基本信息 产品详情 公司简介 推荐产品
网站主页 CC-LP-1 CELLS|人胆管癌贴壁细胞 CC-LP-1 Cells|人胆管癌克隆细胞
  • CC-LP-1 Cells|人胆管癌克隆细胞

CC-LP-1 Cells|人胆管癌克隆细胞

CC-LP-1 Cells
询价 1000000细胞数 起订
2000000细胞数 起订
上海 更新日期:2026-04-09

上海冠导生物工程有限公司

VIP6年
联系人:全经理
电话:18818239863拨打
邮箱:3171921642@qq.com

产品详情:

中文名称:
CC-LP-1 Cells|人胆管癌克隆细胞
英文名称:
CC-LP-1 Cells
保存条件:
常温培养或液氮冻存
纯度规格:
CC-LP-1 Cells|人胆管癌克隆细胞
产品类别:
生化试剂

"CC-LP-1 Cells|人胆管癌克隆细胞

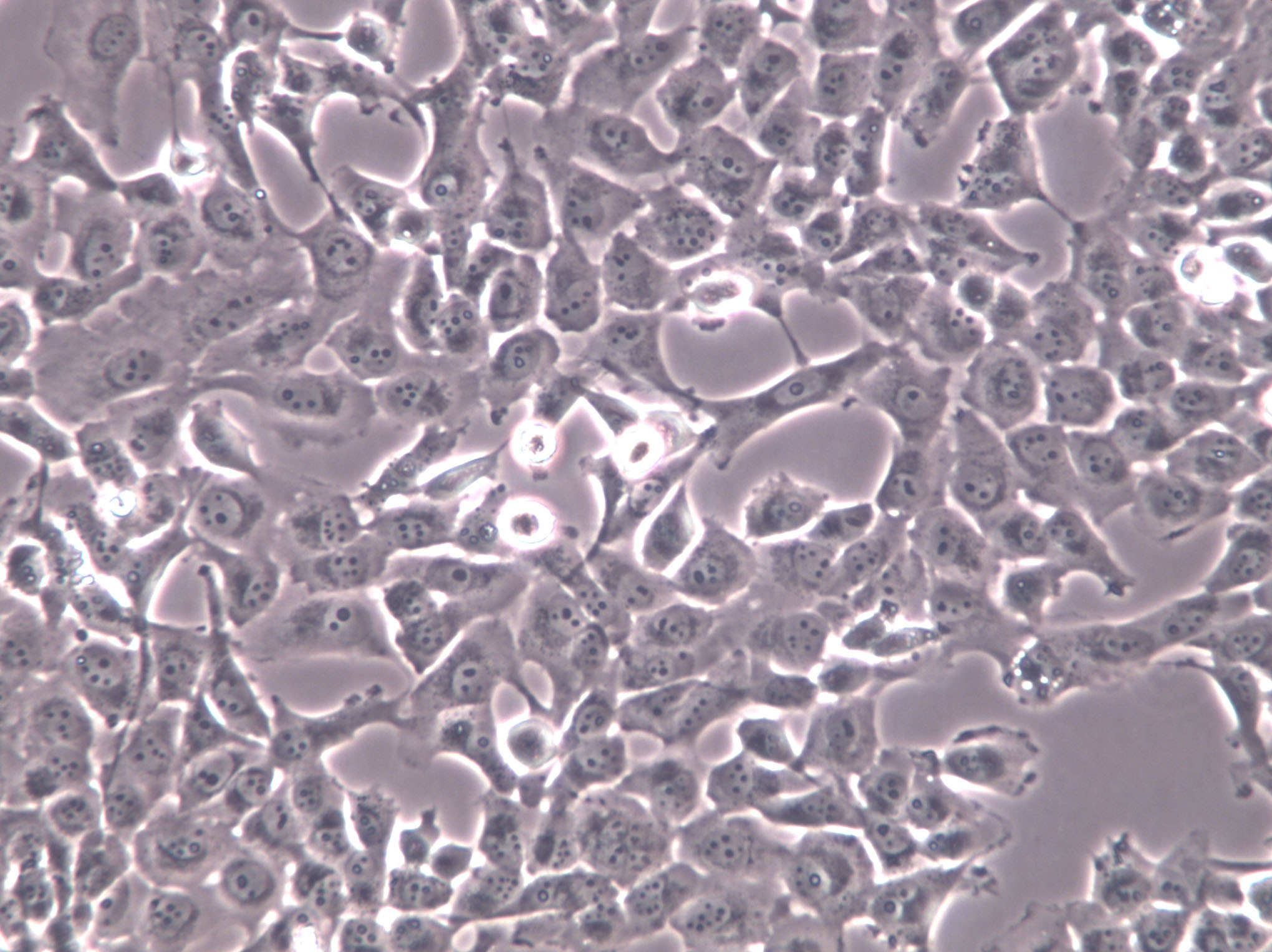
细胞形态:上皮细胞样

细胞生长:贴壁

细胞老化(cellular aging)是细胞随生物体年龄增长而发生退行性变化的总和。生物个体及其细胞须经生长、发育、老化及死亡等阶段,老化是生命发展的必然,任何细胞以及APSC多能细胞从诞生之时起,老化过程就开始了。老化的细胞结构蛋白、酶蛋白和受体蛋白合成减少,摄取营养和修复染色体损伤的能力均下降,表现为细胞和胞核变形,线粒体、GAO尔基体扭曲或呈囊泡状,胞质色素沉着,细胞体积缩小,由此导致器官重量减轻,间质增生硬化,功能代谢降低,储备功能不足。细胞分化(cell differentiation)是指同一来源的细胞逐渐产生出形态结构、功能征各不相同的细胞类群的过程,其结果是在空间上细胞产生差异,在时间上同一细胞与其从前的状态有所不同。细胞分化的本质是基因组在时间和空间上的选择性表达,通过不同基因表达的开启或关闭,终产生标志性蛋白质。一般情况下,细胞分化过程是不可逆的。然而,在某些条件下,分化了的细胞也不稳定,其基因表达模式也可以发生可逆性变化,又回到其未分化状态,这一过程称为去分化(dedifferentiation)。

