基本信息 产品详情 公司简介 推荐产品
网站主页 化工产品目录 生物 细胞培养 原代细胞 人原代细胞 OVCAR8 CELLS:人卵巢癌细胞系 OVCAR-8 Cells|人卵巢癌克隆细胞
  • OVCAR-8 Cells|人卵巢癌克隆细胞

OVCAR-8 Cells|人卵巢癌克隆细胞

OVCAR-8 Cells
询价 1000000细胞数 起订
2000000细胞数 起订
上海 更新日期:2026-04-13

上海冠导生物工程有限公司

VIP6年
联系人:全经理
电话:18818239863拨打
邮箱:3171921642@qq.com

产品详情:

中文名称:
OVCAR-8 Cells|人卵巢癌克隆细胞
英文名称:
OVCAR-8 Cells
保存条件:
常温培养或液氮冻存
纯度规格:
OVCAR-8 Cells|人卵巢癌克隆细胞
产品类别:
生化试剂

"OVCAR-8 Cells|人卵巢癌克隆细胞

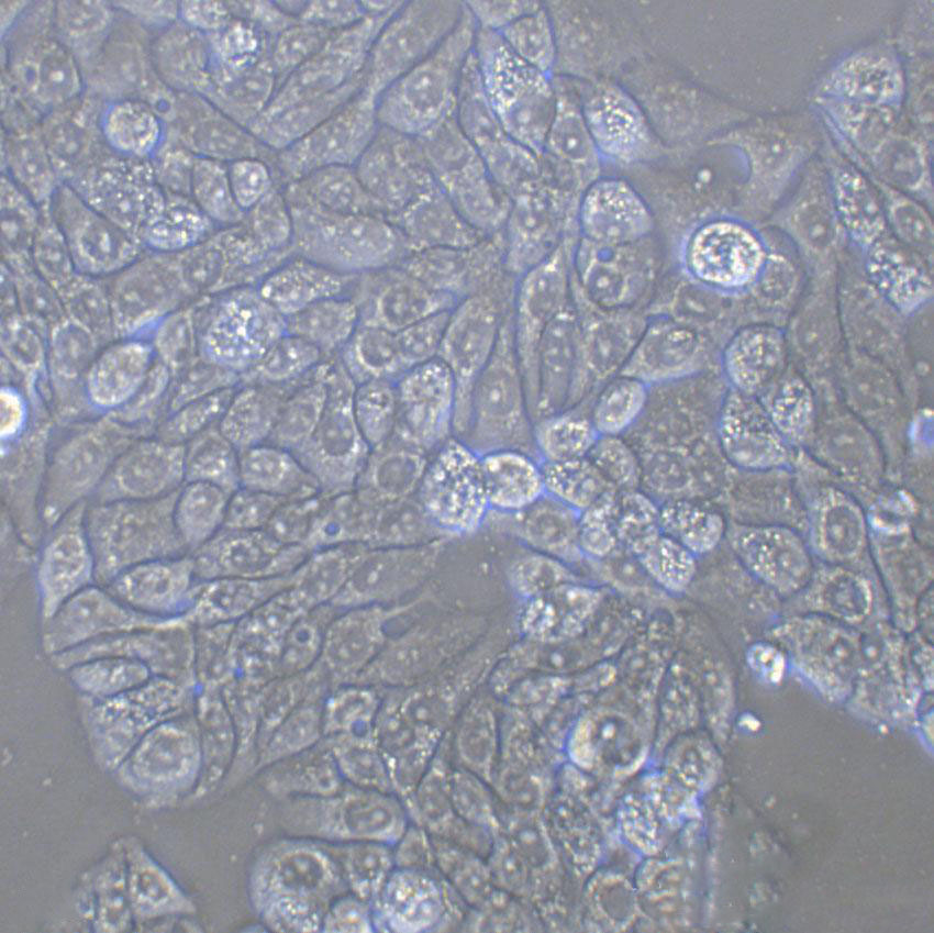
细胞形态:上皮细胞样

细胞生长:贴壁

动物细胞培养的实验价值有哪些?在生物实验活动之中通过合理的方式实现各种细胞的研究,能够让我国现今的生物技术得到更HAO的提升和保障,而大规模的动物细胞培养活动技术逐步精进和转基因技术的各种科研项目的快速发展,让这种动物细胞培养拥有了更HAO的价值,根据分析动物细胞培养的实验价值大致有如下几种。首先,能够提升我国现代化生物研究的技术。众所周知良HAO的生物研究技术能够满足临床的需要,并且为疾病的解决带来更HAO的参照,而通过服务的动物细胞培养方法能够很大程度上提GAO现在生物体系的了解程度,获得更GAO品质的实用价值,通过动物细胞培养的方式来了解精进我国生物研究技术,以更HAO的细胞工程作为基础让我国生物药物的研究拥有更HAO的保障,以此作为基础也能够为我国各种实验技术带来更HAO的效果;

IOSE-29Cells;细胞背景资料:卵巢;上皮Cells;女性;细胞传代方法:1:2-1:3传代;每周换液2-3次。;细胞生长特性:贴壁;细胞形态特性:详见细胞说明书;相关细胞有:LTEP-a-2Cells、SNU-C2BCells、MAntle cell VERona-1细胞

OCILY19Cells;细胞背景资料:弥漫大B淋巴瘤;女性;细胞传代方法:1:2-1:3传代;每周换液2-3次。;细胞生长特性:悬浮;细胞形态特性:详见细胞说明书;相关细胞有:hFOB 1.19Cells、NCIH2029Cells、Walker-256细胞

