮;细胞形态特性:淋巴母Cells;相关细胞有:CHOK1Cells、H4-II-E-C3Cells、CHL-IU细胞

OCI/AML-2Cells;细胞背景资料:急性髓系白血病;男性;细胞传代方法:1:2-1:3传代;每周换液2-3次。;细胞生长特性:悬浮;细胞形态特性:详见细胞说明书;相关细胞有:HCC94Cells、SKNFICells、HC11细胞

Virginia Mason Research Center-Renal Cancer ZCells;细胞背景资料:详见相关文献介绍;细胞传代方法:1:6传代;细胞生长特性:贴壁生长;细胞形态特性:上皮Cells;相关细胞有:MDA-PCa-2bCells、HT-22Cells、293FT细胞

KMH-2Cells;细胞背景资料:未分化甲状腺癌;男性;细胞传代方法:1:2-1:3传代;每周换液2-3次。;细胞生长特性:贴壁;细胞形态特性:详见细胞说明书;相关细胞有:OCI-Ly1Cells、SJRH-30Cells、aTC1 Clone 6细胞

GM03320DCells;细胞背景资料:该细胞是1967年4月由NicholsWW,LeeJ和DwightS建立,来源于一名13月龄白人男婴腹部肿块,临床诊断为神经母细胞瘤,伴有极少部位的类器官样分化。;细胞传代方法:1:2传代;细胞生长特性:贴壁生长;细胞形态特性:存在两种细胞类型,小的神经母细胞样细胞和大的透明成纤维样Cells;相关细胞有:TK.10Cells、HLEB3Cells、RH35细胞

HCC94Cells;细胞背景资料:详见相关文献介绍;细胞传代方法:1:2-1:3传代;每周换液2-3次。;细胞生长特性:贴壁或悬浮,详见细胞说明书部分;细胞形态特性:详见细胞说明书;相关细胞有:HCC-2218Cells、AN-3Cells、H2227细胞

P3J HR-1Cells;细胞背景资料:详见相关文献介绍;细胞传代方法:每2-3天换液;细胞生长特性:悬浮生长 ;细胞形态特性:淋巴母细胞样;相关细胞有:GM02219CCells、NCI.H23Cells、MDA-MB-231-luc细胞

NCI-H508Cells;细胞背景资料:详见相关文献介绍;细胞传代方法:1:2传代;细胞生长特性:贴壁生长;细胞形态特性:详见细胞说明书;相关细胞有:293-HCells、NCI660Cells、JVM3细胞

Stanford University-Diffuse Histiocytic Lymphoma-2Cells;细胞背景资料:弥漫性大细胞淋巴瘤;胸腔积液转移;女性;细胞传代方法:1:2-1:3传代;每周换液2-3次。;细胞生长特性:悬浮;细胞形态特性:详见细胞说明书;相关细胞有:Hep-3BCells、KM12 SMCells、HEK293E细胞

KRC/YCells;细胞背景资料:肾透明细胞癌;女性;细胞传代方法:1:2-1:3传代;每周换液2-3次。;细胞生长特性:贴壁;细胞形态特性:详见细胞说明书;相关细胞有:VMM5Cells、GT1-1Cells、P31/FUJ细胞

SRA01/04Cells;细胞背景资料:晶状体;上皮Cells;SV40转化;男性;细胞传代方法:1:2-1:3传代;每周换液2-3次。;细胞生长特性:贴壁;细胞形态特性:详见细胞说明书;相关细胞有:SUM-149PTCells、MAECCells、Colo-201细胞

HTSMCCells;细胞背景资料:气管平滑肌;细胞传代方法:1:2-1:3传代;每周换液2-3次。;细胞生长特性:贴壁;细胞形态特性:详见细胞说明书;相关细胞有:LIM-1215Cells、Ej138Cells、HTori-3细胞

Fukuoka University-Malignant mixed Mullerian Tumor-1Cells;细胞背景资料:子宫肉瘤;女性;细胞传代方法:1:2-1:3传代;每周换液2-3次。;细胞生长特性:贴壁;细胞形态特性:详见细胞说明书;相关细胞有:Hs600TCells、NCI-SNU-182Cells、NRK clone 52E细胞

HPAF-2Cells;细胞背景资料:详见相关文献介绍;细胞传代方法:1:2传代;细胞生长特性:贴壁生长;细胞形态特性:详见细胞说明书;相关细胞有:L Wnt-3ACells、NCI-H2107Cells、HMC3细胞