OCI-AML-5Cells;细胞背景资料:急性髓系白血病Cells;男性;细胞传代方法:1:2-1:3传代;每周换液2-3次。;细胞生长特性:悬浮;细胞形态特性:详见细胞说明书;相关细胞有:SNU398Cells、16HBECells、SK-N-BE(2C)细胞

F-36PCells;细胞背景资料:详见相关文献介绍;细胞传代方法:每周2次换液;细胞生长特性:贴壁或悬浮,详见细胞说明书部分;细胞形态特性:详见细胞说明书;相关细胞有:Hepa 1-6Cells、NB9Cells、PLMVEC细胞

GM03190ACells;细胞背景资料:1967年,该细胞系KleinE和KleinG建系,源于一名16岁患有Burkitt's淋巴瘤的黑人男性,beta-2-微球蛋白阴性,表达EBNA,VCA,sIg。该细胞携带EB病毒,是一个典型的B淋巴母细胞系,可用于白血病发病机制的研究。;细胞传代方法:1:2传代;细胞生长特性:悬浮生长;细胞形态特性:淋巴母细胞样;相关细胞有:A-253Cells、Fu97Cells、TEC细胞

LAD 2Cells;细胞背景资料:肥大Cells;细胞传代方法:1:2-1:3传代;每周换液2-3次。;细胞生长特性:悬浮;细胞形态特性:详见细胞说明书;相关细胞有:GC-1Cells、SN4741Cells、Hs 746T细胞

细胞物种来源:人源或鼠源等其它物种来源

CC-LP-1 Cells|人胆管癌克隆细胞

[细胞产品包装]鲜活细胞:T25培养瓶(一瓶)或冻存细胞:1ml冻存管(两支)

细胞常用保藏方法和点:-196℃液氮保存,冻存流程:手动程序降温:4℃(30分钟),-20℃(1小时),-80℃(过夜),移至-196℃液氮中保存。自动程序降温:冷冻管置于已设定HAO程序(按 1-3*C/min速率降至-120°C)的等速降温机中,再安置于液氮罐上。待程序完毕后,移除等速降温机,长期保存。点:操作相对复杂,需要程序降温。依赖液氮,需定期检查液氮罐,补加液氮。使用范围大,大部分细胞可以采用液氮保藏。设定-80℃超低温冰箱,冻存流程:收集对数生长期的细胞,用无血清细胞冻存液重悬细胞,置于冻存管中,不需预冷,直接-80℃冷冻长期保存。设定-80℃超低温冰箱。点:操作简单,无需程序降温;成分明确,不含血清,较少支原体等其他微生物污染。细胞使用范围小,对于大部分细胞冻存效果不佳。

