基本信息 产品详情 公司简介 推荐产品
网站主页 化工产品目录 生物 细胞培养 细胞系 小鼠细胞系 NIH3T3 CELL<小鼠胚胎细胞系> NIH 3T3 Cells|小鼠胚胎克隆细胞
  • NIH 3T3 Cells|小鼠胚胎克隆细胞

NIH 3T3 Cells|小鼠胚胎克隆细胞

NIH 3T3 Cell
询价 1000000细胞数 起订
2000000细胞数 起订
上海 更新日期:2026-04-19

上海冠导生物工程有限公司

VIP6年
联系人:全经理
电话:18818239863拨打
邮箱:3171921642@qq.com

产品详情:

中文名称:
NIH 3T3 Cells|小鼠胚胎克隆细胞
英文名称:
NIH 3T3 Cell
保存条件:
常温培养或液氮冻存
纯度规格:
NIH 3T3 Cells|小鼠胚胎克隆细胞
产品类别:
生物试剂

"NIH 3T3 Cells|小鼠胚胎克隆细胞

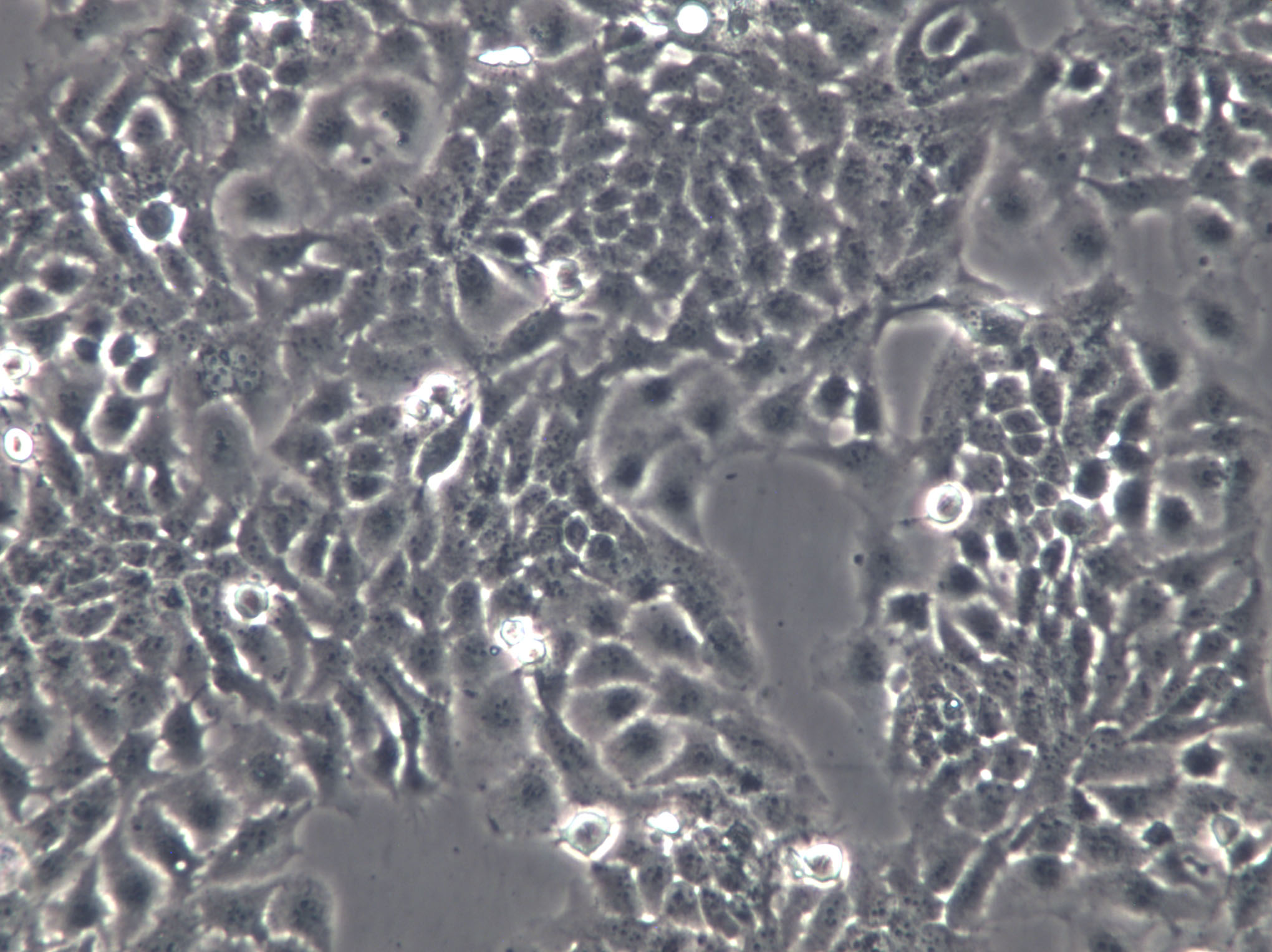
细胞形态:上皮细胞样

细胞生长:贴壁

悬浮细胞收到货后操作流程:打开包装箱,检查离心管是否漏液,若有漏液,请拍照留存,并于24h内及时联系客服;用75%酒精擦拭离心管表面,然后转移至二氧化碳培养箱中静置4h,仔细阅读细胞说明书,了解细胞培养信息;静置4h后,110g(1000rpm)离心3min,转移至安全柜中操作,用完全培养基重悬细胞沉淀至培养瓶或培养皿中培养;显微镜下观察细胞状态和密度,进行拍照;若细胞密度达到80%,可根据具体实验要求直接使用;否则置于培养箱中继续培养,至细胞密度达80%后再进行实验。

NH-6Cells;细胞背景资料:详见相关文献介绍;细胞传代方法:1:2传代;每周换液2-3次;细胞生长特性:贴壁生长;细胞形态特性:成纤维Cells;相关细胞有:SKNBE-2Cells、HS0578TCells、SK-MES1细胞

Caki2Cells;细胞背景资料:该细胞源自一位69岁白人男性的初期肾腺癌组织;细胞传代方法:1:3—1:6传代,每周换液2—3次;细胞生长特性:贴壁生长;细胞形态特性:上皮细胞样;相关细胞有:BE2CCells、OKT 3Cells、CAL-78细胞