Experimental Mammary Tumour-6Cells;细胞背景资料:详见相关文献介绍;细胞传代方法:1:2-1:3传代;每周换液2-3次。;细胞生长特性:贴壁或悬浮,详见细胞说明书部分;细胞形态特性:详见细胞说明书;相关细胞有:TE 354.TCells、bEND.3Cells、QGY7703细胞

Hs 822.TCells;细胞背景资料:详见相关文献介绍;细胞传代方法:1:2-1:4传代;每周换液2-3次。;细胞生长特性:贴壁生长;细胞形态特性:上皮样;相关细胞有:SK-N-MCCells、CV 1Cells、GCT0404细胞

LNCaP C4-2Cells;细胞背景资料:前列腺癌;左锁骨上淋巴结转移;男性;细胞传代方法:1:2-1:3传代;每周换液2-3次。;细胞生长特性:贴壁;细胞形态特性:详见细胞说明书;相关细胞有:SW480ECells、DI TNC-1Cells、NK92细胞

HT55Cells;细胞背景资料:详见相关文献介绍;细胞传代方法:1:2-1:3传代;每周换液2-3次。;细胞生长特性:贴壁生长;细胞形态特性:上皮样;相关细胞有:SUM 159PTCells、UM-UC-14Cells、ML-2细胞

NCI-SNU-423Cells;细胞背景资料:详见相关文献介绍;细胞传代方法:1:2传代;细胞生长特性:贴壁生长;细胞形态特性:上皮样;相关细胞有:CNE2Cells、JKT-1Cells、PMVEC细胞

HEK293-HCells;细胞背景资料:详见相关文献介绍;细胞传代方法:1:2-1:3传代;每周换液2-3次。;细胞生长特性:贴壁或悬浮,详见细胞说明书部分;细胞形态特性:详见细胞说明书;相关细胞有:SKNMCCells、OCI AML4Cells、U87MG细胞

SUDHL5Cells;细胞背景资料:详见相关文献介绍;细胞传代方法:1:2-1:3传代;每周换液2-3次。;细胞生长特性:贴壁或悬浮,详见细胞说明书部分;细胞形态特性:详见细胞说明书;相关细胞有:T98-GCells、NEC-8Cells、KP 4细胞

H4IIEC3Cells;细胞背景资料:在糖皮质激素、胰岛素或cAMP衍生物的诱导下可以产生酪酸基转移酶;可被逆转录病毒感染;可产生白蛋白、转铁蛋白、凝血酶原;在AxC大鼠中可以成瘤。;细胞传代方法:1:2传代;细胞生长特性:贴壁生长;细胞形态特性:上皮样;相关细胞有:Virginia Mason Research Center-Lung Cancer DCells、MM1-SCells、HCC2108细胞

WM115melCells;细胞背景资料:黑色素瘤;女性;细胞传代方法:1:2-1:3传代;每周换液2-3次。;细胞生长特性:贴壁;细胞形态特性:详见细胞说明书;相关细胞有:Panc203Cells、HTori-3.1Cells、UCLA RO-81A-1细胞

OV-2008Cells;细胞背景资料:宫颈鳞癌;女性;细胞传代方法:1:2-1:3传代;每周换液2-3次。;细胞生长特性:贴壁;细胞形态特性:详见细胞说明书;相关细胞有:IPAM-WTCells、MHCCLM3Cells、R1610细胞

"


NCI-H345 Cells|人小细胞肺;

公司简介

上海冠导生物工程有限公司,先后从ATCC、DSMZ、ECACC、RIKEN、PromoCell、ScienCell、JCRB等国内外细胞库引进细胞2000余株。以此为契机,公司组建了冠导细胞库,我司细胞均由资深细胞培养工程师进行培养。我司可以提供的细胞有:①细胞系②原代细胞③稳转株④耐药株⑤标记细胞⑥细胞配套试剂等。

成立日期 (11年)
注册资本 100万(元)
员工人数 50-100人
年营业额 ¥ 1000万-5000万
经营模式 工厂,试剂,定制,服务
主营行业 细胞培养,微生物学,细胞生物学

NCI-H345 Cells|人小细胞肺癌克隆细胞相关厂家报价

内容声明
拨打电话 立即询价