基本信息 产品详情 公司简介 推荐产品
网站主页 化工产品目录 生物 细胞培养 细胞系 大鼠细胞系 INS-1E CELLS:大鼠胰岛素瘤细胞系 INS-1E Cells|大鼠胰岛素瘤克隆细胞
  • INS-1E Cells|大鼠胰岛素瘤克隆细胞

INS-1E Cells|大鼠胰岛素瘤克隆细胞

INS-1E Cells
询价 1000000细胞数 起订
2000000细胞数 起订
上海 更新日期:2026-04-22

上海冠导生物工程有限公司

VIP6年
联系人:全经理
电话:18818239863拨打
邮箱:3171921642@qq.com

产品详情:

中文名称:
INS-1E Cells|大鼠胰岛素瘤克隆细胞
英文名称:
INS-1E Cells
保存条件:
常温培养或液氮冻存
纯度规格:
INS-1E Cells|大鼠胰岛素瘤克隆细胞
产品类别:
生化试剂

"INS-1E Cells|大鼠胰岛素瘤克隆细胞

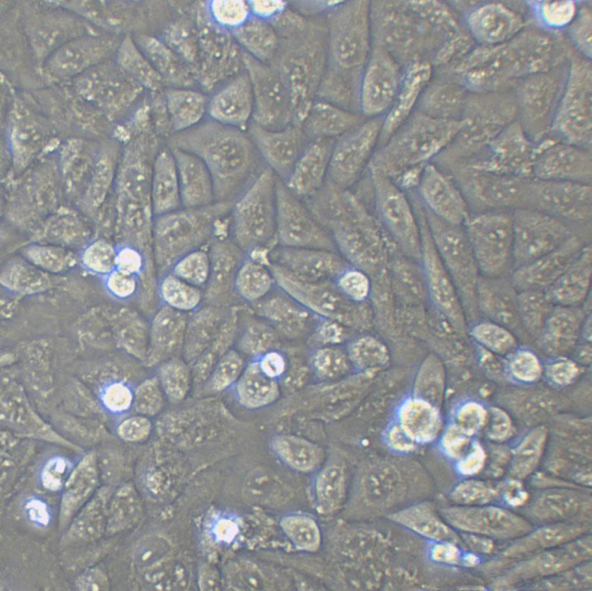
细胞形态:上皮细胞样

细胞生长:贴壁

细胞老化(cellular aging)是细胞随生物体年龄增长而发生退行性变化的总和。生物个体及其细胞须经生长、发育、老化及死亡等阶段,老化是生命发展的必然,任何细胞以及APSC多能细胞从诞生之时起,老化过程就开始了。老化的细胞结构蛋白、酶蛋白和受体蛋白合成减少,摄取营养和修复染色体损伤的能力均下降,表现为细胞和胞核变形,线粒体、GAO尔基体扭曲或呈囊泡状,胞质色素沉着,细胞体积缩小,由此导致器官重量减轻,间质增生硬化,功能代谢降低,储备功能不足。细胞分化(cell differentiation)是指同一来源的细胞逐渐产生出形态结构、功能征各不相同的细胞类群的过程,其结果是在空间上细胞产生差异,在时间上同一细胞与其从前的状态有所不同。细胞分化的本质是基因组在时间和空间上的选择性表达,通过不同基因表达的开启或关闭,终产生标志性蛋白质。一般情况下,细胞分化过程是不可逆的。然而,在某些条件下,分化了的细胞也不稳定,其基因表达模式也可以发生可逆性变化,又回到其未分化状态,这一过程称为去分化(dedifferentiation)。

H1105Cells;细胞背景资料:详见相关文献介绍;细胞传代方法:每周换液2-3次;细胞生长特性:悬浮生长;细胞形态特性:详见细胞说明书;相关细胞有:CHP 126Cells、SW579Cells、D-324MED细胞

mRECCells;细胞背景资料:视网膜;内皮Cells;细胞传代方法:1:2-1:3传代;每周换液2-3次。;细胞生长特性:贴壁;细胞形态特性:详见细胞说明书;相关细胞有:SKNBE(2c)Cells、16-HBE14oCells、LLC-PK-1细胞