MCF12ACells;细胞背景资料:非致瘤性乳腺上皮Cells;女性;细胞传代方法:1:2-1:3传代;每周换液2-3次。;细胞生长特性:贴壁;细胞形态特性:详见细胞说明书;相关细胞有:EST50Cells、NCI-SNU-C2BCells、GC-2细胞

WM-239ACells;细胞背景资料:黑色素瘤;女性;细胞传代方法:1:2-1:3传代;每周换液2-3次。;细胞生长特性:贴壁;细胞形态特性:详见细胞说明书;相关细胞有:KYSE 410Cells、BRL-3ACells、Mel-624细胞

细胞物种来源:人源或鼠源等其它物种来源

NIH 3T3 Cells|小鼠胚胎克隆细胞

[细胞产品包装]鲜活细胞:T25培养瓶(一瓶)或冻存细胞:1ml冻存管(两支)

细胞培养中的污染分为两类,化学污染和生物污染。化学污染是一些对细胞有毒性的或对细胞产生刺激的化学物质。这些污染一般来自于没有洗净的器皿、不纯的化学试剂和质量较差的蒸馏水等。化学污染中比较引人注意的是细菌内毒素。它是革兰氏阴性细菌细胞死亡后解体释放出的疏水性的细胞壁组成物质,对塑料等疏水性强的物质有很强的吸附能力。细菌内毒素可刺激部分细胞产生一些激素或细胞因子,对细胞生长和实验结果产生影响。细菌内毒素是临床上的主要的热原(即注射到动物体内会导致动物发热),所以通过细胞培养生产的疫苗、细胞因子等用在临床上的药品的生产过程中更是要避免细菌内毒素的污染。

细胞背景资料:详见相关文献介绍

SHIN3Cells;细胞背景资料:卵巢浆液性囊腺癌;女性;细胞传代方法:1:2-1:3传代;每周换液2-3次。;细胞生长特性:贴壁;细胞形态特性:详见细胞说明书;相关细胞有:HO8910PMCells、H187Cells、PC 61细胞

mouse Inner Medullary Collecting Duct-3Cells;细胞背景资料:肾;内髓集合管;上皮Cells;细胞传代方法:1:2-1:3传代;每周换液2-3次。;细胞生长特性:贴壁;细胞形态特性:详见细胞说明书;相关细胞有:MC/CARCells、HEM-LCells、HuH6细胞

