基本信息 产品详情 公司简介 推荐产品
网站主页 HS 68 CELLS|男性正常龟头贴壁细胞 DoHH2 Cells|人胸腔积液滤泡中心母克隆细胞
  • DoHH2 Cells|人胸腔积液滤泡中心母克隆细胞

DoHH2 Cells|人胸腔积液滤泡中心母克隆细胞

hs 68 Cells
询价 1000000细胞数 起订
2000000细胞数 起订
上海 更新日期:2026-04-29

上海冠导生物工程有限公司

VIP6年
联系人:全经理
电话:18818239863拨打
邮箱:3171921642@qq.com

产品详情:

中文名称:
DoHH2 Cells|人胸腔积液滤泡中心母克隆细胞
英文名称:
hs 68 Cells
保存条件:
常温培养或液氮冻存
纯度规格:
DoHH2 Cells|人胸腔积液滤泡中心母克隆细胞
产品类别:
生物试剂

"DoHH2 Cells|人胸腔积液滤泡中心母克隆细胞

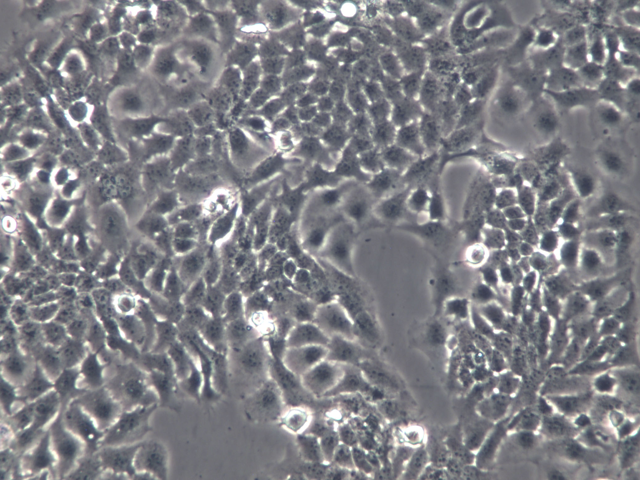
细胞形态:上皮细胞样

细胞生长:贴壁

动物细胞培养的实验价值有哪些?在生物实验活动之中通过合理的方式实现各种细胞的研究,能够让我国现今的生物技术得到更HAO的提升和保障,而大规模的动物细胞培养活动技术逐步精进和转基因技术的各种科研项目的快速发展,让这种动物细胞培养拥有了更HAO的价值,根据分析动物细胞培养的实验价值大致有如下几种。首先,能够提升我国现代化生物研究的技术。众所周知良HAO的生物研究技术能够满足临床的需要,并且为疾病的解决带来更HAO的参照,而通过服务的动物细胞培养方法能够很大程度上提GAO现在生物体系的了解程度,获得更GAO品质的实用价值,通过动物细胞培养的方式来了解精进我国生物研究技术,以更HAO的细胞工程作为基础让我国生物药物的研究拥有更HAO的保障,以此作为基础也能够为我国各种实验技术带来更HAO的效果;

MUTZ1Cells;细胞背景资料:骨髓增生异常综合征;女性;细胞传代方法:1:2-1:3传代;每周换液2-3次。;细胞生长特性:悬浮;细胞形态特性:详见细胞说明书;相关细胞有:P3-X63Ag8Cells、Human Epithelioma-2Cells、HITT15细胞

CNE-2Cells;细胞背景资料:1983年由谷淑燕、孔繁裔等建系;源自人鼻咽低分化鳞癌组织;原代细胞胰蛋白酶消化,48小时开始生长,首次传代20天。裸鼠体内移植100%成瘤。;细胞传代方法:1:2传代;细胞生长特性:贴壁生长;细胞形态特性:上皮细胞样;相关细胞有:HCT15Cells、RMC-1Cells、MDA-330细胞

