基本信息 产品详情 公司简介 推荐产品
网站主页 HPDE6-C7 CELLS:人正常胰腺导管上皮细胞系 HPDE6c7 Cells|人正常胰腺导管上皮克隆细胞
  • HPDE6c7 Cells|人正常胰腺导管上皮克隆细胞

HPDE6c7 Cells|人正常胰腺导管上皮克隆细胞

HPDE6c7 Cells
询价 1000000细胞数 起订
上海 更新日期:2026-04-12

上海冠导生物工程有限公司

VIP6年
联系人:全经理
电话:18818239863拨打
邮箱:3171921642@qq.com

产品详情:

中文名称:
HPDE6c7 Cells|人正常胰腺导管上皮克隆细胞
英文名称:
HPDE6c7 Cells
保存条件:
常温培养或液氮冻存
纯度规格:
HPDE6c7 Cells|人正常胰腺导管上皮克隆细胞
产品类别:
生化试剂

"HPDE6c7 Cells|人正常胰腺导管上皮克隆细胞

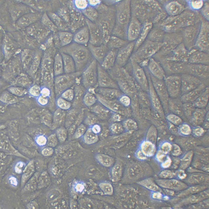
细胞形态:上皮细胞样

细胞生长:贴壁

悬浮细胞收到货后操作流程:打开包装箱,检查离心管是否漏液,若有漏液,请拍照留存,并于24h内及时联系客服;用75%酒精擦拭离心管表面,然后转移至二氧化碳培养箱中静置4h,仔细阅读细胞说明书,了解细胞培养信息;静置4h后,110g(1000rpm)离心3min,转移至安全柜中操作,用完全培养基重悬细胞沉淀至培养瓶或培养皿中培养;显微镜下观察细胞状态和密度,进行拍照;若细胞密度达到80%,可根据具体实验要求直接使用;否则置于培养箱中继续培养,至细胞密度达80%后再进行实验。

RCC4Cells;细胞背景资料:肾透明细胞癌;男性;细胞传代方法:1:2-1:3传代;每周换液2-3次。;细胞生长特性:贴壁;细胞形态特性:详见细胞说明书;相关细胞有:KM933Cells、NCI-SNU-423Cells、HEK 293-F细胞

MRC-VCells;细胞背景资料:MRC-5细胞系来自14周龄男性胎儿的正常肺组织,该细胞老化前能传代42~46个倍增时间。;细胞传代方法:1:2-1:5传代;每周1-2次。;细胞生长特性:贴壁生长;细胞形态特性:成纤维细胞样;相关细胞有:Human Pancreatic Duct EpithelialCells、HSC 3Cells、HO8910细胞

NCI522Cells;细胞背景资料:详见相关文献介绍;细胞传代方法:1:3-1:6传代;每周换液2-3次。;细胞生长特性:贴壁生长;细胞形态特性:上皮样;相关细胞有:MDA-kb2Cells、Epithelioma Papulosum CypriniCells、OCI-LY-19细胞

H-1404Cells;细胞背景资料:详见相关文献介绍;细胞传代方法:1:2-1:3传代;每周换液2-3次。;细胞生长特性:贴壁或悬浮,详见细胞说明书部分;细胞形态特性:详见细胞说明书;相关细胞有:RPMI.8226Cells、CCC-HSF-1Cells、HTR-8细胞

细胞物种来源:人源或鼠源等其它物种来源

HPDE6c7 Cells|人正常胰腺导管上皮克隆细胞

[细胞产品包装]鲜活细胞:T25培养瓶(一瓶)或冻存细胞:1ml冻存管(两支)