细胞背景资料:详见相关文献介绍

PL45Cells;细胞背景资料:详见相关文献介绍;细胞传代方法:1:2传代;细胞生长特性:贴壁生长;细胞形态特性:上皮样;相关细胞有:4T1Cells、NHDFCells、Centre Antoine Lacassagne-12T细胞

HCC1143Cells;细胞背景资料:详见相关文献介绍;细胞传代方法:1:2—1:4传代,每周换液2—3次;细胞生长特性:贴壁生长;细胞形态特性:上皮样;相关细胞有:Biopsy xenograft of Pancreatic Carcinoma line-3Cells、NL-20Cells、MDCK-II细胞

Kasumi-1Cells;细胞背景资料:详见相关文献介绍;细胞传代方法:1:2传代。3天内可长满。;细胞生长特性:悬浮生长;细胞形态特性:原粒Cells;相关细胞有:NCIH1623Cells、HL-60 Clone 15Cells、NCI-H1155细胞

Jurkat clone A3Cells;细胞背景资料:详见相关文献介绍;细胞传代方法:1:2-1:3传代;每周换液2-3次。;细胞生长特性:贴壁或悬浮,详见细胞说明书部分;细胞形态特性:详见细胞说明书;相关细胞有:LL/2 (LLC1)Cells、RTMCCells、RIN m5F细胞

细胞传代方法:1:2-1:3传代;每周换液2-3次。

CC-LP-1 Cells|人胆管癌克隆细胞

细胞来源说明:来源于RCB、ATCC、KCLB、DSMZ、ECACC、INCell、ScienCell、ECACC、JCRB、Asterand、ICLC等知名细胞库

一旦您在细胞培养的过程中发现有黑点生成,首先,要肉眼观察培养基是否混浊,然后,在镜下观察培养细胞生长的状态,黑点是否游动。如果细胞被污染,微生物则会大量繁殖,培养基就会迅速变黄、变混浊。污染包括细菌污染、支原体污染等。如果在镜下观察细胞,生长状态良HAO,与黑点出现前相比,没有任何变化,那么,黑点的出现可能与以下几种情况有关:细胞生长过老,破碎的细胞残骸;血清质量不HAO,反复冻融的结果;配制培养基的pH值偏GAO,不宜细胞生长;配制培养基的水质、容器不合格。可应用离心、过滤的方法去除这些黑点;培养原代细胞中出现小黑点,可能是原代组织中的杂质,多次传代可以消除。

细胞生长特性:贴壁或悬浮,详见细胞说明书部分

细胞系永生化原理介绍:多数正常细胞的寿命是有限的,能传20-100代,但有些细胞,尤其是来自啮齿类或来自多数肿瘤的细胞,可以产生具有无限寿命的连续细胞系。啮齿类动物细胞在分离时核型是正常的,在传到12代左右以后可能出现危相,多数细胞在这个阶段死亡了,但少数细胞存活下来,并拥有了更GAO的生长率,成为连续细胞系。目前认为永生化是一个多步骤的过程,包括一系列细胞周期的调节基因(如Rb和p53)失活。目前主要从两个方向进行操作,病毒基因致永生化和端粒酶诱导的永生化,其原理如下:SV40 LT基因常用于诱导永生化。这个基因的产物-T抗原,可与Rb和p53结合。这样不仅使细胞增殖的寿命得以延长,同时也限制了如p53这样基因的DNA监控活性,从而使基因组的不稳定性增加,也增加了向永生化发展的进一步突变的机会(如上调端粒酶或下调端粒酶抑制物的活性)。用含可调节启动子的端粒酶基因进行转染,足以形成永生化细胞。这些基因中已被广泛应用的有:EBV用于淋巴母细胞样细胞;SV40 LT用于黏附细胞,如成纤维细胞(Mayne et al., 1996)、 角质形成细胞(Steinberg,1996) 和内皮细胞(Punchard et al.,1996)等;而hTERT则用于间充质干细胞和其他一些细胞。

