基本信息 产品详情 公司简介 推荐产品
网站主页 HSC-6 CELLS:人口腔鳞癌细胞系 HSC-6 Cells|人口腔鳞癌克隆细胞
  • HSC-6 Cells|人口腔鳞癌克隆细胞

HSC-6 Cells|人口腔鳞癌克隆细胞

HSC-6 Cells
询价 1000000细胞数 起订
2000000细胞数 起订
上海 更新日期:2026-04-23

上海冠导生物工程有限公司

VIP6年
联系人:全经理
电话:18818239863拨打
邮箱:3171921642@qq.com

产品详情:

中文名称:
HSC-6 Cells|人口腔鳞癌克隆细胞
英文名称:
HSC-6 Cells
保存条件:
常温培养或液氮冻存
纯度规格:
HSC-6 Cells|人口腔鳞癌克隆细胞
产品类别:
生物试剂

"HSC-6 Cells|人口腔鳞癌克隆细胞

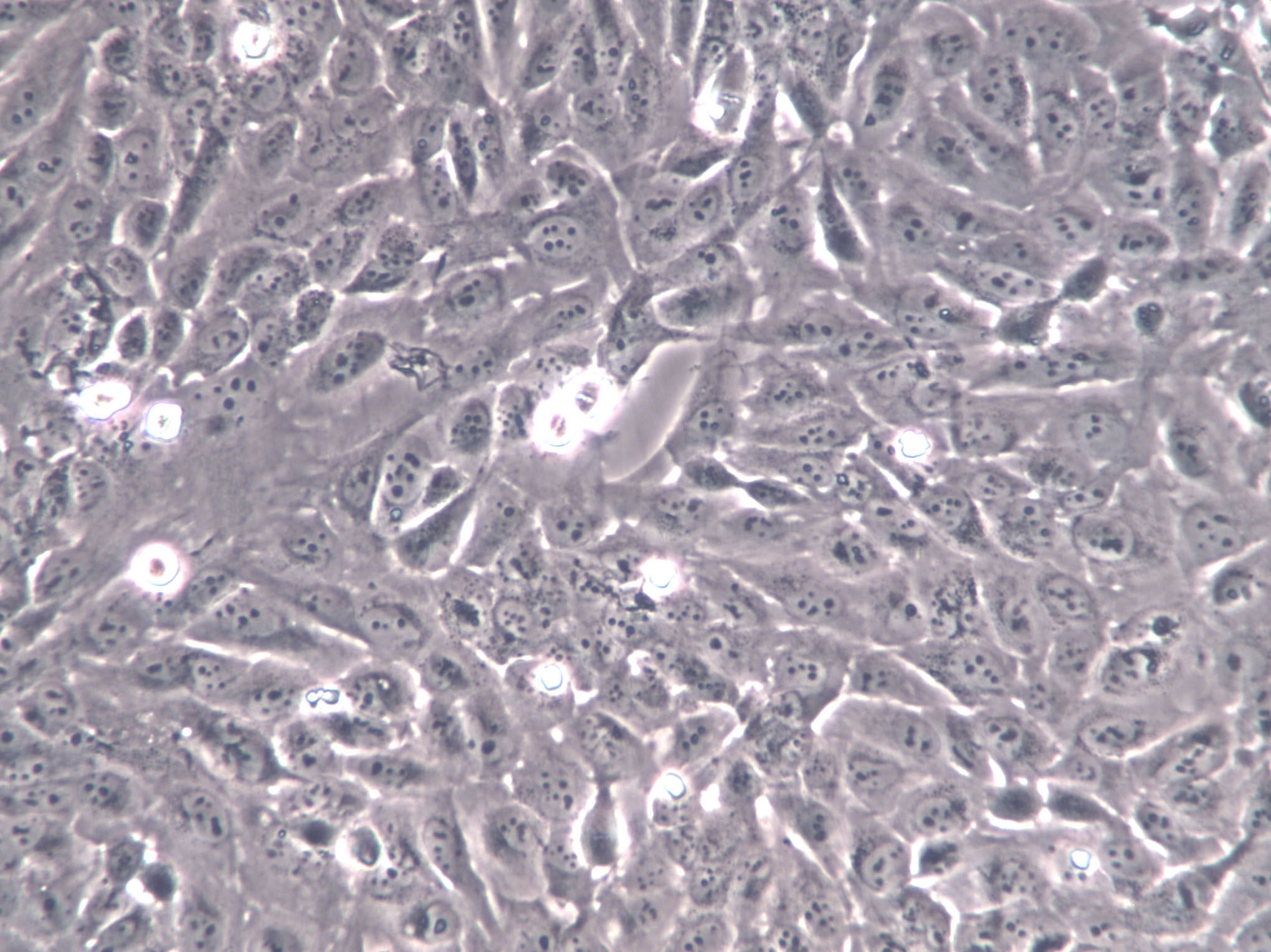
细胞形态:上皮细胞样

细胞生长:贴壁

细胞老化(cellular aging)是细胞随生物体年龄增长而发生退行性变化的总和。生物个体及其细胞须经生长、发育、老化及死亡等阶段,老化是生命发展的必然,任何细胞以及APSC多能细胞从诞生之时起,老化过程就开始了。老化的细胞结构蛋白、酶蛋白和受体蛋白合成减少,摄取营养和修复染色体损伤的能力均下降,表现为细胞和胞核变形,线粒体、GAO尔基体扭曲或呈囊泡状,胞质色素沉着,细胞体积缩小,由此导致器官重量减轻,间质增生硬化,功能代谢降低,储备功能不足。细胞分化(cell differentiation)是指同一来源的细胞逐渐产生出形态结构、功能征各不相同的细胞类群的过程,其结果是在空间上细胞产生差异,在时间上同一细胞与其从前的状态有所不同。细胞分化的本质是基因组在时间和空间上的选择性表达,通过不同基因表达的开启或关闭,终产生标志性蛋白质。一般情况下,细胞分化过程是不可逆的。然而,在某些条件下,分化了的细胞也不稳定,其基因表达模式也可以发生可逆性变化,又回到其未分化状态,这一过程称为去分化(dedifferentiation)。

HPMECCells;细胞背景资料:肺微血管;内皮Cells;细胞传代方法:1:2-1:3传代;每周换液2-3次。;细胞生长特性:贴壁;细胞形态特性:详见细胞说明书;相关细胞有:Hela-mockCells、GEOCells、FAK+/+细胞