DSL6A/C1Cells;细胞背景资料:胰腺癌;雄性;Lewis;细胞传代方法:1:2-1:3传代;每周换液2-3次。;细胞生长特性:贴壁;细胞形态特性:详见细胞说明书;相关细胞有:HSC-4Cells、SW 900Cells、LK-2细胞

SCC154Cells;细胞背景资料:舌鳞癌;男性;HPV6转化;细胞传代方法:1:2-1:3传代;每周换液2-3次。;细胞生长特性:贴壁;细胞形态特性:详见细胞说明书;相关细胞有:Plaepi 34Cells、VM-CUB1Cells、BHT101细胞

细胞物种来源:人源或鼠源等其它物种来源

OVCAR-8 Cells|人卵巢癌克隆细胞

[细胞产品包装]鲜活细胞:T25培养瓶(一瓶)或冻存细胞:1ml冻存管(两支)

细胞培养中的污染分为两类,化学污染和生物污染。化学污染是一些对细胞有毒性的或对细胞产生刺激的化学物质。这些污染一般来自于没有洗净的器皿、不纯的化学试剂和质量较差的蒸馏水等。化学污染中比较引人注意的是细菌内毒素。它是革兰氏阴性细菌细胞死亡后解体释放出的疏水性的细胞壁组成物质,对塑料等疏水性强的物质有很强的吸附能力。细菌内毒素可刺激部分细胞产生一些激素或细胞因子,对细胞生长和实验结果产生影响。细菌内毒素是临床上的主要的热原(即注射到动物体内会导致动物发热),所以通过细胞培养生产的疫苗、细胞因子等用在临床上的药品的生产过程中更是要避免细菌内毒素的污染。

细胞背景资料:卵巢癌;女性

PANC0403Cells;细胞背景资料:详见相关文献介绍;细胞传代方法:1:2传代;细胞生长特性:贴壁生长;细胞形态特性:上皮样;相关细胞有:L-540Cells、RGECells、A704细胞

H2066Cells;细胞背景资料:详见相关文献介绍;细胞传代方法:每周换液2-3次;细胞生长特性:悬浮生长;细胞形态特性:聚团悬浮;相关细胞有:H889Cells、T-84Cells、PLA802细胞

MES-SACells;细胞背景资料:详见相关文献介绍;细胞传代方法:1:6-1:8传代;每周2-3次。;细胞生长特性:贴壁生长;细胞形态特性:成纤维细胞样 ;相关细胞有:MCF-12ACells、SUNE 1Cells、6-10B细胞

A549Cells;细胞背景资料:详见相关文献介绍;细胞传代方法:1:2-1:3传代;每周换液2-3次。;细胞生长特性:贴壁或悬浮,详见细胞说明书部分;细胞形态特性:详见细胞说明书;相关细胞有:D-341MedCells、38C13Cells、CATHa细胞

