基本信息 产品详情 公司简介 推荐产品
网站主页 NCI-H2108 CELLS|人肺癌贴壁细胞 NCI-H2108 Cells|人肺癌克隆细胞
  • NCI-H2108 Cells|人肺癌克隆细胞

NCI-H2108 Cells|人肺癌克隆细胞

NCI-H2108 Cells
询价 1000000细胞数 起订
2000000细胞数 起订
上海 更新日期:2026-04-26

上海冠导生物工程有限公司

VIP6年
联系人:全经理
电话:18818239863拨打
邮箱:3171921642@qq.com

产品详情:

中文名称:
NCI-H2108 Cells|人肺癌克隆细胞
英文名称:
NCI-H2108 Cells
保存条件:
常温培养或液氮冻存
纯度规格:
NCI-H2108 Cells|人肺癌克隆细胞
产品类别:
生物试剂

"NCI-H2108 Cells|人肺癌克隆细胞

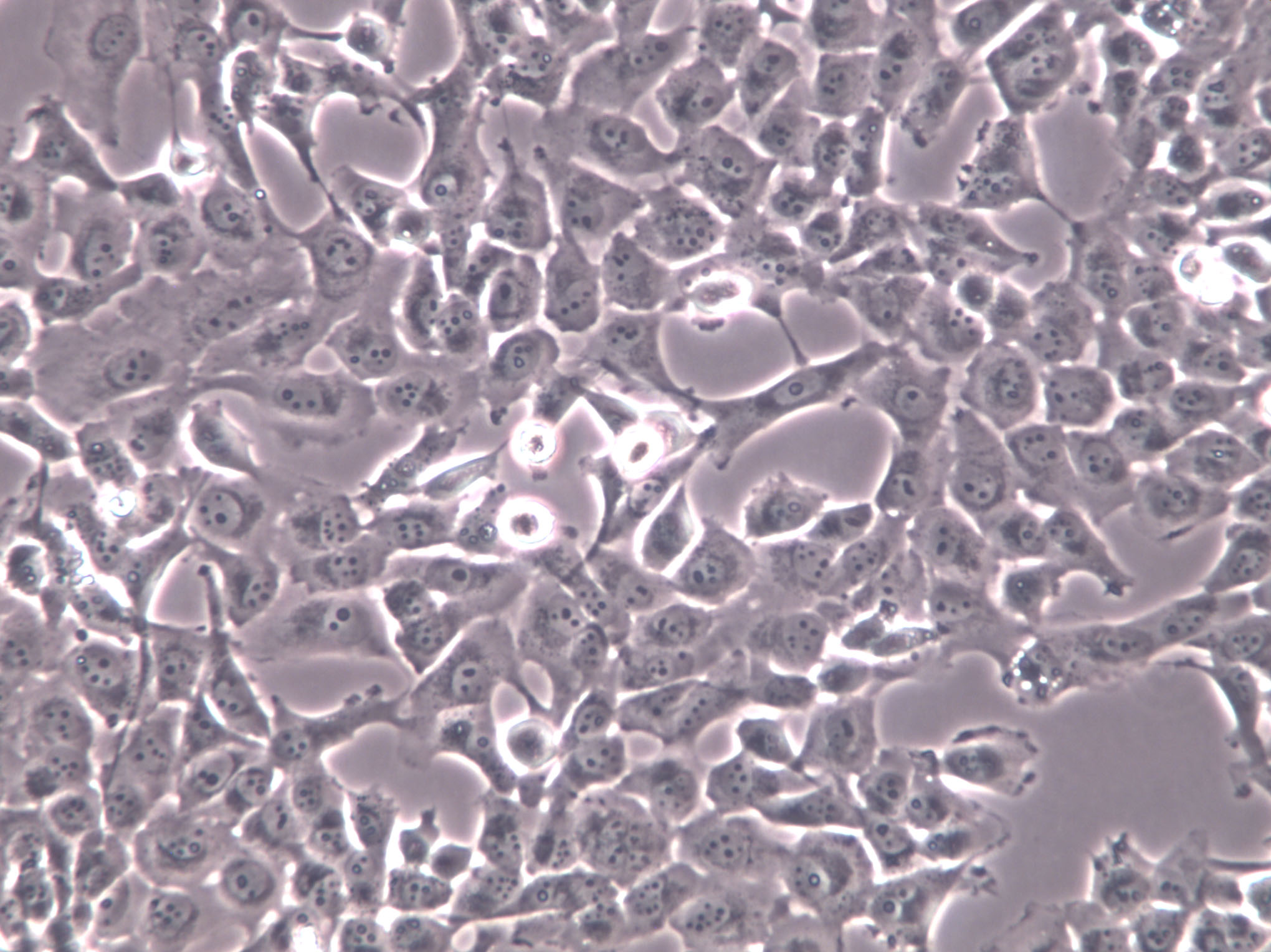
细胞形态:上皮细胞样

细胞生长:贴壁

悬浮细胞收到货后操作流程:打开包装箱,检查离心管是否漏液,若有漏液,请拍照留存,并于24h内及时联系客服;用75%酒精擦拭离心管表面,然后转移至二氧化碳培养箱中静置4h,仔细阅读细胞说明书,了解细胞培养信息;静置4h后,110g(1000rpm)离心3min,转移至安全柜中操作,用完全培养基重悬细胞沉淀至培养瓶或培养皿中培养;显微镜下观察细胞状态和密度,进行拍照;若细胞密度达到80%,可根据具体实验要求直接使用;否则置于培养箱中继续培养,至细胞密度达80%后再进行实验。

CAL-51Cells;细胞背景资料:乳腺癌;胸腔积液转移;女性;细胞传代方法:1:2-1:3传代;每周换液2-3次。;细胞生长特性:贴壁;细胞形态特性:详见细胞说明书;相关细胞有:WEHI 164Cells、HMVECCells、MC3T3细胞

NCC-ITCells;细胞背景资料:详见相关文献介绍;细胞传代方法:1:4—1:8传代,每周换液2—3次;细胞生长特性:贴壁生长;细胞形态特性:上皮Cells;相关细胞有:NCI-H2198Cells、MGHU1Cells、SUP-T1细胞