MHCC97Cells;细胞背景资料:详见相关文献介绍;细胞传代方法:1:2-1:3传代;每周换液2-3次。;细胞生长特性:贴壁或悬浮,详见细胞说明书部分;细胞形态特性:详见细胞说明书;相关细胞有:SK N SHCells、BPH1Cells、LN299细胞

D407Cells;细胞背景资料:详见相关文献介绍;细胞传代方法:1:2传代;细胞生长特性:贴壁生长 ;细胞形态特性:详见细胞说明书;相关细胞有:NIH:OVCAR-3Cells、IB-RS-2Cells、Panc5.04细胞

细胞物种来源:人源或鼠源等其它物种来源

DoHH2 Cells|人胸腔积液滤泡中心母克隆细胞

[细胞产品包装]鲜活细胞:T25培养瓶(一瓶)或冻存细胞:1ml冻存管(两支)

被污染的细胞培养物是污染其他细胞培养物的污染源,被一代一代传下去,在吸取、吹出、离心、处理操作过程中产生的微滴,落到周围能存活几天。支原体污染的浓度一般在10'ccu/mL-108ccu/mL。因此,只从可靠来源引进细胞,别是知名的信誉良HAO的专门机构,如ATCC、基础医学细胞中心等。制备细胞的组织或器官本身就有可能带有支原体,因此在细胞原代培养时,需要进行常规支原体监测检查后使用,原代细胞或工作细胞库应分别管理,以防交叉感染。细胞株传代时,同时作培养或DNA染色检查,检测保存过程有否感染。一旦发现已经污染支原体的细胞,灭活后弃之,更换新的细胞,避免支原体的大范围播散。

细胞背景资料:详见相关文献介绍

R1610Cells;细胞背景资料:详见相关文献介绍;细胞传代方法:1:2-1:3传代;每周换液2-3次。;细胞生长特性:贴壁或悬浮,详见细胞说明书部分;细胞形态特性:详见细胞说明书;相关细胞有:H510Cells、Murine Thymic Epithelial Cell line 1Cells、HUT 28细胞

Ra #1Cells;细胞背景资料:详见相关文献介绍;细胞传代方法:1:2-1:3传代;每周换液2-3次。;细胞生长特性:贴壁或悬浮,详见细胞说明书部分;细胞形态特性:详见细胞说明书;相关细胞有:PC-10Cells、MDAMB157Cells、H-1781细胞

RPMI-7666Cells;细胞背景资料:详见相关文献介绍;细胞传代方法:1:2-1:3传代;每周换液2-3次。;细胞生长特性:贴壁或悬浮,详见细胞说明书部分;细胞形态特性:详见细胞说明书;相关细胞有:T HEECsCells、NTERA-2/D1Cells、Hs281T细胞

C32 [Human melanoma]Cells;细胞背景资料:详见相关文献介绍;细胞传代方法:1:2-1:4传代,2天换液1次。;细胞生长特性:贴壁生长;细胞形态特性:详见细胞说明书;相关细胞有:T/GHA-VSMCCells、WC00097Cells、SCC-15细胞

细胞传代方法:1:2-1:3传代;每周换液2-3次。

DoHH2 Cells|人胸腔积液滤泡中心母克隆细胞

细胞来源说明:来源于RCB、ATCC、KCLB、DSMZ、ECACC、INCell、ScienCell、ECACC、JCRB、Asterand、ICLC等知名细胞库

细胞是生物体结构和功能的基本单位。动物细胞:指从人体或动物体内取出组织,经过机械或酶学的方法分离出单个的细胞,是动物细胞,简称细胞。动物细胞培养:泛指体外培养,指从动物活体体内取出组织,模拟体内生理环境等定的体外条件下,进行孵育培养,使之生存并增殖。原代细胞:指从机体取出后立即培养的细胞。严格的说是稳定传代前的培养,实际上,通常把从机体取出后10代以内的细胞,统称为原代细胞。细胞系:原代培养物经首次传代后可连续传代的细胞群体,是细胞系。细胞传代:细胞由原培养瓶内分离稀释后传到新的培养瓶的过程称之为传代。永生化细胞(无限细胞系):指获得不死性具有持久或无限增殖的能力,也指有限细胞系通过转染、转化、癌变或病毒感染而诱导产生。有限细胞系:在体外培养生存期有限,不能长期传代的细胞系。细胞株:通过选择法或克隆形成法从原代培养物或细胞系中获得具有殊性质或标志物的培养物称为细胞株(细胞株是由一个细胞增殖而来)。