细胞常用保藏方法和点:-196℃液氮保存,冻存流程:手动程序降温:4℃(30分钟),-20℃(1小时),-80℃(过夜),移至-196℃液氮中保存。自动程序降温:冷冻管置于已设定HAO程序(按 1-3*C/min速率降至-120°C)的等速降温机中,再安置于液氮罐上。待程序完毕后,移除等速降温机,长期保存。点:操作相对复杂,需要程序降温。依赖液氮,需定期检查液氮罐,补加液氮。使用范围大,大部分细胞可以采用液氮保藏。设定-80℃超低温冰箱,冻存流程:收集对数生长期的细胞,用无血清细胞冻存液重悬细胞,置于冻存管中,不需预冷,直接-80℃冷冻长期保存。设定-80℃超低温冰箱。点:操作简单,无需程序降温;成分明确,不含血清,较少支原体等其他微生物污染。细胞使用范围小,对于大部分细胞冻存效果不佳。

细胞背景资料:详见相关文献介绍

Jurkat clone A3Cells;细胞背景资料:详见相关文献介绍;细胞传代方法:1:2-1:3传代;每周换液2-3次。;细胞生长特性:贴壁或悬浮,详见细胞说明书部分;细胞形态特性:详见细胞说明书;相关细胞有:LL/2 (LLC1)Cells、RTMCCells、RIN m5F细胞

RS4;11Cells;细胞背景资料:详见相关文献介绍;细胞传代方法:每周2-3次;细胞生长特性:悬浮生长;细胞形态特性:成淋巴Cells;相关细胞有:KYSE 150 KYSE150 Kyse150 KY150

Cells、Colo741Cells、D10G41细胞

WBF344Cells;细胞背景资料:详见相关文献介绍;细胞传代方法:1:2传代;细胞生长特性:贴壁生长;细胞形态特性:上皮样;相关细胞有:HCC1428Cells、TF-1Cells、WRL 68细胞

G 292 Clone A 141B1Cells;细胞背景资料:详见相关文献介绍;细胞传代方法:1:2-1:3传代;每周换液2-3次。;细胞生长特性:贴壁或悬浮,详见细胞说明书部分;细胞形态特性:详见细胞说明书;相关细胞有:T-HEECsCells、COV504Cells、X63-AG 8.653细胞

细胞传代方法:1:2-1:3传代;每周换液2-3次。

HPDE6c7 Cells|人正常胰腺导管上皮克隆细胞

细胞来源说明:来源于RCB、ATCC、KCLB、DSMZ、ECACC、INCell、ScienCell、ECACC、JCRB、Asterand、ICLC等知名细胞库

细胞培养是指从体内组织取出细胞在体外模拟体内环境下,使其生长繁殖,并维持其结构和功能的一种培养技术。细胞培养的培养物可以是单个细胞,也可以是细胞群。支原体污染对细胞的影响:影响细胞的生长状态及形态,支原体可使培液中支持细胞生长的营养物质含量减少,造成细胞生长缓慢甚至停止;细胞状态变差,生长变慢,在显微镜下观察可能会有小黑点,但培养基一般不发生浑浊。会导致细胞微管解聚,引起细胞一系列病变,表现为细胞收缩、贴壁细胞脱落、裂解等。细胞传代以后就出现细胞间黑点,细胞空泡化,很多类似凋亡、坏死的细胞,终细胞漂浮,完全死亡。影响细胞的代谢和功能,培液中的精氨酸被支原体大量消耗,引起细胞蛋白质、DNA、rRNA、mRNA的合成障碍;支原体活动使培养基成分发生改变(如发酵型支原体降解糖类产生酸性物质),影响细胞代谢;支原体吸附在细胞表面,破坏细胞膜的完整性,影响细胞信号传递;支原体消耗细胞的核苷库—染色体异常。此外,支原体污染还会影响一些病毒在细胞中的产量、使恶性细胞致癌能力下降、影响淋巴细胞分化等。

