基本信息 产品详情 公司简介 推荐产品
网站主页 化工产品目录 生物 细胞培养 细胞系 人细胞系 HEK-293 CELLS:人胚肾细胞系 HEK293 Cells|人胚肾克隆细胞
  • HEK293 Cells|人胚肾克隆细胞

HEK293 Cells|人胚肾克隆细胞

HEK293 Cells
询价 1000000细胞数 起订
上海 更新日期:2026-04-16

上海冠导生物工程有限公司

VIP6年
联系人:全经理
电话:18818239863拨打
邮箱:3171921642@qq.com

产品详情:

中文名称:
HEK293 Cells|人胚肾克隆细胞
英文名称:
HEK293 Cells
保存条件:
常温培养或液氮冻存
纯度规格:
HEK293 Cells|人胚肾克隆细胞
产品类别:
生化试剂

"HEK293 Cells|人胚肾克隆细胞

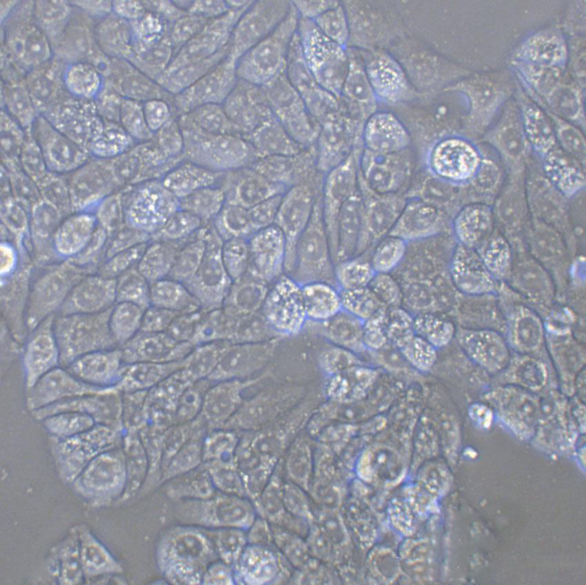
细胞形态:上皮细胞样

细胞生长:贴壁

细胞培养中常见的生物污染类型有真菌污染、病毒污染、细菌污染、支原体污染、原虫污染、黑胶虫污染、以及非细胞污染。他们在细胞培养中污染的点如下:细菌:细菌在普通倒置显微镜下为黑色细沙状,根据感染细菌的不同,可有不同的外形,培养液一般会浑浊变黄,对细胞生长影响明显。支原体:黑色的,HAO象多为多形,培养液一般培养液一般会浑浊,原体感染,国内血清很多都没有做支原体阴性检测,而支原体是牛血清中常见的微生物之一。而且它不能用过滤的办法除去。支原体感染细胞以后,细胞病变不很明显,只是慢慢死去。黑胶虫:可以穿透滤膜,也可以通过空气传播,低倍下为黑色点状,GAO倍下可看见黑色的小虫游来游去,培养液也是不浑的,一般不会太影响,细胞还是可以用的。常常是细胞生长状态良HAO,且观测到的运动物无明显增多,且培养液颜色、透明度无明显变化,可在同一批号的血清养的细胞中发现类似现象。对细胞生长状态不会有明显影响,在细胞增殖旺盛之后会自然消失,除更换血清外无须殊处理。

ECGI10Cells;细胞背景资料:详见相关文献介绍;细胞传代方法:1:2-1:3传代;每周换液2-3次。;细胞生长特性:贴壁或悬浮,详见细胞说明书部分;细胞形态特性:详见细胞说明书;相关细胞有:CG4Cells、BDCMCells、C3H/10T1/2 clone 8细胞

MiaPaCa-2Cells;细胞背景资料:详见相关文献介绍;细胞传代方法:1:2传代;;细胞生长特性:贴壁生长;细胞形态特性:详见细胞说明书;相关细胞有:TW-039Cells、FETCells、Potorous tridactylus Kidney 1细胞