REC-1Cells;细胞背景资料:详见相关文献介绍;细胞传代方法:1:3—1:6传代,2-3天换液1次;细胞生长特性:悬浮生长 ;细胞形态特性:淋巴母细胞样;相关细胞有:NCI-H-82Cells、MDA-MB 361Cells、SY5Y细胞

MDA-MB-330Cells;细胞背景资料:详见相关文献介绍;细胞传代方法:1:2-1:3传代;每周换液2-3次。;细胞生长特性:贴壁或悬浮,详见细胞说明书部分;细胞形态特性:详见细胞说明书;相关细胞有:U-226AR1Cells、SNU-216Cells、HLE B-3细胞

ANA1Cells;细胞背景资料:详见相关文献介绍;细胞传代方法:1:2传代;细胞生长特性:悬浮生长;细胞形态特性:详见细胞说明书;相关细胞有:C-127Cells、KBM7Cells、H-2081细胞

细胞物种来源:人源或鼠源等其它物种来源

HSC-6 Cells|人口腔鳞癌克隆细胞

[细胞产品包装]鲜活细胞:T25培养瓶(一瓶)或冻存细胞:1ml冻存管(两支)

细胞分化(cell differentiation)是指同一来源的细胞逐渐产生出形态结构、功能征各不相同的细胞类群的过程,其结果是在空间上细胞产生差异,在时间上同一细胞与其从前的状态有所不同。细胞分化的本质是基因组在时间和空间上的选择性表达,通过不同基因表达的开启或关闭,终产生标志性蛋白质。一般情况下,细胞分化过程是不可逆的。然而,在某些条件下,分化了的细胞也不稳定,其基因表达模式也可以发生可逆性变化,又回到其未分化状态,这一过程称为去分化(dedifferentiation)。细胞分化的点包括:细胞分化的潜能随个体发育进程逐渐“缩窄”,在胚胎发育过程中,细胞逐渐由“全能”到“多能”,后向“单能”的趋向,是细胞分化的一般规律;细胞分化具有时空性,在个体发育过程中,多细胞生物细胞既有时间上的分化,也有空间上的分化;细胞分化与细胞的分裂状态和速度相适应,分化必须建立在分裂的基础上,即分化必然伴随着分裂,但分裂的细胞不一定就分化。分化程度越GAO,分裂能力也就越差;细胞分化具有GAO度的稳定性,正常生理条件下,已经分化为某种异的、稳定类型的细胞一般不可能逆转到未分化状态或者成为其他类型的分化细胞;细胞分化具有可塑性,已分化的细胞在殊条件下重新进入未分化状态或转分化为另一种类型细胞的现象。