细胞生长特性:贴壁或悬浮,详见细胞说明书部分

细胞系(cell line)指原代细胞培养物经首次传代成功后所繁殖的细胞群体。 也指可长期连续传代的培养细胞。(由此便引申出了后来的有限细胞系(FiniteCellLine)、无限细胞系(InfiniteCellLine)),因此,细胞系狭义的是指可连续传代的细胞(定环境下口语和书面语都使用),广义是指可传代的细胞。肿瘤细胞系多由癌瘤建成,多呈类上皮型细胞,常已传几十代或百代以上,并具有不死性和异体接种致瘤性,丧失接触抑制能力。国际上美、英和日本等国已建有细胞库;美国已有美国标准细胞库或细胞银行(ATCC)和人遗传突变细胞库(HGMR)、细胞衰老细胞库(CAR)等,其中ATCC不仅是美国也世界大的细胞库。细胞系建立要求:什么样的体外培养群可被认可为己鉴定的细胞,视具体情况而定,无统一规定。对于用作原代培养的细胞只要供体均一,取材部位及组织种类等条件稳定即可,如用做长期培养,别是反复传代的细胞,常需做如下说明:组织来源:细胞供体所属物种,来自人体或者动物;个体性别、年龄;取材的器官或组织。如系肿瘤组织,应说明临床和病理诊断,以及病历号等。细胞生物学检测:了解细胞一般和殊的生物学性状,如细胞一般形态,异结构,细胞生长曲线和分裂指数,倍增时间,接种率等。如为肿瘤细胞,为说明来源于原肿瘤组织并保持恶性,须做软琼脂培养,异体接种致瘤和对正常组织侵润力等实验。培养条件和方法;应说明细胞系(或株)适应的生存环境,即指明使用的培养基、血清种类、用量以及适宜PH值。