Vero E-6Cells;细胞背景资料:详见相关文献介绍;细胞传代方法:1:2-1:3传代;每周换液2-3次。;细胞生长特性:贴壁或悬浮,详见细胞说明书部分;细胞形态特性:详见细胞说明书;相关细胞有:OCI-AML4Cells、T84Cells、Walker/LLC-WRC 256细胞

SiHaCells;细胞背景资料:该细胞来源于一位日本病人的手术切除的肿瘤组织。电镜下可以看到细胞间典型的桥粒和细胞质中大量的张力丝。1975年发现有支原体污染,而后被去除。该细胞整合有HPV16基因组,每个细胞中有1~2个拷贝。;细胞传代方法:1:3传代,2-3天换液一次;细胞生长特性:贴壁生长;细胞形态特性:上皮样;相关细胞有:SW 620Cells、HCT8Cells、A.704细胞

细胞传代方法:1:2-1:3传代;每周换液2-3次。

NIH 3T3 Cells|小鼠胚胎克隆细胞

细胞来源说明:来源于RCB、ATCC、KCLB、DSMZ、ECACC、INCell、ScienCell、ECACC、JCRB、Asterand、ICLC等知名细胞库

细胞是生物体结构和功能的基本单位。动物细胞:指从人体或动物体内取出组织,经过机械或酶学的方法分离出单个的细胞,是动物细胞,简称细胞。动物细胞培养:泛指体外培养,指从动物活体体内取出组织,模拟体内生理环境等定的体外条件下,进行孵育培养,使之生存并增殖。原代细胞:指从机体取出后立即培养的细胞。严格的说是稳定传代前的培养,实际上,通常把从机体取出后10代以内的细胞,统称为原代细胞。细胞系:原代培养物经首次传代后可连续传代的细胞群体,是细胞系。细胞传代:细胞由原培养瓶内分离稀释后传到新的培养瓶的过程称之为传代。永生化细胞(无限细胞系):指获得不死性具有持久或无限增殖的能力,也指有限细胞系通过转染、转化、癌变或病毒感染而诱导产生。有限细胞系:在体外培养生存期有限,不能长期传代的细胞系。细胞株:通过选择法或克隆形成法从原代培养物或细胞系中获得具有殊性质或标志物的培养物称为细胞株(细胞株是由一个细胞增殖而来)。

细胞生长特性:贴壁或悬浮,详见细胞说明书部分

细胞系(cell line)指原代细胞培养物经首次传代成功后所繁殖的细胞群体。 也指可长期连续传代的培养细胞。(由此便引申出了后来的有限细胞系(FiniteCellLine)、无限细胞系(InfiniteCellLine)),因此,细胞系狭义的是指可连续传代的细胞(定环境下口语和书面语都使用),广义是指可传代的细胞。肿瘤细胞系多由癌瘤建成,多呈类上皮型细胞,常已传几十代或百代以上,并具有不死性和异体接种致瘤性,丧失接触抑制能力。国际上美、英和日本等国已建有细胞库;美国已有美国标准细胞库或细胞银行(ATCC)和人遗传突变细胞库(HGMR)、细胞衰老细胞库(CAR)等,其中ATCC不仅是美国也世界大的细胞库。细胞系建立要求:什么样的体外培养群可被认可为己鉴定的细胞,视具体情况而定,无统一规定。对于用作原代培养的细胞只要供体均一,取材部位及组织种类等条件稳定即可,如用做长期培养,别是反复传代的细胞,常需做如下说明:组织来源:细胞供体所属物种,来自人体或者动物;个体性别、年龄;取材的器官或组织。如系肿瘤组织,应说明临床和病理诊断,以及病历号等。细胞生物学检测:了解细胞一般和殊的生物学性状,如细胞一般形态,异结构,细胞生长曲线和分裂指数,倍增时间,接种率等。如为肿瘤细胞,为说明来源于原肿瘤组织并保持恶性,须做软琼脂培养,异体接种致瘤和对正常组织侵润力等实验。培养条件和方法;应说明细胞系(或株)适应的生存环境,即指明使用的培养基、血清种类、用量以及适宜PH值。

tdott细胞类似产品::PANC0813细胞、PC-3M-2B4细胞、U-2932细胞

P3-X63Ag8细胞类似产品::HCC 2185细胞、Reuber H35细胞、H460细胞

JEG-3细胞类似产品::H-295R细胞、GM02131A细胞、Shadyside Hospital Pittsburgh-77细胞

Stanford University-Diffuse Histiocytic Lymphoma-6细胞类似产品::Tsup-1细胞、P3X63Ag8细胞、HTori-3.1细胞

