基本信息 产品详情 公司简介 推荐产品
网站主页 MGH-U3 CELLS|人膀胱癌贴壁细胞 MGH-U3 Cells|人膀胱癌克隆细胞
  • MGH-U3 Cells|人膀胱癌克隆细胞

MGH-U3 Cells|人膀胱癌克隆细胞

MGH-U3 Cells
询价 1000000细胞数 起订
2000000细胞数 起订
上海 更新日期:2026-04-26

上海冠导生物工程有限公司

VIP6年
联系人:全经理
电话:18818239863拨打
邮箱:3171921642@qq.com

产品详情:

中文名称:
MGH-U3 Cells|人膀胱癌克隆细胞
英文名称:
MGH-U3 Cells
保存条件:
常温培养或液氮冻存
纯度规格:
MGH-U3 Cells|人膀胱癌克隆细胞
产品类别:
生化试剂

"MGH-U3 Cells|人膀胱癌克隆细胞

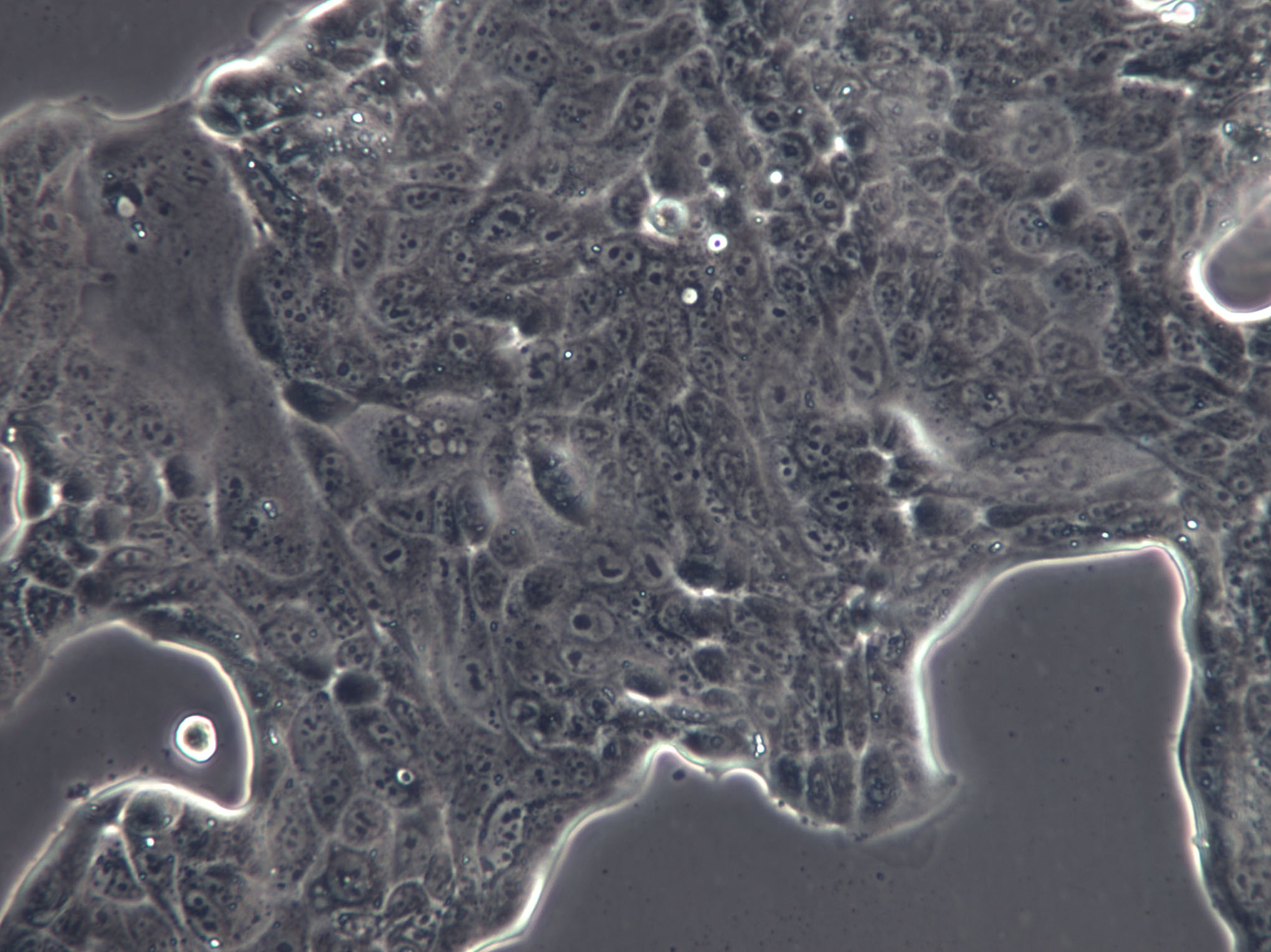
细胞形态:上皮细胞样

细胞生长:贴壁

细胞老化(cellular aging)是细胞随生物体年龄增长而发生退行性变化的总和。生物个体及其细胞须经生长、发育、老化及死亡等阶段,老化是生命发展的必然,任何细胞以及APSC多能细胞从诞生之时起,老化过程就开始了。老化的细胞结构蛋白、酶蛋白和受体蛋白合成减少,摄取营养和修复染色体损伤的能力均下降,表现为细胞和胞核变形,线粒体、GAO尔基体扭曲或呈囊泡状,胞质色素沉着,细胞体积缩小,由此导致器官重量减轻,间质增生硬化,功能代谢降低,储备功能不足。细胞分化(cell differentiation)是指同一来源的细胞逐渐产生出形态结构、功能征各不相同的细胞类群的过程,其结果是在空间上细胞产生差异,在时间上同一细胞与其从前的状态有所不同。细胞分化的本质是基因组在时间和空间上的选择性表达,通过不同基因表达的开启或关闭,终产生标志性蛋白质。一般情况下,细胞分化过程是不可逆的。然而,在某些条件下,分化了的细胞也不稳定,其基因表达模式也可以发生可逆性变化,又回到其未分化状态,这一过程称为去分化(dedifferentiation)。

