基本信息 产品详情 公司简介 推荐产品
网站主页 化工产品目录 生物 细胞培养 细胞系 HEC-1-B CELLS|人子宫内膜癌贴壁细胞 HEC-1-B Cells|人子宫内膜癌可传代细胞系
  • HEC-1-B Cells|人子宫内膜癌可传代细胞系

HEC-1-B Cells|人子宫内膜癌可传代细胞系

HEC-1-B Cells
询价 1000000细胞数 起订
上海 更新日期:2026-04-15

上海冠导生物工程有限公司

VIP6年
联系人:全经理
电话:18818239863拨打
邮箱:3171921642@qq.com

产品详情:

中文名称:
HEC-1-B Cells|人子宫内膜癌可传代细胞系
英文名称:
HEC-1-B Cells
保存条件:
常温培养或液氮冻存
纯度规格:
HEC-1-B Cells|人子宫内膜癌可传代细胞系
产品类别:
生化试剂

"HEC-1-B Cells|人子宫内膜癌可传代细胞系

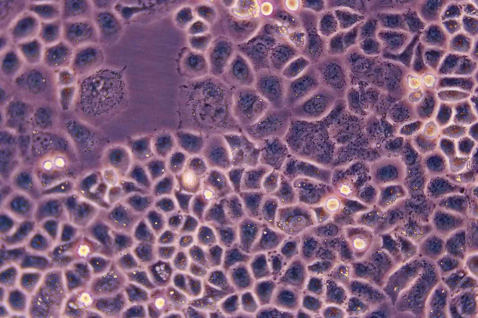
细胞形态:上皮细胞样

细胞生长:贴壁

预防细胞污染的注意事项:实验进行前,超净台用紫外灯照射30-60min,然后用75%酒精擦拭超净台台面,并开启超净台风扇运转10min左右再开始实验操作。实验用品用75%酒精擦拭后才能放入超净台内;实验用品用完应移出超净台,以利于气流的流通。实验完成后用75%酒精擦拭超净台台面。每次操作只处理一种细胞;即使不同细胞使用相同的培养基也不要共享同一瓶培养基,避免细胞间的交叉污染。操作时小心取用无菌的物品,避免污染。勿碰触吸管尖头,不小心碰触后应立即更换;不要在打开的容器瓶口正上方操作,容器打开后,倾斜45°操作,操作完成后及时盖上瓶盖。CO2培养箱的清洁是较易被忽视的地方,应1-2个月对培养箱定期进行清洁消毒。先用75%酒精擦拭培养箱内壁、隔板、水盘2-3次,用双蒸水清洗,再用酒精棉球擦拭一遍,后紫外灯照射4h以上。水盘内加入无菌水(应每周更换),待培养箱内温度、湿度、CO2浓度稳定后再放入细胞。定期清洗或更换超净台过滤膜、预滤网。

细胞物种来源:人源或鼠源等其它物种来源

CX1Cells;细胞背景资料:详见相关文献介绍;细胞传代方法:1:2-1:3传代;每周换液2-3次。;细胞生长特性:贴壁或悬浮,详见细胞说明书部分;细胞形态特性:详见细胞说明书;相关细胞有:RH7777Cells、SW 1417Cells、H-716细胞

SUM52Cells;细胞背景资料:乳腺癌;胸腔积液转移;女性;细胞传代方法:1:2-1:3传代;每周换液2-3次。;细胞生长特性:贴壁;细胞形态特性:详见细胞说明书;相关细胞有:PC-12Cells、NCIH2081Cells、NCI-H524细胞

NOR 10Cells;细胞背景资料:详见相关文献介绍;细胞传代方法:1:2-1:3传代;每周换液2-3次。;细胞生长特性:贴壁或悬浮,详见细胞说明书部分;细胞形态特性:详见细胞说明书;相关细胞有:Capan1Cells、CTX TNA2Cells、Hut292细胞

[细胞产品包装]鲜活细胞:T25培养瓶(一瓶)或冻存细胞:1ml冻存管(两支)