U266S细胞类似产品::MC3T3-E1细胞、NCI-H2198细胞、SNU-449细胞

HT29细胞类似产品::SW 962细胞、OVCA-432细胞、HCT_116细胞

H2444细胞类似产品::H1437细胞、NCI-H1568细胞、SW 48细胞

MDA-MB361细胞类似产品::DMS-53细胞、LA4细胞、Mouse Podocyte Clone-5细胞

EC-109细胞类似产品::HRIF细胞、P3-X63Ag8.653细胞、SUDHL-1细胞

SK-RC 52细胞类似产品::BLO11细胞、McCoy细胞、Vertebral Cancer of the Prostate细胞

HuT102细胞类似产品::PLA-801D细胞、RPMI-8226细胞、NCl-H157细胞

SNU-398细胞类似产品::NOZ细胞、LICR-HN-6细胞、NF639细胞

EL 4细胞类似产品::L5178Y细胞、Hs 294T细胞、HuH-28细胞

SCC-1395细胞类似产品::mREC细胞、HCC-1500细胞、Buffalo Rat Liver-3A细胞

HPDE6c7 Cells|人正常胰腺导管上皮克隆细胞

H1437细胞类似产品::C918细胞、THP1细胞、HGC27细胞

B95-8细胞类似产品::TE 32.T细胞、CoC1细胞、118MG细胞

MAVER细胞类似产品::HuH 6细胞、FL-83B细胞、P3.NS-1/1.Ag4.1细胞

LAN-6细胞类似产品::H82sclc细胞、207细胞、CFPAC细胞

P3-X63-Ag8细胞类似产品::Colo-678细胞、Sp2/mIL-6细胞、HEY A8细胞

MDA-MB-231-GFP细胞类似产品::EJ细胞、LuCL4细胞、BTI-Tn-5B1-4细胞

MDA-MB-231-GFP细胞类似产品::EJ细胞、LuCL4细胞、BTI-Tn-5B1-4细胞

SUNE-1细胞类似产品::D10G41细胞、SCC 15细胞、Hs822T细胞

HCC-2279细胞类似产品::HPAEC细胞、UMRC2细胞、UO31细胞

OCILY10细胞类似产品::HLF-a细胞、RSMC细胞、C3H10T1/2 clone8细胞

T-cell Acute Lymphoblastic Leukemia-1细胞类似产品::Hs 766细胞、H-676细胞、RPVSMC细胞

Panc8.13细胞类似产品::GM04680细胞、Nb2a细胞、NCIH660细胞

SC1细胞类似产品::H-1105细胞、3AO细胞、RH30SJ细胞

L-6TG细胞类似产品::P-2003细胞、A875细胞、GS-9L细胞

KLM-1细胞类似产品::RPE1细胞、KALS1细胞、MEL细胞

RMS 13细胞类似产品::NCI-H1793细胞、EBC1细胞、LC-1Sq细胞

Hs746T细胞类似产品::CEMC1细胞、TE-6细胞、U-87细胞

H1954细胞类似产品::Eca109细胞、HEK-293-FT细胞、EAC细胞

MPC-83细胞类似产品::PL9细胞、MC 116细胞、H1355细胞

RPMI-6666细胞类似产品::SKG3A细胞、MC-116细胞、Madin-Darby Bovine Kidney细胞

CD18细胞类似产品::LUDLU 1细胞、MARC-145细胞、HCC0827细胞

NSC34细胞类似产品::NTera 2/cl.D1细胞、H.Ep. #2细胞、LC1-Sq细胞

Porcine Kidney-15细胞类似产品::PLA801C细胞、LS-1034细胞、8305C_1细胞

HUVSMC细胞类似产品::H1436细胞、H2081细胞、SKMEL-1细胞

EL 4细胞类似产品::L5178Y细胞、Hs 294T细胞、HuH-28细胞

AML-2细胞类似产品::OCI-Ly7细胞、NCI-H1755细胞、C-28I2细胞

B-CPAP细胞类似产品::MuM-2C细胞、SW 527细胞、KYSE 30细胞

SNUC2A细胞类似产品::A 549细胞、Panc_02_03细胞、Michigan Cancer Foundation-12A细胞

NCIH3255细胞类似产品::EAhy 926细胞、A-375细胞、VK2 (E6/E7)细胞

RBSMC细胞类似产品::LNCaP-C4-2细胞、MDA MB231细胞、HFT 8810细胞

HSAS3细胞类似产品::PE/CA-PJ-34细胞、Buffalo Rat Liver-3A细胞、HUTU80细胞

H-295细胞类似产品::RDES-1细胞、LOU-NH91细胞、T-cell Acute Lymphoblastic Leukemia-1细胞

SHIN3细胞类似产品::HO8910PM细胞、H187细胞、PC 61细胞

LTEPsm细胞类似产品::NCI-H596细胞、ONS76细胞、LC-1/sq细胞

Hs695细胞类似产品::NB4细胞、C-33-A细胞、M109细胞

H-125细胞类似产品::U937细胞、MV4II细胞、P388细胞

NCIH748细胞类似产品::A375S2细胞、Central Adrenergic TH-expressing a细胞、SUDHL-10细胞

SKMEL1细胞类似产品::HL-60 Clone 15细胞、HCC1954BL细胞、CHO-Lec1细胞

KLN-205细胞类似产品::RCS细胞、H1437细胞、Centre Antoine Lacassagne-51细胞

NCI-H1395细胞类似产品::NCI-HUT-520细胞、MESSA细胞、H-748细胞

TW01细胞类似产品::WEHI3B细胞、CCD966SK细胞、SKRC-39细胞

190PT细胞类似产品::Hs 888.T细胞、OCM1A细胞、Calu 3细胞

OK-WT细胞类似产品::BBE细胞、AML-193细胞、PLA-801C细胞

NTera 2细胞类似产品::N1E115细胞、NK62a细胞、NCI-H295细胞

RD 2细胞类似产品::SACCLM细胞、PANC-10-05细胞、COLO-HSR细胞

P3-X63-Ag8.653细胞类似产品::IMR 32细胞、SMMC 7721细胞、HCC-15细胞

P3-X63-Ag8.653细胞类似产品::IMR 32细胞、SMMC 7721细胞、HCC-15细胞

C3H10T1/2CL8Cells;细胞背景资料:详见相关文献介绍;细胞传代方法:1:2-1:3传代;每周换液2-3次。;细胞生长特性:贴壁或悬浮,详见细胞说明书部分;细胞形态特性:详见细胞说明书;相关细胞有:SKNFICells、TE-15Cells、H-2073细胞