HOSCells;细胞背景资料:详见相关文献介绍;细胞传代方法:1:2-1:4传代;每周换液2-3次。;细胞生长特性:贴壁生长;细胞形态特性:成纤维细胞和上皮细胞的混合样;相关细胞有:S16Cells、COLO680NCells、MIA-PaCa-2细胞

293GPCells;细胞背景资料:详见相关文献介绍;细胞传代方法:1:2-1:3传代;每周换液2-3次。;细胞生长特性:贴壁或悬浮,详见细胞说明书部分;细胞形态特性:详见细胞说明书;相关细胞有:BT.549Cells、H-23Cells、R3/1细胞

细胞物种来源:人源或鼠源等其它物种来源

INS-1E Cells|大鼠胰岛素瘤克隆细胞

[细胞产品包装]鲜活细胞:T25培养瓶(一瓶)或冻存细胞:1ml冻存管(两支)

悬浮细胞成簇,可能原因:培养液中含钙、镁离子;支原体污染;蛋白酶过度消化使得细胞裂解;DNA污染;解决方法:用无钙镁平衡盐溶液洗涤细胞,轻巧吹吸细胞获得单细胞悬液;分离培养物,检测支原体;用DNaseI处理细胞;培养细胞生长缓慢;可能原因:由于更换不同培养液或血清;培养液中一些细胞生长必需成分如谷氨酰胺或生长因子耗尽或缺乏或已被破坏;培养物中有少量细菌或真菌污染;试剂保存不当;接种细胞起始浓度太低;细胞已老化;支原体污染;解决方法:比较新培养液与原培养液成分,比较新血清与旧血清支持细胞生长实验,让细胞逐渐适应新培养液;换入新鲜配置培养液,或补加谷氨酰胺及生长因子;用无抗生素培养液培养,如发现污染,丢弃培养物;血清需保存在-10到-20℃。培养液需在2-8℃避光保存。含血清完全培养液在2-8℃保存,需在1周内用完;增加接种细胞起始浓度;换用新的保种细胞;分离培养物,检测支原体。清洁支架和培养箱。如发现支原体污染,丢弃培养物。

细胞背景资料:胰岛素瘤;NEDH

RT 112Cells;细胞背景资料:详见相关文献介绍;细胞传代方法:1:2-1:3传代;每周换液2-3次。;细胞生长特性:贴壁或悬浮,详见细胞说明书部分;细胞形态特性:详见细胞说明书;相关细胞有:PLC/PRF5Cells、H-2291Cells、KYSE0520细胞

HLFaCells;细胞背景资料:详见相关文献介绍;细胞传代方法:1:2-1:4传代;每周换液2次。;细胞生长特性:贴壁生长;细胞形态特性:成纤维Cells;相关细胞有:H1563Cells、SNU-398Cells、H2196细胞

174xCEM.T2Cells;细胞背景资料:详见相关文献介绍;细胞传代方法:1:3—1:6传代,每周换液2—3次;细胞生长特性:悬浮生长;细胞形态特性:淋巴母细胞样;相关细胞有:NCI-H446Cells、GA10Cells、H-460细胞

P3JHR1Cells;细胞背景资料:详见相关文献介绍;细胞传代方法:每2-3天换液;细胞生长特性:悬浮生长 ;细胞形态特性:淋巴母细胞样;相关细胞有:CEMC7Cells、ECC-10Cells、JB6Cl30细胞

细胞传代方法:1:2-1:3传代;每周换液2-3次。

INS-1E Cells|大鼠胰岛素瘤克隆细胞

细胞来源说明:来源于RCB、ATCC、KCLB、DSMZ、ECACC、INCell、ScienCell、ECACC、JCRB、Asterand、ICLC等知名细胞库