CMT.64Cells;细胞背景资料:肺腺癌;雌性;C57;细胞传代方法:1:2-1:3传代;每周换液2-3次。;细胞生长特性:贴壁;细胞形态特性:详见细胞说明书;相关细胞有:Mv.1.LuCells、NCI-H2135Cells、Mel-RM细胞

Stanford University-Diffuse Histiocytic Lymphoma-2Cells;细胞背景资料:弥漫性大细胞淋巴瘤;胸腔积液转移;女性;细胞传代方法:1:2-1:3传代;每周换液2-3次。;细胞生长特性:悬浮;细胞形态特性:详见细胞说明书;相关细胞有:Hep-3BCells、KM12 SMCells、HEK293E细胞

NCI-H2591Cells;细胞背景资料:上皮样间皮瘤;男性;细胞传代方法:1:2-1:3传代;每周换液2-3次。;细胞生长特性:贴壁;细胞形态特性:详见细胞说明书;相关细胞有:AML 12Cells、MC38Cells、Tu 212细胞

OAW42Cells;细胞背景资料:详见相关文献介绍;细胞传代方法:1:2-1:3传代;每周换液2-3次。;细胞生长特性:贴壁或悬浮,详见细胞说明书部分;细胞形态特性:详见细胞说明书;相关细胞有:EACCells、M210B4Cells、MDA-MB-175-VII细胞

细胞物种来源:人源或鼠源等其它物种来源

MGH-U3 Cells|人膀胱癌克隆细胞

[细胞产品包装]鲜活细胞:T25培养瓶(一瓶)或冻存细胞:1ml冻存管(两支)

细胞培养中的污染分为两类,化学污染和生物污染。化学污染是一些对细胞有毒性的或对细胞产生刺激的化学物质。这些污染一般来自于没有洗净的器皿、不纯的化学试剂和质量较差的蒸馏水等。化学污染中比较引人注意的是细菌内毒素。它是革兰氏阴性细菌细胞死亡后解体释放出的疏水性的细胞壁组成物质,对塑料等疏水性强的物质有很强的吸附能力。细菌内毒素可刺激部分细胞产生一些激素或细胞因子,对细胞生长和实验结果产生影响。细菌内毒素是临床上的主要的热原(即注射到动物体内会导致动物发热),所以通过细胞培养生产的疫苗、细胞因子等用在临床上的药品的生产过程中更是要避免细菌内毒素的污染。