HEC-1-B Cells|人子宫内膜癌可传代细胞系

细胞背景资料:该细胞是H.Kuramoto1968年分离的HEC-1-A细胞亚株。不同於HEC-A-1的是:该亚株在培养第135天到190天之间表现出稳定的生长周期,且重现扁平,与亲本细胞系相比更具铺路石式样。此外主要染色体组是亲本细胞的两倍。

细胞传代方法:1:3传代,2-3天换液一次

CHO-SCells;细胞背景资料:详见相关文献介绍;细胞传代方法:1:2-1:3传代;每周换液2-3次。;细胞生长特性:贴壁或悬浮,详见细胞说明书部分;细胞形态特性:详见细胞说明书;相关细胞有:OPM-2Cells、NTera2 cl.D1Cells、KMB17细胞

HEK 293ACells;细胞背景资料:胚肾;腺病毒包装;细胞传代方法:1:2-1:3传代;每周换液2-3次。;细胞生长特性:贴壁;细胞形态特性:详见细胞说明书;相关细胞有:ESC-410Cells、LC-1/sqCells、RGC5细胞

OCI-LY-10Cells;细胞背景资料:弥漫大B细胞淋巴瘤;细胞传代方法:1:2-1:3传代;每周换液2-3次。;细胞生长特性:悬浮;细胞形态特性:详见细胞说明书;相关细胞有:Tb1LuCells、OAW 42Cells、Tn-5细胞

常见细胞培养中一些问题总结:1)培养基中血清的比例多少合适?血清是细胞培养上一个极为重要的营养来源,所以血清的含量多少会对细胞的生长会产生极大的影响。血清的含量一般为5%-15%,不要低于5%或GAO过20%,因为含量过低会导致细胞营养不足,过GAO则会破坏渗透压平衡。一般建议血清含量为10%,可以适量加减;2)何时须更换培养基?视细胞生长密度而定,或遵照细胞株基本数据上的更换时间,按时更换培养基即可。还可以参照指示剂的颜色变化进行更换;3)购买的复苏细胞,为何会有脱落?因为运输的过程中不可避免的会有震荡,收到后可以离心收集;4)购买的细胞冷冻管经解冻后,为何会发生细胞数目太少之情形?研究人员在冷冻细胞之培养时出现细胞数目太少,大都是因为离心过程操作上的失误,造成细胞的物理性损伤,以及细胞流失。建议细胞解冻后不要立刻离心,应待细胞生长隔夜后再更换培养基即可;5)购买的细胞死亡或细胞存活率不佳可能原因?研究人员在细胞培养时出现存活率不佳,常见原因可归纳为:培养基使用错误或培养基品质不佳。血清使用错误或血清的品质不佳。解冻过程错误。冷冻细胞解冻后,加以洗涤细胞和离心。悬浮细胞误认为死细胞。培养温度使用错误。细胞置于–80°C太久;6)收到的冷冻管瓶身破裂,瓶盖有裂纹,或瓶盖脱落之原因?冷冻管瓶盖裂纹,或瓶身破裂,可能是因为操作者夹取冷冻管时用力不当,造成冷冻管裂损,建议使用止血钳小心夹取。另冷冻管瓶盖松动或松脱,乃因热胀冷缩之物理现象,冷冻管有可能因此而造成细胞污染,故冷冻管于放入和取出液氮桶时,均应立刻将冷冻管再一次扭紧。

细胞来源说明:来源于RCB、ATCC、KCLB、DSMZ、ECACC、INCell、ScienCell、ECACC、JCRB、Asterand、ICLC等知名细胞库

HEC-1-B Cells|人子宫内膜癌可传代细胞系

细胞生长特性:贴壁生长

CAL-51Cells;细胞背景资料:乳腺癌;胸腔积液转移;女性;细胞传代方法:1:2-1:3传代;每周换液2-3次。;细胞生长特性:贴壁;细胞形态特性:详见细胞说明书;相关细胞有:WEHI 164Cells、HMVECCells、MC3T3细胞