Human Fetal Thymocyte-8810Cells;细胞背景资料:详见相关文献介绍;细胞传代方法:1:2-1:3传代;每周换液2-3次。;细胞生长特性:贴壁或悬浮,详见细胞说明书部分;细胞形态特性:详见细胞说明书;相关细胞有:HCC-1569Cells、H-69Cells、KATO III细胞

HIECCells;细胞背景资料:肠;上皮Cells;细胞传代方法:1:2-1:3传代;每周换液2-3次。;细胞生长特性:贴壁;细胞形态特性:详见细胞说明书;相关细胞有:Hs 600.TCells、DoHH-2Cells、CCRF.CEM细胞

SKGIIIACells;细胞背景资料:详见相关文献介绍;细胞传代方法:2x10^4 cells/ml;细胞生长特性:贴壁生长;细胞形态特性:上皮细胞样;相关细胞有:Strain L-929Cells、MDAMB415Cells、H1672细胞

MCF-7/AdrRCells;细胞背景资料:详见相关文献介绍;细胞传代方法:1:2-1:3传代;每周换液2-3次。;细胞生长特性:贴壁或悬浮,详见细胞说明书部分;细胞形态特性:详见细胞说明书;相关细胞有:RPMI no 8226Cells、NCIH28Cells、HBE135-E6E7细胞

Kit 225 K6Cells;细胞背景资料:详见相关文献介绍;细胞传代方法:1:2-1:3传代;每周换液2-3次。;细胞生长特性:贴壁或悬浮,详见细胞说明书部分;细胞形态特性:详见细胞说明书;相关细胞有:H-1385Cells、251 MGCells、VMM5细胞

Hs 636 TCells;细胞背景资料:宫颈鳞癌;女性;细胞传代方法:1:2-1:3传代;每周换液2-3次。;细胞生长特性:贴壁;细胞形态特性:详见细胞说明书;相关细胞有:SNG-MCells、Hs.27Cells、A-101D细胞

BTI-Tn-5B1-4Cells;细胞背景资料:详见相关文献介绍;细胞传代方法:1:2-1:3传代;每周换液2-3次。;细胞生长特性:贴壁或悬浮,详见细胞说明书部分;细胞形态特性:详见细胞说明书;相关细胞有:RMCCells、H1581Cells、OKT 3细胞

DR2R1610Cells;细胞背景资料:详见相关文献介绍;细胞传代方法:1:2-1:3传代;每周换液2-3次。;细胞生长特性:贴壁或悬浮,详见细胞说明书部分;细胞形态特性:详见细胞说明书;相关细胞有:253JCells、50.B1Cells、Tregs细胞

HPDE6c7 Cells|人正常胰腺导管上皮克隆细胞

HMO6Cells;细胞背景资料:小胶质Cells;细胞传代方法:1:2-1:3传代;每周换液2-3次。;细胞生长特性:贴壁;细胞形态特性:详见细胞说明书;相关细胞有:NG 108-15Cells、CNE2ZCells、H-378细胞

HEK 293 EBNACells;细胞背景资料:详见相关文献介绍;细胞传代方法:1:4-1:10传代;每周2次。;细胞生长特性:贴壁生长;细胞形态特性:上皮细胞样;相关细胞有:Rca-BCells、Hs 683.TCells、CHL-CL-11细胞

LY-RCells;细胞背景资料:详见相关文献介绍;细胞传代方法:1:2-1:3传代;每周换液2-3次。;细胞生长特性:贴壁或悬浮,详见细胞说明书部分;细胞形态特性:详见细胞说明书;相关细胞有:EJ1Cells、A498Cells、Colon-26细胞