细胞背景资料:详见相关文献介绍

Mouse podocyteCells;细胞背景资料:肾;足Cells;细胞传代方法:1:2-1:3传代;每周换液2-3次。;细胞生长特性:贴壁;细胞形态特性:详见细胞说明书;相关细胞有:PANC 813Cells、MEC-1Cells、L5178Y-R细胞

WM451Cells;细胞背景资料:详见相关文献介绍;细胞传代方法:1:2-1:3传代;每周换液2-3次。;细胞生长特性:贴壁或悬浮,详见细胞说明书部分;细胞形态特性:详见细胞说明书;相关细胞有:KMB 17Cells、EFM19Cells、OCI/AML3细胞

MDA468Cells;细胞背景资料:该细胞是1977年由CailleauR等从一位患有转移性乳腺癌的51岁黑人女性的胸腔积液中分离得到的。虽然供体组织的G6PD等位基因杂合,但此细胞株始终表现为G6PDA表型。P53基因273位密码子存在G→A突变,从而导致Arg→His替代。每个细胞上存在1×106个EGF受体。;细胞传代方法:1:2-1:4传代;2-3天换液1次;细胞生长特性:贴壁生长;细胞形态特性:上皮样;相关细胞有:QSG-7701Cells、FHs74IntCells、HFSF细胞

NCTC929Cells;细胞背景资料:详见相关文献介绍;细胞传代方法:1:2-1:3传代;每周换液2-3次。;细胞生长特性:贴壁或悬浮,详见细胞说明书部分;细胞形态特性:详见细胞说明书;相关细胞有:OAW-42Cells、GM07404Cells、SK-N-BE(1)n细胞

细胞传代方法:1:2-1:3传代;每周换液2-3次。

MGH-U3 Cells|人膀胱癌克隆细胞

细胞来源说明:来源于RCB、ATCC、KCLB、DSMZ、ECACC、INCell、ScienCell、ECACC、JCRB、Asterand、ICLC等知名细胞库

细胞是生物体结构和功能的基本单位。动物细胞:指从人体或动物体内取出组织,经过机械或酶学的方法分离出单个的细胞,是动物细胞,简称细胞。动物细胞培养:泛指体外培养,指从动物活体体内取出组织,模拟体内生理环境等定的体外条件下,进行孵育培养,使之生存并增殖。原代细胞:指从机体取出后立即培养的细胞。严格的说是稳定传代前的培养,实际上,通常把从机体取出后10代以内的细胞,统称为原代细胞。细胞系:原代培养物经首次传代后可连续传代的细胞群体,是细胞系。细胞传代:细胞由原培养瓶内分离稀释后传到新的培养瓶的过程称之为传代。永生化细胞(无限细胞系):指获得不死性具有持久或无限增殖的能力,也指有限细胞系通过转染、转化、癌变或病毒感染而诱导产生。有限细胞系:在体外培养生存期有限,不能长期传代的细胞系。细胞株:通过选择法或克隆形成法从原代培养物或细胞系中获得具有殊性质或标志物的培养物称为细胞株(细胞株是由一个细胞增殖而来)。

细胞生长特性:贴壁或悬浮,详见细胞说明书部分

细胞系(cell line)指原代细胞培养物经首次传代成功后所繁殖的细胞群体。 也指可长期连续传代的培养细胞。(由此便引申出了后来的有限细胞系(FiniteCellLine)、无限细胞系(InfiniteCellLine)),因此,细胞系狭义的是指可连续传代的细胞(定环境下口语和书面语都使用),广义是指可传代的细胞。肿瘤细胞系多由癌瘤建成,多呈类上皮型细胞,常已传几十代或百代以上,并具有不死性和异体接种致瘤性,丧失接触抑制能力。国际上美、英和日本等国已建有细胞库;美国已有美国标准细胞库或细胞银行(ATCC)和人遗传突变细胞库(HGMR)、细胞衰老细胞库(CAR)等,其中ATCC不仅是美国也世界大的细胞库。细胞系建立要求:什么样的体外培养群可被认可为己鉴定的细胞,视具体情况而定,无统一规定。对于用作原代培养的细胞只要供体均一,取材部位及组织种类等条件稳定即可,如用做长期培养,别是反复传代的细胞,常需做如下说明:组织来源:细胞供体所属物种,来自人体或者动物;个体性别、年龄;取材的器官或组织。如系肿瘤组织,应说明临床和病理诊断,以及病历号等。细胞生物学检测:了解细胞一般和殊的生物学性状,如细胞一般形态,异结构,细胞生长曲线和分裂指数,倍增时间,接种率等。如为肿瘤细胞,为说明来源于原肿瘤组织并保持恶性,须做软琼脂培养,异体接种致瘤和对正常组织侵润力等实验。培养条件和方法;应说明细胞系(或株)适应的生存环境,即指明使用的培养基、血清种类、用量以及适宜PH值。