CCD-841CoN细胞类似产品::HPF细胞、Tsup-1细胞、hTERT-RPE细胞

MDAMB468细胞类似产品::HT1080细胞、BC-023细胞、IM9细胞

C-32细胞类似产品::EST81细胞、Cloudman M3细胞、UK Pan-1细胞

FDCP1细胞类似产品::RT4P细胞、CCRF/CEM细胞、COR-L23细胞

NS20-Y细胞类似产品::F442-A细胞、HeLa229细胞、FM-88细胞

M2-10B4细胞类似产品::CMT 64细胞、IOSE-Van细胞、H522细胞

NIH 3T3 Cells|小鼠胚胎克隆细胞

WRL-68细胞类似产品::LS411细胞、MeT-5A细胞、SUDHL-5细胞

RN细胞类似产品::SCC-4细胞、4T1细胞、NCI-H1963细胞

Hs-611-T细胞类似产品::HCC-202细胞、H-1618细胞、Sol8细胞

Huh-7.5细胞类似产品::HEK 293-H细胞、NCI-H510细胞、MA104细胞

H-1092细胞类似产品::Hs 863.T细胞、MCF 10A细胞、H-1238细胞

MDA-MB-435细胞类似产品::NCI-H28细胞、3T3 L1细胞、HEK 293FT细胞

SL1细胞类似产品::Cates-1B细胞、NCI-H2347细胞、TFK1细胞

Tu-686细胞类似产品::HEK-AD 293细胞、Tohoku Hospital Pediatrics-1细胞、ROS 17/2.8细胞

SKES1细胞类似产品::Madison 109细胞、Hs819.T细胞、HONE1细胞

Hs-729-T细胞类似产品::RPMI8226细胞、OCILY-10细胞、MM96L细胞

Karpas 422细胞类似产品::WC00059细胞、NS-1细胞、TC7细胞

MDA-MB-231-GFP细胞类似产品::EJ细胞、LuCL4细胞、BTI-Tn-5B1-4细胞

UPCI-SCC-154细胞类似产品::C-28/I2细胞、NCIH209细胞、WM-115细胞

3T3-L1细胞类似产品::NS1-Ag 4/1细胞、LTEP-a2细胞、CCD1112Sk细胞

SK ES 01细胞类似产品::MKN45细胞、PSN-1细胞、NCI-H1385细胞

RERF-LCMS细胞类似产品::NCI-H1882细胞、MAntle cell VERona-1细胞、BLO-11细胞

SCC7细胞类似产品::Douglas Foster-1细胞、ASH3细胞、Balb/3T3-4-Cl31细胞

HEK 293A细胞类似产品::ESC-410细胞、LC-1/sq细胞、RGC5细胞

SK MEL 28细胞类似产品::Fetal Human Colon细胞、NP69细胞、HREC细胞

H1672细胞类似产品::MIHA细胞、H-1437细胞、HS-695T细胞

TGW细胞类似产品::Clone Y-1细胞、ARO细胞、RCC-JF细胞

SW-527细胞类似产品::293E细胞、Capan-1细胞、PASMCS细胞

RGC6细胞类似产品::SF-295细胞、MFE 296细胞、KYSE 180细胞

University of Michigan-Urothelial Carcinoma-1细胞类似产品::A 375细胞、RLE-6TN细胞、NCM-460细胞

CMECs细胞类似产品::H-1573细胞、JHH2细胞、mREC细胞

ARO细胞类似产品::2PK3细胞、MOLM-14细胞、A375.S2细胞

NIH/3T3细胞类似产品::MDAPC2B细胞、MDA-MB 468细胞、MX-1细胞

PG-4(S+L-)细胞类似产品::F36P细胞、NCI-H157细胞、VCaP细胞

CWR22R-V1细胞类似产品::HLE-SRA-01/04细胞、NG-108-15细胞、CAL12T细胞

IM 9细胞类似产品::3T3 J2细胞、16HBEo-细胞、PANC 203细胞