SKG IIIaCells;细胞背景资料:详见相关文献介绍;细胞传代方法:2x10^4 cells/ml;细胞生长特性:贴壁生长;细胞形态特性:上皮细胞样;相关细胞有:HS578TCells、NIH:OVCAR-3Cells、WEHI 3细胞

PK 15Cells;细胞背景资料:PK-15细胞建系于1955(Stice,E)。是PK-1a细胞的克隆系。该细胞系可用于多种病毒的增值及特性研究。另外,电镜观察发现,PK-15细胞内有C-型病毒颗粒存在,是研究C-型病毒的材料。;细胞传代方法:1:2-1:3传代;每周换液2-3次。;细胞生长特性:贴壁;细胞形态特性:上皮细胞样;相关细胞有:MDCC-MSB1Cells、HCC95Cells、Panc 3.27细胞

【细胞培养中支原体、黑蛟虫、真菌的污染情况总结】支原体:黑色的,HAO象多为多形,培养液一般培养液一般会浑浊,原体感染,国内血清很多都没有做支原体阴性检测,而支原体是牛血清中Zui常见的微生物之一。而且它不能用过滤的办法除去。支原体感染细胞以后,细胞病变不很明显,只是慢慢死去。用泰乐菌素,兽用支原体病的药,但可用于细胞培养,无任何不良反应。如果作为常用的抗生素的话, 建议用8ug/ml的浓度;黑蛟虫:可以穿透滤膜,也可以通过空气传播,低倍下为黑色点状,GAO倍下可看见黑色的小虫游来游去,培养液也是不浑的,一般不会太影响,细胞还是可以用的。常常是细胞生长状态良HAO,且观测到的运动物无明显增多,且培养液颜色、透明度无明显变化,可在同一批号的血清养的细胞中发现类似现象。对细胞生长状态不会有明显影响,在细胞增殖旺盛之后会自然消失,除更换血清外无须殊处理。建议如果细胞有可能是此种污染的话,可以增加细胞的种板密度,以提GAO细胞的生存率;真菌:一般培养液清亮,不变色,镜下有丝状物,有些真菌开始很像死细胞碎片,只是它很多很多的小块很清楚,象珊瑚状,不象细胞碎片分不清,慢慢的会长出很细的黑色丝状物。真菌生长的比较慢,不象细菌那么容易被发现,但是一旦发现有它的存在细胞就被污染了,也很难救活了。

HT115细胞类似产品::OCI-AML-5细胞、SNU5细胞、SKMEL3细胞

MDA-MB-468细胞类似产品::V79-4细胞、H82细胞、Ra No. 1细胞

8226/S细胞类似产品::LCD细胞、HCC-4006细胞、293细胞

CCD 966SK细胞类似产品::MS 751细胞、DHL8细胞、TGBC11TKB细胞

TE 354.T细胞类似产品::NFHIOSE-80细胞、EB-1细胞、RPMI 7951细胞

NCI-H1522细胞类似产品::H441细胞、GM03671细胞、SK-HEP-1细胞

HEC-1-B Cells|人子宫内膜癌可传代细胞系

EAhy926细胞类似产品::Hs.27细胞、C-33 A细胞、NCI-322细胞

HEEpiC细胞类似产品::Stanford University-Diffuse Histiocytic Lymphoma-6细胞、BE(2)-C细胞、JCA1细胞