Hs895.T细胞类似产品::BMU-S1细胞、D10细胞、H1395细胞

BrCL15细胞类似产品::Hep II细胞、Cates 1B细胞、P388-D1细胞

MC26细胞类似产品::Hs-274-T细胞、TW 01细胞、HC-11细胞

NCTC-3960细胞类似产品::JVM-2细胞、HuT102细胞、TPC-1细胞

SUIT2细胞类似产品::rRMECs细胞、PG-4(S+L-)细胞、CHO Lec1细胞

H774细胞类似产品::IAR 20细胞、C28/I2细胞、Functional Liver Cell-7细胞

H-2405细胞类似产品::Lu-99A细胞、WiDr细胞、WM115F细胞

NCI-H522细胞类似产品::SJCRH30细胞、RIN-m 14B细胞、H2170细胞

U-87细胞类似产品::LLC-WRC 256细胞、TE-12细胞、McArdle RH-7777细胞

SV40-HCEC细胞类似产品::IOSE-Mar细胞、Capan 2细胞、Nthy ori 3.1细胞

MGH-U3 Cells|人膀胱癌克隆细胞

MM1S细胞类似产品::L-1210细胞、FAT细胞、B5537SKIN细胞

MD Anderson-Metastatic Breast-330细胞类似产品::RINm-5F细胞、3T3-Swiss albino细胞、EBC1细胞

SKGT2细胞类似产品::Hs 895 T细胞、SK LU 1细胞、TE 32细胞

CCD-112CoN细胞类似产品::PC-3M 2B4细胞、EHEB细胞、RPMI 8402细胞

BT-483细胞类似产品::C8161细胞、JROECL33细胞、U-87-MG细胞

SW 839细胞类似产品::EL 4细胞、TT细胞、FU-97细胞

SW 839细胞类似产品::EL 4细胞、TT细胞、FU-97细胞

LAN-1细胞类似产品::NCIH460细胞、KMM1细胞、BTI-Tn5B14细胞

X63Ag8.653细胞类似产品::HT144mel细胞、Leydig细胞、SW-962细胞

GM03570E细胞类似产品::SU-DHL-2细胞、WM-239A细胞、Lu-165细胞

GM02219D细胞类似产品::RMa-bm细胞、WSU-DLCL2细胞、HFT8810细胞

HCC2935细胞类似产品::GLC82细胞、L5178Y TK+/-3.7.2c细胞、OC-3-VGH细胞

BN-CL2细胞类似产品::SW-1271细胞、OCI/AML-4细胞、Calu-3细胞

DMS-273细胞类似产品::Hs840_T细胞、2780细胞、201T细胞

SCC15细胞类似产品::H1092细胞、NCI-H1694细胞、Colo699细胞

MCF7-GFP细胞类似产品::P3/NS-1细胞、SW 1353细胞、CCRF-CEM C1细胞

NL-20细胞类似产品::RERF-LC-MS细胞、9L细胞、Hs832.Tc细胞

CL1-0细胞类似产品::MD Anderson-Metastatic Breast-231细胞、NCIADR.RES细胞、PK(15)细胞

S16细胞类似产品::MS751细胞、Hep 3B2细胞、BEL-7404细胞

HCC-1954BL细胞类似产品::Walker256-TC细胞、WSUDLCL2细胞、MEF细胞

NSI/1-Ag4-1细胞类似产品::NCI-H2066细胞、Nthy-ori 3.1细胞、alpha TC1 clone 6细胞

JJN3细胞类似产品::DrG细胞、SK-RC 39细胞、MiaPaca.2细胞

HUTU80细胞类似产品::SK-LMS-1细胞、IPECJ2细胞、PCI-SG231细胞

Hs729细胞类似产品::Panc 08.13细胞、HONE1细胞、MC3T3-E细胞

NCI-H1869细胞类似产品::LS-1034细胞、ssMCF7细胞、TGHAVSMC细胞

H841细胞类似产品::B16 F1细胞、MonoMac1细胞、TE-671细胞

