基本信息 产品详情 公司简介 推荐产品
网站主页 化工产品目录 生物 细胞培养 细胞系 人细胞系 BT-474 CELLS:人乳腺导管瘤细胞系 BT-474 Cells|人乳腺导管瘤克隆细胞
  • BT-474 Cells|人乳腺导管瘤克隆细胞

BT-474 Cells|人乳腺导管瘤克隆细胞

BT-474 Cells
询价 1000000细胞数 起订
2000000细胞数 起订
上海 更新日期:2026-04-15

上海冠导生物工程有限公司

VIP6年
联系人:全经理
电话:18818239863拨打
邮箱:3171921642@qq.com

产品详情:

中文名称:
BT-474 Cells|人乳腺导管瘤克隆细胞
英文名称:
BT-474 Cells
保存条件:
常温培养或液氮冻存
纯度规格:
BT-474 Cells|人乳腺导管瘤克隆细胞
产品类别:
生化试剂

"BT-474 Cells|人乳腺导管瘤克隆细胞

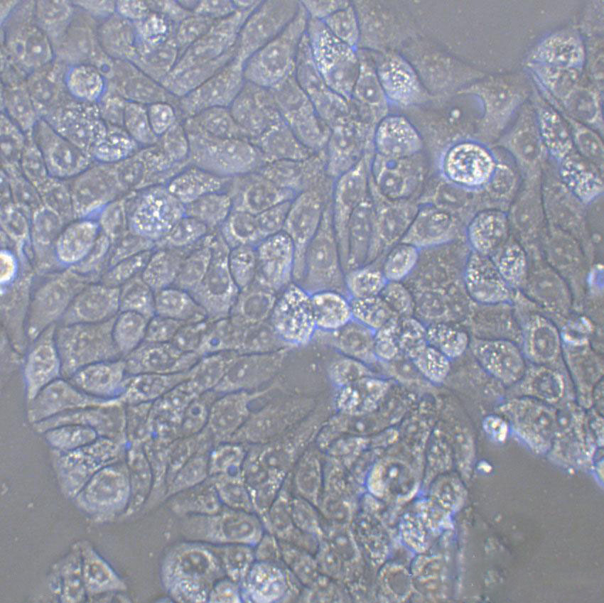
细胞形态:上皮细胞样

细胞生长:贴壁

悬浮细胞收到货后操作流程:打开包装箱,检查离心管是否漏液,若有漏液,请拍照留存,并于24h内及时联系客服;用75%酒精擦拭离心管表面,然后转移至二氧化碳培养箱中静置4h,仔细阅读细胞说明书,了解细胞培养信息;静置4h后,110g(1000rpm)离心3min,转移至安全柜中操作,用完全培养基重悬细胞沉淀至培养瓶或培养皿中培养;显微镜下观察细胞状态和密度,进行拍照;若细胞密度达到80%,可根据具体实验要求直接使用;否则置于培养箱中继续培养,至细胞密度达80%后再进行实验。

KMS11Cells;细胞背景资料:多发性骨髓瘤;细胞传代方法:1:2-1:3传代;每周换液2-3次。;细胞生长特性:悬浮;细胞形态特性:详见细胞说明书;相关细胞有:B 95-8Cells、HCA-7Cells、RBMEC细胞

BNCL-2Cells;细胞背景资料:详见相关文献介绍;细胞传代方法:1:2传代;细胞生长特性:贴壁生长 ;细胞形态特性:详见细胞说明书;相关细胞有:CAKI 2Cells、QGY-7701Cells、A72细胞

DI TNC-1Cells;细胞背景资料:详见相关文献介绍;细胞传代方法:1:2传代;细胞生长特性:贴壁生长;细胞形态特性:成纤维母细胞样;相关细胞有:MXICells、KP-4Cells、SW948细胞

CL1.0Cells;细胞背景资料:肺癌;男性;细胞传代方法:1:2-1:3传代;每周换液2-3次。;细胞生长特性:贴壁;细胞形态特性:详见细胞说明书;相关细胞有:COR-L 105Cells、M14-MELCells、MMAc-Serum Free细胞

细胞物种来源:人源或鼠源等其它物种来源

BT-474 Cells|人乳腺导管瘤克隆细胞

[细胞产品包装]鲜活细胞:T25培养瓶(一瓶)或冻存细胞:1ml冻存管(两支)