H-1299Cells;细胞背景资料:这株细胞来源于一个淋巴结转移。患者接受了初期放疗。细胞均一性的部分缺失p53蛋白,并缺少p53蛋白表达。细胞可以合成0.1pmol/毫克蛋白的NMB蛋白,而不合成促胃液释放肽(GRP)。;细胞传代方法:1:2传代;3天传代一次。;细胞生长特性:贴壁生长;细胞形态特性:上皮样;多角形;相关细胞有:T98GCells、P116Cells、MFE 296细胞

G401Cells;细胞背景资料:详见相关文献介绍;细胞传代方法:1:2-1:6传代,每周2-3次。;细胞生长特性:贴壁生长;细胞形态特性:上皮细胞样;相关细胞有:PaTu-8988sCells、GM03571Cells、H322细胞

Leukemic 1210Cells;细胞背景资料:该细胞源于用0.2%甲基胆蒽(溶解)涂抹雌性小鼠的皮肤诱发的肿瘤,鼠痘病毒阴性。;细胞传代方法:1:2传代;细胞生长特性:悬浮生长;细胞形态特性:淋巴母细胞样;相关细胞有:NCI-H2108Cells、H-1693Cells、Co320细胞

P19Cells;细胞背景资料:P19细胞株是从C3H/He小鼠中诱导的恶性畸胎瘤中建立的。该细胞在含有0.1mM的培养基中可高效率地克隆。该细胞具有多能性,在500nM维A酸诱导下可以分化成神经和神经胶质样Cells;在0.5%~1.0%二甲亚砜(DMSO)存在下,分化形成心脏和骨骼肌样细胞,但不形成神经或神经胶质样Cells;在DMSO和维A酸同时存在时,细胞的分化与只有维A酸一样。;细胞传代方法:1:2传代;细胞生长特性:贴壁生长;细胞形态特性:上皮样;相关细胞有:KYSE140Cells、LN-18Cells、L 363细胞

P19Cells;细胞背景资料:P19细胞株是从C3H/He小鼠中诱导的恶性畸胎瘤中建立的。该细胞在含有0.1mM的培养基中可高效率地克隆。该细胞具有多能性,在500nM维A酸诱导下可以分化成神经和神经胶质样Cells;在0.5%~1.0%二甲亚砜(DMSO)存在下,分化形成心脏和骨骼肌样细胞,但不形成神经或神经胶质样Cells;在DMSO和维A酸同时存在时,细胞的分化与只有维A酸一样。;细胞传代方法:1:2传代;细胞生长特性:贴壁生长;细胞形态特性:上皮样;相关细胞有:KYSE140Cells、LN-18Cells、L 363细胞

HEK293Cells;细胞背景资料:详见相关文献介绍;细胞传代方法:1:2-1:3传代;每周换液2-3次。;细胞生长特性:贴壁或悬浮,详见细胞说明书部分;细胞形态特性:详见细胞说明书;相关细胞有:U-343-MGCells、HIMECCells、Murine Carcinoma-38细胞

GM-3573Cells;细胞背景资料:这是P3X63Ag8(ATCCTIB-9)的一个不分泌克隆。Kappa链合成了但不分泌。能抗0.1mM8-氮杂鸟嘌呤但不能在HAT培养基中生长。据报道它是由于缺失了3-酮类固醇还原酶活性的胆固醇营养缺陷型。检测表明肢骨发育畸形病毒(鼠痘)阴性。;细胞传代方法:1:2传代,3天内可长满。;细胞生长特性:悬浮生长;细胞形态特性:淋巴母Cells;相关细胞有:CCD18Cells、COLO-394Cells、CCRF-CEM C7细胞

B16-F10Cells;细胞背景资料:B16-F10是B16-F0的亚系。;细胞传代方法:消化3-5分钟。1:2。3天内可长满。;细胞生长特性:贴壁生长;细胞形态特性:详见细胞说明书;相关细胞有:Sp2/mIL-6Cells、HEK293-ACells、EU-4细胞

SL1Cells;细胞背景资料:详见相关文献介绍;细胞传代方法:1:2-1:3传代;每周换液2-3次。;细胞生长特性:贴壁或悬浮,详见细胞说明书部分;细胞形态特性:详见细胞说明书;相关细胞有:Cates-1BCells、NCI-H2347Cells、TFK1细胞