LS-180Cells;细胞背景资料:详见相关文献介绍;细胞传代方法:1:2-1:3传代;每周换液2-3次。;细胞生长特性:贴壁或悬浮,详见细胞说明书部分;细胞形态特性:详见细胞说明书;相关细胞有:COLO678Cells、ABC1Cells、K1735细胞

J774A.1Cells;细胞背景资料:详见相关文献介绍;细胞传代方法:1:2-1:3传代;每周换液2-3次。;细胞生长特性:贴壁或悬浮,详见细胞说明书部分;细胞形态特性:详见细胞说明书;相关细胞有:32D:cl3Cells、UCLA-SO-14Cells、U-138-MG细胞

细胞物种来源:人源或鼠源等其它物种来源

NCI-H2108 Cells|人肺癌克隆细胞

[细胞产品包装]鲜活细胞:T25培养瓶(一瓶)或冻存细胞:1ml冻存管(两支)

被污染的细胞培养物是污染其他细胞培养物的污染源,被一代一代传下去,在吸取、吹出、离心、处理操作过程中产生的微滴,落到周围能存活几天。支原体污染的浓度一般在10'ccu/mL-108ccu/mL。因此,只从可靠来源引进细胞,别是知名的信誉良HAO的专门机构,如ATCC、基础医学细胞中心等。制备细胞的组织或器官本身就有可能带有支原体,因此在细胞原代培养时,需要进行常规支原体监测检查后使用,原代细胞或工作细胞库应分别管理,以防交叉感染。细胞株传代时,同时作培养或DNA染色检查,检测保存过程有否感染。一旦发现已经污染支原体的细胞,灭活后弃之,更换新的细胞,避免支原体的大范围播散。

细胞背景资料:详见相关文献介绍

T-ALL 1Cells;细胞背景资料:该细胞源于一名复发T-ALL(急性T淋巴细胞性白血病)的儿童的外周血;具有很强的细胞毒性,体内体外实验中都能破坏肿瘤Cells;IL-2可使细胞更好地生长;α/β TCR阳性,γ/δ TCR阴性;可产生IFNγ、TNF-α和GM-CSF。;细胞传代方法:维持细胞密度在4×105-1×106 cells/ml之间,2-3天换液1次 ;细胞生长特性:悬浮生长;细胞形态特性:淋巴母Cells;相关细胞有:ZR75-30Cells、NUGC-3Cells、OCI-Ly 19细胞