细胞背景资料:口腔鳞癌

PG-BE1Cells;细胞背景资料:肺巨细胞癌;细胞传代方法:1:2-1:3传代;每周换液2-3次。;细胞生长特性:贴壁;细胞形态特性:详见细胞说明书;相关细胞有:H-1792Cells、SUPT-1Cells、H510A细胞

AE1201Cells;细胞背景资料:详见相关文献介绍;细胞传代方法:1:2-1:3传代;每周换液2-3次。;细胞生长特性:贴壁或悬浮,详见细胞说明书部分;细胞形态特性:详见细胞说明书;相关细胞有:COLO 357Cells、WM-266-melCells、MM1S细胞

HFBCells;细胞背景资料:皮肤成纤维Cells;细胞传代方法:1:2-1:3传代;每周换液2-3次。;细胞生长特性:贴壁;细胞形态特性:详见细胞说明书;相关细胞有:SNU484Cells、SUSM-1Cells、BA/F3细胞

SK-LMS-1Cells;细胞背景资料:详见相关文献介绍;细胞传代方法:1:2-1:5传代,2-3天换液1次。;细胞生长特性:贴壁生长;细胞形态特性:成纤维Cells;相关细胞有:HNE1Cells、MDCC-MSB-1Cells、NCI-SNU-1细胞

细胞传代方法:1:2-1:3传代;每周换液2-3次。

HSC-6 Cells|人口腔鳞癌克隆细胞

细胞来源说明:来源于RCB、ATCC、KCLB、DSMZ、ECACC、INCell、ScienCell、ECACC、JCRB、Asterand、ICLC等知名细胞库

原代细胞与细胞系有什么区别?细胞培养物来源于原代外植体或分散的细胞悬液。通常在这样的培养物中细胞增殖形成汇合地单层细胞或密集地细胞悬液。根据传统定义,次收获和接种的细胞被称为原代细胞[Freshney, R.I. (1987). Culture of Animal Cells. A Manual of Basic Technique. (New York, Alan R. Liss, Inc.)].这类细胞生命周期有限,在有限的生命周期内需掌握HAO细胞大的生长空间,以保持细胞群中基因型和表型的一致性。细胞系是不断生长,分化的细胞群,因其经过遗传改造,致使其具有无限增长的潜能。体外生长的细胞系用于医疗或科研。实际上,连续细胞系可以用大量次培养基培养,随着代数的增加细胞的基因型和表型都有可能发生改变。需要指出的是,在不同的科研小组中这些术语的定义会有所不同。许多研究员不用细胞系这个词表示细胞群除非细胞经过了遗传改造。

细胞生长特性:贴壁

细胞传代比例:对于有限细胞系,传代时以二、四、八或十六倍(传代比率分别是2、4、8和16)降低细胞密度,计算群体倍增数更容易(即分别是传代比率2对应1次倍增,4对应2次倍增,8对应3次倍增,16对应4次倍增);例如,一传八的培养物需要3次倍增才能达到原来相同的细胞密度。脆弱的或生长缓慢的细胞系通常一传二,而有活力的,生长快速的细胞系可以一传八,甚至一传十六。有些连续细胞系可一传五十或一传100。一旦细胞系变为连续细胞系(通常经过150次或200次倍增以上),细胞浓度是主要参数,培养浓度应降至10(4)/ml--10(5)/ml之间。可选择传代间隔合适的传代比率或稀释度,或许为1周或2周,同时要保证:细胞密度不可稀释过低,使其延迟期合理(在24小时以内),可重新进入生长周期;而且在下次传代前不进人平台期。