细胞培养中的污染分为两类,化学污染和生物污染。化学污染是一些对细胞有毒性的或对细胞产生刺激的化学物质。这些污染一般来自于没有洗净的器皿、不纯的化学试剂和质量较差的蒸馏水等。化学污染中比较引人注意的是细菌内毒素。它是革兰氏阴性细菌细胞死亡后解体释放出的疏水性的细胞壁组成物质,对塑料等疏水性强的物质有很强的吸附能力。细菌内毒素可刺激部分细胞产生一些激素或细胞因子,对细胞生长和实验结果产生影响。细菌内毒素是临床上的主要的热原(即注射到动物体内会导致动物发热),所以通过细胞培养生产的疫苗、细胞因子等用在临床上的药品的生产过程中更是要避免细菌内毒素的污染。

细胞背景资料:详见相关文献介绍

COLO-HSRCells;细胞背景资料:该细胞1984年建系,源自一位33岁患有大肠腺癌男性经5-fu治疗后的腹水。;细胞传代方法:1:2传代。3天内可长满。;细胞生长特性:半贴壁生长;细胞形态特性:详见细胞说明书;相关细胞有:H.Ep. #2Cells、HOC1Cells、rRTEC细胞

HCEC-B4G12Cells;细胞背景资料:角膜;内皮Cells;SV40转化;女性;细胞传代方法:1:2-1:3传代;每周换液2-3次。;细胞生长特性:贴壁;细胞形态特性:详见细胞说明书;相关细胞有:AX-MelCells、MNNGCells、H-1975细胞

BNL-CL.2Cells;细胞背景资料:详见相关文献介绍;细胞传代方法:1:2传代;细胞生长特性:贴壁生长 ;细胞形态特性:详见细胞说明书;相关细胞有:NW-MEL-38Cells、HSFCells、P31-FUJ细胞

RAW 264.7Cells;细胞背景资料:单核巨噬细胞白血病;雄性;BALB/c;细胞传代方法:1:2-1:3传代;每周换液2-3次。;细胞生长特性:贴壁;细胞形态特性:详见细胞说明书;相关细胞有:NCI-H2172Cells、MFM-223Cells、SK-GT-4细胞

细胞传代方法:1:2-1:3传代;每周换液2-3次。

BT-474 Cells|人乳腺导管瘤克隆细胞

细胞来源说明:来源于RCB、ATCC、KCLB、DSMZ、ECACC、INCell、ScienCell、ECACC、JCRB、Asterand、ICLC等知名细胞库

一旦您在细胞培养的过程中发现有黑点生成,首先,要肉眼观察培养基是否混浊,然后,在镜下观察培养细胞生长的状态,黑点是否游动。如果细胞被污染,微生物则会大量繁殖,培养基就会迅速变黄、变混浊。污染包括细菌污染、支原体污染等。如果在镜下观察细胞,生长状态良HAO,与黑点出现前相比,没有任何变化,那么,黑点的出现可能与以下几种情况有关:细胞生长过老,破碎的细胞残骸;血清质量不HAO,反复冻融的结果;配制培养基的pH值偏GAO,不宜细胞生长;配制培养基的水质、容器不合格。可应用离心、过滤的方法去除这些黑点;培养原代细胞中出现小黑点,可能是原代组织中的杂质,多次传代可以消除。

细胞生长特性:贴壁或悬浮,详见细胞说明书部分

细胞培养中的污染分为两类,化学污染和生物污染;生物污染包括比较容易发现的细菌、霉菌和酵母的污染,和较难发现的病毒、支原体和其他细胞的污染。细菌、霉菌和酵母到处存在,它们能在合适的环境中非常快速的生长。这些污染比较容易观察到,它们往往会使其污染的培养液产生可见的变化,或者通过显微镜观察就可以看见。由于病毒有种属异性,所以病毒污染的概率比较小。但是病毒污染难于发现,因为病毒颗粒别微小,一般的实验室都没能力检查细胞培养中污染的病毒。由于病毒一般潜伏在细胞内,对整个细胞培养不是致死的,所以它可能会使研究人员长期得到受病毒影响的细胞的实验结果。1956年Robinson及其同事首次发现细胞培养中的支原体污染。90年代初的一个调查发现,在美国培养的细胞中,至少有15%被支原体污染。由于支原体没有细胞壁,在细胞培养液中几乎是透明的,同时对常用于细胞培养中的抗生素不敏感,不引起pH变化,不使培养液浑浊,所以支原体污染不容易被发现,但是其存在会影响实验的结果。培养多种细胞时操作不当,会导致细胞的交叉污染。由于不同细胞的生产速率不同,污染的生长速率快的细胞终会完全取代被污染的细胞。