BICCells;细胞背景资料:食管腺癌;男性;细胞传代方法:1:2-1:3传代;每周换液2-3次。;细胞生长特性:贴壁;细胞形态特性:详见细胞说明书;相关细胞有:NCI-H1563Cells、Adeno 293Cells、Panc-3_27细胞

DI TNC1Cells;细胞背景资料:详见相关文献介绍;细胞传代方法:1:2传代;细胞生长特性:贴壁生长;细胞形态特性:成纤维母细胞样;相关细胞有:H-2172Cells、HRECCells、ATDC5细胞

Menschliche Und Tierische Zellkulture-3Cells;细胞背景资料:详见相关文献介绍;细胞传代方法:1:2-1:3传代;细胞生长特性:悬浮生长;细胞形态特性:淋巴母Cells;相关细胞有:UACC 893Cells、JVM2Cells、LS-411N细胞

细胞传代方法:1:2-1:3传代;每周换液2-3次。

NCI-H2108 Cells|人肺癌克隆细胞

细胞来源说明:来源于RCB、ATCC、KCLB、DSMZ、ECACC、INCell、ScienCell、ECACC、JCRB、Asterand、ICLC等知名细胞库

一旦您在细胞培养的过程中发现有黑点生成,首先,要肉眼观察培养基是否混浊,然后,在镜下观察培养细胞生长的状态,黑点是否游动。如果细胞被污染,微生物则会大量繁殖,培养基就会迅速变黄、变混浊。污染包括细菌污染、支原体污染等。如果在镜下观察细胞,生长状态良HAO,与黑点出现前相比,没有任何变化,那么,黑点的出现可能与以下几种情况有关:细胞生长过老,破碎的细胞残骸;血清质量不HAO,反复冻融的结果;配制培养基的pH值偏GAO,不宜细胞生长;配制培养基的水质、容器不合格。可应用离心、过滤的方法去除这些黑点;培养原代细胞中出现小黑点,可能是原代组织中的杂质,多次传代可以消除。

细胞生长特性:贴壁或悬浮,详见细胞说明书部分

细胞培养中的污染分为两类,化学污染和生物污染;生物污染包括比较容易发现的细菌、霉菌和酵母的污染,和较难发现的病毒、支原体和其他细胞的污染。细菌、霉菌和酵母到处存在,它们能在合适的环境中非常快速的生长。这些污染比较容易观察到,它们往往会使其污染的培养液产生可见的变化,或者通过显微镜观察就可以看见。由于病毒有种属异性,所以病毒污染的概率比较小。但是病毒污染难于发现,因为病毒颗粒别微小,一般的实验室都没能力检查细胞培养中污染的病毒。由于病毒一般潜伏在细胞内,对整个细胞培养不是致死的,所以它可能会使研究人员长期得到受病毒影响的细胞的实验结果。1956年Robinson及其同事首次发现细胞培养中的支原体污染。90年代初的一个调查发现,在美国培养的细胞中,至少有15%被支原体污染。由于支原体没有细胞壁,在细胞培养液中几乎是透明的,同时对常用于细胞培养中的抗生素不敏感,不引起pH变化,不使培养液浑浊,所以支原体污染不容易被发现,但是其存在会影响实验的结果。培养多种细胞时操作不当,会导致细胞的交叉污染。由于不同细胞的生产速率不同,污染的生长速率快的细胞终会完全取代被污染的细胞。

NCI-HUT-460细胞类似产品::TR-146细胞、ECV 304细胞、H-1869细胞

T 84细胞类似产品::SACC83细胞、Strain L-929细胞、BCP1细胞

NCI-H146细胞类似产品::B16-F10细胞、HCC1143细胞、DLD-1细胞

NCI-H226细胞类似产品::Doubling time: ~50 hours (ATCC).细胞、H820细胞、RA细胞

Colo16细胞类似产品::HBMEC细胞、NCIH520细胞、Wills Eye Research Institute-Retinoblastoma-1细胞

MV 3细胞类似产品::MDAMB361细胞、UCLA SO M21细胞、Stanford University Pediatric T-cell line 1细胞