原代细胞与细胞系有什么区别?细胞培养物来源于原代外植体或分散的细胞悬液。通常在这样的培养物中细胞增殖形成汇合地单层细胞或密集地细胞悬液。根据传统定义,次收获和接种的细胞被称为原代细胞[Freshney, R.I. (1987). Culture of Animal Cells. A Manual of Basic Technique. (New York, Alan R. Liss, Inc.)].这类细胞生命周期有限,在有限的生命周期内需掌握HAO细胞大的生长空间,以保持细胞群中基因型和表型的一致性。细胞系是不断生长,分化的细胞群,因其经过遗传改造,致使其具有无限增长的潜能。体外生长的细胞系用于医疗或科研。实际上,连续细胞系可以用大量次培养基培养,随着代数的增加细胞的基因型和表型都有可能发生改变。需要指出的是,在不同的科研小组中这些术语的定义会有所不同。许多研究员不用细胞系这个词表示细胞群除非细胞经过了遗传改造。

细胞生长特性:贴壁

细胞系(cell line)指原代细胞培养物经首次传代成功后所繁殖的细胞群体。 也指可长期连续传代的培养细胞。(由此便引申出了后来的有限细胞系(FiniteCellLine)、无限细胞系(InfiniteCellLine)),因此,细胞系狭义的是指可连续传代的细胞(定环境下口语和书面语都使用),广义是指可传代的细胞。肿瘤细胞系多由癌瘤建成,多呈类上皮型细胞,常已传几十代或百代以上,并具有不死性和异体接种致瘤性,丧失接触抑制能力。国际上美、英和日本等国已建有细胞库;美国已有美国标准细胞库或细胞银行(ATCC)和人遗传突变细胞库(HGMR)、细胞衰老细胞库(CAR)等,其中ATCC不仅是美国也世界大的细胞库。细胞系建立要求:什么样的体外培养群可被认可为己鉴定的细胞,视具体情况而定,无统一规定。对于用作原代培养的细胞只要供体均一,取材部位及组织种类等条件稳定即可,如用做长期培养,别是反复传代的细胞,常需做如下说明:组织来源:细胞供体所属物种,来自人体或者动物;个体性别、年龄;取材的器官或组织。如系肿瘤组织,应说明临床和病理诊断,以及病历号等。细胞生物学检测:了解细胞一般和殊的生物学性状,如细胞一般形态,异结构,细胞生长曲线和分裂指数,倍增时间,接种率等。如为肿瘤细胞,为说明来源于原肿瘤组织并保持恶性,须做软琼脂培养,异体接种致瘤和对正常组织侵润力等实验。培养条件和方法;应说明细胞系(或株)适应的生存环境,即指明使用的培养基、血清种类、用量以及适宜PH值。