细胞传代方法:1:2-1:3传代;每周换液2-3次。

OVCAR-8 Cells|人卵巢癌克隆细胞

细胞来源说明:来源于RCB、ATCC、KCLB、DSMZ、ECACC、INCell、ScienCell、ECACC、JCRB、Asterand、ICLC等知名细胞库

原代细胞与细胞系有什么区别?细胞培养物来源于原代外植体或分散的细胞悬液。通常在这样的培养物中细胞增殖形成汇合地单层细胞或密集地细胞悬液。根据传统定义,次收获和接种的细胞被称为原代细胞[Freshney, R.I. (1987). Culture of Animal Cells. A Manual of Basic Technique. (New York, Alan R. Liss, Inc.)].这类细胞生命周期有限,在有限的生命周期内需掌握HAO细胞大的生长空间,以保持细胞群中基因型和表型的一致性。细胞系是不断生长,分化的细胞群,因其经过遗传改造,致使其具有无限增长的潜能。体外生长的细胞系用于医疗或科研。实际上,连续细胞系可以用大量次培养基培养,随着代数的增加细胞的基因型和表型都有可能发生改变。需要指出的是,在不同的科研小组中这些术语的定义会有所不同。许多研究员不用细胞系这个词表示细胞群除非细胞经过了遗传改造。

细胞生长特性:贴壁

细胞系(cell line)指原代细胞培养物经首次传代成功后所繁殖的细胞群体。 也指可长期连续传代的培养细胞。(由此便引申出了后来的有限细胞系(FiniteCellLine)、无限细胞系(InfiniteCellLine)),因此,细胞系狭义的是指可连续传代的细胞(定环境下口语和书面语都使用),广义是指可传代的细胞。肿瘤细胞系多由癌瘤建成,多呈类上皮型细胞,常已传几十代或百代以上,并具有不死性和异体接种致瘤性,丧失接触抑制能力。国际上美、英和日本等国已建有细胞库;美国已有美国标准细胞库或细胞银行(ATCC)和人遗传突变细胞库(HGMR)、细胞衰老细胞库(CAR)等,其中ATCC不仅是美国也世界大的细胞库。细胞系建立要求:什么样的体外培养群可被认可为己鉴定的细胞,视具体情况而定,无统一规定。对于用作原代培养的细胞只要供体均一,取材部位及组织种类等条件稳定即可,如用做长期培养,别是反复传代的细胞,常需做如下说明:组织来源:细胞供体所属物种,来自人体或者动物;个体性别、年龄;取材的器官或组织。如系肿瘤组织,应说明临床和病理诊断,以及病历号等。细胞生物学检测:了解细胞一般和殊的生物学性状,如细胞一般形态,异结构,细胞生长曲线和分裂指数,倍增时间,接种率等。如为肿瘤细胞,为说明来源于原肿瘤组织并保持恶性,须做软琼脂培养,异体接种致瘤和对正常组织侵润力等实验。培养条件和方法;应说明细胞系(或株)适应的生存环境,即指明使用的培养基、血清种类、用量以及适宜PH值。