TE-5细胞类似产品::Leydig细胞、KU1919细胞、T.T细胞

HS852.T细胞类似产品::HEL-299细胞、NCIH1915细胞、Fetal Rhesus Kidney-4细胞

NPA'87细胞类似产品::Lewis-Lung细胞、HBZY1细胞、87 MG细胞

C643细胞类似产品::VCaP细胞、CL1细胞、Hepa1-6细胞

NCI-H2108 Cells|人肺癌克隆细胞

JEKO细胞类似产品::H-520细胞、NCIH1975细胞、33604细胞

MDA-MB-231 #4175细胞类似产品::REC 1细胞、EBNA293细胞、ROS17/28细胞

KNS-42细胞类似产品::P-388D1细胞、mRMEC细胞、T47-D细胞

GP-293细胞类似产品::Mo7e细胞、NCI-522细胞、LCMS细胞

MM-1S细胞类似产品::C12细胞、Human Embryonic Skin细胞、G 292 Clone A 141B1细胞

Michigan Cancer Foundation-10A细胞类似产品::ST486细胞、VP303细胞、3T3-J2细胞

MCF-7/AdrR细胞类似产品::RPMI no 8226细胞、NCIH28细胞、HBE135-E6E7细胞

Swiss 3T3细胞类似产品::JROECL 19细胞、624细胞、HNE2细胞

SU-DHL1细胞类似产品::Hs695细胞、HEC1B细胞、Mono-Mac-6细胞

Rat Lung-65细胞类似产品::M-07e细胞、OCI Ly3细胞、Mv.1.Lu细胞

BTI-Tn-5B1-4细胞类似产品::RMC细胞、H1581细胞、OKT 3细胞

ME1细胞类似产品::TE9细胞、Tb 1 Lu (NBL-12)细胞、NCI-H2228细胞

JCA1细胞类似产品::NCI-Hut 125细胞、Sp2/O细胞、H-64细胞

HL60细胞类似产品::MT-3 [Human leukocytes]细胞、Farage细胞、MDA MB 436细胞

Hs 729细胞类似产品::SK Hep1细胞、YES-2细胞、JB-6 Cl 30细胞

PANC1005细胞类似产品::H-2198细胞、N-87细胞、MOLM-16细胞

RT4-D6-P2T细胞类似产品::CAKI.1细胞、H-2196细胞、AR-42J细胞

HEp-2细胞类似产品::Jurkat-E6细胞、HCC38细胞、beta TC6细胞

SU-DHL6细胞类似产品::HuT78细胞、NCI-H661细胞、IOSE-29细胞

MFD-1细胞类似产品::LAPC-4细胞、JHH-7细胞、MC3T3-E1 Subclone 24细胞

H-2405细胞类似产品::Lu-99A细胞、WiDr细胞、WM115F细胞

Mino细胞类似产品::EoL-1-cell细胞、LM6细胞、RPMI.8226细胞

RC-4B/C细胞类似产品::SW-948细胞、BA/F3细胞、SK Mel28细胞

CEM/C1细胞类似产品::H-2106细胞、DH-82细胞、NK-92.05细胞

MES-SA/Dx5细胞类似产品::Glioma-261细胞、B16-F1细胞、HANK1细胞

HEK-293A细胞类似产品::ECV-304细胞、U-373 MG细胞、KPL-4细胞

H510A细胞类似产品::DHL-5细胞、PLB 985细胞、COLO-741细胞

HSAS1细胞类似产品::hEM15A细胞、NSH细胞、rHSC-99细胞

MGSMC细胞类似产品::WM 115细胞、Hs675细胞、16HBE14o-细胞

U14细胞类似产品::IFRS1细胞、DR2R 1610细胞、H-1838细胞

McA-RH7777细胞类似产品::H-1373细胞、SUM-149细胞、SMC-1细胞

TE15细胞类似产品::N-Tera-2细胞、PAEC细胞、4T1-LUC细胞

HRA19细胞类似产品::UMNSAH-DF1细胞、SW-1463细胞、IGROV1细胞

BC-3-H-I细胞类似产品::CHP126细胞、Lewis Lung细胞、NBL-3细胞

HGBEC细胞类似产品::BEAS-2B细胞、MGH-U1 (EJ)细胞、LNCaP C4-2B细胞

GC-1 spg细胞类似产品::NCI-H3255细胞、CHL-CL-11细胞、NMC-G1细胞

KMH-2细胞类似产品::OCI-Ly1细胞、SJRH-30细胞、aTC1 Clone 6细胞

NCI-H2170细胞类似产品::Intestinal Porcine Epithelial Cell line-J2细胞、BHT101细胞、COLO-824细胞