AMO1Cells;细胞背景资料:浆细胞骨髓瘤;女性;细胞传代方法:1:2-1:3传代;每周换液2-3次。;细胞生长特性:半贴壁;细胞形态特性:详见细胞说明书;相关细胞有:RKO-AS-45-1Cells、MHCC 97-LCells、OPM2细胞

P3X63NS1Cells;细胞背景资料:这是P3X63Ag8(ATCCTIB-9)的一个不分泌克隆。Kappa链合成了但不分泌。能抗0.1mM8-氮杂鸟嘌呤但不能在HAT培养基中生长。据报道它是由于缺失了3-酮类固醇还原酶活性的胆固醇营养缺陷型。检测表明肢骨发育畸形病毒(鼠痘)阴性。;细胞传代方法:1:2传代,3天内可长满。;细胞生长特性:悬浮生长;细胞形态特性:淋巴母Cells;相关细胞有:KYSE 30Cells、RSC 96Cells、VP 267细胞

细胞物种来源:人源或鼠源等其它物种来源

HEK293 Cells|人胚肾克隆细胞

[细胞产品包装]鲜活细胞:T25培养瓶(一瓶)或冻存细胞:1ml冻存管(两支)

细胞培养中的污染分为两类,化学污染和生物污染。化学污染是一些对细胞有毒性的或对细胞产生刺激的化学物质。这些污染一般来自于没有洗净的器皿、不纯的化学试剂和质量较差的蒸馏水等。化学污染中比较引人注意的是细菌内毒素。它是革兰氏阴性细菌细胞死亡后解体释放出的疏水性的细胞壁组成物质,对塑料等疏水性强的物质有很强的吸附能力。细菌内毒素可刺激部分细胞产生一些激素或细胞因子,对细胞生长和实验结果产生影响。细菌内毒素是临床上的主要的热原(即注射到动物体内会导致动物发热),所以通过细胞培养生产的疫苗、细胞因子等用在临床上的药品的生产过程中更是要避免细菌内毒素的污染。

细胞背景资料:详见相关文献介绍

JM1Cells;细胞背景资料:详见相关文献介绍;细胞传代方法:换液2-3次一周;细胞生长特性:悬浮生长 ;细胞形态特性:淋巴母细胞样;相关细胞有:MG-HU-3Cells、MOLT 4Cells、S3-HeLa细胞

U-251MGCells;细胞背景资料:U-251 MG分离至一位患者的胶质母细胞瘤组织。;细胞传代方法:1:2-1:3传代;每周换液2-3次。;细胞生长特性:贴壁;细胞形态特性:成纤维细胞样;相关细胞有:SW1116Cells、EC-GI-10Cells、P 3 HR 1细胞

Mel-624Cells;细胞背景资料:黑色素瘤;男性;细胞传代方法:1:2-1:3传代;每周换液2-3次。;细胞生长特性:贴壁;细胞形态特性:详见细胞说明书;相关细胞有:CCK81Cells、OCI-Ly8Cells、KYSE-30细胞

NCIH1650Cells;细胞背景资料:该细胞是从一名27岁白人男性(10年烟龄)支气管肺泡癌患者的胸腔积液中分离得到的。;细胞传代方法:1:4-1:6传代;2-3天换液1次。;细胞生长特性:贴壁生长;细胞形态特性:上皮细胞样;相关细胞有:MUTZ1Cells、Anip973Cells、32Dc3细胞

细胞传代方法:1:2-1:3传代;每周换液2-3次。

HEK293 Cells|人胚肾克隆细胞

细胞来源说明:来源于RCB、ATCC、KCLB、DSMZ、ECACC、INCell、ScienCell、ECACC、JCRB、Asterand、ICLC等知名细胞库