H209细胞类似产品::HN6细胞、SKHEP1细胞、SPCA1细胞

CCD1112Sk细胞类似产品::NB1RGB细胞、BL6细胞、MV-4:11细胞

U 937细胞类似产品::EAHY-926细胞、N1S1细胞、HBdSMC细胞

M.D. Anderson-Prostate Cancer-2b细胞类似产品::1E8-H细胞、H548细胞、Panc-03.27细胞

293EBNA细胞类似产品::GM-3573细胞、A375-MEL细胞、Hs-281-T细胞

KNS42细胞类似产品::MV4II细胞、HCC0095细胞、NCI-H526细胞

WM-239细胞类似产品::C8D1A细胞、Kit 225-K6细胞、2PK3细胞

MG63细胞类似产品::SW 1271细胞、VP 229细胞、SW 13细胞

BOWES细胞类似产品::T 24细胞、MDA 435细胞、3T3-A31细胞

RK13细胞类似产品::CCLP1细胞、AMJ2C8细胞、H-2444细胞

BT-474 Cells|人乳腺导管瘤克隆细胞

GM 637细胞类似产品::TALL 1细胞、MV-1-Lu细胞、HCT15细胞

HSAS1细胞类似产品::hEM15A细胞、NSH细胞、rHSC-99细胞

SNU5细胞类似产品::NCI-SNU-C2B细胞、Hela-Ap-1细胞、HEK 293-EBNA细胞

FDC-P1细胞类似产品::CMT-93细胞、NCTC clone 929细胞、COLO 829细胞

CNE细胞类似产品::JB6Cl30细胞、SP-2细胞、MC26细胞

MSC细胞类似产品::CALU1细胞、GT38细胞、ARPE-19细胞

MSC细胞类似产品::CALU1细胞、GT38细胞、ARPE-19细胞

LC2/Ad细胞类似产品::RCM1细胞、McG-1细胞、Hep II细胞

SK.OV.3细胞类似产品::HME1细胞、NUGC2细胞、Emory University-2细胞

293/EBNA-1细胞类似产品::SK_N_FI细胞、Ly3细胞、U2-OS细胞

2780CP细胞类似产品::KOPN8细胞、TFH细胞、CHP-100细胞

NCI-H2170细胞类似产品::Intestinal Porcine Epithelial Cell line-J2细胞、BHT101细胞、COLO-824细胞

HFF细胞类似产品::MAEC细胞、HuH 6细胞、P3.653细胞

HEEpiC细胞类似产品::Stanford University-Diffuse Histiocytic Lymphoma-6细胞、BE(2)-C细胞、JCA1细胞