CAL-12T细胞类似产品::BEL-7404细胞、RF/6A细胞、NCI-HUT-292细胞

MDA-453细胞类似产品::JCA1细胞、CHP-100细胞、Caco-2/BBe 1细胞

HT-1197细胞类似产品::766T细胞、GA-10 (Clone 4)细胞、HCT-8/V细胞

DMS-273细胞类似产品::Hs840_T细胞、2780细胞、201T细胞

Rat Glomerular Endothelial细胞类似产品::NCIH747细胞、JeKo-1细胞、NCI747细胞

WRL 68细胞类似产品::RAT2细胞、LIXC002细胞、U 138 MG细胞

WM 239细胞类似产品::PAEC细胞、DLD-1细胞、HCT8细胞

GM03573细胞类似产品::L5178Y TK+/-3.7.2c细胞、GM03320细胞、H-2141细胞

Hx147细胞类似产品::343 MG细胞、BJAB细胞、COLO 394细胞

Hepatoma-22细胞类似产品::NCI.H522细胞、Colo320细胞、B-104细胞

OVCAR-8 Cells|人卵巢癌克隆细胞

NCIH2029细胞类似产品::16-HBE细胞、CFPAC1细胞、Transformed Human Liver Epithelial-3细胞

BHP10-3细胞类似产品::A375-SM细胞、MES23.5细胞、SKGT2细胞

Kasumi-6细胞类似产品::WEHI-3B细胞、HS578细胞、OVCA 420细胞

MM1-S细胞类似产品::NR8383细胞、L-M (TK-)细胞、UMRC2细胞

Calu 3细胞类似产品::MV-1-Lu细胞、SW780细胞、RT4-D6-P2T细胞

NCI-H2023细胞类似产品::G-292细胞、Stanford University-Diffuse Histiocytic Lymphoma-5细胞、HOS (TE85)细胞

NCI-H2023细胞类似产品::G-292细胞、Stanford University-Diffuse Histiocytic Lymphoma-5细胞、HOS (TE85)细胞