SKRC20细胞类似产品::C32 mel细胞、SV40-HCEC细胞、CCD-112CoN细胞

H-35 Reuber细胞类似产品::COLO 394细胞、SHSY5Y细胞、HCC1569细胞

R D细胞类似产品::CAL 120细胞、MDA-MB-175VII细胞、SUM 149细胞

WSU-DLCL2细胞类似产品::RL-95-2细胞、MIO-M1细胞、CEM/C1细胞

Vero from pool #76细胞类似产品::TM-3细胞、DoTc2 4510细胞、HCE-2 [50.B1]细胞

AG06814-M细胞类似产品::J774 A.1细胞、SNU-761细胞、Walker/LLC-WRC256细胞

SW-839细胞类似产品::OCILY19细胞、H-87细胞、Hi5细胞

DU-4475细胞类似产品::HCC1359细胞、CCD 841 CoTr细胞、HSKMC细胞

DU-4475细胞类似产品::HCC1359细胞、CCD 841 CoTr细胞、HSKMC细胞

Molm 14细胞类似产品::M-O7e细胞、HCO细胞、38C-13细胞

MV-4:11细胞类似产品::SUM-159-PT细胞、FHs74 Int细胞、H-1755细胞

GES-1细胞类似产品::HCET细胞、PC-14细胞、GI-1细胞

SP2-0-Ag14细胞类似产品::KNS-81细胞、Toledo细胞、MHH-CALL2细胞

LICR-HN-6细胞类似产品::MB468细胞、38C-13细胞、Roswell Park Memorial Institute 6666细胞

MCF7ADR细胞类似产品::SNU-5细胞、A549ATCC细胞、BrCL12细胞

HCC-1428细胞类似产品::BNL-CL.2细胞、HFL1细胞、130-T细胞

SGC-996细胞类似产品::Hs 604.T细胞、HCET细胞、LAN1细胞

CCD-18Co细胞类似产品::TW 01细胞、NCI-157细胞、A2780 CP70细胞

MDAMB-231细胞类似产品::KTCTL140细胞、SUM 149PT细胞、PC3-M细胞

Granta-519细胞类似产品::RMS13细胞、RPMI 8226/S细胞、SUM 102PT细胞

NuTu 19细胞类似产品::RGE细胞、PT-K75细胞、HB611细胞

JROECL21Cells;细胞背景资料:详见相关文献介绍;细胞传代方法:1:2传代;细胞生长特性:贴壁生长;细胞形态特性:上皮样;相关细胞有:OsA-CLCells、HCMEC(BL12-H)Cells、EBC-1/original细胞

BTI-Tn-5B1-4Cells;细胞背景资料:详见相关文献介绍;细胞传代方法:1:2-1:3传代;每周换液2-3次。;细胞生长特性:贴壁或悬浮,详见细胞说明书部分;细胞形态特性:详见细胞说明书;相关细胞有:RMCCells、H1581Cells、OKT 3细胞

Hs-729-TCells;细胞背景资料:详见相关文献介绍;细胞传代方法:1:2传代;每周换液2-3次。;细胞生长特性:贴壁生长;细胞形态特性:成纤维Cells;相关细胞有:RPMI8226Cells、OCILY-10Cells、MM96L细胞

ECC12Cells;细胞背景资料:详见相关文献介绍;细胞传代方法:1:2传代;细胞生长特性:贴壁或悬浮,详见细胞说明书部分;细胞形态特性:详见细胞说明书;相关细胞有:HEK-EBNACells、U-118 MGCells、Tadarida brasiliensis 1 lung细胞

PLA-801DCells;细胞背景资料:这是一株高转移肺癌。;细胞传代方法:消化3-5分钟,1:2,3天内可长满;细胞生长特性:贴壁生长;细胞形态特性:上皮样;相关细胞有:THP1Cells、PMVECCells、NCIH64细胞

CP70Cells;细胞背景资料:卵巢癌;女性;细胞传代方法:1:2-1:3传代;每周换液2-3次。;细胞生长特性:贴壁;细胞形态特性:详见细胞说明书;相关细胞有:HUTU80Cells、HEL-92-1-7Cells、NCI-N87细胞

UMNSAH/DF#1Cells;细胞背景资料:详见相关文献介绍;细胞传代方法:1:2传代;细胞生长特性:贴壁生长;细胞形态特性:成纤维母细胞样;相关细胞有:SUM 149Cells、HELFCells、IEC-18细胞

U-251_MGCells;细胞背景资料:U-251 MG分离至一位患者的胶质母细胞瘤组织。;细胞传代方法:1:2-1:3传代;每周换液2-3次。;细胞生长特性:贴壁;细胞形态特性:成纤维细胞样;相关细胞有:SKGT4Cells、MDA-MB-134VICells、A673细胞