细胞是生物体结构和功能的基本单位。动物细胞:指从人体或动物体内取出组织,经过机械或酶学的方法分离出单个的细胞,是动物细胞,简称细胞。动物细胞培养:泛指体外培养,指从动物活体体内取出组织,模拟体内生理环境等定的体外条件下,进行孵育培养,使之生存并增殖。原代细胞:指从机体取出后立即培养的细胞。严格的说是稳定传代前的培养,实际上,通常把从机体取出后10代以内的细胞,统称为原代细胞。细胞系:原代培养物经首次传代后可连续传代的细胞群体,是细胞系。细胞传代:细胞由原培养瓶内分离稀释后传到新的培养瓶的过程称之为传代。永生化细胞(无限细胞系):指获得不死性具有持久或无限增殖的能力,也指有限细胞系通过转染、转化、癌变或病毒感染而诱导产生。有限细胞系:在体外培养生存期有限,不能长期传代的细胞系。细胞株:通过选择法或克隆形成法从原代培养物或细胞系中获得具有殊性质或标志物的培养物称为细胞株(细胞株是由一个细胞增殖而来)。

细胞生长特性:贴壁或悬浮,详见细胞说明书部分

细胞培养中的污染分为两类,化学污染和生物污染;生物污染包括比较容易发现的细菌、霉菌和酵母的污染,和较难发现的病毒、支原体和其他细胞的污染。细菌、霉菌和酵母到处存在,它们能在合适的环境中非常快速的生长。这些污染比较容易观察到,它们往往会使其污染的培养液产生可见的变化,或者通过显微镜观察就可以看见。由于病毒有种属异性,所以病毒污染的概率比较小。但是病毒污染难于发现,因为病毒颗粒别微小,一般的实验室都没能力检查细胞培养中污染的病毒。由于病毒一般潜伏在细胞内,对整个细胞培养不是致死的,所以它可能会使研究人员长期得到受病毒影响的细胞的实验结果。1956年Robinson及其同事首次发现细胞培养中的支原体污染。90年代初的一个调查发现,在美国培养的细胞中,至少有15%被支原体污染。由于支原体没有细胞壁,在细胞培养液中几乎是透明的,同时对常用于细胞培养中的抗生素不敏感,不引起pH变化,不使培养液浑浊,所以支原体污染不容易被发现,但是其存在会影响实验的结果。培养多种细胞时操作不当,会导致细胞的交叉污染。由于不同细胞的生产速率不同,污染的生长速率快的细胞终会完全取代被污染的细胞。