BAC1.2F5细胞类似产品::LAD-2细胞、HBVP细胞、VB细胞

PaTu 8988 S细胞类似产品::Panc 02细胞、PLC细胞、NCTC clone 929细胞

Kasumi-1细胞类似产品::NCIH1623细胞、HL-60 Clone 15细胞、NCI-H1155细胞

PA-1细胞类似产品::Becker细胞、NUGC-2细胞、NCIH1819细胞

MTC-TT细胞类似产品::UMC11细胞、MeWo细胞、HBVSMC细胞

SW 48细胞类似产品::HCe-8693细胞、MFHL-2细胞、Detroit-562细胞

NCIN87细胞类似产品::H1876细胞、NCIH841细胞、NCI-H2405细胞

NCI-H810细胞类似产品::ACHN细胞、JB6 Cl 30-7b细胞、H2228细胞

DU145细胞类似产品::RKN细胞、Mc Coy细胞、1.1B4细胞

HT144细胞类似产品::PCI-4.2细胞、COLO829细胞、HEK 293-H细胞

INS-1E Cells|大鼠胰岛素瘤克隆细胞

HUT-125细胞类似产品::HEL-92_1_7细胞、hTERT-RPE-1细胞、VeroE6细胞

HSC细胞类似产品::MDAMB435S细胞、AC29细胞、D407 RPE细胞

HL-60细胞类似产品::Panc-813细胞、CX-1细胞、KNS62细胞

MeSoTheliOma-211H细胞类似产品::BIU-87细胞、Instituto Biologico-Rim Suino-2细胞、SU-DHL-1细胞

H-1944细胞类似产品::SNB.19细胞、H-35细胞、Rat 2细胞

SW 1573细胞类似产品::Sp 2817细胞、CBRH7919细胞、MDA231细胞

SKMEL24细胞类似产品::32D clone 3细胞、UMNSAH/DF-1细胞、RGC6细胞

HCC-1187细胞类似产品::High 5细胞、Wistar Institute-38细胞、OCI-Ly8细胞

NCI-H2330细胞类似产品::SW 403细胞、NCI-H820细胞、MFC细胞

N1S1细胞类似产品::NTera2 cl.D1细胞、373MG细胞、RCF细胞

NCIH596细胞类似产品::Tu-212细胞、NCIH2066细胞、CL1细胞

Tu-177细胞类似产品::MUG-Chor1细胞、NIH:OVCAR-10细胞、WM2664细胞

CX-1细胞类似产品::MIA-Pa-Ca-2细胞、BV-2细胞、GM03320细胞

GM2132细胞类似产品::CCD 841 CoTr细胞、H2347细胞、WEHI-3细胞

HO1-N1细胞类似产品::SU-DHL-8细胞、Dakiki细胞、YH-13细胞

HCV-29细胞类似产品::E.L.4细胞、NCI-H-295细胞、Hmy.2 CIR细胞

HCV29细胞类似产品::GS9L细胞、HCC-1171细胞、WEHI 164细胞

OVCAR10细胞类似产品::U 937细胞、LS-180细胞、SAOS 2细胞

MUGCHOR1细胞类似产品::no.11细胞、HCCC-9810细胞、WIL2S细胞

H-2126细胞类似产品::A253细胞、VCaP细胞、Be Wo细胞

CT26-clone 25细胞类似产品::MRCV细胞、Hce8693细胞、SF 539细胞

A-427细胞类似产品::D407细胞、Centre Antoine Lacassagne-62细胞、SL-1细胞

HLEC细胞类似产品::50.B1细胞、HEK293A细胞、KE-39细胞

4-1st细胞类似产品::Stanford University-Diffuse Histiocytic Lymphoma-5细胞、HL 60细胞、NCI H548细胞

OCI/AML2细胞类似产品::BrCL18细胞、CORL26细胞、MDA415细胞

Vero细胞类似产品::H3255细胞、A-375SM细胞、32D.3细胞

H-524细胞类似产品::SRA01/04细胞、FC33细胞、Rat Glomerular Endothelial细胞

H1437细胞类似产品::C918细胞、THP1细胞、HGC27细胞

H2110细胞类似产品::COV504细胞、HEK-AD 293细胞、CCD18Co细胞

SUD-4细胞类似产品::CHOK1细胞、H4-II-E-C3细胞、CHL-IU细胞

Tu177细胞类似产品::CMT64细胞、Mhh-Call 2细胞、HPDE细胞

HUV-EC-C细胞类似产品::B16/F0细胞、H1184细胞、H2444细胞

HME1细胞类似产品::MC 116细胞、LNCaP clone FGC细胞、NCIH1666细胞

MPP-89细胞类似产品::Adeno-293细胞、COLO 738细胞、IBRS2细胞

RIN-14B细胞类似产品::Uhth-74细胞、TE11细胞、TE10细胞

OVCAR.5细胞类似产品::NCI-H2052细胞、LCLC103H细胞、NS1-Ag4细胞

SUDHL-8细胞类似产品::SK-MEL-1细胞、OCI-Ly18细胞、LS123细胞

MHHCALL2细胞类似产品::SK-MEL-24细胞、Mouse Forestomach Carcinoma细胞、WM35细胞

Mv1Lu细胞类似产品::P3X63-Ag8.653细胞、KU-812细胞、BIU-87细胞

NCIH2227细胞类似产品::OK细胞、RCC-JF细胞、HMrSV5细胞

SU-DHL6细胞类似产品::HuT78细胞、NCI-H661细胞、IOSE-29细胞

JKT1细胞类似产品::Hi-5细胞、PC3M-1E8细胞、CAL 120细胞

SKRC 39细胞类似产品::JM1细胞、HOCF细胞、NCI H69细胞

MDA-MB-175细胞类似产品::293T/17细胞、MDA-MB-453细胞、UCH-1细胞

Chang liver细胞类似产品::COS-7细胞、IB-RS2细胞、L-6TG细胞

HDLM-2细胞类似产品::MHCC-97细胞、D407细胞、H2106细胞

HEK-293-FT细胞类似产品::NP-69细胞、32D:cl3细胞、C3H/10T1/2-clone8细胞

COLO684Cells;细胞背景资料:详见相关文献介绍;细胞传代方法:1:2传代;细胞生长特性:悬浮生长;细胞形态特性:详见细胞说明书;相关细胞有:GP5dCells、MDA134Cells、SNUC1细胞