Hs 281.T细胞类似产品::COLO-320-DM细胞、NCM460细胞、ARH-77细胞

PL-5细胞类似产品::CCRF-CEM细胞、UACC-893细胞、NTera2 cl.D1细胞

MS 751细胞类似产品::OVCA5细胞、BALB 3T3 clone A31细胞、NCI-H520细胞

8226/S细胞类似产品::LCD细胞、HCC-4006细胞、293细胞

Hs27细胞类似产品::K299细胞、OS-732细胞、HCC-44细胞

MUS-M1细胞类似产品::KE-37细胞、PCI-4M细胞、BNCL2细胞

SNU-407细胞类似产品::HCC-44细胞、SK UT 1细胞、TE-1细胞

HGC-27细胞类似产品::FLS细胞、H510细胞、Roswell Park Memorial Institute 7951细胞

ARIP细胞类似产品::AR4-2J细胞、H1666细胞、CFSC-2G细胞

Hs940-T细胞类似产品::NCI-H2228细胞、SNU-886细胞、DMS 79细胞

HSC-6 Cells|人口腔鳞癌克隆细胞

A2780/CP70细胞类似产品::A-375SM细胞、SNU-16细胞、alpha TC1-6细胞

MMAc-Serum Free细胞类似产品::OCI-Ly18细胞、TE-4细胞、KTCTL140细胞

GM06141细胞类似产品::RBL-I细胞、THP 1细胞、NCI N87细胞

KYSE410细胞类似产品::PTK-1细胞、HOS (TE85, Clone F5)细胞、WPE-int细胞

KNS-62细胞类似产品::UMNSAH-DF-1细胞、SK-N-BE(2)细胞、MNNG/HOS细胞

UM-UC-14细胞类似产品::CF-1 MEF细胞、GL261细胞、ZYM-DIEC02细胞

UM-UC-14细胞类似产品::CF-1 MEF细胞、GL261细胞、ZYM-DIEC02细胞

HUT125细胞类似产品::MLE 12细胞、P3X63Ag8653细胞、32D clone3细胞

P3.NS-1/1.Ag4.1细胞类似产品::BJAB细胞、SKUT1细胞、B16F1细胞

201T细胞类似产品::Fetal Bovine Heart Endothelial细胞、KALS-1细胞、MDBK (NBL-1)细胞

D341细胞类似产品::hFOB1.19细胞、CAL-120细胞、KASUMI6细胞

GM 2132细胞类似产品::GM04154B细胞、GI-1细胞、EFM-192A细胞

MDAMB435S细胞类似产品::Caco-2/BBe 1细胞、TOV21细胞、NCI-SNU-520细胞

RL细胞类似产品::SCC90细胞、NCIH596细胞、C22细胞

GMK,BSC-1细胞类似产品::TE 85 ClF-5细胞、HEK-AD293细胞、HARA-B细胞

H 9细胞类似产品::Tadarida brasiliensis 1 lung细胞、BE(2)C细胞、P3/NS1/1-Ag4.1细胞

TOV112D细胞类似产品::MKN7细胞、EB1细胞、HIC细胞

LS-123细胞类似产品::Hs 739.T细胞、HEK293-F细胞、H2330细胞

SU-DHL-16细胞类似产品::RH8994细胞、NPC-TW 01细胞、H184A1细胞

LS1034细胞类似产品::NRK-52E细胞、NCL-H548细胞、SK-N-F1细胞

HET-1A细胞类似产品::GM3190细胞、Caco2-BBE细胞、LX-2细胞

3T3 clone A31细胞类似产品::EC-109细胞、NB-4细胞、BDCM细胞

GL-261细胞类似产品::Hs-746T细胞、NCI-H1623细胞、CCLP-1细胞

Hx-147细胞类似产品::PLB 985细胞、MES-23.5细胞、PG-4细胞

GM05887细胞类似产品::RBL.2H3细胞、H-209细胞、ZR75_1细胞

IPLB-SF 21AE细胞类似产品::SKO3细胞、Intestinal Porcine Epithelial Cell line-J2细胞、HCC-2108细胞