C3H10T1/2CL8细胞类似产品::SKNFI细胞、TE-15细胞、H-2073细胞

Human Fetal Thymocyte-8810细胞类似产品::HCC-1569细胞、H-69细胞、KATO III细胞

HIEC细胞类似产品::Hs 600.T细胞、DoHH-2细胞、CCRF.CEM细胞

SKGIIIA细胞类似产品::Strain L-929细胞、MDAMB415细胞、H1672细胞

MCF-7/AdrR细胞类似产品::RPMI no 8226细胞、NCIH28细胞、HBE135-E6E7细胞

Kit 225 K6细胞类似产品::H-1385细胞、251 MG细胞、VMM5细胞

Hs 636 T细胞类似产品::SNG-M细胞、Hs.27细胞、A-101D细胞

BTI-Tn-5B1-4细胞类似产品::RMC细胞、H1581细胞、OKT 3细胞

DR2R1610细胞类似产品::253J细胞、50.B1细胞、Tregs细胞

HMO6细胞类似产品::NG 108-15细胞、CNE2Z细胞、H-378细胞

HEK293 Cells|人胚肾克隆细胞

HEK 293 EBNA细胞类似产品::Rca-B细胞、Hs 683.T细胞、CHL-CL-11细胞

LY-R细胞类似产品::EJ1细胞、A498细胞、Colon-26细胞

H-1299细胞类似产品::T98G细胞、P116细胞、MFE 296细胞

G401细胞类似产品::PaTu-8988s细胞、GM03571细胞、H322细胞

Leukemic 1210细胞类似产品::NCI-H2108细胞、H-1693细胞、Co320细胞

P19细胞类似产品::KYSE140细胞、LN-18细胞、L 363细胞

P19细胞类似产品::KYSE140细胞、LN-18细胞、L 363细胞

HEK293细胞类似产品::U-343-MG细胞、HIMEC细胞、Murine Carcinoma-38细胞

RCC4细胞类似产品::KM933细胞、NCI-SNU-423细胞、HEK 293-F细胞

MRC-V细胞类似产品::Human Pancreatic Duct Epithelial细胞、HSC 3细胞、HO8910细胞

NCI522细胞类似产品::MDA-kb2细胞、Epithelioma Papulosum Cyprini细胞、OCI-LY-19细胞

H-1404细胞类似产品::RPMI.8226细胞、CCC-HSF-1细胞、HTR-8细胞

Jurkat clone A3细胞类似产品::LL/2 (LLC1)细胞、RTMC细胞、RIN m5F细胞

RS4;11细胞类似产品::KYSE 150 KYSE150 Kyse150 KY150

细胞、Colo741细胞、D10G41细胞

WBF344细胞类似产品::HCC1428细胞、TF-1细胞、WRL 68细胞

G 292 Clone A 141B1细胞类似产品::T-HEECs细胞、COV504细胞、X63-AG 8.653细胞

GM-3573细胞类似产品::CCD18细胞、COLO-394细胞、CCRF-CEM C7细胞

B16-F10细胞类似产品::Sp2/mIL-6细胞、HEK293-A细胞、EU-4细胞

SL1细胞类似产品::Cates-1B细胞、NCI-H2347细胞、TFK1细胞

HT1197细胞类似产品::190PT细胞、MKN1细胞、A-375细胞

NRK clone 49F细胞类似产品::H322T细胞、OVCA-420细胞、OE21细胞

NCIH661细胞类似产品::YTMLC-90细胞、H1618细胞、HUVEC-C[HUVEC]细胞

Caco-2/BBe细胞类似产品::TB-1 Lu细胞、NB4细胞、TE 671细胞

SupB15WT细胞类似产品::H-1944细胞、IGROV 1细胞、ME 180细胞

RC13细胞类似产品::JF305细胞、BE2-C细胞、HSC5细胞

Nb2a细胞类似产品::CEM clone 7细胞、PIGI细胞、Kato-III细胞

KG1细胞类似产品::BE2M17细胞、U-87MG ATCC细胞、Hs 766T细胞

PL 5细胞类似产品::U 266细胞、HT144-mel细胞、D10.G4.1细胞

H460细胞类似产品::Karpas 299细胞、87MG细胞、MA 104细胞

Leukemia L1210细胞类似产品::Normal Rat, August 3, 1983细胞、NCI.H226细胞、HCGC细胞

H2591细胞类似产品::Hep G2-Luc细胞、SKOV-3细胞、CEMC7细胞

UCH-1细胞类似产品::RCC10RGB细胞、LA-N-5细胞、H1944细胞

H-498细胞类似产品::NHRF细胞、SNU368细胞、COLO 320 DM细胞

CHO细胞类似产品::MT-2细胞、EVSAT细胞、HECCL-1细胞

DR2R1610细胞类似产品::253J细胞、50.B1细胞、Tregs细胞

H1666细胞类似产品::Hs 888.Lu细胞、H-2122细胞、LA795细胞

HFL细胞类似产品::HeLaS3细胞、hTERT RPE-1细胞、SKLU-1细胞

NCI-H1623细胞类似产品::COLO 320HSR细胞、HHUA细胞、ST486细胞

HASMC细胞类似产品::HOS TE 85细胞、LIPF178C细胞、OCI Ly1细胞

MDCC-MSB-1细胞类似产品::C-33-A细胞、RDES-1细胞、NCI-H1623细胞

HDSMC细胞类似产品::LTEPsm细胞、MHH-CALL-2细胞、Kit 225-K6细胞

OV-CA 432细胞类似产品::KLM-1细胞、CV-1 in Origin Simian-1细胞、OP-9细胞

BJ [Human fibroblast]细胞类似产品::H-2591细胞、PGBE1细胞、JCA-1细胞

NCI-H748细胞类似产品::ARH 77细胞、Embryonic Bovine Tracheal cells细胞、COR-L26细胞

MOLT3细胞类似产品::NCI-H660细胞、P3 (Jiyoye)细胞、293 c18细胞

CL-11细胞类似产品::University of Michigan-Urothelial Carcinoma-1细胞、MGH-U3 (RN)细胞、RC13细胞