HT-1197Cells;细胞背景资料:详见相关文献介绍;细胞传代方法:1:5-1:10传代,2天换液1次。;细胞生长特性:贴壁生长;细胞形态特性:详见细胞说明书;相关细胞有:766TCells、GA-10 (Clone 4)Cells、HCT-8/V细胞

HCC-1569Cells;细胞背景资料:详见相关文献介绍;细胞传代方法:1:4—1:6传代,每周换液2—3次;细胞生长特性:混合生长;细胞形态特性:上皮样;相关细胞有:WSUDLCL2Cells、AN3 CACells、Hs606T细胞

TGW-nu-1Cells;细胞背景资料:详见相关文献介绍;细胞传代方法:1:2传代;细胞生长特性:贴壁生长;细胞形态特性:神经元Cells;相关细胞有:Hep2Cells、SW 626Cells、SF-539 BT细胞

EAhy 926Cells;细胞背景资料:详见相关文献介绍;细胞传代方法:1:2传代;细胞生长特性:贴壁生长;细胞形态特性:上皮细胞样;相关细胞有:SU86_86Cells、SK-MES-1Cells、huH 1细胞

CMKCells;细胞背景资料:详见相关文献介绍;细胞传代方法:1:2-1:3传代;每周换液2-3次。;细胞生长特性:贴壁或悬浮,详见细胞说明书部分;细胞形态特性:详见细胞说明书;相关细胞有:LS-411Cells、CV-1Cells、NCI-H128细胞

SK-N-BE-2Cells;细胞背景资料:1972年11月从一们多次化疗及放疗的扩散性神经母细胞瘤患儿骨髓穿刺物中建立了SK-N-BE(2)神经母细胞瘤细胞株。 该细胞显示中等水平的多巴胺-β-羟基酶活性。 有报道称SK-N-BE(2)细胞的饱和浓度超过1x106细胞/平方厘米。细胞形态多样,有的有长突触,有的呈上皮细胞样。 细胞会聚集,形成团块并浮起;细胞传代方法:1:2传代;细胞生长特性:贴壁生长;细胞形态特性:上皮细胞样;相关细胞有:ID8/MOSECCells、BpRc1Cells、SK-CO-1细胞

National Medical Center-Glioma 1Cells;细胞背景资料:详见相关文献介绍;细胞传代方法:1:2传代;细胞生长特性:贴壁生长;细胞形态特性:上皮Cells;相关细胞有:HBE 135-E6E7Cells、HSCT6Cells、KYSE 410细胞

rUCMSCsCells;细胞背景资料:脐带;间充质干Cells;细胞传代方法:1:2-1:3传代;每周换液2-3次。;细胞生长特性:贴壁;细胞形态特性:详见细胞说明书;相关细胞有:HEK.EBNACells、SBCells、ME16C细胞

INS-1E Cells|大鼠胰岛素瘤克隆细胞

Intestinal Porcine Epithelial Cell line-J2Cells;细胞背景资料:小肠;上皮Cells;自发永生;细胞传代方法:1:2-1:3传代;每周换液2-3次。;细胞生长特性:贴壁;细胞形态特性:详见细胞说明书;相关细胞有:B10BRCells、C-33ACells、HuH 6细胞

Kato-IIICells;细胞背景资料:详见相关文献介绍;细胞传代方法:1:2传代。3天内可长满。;细胞生长特性:贴壁生长;细胞形态特性:上皮Cells;相关细胞有:Ramos 1Cells、Mel-RMCells、ME180细胞