GM05887A细胞类似产品::MDCK Type II细胞、H2196细胞、CORL51细胞

MMAc-Serum Free细胞类似产品::OCI-Ly18细胞、TE-4细胞、KTCTL140细胞

SW48细胞类似产品::NCI-H2452细胞、LAN5细胞、RS4:11细胞

KNS62细胞类似产品::LLC-MK-2细胞、AML12细胞、SKNEP-1细胞

MESSA-DX5细胞类似产品::GLC-15细胞、PLA801D细胞、OCI-AML2细胞

MONO-MAC 6细胞类似产品::H-2135细胞、P30/OHK细胞、EOC 20细胞

BT.549细胞类似产品::H1755细胞、KU19-19细胞、DV90细胞

P31 FUJ细胞类似产品::MDA-MB453细胞、PAMC82细胞、NT2/D1细胞

Roswell Park Memorial Institute 8402细胞类似产品::Centre Antoine Lacassagne-39细胞、NCI-H378细胞、CAL-33细胞

PE CA PJ34细胞类似产品::H-716细胞、H-2286细胞、U-hth74细胞

CC-LP-1 Cells|人胆管癌克隆细胞

L-6TG细胞类似产品::P-2003细胞、A875细胞、GS-9L细胞

RM-1细胞类似产品::ChaGo K-1细胞、HOP-92细胞、159PT细胞

LS-123细胞类似产品::Hs 739.T细胞、HEK293-F细胞、H2330细胞

WERI-Rb 1细胞类似产品::C4-2细胞、RK13细胞、Y3-Ag1,2,3细胞

AN3-CA细胞类似产品::UCLA-SO-M20细胞、GM16136细胞、SNK-1细胞

OKT3细胞类似产品::TNC-1B12B4细胞、Experimental Mammary Tumour-6细胞、343 MG细胞

OKT3细胞类似产品::TNC-1B12B4细胞、Experimental Mammary Tumour-6细胞、343 MG细胞

OCILY-3细胞类似产品::Hs 888Lu细胞、Walker/LLC-WRC256细胞、P3X63 Ag8.653细胞

MDA435细胞类似产品::NUGC-3细胞、MFE280细胞、JEG3细胞

P3X63-Ag8.653细胞类似产品::8226/S细胞、PC14细胞、OV3121细胞

H1184细胞类似产品::OV-CA 432细胞、KCL22S细胞、YAC细胞

TE7细胞类似产品::NCI-H1417细胞、CPA 47细胞、UM-UC-14细胞

SU.86.86细胞类似产品::D6P2T细胞、U031细胞、IMR90细胞

B16/F1细胞类似产品::H345细胞、HEK293E细胞、NCIH1648细胞

Kasumi-6细胞类似产品::WEHI-3B细胞、HS578细胞、OVCA 420细胞

CORL279细胞类似产品::MILE SVEN1细胞、SR细胞、U87 MG细胞

T 24细胞类似产品::MDA-MB415细胞、ECC 10细胞、SUNE1细胞

OKa-C-1细胞类似产品::RPMI-1788细胞、C33细胞、N-87细胞

BIC1细胞类似产品::NCI-H1048细胞、TR 146细胞、AHH-1细胞

HGBEC细胞类似产品::BEAS-2B细胞、MGH-U1 (EJ)细胞、LNCaP C4-2B细胞

SkChA1细胞类似产品::REC1细胞、H-146细胞、LU165细胞

JM1细胞类似产品::MG-HU-3细胞、MOLT 4细胞、S3-HeLa细胞

NCI.H522细胞类似产品::PG-4 (S+L-)细胞、GM03573A细胞、NS1-1 Ag4.1细胞

KYSE70细胞类似产品::TF-1细胞、H-1838细胞、52PE细胞

OVCAR-8/ADR细胞类似产品::Psi2 DAP细胞、MDAMB134VI细胞、X63-Ag8-653细胞

Kobe university Oral Squamous Cell culture-2细胞类似产品::SHEE细胞、NCI-H660细胞、NS-1-Ag4-1细胞