VMM-5A细胞类似产品::CC-LP-I细胞、AtT20细胞、PL-9细胞

GS9L细胞类似产品::Mouse INsulinoma 6细胞、RAMOS2G64C10细胞、RGE细胞

SKRC-39细胞类似产品::H1155细胞、SPDC-CCL141细胞、MOLT-3细胞

Chang liver细胞类似产品::COS-7细胞、IB-RS2细胞、L-6TG细胞

EA hy 926细胞类似产品::GM00637B细胞、SUDHL-6细胞、HS-68细胞

SK Mel28细胞类似产品::USMC细胞、KU 812F细胞、RWPE-2细胞

SK HEP-1细胞类似产品::HEK-293-H细胞、HTR8细胞、HTori 3细胞

BE2C细胞类似产品::H.Ep.-2细胞、DLD1细胞、LA4细胞

PFSK1细胞类似产品::DC 2.4细胞、Hs-274-T细胞、TK 10细胞

LTEPsmCells;细胞背景资料:小细胞肺癌;男性;细胞传代方法:1:2-1:3传代;每周换液2-3次。;细胞生长特性:贴壁;细胞形态特性:详见细胞说明书;相关细胞有:NCI-H596Cells、ONS76Cells、LC-1/sq细胞

SKM-1Cells;细胞背景资料:详见相关文献介绍;细胞传代方法:1:2传代;;细胞生长特性:贴壁生长;细胞形态特性:详见细胞说明书;相关细胞有:HGMCCells、GM00637HCells、L cells细胞

ECC10Cells;细胞背景资料:详见相关文献介绍;细胞传代方法:1:2传代;细胞生长特性:贴壁或悬浮,详见细胞说明书部分;细胞形态特性:详见细胞说明书;相关细胞有:HCT116Cells、AM-38Cells、UPCISCC090细胞

ME16CCells;细胞背景资料:详见相关文献介绍;细胞传代方法:1:2-1:3传代;每周换液2-3次。;细胞生长特性:贴壁或悬浮,详见细胞说明书部分;细胞形态特性:详见细胞说明书;相关细胞有:NCI-H250Cells、Hs-611-TCells、3T3J2细胞

KMM1Cells;细胞背景资料:骨髓瘤;细胞传代方法:1:2-1:3传代;每周换液2-3次。;细胞生长特性:悬浮;细胞形态特性:详见细胞说明书;相关细胞有:RMS1598Cells、SACCLMCells、Hs-578T细胞

COLO320HSRCells;细胞背景资料:该细胞1984年建系,源自一位33岁患有大肠腺癌男性经5-fu治疗后的腹水。;细胞传代方法:1:2传代。3天内可长满。;细胞生长特性:半贴壁生长;细胞形态特性:详见细胞说明书;相关细胞有:H2110Cells、SuDHL 4Cells、H2073细胞

MDA-MB-415Cells;细胞背景资料:这株细胞表达WNT7B癌基因。8168088].带瘤患者来自巴拉圭,虽然填报的是白人,但细胞表型存在G6PDA型,显示其属于混血。细胞株形成平展延伸的上皮细胞样,在电镜下呈现结节,伴随着延伸的微管和微板。不容易用胰酶消化。;细胞传代方法:消化5-10分钟。1:2。4-5天长满。;细胞生长特性:贴壁生长;细胞形态特性:上皮Cells;相关细胞有:NCI.H23Cells、QSG7701Cells、H-1930细胞

786-0WTCells;细胞背景资料:该细胞源自一位原发性肾透明细胞癌患者。该细胞有微绒毛和桥粒,能在软琼脂上生长。此细胞生成一种PTH(甲状旁腺素)样的多肽,与乳癌和肺癌中生成的肽相似,其N端序列与PTH相似,具有PTH样活性,分子量为6000D。;细胞传代方法:1:2传代;细胞生长特性:贴壁生长;细胞形态特性:上皮样;相关细胞有:PATU-SCells、BXPC3Cells、TW 01细胞