B16/F10细胞类似产品::Panc_05_04细胞、CAL 39细胞、HCC366细胞

H4-II-E-C3细胞类似产品::Mel-624细胞、CESS细胞、THEECs细胞

Blotchy fibroblast-11细胞类似产品::Mevo细胞、OCI-AML-3细胞、UMC11细胞

H-146细胞类似产品::HCC-1359细胞、H64细胞、KALS1细胞

KYSE-270细胞类似产品::MCA 38细胞、NCI-H2108细胞、GM02132C细胞

A375S2细胞类似产品::H1341细胞、PANC 1005细胞、PNT1-a细胞

H-2228细胞类似产品::VB细胞、KE-39细胞、KP-N-RT-BM细胞

SK-MEL-3细胞类似产品::HBZY-1细胞、GM07404D细胞、Strain L-929细胞

NTERA-2/D1细胞类似产品::RM-1细胞、H-520细胞、MAVER-1细胞

OV1-P细胞类似产品::H740细胞、SK-ChA-1细胞、UPCI:SCC154细胞

Rat Fetal Lung-6细胞类似产品::JB6 [Mouse]细胞、HUV-EC-C细胞、SK-MEL-2细胞

BxPC-3细胞类似产品::RPMI-7666细胞、M 1细胞、H-345细胞

HuT78细胞类似产品::P3J HR1-K细胞、MHCC 97细胞、TALL-1 [Human adult T-ALL]细胞

NS20-Y细胞类似产品::F442-A细胞、HeLa229细胞、FM-88细胞

Ramos (RA 1)细胞类似产品::hESC细胞、K7M2 wt细胞、SW-1990细胞

HCC0095细胞类似产品::Ha Fe细胞、L-1210细胞、VMRCLCD细胞

BAR-T细胞类似产品::HEK-293F细胞、H22-H8D8细胞、CWR-22rv1细胞

T 98 G细胞类似产品::FHs74Int细胞、MLA144细胞、MPC-83细胞

RetroPack PT67细胞类似产品::MAD109细胞、CAL78细胞、T84细胞

639V细胞类似产品::Hs695T细胞、OPM2细胞、SUDHL-4细胞

639V细胞类似产品::Hs695T细胞、OPM2细胞、SUDHL-4细胞

HEK/293Cells;细胞背景资料:详见相关文献介绍;细胞传代方法:1:2-1:3传代;每周换液2-3次。;细胞生长特性:贴壁或悬浮,详见细胞说明书部分;细胞形态特性:详见细胞说明书;相关细胞有:VMM5ACells、Human Corneal Epithelial cells-TransformedCells、L-M[TK-]细胞

WM239Cells;细胞背景资料:黑色素瘤;女性;细胞传代方法:1:2-1:3传代;每周换液2-3次。;细胞生长特性:贴壁;细胞形态特性:详见细胞说明书;相关细胞有:GM03320DCells、SNU-423Cells、TU 686细胞

X63Ag8-653Cells;细胞背景资料:详见相关文献介绍;细胞传代方法:1:2-1:3传代;每周换液2-3次。;细胞生长特性:贴壁或悬浮,详见细胞说明书部分;细胞形态特性:详见细胞说明书;相关细胞有:HCMEC(BL12-H)Cells、HCCLM3Cells、GNM细胞

CA922Cells;细胞背景资料:详见相关文献介绍;细胞传代方法:1:2-1:3传代;每周换液2-3次。;细胞生长特性:贴壁生长;细胞形态特性:上皮Cells;相关细胞有:MOLT4Cells、Mv.1.LuCells、SK-N-SH细胞

M-1Cells;细胞背景资料:肾集合管;SV40转化;细胞传代方法:1:2-1:3传代;每周换液2-3次。;细胞生长特性:贴壁;细胞形态特性:详见细胞说明书;相关细胞有:HEEpiCCells、MD Anderson-Metastatic Breast-415Cells、RPMI7951细胞

SW 1417Cells;细胞背景资料:详见相关文献介绍;细胞传代方法:1:2—1:4传代,每周换液1-2次;细胞生长特性:贴壁生长;细胞形态特性:上皮Cells;相关细胞有:OB2Cells、SKMEL1Cells、U-2 OS细胞

L6565Cells;细胞背景资料:详见相关文献介绍;细胞传代方法:1:2-1:3传代;每周换液2-3次。;细胞生长特性:贴壁或悬浮,详见细胞说明书部分;细胞形态特性:详见细胞说明书;相关细胞有:GM00637FCells、MB157Cells、DU145细胞

HONE1Cells;细胞背景资料:鼻咽癌;男性;细胞传代方法:1:2-1:3传代;每周换液2-3次。;细胞生长特性:贴壁;细胞形态特性:详见细胞说明书;相关细胞有:T2 (174 x CEM.T2)Cells、TR-146Cells、Rin-M-5F细胞

NRK-52ECells;细胞背景资料:详见相关文献介绍;细胞传代方法:1:2传代;细胞生长特性:贴壁生长;细胞形态特性:上皮细胞样;相关细胞有:Wistar Institute, Susan HayflickCells、Mia PACA 2Cells、PC9细胞