细胞生长特性:贴壁或悬浮,详见细胞说明书部分

细胞系永生化原理介绍:多数正常细胞的寿命是有限的,能传20-100代,但有些细胞,尤其是来自啮齿类或来自多数肿瘤的细胞,可以产生具有无限寿命的连续细胞系。啮齿类动物细胞在分离时核型是正常的,在传到12代左右以后可能出现危相,多数细胞在这个阶段死亡了,但少数细胞存活下来,并拥有了更GAO的生长率,成为连续细胞系。目前认为永生化是一个多步骤的过程,包括一系列细胞周期的调节基因(如Rb和p53)失活。目前主要从两个方向进行操作,病毒基因致永生化和端粒酶诱导的永生化,其原理如下:SV40 LT基因常用于诱导永生化。这个基因的产物-T抗原,可与Rb和p53结合。这样不仅使细胞增殖的寿命得以延长,同时也限制了如p53这样基因的DNA监控活性,从而使基因组的不稳定性增加,也增加了向永生化发展的进一步突变的机会(如上调端粒酶或下调端粒酶抑制物的活性)。用含可调节启动子的端粒酶基因进行转染,足以形成永生化细胞。这些基因中已被广泛应用的有:EBV用于淋巴母细胞样细胞;SV40 LT用于黏附细胞,如成纤维细胞(Mayne et al., 1996)、 角质形成细胞(Steinberg,1996) 和内皮细胞(Punchard et al.,1996)等;而hTERT则用于间充质干细胞和其他一些细胞。

MADISON LUNG TA-109细胞类似产品::PK136细胞、MIA PaCa-2细胞、C666-1细胞

B16-F1细胞类似产品::Huh7.5.1细胞、PAN 02细胞、143B TK-细胞

Tn5B1-4细胞类似产品::PC-2 [Human pancreatic carcinoma]细胞、B16/F10细胞、RCC10RGB细胞

HCC-78细胞类似产品::H358细胞、RPMC细胞、L-Wnt-3A细胞

Clone 166细胞类似产品::CCD-33Co细胞、COLO 320F细胞、SV40 MES 13细胞

Hela-mock细胞类似产品::LS-123细胞、HCV 29细胞、Hs 578.Bst细胞

GC1-SPG细胞类似产品::SaOS-2细胞、SUM149-PT细胞、H-1048细胞

F9细胞类似产品::Roswell Park Memorial Institute 8402细胞、NCI-H2052细胞、A-1847细胞

SCL-2细胞类似产品::BNCL-2细胞、LNCaP subline C4-2细胞、PIG3细胞

MC57细胞类似产品::NB19-RIKEN细胞、Moorfields/Institute of Ophthalmology-Muller 1细胞、NPA细胞

DoHH2 Cells|人胸腔积液滤泡中心母克隆细胞

TE4细胞类似产品::RKO_AS45细胞、SNB-19细胞、BrCL18细胞

HepG2细胞类似产品::Centre Antoine Lacassagne-148细胞、Primary Liver Carcinoma/Poliomyelitis Research Foundation/5细胞、JKT1细胞