NCI-H82细胞类似产品::VSC4.1细胞、PT67细胞、H2108细胞

SBC-5细胞类似产品::SACC-LM细胞、Soleus clone 8细胞、253J-Bladder-V细胞

RKO细胞类似产品::WM451Lu细胞、SKML-28细胞、HSC(Human Schwann)细胞

Human Liver-7702细胞类似产品::JiyoyeP-2003细胞、ATDC5细胞、LICR-HN-6细胞

FM-88细胞类似产品::KM H-2细胞、MC26细胞、N1E115细胞

b.End3细胞类似产品::Calu 6细胞、C1498细胞、8305-C细胞

T8细胞类似产品::Lu-65细胞、SK-SH-SY5Y细胞、RCC23细胞

Human Liver-7702细胞类似产品::JiyoyeP-2003细胞、ATDC5细胞、LICR-HN-6细胞

Hs832T细胞类似产品::PA I细胞、SCL I细胞、mIMCD-3细胞

HCC-1395细胞类似产品::SCaBER细胞、MOLP8细胞、HO1-N1细胞

Neuro 2a细胞类似产品::A10细胞、HCC-95细胞、OLN 93细胞

Swiss3T3细胞类似产品::3T6-Swiss albino细胞、NCI-BL6细胞、NCIH661细胞

TE12细胞类似产品::UMNSAH/DF#1细胞、Rat podocyte细胞、OCI-Ly 1细胞

H295细胞类似产品::T173细胞、CMK细胞、KRCY细胞

HCC0078细胞类似产品::HT144细胞、OVCAR-4细胞、HRCEC细胞

RPMI 1846细胞类似产品::AMC-HN8细胞、CMT64细胞、TE85细胞

RT112细胞类似产品::RS4;11细胞、P 815细胞、HaCaT细胞

H128细胞类似产品::Caco2BBe细胞、MBVP细胞、MGH-U3 (RN)细胞

253J-Bladder-V细胞类似产品::LA 4细胞、KMST-6细胞、PAI细胞

GC-1spg细胞类似产品::SK.MEL.2细胞、NCI-H1299细胞、YES 2细胞

EL-4细胞类似产品::NHDF细胞、16HBE14o-细胞、MHCC-97细胞

HUVECCells;细胞背景资料:脐静脉;内皮Cells;细胞传代方法:1:2-1:3传代;每周换液2-3次。;细胞生长特性:贴壁;细胞形态特性:详见细胞说明书;相关细胞有:QG-56Cells、HCC0078Cells、CL1-5细胞

JOSK-MCells;细胞背景资料:急性单核细胞白血病;男性;细胞传代方法:1:2-1:3传代;每周换液2-3次。;细胞生长特性:悬浮;细胞形态特性:详见细胞说明书;相关细胞有:SKNO-1Cells、Colo699Cells、HcaF细胞

SMMC7721Cells;细胞背景资料:用Northernblot方法,未能检测到细胞中1.3kbLFIRE-1/HFREP-1mRNA的表达。;细胞传代方法:1:3传代,2-3天换液一次;细胞生长特性:贴壁生长;细胞形态特性:上皮样;相关细胞有:CTLA4Ig-24Cells、C-6Cells、GM07404细胞

D-407Cells;细胞背景资料:详见相关文献介绍;细胞传代方法:1:2传代;细胞生长特性:贴壁生长 ;细胞形态特性:详见细胞说明书;相关细胞有:HTR-8Cells、138 MGCells、SNU1040细胞

YD15Cells;细胞背景资料:舌鳞癌;男性;细胞传代方法:1:2-1:3传代;每周换液2-3次。;细胞生长特性:贴壁;细胞形态特性:详见细胞说明书;相关细胞有:Hs940TCells、Emory University-2Cells、SKNO-1细胞

KU19-19Cells;细胞背景资料:膀胱癌;男性;细胞传代方法:1:2-1:3传代;每周换液2-3次。;细胞生长特性:贴壁;细胞形态特性:详见细胞说明书;相关细胞有:LTEPa2Cells、GalK1Cells、PLB-985细胞