RIN-m5F细胞类似产品::NCIN87细胞、CCC-HHM-2细胞、639V细胞

Hs 274.T细胞类似产品::KU.812细胞、HECV细胞、NCIH23细胞

JJN-3细胞类似产品::HOC1细胞、CW2细胞、UMUC14细胞

BTI-TN5B1-4细胞类似产品::HASMC细胞、NTera 2/cl.D1细胞、Human Pancreatic Duct Epithelial细胞

P3X63Ag8-6-5-3细胞类似产品::SUM102PT细胞、RINm5F细胞、RT112细胞

P3X63Ag8.653细胞类似产品::SW 48细胞、CMT-167细胞、Beta-TC-6细胞

MDA231细胞类似产品::JURKAT E-61细胞、Panc813细胞、KU-812细胞

P3 88 D1细胞类似产品::UM-UC-14细胞、SF-539 BT细胞、MES13细胞

DV-90细胞类似产品::Eca-109细胞、Wayne State University-Head and Neck 13细胞、Duck embryo细胞

PCI-4M细胞类似产品::hTERT RPE1细胞、52PE细胞、WM451Lu细胞

JeKo 1细胞类似产品::HPAF-2细胞、TE-8细胞、hOMF细胞

Wistar Institute-38细胞类似产品::PK(15)细胞、WM115细胞、PC 61-5-3细胞

LAN6细胞类似产品::TE-8细胞、AD-293细胞、U373细胞

LAN6细胞类似产品::TE-8细胞、AD-293细胞、U373细胞

SNU869细胞类似产品::Human Corneal Endothelial Cells-12细胞、MNNG/HOS细胞、A2780CP70细胞

Clone M-3细胞类似产品::MDA-MB435细胞、MOPC细胞、SNU-368细胞

Homo sapiens No. 578, tumor cells细胞类似产品::HS852.T细胞、NCI-H146细胞、Giant Cell Tumor细胞

MDA-330细胞类似产品::SPC-A-1细胞、H87细胞、10RGB细胞

CBRH-7919细胞类似产品::MH-S细胞、J774A.1细胞、BT20细胞

DHL-5细胞类似产品::KS-1 [Human glioblastoma]细胞、Human Microvascular Endothelial Cell line-1细胞、HCC0070细胞

SJRH 30细胞类似产品::NCI-H498细胞、GA-10(Clone 4)细胞、HVSMC细胞

HEK-293A细胞类似产品::ECV-304细胞、U-373 MG细胞、KPL-4细胞

RERFLCMS细胞类似产品::DI TNC-1细胞、Murine Leydig Tumor Cell line-1细胞、CV-1 in Origin Simian-1细胞

GI-1细胞类似产品::SUDHL-10细胞、SW-1088细胞、National Medical Center-Glioma 1细胞

PC-3M-IE8细胞类似产品::MDA-MB-231-GFP细胞、M059J细胞、CCK-81细胞

P388细胞类似产品::KG1细胞、H-378细胞、NH-6细胞

CT-26细胞类似产品::Immortal Pig Intestinal-2I细胞、Hs-606-T细胞、A2780/Taxol细胞

SNU-423细胞类似产品::CNE-2细胞、SRA01/04 (HLE)细胞、CTLA4 Ig-24细胞

624 MEL细胞类似产品::SNUC1细胞、CCD-841CoN细胞、COLO-684细胞

GRSL细胞类似产品::Granta519细胞、DBTRG-05MG细胞、NCI-H1836细胞

BMF细胞类似产品::TK10细胞、SW 1990细胞、N9细胞

Colon26细胞类似产品::ABE­8.1/2细胞、TE 85.T细胞、BCECs细胞

Colon26细胞类似产品::ABE­8.1/2细胞、TE 85.T细胞、BCECs细胞

NCIH1666Cells;细胞背景资料:详见相关文献介绍;细胞传代方法:1:2-1:4传代;每周换液2次。;细胞生长特性:贴壁生长,松散;细胞形态特性:上皮Cells;相关细胞有:MDCK (NBL-2)Cells、SUDHL10Cells、Murine Lung Epithelial-12细胞

C42Cells;细胞背景资料:前列腺癌;左锁骨上淋巴结转移;男性;细胞传代方法:1:2-1:3传代;每周换液2-3次。;细胞生长特性:贴壁;细胞形态特性:详见细胞说明书;相关细胞有:LUDLU-1Cells、1E8-HCells、PLA 802细胞

P3X63 Ag8.653Cells;细胞背景资料:详见相关文献介绍;细胞传代方法:1:2-1:3传代;每周换液2-3次。;细胞生长特性:贴壁或悬浮,详见细胞说明书部分;细胞形态特性:详见细胞说明书;相关细胞有:Factor Dependent Cell-Paterson 1Cells、HHL-5Cells、MDA231-LM2-4175细胞

A-10Cells;细胞背景资料:详见相关文献介绍;细胞传代方法:1:2-1:3传代;每周换液2-3次。;细胞生长特性:贴壁或悬浮,详见细胞说明书部分;细胞形态特性:详见细胞说明书;相关细胞有:Co-115Cells、CF-PAC1Cells、SJ-RH30细胞

P3 (Jiyoye)Cells;细胞背景资料:详见相关文献介绍;细胞传代方法:每周2-3次。;细胞生长特性:悬浮生长;细胞形态特性:淋巴母Cells;相关细胞有:hMSC-BMCells、CCD-1095SkCells、B-95-8细胞