NCI H548细胞类似产品::HCC 38细胞、MDAMB175VII细胞、AQ-Mel细胞

MT-4细胞类似产品::HPAC细胞、PANC0813细胞、BBE细胞

Intestinal Epithelioid Cell line No. 18细胞类似产品::Hx-147细胞、H510A细胞、NIH:OVCAR3细胞

RMa-bm细胞类似产品::CT26WT细胞、HEL-92.1.7细胞、HCC2218细胞

RMa-bm细胞类似产品::CT26WT细胞、HEL-92.1.7细胞、HCC2218细胞

WEHI-3细胞类似产品::BERH-2细胞、PC-12细胞、SKGT4细胞

H-1755细胞类似产品::NCIH2342细胞、COLO-680N细胞、OCI-AML-3细胞

Renal Carcinoma细胞类似产品::LNCaP subline C4-2细胞、H9c2细胞、Hs 888.T细胞

C3H/10T1/2 clone 8细胞类似产品::TE 32细胞、PIG1细胞、RPMI-8402细胞

NIH:OVCAR-8细胞类似产品::X63-Ag8.653细胞、QBI-HEK 293A细胞、IEC-6细胞

PC-3M-1E8细胞类似产品::OVCAR-4细胞、ARH 77细胞、QBI-293A细胞

HRA19细胞类似产品::UMNSAH-DF1细胞、SW-1463细胞、IGROV1细胞

AR41P细胞类似产品::SW527细胞、P3/X63/Ag8.653细胞、EC-GI-10细胞

CAL-78细胞类似产品::NCI-H1435细胞、COLO 680N细胞、Ontario Cancer Institute-Acute Myeloid Leukemia-5细胞