J774 A1细胞类似产品::Hs 895.T细胞、C-26细胞、OCIAML3细胞

SN12PM6细胞类似产品::COLO679细胞、HeLa细胞、KYSE180细胞

Hela-mock细胞类似产品::LS-123细胞、HCV 29细胞、Hs 578.Bst细胞

NCI-H2198细胞类似产品::Ca761细胞、OVCAR5细胞、DSL6A/C1细胞

16HBEo-细胞类似产品::NCIH3255细胞、MH7A细胞、aNK细胞

Hs-274-T细胞类似产品::GI-1细胞、HeLa S-3细胞、Pfeiffer细胞

KASUMI1细胞类似产品::9L细胞、Tca-8113细胞、NCI-H295R细胞

HeLa.S3细胞类似产品::ND7/23细胞、Ocular Choroidal Melanoma-1细胞、BT474细胞

TE-32细胞类似产品::P3-Jiyoye细胞、hTERT-RPE细胞、EVSAT细胞

EnCa1细胞类似产品::K7M2-WT细胞、CHL-11细胞、NCI-H2023细胞

EAhy 926细胞类似产品::SU86_86细胞、SK-MES-1细胞、huH 1细胞

NCIH460细胞类似产品::Panc02-H0细胞、COLO-357细胞、NCIH292细胞

H1770细胞类似产品::H-209细胞、HuH1细胞、Ku812细胞

VK2细胞类似产品::COR-L26细胞、H2170细胞、H2171细胞

Human Pancreatic Duct Epithelial细胞类似产品::293H细胞、MDA415细胞、HPAC细胞

H-2347细胞类似产品::Anglne细胞、WM-239细胞、TCC Sup细胞

CWR22-R1细胞类似产品::Bat lung细胞、MCF-7B细胞、LS-411细胞

CAL-12T细胞类似产品::BEL-7404细胞、RF/6A细胞、NCI-HUT-292细胞

OPM2细胞类似产品::KP-N-YN细胞、SKRC 39细胞、RSC-364细胞

ECC-10细胞类似产品::LICR-LON-HN6-R细胞、Z138细胞、MDA-MB436细胞

NPC-TW-039细胞类似产品::MDAMB231细胞、OV433细胞、LWnt3A细胞

BNL-HCCCells;细胞背景资料:肝;上皮Cells;BALB/c;细胞传代方法:1:2-1:3传代;每周换液2-3次。;细胞生长特性:贴壁;细胞形态特性:详见细胞说明书;相关细胞有:Walker 256Cells、VeroCells、QGY细胞

OVCAR8Cells;细胞背景资料:卵巢癌;女性;细胞传代方法:1:2-1:3传代;每周换液2-3次。;细胞生长特性:贴壁;细胞形态特性:详见细胞说明书;相关细胞有:RCC4Cells、SKRC-39Cells、Panc4.03细胞

Nb2aCells;细胞背景资料:详见相关文献介绍;细胞传代方法:1:2-1:4传代;2-3天换液1次;细胞生长特性:贴壁生长;细胞形态特性:详见细胞说明书;相关细胞有:CEM clone 7Cells、PIGICells、Kato-III细胞

D341MedCells;细胞背景资料:详见相关文献介绍;细胞传代方法:每周换液2-3次。;细胞生长特性:悬浮生长;细胞形态特性:髓母细胞样;相关细胞有:NCI-H2405Cells、U20SCells、MDA-MB-157细胞

Hs695TCells;细胞背景资料:详见相关文献介绍;细胞传代方法:1:2-1:4传代,2-3天换液1次。;细胞生长特性:贴壁生长;细胞形态特性:上皮Cells;相关细胞有:Rat Basophilic Leukemia-1Cells、COLO320/DMCells、SUPM2细胞

Opossum KidneyCells;细胞背景资料:肾;细胞传代方法:1:2-1:3传代;每周换液2-3次。;细胞生长特性:贴壁;细胞形态特性:详见细胞说明书;相关细胞有:SK RC 52Cells、Stanford University-Diffuse Histiocytic Lymphoma-1Cells、NHA细胞