LL/2(LLc1)Cells;细胞背景资料:详见相关文献介绍;细胞传代方法:1:2-1:3传代;每周换液2-3次。;细胞生长特性:贴壁或悬浮,详见细胞说明书部分;细胞形态特性:详见细胞说明书;相关细胞有:CHL/IUCells、MDA-MB-361Cells、SW 1463细胞

KU.812Cells;细胞背景资料:详见相关文献介绍;细胞传代方法:1:2传代。3天内可长满;细胞生长特性:悬浮生长;细胞形态特性:骨髓母Cells;相关细胞有:J-774A.1Cells、Hi-fiveCells、HEK-293-H细胞

H2195Cells;细胞背景资料:详见相关文献介绍;细胞传代方法:1:2-1:3传代;每周换液2-3次。;细胞生长特性:贴壁或悬浮,详见细胞说明书部分;细胞形态特性:详见细胞说明书;相关细胞有:NCI-SNU-449Cells、COLO679Cells、NCI H716细胞

OVCAR 4Cells;细胞背景资料:详见相关文献介绍;细胞传代方法:1:2-1:3传代;每周换液2-3次。;细胞生长特性:贴壁或悬浮,详见细胞说明书部分;细胞形态特性:详见细胞说明书;相关细胞有:TSCC1Cells、HIECCells、NPA-87细胞

BT-474 Cells|人乳腺导管瘤克隆细胞

SK-N-MCCells;细胞背景资料:这株细胞与HTB-11都是神经源的。1971年9月分离得到SK-N-MC后,发现它有中性多巴胺-β-羟化酶活性,也有细胞内儿茶胺,用甲醛可以诱导出荧光。;细胞传代方法:1:6-1:12传代,每周2-3次换液。;细胞生长特性:贴壁生长;细胞形态特性:上皮样;相关细胞有:Panc-02Cells、TE354TCells、MDA-MB231细胞

TEV-1Cells;细胞背景资料:滋养层;细胞传代方法:1:2-1:3传代;每周换液2-3次。;细胞生长特性:贴壁;细胞形态特性:详见细胞说明书;相关细胞有:4175Cells、Pan02Cells、Normal fibroblast-10细胞

RSC96Cells;细胞背景资料:雪旺Cells;自发永生;细胞传代方法:1:2-1:3传代;每周换液2-3次。;细胞生长特性:贴壁;细胞形态特性:详见细胞说明书;相关细胞有:PG [Human lung carcinoma]Cells、H-322Cells、Y 1细胞

MDA453Cells;细胞背景资料:该细胞系由CailleauR在1976年从一名48岁的患有转移性乳腺癌的白人女性的心包渗出液中分离建立的。该细胞表达FGF的受体。;细胞传代方法:1:2-1:4传代;2-3天换液1次;细胞生长特性:贴壁生长;细胞形态特性:上皮样;多角形;相关细胞有:EMT-6Cells、CEM clone 7Cells、P3/X63-Ag8细胞

HECVCells;细胞背景资料:详见相关文献介绍;细胞传代方法:1:2-1:3传代;每周换液2-3次。;细胞生长特性:贴壁或悬浮,详见细胞说明书部分;细胞形态特性:详见细胞说明书;相关细胞有:CCD 19LuCells、NCTC 3960Cells、PANC-28细胞

MN 60Cells;细胞背景资料:B细胞白血病;男性;细胞传代方法:1:2-1:3传代;每周换液2-3次。;细胞生长特性:悬浮;细胞形态特性:详见细胞说明书;相关细胞有:NCI-H719Cells、639-VCells、MZCRC1细胞

A20Cells;细胞背景资料:淋巴瘤;BALB/cAnN;细胞传代方法:1:2-1:3传代;每周换液2-3次。;细胞生长特性:悬浮;细胞形态特性:详见细胞说明书;相关细胞有:HNE2Cells、HME1Cells、95C细胞

A20Cells;细胞背景资料:淋巴瘤;BALB/cAnN;细胞传代方法:1:2-1:3传代;每周换液2-3次。;细胞生长特性:悬浮;细胞形态特性:详见细胞说明书;相关细胞有:HNE2Cells、HME1Cells、95C细胞

NCI-1155Cells;细胞背景资料:详见相关文献介绍;细胞传代方法:每周换液2-3次。;细胞生长特性:悬浮生长;细胞形态特性:上皮Cells;相关细胞有:GM05372Cells、MCF7-GFPCells、102PT细胞