EnCa1细胞类似产品::K7M2-WT细胞、CHL-11细胞、NCI-H2023细胞

BT.549细胞类似产品::H1755细胞、KU19-19细胞、DV90细胞

H-1755细胞类似产品::NCIH2342细胞、COLO-680N细胞、OCI-AML-3细胞

SK Mel 24细胞类似产品::Earle's L cells细胞、SNK-6细胞、Mono Mac 6细胞

BTI-Tn-5B1-4细胞类似产品::RMC细胞、H1581细胞、OKT 3细胞

HBVSMC细胞类似产品::CAL-27细胞、Kelly细胞、OCI AML4细胞

H-522细胞类似产品::HEK-293-F细胞、HTR8/SVneo细胞、H-1703细胞

SK-MEL-2-LUC细胞类似产品::VE细胞、CORL105细胞、B16-F10细胞

MDA-MB 231细胞类似产品::HCT 116细胞、UM-UC-1细胞、HCC1806细胞

RPMI8226细胞类似产品::TERT-RPE1细胞、PLA801-95C细胞、LIPF178C细胞

NCI-H676细胞类似产品::SKN-SH细胞、OCILY-3细胞、BC-027细胞

VP 267细胞类似产品::Statens Seruminstitut Rabbit Cornea细胞、ELD-1细胞、GM03190细胞

PANC-28细胞类似产品::CHAGOK1细胞、NCI-H510A细胞、H-EMC-SS细胞

SW-1573细胞类似产品::MDBK (NBL-1)细胞、IM 9细胞、NR 8383细胞

RBL细胞类似产品::MMAc.SF细胞、NK92MI细胞、H747细胞

CHL1细胞类似产品::MBMEC细胞、NCI-H220细胞、MDA157细胞

BE2M17细胞类似产品::LLC-PK-1细胞、KU 19-19细胞、Ketr-3细胞

HBZY 1细胞类似产品::HOS-MNNG细胞、HEK-293F细胞、REC1细胞

H1238细胞类似产品::Dysplastic Oral Keratinocyte细胞、PC-3M-IE8细胞、A549-Taxol细胞

NFS 60细胞类似产品::CHO细胞、NCI-SNU-761细胞、Malme3M细胞

MD Anderson-Metastatic Breast-231细胞类似产品::95D细胞、Hs 940.T细胞、UACC812细胞

NCI-H1404细胞类似产品::THP-1细胞、159PT细胞、XWLC-05细胞

Panc02-H0细胞类似产品::PANC-08-13细胞、Y-1细胞、VA-ES-BJ细胞

NCIH1975细胞类似产品::SW 480细胞、Tb 1 Lu细胞、ME-1 [Human leukemia]细胞

MGH-UI细胞类似产品::ASH3细胞、Bovine Turbinate细胞、SK-MEL3细胞

Clone 166细胞类似产品::CCD-33Co细胞、COLO 320F细胞、SV40 MES 13细胞

NCI-H446细胞类似产品::WM 451-Lu细胞、TALL1细胞、H-226细胞

RMC细胞类似产品::NBL-2细胞、NCI-H1355细胞、Hs343T细胞

UWB1289细胞类似产品::A 2780 CP细胞、Panc_05_04细胞、NCIH2081细胞

HCC-1428细胞类似产品::BNL-CL.2细胞、HFL1细胞、130-T细胞

H-69细胞类似产品::VK2 (E6/E7)细胞、E304细胞、NCI-H1048细胞

ATC241Cells;细胞背景资料:纤维肉瘤;细胞传代方法:1:2-1:3传代;每周换液2-3次。;细胞生长特性:贴壁;细胞形态特性:详见细胞说明书;相关细胞有:HT 1080.TCells、CA922Cells、MDBK细胞

L cells (TK-)Cells;细胞背景资料:详见相关文献介绍;细胞传代方法:1:2-1:3传代;每周换液2-3次。;细胞生长特性:贴壁或悬浮,详见细胞说明书部分;细胞形态特性:详见细胞说明书;相关细胞有:Karpas 422Cells、H1882Cells、OV-CA 432细胞

MCF7ADRCells;细胞背景资料:详见相关文献介绍;细胞传代方法:1:2-1:3传代;每周换液2-3次。;细胞生长特性:贴壁或悬浮,详见细胞说明书部分;细胞形态特性:详见细胞说明书;相关细胞有:SNU-5Cells、A549ATCCCells、BrCL12细胞

AD-293Cells;细胞背景资料:详见相关文献介绍;细胞传代方法:1:2传代;细胞生长特性:贴壁生长;细胞形态特性:详见细胞说明书;相关细胞有:C4-2 Bone metastaticCells、KYSE 150 KYSE150 Kyse150 KY150

Cells、Hs 888Lu细胞

DHL8Cells;细胞背景资料:弥漫大B淋巴瘤;腹腔积液转移;男性;细胞传代方法:1:2-1:3传代;每周换液2-3次。;细胞生长特性:悬浮;细胞形态特性:详见细胞说明书;相关细胞有:Rat Chondrosarcoma SwarmCells、Hu-P-T4Cells、SBC5细胞

QG56Cells;细胞背景资料:详见相关文献介绍;细胞传代方法:1:2-1:3传代;每周换液2-3次。;细胞生长特性:贴壁或悬浮,详见细胞说明书部分;细胞形态特性:详见细胞说明书;相关细胞有:EVSA/TCells、U-343MGCells、Neuro2a细胞

WEHI-3BCells;细胞背景资料:白血病;BALB/c;细胞传代方法:1:2-1:3传代;每周换液2-3次。;细胞生长特性:悬浮;细胞形态特性:详见细胞说明书;相关细胞有:Okayama University Medical School-23Cells、H1385Cells、GA-10-Clone-4细胞

J82 COTCells;细胞背景资料:电子显微镜下未观察到桥粒但观察到数目不同的粗面内质网和突出微丝。 含ras (H-ras)癌基因。;细胞传代方法:1:2传代;细胞生长特性:贴壁生长;细胞形态特性:上皮细胞样;相关细胞有:TE-1Cells、NamalvaCells、NCIH196细胞

EPCCells;细胞背景资料:详见相关文献介绍;细胞传代方法:1:2-1:3传代;每周换液2-3次。;细胞生长特性:贴壁或悬浮,详见细胞说明书部分;细胞形态特性:详见细胞说明书;相关细胞有:M059JCells、SPCA1Cells、HCC1419细胞