GL261Cells;细胞背景资料:详见相关文献介绍;细胞传代方法:1:2-1:3传代;每周换液2-3次。;细胞生长特性:贴壁;细胞形态特性:上皮细胞样;相关细胞有:GM02131Cells、SK-N-MCCells、HuH-1细胞

Colon26Cells;细胞背景资料:详见相关文献介绍;细胞传代方法:1:2-1:3传代;每周换液2-3次。;细胞生长特性:贴壁或悬浮,详见细胞说明书部分;细胞形态特性:详见细胞说明书;相关细胞有:ABE­8.1/2Cells、TE 85.TCells、BCECs细胞

NCI-H1437Cells;细胞背景资料:详见相关文献介绍;细胞传代方法:1:2-1:6传代,每周换液2次。;细胞生长特性:贴壁生长;细胞形态特性:上皮样;相关细胞有:H2141Cells、MV 3Cells、KBM-7/Hap8细胞

CC-LP-1 Cells|人胆管癌克隆细胞

NCIH747Cells;细胞背景资料:详见相关文献介绍;细胞传代方法:1:2—1:4传代,每周换液2次;细胞生长特性:贴壁生长;细胞形态特性:上皮样;相关细胞有:SK Mel 1Cells、RFL-6Cells、U266BL细胞

JOSK-MCells;细胞背景资料:急性单核细胞白血病;男性;细胞传代方法:1:2-1:3传代;每周换液2-3次。;细胞生长特性:悬浮;细胞形态特性:详见细胞说明书;相关细胞有:SKNO-1Cells、Colo699Cells、HcaF细胞

HCC-4006Cells;细胞背景资料:详见相关文献介绍;细胞传代方法:1:4-1:6传代,每周2-3次。;细胞生长特性:贴壁生长;细胞形态特性:上皮细胞样;相关细胞有:SNU869Cells、H-841Cells、Suzhou Human Glioma-44细胞

MV-4-11Cells;细胞背景资料:详见相关文献介绍;细胞传代方法:1:2-1:3传代;每周换液2-3次。;细胞生长特性:贴壁或悬浮,详见细胞说明书部分;细胞形态特性:详见细胞说明书;相关细胞有:OCILY-3Cells、SPC-A1Cells、UACC-893细胞

L-929Cells;细胞背景资料:详见相关文献介绍;细胞传代方法:1:2-1:3传代;每周换液2-3次。;细胞生长特性:贴壁或悬浮,详见细胞说明书部分;细胞形态特性:详见细胞说明书;相关细胞有:SN12PM6Cells、HANK-1Cells、Hs.27细胞

COLO206Cells;细胞背景资料:详见相关文献介绍;细胞传代方法:1:2-1:3传代;每周换液2-3次。;细胞生长特性:贴壁或悬浮,详见细胞说明书部分;细胞形态特性:详见细胞说明书;相关细胞有:NALM-6-M1Cells、H-II-E-C3Cells、SU-DHL-16细胞

HEMCSSCells;细胞背景资料:详见相关文献介绍;细胞传代方法:1:4-1:8传代;每周换液3次。;细胞生长特性:贴壁生长;细胞形态特性:详见细胞说明书;相关细胞有:STTG1Cells、SKCO 1Cells、RL95细胞

HEMCSSCells;细胞背景资料:详见相关文献介绍;细胞传代方法:1:4-1:8传代;每周换液3次。;细胞生长特性:贴壁生长;细胞形态特性:详见细胞说明书;相关细胞有:STTG1Cells、SKCO 1Cells、RL95细胞

H-2172Cells;细胞背景资料:详见相关文献介绍;细胞传代方法:1:3-1:6传代;每周换液2-3次。;细胞生长特性:贴壁生长;细胞形态特性:详见细胞说明书;相关细胞有:B16-F10--REDCells、H341Cells、GM04671细胞

H2171Cells;细胞背景资料:详见相关文献介绍;细胞传代方法:3-4天换液1次。;细胞生长特性:悬浮生长;细胞形态特性:聚团悬浮;相关细胞有:LS513Cells、293T/17Cells、HSC-4细胞

Colon38Cells;细胞背景资料:详见相关文献介绍;细胞传代方法:1:2传代;细胞生长特性:贴壁生长;细胞形态特性:上皮细胞样;相关细胞有:H125Cells、RC13Cells、JF305细胞