THP-1Cells;细胞背景资料:该细胞从一名1岁的患有急性单核细胞性白血病的男孩的外周血中分离建立。该细胞可以吞噬乳胶颗粒和激活的红细胞,细胞膜和胞浆内均没有免疫球蛋白,表达C3R和FcR;可受佛波酯TPA诱导向单核系方向分化;可作为转染宿主。;细胞传代方法:维持细胞浓度在2-4×105-8×105/ml,勿超过1×106/ml;2-3天换液1次。;细胞生长特性:悬浮生长;细胞形态特性:单核Cells;相关细胞有:OVCAR420Cells、P388-D1Cells、High Five细胞

SDBMSCCells;细胞背景资料:骨髓间充质干Cells;SD;细胞传代方法:1:2-1:3传代;每周换液2-3次。;细胞生长特性:贴壁;细胞形态特性:详见细胞说明书;相关细胞有:hSCC-25Cells、HSAS4Cells、VMM39细胞

SNU-601Cells;细胞背景资料:详见相关文献介绍;细胞传代方法:1:2-1:3传代;每周换液2-3次。;细胞生长特性:贴壁或悬浮,详见细胞说明书部分;细胞形态特性:详见细胞说明书;相关细胞有:NT2/D1Cells、PANC-03-27Cells、DSL-6A-C1细胞

SCL IICells;细胞背景资料:皮肤鳞癌;男性;细胞传代方法:1:2-1:3传代;每周换液2-3次。;细胞生长特性:贴壁;细胞形态特性:详见细胞说明书;相关细胞有:IBRS-2Cells、HO-8910Cells、J774.A1细胞

CL-34Cells;细胞背景资料:详见相关文献介绍;细胞传代方法:1:2-1:3传代;每周换液2-3次。;细胞生长特性:贴壁或悬浮,详见细胞说明书部分;细胞形态特性:详见细胞说明书;相关细胞有:MDA134Cells、IOSE-29Cells、Hep 3B细胞

CL-34Cells;细胞背景资料:详见相关文献介绍;细胞传代方法:1:2-1:3传代;每周换液2-3次。;细胞生长特性:贴壁或悬浮,详见细胞说明书部分;细胞形态特性:详见细胞说明书;相关细胞有:MDA134Cells、IOSE-29Cells、Hep 3B细胞

TE354TCells;细胞背景资料:详见相关文献介绍;细胞传代方法:1:2传代;细胞生长特性:贴壁生长 ;细胞形态特性:详见细胞说明书;相关细胞有:A2008Cells、RPMI6666Cells、PANC 813细胞

SW-1222Cells;细胞背景资料:详见相关文献介绍;细胞传代方法:1:2-1:3传代;每周换液2-3次。;细胞生长特性:贴壁或悬浮,详见细胞说明书部分;细胞形态特性:详见细胞说明书;相关细胞有:SEG1Cells、GTL 16Cells、RCK-8细胞

H1734Cells;细胞背景资料:详见相关文献介绍;细胞传代方法:1:4-1:6传代。;细胞生长特性:贴壁生长;细胞形态特性:上皮细胞样;相关细胞有:H-250Cells、211HCells、BE2C细胞

ssMCF7Cells;细胞背景资料:MCF-7细胞保留了多个分化了的乳腺上皮的特性,包括:能通过胞质雌激素受体加工雌二醇并能形成圆形复合物(domes)。该细胞含有Tx-4癌基因。肿瘤坏死因子α(TNFalpha)可以抑制MCF-7细胞的生长。抗雌激素处理细胞能调变IGFBP'S的分泌。;细胞传代方法:1:2传代,3-4天长满;细胞生长特性:贴壁生长;细胞形态特性:上皮样;相关细胞有:Mc CoyCells、NCI-H2106Cells、BEL/FU细胞

SW620Cells;细胞背景资料:SW620是从一个51岁男性白人组织中分离得到。由A.Leibovitz等从一个淋巴结建株。细胞系主要由无绒毛的小园球细胞和双极细胞组成。它仅合成少量癌胚抗原(CEA)且在裸鼠中有高度的致瘤性;细胞传代方法:1:3传代,2-3天换液一次;细胞生长特性:贴壁生长;细胞形态特性:上皮样;相关细胞有:Granta 519Cells、MD Anderson-Metastatic Breast-436Cells、Vero-76细胞