WRL-68Cells;细胞背景资料:胚胎;肝Cells;细胞传代方法:1:2-1:3传代;每周换液2-3次。;细胞生长特性:贴壁;细胞形态特性:详见细胞说明书;相关细胞有:LS411Cells、MeT-5ACells、SUDHL-5细胞

DR2R 1610Cells;细胞背景资料:详见相关文献介绍;细胞传代方法:1:2-1:3传代;每周换液2-3次。;细胞生长特性:贴壁或悬浮,详见细胞说明书部分;细胞形态特性:详见细胞说明书;相关细胞有:GNMCells、DLD 1Cells、Panc2_03细胞

B16/BL6Cells;细胞背景资料:黑色素瘤;雄性;C57BL/6;细胞传代方法:1:2-1:3传代;每周换液2-3次。;细胞生长特性:贴壁;细胞形态特性:详见细胞说明书;相关细胞有:ketr 3Cells、Huh-7.5Cells、RWPE2细胞

MGH-U3 Cells|人膀胱癌克隆细胞

ABC1Cells;细胞背景资料:详见相关文献介绍;细胞传代方法:每周换液2次。;细胞生长特性:贴壁生长;细胞形态特性:上皮细胞样;相关细胞有:Hs-852-TCells、Sci-1Cells、R1800[RA]细胞

LN382Cells;细胞背景资料:胶质瘤;男性;细胞传代方法:1:2-1:3传代;每周换液2-3次。;细胞生长特性:贴壁;细胞形态特性:详见细胞说明书;相关细胞有:526melCells、PL5Cells、GC1-SPG细胞

PLA801DCells;细胞背景资料:这是一株高转移肺癌。;细胞传代方法:消化3-5分钟,1:2,3天内可长满;细胞生长特性:贴壁生长;细胞形态特性:上皮样;相关细胞有:P388-D1Cells、LU-65MCells、LTEP-a-2细胞

BS-C-1Cells;细胞背景资料:详见相关文献介绍;细胞传代方法:1:2-1:3传代;每周换液2-3次。;细胞生长特性:贴壁或悬浮,详见细胞说明书部分;细胞形态特性:详见细胞说明书;相关细胞有:U87-MGCells、RCC-4Cells、H-1693细胞

CemT4Cells;细胞背景资料:急性T淋巴细胞白血病;女性;细胞传代方法:1:2-1:3传代;每周换液2-3次。;细胞生长特性:悬浮;细胞形态特性:详见细胞说明书;相关细胞有:HCC-1937Cells、X63-Ag8Cells、GM2219C细胞

PANC0327Cells;细胞背景资料:详见相关文献介绍;细胞传代方法:1:2传代;细胞生长特性:贴壁生长;细胞形态特性:上皮样;相关细胞有:3T3 L1Cells、EU-2Cells、Granta-519细胞

OAC-P4CCells;细胞背景资料:详见相关文献介绍;细胞传代方法:1:2-1:3传代;每周换液2-3次。;细胞生长特性:贴壁或悬浮,详见细胞说明书部分;细胞形态特性:详见细胞说明书;相关细胞有:Hut292Cells、Karpas 422Cells、AG06814-M细胞

OAC-P4CCells;细胞背景资料:详见相关文献介绍;细胞传代方法:1:2-1:3传代;每周换液2-3次。;细胞生长特性:贴壁或悬浮,详见细胞说明书部分;细胞形态特性:详见细胞说明书;相关细胞有:Hut292Cells、Karpas 422Cells、AG06814-M细胞

EST81Cells;细胞背景资料:详见相关文献介绍;细胞传代方法:1:2-1:3传代;每周换液2-3次。;细胞生长特性:贴壁或悬浮,详见细胞说明书部分;细胞形态特性:详见细胞说明书;相关细胞有:HCC-1954Cells、WB-F344Cells、OVCAR.3细胞

U-251Cells;细胞背景资料:U-251 MG分离至一位患者的胶质母细胞瘤组织。;细胞传代方法:1:2-1:3传代;每周换液2-3次。;细胞生长特性:贴壁;细胞形态特性:成纤维细胞样;相关细胞有:Hs 606Cells、293ECells、CT26-clone 25细胞