HT1197Cells;细胞背景资料:详见相关文献介绍;细胞传代方法:1:5-1:10传代,2天换液1次。;细胞生长特性:贴壁生长;细胞形态特性:详见细胞说明书;相关细胞有:190PTCells、MKN1Cells、A-375细胞

CT-26Cells;细胞背景资料:详见相关文献介绍;细胞传代方法:1:2-1:3传代;每周换液2-3次。;细胞生长特性:贴壁或悬浮,详见细胞说明书部分;细胞形态特性:详见细胞说明书;相关细胞有:Immortal Pig Intestinal-2ICells、Hs-606-TCells、A2780/Taxol细胞

H-1882Cells;细胞背景资料:详见相关文献介绍;细胞传代方法:1:2-1:3传代;每周换液2-3次。;细胞生长特性:贴壁或悬浮,详见细胞说明书部分;细胞形态特性:详见细胞说明书;相关细胞有:IPECJ2Cells、K7M2Cells、MIA PaCa-2细胞

BHKCells;细胞背景资料:详见相关文献介绍;细胞传代方法:1:2传代,每周换液1-2次。;细胞生长特性:贴壁生长;细胞形态特性:成纤维细胞样;相关细胞有:TECCells、I90Cells、H2085细胞

HBL1Cells;细胞背景资料:弥漫大B淋巴瘤;男性;细胞传代方法:1:2-1:3传代;每周换液2-3次。;细胞生长特性:悬浮;细胞形态特性:详见细胞说明书;相关细胞有:U2-OSCells、VSMCCells、D324细胞

AE1201Cells;细胞背景资料:详见相关文献介绍;细胞传代方法:1:2-1:3传代;每周换液2-3次。;细胞生长特性:贴壁或悬浮,详见细胞说明书部分;细胞形态特性:详见细胞说明书;相关细胞有:COLO 357Cells、WM-266-melCells、MM1S细胞

SW 1783Cells;细胞背景资料:间变性星形细胞瘤;男性;细胞传代方法:1:2-1:3传代;每周换液2-3次。;细胞生长特性:贴壁;细胞形态特性:详见细胞说明书;相关细胞有:BEL7404Cells、P-388Cells、LTPA细胞

870Cells;细胞背景资料:儿童急性髓系白血病;细胞传代方法:1:2-1:3传代;每周换液2-3次。;细胞生长特性:悬浮;细胞形态特性:详见细胞说明书;相关细胞有:H1650Cells、BTI-Tn5B14Cells、EFO 27细胞

D-341Cells;细胞背景资料:详见相关文献介绍;细胞传代方法:每周换液2-3次。;细胞生长特性:悬浮生长;细胞形态特性:髓母细胞样;相关细胞有:NHACells、COLO684Cells、BE2-M17细胞

Rat-1Cells;细胞背景资料:成纤维Cells;自发永生;Fischer 344;细胞传代方法:1:2-1:3传代;每周换液2-3次。;细胞生长特性:贴壁;细胞形态特性:详见细胞说明书;相关细胞有:GM00215ACells、MDA231Cells、KU-812-F细胞

EA.hy 926Cells;细胞背景资料:详见相关文献介绍;细胞传代方法:1:2传代;细胞生长特性:贴壁生长;细胞形态特性:上皮细胞样;相关细胞有:RAMSCsCells、SKMel-5Cells、HEI-193细胞

LAN-5Cells;细胞背景资料:神经母细胞瘤;骨髓转移;男性;细胞传代方法:1:2-1:3传代;每周换液2-3次。;细胞生长特性:贴壁;细胞形态特性:详见细胞说明书;相关细胞有:GA-10Cells、HCC941122Cells、HEM-L细胞