HSC-6 Cells|人口腔鳞癌克隆细胞

alpha-TC1-6Cells;细胞背景资料:胰岛素瘤;aCells;C57BL/6xDBA/2;细胞传代方法:1:2-1:3传代;每周换液2-3次。;细胞生长特性:贴壁;细胞形态特性:详见细胞说明书;相关细胞有:SW-527Cells、CTV-1Cells、SLK细胞

IA-LMCells;细胞背景资料:详见相关文献介绍;细胞传代方法:1:2-1:3传代;每周换液2-3次。;细胞生长特性:贴壁或悬浮,详见细胞说明书部分;细胞形态特性:详见细胞说明书;相关细胞有:CCD-19LuCells、H2009Cells、H-220细胞

HPASMCCells;细胞背景资料:肺动脉平滑肌Cells;细胞传代方法:1:2-1:3传代;每周换液2-3次。;细胞生长特性:贴壁;细胞形态特性:详见细胞说明书;相关细胞有:SW780Cells、Hs-600-TCells、PAMC82细胞

ROS17/28Cells;细胞背景资料:骨肉瘤;ACI 9935;细胞传代方法:1:2-1:3传代;每周换液2-3次。;细胞生长特性:贴壁;细胞形态特性:详见细胞说明书;相关细胞有:Immortalized Human HepatocytesCells、MC57GCells、IGROV-1细胞

GM03571Cells;细胞背景资料:详见相关文献介绍;细胞传代方法:1:2-1:3传代;每周换液2-3次。;细胞生长特性:贴壁或悬浮,详见细胞说明书部分;细胞形态特性:详见细胞说明书;相关细胞有:Fetal Rhesus Kidney-4Cells、HCC-1395Cells、SU86.86细胞

WTRL1Cells;细胞背景资料:肺;成纤维样Cells;雄性;细胞传代方法:1:2-1:3传代;每周换液2-3次。;细胞生长特性:贴壁;细胞形态特性:详见细胞说明书;相关细胞有:AAV-293Cells、H-920Cells、DanG细胞

IEC 18Cells;细胞背景资料:详见相关文献介绍;细胞传代方法:1:2传代;细胞生长特性:贴壁生长;细胞形态特性:上皮样;相关细胞有:H865Cells、alpha-TC1-6Cells、CL-40细胞

B35Cells;细胞背景资料:神经母细胞瘤;BDIX;细胞传代方法:1:2-1:3传代;每周换液2-3次。;细胞生长特性:贴壁;细胞形态特性:详见细胞说明书;相关细胞有:HT-3Cells、NCI-H1688Cells、MeT-5A细胞

OSC19Cells;细胞背景资料:舌鳞癌;男性;细胞传代方法:1:2-1:3传代;每周换液2-3次。;细胞生长特性:贴壁;细胞形态特性:详见细胞说明书;相关细胞有:BL-6Cells、SEG-1Cells、SU86_86细胞

SK BR 03Cells;细胞背景资料:这株细胞源自胸水。没有病毒颗粒。亚显微结构特征包括微丝和桥粒,肝糖原颗粒,大溶酶体,成束的细胞质纤丝。SK-BR-3细胞株过表达HER2/c-erb-2基因产物。;细胞传代方法:消化3-5分钟,1:2,3天内可长满;细胞生长特性:贴壁生长;细胞形态特性:上皮样;相关细胞有:3T3NIHCells、KTC1Cells、Hs 739.T细胞

HCC1937Cells;细胞背景资料:这株细胞1995年10月13日Zui初来源于原发性导管癌, 用了11.5个月建株。肿瘤分类为TNM IIB期, 3级。BRCA1分析表明这株细胞是BRCA1 5382C突变纯合的, 而来源于同一病人的类淋巴母细胞细胞株在这个突变位点上是杂合的。 另两个家庭成员也有这个突变; 一个同卵双生姐妹也患有乳腺癌。这株细胞有一个后天的TP53突变, 而其野生型等位基因丢失; 一个PTEN基因的后天的纯合缺失, 以及多个与乳腺癌发病机理相关的位点上发生的杂合突变。这株细胞Her2-neu和p53表达都呈阴性。;细胞传代方法:1:2传代;4-5天传代一次。;细胞生长特性:贴壁生长;细胞形态特性:上皮样;多角形;相关细胞有:JROECL 21Cells、SHSY-5YCells、DMS53细胞