L5178YR细胞类似产品::D10细胞、L M (TK-)细胞、NCIH748细胞

NP-69Cells;细胞背景资料:鼻咽;上皮Cells;SV40转化;细胞传代方法:1:2-1:3传代;每周换液2-3次。;细胞生长特性:贴壁;细胞形态特性:详见细胞说明书;相关细胞有:H-4-II-ECells、Huh7.5Cells、NCIH1105细胞

SUM 190Cells;细胞背景资料:乳腺癌;女性;细胞传代方法:1:2-1:3传代;每周换液2-3次。;细胞生长特性:贴壁;细胞形态特性:详见细胞说明书;相关细胞有:SV-HUC-1Cells、SH-SY5Y ParentalCells、HPAF-II/CD18细胞

NCI-SNU-5Cells;细胞背景资料:该细胞来源于一名低分化胃癌患者的转移性腹水,1987年分离建立。该细胞表达CEA和TAG-72。;细胞传代方法:2-3天补液一次。;细胞生长特性:多细胞聚集、悬浮生长;细胞形态特性:上皮细胞样;相关细胞有:HRMCCells、RIN-14BCells、THC-8307细胞

H-1648Cells;细胞背景资料:详见相关文献介绍;细胞传代方法:1:3-1:6传代;细胞生长特性:贴壁生长;细胞形态特性:上皮Cells;相关细胞有:OVCAR-3Cells、MLMECCells、CPA47细胞

HTCells;细胞背景资料:详见相关文献介绍;细胞传代方法:每2-3天换液;细胞生长特性:悬浮生长 ;细胞形态特性:淋巴母细胞样;相关细胞有:WM35Cells、MIHACells、SNU1细胞

beta TC6Cells;细胞背景资料:这株细胞来源于转基因小鼠中生长的一个胰肿瘤(胰岛素瘤)。这种小鼠携带了大鼠胰岛素II基因启动子调控的SV40早期基因的假基因结构。细胞包含丰富的胰岛素和小量的胰高血糖素及生长抑素。响应葡萄糖而分泌胰岛素;细胞传代方法:1:2-1:4传代,每2-3天换液一次;细胞生长特性:贴壁生长;细胞形态特性:上皮细胞样;相关细胞有:RPMI1788Cells、HUVEC-C[HUVEC]Cells、STTG1细胞

RT112Cells;细胞背景资料:详见相关文献介绍;细胞传代方法:1:2-1:3传代;每周换液2-3次。;细胞生长特性:贴壁或悬浮,详见细胞说明书部分;细胞形态特性:详见细胞说明书;相关细胞有:RS4;11Cells、P 815Cells、HaCaT细胞

PA317Cells;细胞背景资料:胚胎;成纤维Cells;NIH Swiss;细胞传代方法:1:2-1:3传代;每周换液2-3次。;细胞生长特性:贴壁;细胞形态特性:详见细胞说明书;相关细胞有:R 2 CCells、Panc04.03Cells、H3396细胞

IMR 90Cells;细胞背景资料:W.W. Nichols及其同事从一位16周女婴的肺中取材,建立了人二倍体成纤维细胞株IMR-90。分裂潜能,病毒感受性和其它性质都得到了充分研究,因而这株细胞可以作为WI-38或其它标准人肺细胞株的替代株。有报道称这株细胞在表现出衰老前可倍增58次。;细胞传代方法:1:2传代;细胞生长特性:贴壁生长 ;细胞形态特性:详见细胞说明书;相关细胞有:SNU-398Cells、SCLC-21HCells、Sp2/mIL-6细胞