GTL-16细胞类似产品::H35 Reuber细胞、SNG-M细胞、Colo205细胞

OVCAR.3细胞类似产品::Vero C1008细胞、SKNEP1细胞、Madin Darby Canine Kidney细胞

HEC1-A细胞类似产品::C33A细胞、hA549细胞、LAPC-4细胞

LS-180细胞类似产品::COLO678细胞、ABC1细胞、K1735细胞

HLE细胞类似产品::PLC细胞、D10G41细胞、NB4细胞

H1436细胞类似产品::Hep 2细胞、NRK clone 49F细胞、D6P2T细胞

HCT-8/V细胞类似产品::DR2R 1610细胞、B-cell Acute Lymphoblastic Leukemia-1细胞、TCCSUP细胞

PAa细胞类似产品::ML2细胞、HCC2218细胞、C-8161细胞

SCC 9细胞类似产品::MLE-12细胞、SK-MEL-24细胞、GM03671C细胞

Hepa-RG细胞类似产品::SF 763细胞、DHL4细胞、NCIH1373细胞

G361mel细胞类似产品::VP 267细胞、HCC-202细胞、HPB/ALL细胞

SV-HUC-1细胞类似产品::Neuro 2a细胞、NCI-UMC-11细胞、NCI-SNU-475细胞

GM02219细胞类似产品::KMY1022细胞、KP-2细胞、MDA 231-LM2-4175细胞

NIH:OVCAR-4细胞类似产品::HTori:3细胞、HLE-B3细胞、ECC-1细胞

S-16细胞类似产品::Hs578Bst细胞、Vero 76 clone E-6细胞、QGY 7701细胞

OV433细胞类似产品::HMO6细胞、SH-SY5Y细胞、RSC96细胞

SCC154细胞类似产品::Plaepi 34细胞、VM-CUB1细胞、BHT101细胞

NCI-H-128Cells;细胞背景资料:小细胞肺癌;胸腔积液转移;男性;细胞传代方法:1:2-1:3传代;每周换液2-3次。;细胞生长特性:贴壁;细胞形态特性:详见细胞说明书;相关细胞有:RPMI 8226/SCells、NRK-49FCells、C-127细胞

F-36PCells;细胞背景资料:详见相关文献介绍;细胞传代方法:每周2次换液;细胞生长特性:贴壁或悬浮,详见细胞说明书部分;细胞形态特性:详见细胞说明书;相关细胞有:Hepa 1-6Cells、NB9Cells、PLMVEC细胞

H4-IIE-C3Cells;细胞背景资料:在糖皮质激素、胰岛素或cAMP衍生物的诱导下可以产生酪酸基转移酶;可被逆转录病毒感染;可产生白蛋白、转铁蛋白、凝血酶原;在AxC大鼠中可以成瘤。;细胞传代方法:1:2传代;细胞生长特性:贴壁生长;细胞形态特性:上皮样;相关细胞有:CAL 27Cells、Human Embryonic Kidney 293Cells、Walker-Ca.256细胞

Hs 281.TCells;细胞背景资料:详见相关文献介绍;细胞传代方法:1:2传代,每周换液2-3次。;细胞生长特性:贴壁生长;细胞形态特性:成纤维Cells;相关细胞有:COLO-320-DMCells、NCM460Cells、ARH-77细胞

SNU449Cells;细胞背景资料:详见相关文献介绍;细胞传代方法:1:5-1:10传代;每周2-3次;细胞生长特性:贴壁生长;细胞形态特性:上皮样;多角形;相关细胞有:BNL 1MEA.7R.1Cells、NCI-H1975Cells、HUC-1细胞

LA-795Cells;细胞背景资料:肺癌;男性;细胞传代方法:1:2-1:3传代;每周换液2-3次。;细胞生长特性:贴壁;细胞形态特性:详见细胞说明书;相关细胞有:NR 8383Cells、HTori 3Cells、DHL6细胞

SKG-IIIaCells;细胞背景资料:详见相关文献介绍;细胞传代方法:2x10^4 cells/ml;细胞生长特性:贴壁生长;细胞形态特性:上皮细胞样;相关细胞有:IOSE80Cells、BC-019Cells、H-2196细胞