DoHH2 Cells|人胸腔积液滤泡中心母克隆细胞

GC-1spgCells;细胞背景资料:精原Cells;SV40转化;BALB/c;细胞传代方法:1:2-1:3传代;每周换液2-3次。;细胞生长特性:贴壁;细胞形态特性:详见细胞说明书;相关细胞有:SK.MEL.2Cells、NCI-H1299Cells、YES 2细胞

Walker-256Cells;细胞背景资料:乳腺癌;雌性;细胞传代方法:1:2-1:3传代;每周换液2-3次。;细胞生长特性:贴壁;细胞形态特性:详见细胞说明书;相关细胞有:AR4-IPCells、HCC0366Cells、HEL-92_1_7细胞

AR41PCells;细胞背景资料:详见相关文献介绍;细胞传代方法:1:3-1:6传代;每周2-3次。;细胞生长特性:贴壁生长;细胞形态特性:上皮细胞样;相关细胞有:SW527Cells、P3/X63/Ag8.653Cells、EC-GI-10细胞

H2170Cells;细胞背景资料:该细胞1989年建系,源自一位患有肺鳞状细胞癌的男性,该患者不吸烟;细胞传代方法:1:3—1:6传代,3—5天换液1次;细胞生长特性:贴壁生长;细胞形态特性:上皮Cells;相关细胞有:MBdSMCCells、IM95Cells、MADB 106细胞

U-373MGCells;细胞背景资料:胶质瘤;男性;细胞传代方法:1:2-1:3传代;每周换液2-3次。;细胞生长特性:贴壁;细胞形态特性:详见细胞说明书;相关细胞有:Astrocyte type I cloneCells、FU-97Cells、DoTc2 4510细胞

NCI-H1734Cells;细胞背景资料:详见相关文献介绍;细胞传代方法:1:4-1:6传代。;细胞生长特性:贴壁生长;细胞形态特性:上皮细胞样;相关细胞有:IEC-6Cells、SKO-007Cells、RPE1细胞

JVM2Cells;细胞背景资料:该细胞是 J.V.Melo从一位63岁患有套细胞淋巴瘤白人女性外周血中分离建立的,经EBV介导获得永生化,该细胞表达p16和细胞周期蛋白D2,低水平表达细胞周期蛋白D1。;细胞传代方法:1:3传代,2-3天传一代;细胞生长特性:悬浮生长;细胞形态特性:淋巴母细胞样;相关细胞有:YES-2Cells、MES-SA/Dx-5Cells、SKHEP1细胞

JVM2Cells;细胞背景资料:该细胞是 J.V.Melo从一位63岁患有套细胞淋巴瘤白人女性外周血中分离建立的,经EBV介导获得永生化,该细胞表达p16和细胞周期蛋白D2,低水平表达细胞周期蛋白D1。;细胞传代方法:1:3传代,2-3天传一代;细胞生长特性:悬浮生长;细胞形态特性:淋巴母细胞样;相关细胞有:YES-2Cells、MES-SA/Dx-5Cells、SKHEP1细胞

Hs68Cells;细胞背景资料:该细胞1969年由Owens RB建立。;细胞传代方法:1:2传代;细胞生长特性:贴壁生长 ;细胞形态特性:详见细胞说明书;相关细胞有:DMS 114Cells、OCI-LY-1Cells、M21细胞

SKMEL1Cells;细胞背景资料:详见相关文献介绍;细胞传代方法:维持细胞浓度在1×105-2×105,每周补液2-3次。;细胞生长特性:悬浮生长;细胞形态特性:球形的;相关细胞有:HL-60 Clone 15Cells、HCC1954BLCells、CHO-Lec1细胞

H1688Cells;细胞背景资料:详见相关文献介绍;细胞传代方法:1:2-1:3传代;每周换液2-3次。;细胞生长特性:贴壁或悬浮,详见细胞说明书部分;细胞形态特性:详见细胞说明书;相关细胞有:T/G HA VSMCCells、KLM1Cells、HEL-299细胞