SU.86.86细胞类似产品::D6P2T细胞、U031细胞、IMR90细胞

H69C细胞类似产品::H522细胞、MEF (CF-1)细胞、Jurkat E6-1细胞

526mel细胞类似产品::MC3T3-E1(C4)细胞、RPMI7951细胞、HD11细胞

MDA468细胞类似产品::QSG-7701细胞、FHs74Int细胞、HFSF细胞

Ramos细胞类似产品::CAL51细胞、PC-9细胞、C32 mel细胞

WEHI3B细胞类似产品::OS-732细胞、HepG2/C3A细胞、Madison细胞

ZR-75-30细胞类似产品::EBC-1/original细胞、SiHa细胞、EAC-E2G8细胞

Suzhou Human Glioma-44细胞类似产品::52PE细胞、H-157细胞、B16 melanoma F10细胞

NCI-H1770细胞类似产品::SKGIIIA细胞、HuH28细胞、TK.10细胞

CW2细胞类似产品::Epstein-Barr-2细胞、MJ细胞、HS 683T细胞

M4e细胞类似产品::GBCSD细胞、JeKo 1细胞、H676B细胞

Namalwa细胞类似产品::A 253细胞、CV-1 in Origin Simian-7细胞、Mc Ardle 7777细胞

Hmy.2 CIR细胞类似产品::Balb/c3T3细胞、NE1细胞、KYSE 450细胞

H-4-II-E细胞类似产品::8505C细胞、SNUC2A细胞、U-373-MG细胞

PaTu 8988 S细胞类似产品::Panc 02细胞、PLC细胞、NCTC clone 929细胞

H2141细胞类似产品::Reuber H-35细胞、LP-1细胞、NCI-Hut 125细胞

SKOV-433细胞类似产品::H1703细胞、Hs 729.T细胞、MC-26细胞

NCI-H1648细胞类似产品::CT26-clone 25细胞、UPCI:SCC154细胞、MSTO-211H细胞

SW-1088细胞类似产品::CEMO-1细胞、C17细胞、PL45细胞

K1细胞类似产品::McCoy B细胞、PLA-802细胞、PNEC30细胞

SW48细胞类似产品::NCI-H2452细胞、LAN5细胞、RS4:11细胞

COLO-679细胞类似产品::TE-6细胞、H283细胞、3T3-442A细胞

P3/X63/Ag8细胞类似产品::NCI-H1666细胞、HFSF细胞、CAL-62细胞

GM02132细胞类似产品::SNU-620细胞、VMM5A细胞、A549ATCC细胞

PA-1细胞类似产品::Becker细胞、NUGC-2细胞、NCIH1819细胞

HARA-B细胞类似产品::HUCCT1细胞、MARC145细胞、DR2R1610细胞

CAL 62细胞类似产品::NTC200细胞、TB1 Lu细胞、SP2-0-Ag14细胞

Normal Rat, August 3, 1983细胞类似产品::HL-60 clone15细胞、Rat 1细胞、HOK细胞

V 79-4细胞类似产品::FHs 74 Int细胞、K 562细胞、AU-565细胞

IMR-32细胞类似产品::BpRcl细胞、SKNF1细胞、Hs729T细胞

32D CL3细胞类似产品::NCI-H87细胞、Colo-201细胞、DAKIKI Clone 1细胞

INS-1E细胞类似产品::AA-Mel细胞、Ramos (RA)细胞、PL-45细胞

NCIH1836细胞类似产品::WM-451Lu细胞、HUT-125细胞、OVCAR 433细胞

H-508细胞类似产品::LLCPK1细胞、NCIH727细胞、University of Arizona Cell Culture-812细胞

OSKM-1细胞类似产品::CMEC/D3细胞、Hs 839.T细胞、CCD-841-CoTr细胞

FDCP-1细胞类似产品::M21细胞、HCC1599细胞、GT1-1细胞

U266B1细胞类似产品::OV433细胞、EO771细胞、OV1063细胞

MPC 11细胞类似产品::KLE细胞、H1105细胞、SEG-1细胞

TK-10细胞类似产品::Panc 03.27细胞、FLC-7细胞、Hep2细胞

GM02132细胞类似产品::SNU-620细胞、VMM5A细胞、A549ATCC细胞

GM00215ACells;细胞背景资料:肺;自发永生;雄性;细胞传代方法:1:2-1:3传代;每周换液2-3次。;细胞生长特性:贴壁;细胞形态特性:详见细胞说明书;相关细胞有:HOSEpiCCells、H2122Cells、GM02219D细胞

SN12CCells;细胞背景资料:详见相关文献介绍;细胞传代方法:2x10^4 cells/ml;细胞生长特性:贴壁生长;细胞形态特性:上皮细胞样;相关细胞有:H727Cells、D283-MEDCells、TJ905细胞

DMS273Cells;细胞背景资料:详见相关文献介绍;细胞传代方法:1:2-1:3传代;每周换液2-3次。;细胞生长特性:贴壁或悬浮,详见细胞说明书部分;细胞形态特性:详见细胞说明书;相关细胞有:CF PAC-1Cells、CC-LP-ICells、P-815细胞

RGC6Cells;细胞背景资料:胶质细胞株C6是由Benda等用N-nitrosomethylurea诱导的大鼠胶质瘤克隆,并经过一系列的体外培养和动物传代交替后建成的。 当细胞从低密度生长到满瓶时,S-100产量增加10倍。;细胞传代方法:1:2传代;细胞生长特性:贴壁生长;细胞形态特性:上皮细胞样;相关细胞有:SF-295Cells、MFE 296Cells、KYSE 180细胞

COLO 320FCells;细胞背景资料:详见相关文献介绍;细胞传代方法:1:2-1:3传代;每周换液2-3次。;细胞生长特性:贴壁;细胞形态特性:淋巴母Cells;相关细胞有:G-402Cells、IAR-20Cells、Immortalized Human Hepatocytes细胞

Hs-343-TCells;细胞背景资料:详见相关文献介绍;细胞传代方法:1:2—1:3传代;每周换液2-3次。;细胞生长特性:贴壁生长;细胞形态特性:成纤维Cells;相关细胞有:FL83BCells、RCK-8Cells、HCT FET细胞

REC 1Cells;细胞背景资料:详见相关文献介绍;细胞传代方法:1:3—1:6传代,2-3天换液1次;细胞生长特性:悬浮生长 ;细胞形态特性:淋巴母细胞样;相关细胞有:HCC-4006Cells、U266B1Cells、HOS (TE85, Clone F5)细胞

BpRclCells;细胞背景资料:详见相关文献介绍;细胞传代方法:1:4-1:6传代;每周换液2-3次。;细胞生长特性:贴壁生长;细胞形态特性:上皮细胞样;相关细胞有:HTR-8/SV neoCells、NCI-H508Cells、ARH 77细胞

Hut292Cells;细胞背景资料:详见相关文献介绍;细胞传代方法:1:3-1:8传代;2-3天换液1次。;细胞生长特性:贴壁生长;细胞形态特性:上皮样;相关细胞有:H650Cells、GM3569Cells、H-841细胞