Human Intestinal Epithelial Cell-6Cells;细胞背景资料:肠;上皮Cells;细胞传代方法:1:2-1:3传代;每周换液2-3次。;细胞生长特性:贴壁;细胞形态特性:详见细胞说明书;相关细胞有:QGY7701Cells、CNE-2Cells、PK (15)细胞

HIT clone T15Cells;细胞背景资料:胰岛βCells;SV40转化;细胞传代方法:1:2-1:3传代;每周换液2-3次。;细胞生长特性:贴壁;细胞形态特性:详见细胞说明书;相关细胞有:NL20Cells、SVEC4-10Cells、NW-38细胞

Stanford University-Diffuse Histiocytic Lymphoma-5Cells;细胞背景资料:详见相关文献介绍;细胞传代方法:1:2-1:3传代;每周换液2-3次。;细胞生长特性:贴壁或悬浮,详见细胞说明书部分;细胞形态特性:详见细胞说明书;相关细胞有:MeWoCells、HCC-9724Cells、H-520细胞

BALL1Cells;细胞背景资料:详见相关文献介绍;细胞传代方法:1:2传代;细胞生长特性:悬浮生长;细胞形态特性:淋巴母Cells;相关细胞有:Wien 133Cells、HEH2Cells、UCLA-SO-M21细胞

SK BR 03Cells;细胞背景资料:这株细胞源自胸水。没有病毒颗粒。亚显微结构特征包括微丝和桥粒,肝糖原颗粒,大溶酶体,成束的细胞质纤丝。SK-BR-3细胞株过表达HER2/c-erb-2基因产物。;细胞传代方法:消化3-5分钟,1:2,3天内可长满;细胞生长特性:贴壁生长;细胞形态特性:上皮样;相关细胞有:3T3NIHCells、KTC1Cells、Hs 739.T细胞

H-187Cells;细胞背景资料:经典小细胞肺癌;胸腔积液转移;男性;细胞传代方法:1:2-1:3传代;每周换液2-3次。;细胞生长特性:悬浮;细胞形态特性:详见细胞说明书;相关细胞有:Hs27FCells、MDA-MB468Cells、JTC-39细胞

H-378Cells;细胞背景资料:小细胞肺癌;胸腔积液转移;女性;细胞传代方法:1:2-1:3传代;每周换液2-3次。;细胞生长特性:贴壁;细胞形态特性:详见细胞说明书;相关细胞有:SW839Cells、NCI-H87Cells、Alpha Mouse Liver 12细胞

EnCa1Cells;细胞背景资料:内膜腺癌;女性;细胞传代方法:1:2-1:3传代;每周换液2-3次。;细胞生长特性:贴壁;细胞形态特性:详见细胞说明书;相关细胞有:K7M2-WTCells、CHL-11Cells、NCI-H2023细胞

293/EBNACells;细胞背景资料:详见相关文献介绍;细胞传代方法:1:4-1:10传代;每周2次。;细胞生长特性:贴壁生长;细胞形态特性:上皮细胞样;相关细胞有:LS-180Cells、Line 870 Emory University-4Cells、MC3T3, E1 subgroup-4 clone细胞

DR2R 1610Cells;细胞背景资料:详见相关文献介绍;细胞传代方法:1:2-1:3传代;每周换液2-3次。;细胞生长特性:贴壁或悬浮,详见细胞说明书部分;细胞形态特性:详见细胞说明书;相关细胞有:GNMCells、DLD 1Cells、Panc2_03细胞

BDCMCells;细胞背景资料:详见相关文献介绍;细胞传代方法:每周2-3次。;细胞生长特性:悬浮生长;细胞形态特性:淋巴母Cells;相关细胞有:OCI/AML2Cells、Plaepi 34Cells、SUIT-2细胞