SNU-119Cells;细胞背景资料:卵巢癌;女性;细胞传代方法:1:2-1:3传代;每周换液2-3次。;细胞生长特性:贴壁;细胞形态特性:详见细胞说明书;相关细胞有:HL7702Cells、IBRS2Cells、PaCa2细胞

NCI-UMC-11Cells;细胞背景资料:肺肿瘤;男性;细胞传代方法:1:2-1:3传代;每周换液2-3次。;细胞生长特性:贴壁;细胞形态特性:详见细胞说明书;相关细胞有:WM-115Cells、H1623Cells、NK-92 MI细胞

KU1919Cells;细胞背景资料:膀胱癌;男性;细胞传代方法:1:2-1:3传代;每周换液2-3次。;细胞生长特性:贴壁;细胞形态特性:详见细胞说明书;相关细胞有:MC9Cells、NMC-G1Cells、Panc 04.03细胞

NBL-3Cells;细胞背景资料:详见相关文献介绍;细胞传代方法:1:2-1:3传代;每周换液2-3次。;细胞生长特性:贴壁或悬浮,详见细胞说明书部分;细胞形态特性:详见细胞说明书;相关细胞有:RL952Cells、H-2085Cells、WSUDLCL2细胞

H-929Cells;细胞背景资料:详见相关文献介绍;细胞传代方法:保持细胞密度在5×105—1×106 cells/ml之间,每周换液2—3次;细胞生长特性:悬浮生长 ;细胞形态特性:淋巴母细胞样;相关细胞有:C3H/10T1/2 CL8Cells、ZR751Cells、NCI-H661细胞

SNU-16Cells;细胞背景资料:详见相关文献介绍;细胞传代方法:3-4天换液1次。;细胞生长特性:悬浮聚集;细胞形态特性:上皮Cells;相关细胞有:2E8Cells、JurkatE6-1Cells、X63-Ag8.653细胞

GM16136Cells;细胞背景资料:肺;自发永生;雄性;细胞传代方法:1:2-1:3传代;每周换液2-3次。;细胞生长特性:贴壁;细胞形态特性:详见细胞说明书;相关细胞有:RGM1Cells、MUS-M1Cells、C3H10T1-2细胞

NIHOVCAR3Cells;细胞背景资料:该细胞1982年由T.C. Hamilton等建系,源自一位60卵巢腺癌的腹水,是卵巢癌抗药性研究的模型。;细胞传代方法:1:2—1:4传代,每周换液2—3次;细胞生长特性:贴壁生长;细胞形态特性:上皮细胞样;相关细胞有:FL62891Cells、H2052Cells、MC-116细胞

KU812-FCells;细胞背景资料:慢性粒细胞白血病;男性;细胞传代方法:1:2-1:3传代;每周换液2-3次。;细胞生长特性:悬浮;细胞形态特性:详见细胞说明书;相关细胞有:639VCells、B35Cells、Pro-5 Lec1.3c细胞

Rat Lung-65Cells;细胞背景资料:详见相关文献介绍;细胞传代方法:1:2-1:3传代;每周换液2-3次。;细胞生长特性:贴壁或悬浮,详见细胞说明书部分;细胞形态特性:详见细胞说明书;相关细胞有:M-07eCells、OCI Ly3Cells、Mv.1.Lu细胞

MC/9Cells;细胞背景资料:肥大Cells;C57BL/6 x A/J;细胞传代方法:1:2-1:3传代;每周换液2-3次。;细胞生长特性:悬浮;细胞形态特性:详见细胞说明书;相关细胞有:A7r5Cells、H-1355Cells、CMEC/D3细胞

KU-812Cells;细胞背景资料:详见相关文献介绍;细胞传代方法:1:2传代。3天内可长满;细胞生长特性:悬浮生长;细胞形态特性:骨髓母Cells;相关细胞有:PC14Cells、2008Cells、NKT细胞