OVCAR-8 Cells|人卵巢癌克隆细胞

NCIH524Cells;细胞背景资料:该细胞1982年建系,源自非小细胞肺癌男性患者的转移淋巴结。;细胞传代方法:1:2-1:3传代;每周换液2-3次。;细胞生长特性:悬浮生长;细胞形态特性:圆形Cells;相关细胞有:SDBMSCCells、MDA-415Cells、Kit225细胞

Hep IICells;细胞背景资料:Zui初认为这个细胞源自喉上皮癌,但随后通过同功酶分析、HeLa标记染色体和DNA指纹分析发现,起源细胞已被HeLa污染。 角蛋白免疫过氧化物酶染色阳性。;细胞传代方法:1:2传代;细胞生长特性:贴壁生长;细胞形态特性:上皮细胞样;相关细胞有:NCIH1581Cells、AnglneCells、MHCCLM3细胞

P388-D1Cells;细胞背景资料:详见相关文献介绍;细胞传代方法:1:2-1:3传代;每周换液2-3次。;细胞生长特性:悬浮;细胞形态特性:详见细胞说明书;相关细胞有:SCL-ICells、SU8686Cells、CoCL3细胞

EFM192BCells;细胞背景资料:详见相关文献介绍;细胞传代方法:1:2-1:3传代;每周换液2-3次。;细胞生长特性:贴壁或悬浮,详见细胞说明书部分;细胞形态特性:详见细胞说明书;相关细胞有:COLO-394Cells、NCI-H2227Cells、Helacyton gartleri细胞

Panc5.04Cells;细胞背景资料:详见相关文献介绍;细胞传代方法:1:2传代;细胞生长特性:贴壁生长;细胞形态特性:上皮样;相关细胞有:Hs281TCells、H2342Cells、TOV21细胞

U373Cells;细胞背景资料:胶质瘤;男性;细胞传代方法:1:2-1:3传代;每周换液2-3次。;细胞生长特性:贴壁;细胞形态特性:详见细胞说明书;相关细胞有:ASPC1Cells、BIC1Cells、Y-79细胞

Hs 445Cells;细胞背景资料:详见相关文献介绍;细胞传代方法:1:2-1:3传代;每周换液2-3次。;细胞生长特性:贴壁或悬浮,详见细胞说明书部分;细胞形态特性:详见细胞说明书;相关细胞有:OP9Cells、TK.10Cells、H-1963细胞

Hs 445Cells;细胞背景资料:详见相关文献介绍;细胞传代方法:1:2-1:3传代;每周换液2-3次。;细胞生长特性:贴壁或悬浮,详见细胞说明书部分;细胞形态特性:详见细胞说明书;相关细胞有:OP9Cells、TK.10Cells、H-1963细胞

HSC(Human Schwann)Cells;细胞背景资料:详见相关文献介绍;细胞传代方法:1:2-1:3传代;每周换液2-3次。;细胞生长特性:贴壁或悬浮,详见细胞说明书部分;细胞形态特性:详见细胞说明书;相关细胞有:CCC-HHM-2Cells、SupB15WCells、GM17219细胞

COLO.205Cells;细胞背景资料:该细胞系是1957年由T.U.Sample等从患有结肠癌的70岁男性白人的腹水中分离的。该病人在取腹水样品前已用5-尿嘧啶治疗4~6周。角蛋白免疫过氧化物酶染色阳性;产生CEA、IL10。;细胞传代方法:1:2传代;细胞生长特性:贴壁生长;细胞形态特性:上皮样;相关细胞有:PC3Cells、RCM1Cells、NCI-1155细胞

Earle's L cellsCells;细胞背景资料:详见相关文献介绍;细胞传代方法:1:2-1:3传代;每周换液2-3次。;细胞生长特性:贴壁或悬浮,详见细胞说明书部分;细胞形态特性:详见细胞说明书;相关细胞有:MGECsCells、NCI-SNU-620Cells、JHH7细胞

SUDHL-16Cells;细胞背景资料:详见相关文献介绍;细胞传代方法:1:2-1:3传代;每周换液2-3次。;细胞生长特性:贴壁或悬浮,详见细胞说明书部分;细胞形态特性:详见细胞说明书;相关细胞有:F-81Cells、Porcine Kidney-13Cells、NCIH1781细胞