HLEC-SRA 01/04Cells;细胞背景资料:晶状体;上皮Cells;SV40转化;男性;细胞传代方法:1:2-1:3传代;每周换液2-3次。;细胞生长特性:贴壁;细胞形态特性:详见细胞说明书;相关细胞有:Hs675Cells、Asian Medical Center-Head and Neck cancer-8Cells、Hs940.T细胞

293/EBNACells;细胞背景资料:详见相关文献介绍;细胞传代方法:1:4-1:10传代;每周2次。;细胞生长特性:贴壁生长;细胞形态特性:上皮细胞样;相关细胞有:LS-180Cells、Line 870 Emory University-4Cells、MC3T3, E1 subgroup-4 clone细胞

HRA 19Cells;细胞背景资料:详见相关文献介绍;细胞传代方法:1:2-1:3传代;每周换液2-3次。;细胞生长特性:贴壁或悬浮,详见细胞说明书部分;细胞形态特性:详见细胞说明书;相关细胞有:Rat Lung Epithelial-6-T-antigen NegativeCells、NCI-H2444Cells、L02细胞

MDA-MB-231-GFPCells;细胞背景资料:详见相关文献介绍;细胞传代方法:1:2-1:3传代;每周换液2-3次。;细胞生长特性:贴壁或悬浮,详见细胞说明书部分;细胞形态特性:详见细胞说明书;相关细胞有:EJCells、LuCL4Cells、BTI-Tn-5B1-4细胞

Immortalized Human HepatocytesCells;细胞背景资料:肝;细胞传代方法:1:2-1:3传代;每周换液2-3次。;细胞生长特性:贴壁;细胞形态特性:详见细胞说明书;相关细胞有:H-7721Cells、H-774Cells、CaES-17细胞

ToledoCells;细胞背景资料:详见相关文献介绍;细胞传代方法:每2-3天换液;细胞生长特性:悬浮生长 ;细胞形态特性:淋巴母细胞样;相关细胞有:G-361Cells、H-295Cells、KP4细胞

NIH:OVCAR3Cells;细胞背景资料:该细胞1982年由T.C. Hamilton等建系,源自一位60卵巢腺癌的腹水,是卵巢癌抗药性研究的模型。;细胞传代方法:1:2—1:4传代,每周换液2—3次;细胞生长特性:贴壁生长;细胞形态特性:上皮细胞样;相关细胞有:NRK 52ECells、Epstein-Barr-2Cells、SR细胞

RCK8Cells;细胞背景资料:弥漫大B淋巴瘤;腹腔转移;男性;细胞传代方法:1:2-1:3传代;每周换液2-3次。;细胞生长特性:悬浮;细胞形态特性:详见细胞说明书;相关细胞有:HCC-1954BLCells、NCI H929Cells、C3H 10T1/2细胞

U373Cells;细胞背景资料:胶质瘤;男性;细胞传代方法:1:2-1:3传代;每周换液2-3次。;细胞生长特性:贴壁;细胞形态特性:详见细胞说明书;相关细胞有:ASPC1Cells、BIC1Cells、Y-79细胞

HT-1197Cells;细胞背景资料:详见相关文献介绍;细胞传代方法:1:5-1:10传代,2天换液1次。;细胞生长特性:贴壁生长;细胞形态特性:详见细胞说明书;相关细胞有:766TCells、GA-10 (Clone 4)Cells、HCT-8/V细胞

LICR-HN6Cells;细胞背景资料:舌鳞癌;男性;细胞传代方法:1:2-1:3传代;每周换液2-3次。;细胞生长特性:贴壁;细胞形态特性:详见细胞说明书;相关细胞有:NK10aCells、MD Anderson-Metastatic Breast-468Cells、T-ALL 1细胞

JB6 [Mouse]Cells;细胞背景资料:表皮;自发永生;BALB/c;细胞传代方法:1:2-1:3传代;每周换液2-3次。;细胞生长特性:贴壁;细胞形态特性:详见细胞说明书;相关细胞有:NRK49FCells、CL1-5Cells、ST-2细胞