RCC-10RGBCells;细胞背景资料:详见相关文献介绍;细胞传代方法:1:2-1:3传代;每周换液2-3次。;细胞生长特性:贴壁或悬浮,详见细胞说明书部分;细胞形态特性:详见细胞说明书;相关细胞有:Caco-2Cells、HCC0038Cells、NHLF细胞

NCI-H2108 Cells|人肺癌克隆细胞

Hs 695TCells;细胞背景资料:详见相关文献介绍;细胞传代方法:1:2-1:4传代,2-3天换液1次。;细胞生长特性:贴壁生长;细胞形态特性:上皮Cells;相关细胞有:P3/NS1/1-Ag4-1Cells、L-6Cells、Hos TE-85细胞

ML-2Cells;细胞背景资料:急性髓单核细胞白血病;男性;细胞传代方法:1:2-1:3传代;每周换液2-3次。;细胞生长特性:悬浮;细胞形态特性:详见细胞说明书;相关细胞有:CAMACells、H2452Cells、NCIH508细胞

MFCCells;细胞背景资料:胃癌;细胞传代方法:1:2-1:3传代;每周换液2-3次。;细胞生长特性:贴壁;细胞形态特性:详见细胞说明书;相关细胞有:MC3T3-L1Cells、C-Li-7Cells、Stanford University-Diffuse Histiocytic Lymphoma-2细胞

CF-1 MEFCells;细胞背景资料:胚胎;成纤维Cells;CF-1;细胞传代方法:1:2-1:3传代;每周换液2-3次。;细胞生长特性:贴壁;细胞形态特性:详见细胞说明书;相关细胞有:Centre Antoine Lacassagne-62Cells、RM1Cells、NCI-H-82细胞

NTera 2/cl.D1Cells;细胞背景资料:详见相关文献介绍;细胞传代方法:1:2-1:3传代;每周换液2-3次。;细胞生长特性:贴壁或悬浮,详见细胞说明书部分;细胞形态特性:详见细胞说明书;相关细胞有:H-1155Cells、OVCAR432Cells、ssMCF-7细胞

ECVCells;细胞背景资料:详见相关文献介绍;细胞传代方法:1:2-1:3传代;每周换液2-3次。;细胞生长特性:贴壁或悬浮,详见细胞说明书部分;细胞形态特性:详见细胞说明书;相关细胞有:S91Cells、NCIH522Cells、H1954细胞

B16-F10--REDCells;细胞背景资料:详见相关文献介绍;细胞传代方法:1:2-1:3传代;每周换液2-3次。;细胞生长特性:贴壁或悬浮,详见细胞说明书部分;细胞形态特性:详见细胞说明书;相关细胞有:3T3(A31)Cells、RCM-1 [Human rectum adenocarcinoma]Cells、HO-8910PM细胞

B16-F10--REDCells;细胞背景资料:详见相关文献介绍;细胞传代方法:1:2-1:3传代;每周换液2-3次。;细胞生长特性:贴壁或悬浮,详见细胞说明书部分;细胞形态特性:详见细胞说明书;相关细胞有:3T3(A31)Cells、RCM-1 [Human rectum adenocarcinoma]Cells、HO-8910PM细胞

MiaPaCa2Cells;细胞背景资料:详见相关文献介绍;细胞传代方法:1:2传代;;细胞生长特性:贴壁生长;细胞形态特性:详见细胞说明书;相关细胞有:HEC151Cells、CA 46Cells、KM12SM细胞

Ej138Cells;细胞背景资料:膀胱癌;女性;细胞传代方法:1:2-1:3传代;每周换液2-3次。;细胞生长特性:贴壁;细胞形态特性:详见细胞说明书;相关细胞有:Hi5Cells、MB-49Cells、G422细胞

H-1155Cells;细胞背景资料:详见相关文献介绍;细胞传代方法:每周换液2-3次。;细胞生长特性:悬浮生长;细胞形态特性:上皮Cells;相关细胞有:143BTK-Cells、LN 229Cells、hADSCs细胞

GP293Cells;细胞背景资料:详见相关文献介绍;细胞传代方法:1:2-1:3传代;每周换液2-3次。;细胞生长特性:贴壁或悬浮,详见细胞说明书部分;细胞形态特性:详见细胞说明书;相关细胞有:KU 812Cells、CL-11Cells、BMSC/hBMSCs细胞