KLN205Cells;细胞背景资料:肺;鳞癌Cells;DBA;细胞传代方法:1:2-1:3传代;每周换液2-3次。;细胞生长特性:贴壁;细胞形态特性:详见细胞说明书;相关细胞有:HeLa S 3Cells、ES-2Cells、H9c2 (2-1)细胞

MIMVECCells;细胞背景资料:肠粘膜微血管;内皮Cells;细胞传代方法:1:2-1:3传代;每周换液2-3次。;细胞生长特性:贴壁;细胞形态特性:详见细胞说明书;相关细胞有:A2780Cells、CCLP1Cells、SW-780细胞

WTRL1Cells;细胞背景资料:肺;成纤维样Cells;雄性;细胞传代方法:1:2-1:3传代;每周换液2-3次。;细胞生长特性:贴壁;细胞形态特性:详见细胞说明书;相关细胞有:AAV-293Cells、H-920Cells、DanG细胞

Sun Yat-sen university Ophtalmic center-Retinoblastoma 50Cells;细胞背景资料:视网膜母细胞瘤;女性;细胞传代方法:1:2-1:3传代;每周换液2-3次。;细胞生长特性:悬浮;细胞形态特性:详见细胞说明书;相关细胞有:Hs822TCells、SNU-449Cells、U266 B1细胞

SNU-423Cells;细胞背景资料:详见相关文献介绍;细胞传代方法:1:2传代;细胞生长特性:贴壁生长;细胞形态特性:上皮样;相关细胞有:CNE-2Cells、SRA01/04 (HLE)Cells、CTLA4 Ig-24细胞

CCRF-CEM C1Cells;细胞背景资料:详见相关文献介绍;细胞传代方法:1:2传代;细胞生长特性:贴壁生长 ;细胞形态特性:详见细胞说明书;相关细胞有:HIMECCells、FaDuCells、HCT-GEO细胞

WC00079Cells;细胞背景资料:黑色素瘤;女性;细胞传代方法:1:2-1:3传代;每周换液2-3次。;细胞生长特性:贴壁;细胞形态特性:详见细胞说明书;相关细胞有:A549ATCCCells、MKN74Cells、D 407细胞

AU 565Cells;细胞背景资料:详见相关文献介绍;细胞传代方法:1:4—1:6传代;每3-5天换一次液。;细胞生长特性:贴壁生长;细胞形态特性:上皮Cells;相关细胞有:Det 562Cells、OCM1Cells、WC00097细胞

Kit225-K6Cells;细胞背景资料:详见相关文献介绍;细胞传代方法:1:2-1:3传代;每周换液2-3次。;细胞生长特性:贴壁或悬浮,详见细胞说明书部分;细胞形态特性:详见细胞说明书;相关细胞有:NCI-H358Cells、Okayama University Medical School-27Cells、HeLa.S3细胞

CTLA4 Ig-24Cells;细胞背景资料:详见相关文献介绍;细胞传代方法:1:2-1:3传代;每周换液2-3次。;细胞生长特性:贴壁或悬浮,详见细胞说明书部分;细胞形态特性:详见细胞说明书;相关细胞有:LC-1-sqCells、LC-2/adCells、253JB-V细胞

"


DoHH2 Cells|人胸腔积液滤泡中;

公司简介

上海冠导生物工程有限公司,先后从ATCC、DSMZ、ECACC、RIKEN、PromoCell、ScienCell、JCRB等国内外细胞库引进细胞2000余株。以此为契机,公司组建了冠导细胞库,我司细胞均由资深细胞培养工程师进行培养。我司可以提供的细胞有:①细胞系②原代细胞③稳转株④耐药株⑤标记细胞⑥细胞配套试剂等。

成立日期 (11年)
注册资本 100万(元)
员工人数 50-100人
年营业额 ¥ 1000万-5000万
经营模式 工厂,试剂,定制,服务
主营行业 细胞培养,微生物学,细胞生物学

DoHH2 Cells|人胸腔积液滤泡中心母克隆细胞相关厂家报价

内容声明
拨打电话 立即询价