MDA453Cells;细胞背景资料:该细胞系由CailleauR在1976年从一名48岁的患有转移性乳腺癌的白人女性的心包渗出液中分离建立的。该细胞表达FGF的受体。;细胞传代方法:1:2-1:4传代;2-3天换液1次;细胞生长特性:贴壁生长;细胞形态特性:上皮样;多角形;相关细胞有:EMT-6Cells、CEM clone 7Cells、P3/X63-Ag8细胞

H2227Cells;细胞背景资料:详见相关文献介绍;细胞传代方法:1:2-1:4传代;每周换液2次。;细胞生长特性:该细胞既有悬浮生长,又有贴壁生长;细胞形态特性:上皮Cells;相关细胞有:ARPE19Cells、TW01Cells、COLO 741细胞

VERO C 1008Cells;细胞背景资料:详见相关文献介绍;细胞传代方法:1:2-1:3传代;每周换液2-3次。;细胞生长特性:贴壁或悬浮,详见细胞说明书部分;细胞形态特性:详见细胞说明书;相关细胞有:IMCD3Cells、FDCP-1Cells、Ontario Cancer Institute-Acute Myeloid Leukemia-4细胞

RCC-10RGBCells;细胞背景资料:详见相关文献介绍;细胞传代方法:1:2-1:3传代;每周换液2-3次。;细胞生长特性:贴壁或悬浮,详见细胞说明书部分;细胞形态特性:详见细胞说明书;相关细胞有:Caco-2Cells、HCC0038Cells、NHLF细胞

HSC-3Cells;细胞背景资料:详见相关文献介绍;细胞传代方法:1 x 10^5 cells/10cm dish;细胞生长特性:贴壁生长;细胞形态特性:上皮Cells;相关细胞有:NCIH2081Cells、Nb2Cells、HUCEC细胞

NCIH650Cells;细胞背景资料:详见相关文献介绍;细胞传代方法:1:3-1:6传代;;细胞生长特性:悬浮生长;细胞形态特性:球形的;相关细胞有:K7M2 wtCells、T 24Cells、MDA-361细胞

H1437Cells;细胞背景资料:详见相关文献介绍;细胞传代方法:1:2-1:6传代,每周换液2次。;细胞生长特性:贴壁生长;细胞形态特性:上皮样;相关细胞有:C918Cells、THP1Cells、HGC27细胞

MGH-U1 (EJ)Cells;细胞背景资料:膀胱癌;女性;细胞传代方法:1:2-1:3传代;每周换液2-3次。;细胞生长特性:贴壁;细胞形态特性:详见细胞说明书;相关细胞有:Lewis lung carcinoma line 1Cells、HBL-100Cells、H1436细胞

U-CH1Cells;细胞背景资料:骶骨脊索瘤;男性;细胞传代方法:1:2-1:3传代;每周换液2-3次。;细胞生长特性:贴壁;细胞形态特性:详见细胞说明书;相关细胞有:CAL33Cells、Rin-M-5FCells、CT26WT细胞

PCI:SG-231Cells;细胞背景资料:肝内胆管癌;男性;细胞传代方法:1:2-1:3传代;每周换液2-3次。;细胞生长特性:贴壁;细胞形态特性:详见细胞说明书;相关细胞有:SK-ES1Cells、Hs 27Cells、Hs 706.T细胞

OVSAHOCells;细胞背景资料:卵巢癌;女性;细胞传代方法:1:2-1:3传代;每周换液2-3次。;细胞生长特性:贴壁;细胞形态特性:详见细胞说明书;相关细胞有:WM-266-melCells、Hs683TCells、UWB1.289+BRCA1细胞

"


MGH-U3 Cells|人膀胱癌克隆细;

公司简介

上海冠导生物工程有限公司,先后从ATCC、DSMZ、ECACC、RIKEN、PromoCell、ScienCell、JCRB等国内外细胞库引进细胞2000余株。以此为契机,公司组建了冠导细胞库,我司细胞均由资深细胞培养工程师进行培养。我司可以提供的细胞有:①细胞系②原代细胞③稳转株④耐药株⑤标记细胞⑥细胞配套试剂等。

成立日期 (11年)
注册资本 100万(元)
员工人数 50-100人
年营业额 ¥ 1000万-5000万
经营模式 工厂,试剂,定制,服务
主营行业 细胞培养,微生物学,细胞生物学

MGH-U3 Cells|人膀胱癌克隆细胞相关厂家报价

内容声明
拨打电话 立即询价