HEK293 Cells|人胚肾克隆细胞

H69Cells;细胞背景资料:详见相关文献介绍;细胞传代方法:1:2—1:4传代,每周换液2次;细胞生长特性:悬浮生长,聚团;细胞形态特性:聚团悬浮;相关细胞有:KYSE-50Cells、Ontario Cancer Institute-Acute Myeloid Leukemia-4Cells、PG [Human lung carcinoma]细胞

SK-N-F1Cells;细胞背景资料:详见相关文献介绍;细胞传代方法:1:4传代,每周换液2次;细胞生长特性:贴壁生长;细胞形态特性:上皮样;相关细胞有:Hs 274.TCells、IM-95Cells、SW 1271细胞

U266SCells;细胞背景资料:详见相关文献介绍;细胞传代方法:1:3传代,2-3天传一代;细胞生长特性:悬浮生长 ;细胞形态特性:淋巴母细胞样;相关细胞有:MC3T3-E1Cells、NCI-H2198Cells、SNU-449细胞

C-Lu-65Cells;细胞背景资料:详见相关文献介绍;细胞传代方法:1:10传代;细胞生长特性:贴壁生长;细胞形态特性:成纤维Cells;相关细胞有:CMT-167Cells、AU565Cells、RH7777细胞

C3ACells;细胞背景资料:详见相关文献介绍;细胞传代方法:1:3—1:6传代,每周换液2次;细胞生长特性:贴壁生长;细胞形态特性:上皮样;相关细胞有:TCC-SUPCells、GAKCells、CII细胞

HCOCells;细胞背景资料:颅骨;成骨Cells;细胞传代方法:1:2-1:3传代;每周换液2-3次。;细胞生长特性:贴壁;细胞形态特性:详见细胞说明书;相关细胞有:SNU368Cells、Wien 133Cells、SJSA-1细胞

SkChA1Cells;细胞背景资料:详见相关文献介绍;细胞传代方法:1:2-1:3传代;每周换液2-3次。;细胞生长特性:贴壁或悬浮,详见细胞说明书部分;细胞形态特性:详见细胞说明书;相关细胞有:REC1Cells、H-146Cells、LU165细胞

SkChA1Cells;细胞背景资料:详见相关文献介绍;细胞传代方法:1:2-1:3传代;每周换液2-3次。;细胞生长特性:贴壁或悬浮,详见细胞说明书部分;细胞形态特性:详见细胞说明书;相关细胞有:REC1Cells、H-146Cells、LU165细胞

P3JHR-1Cells;细胞背景资料:详见相关文献介绍;细胞传代方法:每2-3天换液;细胞生长特性:悬浮生长 ;细胞形态特性:淋巴母细胞样;相关细胞有:SV40-MES13Cells、NCI-H920Cells、SKNBE细胞

BHP10-3Cells;细胞背景资料:甲状腺乳头状癌;女性;细胞传代方法:1:2-1:3传代;每周换液2-3次。;细胞生长特性:贴壁;细胞形态特性:详见细胞说明书;相关细胞有:A375-SMCells、MES23.5Cells、SKGT2细胞

FRTL-5Cells;细胞背景资料:甲状腺;自发永生;Fischer;细胞传代方法:1:2-1:3传代;每周换液2-3次。;细胞生长特性:贴壁;细胞形态特性:详见细胞说明书;相关细胞有:Hs-675-TCells、P3X63Ag8.653Cells、SO-RB50细胞