GM01232Cells;细胞背景资料:1971年1月,该细胞由ReidTW及其同事从病人右眼切除的肿瘤进行原代培养建立而成,此病人有很强的视网膜母细胞瘤的母系家族遗传性。该细胞的超微结构,如核膜内折、三层膜结构、大的被膜小泡、环孔板、微管、中心粒、基粒等都与原始肿瘤相似。;细胞传代方法:1:2传代;细胞生长特性:悬浮生长;细胞形态特性:圆形,成簇生长;相关细胞有:Tu212Cells、32D.3Cells、J82 COT细胞

H2141Cells;细胞背景资料:详见相关文献介绍;细胞传代方法:3-4天换液1次。;细胞生长特性:悬浮生长;细胞形态特性:聚团悬浮;相关细胞有:Reuber H-35Cells、LP-1Cells、NCI-Hut 125细胞

NIH 3T3 Cells|小鼠胚胎克隆细胞

Panc 5.04Cells;细胞背景资料:详见相关文献介绍;细胞传代方法:1:2传代;细胞生长特性:贴壁生长;细胞形态特性:上皮样;相关细胞有:WBF344Cells、CA-OV-3Cells、MESSA Dx5细胞

HEK293FTCells;细胞背景资料:该细胞稳定表达SV40大T抗原,并且促进Zui适病毒产物的产生。;细胞传代方法:1:2传代;细胞生长特性:悬浮生长;细胞形态特性:圆形;相关细胞有:U-87-MGCells、251MGCells、B16F10细胞

PLB-985Cells;细胞背景资料:详见相关文献介绍;细胞传代方法:1:2-1:3传代;每周换液2-3次。;细胞生长特性:贴壁或悬浮,详见细胞说明书部分;细胞形态特性:详见细胞说明书;相关细胞有:NCI-H676Cells、CAL 12Cells、KMH2细胞

LC-1/sqCells;细胞背景资料:详见相关文献介绍;细胞传代方法:1:2-1:3传代;每周换液2-3次。;细胞生长特性:贴壁或悬浮,详见细胞说明书部分;细胞形态特性:详见细胞说明书;相关细胞有:Panc 10.05Cells、ScottCells、EC-GI细胞

NIH/3T3Cells;细胞背景资料:详见相关文献介绍;细胞传代方法:1:2-1:3传代;每周换液2-3次。;细胞生长特性:贴壁或悬浮,详见细胞说明书部分;细胞形态特性:详见细胞说明书;相关细胞有:MDAPC2BCells、MDA-MB 468Cells、MX-1细胞

NIH 3T3Cells;细胞背景资料:详见相关文献介绍;细胞传代方法:1:2-1:3传代;每周换液2-3次。;细胞生长特性:贴壁或悬浮,详见细胞说明书部分;细胞形态特性:详见细胞说明书;相关细胞有:AR42JCells、KYSE-150Cells、RPMI-2650细胞

SKM-1Cells;细胞背景资料:详见相关文献介绍;细胞传代方法:1:2传代;;细胞生长特性:贴壁生长;细胞形态特性:详见细胞说明书;相关细胞有:HGMCCells、GM00637HCells、L cells细胞

SKM-1Cells;细胞背景资料:详见相关文献介绍;细胞传代方法:1:2传代;;细胞生长特性:贴壁生长;细胞形态特性:详见细胞说明书;相关细胞有:HGMCCells、GM00637HCells、L cells细胞

CV-1 in Origin Simian-7Cells;细胞背景资料:此细胞株源自CV-1细胞株,经转染起始点缺失的SV40病毒突变体得到;编码表达野生型T抗原,所以该细胞适合作为需要SV40T抗原表达的载体的转染宿主。该细胞表达T抗原,允许SV40病毒的溶解性生长,支持40℃时温度敏感性A209病毒的复制,支持起始区域缺陷的SV40突变体的复制。因含有SV40病毒的DNA序列,该细胞需要在2级生物安全柜中操作。;细胞传代方法:1:2传代;细胞生长特性:贴壁生长;细胞形态特性:成纤维细胞样;相关细胞有:MCF-7/ADRCells、U937Cells、Vero C1008细胞

SK-OV-433Cells;细胞背景资料:卵巢癌;女性;细胞传代方法:1:2-1:3传代;每周换液2-3次。;细胞生长特性:贴壁;细胞形态特性:详见细胞说明书;相关细胞有:KYSE-450Cells、WIL2SCells、DMS 273细胞