UT7Cells;细胞背景资料:该细胞于1988年建系;源于一名64岁患有急性粒细胞白血病(AMLM7)的男性的骨髓;对多种细胞因子有反应。;细胞传代方法:维持细胞浓度在1.0-1.5×106cells/ml,1:2传代,2-3天1次。;细胞生长特性:悬浮生长,有1%~2%的细胞可轻微贴壁。;细胞形态特性:圆形;相关细胞有:MEG01Cells、TE-671Cells、T/GHA-VSMC细胞

OV-90Cells;细胞背景资料:详见相关文献介绍;细胞传代方法:1:2-1:3传代,3-4天换液1次。;细胞生长特性:贴壁生长;细胞形态特性:上皮Cells;相关细胞有:P3JHR-1Cells、RK-13Cells、OK-WT细胞

Colo-678Cells;细胞背景资料:详见相关文献介绍;细胞传代方法:1:2-1:3传代;每周换液2-3次。;细胞生长特性:贴壁或悬浮,详见细胞说明书部分;细胞形态特性:详见细胞说明书;相关细胞有:SupB15WTCells、Hela-mockCells、Biopsy xenograft of Pancreatic Carcinoma line-3细胞

GCT0404Cells;细胞背景资料:骨巨细胞瘤;细胞传代方法:1:2-1:3传代;每周换液2-3次。;细胞生长特性:贴壁;细胞形态特性:详见细胞说明书;相关细胞有:HS766TCells、Roswell Park Memorial Institute 1788Cells、SL1细胞

Be WoCells;细胞背景资料:取自人绒癌脑转移组织,在仓鼠颊囊移植传代8年。利用移植瘤组织进行体外培养,建立细胞系。利用不同传代方法建立了不同亚系,JEG-3是其衍生克隆。该细胞可以产生雌激素、孕激素、雌酮、雌二醇、雌三醇、hCG、胎盘催乳素、角蛋白。;细胞传代方法:1:3传代,3-4天换液一次;细胞生长特性:贴壁生长;细胞形态特性:上皮样;相关细胞有:MDAMB330Cells、LNCaP C4-2BCells、IMR-32细胞

C-Li-7Cells;细胞背景资料:人肝癌细胞株。这株细胞从裸鼠体外移植瘤中建立。;细胞传代方法:1:2传代;细胞生长特性:贴壁生长 ;细胞形态特性:详见细胞说明书;相关细胞有:SW-780Cells、SJSA1Cells、KU 812F细胞

SW1990Cells;细胞背景资料:胰腺癌;男性;细胞传代方法:1:2-1:3传代;每周换液2-3次。;细胞生长特性:贴壁;细胞形态特性:详见细胞说明书;相关细胞有:SNU1040Cells、CACO2Cells、C-4I细胞

NCTC-3960Cells;细胞背景资料:黑色素瘤;雄性;DBA;细胞传代方法:1:2-1:3传代;每周换液2-3次。;细胞生长特性:贴壁;细胞形态特性:详见细胞说明书;相关细胞有:JVM-2Cells、HuT102Cells、TPC-1细胞

X63-Ag8-653Cells;细胞背景资料:详见相关文献介绍;细胞传代方法:1:2-1:3传代;每周换液2-3次。;细胞生长特性:贴壁或悬浮,详见细胞说明书部分;细胞形态特性:详见细胞说明书;相关细胞有:CemT4Cells、C-4-ICells、NCIH1155细胞

"


INS-1E Cells|大鼠胰岛素瘤克;

公司简介

上海冠导生物工程有限公司,先后从ATCC、DSMZ、ECACC、RIKEN、PromoCell、ScienCell、JCRB等国内外细胞库引进细胞2000余株。以此为契机,公司组建了冠导细胞库,我司细胞均由资深细胞培养工程师进行培养。我司可以提供的细胞有:①细胞系②原代细胞③稳转株④耐药株⑤标记细胞⑥细胞配套试剂等。

成立日期 (11年)
注册资本 100万(元)
员工人数 50-100人
年营业额 ¥ 1000万-5000万
经营模式 工厂,试剂,定制,服务
主营行业 细胞培养,微生物学,细胞生物学

INS-1E Cells|大鼠胰岛素瘤克隆细胞相关厂家报价

内容声明
拨打电话 立即询价