Panc-10.05Cells;细胞背景资料:详见相关文献介绍;细胞传代方法:1:2传代;细胞生长特性:贴壁生长;细胞形态特性:上皮样;相关细胞有:OVCA432_BastCells、GP2-293Cells、Rat1细胞

UCLA SO M21Cells;细胞背景资料:黑色素瘤;女性;细胞传代方法:1:2-1:3传代;每周换液2-3次。;细胞生长特性:贴壁;细胞形态特性:详见细胞说明书;相关细胞有:MAVER-1Cells、Mono Mac 6Cells、SF-295细胞

TC-1[JHU-1]Cells;细胞背景资料:详见相关文献介绍;细胞传代方法:1:2传代;细胞生长特性:贴壁生长 ;细胞形态特性:详见细胞说明书;相关细胞有:OCI/AML5Cells、BEL/FUCells、MLA 144细胞

MPP-89Cells;细胞背景资料:详见相关文献介绍;细胞传代方法:1:2-1:3传代;每周换液2-3次。;细胞生长特性:贴壁或悬浮,详见细胞说明书部分;细胞形态特性:详见细胞说明书;相关细胞有:Adeno-293Cells、COLO 738Cells、IBRS2细胞

Colo320Cells;细胞背景资料:详见相关文献介绍;细胞传代方法:1:2-1:3传代;每周换液2-3次。;细胞生长特性:贴壁;细胞形态特性:淋巴母Cells;相关细胞有:PLC/PRF/5Cells、RBL-ICells、TERT-RPE1细胞

MDAMB175VIICells;细胞背景资料:该细胞源自一位54岁患有乳腺导管癌白人女性的胸腔积液。;细胞传代方法:1:2—1:6传代,每周换液2—3次;细胞生长特性:松散贴壁生长;细胞形态特性:上皮细胞样;相关细胞有:HCV-29Cells、CT-26Cells、WM451细胞

Me WoCells;细胞背景资料:详见相关文献介绍;细胞传代方法:1:3-1:5传代,2-3天换液1次。;细胞生长特性:混合生长;细胞形态特性:成纤维Cells;相关细胞有:MDAMB453Cells、SUM 159PTCells、SW 1417细胞

SK-ChA1Cells;细胞背景资料:详见相关文献介绍;细胞传代方法:1:2-1:3传代;每周换液2-3次。;细胞生长特性:贴壁或悬浮,详见细胞说明书部分;细胞形态特性:详见细胞说明书;相关细胞有:Sc-1Cells、BetaTC6Cells、SCaBER细胞

SK-N-MCCells;细胞背景资料:这株细胞与HTB-11都是神经源的。1971年9月分离得到SK-N-MC后,发现它有中性多巴胺-β-羟化酶活性,也有细胞内儿茶胺,用甲醛可以诱导出荧光。;细胞传代方法:1:6-1:12传代,每周2-3次换液。;细胞生长特性:贴壁生长;细胞形态特性:上皮样;相关细胞有:Panc-02Cells、TE354TCells、MDA-MB231细胞

MDBKCells;细胞背景资料:详见相关文献介绍;细胞传代方法:1:2传代;细胞生长特性:贴壁生长 ;细胞形态特性:详见细胞说明书;相关细胞有:ECC10Cells、U-hth74Cells、HBZY1细胞

AD293Cells;细胞背景资料:详见相关文献介绍;细胞传代方法:1:2传代;细胞生长特性:贴壁生长;细胞形态特性:详见细胞说明书;相关细胞有:T-TCells、MV4:11Cells、ID8/MOSEC细胞

Colon-38Cells;细胞背景资料:详见相关文献介绍;细胞传代方法:1:2传代;细胞生长特性:贴壁生长;细胞形态特性:上皮细胞样;相关细胞有:CEM/0Cells、786-0WTCells、LTEP-s细胞

KYSE410Cells;细胞背景资料:食管鳞癌;男性;细胞传代方法:1:2-1:3传代;每周换液2-3次。;细胞生长特性:贴壁;细胞形态特性:详见细胞说明书;相关细胞有:PTK-1Cells、HOS (TE85, Clone F5)Cells、WPE-int细胞