H650Cells;细胞背景资料:详见相关文献介绍;细胞传代方法:1:3-1:6传代;;细胞生长特性:悬浮生长;细胞形态特性:球形的;相关细胞有:K1Cells、SK HEP 01Cells、RLE-6TN细胞

LN229Cells;细胞背景资料:详见相关文献介绍;细胞传代方法:1:4-1:6传代;每周换液2-3次;细胞生长特性:贴壁生长;细胞形态特性:上皮Cells;相关细胞有:Hs 870.TCells、H647ellCells、Swiss3T3细胞

Panc4.03Cells;细胞背景资料:详见相关文献介绍;细胞传代方法:1:2传代;细胞生长特性:贴壁生长;细胞形态特性:上皮样;相关细胞有:RMG-1Cells、EB2Cells、Melanoma 14细胞

H-865Cells;细胞背景资料:详见相关文献介绍;细胞传代方法:1:2-1:3传代;每周换液2-3次。;细胞生长特性:贴壁或悬浮,详见细胞说明书部分;细胞形态特性:详见细胞说明书;相关细胞有:Huh-7.5Cells、A20Cells、SKES-1细胞

AML 12Cells;细胞背景资料:详见相关文献介绍;细胞传代方法:1:2传代;细胞生长特性:贴壁生长;细胞形态特性:详见细胞说明书;相关细胞有:Kit225 K6Cells、NCI-H1882Cells、NCIN87细胞

WM266melCells;细胞背景资料:详见相关文献介绍;细胞传代方法:1:2传代;细胞生长特性:贴壁生长;细胞形态特性:详见细胞说明书;相关细胞有:Hepatoma-22Cells、HEK-293Cells、CEMC1细胞

NEC-8Cells;细胞背景资料:睾丸胚胎性癌;男性;细胞传代方法:1:2-1:3传代;每周换液2-3次。;细胞生长特性:贴壁;细胞形态特性:详见细胞说明书;相关细胞有:TE-10Cells、Panc2_03Cells、KTA7细胞

MHCC97LCells;细胞背景资料:来源于中山医院,生长较缓慢;细胞传代方法:1:2传代;细胞生长特性:贴壁生长;细胞形态特性:上皮样;相关细胞有:MESSADX5Cells、COLO 741Cells、CEM-C7细胞

MDBKCells;细胞背景资料:详见相关文献介绍;细胞传代方法:1:2传代;细胞生长特性:贴壁生长 ;细胞形态特性:详见细胞说明书;相关细胞有:ECC10Cells、U-hth74Cells、HBZY1细胞

FRhK4Cells;细胞背景资料:胚胎;肾;自发永生;雌性;细胞传代方法:1:2-1:3传代;每周换液2-3次。;细胞生长特性:贴壁;细胞形态特性:详见细胞说明书;相关细胞有:NCIH508Cells、CCLP-1Cells、Tn 5B1-4细胞

FRhK4Cells;细胞背景资料:胚胎;肾;自发永生;雌性;细胞传代方法:1:2-1:3传代;每周换液2-3次。;细胞生长特性:贴壁;细胞形态特性:详见细胞说明书;相关细胞有:NCIH508Cells、CCLP-1Cells、Tn 5B1-4细胞

LICR-LON-HN6-RCells;细胞背景资料:舌鳞癌;男性;细胞传代方法:1:2-1:3传代;每周换液2-3次。;细胞生长特性:贴壁;细胞形态特性:详见细胞说明书;相关细胞有:751Cells、VM-CUB-1Cells、IGR.OV1细胞

Detroit 562Cells;细胞背景资料:器官:咽头 疾病:癌 取材转移灶:胸水;细胞传代方法:1:2-1:4传代,2-3天换液1次。;细胞生长特性:贴壁生长;细胞形态特性:上皮Cells;相关细胞有:SUDHL6Cells、PaTu 8988sCells、Hs746T细胞

Ca SkiCells;细胞背景资料:这株细胞是从小肠肠系膜转移灶的细胞中建立的。 据报道,它含有完整的HPV-16(每个细胞大约600个拷贝)和HPV-18相关序列。;细胞传代方法:1:2传代;细胞生长特性:贴壁生长;细胞形态特性:上皮细胞样;相关细胞有:Tb 1 Lu (NBL-12)Cells、University of Michigan-Urothelial Carcinoma-14Cells、D-407细胞