H774Cells;细胞背景资料:详见相关文献介绍;细胞传代方法:每周换液2次。;细胞生长特性:悬浮生长;细胞形态特性:详见细胞说明书;相关细胞有:IAR 20Cells、C28/I2Cells、Functional Liver Cell-7细胞

H-774Cells;细胞背景资料:详见相关文献介绍;细胞传代方法:每周换液2次。;细胞生长特性:悬浮生长;细胞形态特性:详见细胞说明书;相关细胞有:GM00637Cells、SKNBECells、GB-1细胞

HuLEC-5aCells;细胞背景资料:肺微血管;内皮Cells;SV40转化;细胞传代方法:1:2-1:3传代;每周换液2-3次。;细胞生长特性:贴壁;细胞形态特性:详见细胞说明书;相关细胞有:AG06814-MCells、OCI-AML-5Cells、NBLAN5T细胞

WC00059Cells;细胞背景资料:详见相关文献介绍;细胞传代方法:1:2-1:3传代;每周换液2-3次。;细胞生长特性:贴壁或悬浮,详见细胞说明书部分;细胞形态特性:详见细胞说明书;相关细胞有:GM01232Cells、LTEPa2Cells、NCI H157细胞

DHBECells;细胞背景资料:支气管;上皮Cells;细胞传代方法:1:2-1:3传代;每周换液2-3次。;细胞生长特性:贴壁;细胞形态特性:详见细胞说明书;相关细胞有:SW900Cells、Suzhou Human Glioma-44Cells、Hep 3B2_1-7细胞

NCIH929Cells;细胞背景资料:详见相关文献介绍;细胞传代方法:保持细胞密度在5×105—1×106 cells/ml之间,每周换液2—3次;细胞生长特性:悬浮生长 ;细胞形态特性:淋巴母细胞样;相关细胞有:U-251MGCells、HuCCT-1Cells、MARC145细胞

University of Michigan-Renal Carcinoma-2Cells;细胞背景资料:肾透明细胞癌;细胞传代方法:1:2-1:3传代;每周换液2-3次。;细胞生长特性:贴壁;细胞形态特性:详见细胞说明书;相关细胞有:HT 1376.TCells、OVCAR 433Cells、PANC 1005细胞

MC3T3-E1 Subclone 4Cells;细胞背景资料:详见相关文献介绍;细胞传代方法:1:2-1:3传代;每周换液2-3次。;细胞生长特性:贴壁或悬浮,详见细胞说明书部分;细胞形态特性:详见细胞说明书;相关细胞有:RCFCells、H184A1Cells、CAL 148细胞

COLO 684Cells;细胞背景资料:详见相关文献介绍;细胞传代方法:1:2传代;细胞生长特性:悬浮生长;细胞形态特性:详见细胞说明书;相关细胞有:NCI-SNU-620Cells、AtT-20Cells、SKMEL2细胞

A-431Cells;细胞背景资料:该细胞源自一位患有皮肤鳞状细胞癌的85岁女性,是GiardDJ等人建立的一系列细胞株中的一株。该细胞在免疫抑制小鼠体内可成瘤,在琼脂上培养可形成克隆;是一个超三倍体人细胞株。;细胞传代方法:1:2传代;细胞生长特性:贴壁生长;细胞形态特性:上皮样;相关细胞有:RL95-2Cells、RajiCells、SKBR-3细胞

H-2228Cells;细胞背景资料:详见相关文献介绍;细胞传代方法:1:2-1:3传代,每周2-3次。;细胞生长特性:贴壁生长;细胞形态特性:详见细胞说明书;相关细胞有:VBCells、KE-39Cells、KP-N-RT-BM细胞

AQ-MelCells;细胞背景资料:详见相关文献介绍;细胞传代方法:1:2-1:4传代,2-3天换液1次。;细胞生长特性:贴壁生长;细胞形态特性:星形的;相关细胞有:SUM149PTCells、NCI522Cells、Jurkat E6.1细胞

ACC-2Cells;细胞背景资料:涎腺腺样囊性癌;男性;细胞传代方法:1:2-1:3传代;每周换液2-3次。;细胞生长特性:贴壁;细胞形态特性:详见细胞说明书;相关细胞有:NCIH226Cells、U373 MGCells、Pt K1 (NBL-3)细胞