Malme3MCells;细胞背景资料:详见相关文献介绍;细胞传代方法:1:2-1:4传代,2天换液1次。;细胞生长特性:混合生长;细胞形态特性:成纤维Cells;相关细胞有:NCIH1993Cells、MDCK2Cells、HEP3B2细胞

COR-L51Cells;细胞背景资料:详见相关文献介绍;细胞传代方法:1:2-1:3传代;每周换液2-3次。;细胞生长特性:贴壁或悬浮,详见细胞说明书部分;细胞形态特性:详见细胞说明书;相关细胞有:C26Cells、MC/9Cells、LM8细胞

KCL22Cells;细胞背景资料:详见相关文献介绍;细胞传代方法:1:2传代;细胞生长特性:悬浮;细胞形态特性:详见细胞说明书;相关细胞有:GC9811-PCells、EC-GICells、Hs27F细胞

PK-136Cells;细胞背景资料:详见相关文献介绍;细胞传代方法:1:2-1:3传代;每周换液2-3次。;细胞生长特性:贴壁或悬浮,详见细胞说明书部分;细胞形态特性:详见细胞说明书;相关细胞有:NCI-H1876Cells、NCI-H295Cells、DHL-8细胞

SKCO-1Cells;细胞背景资料:该细胞来源于结直肠病人的转移性腹水。;细胞传代方法:1:2-1:3传代,每周2-3次。;细胞生长特性:贴壁生长;细胞形态特性:上皮细胞样;相关细胞有:FATCells、EU-3Cells、293GP细胞

RGBCells;细胞背景资料:详见相关文献介绍;细胞传代方法:1:2-1:3传代;每周换液2-3次。;细胞生长特性:贴壁或悬浮,详见细胞说明书部分;细胞形态特性:详见细胞说明书;相关细胞有:RLCells、LTEP a2Cells、SK-MES细胞

Granta-519Cells;细胞背景资料:详见相关文献介绍;细胞传代方法:1:2-1:3传代;每周换液2-3次。;细胞生长特性:贴壁或悬浮,详见细胞说明书部分;细胞形态特性:详见细胞说明书;相关细胞有:RMS13Cells、RPMI 8226/SCells、SUM 102PT细胞

CCC-HPF-1Cells;细胞背景资料:肺;成纤维Cells;细胞传代方法:1:2-1:3传代;每周换液2-3次。;细胞生长特性:贴壁;细胞形态特性:详见细胞说明书;相关细胞有:rHSC-99Cells、COLO-205Cells、U138-MG细胞

MCF-7/ADRCells;细胞背景资料:详见相关文献介绍;细胞传代方法:1:2-1:3传代;每周换液2-3次。;细胞生长特性:贴壁或悬浮,详见细胞说明书部分;细胞形态特性:详见细胞说明书;相关细胞有:CAL 62Cells、CRFKCells、SCC9细胞

OUMS23Cells;细胞背景资料:详见相关文献介绍;细胞传代方法:1:2-1:3传代;每周换液2-3次。;细胞生长特性:贴壁或悬浮,详见细胞说明书部分;细胞形态特性:详见细胞说明书;相关细胞有:LA795Cells、WEHI-164Cells、Panc 03.27细胞

BpRc1Cells;细胞背景资料:详见相关文献介绍;细胞传代方法:1:4-1:6传代;每周换液2-3次。;细胞生长特性:贴壁生长;细胞形态特性:上皮细胞样;相关细胞有:hTERT-HME1Cells、H1048Cells、IM-9细胞

DH 82Cells;细胞背景资料:肾;Golden Retrieve;细胞传代方法:1:2-1:3传代;每周换液2-3次。;细胞生长特性:贴壁;细胞形态特性:详见细胞说明书;相关细胞有:A549/DDPCells、MEG01Cells、IMR 32细胞