H2052Cells;细胞背景资料:详见相关文献介绍;细胞传代方法:1:3-1:6传代;细胞生长特性:贴壁生长;细胞形态特性:上皮Cells;相关细胞有:K-562Cells、P560Cells、L cells (TK-)细胞

Psi-2 DAPCells;细胞背景资料:详见相关文献介绍;细胞传代方法:1:2-1:3传代;每周换液2-3次。;细胞生长特性:贴壁或悬浮,详见细胞说明书部分;细胞形态特性:详见细胞说明书;相关细胞有:HFT 8810Cells、SJRH 30Cells、HCC1954 BL细胞

K422Cells;细胞背景资料:详见相关文献介绍;细胞传代方法:1:2-1:3传代;每周换液2-3次。;细胞生长特性:贴壁或悬浮,详见细胞说明书部分;细胞形态特性:详见细胞说明书;相关细胞有:N2aCells、DHL-8Cells、Chang Cells细胞

LN229Cells;细胞背景资料:详见相关文献介绍;细胞传代方法:1:4-1:6传代;每周换液2-3次;细胞生长特性:贴壁生长;细胞形态特性:上皮Cells;相关细胞有:Hs 870.TCells、H647ellCells、Swiss3T3细胞

Anip 973Cells;细胞背景资料:肺腺癌;细胞传代方法:1:2-1:3传代;每周换液2-3次。;细胞生长特性:贴壁;细胞形态特性:详见细胞说明书;相关细胞有:OE21Cells、CCD-966SKCells、Co 115细胞

beta-TC6Cells;细胞背景资料:这株细胞来源于转基因小鼠中生长的一个胰肿瘤(胰岛素瘤)。这种小鼠携带了大鼠胰岛素II基因启动子调控的SV40早期基因的假基因结构。细胞包含丰富的胰岛素和小量的胰高血糖素及生长抑素。响应葡萄糖而分泌胰岛素;细胞传代方法:1:2-1:4传代,每2-3天换液一次;细胞生长特性:贴壁生长;细胞形态特性:上皮细胞样;相关细胞有:BCPAPCells、TE3Cells、Normal Rat Kidney-52E细胞

BT-549Cells;细胞背景资料:该细胞1978年由W.G.Coutinho和E.Y.Lasfargues建系,源自一位72岁患有乳腺导管癌的白人女性,来源组织包括乳头及浸润导管。该细胞形态包括上皮样细胞及多核巨细胞,可分泌一种粘性物质。;细胞传代方法:1:2传代;细胞生长特性:贴壁生长;细胞形态特性:上皮样;相关细胞有:H719Cells、Karpas-422Cells、Dami细胞

SNU-C2ACells;细胞背景资料:详见相关文献介绍;细胞传代方法:每周两次换液;细胞生长特性:松散附着、多单元的聚合;细胞形态特性:上皮细胞样;相关细胞有:AAV293Cells、SNU-354Cells、SNU-5细胞

Hs 706.TCells;细胞背景资料:详见相关文献介绍;细胞传代方法:1:2—1:3传代;每周换液2-3次;细胞生长特性:贴壁生长;细胞形态特性:成纤维Cells;相关细胞有:NUGC4Cells、HCC1438Cells、HCC-1599细胞

"


NIH 3T3 Cells|小鼠胚胎克隆;

公司简介

上海冠导生物工程有限公司,先后从ATCC、DSMZ、ECACC、RIKEN、PromoCell、ScienCell、JCRB等国内外细胞库引进细胞2000余株。以此为契机,公司组建了冠导细胞库,我司细胞均由资深细胞培养工程师进行培养。我司可以提供的细胞有:①细胞系②原代细胞③稳转株④耐药株⑤标记细胞⑥细胞配套试剂等。

成立日期 (11年)
注册资本 100万(元)
员工人数 50-100人
年营业额 ¥ 1000万-5000万
经营模式 工厂,试剂,定制,服务
主营行业 细胞培养,微生物学,细胞生物学

NIH 3T3 Cells|小鼠胚胎克隆细胞相关厂家报价

内容声明
拨打电话 立即询价