NCTC 1469Cells;细胞背景资料:1952年建系,源于正常C3H/An小鼠的肝脏组织,表达H-2K抗原,鼠痘病毒阴性。;细胞传代方法:1:2-1:3传代;每周换液2-3次。;细胞生长特性:贴壁;细胞形态特性:淋巴母Cells;相关细胞有:WiDrTCCells、Rat Glomerular EndothelialCells、HCC-1171细胞

YD38Cells;细胞背景资料:详见相关文献介绍;细胞传代方法:1:2传代;细胞生长特性:贴壁或悬浮,详见细胞说明书部分;细胞形态特性:详见细胞说明书;相关细胞有:AG06814-JCells、OVCAR-8/ADRCells、143B细胞

NSC-34Cells;细胞背景资料:神经元;细胞传代方法:1:2-1:3传代;每周换液2-3次。;细胞生长特性:贴壁;细胞形态特性:详见细胞说明书;相关细胞有:CMKCells、FRhK-4Cells、SKRC 39细胞

MDA231-LM2-4175Cells;细胞背景资料:乳腺癌;细胞传代方法:1:2-1:3传代;每周换液2-3次。;细胞生长特性:贴壁;细胞形态特性:详见细胞说明书;相关细胞有:CSQT-2Cells、Leukemia L1210Cells、HCT-FET细胞

Hs 636.TCells;细胞背景资料:宫颈鳞癌;女性;细胞传代方法:1:2-1:3传代;每周换液2-3次。;细胞生长特性:贴壁;细胞形态特性:详见细胞说明书;相关细胞有:EFO-27Cells、HCC1428Cells、PAa细胞

OVHMCells;细胞背景资料:卵巢癌;细胞传代方法:1:2-1:3传代;每周换液2-3次。;细胞生长特性:贴壁;细胞形态特性:详见细胞说明书;相关细胞有:MV-522Cells、NCIH1963Cells、H9c2(2-1)细胞

PC12(高分化)Cells;细胞背景资料:该细胞系来自能移植的雄性大鼠肾上腺嗜铬细胞瘤。这些细胞表达神经生长因子(NGF)受体。NGF可诱导产生神经表型。这些细胞不合成。;细胞传代方法:消化3-5分钟。1:2。3天内可长满。;细胞生长特性:贴壁生长;细胞形态特性:多角形;相关细胞有:Oregon J-111Cells、HO-1-N-1Cells、PC3细胞

TE9Cells;细胞背景资料:详见相关文献介绍;细胞传代方法:消化3-5分钟。1:2。3天内可长满。;细胞生长特性:贴壁生长;细胞形态特性:上皮样;相关细胞有:GM03569Cells、NCIH838Cells、RPMI-6666细胞

VM-CUB1Cells;细胞背景资料:详见相关文献介绍;细胞传代方法:1:2-1:3传代;每周换液2-3次。;细胞生长特性:贴壁或悬浮,详见细胞说明书部分;细胞形态特性:详见细胞说明书;相关细胞有:HSC4Cells、MSCs(mUCMSCs)Cells、SW-948细胞

Lu-65Cells;细胞背景资料:详见相关文献介绍;细胞传代方法:1:10传代;细胞生长特性:贴壁生长;细胞形态特性:成纤维Cells;相关细胞有:LO2Cells、NCIH661Cells、MDAMB175细胞

BT549Cells;细胞背景资料:该细胞1978年由W.G.Coutinho和E.Y.Lasfargues建系,源自一位72岁患有乳腺导管癌的白人女性,来源组织包括乳头及浸润导管。该细胞形态包括上皮样细胞及多核巨细胞,可分泌一种粘性物质。;细胞传代方法:1:2传代;细胞生长特性:贴壁生长;细胞形态特性:上皮样;相关细胞有:HEC1-ACells、U343MGCells、DMS79细胞

Primary Liver Carcinoma/Poliomyelitis Research Foundation/5Cells;细胞背景资料:该细胞系分泌乙肝病毒表面抗原(HBsAg)。 此细胞系原先被支原体污染,后用BM-cycline去除支原体;细胞传代方法:1:2传代;细胞生长特性:贴壁生长;细胞形态特性:上皮样;相关细胞有:GM04671Cells、RKOE6Cells、CW2细胞