VMRCRCZCells;细胞背景资料:详见相关文献介绍;细胞传代方法:1:6传代;细胞生长特性:贴壁生长;细胞形态特性:上皮Cells;相关细胞有:BE(2)-CCells、SL1Cells、NU-GC-3细胞

C6661Cells;细胞背景资料:详见相关文献介绍;细胞传代方法:1:2-1:3传代;每周换液2-3次。;细胞生长特性:贴壁;细胞形态特性:上皮细胞样;相关细胞有:MOLP-8Cells、THLE-3Cells、NS1细胞

NCIH2135Cells;细胞背景资料:详见相关文献介绍;细胞传代方法:1:2-1:3传代;每周换液2-3次。;细胞生长特性:贴壁或悬浮,详见细胞说明书部分;细胞形态特性:详见细胞说明书;相关细胞有:MES-SA-Dx5Cells、OE-21Cells、MD Anderson-Metastatic Breast-468细胞

KYSE-140Cells;细胞背景资料:食管鳞癌Cells;男性;细胞传代方法:1:2-1:3传代;每周换液2-3次。;细胞生长特性:贴壁;细胞形态特性:详见细胞说明书;相关细胞有:MDA-MB-453Cells、PCI-SG231Cells、BV-2细胞

NIH 3T3Cells;细胞背景资料:详见相关文献介绍;细胞传代方法:1:2-1:3传代;每周换液2-3次。;细胞生长特性:贴壁或悬浮,详见细胞说明书部分;细胞形态特性:详见细胞说明书;相关细胞有:AR42JCells、KYSE-150Cells、RPMI-2650细胞

BE(2)-M17Cells;细胞背景资料:详见相关文献介绍;细胞传代方法:1:2-1:3传代;每周换液2-3次。;细胞生长特性:贴壁或悬浮,详见细胞说明书部分;细胞形态特性:详见细胞说明书;相关细胞有:H-774Cells、A2780Cells、beta-TC6细胞

M109Cells;细胞背景资料:肺癌;BALB/c;细胞传代方法:1:2-1:3传代;每周换液2-3次。;细胞生长特性:贴壁;细胞形态特性:详见细胞说明书;相关细胞有:JARCells、RGC5Cells、Hs895.T细胞

GM02132Cells;细胞背景资料:来源于一位61岁的男性浆细胞瘤患者;可产生免疫球蛋白轻链,未检测到重链。;细胞传代方法:按1:2传代,5-6小时可以看到细胞分裂;细胞生长特性:悬浮生长;细胞形态特性:淋巴母细胞样;相关细胞有:SNU-620Cells、VMM5ACells、A549ATCC细胞

MNNG-HOS (Cl#5)Cells;细胞背景资料:骨肉瘤;女性;细胞传代方法:1:2-1:3传代;每周换液2-3次。;细胞生长特性:贴壁;细胞形态特性:详见细胞说明书;相关细胞有:P31-FUJCells、HCGCCells、Hi-5细胞

WTRL1Cells;细胞背景资料:肺;成纤维样Cells;雄性;细胞传代方法:1:2-1:3传代;每周换液2-3次。;细胞生长特性:贴壁;细胞形态特性:详见细胞说明书;相关细胞有:AAV-293Cells、H-920Cells、DanG细胞

HTR8/SVneoCells;细胞背景资料:详见相关文献介绍;细胞传代方法:1:2-1:3传代;每周换液2-3次。;细胞生长特性:贴壁;细胞形态特性:上皮细胞样;相关细胞有:COS7Cells、P19Cells、Hela-Ap-1细胞

"


BT-474 Cells|人乳腺导管瘤克;

公司简介

上海冠导生物工程有限公司,先后从ATCC、DSMZ、ECACC、RIKEN、PromoCell、ScienCell、JCRB等国内外细胞库引进细胞2000余株。以此为契机,公司组建了冠导细胞库,我司细胞均由资深细胞培养工程师进行培养。我司可以提供的细胞有:①细胞系②原代细胞③稳转株④耐药株⑤标记细胞⑥细胞配套试剂等。

成立日期 (11年)
注册资本 100万(元)
员工人数 50-100人
年营业额 ¥ 1000万-5000万
经营模式 工厂,试剂,定制,服务
主营行业 细胞培养,微生物学,细胞生物学

BT-474 Cells|人乳腺导管瘤克隆细胞相关厂家报价

内容声明
拨打电话 立即询价