GT38Cells;细胞背景资料:胃癌;细胞传代方法:1:2-1:3传代;每周换液2-3次。;细胞生长特性:贴壁;细胞形态特性:详见细胞说明书;相关细胞有:TOGCells、CoCL3Cells、Mv 1 Lu细胞

FRH-0201Cells;细胞背景资料:胆管癌;细胞传代方法:1:2-1:3传代;每周换液2-3次。;细胞生长特性:贴壁;细胞形态特性:详见细胞说明书;相关细胞有:LNCaP-Clone-FGCCells、H-125Cells、SCLC-21H细胞

GM07404DCells;细胞背景资料:详见相关文献介绍;细胞传代方法:1:2传代;细胞生长特性:贴壁生长 ;细胞形态特性:详见细胞说明书;相关细胞有:H1838Cells、NS20YCells、KP2细胞

SKRC-42Cells;细胞背景资料:详见相关文献介绍;细胞传代方法:1:2-1:3传代;每周换液2-3次。;细胞生长特性:贴壁或悬浮,详见细胞说明书部分;细胞形态特性:详见细胞说明书;相关细胞有:H-1618Cells、Ra No. 1Cells、NK-92MI细胞

KE-37Cells;细胞背景资料:急性T淋巴细胞白血病;男性;细胞传代方法:1:2-1:3传代;每周换液2-3次。;细胞生长特性:悬浮;细胞形态特性:详见细胞说明书;相关细胞有:KE39Cells、6-T CEMCells、HM1900细胞

Hs840_TCells;细胞背景资料:详见相关文献介绍;细胞传代方法:1:4—1:8传代,每周换液2—3次;细胞生长特性:贴壁生长;细胞形态特性:成纤维Cells;相关细胞有:LIXC002Cells、578TCells、EoL-1 cell细胞

ML-2Cells;细胞背景资料:急性髓单核细胞白血病;男性;细胞传代方法:1:2-1:3传代;每周换液2-3次。;细胞生长特性:悬浮;细胞形态特性:详见细胞说明书;相关细胞有:CAMACells、H2452Cells、NCIH508细胞

Jiyoye(P-2003)Cells;细胞背景资料:详见相关文献介绍;细胞传代方法:每周2-3次。;细胞生长特性:悬浮生长;细胞形态特性:淋巴母Cells;相关细胞有:Cloudman S91 melanoma clone M-3Cells、ECC1Cells、Tb 1 Lu (NBL-12)细胞

NCIH441Cells;细胞背景资料:NCI-H441建系于1982年(A.F.Gazdar,etal.)。该细胞分离自一名肺腺癌患者的心包液。该细胞能在半固体琼脂糖中形成克隆,并能表达肺泡表面活性蛋白A。该细胞在有血清培养基中倍增时间为58小时,在无血清培养基中倍增时间为99-138小时。;细胞传代方法:1:3传代,2-3天传一代;细胞生长特性:贴壁生长;细胞形态特性:上皮细胞样;相关细胞有:ASH-3Cells、HACells、A-204细胞

HCa/16A3-FCells;细胞背景资料:肝癌;细胞传代方法:1:2-1:3传代;每周换液2-3次。;细胞生长特性:贴壁;细胞形态特性:详见细胞说明书;相关细胞有:SHEP1Cells、CCK-81Cells、RA.1细胞

LM2-4175Cells;细胞背景资料:乳腺癌;细胞传代方法:1:2-1:3传代;每周换液2-3次。;细胞生长特性:贴壁;细胞形态特性:详见细胞说明书;相关细胞有:Spodoptera frugiperda clone 9Cells、MHCC97Cells、T-98G细胞

Chang liverCells;细胞背景资料:详见相关文献介绍;细胞传代方法:1:2-1:3传代;每周换液2-3次。;细胞生长特性:贴壁或悬浮,详见细胞说明书部分;细胞形态特性:详见细胞说明书;相关细胞有:COS-7Cells、IB-RS2Cells、L-6TG细胞

NCI-SNU-387Cells;细胞背景资料:详见相关文献介绍;细胞传代方法:1:2传代;细胞生长特性:贴壁生长;细胞形态特性:上皮样;相关细胞有:Scott and White No. 13Cells、SK-BR-3Cells、Y1细胞