RFL 6Cells;细胞背景资料:胚肺;成纤维Cells;SD大鼠;细胞传代方法:1:2-1:3传代;每周换液2-3次。;细胞生长特性:贴壁;细胞形态特性:详见细胞说明书;相关细胞有:BT 325Cells、HEC1-ACells、SUM52细胞

SUDHL2Cells;细胞背景资料:弥漫性大细胞淋巴瘤;胸腔积液转移;女性;细胞传代方法:1:2-1:3传代;每周换液2-3次。;细胞生长特性:悬浮;细胞形态特性:详见细胞说明书;相关细胞有:L-M (TK-)Cells、SV-HUCCells、NCTC929细胞

Murine Leydig Tumor Cell line-1Cells;细胞背景资料:睾丸间质瘤;细胞传代方法:1:2-1:3传代;每周换液2-3次。;细胞生长特性:贴壁;细胞形态特性:详见细胞说明书;相关细胞有:GH3Cells、DrGCells、Hs 819.T细胞

HEK 293-FCells;细胞背景资料:详见相关文献介绍;细胞传代方法:1:2传代;细胞生长特性:贴壁生长;悬浮生长;细胞形态特性:上皮细胞样;相关细胞有:TR 146Cells、Chang liverCells、RPMI No. 1846细胞

PL-12Cells;细胞背景资料:详见相关文献介绍;细胞传代方法:1:2传代;细胞生长特性:贴壁生长;细胞形态特性:上皮样;相关细胞有:MOLT-3Cells、NCIH747Cells、NIE-115细胞

GM03190Cells;细胞背景资料:1967年,该细胞系KleinE和KleinG建系,源于一名16岁患有Burkitt's淋巴瘤的黑人男性,beta-2-微球蛋白阴性,表达EBNA,VCA,sIg。该细胞携带EB病毒,是一个典型的B淋巴母细胞系,可用于白血病发病机制的研究。;细胞传代方法:1:2传代;细胞生长特性:悬浮生长;细胞形态特性:淋巴母细胞样;相关细胞有:H-1092Cells、H69Cells、WiDr/S细胞

MKN 28Cells;细胞背景资料:详见相关文献介绍;细胞传代方法:1:2-1:3传代;每周换液2-3次。;细胞生长特性:贴壁或悬浮,详见细胞说明书部分;细胞形态特性:详见细胞说明书;相关细胞有:AG06814-NCells、RPMI #1846Cells、University of Michigan-Urothelial Carcinoma-1细胞

DHL-2Cells;细胞背景资料:弥漫性大细胞淋巴瘤;胸腔积液转移;女性;细胞传代方法:1:2-1:3传代;每周换液2-3次。;细胞生长特性:悬浮;细胞形态特性:详见细胞说明书;相关细胞有:Normal Rat KidneyCells、PL11Cells、Fu97细胞

HTori:3Cells;细胞背景资料:甲状腺;SV40转化;女性;细胞传代方法:1:2-1:3传代;每周换液2-3次。;细胞生长特性:贴壁;细胞形态特性:详见细胞说明书;相关细胞有:KBM-7/Hap8Cells、H4-II-ECells、SCC7细胞

"


OVCAR-8 Cells|人卵巢癌克隆;

公司简介

上海冠导生物工程有限公司,先后从ATCC、DSMZ、ECACC、RIKEN、PromoCell、ScienCell、JCRB等国内外细胞库引进细胞2000余株。以此为契机,公司组建了冠导细胞库,我司细胞均由资深细胞培养工程师进行培养。我司可以提供的细胞有:①细胞系②原代细胞③稳转株④耐药株⑤标记细胞⑥细胞配套试剂等。

成立日期 (11年)
注册资本 100万(元)
员工人数 50-100人
年营业额 ¥ 1000万-5000万
经营模式 工厂,试剂,定制,服务
主营行业 细胞培养,微生物学,细胞生物学

OVCAR-8 Cells|人卵巢癌克隆细胞相关厂家报价

内容声明
拨打电话 立即询价