Be WoCells;细胞背景资料:取自人绒癌脑转移组织,在仓鼠颊囊移植传代8年。利用移植瘤组织进行体外培养,建立细胞系。利用不同传代方法建立了不同亚系,JEG-3是其衍生克隆。该细胞可以产生雌激素、孕激素、雌酮、雌二醇、雌三醇、hCG、胎盘催乳素、角蛋白。;细胞传代方法:1:3传代,3-4天换液一次;细胞生长特性:贴壁生长;细胞形态特性:上皮样;相关细胞有:MDAMB330Cells、LNCaP C4-2BCells、IMR-32细胞

CORL51Cells;细胞背景资料:详见相关文献介绍;细胞传代方法:1:2-1:3传代;每周换液2-3次。;细胞生长特性:贴壁或悬浮,详见细胞说明书部分;细胞形态特性:详见细胞说明书;相关细胞有:H1299Cells、CF Pac1Cells、Hs746-T细胞

CT26.CL25Cells;细胞背景资料:结肠癌; BALB/c;细胞传代方法:1:2-1:3传代;每周换液2-3次。;细胞生长特性:贴壁;细胞形态特性:详见细胞说明书;相关细胞有:MDA-435Cells、H-64Cells、H2122细胞

H2228Cells;细胞背景资料:详见相关文献介绍;细胞传代方法:1:2-1:3传代,每周2-3次。;细胞生长特性:贴壁生长;细胞形态特性:详见细胞说明书;相关细胞有:Ocular Choroidal Melanoma-1Cells、N87Cells、210RCY3-Ag1.2.3细胞

Hs294Cells;细胞背景资料:详见相关文献介绍;细胞传代方法:1:2-1:4传代,2-3天换液1次。;细胞生长特性:贴壁生长;细胞形态特性:混合星状和多边形;相关细胞有:HITCells、COLO 201Cells、MDA-MB435细胞

TE9Cells;细胞背景资料:详见相关文献介绍;细胞传代方法:消化3-5分钟。1:2。3天内可长满。;细胞生长特性:贴壁生长;细胞形态特性:上皮样;相关细胞有:GM03569Cells、NCIH838Cells、RPMI-6666细胞

Hce8693Cells;细胞背景资料:盲肠腺癌;男性;细胞传代方法:1:2-1:3传代;每周换液2-3次。;细胞生长特性:贴壁;细胞形态特性:详见细胞说明书;相关细胞有:UPCI-SCC-154Cells、ME-1 [Human leukemia]Cells、CMT-167细胞

Hs 729.TCells;细胞背景资料:详见相关文献介绍;细胞传代方法:1:2传代;每周换液2-3次。;细胞生长特性:贴壁生长;细胞形态特性:成纤维Cells;相关细胞有:H-820Cells、KYSE-50Cells、WM115mel细胞

SW527Cells;细胞背景资料:详见相关文献介绍;细胞传代方法:1:2-1:3传代;每周换液2-3次。;细胞生长特性:贴壁或悬浮,详见细胞说明书部分;细胞形态特性:详见细胞说明书;相关细胞有:R3/1Cells、P3/NS-1Cells、RCM-1 [Human rectum adenocarcinoma]细胞

KYSE180Cells;细胞背景资料:食管鳞癌;男性;细胞传代方法:1:2-1:3传代;每周换液2-3次。;细胞生长特性:贴壁;细胞形态特性:详见细胞说明书;相关细胞有:RSC-96Cells、SU4Cells、JROECL21细胞

Hs737TCells;细胞背景资料:详见相关文献介绍;细胞传代方法:1:2—1:3传代;每周换液2-3次;细胞生长特性:贴壁生长;细胞形态特性:成纤维Cells;相关细胞有:KLN 205Cells、MDAMB468Cells、HA细胞

SF-539Cells;细胞背景资料:胶质瘤;女性;细胞传代方法:1:2-1:3传代;每周换液2-3次。;细胞生长特性:贴壁;细胞形态特性:详见细胞说明书;相关细胞有:SCCVIICells、HCC4006Cells、UMR 106细胞

B-95-8Cells;细胞背景资料:详见相关文献介绍;细胞传代方法:1:2传代;细胞生长特性:贴壁生长 ;细胞形态特性:详见细胞说明书;相关细胞有:L-cellCells、CAMACells、KTC-1细胞