HL 60Cells;细胞背景资料:该细胞由CollinsSJ从一位患有急性早幼粒细胞性白血病的36岁白人女性的外周血中分离建立;可自发分化,或在盐、次黄嘌呤、佛波醇肉豆蔻酸(PMA,TPA)、DMSO(1%to1.5%)、D和视黄酸的刺激下发生分化;PMA刺激后可分泌TNF-α。该细胞具有吞噬活性和趋化反应,癌基因myc阳性,表达补体受体和FcR。;细胞传代方法:维持细胞浓度在1×105-1×106/ml,每2-3天换液1次。;细胞生长特性:悬浮生长;细胞形态特性:髓母细胞样;相关细胞有:SW 948Cells、B-104Cells、RERFLCMS细胞

B16-BL6Cells;细胞背景资料:黑色素瘤;雄性;C57BL/6;细胞传代方法:1:2-1:3传代;每周换液2-3次。;细胞生长特性:贴壁;细胞形态特性:详见细胞说明书;相关细胞有:C6661Cells、COLO 357Cells、HLEC-B3细胞

Stanford University-Diffuse Histiocytic Lymphoma-10Cells;细胞背景资料:详见相关文献介绍;细胞传代方法:1:2-1:3传代;每周换液2-3次。;细胞生长特性:悬浮;细胞形态特性:淋巴母Cells;相关细胞有:NHEKCells、T-HEECsCells、SV40-MES13细胞

H22Cells;细胞背景资料:1952年,前苏联医学科学院肿瘤研究所以C3HA小鼠诱发的H22肝癌实体瘤的瘤细胞悬液,昆明种小鼠皮下移植后,转腹水瘤。经检测,该瘤株在Km小鼠、615小鼠、C57BL/6小鼠、BALB/C小鼠体内可以形成实体瘤和腹水瘤。;细胞传代方法:1:2-1:3传代;每周换液2-3次。;细胞生长特性:悬浮;细胞形态特性:淋巴母Cells;相关细胞有:KYSE 70Cells、Y3Ag1.2.3Cells、Glioma 261细胞

SU-DHL-4Cells;细胞背景资料:详见相关文献介绍;细胞传代方法:1:2-1:3传代;每周换液2-3次。;细胞生长特性:悬浮;细胞形态特性:淋巴母Cells;相关细胞有:NCI-522Cells、SW 579Cells、NIHOVCAR3细胞

L-929Cells;细胞背景资料:详见相关文献介绍;细胞传代方法:1:2-1:3传代;每周换液2-3次。;细胞生长特性:贴壁或悬浮,详见细胞说明书部分;细胞形态特性:详见细胞说明书;相关细胞有:SN12PM6Cells、HANK-1Cells、Hs.27细胞

Roswell Park Memorial Institute 1846Cells;细胞背景资料:详见相关文献介绍;细胞传代方法:1:2-1:3传代;每周换液2-3次。;细胞生长特性:贴壁或悬浮,详见细胞说明书部分;细胞形态特性:详见细胞说明书;相关细胞有:PLC PRF 5Cells、HuT-102Cells、GM02219细胞

OV1-PCells;细胞背景资料:详见相关文献介绍;细胞传代方法:1:2-1:3传代;每周换液2-3次。;细胞生长特性:贴壁或悬浮,详见细胞说明书部分;细胞形态特性:详见细胞说明书;相关细胞有:H740Cells、SK-ChA-1Cells、UPCI:SCC154细胞

Hs 888.TCells;细胞背景资料:详见相关文献介绍;细胞传代方法:1:2传代;每周换液2-3次;细胞生长特性:贴壁生长;细胞形态特性:成纤维细胞和上皮细胞的混合样;相关细胞有:SPDC-CCL141Cells、LC-MSCells、TCC-PAN2细胞

"


NCI-H2108 Cells|人肺癌克;

公司简介

上海冠导生物工程有限公司,先后从ATCC、DSMZ、ECACC、RIKEN、PromoCell、ScienCell、JCRB等国内外细胞库引进细胞2000余株。以此为契机,公司组建了冠导细胞库,我司细胞均由资深细胞培养工程师进行培养。我司可以提供的细胞有:①细胞系②原代细胞③稳转株④耐药株⑤标记细胞⑥细胞配套试剂等。

成立日期 (11年)
注册资本 100万(元)
员工人数 50-100人
年营业额 ¥ 1000万-5000万
经营模式 工厂,试剂,定制,服务
主营行业 细胞培养,微生物学,细胞生物学

NCI-H2108 Cells|人肺癌克隆细胞相关厂家报价

内容声明
拨打电话 立即询价