IAR-20Cells;细胞背景资料:肝; BDVI;细胞传代方法:1:2-1:3传代;每周换液2-3次。;细胞生长特性:贴壁;细胞形态特性:详见细胞说明书;相关细胞有:LM1Cells、VA-ES-BJCells、BE(2)-M17细胞

HuCCT-1Cells;细胞背景资料:详见相关文献介绍;细胞传代方法:1:4传代;细胞生长特性:贴壁生长;细胞形态特性:上皮细胞样;相关细胞有:T-98Cells、AR-42JCells、RPMI1788细胞

PM6Cells;细胞背景资料:肾癌;男性;细胞传代方法:1:2-1:3传代;每周换液2-3次。;细胞生长特性:贴壁;细胞形态特性:详见细胞说明书;相关细胞有:H-1694Cells、hEECCells、HCT116细胞

SHG44Cells;细胞背景资料:SHG-44细胞株源自一例2-3级前沿淋巴结星细胞瘤。染色体组型显示89.2%的超三倍体。在Wistar大鼠和裸鼠中接种都能成功。细胞含有神经系统特有的S-100蛋白和星细胞特有的GFA蛋白;细胞传代方法:消化3-5分钟。1:2。3天内可长满。;细胞生长特性:贴壁生长;细胞形态特性:成纤维细胞样;相关细胞有:HEK293SCells、SGC-7901/DDPCells、T24(ECV304)细胞

IBMF-7Cells;细胞背景资料:MCF-7细胞保留了多个分化了的乳腺上皮的特性,包括:能通过胞质雌激素受体加工雌二醇并能形成圆形复合物(domes)。该细胞含有Tx-4癌基因。肿瘤坏死因子α(TNFalpha)可以抑制MCF-7细胞的生长。抗雌激素处理细胞能调变IGFBP'S的分泌。;细胞传代方法:1:2传代,3-4天长满;细胞生长特性:贴壁生长;细胞形态特性:上皮样;相关细胞有:HSC/mHSCCells、SW954Cells、L5178-R细胞

Calu6Cells;细胞背景资料:详见相关文献介绍;细胞传代方法:消化20分钟。1:2。5-6天长满。;细胞生长特性:贴壁生长;细胞形态特性:上皮Cells;相关细胞有:Ra #1Cells、RPMI8402Cells、HEK-A细胞

H1417Cells;细胞背景资料:小细胞肺癌;女性;细胞传代方法:1:2-1:3传代;每周换液2-3次。;细胞生长特性:贴壁;细胞形态特性:详见细胞说明书;相关细胞有:JiyoyeCells、GM03671CCells、GM2131细胞

RPMI-7666Cells;细胞背景资料:详见相关文献介绍;细胞传代方法:1:2-1:3传代;每周换液2-3次。;细胞生长特性:贴壁或悬浮,详见细胞说明书部分;细胞形态特性:详见细胞说明书;相关细胞有:T HEECsCells、NTERA-2/D1Cells、Hs281T细胞

WM 115Cells;细胞背景资料:黑色素瘤;女性;细胞传代方法:1:2-1:3传代;每周换液2-3次。;细胞生长特性:贴壁;细胞形态特性:详见细胞说明书;相关细胞有:FU-OV-1Cells、N-2aCells、BT325细胞

"


CC-LP-1 Cells|人胆管癌克隆;

公司简介

上海冠导生物工程有限公司,先后从ATCC、DSMZ、ECACC、RIKEN、PromoCell、ScienCell、JCRB等国内外细胞库引进细胞2000余株。以此为契机,公司组建了冠导细胞库,我司细胞均由资深细胞培养工程师进行培养。我司可以提供的细胞有:①细胞系②原代细胞③稳转株④耐药株⑤标记细胞⑥细胞配套试剂等。

成立日期 (11年)
注册资本 100万(元)
员工人数 50-100人
年营业额 ¥ 1000万-5000万
经营模式 工厂,试剂,定制,服务
主营行业 细胞培养,微生物学,细胞生物学

CC-LP-1 Cells|人胆管癌克隆细胞相关厂家报价

  • CCLP-1细胞
  • CCLP-1细胞
  • 吉奥蓝图(广东)生命科学技术中心 VIP
  • 2026-04-09
  • 询价
内容声明
拨打电话 立即询价