HPAF-IICells;细胞背景资料:详见相关文献介绍;细胞传代方法:1:2传代;细胞生长特性:贴壁生长;细胞形态特性:详见细胞说明书;相关细胞有:RehCells、DMS114Cells、A375-SM细胞

Medical Research Council cell strain-5Cells;细胞背景资料:MRC-5细胞系来自14周龄男性胎儿的正常肺组织,该细胞老化前能传代42~46个倍增时间。;细胞传代方法:1:2-1:5传代;每周1-2次。;细胞生长特性:贴壁生长;细胞形态特性:成纤维细胞样;相关细胞有:SupT1Cells、G 292 Clone A 141B1Cells、IR983F细胞

KBM-7Cells;细胞背景资料:慢性髓原白血病;男性;细胞传代方法:1:2-1:3传代;每周换液2-3次。;细胞生长特性:悬浮;细胞形态特性:详见细胞说明书;相关细胞有:KY-50Cells、GS-9LCells、SK-N-MC细胞

NU-GC-3Cells;细胞背景资料:详见相关文献介绍;细胞传代方法:1:6传代;细胞生长特性:贴壁生长;细胞形态特性:上皮样;相关细胞有:MGC803Cells、ACCMCells、MC 116细胞

KM12-SMCells;细胞背景资料:结肠癌;细胞传代方法:1:2-1:3传代;每周换液2-3次。;细胞生长特性:贴壁;细胞形态特性:详见细胞说明书;相关细胞有:143B TK-Cells、Potorous tridactylus Kidney 2Cells、HLFa细胞

Ramos-RA1Cells;细胞背景资料:详见相关文献介绍;细胞传代方法:1:2-1:3传代;每周换液2-3次。;细胞生长特性:贴壁或悬浮,详见细胞说明书部分;细胞形态特性:详见细胞说明书;相关细胞有:H-740Cells、H2052_MMCells、870细胞

G361melCells;细胞背景资料:详见相关文献介绍;细胞传代方法:1:2-1:4传代,2-3天换液1次。;细胞生长特性:贴壁生长;细胞形态特性:上皮Cells;相关细胞有:VP 267Cells、HCC-202Cells、HPB/ALL细胞

NIH:OVCAR3Cells;细胞背景资料:该细胞1982年由T.C. Hamilton等建系,源自一位60卵巢腺癌的腹水,是卵巢癌抗药性研究的模型。;细胞传代方法:1:2—1:4传代,每周换液2—3次;细胞生长特性:贴壁生长;细胞形态特性:上皮细胞样;相关细胞有:NRK 52ECells、Epstein-Barr-2Cells、SR细胞

MV4;11Cells;细胞背景资料:详见相关文献介绍;细胞传代方法:1:2-1:3传代;每周换液2-3次。;细胞生长特性:贴壁或悬浮,详见细胞说明书部分;细胞形态特性:详见细胞说明书;相关细胞有:Transformed Human Liver Epithelial-2Cells、LICR-HN6Cells、PA1细胞

"


HEK293 Cells|人胚肾克隆细胞;

公司简介

上海冠导生物工程有限公司,先后从ATCC、DSMZ、ECACC、RIKEN、PromoCell、ScienCell、JCRB等国内外细胞库引进细胞2000余株。以此为契机,公司组建了冠导细胞库,我司细胞均由资深细胞培养工程师进行培养。我司可以提供的细胞有:①细胞系②原代细胞③稳转株④耐药株⑤标记细胞⑥细胞配套试剂等。

成立日期 (11年)
注册资本 100万(元)
员工人数 50-100人
年营业额 ¥ 1000万-5000万
经营模式 工厂,试剂,定制,服务
主营行业 细胞培养,微生物学,细胞生物学

HEK293 Cells|人胚肾克隆细胞相关厂家报价

内容声明
拨打电话 立即询价