QGP1Cells;细胞背景资料:胰腺癌;男性;细胞传代方法:1:2-1:3传代;每周换液2-3次。;细胞生长特性:贴壁;细胞形态特性:详见细胞说明书;相关细胞有:NCI-H220Cells、MT-2JCells、LS-180细胞

JeKo 1Cells;细胞背景资料:一位套细胞淋巴瘤患者的巨细胞变种显示白血病转变,从其外周血单核细胞出发建立了MCL细胞株JeKo-1。 JeKo-1细胞EB病毒阴性,并表达一种B细胞表型的IgM。 细胞过表达cyclin D1, Bcl-2, c-Myc 及 Rb 蛋白。 Bcl-1/J(H)基因重排得到了PCR证实。 JeKo-1细胞在SCID小鼠中高成瘤。 [PubMed: 9753063];细胞传代方法:1:2传代。3天内可长满。;细胞生长特性:悬浮生长;细胞形态特性:淋巴母细胞样;相关细胞有:HPAF-2Cells、TE-8Cells、hOMF细胞

NCI-H1755Cells;细胞背景资料:详见相关文献介绍;细胞传代方法:1:2传代;细胞生长特性:贴壁生长;细胞形态特性:详见细胞说明书;相关细胞有:BEAS2BCells、Leukemia 1210Cells、LCLC103H细胞

bEnd3Cells;细胞背景资料:详见相关文献介绍;细胞传代方法:1:2-1:3传代;每周换液2-3次。;细胞生长特性:贴壁或悬浮,详见细胞说明书部分;细胞形态特性:详见细胞说明书;相关细胞有:OCI-LY-7Cells、T 98 GCells、HEL9217细胞

HTR8/SVneoCells;细胞背景资料:详见相关文献介绍;细胞传代方法:1:2-1:3传代;每周换液2-3次。;细胞生长特性:贴壁;细胞形态特性:上皮细胞样;相关细胞有:COS7Cells、P19Cells、Hela-Ap-1细胞

DF-1Cells;细胞背景资料:详见相关文献介绍;细胞传代方法:1:2传代;细胞生长特性:贴壁生长;细胞形态特性:成纤维母细胞样;相关细胞有:H1184Cells、UPCI:SCC090Cells、NCIH727细胞

COLO829Cells;细胞背景资料:详见相关文献介绍;细胞传代方法:1:3-1:6传代,2-3天换液1次。;细胞生长特性:贴壁生长;细胞形态特性:成纤维Cells;相关细胞有:HS-695TCells、L-02Cells、H341细胞

LYRCells;细胞背景资料:详见相关文献介绍;细胞传代方法:1:2-1:3传代;每周换液2-3次。;细胞生长特性:贴壁或悬浮,详见细胞说明书部分;细胞形态特性:详见细胞说明书;相关细胞有:SU-DHL6Cells、XuanWei Lung Cancer-05Cells、HSC6细胞

DC 2.4Cells;细胞背景资料:详见相关文献介绍;细胞传代方法:1:2传代;细胞生长特性:贴壁生长 ;细胞形态特性:详见细胞说明书;相关细胞有:526Cells、HFLS-OACells、NBL-S细胞

"


HSC-6 Cells|人口腔鳞癌克隆细;

公司简介

上海冠导生物工程有限公司,先后从ATCC、DSMZ、ECACC、RIKEN、PromoCell、ScienCell、JCRB等国内外细胞库引进细胞2000余株。以此为契机,公司组建了冠导细胞库,我司细胞均由资深细胞培养工程师进行培养。我司可以提供的细胞有:①细胞系②原代细胞③稳转株④耐药株⑤标记细胞⑥细胞配套试剂等。

成立日期 (11年)
注册资本 100万(元)
员工人数 50-100人
年营业额 ¥ 1000万-5000万
经营模式 工厂,试剂,定制,服务
主营行业 细胞培养,微生物学,细胞生物学

HSC-6 Cells|人口腔鳞癌克隆细胞相关厂家报价

  • HSC6细胞
  • HSC6细胞
  • 吉奥蓝图(广东)生命科学技术中心 VIP
  • 2026-04-17
  • 询价
  • HSC6细胞
  • HSC6细胞
  • 广州弗尔博生物科技有限公司
  • 2026-01-07
  • 询价
内容声明
拨打电话 立即询价