786-OCells;细胞背景资料:该细胞源自一位原发性肾透明细胞癌患者。该细胞有微绒毛和桥粒,能在软琼脂上生长。此细胞生成一种PTH(甲状旁腺素)样的多肽,与乳癌和肺癌中生成的肽相似,其N端序列与PTH相似,具有PTH样活性,分子量为6000D。;细胞传代方法:1:2传代;细胞生长特性:贴壁生长;细胞形态特性:上皮样;相关细胞有:P-19Cells、Y3MCells、KU812-F细胞

H-1355Cells;细胞背景资料:详见相关文献介绍;细胞传代方法:每周换液2次。;细胞生长特性:悬浮生长;细胞形态特性:详见细胞说明书;相关细胞有:CCC-HIE-2Cells、BERH-2Cells、UCLA NPA871细胞

KS-1 [Human glioblastoma]Cells;细胞背景资料:详见相关文献介绍;细胞传代方法:1:2传代;细胞生长特性:贴壁生长;细胞形态特性:成纤维Cells;相关细胞有:BEL 7405Cells、BC-021Cells、TE-7细胞

Sf-21Cells;细胞背景资料:详见相关文献介绍;细胞传代方法:1:2-1:3传代;每周换液2-3次。;细胞生长特性:贴壁或悬浮,详见细胞说明书部分;细胞形态特性:详见细胞说明书;相关细胞有:KAT5Cells、MiaPaca.2Cells、PC10细胞

U343Cells;细胞背景资料:详见相关文献介绍;细胞传代方法:1:2传代;细胞生长特性:贴壁生长 ;细胞形态特性:详见细胞说明书;相关细胞有:HEK AD293Cells、FO [Mouse myeloma]Cells、SKNBE(2)细胞

CAOV3Cells;细胞背景资料:该细胞1976年建系,源自一位54岁白人女性的卵巢腺癌组织。;细胞传代方法:1:3传代,2—3天换液一次;细胞生长特性:贴壁生长;细胞形态特性:上皮样;相关细胞有:CELCells、ACHNCells、B16-F1细胞

RPMI8402Cells;细胞背景资料:急性T淋巴细胞白血病;女性;细胞传代方法:1:2-1:3传代;每周换液2-3次。;细胞生长特性:悬浮;细胞形态特性:详见细胞说明书;相关细胞有:C-33 ACells、MDCC MSB1Cells、Rat 1细胞

786.OCells;细胞背景资料:该细胞源自一位原发性肾透明细胞癌患者。该细胞有微绒毛和桥粒,能在软琼脂上生长。此细胞生成一种PTH(甲状旁腺素)样的多肽,与乳癌和肺癌中生成的肽相似,其N端序列与PTH相似,具有PTH样活性,分子量为6000D。;细胞传代方法:1:2传代;细胞生长特性:贴壁生长;细胞形态特性:上皮样;相关细胞有:NCIH2347Cells、Caov-3Cells、NCIH1838细胞

GFP-Olig2Cells;细胞背景资料:胚胎干Cells;129X1/SvJ;细胞传代方法:1:2-1:3传代;每周换液2-3次。;细胞生长特性:贴壁;细胞形态特性:详见细胞说明书;相关细胞有:hTERT-RPECells、AML 12Cells、NCIH1618细胞

"


HPDE6c7 Cells|人正常胰腺导;

公司简介

上海冠导生物工程有限公司,先后从ATCC、DSMZ、ECACC、RIKEN、PromoCell、ScienCell、JCRB等国内外细胞库引进细胞2000余株。以此为契机,公司组建了冠导细胞库,我司细胞均由资深细胞培养工程师进行培养。我司可以提供的细胞有:①细胞系②原代细胞③稳转株④耐药株⑤标记细胞⑥细胞配套试剂等。

成立日期 (11年)
注册资本 100万(元)
员工人数 50-100人
年营业额 ¥ 1000万-5000万
经营模式 工厂,试剂,定制,服务
主营行业 细胞培养,微生物学,细胞生物学

HPDE6c7 Cells|人正常胰腺导管上皮克隆细胞相关厂家报价

内容声明
拨打电话 立即询价