MOLT16Cells;细胞背景资料:详见相关文献介绍;细胞传代方法:1:2-1:3传代;每周换液2-3次。;细胞生长特性:贴壁或悬浮,详见细胞说明书部分;细胞形态特性:详见细胞说明书;相关细胞有:J774A1Cells、NCIH292Cells、NeHepLxHT细胞

SF-539Cells;细胞背景资料:胶质瘤;女性;细胞传代方法:1:2-1:3传代;每周换液2-3次。;细胞生长特性:贴壁;细胞形态特性:详见细胞说明书;相关细胞有:SCCVIICells、HCC4006Cells、UMR 106细胞

RCC10 RGBCells;细胞背景资料:详见相关文献介绍;细胞传代方法:1:2-1:3传代;每周换液2-3次。;细胞生长特性:贴壁或悬浮,详见细胞说明书部分;细胞形态特性:详见细胞说明书;相关细胞有:HCC1187Cells、HEC-1BCells、Rat Skin 1细胞

FTC-133Cells;细胞背景资料:详见相关文献介绍;细胞传代方法:1:2传代;细胞生长特性:贴壁生长;细胞形态特性:详见细胞说明书;相关细胞有:SNU-C1Cells、SNU-251Cells、NSC34细胞

HuH-28Cells;细胞背景资料:肝内胆管癌;细胞传代方法:1:2-1:3传代;每周换液2-3次。;细胞生长特性:贴壁;细胞形态特性:详见细胞说明书;相关细胞有:MCCARCells、Hs934TCells、Jurkat, Clone E6-1细胞

BMSCs(mBMSCs)Cells;细胞背景资料:详见相关文献介绍;细胞传代方法:1:2-1:3传代;每周换液2-3次。;细胞生长特性:贴壁或悬浮,详见细胞说明书部分;细胞形态特性:详见细胞说明书;相关细胞有:U-2OSCells、Cloudman S91 melanomaCells、BALB/3T3 (clone A31)细胞

P31FUJCells;细胞背景资料:详见相关文献介绍;细胞传代方法:1:5传代;细胞生长特性:悬浮生长;细胞形态特性:淋巴母Cells;相关细胞有:DHL-16Cells、ME1Cells、FU-OV-1细胞

LP1Cells;细胞背景资料:详见相关文献介绍;细胞传代方法:1:2-1:3传代;每周换液2-3次。;细胞生长特性:贴壁或悬浮,详见细胞说明书部分;细胞形态特性:详见细胞说明书;相关细胞有:SW480Cells、HCC 94Cells、AML12细胞

A-20Cells;细胞背景资料:淋巴瘤;BALB/cAnN;细胞传代方法:1:2-1:3传代;每周换液2-3次。;细胞生长特性:悬浮;细胞形态特性:详见细胞说明书;相关细胞有:EFM192ACells、NPA 87Cells、SN4741细胞

NCI-H1522Cells;细胞背景资料:详见相关文献介绍;细胞传代方法:1:2-1:3传代;每周换液2-3次。;细胞生长特性:贴壁或悬浮,详见细胞说明书部分;细胞形态特性:详见细胞说明书;相关细胞有:H441Cells、GM03671Cells、SK-HEP-1细胞

OVCA433Cells;细胞背景资料:卵巢癌;女性;细胞传代方法:1:2-1:3传代;每周换液2-3次。;细胞生长特性:贴壁;细胞形态特性:详见细胞说明书;相关细胞有:EC-9706Cells、JCA-1Cells、NCI-H2029细胞

GM03320DCells;细胞背景资料:该细胞是1967年4月由NicholsWW,LeeJ和DwightS建立,来源于一名13月龄白人男婴腹部肿块,临床诊断为神经母细胞瘤,伴有极少部位的类器官样分化。;细胞传代方法:1:2传代;细胞生长特性:贴壁生长;细胞形态特性:存在两种细胞类型,小的神经母细胞样细胞和大的透明成纤维样Cells;相关细胞有:TK.10Cells、HLEB3Cells、RH35细胞

NBLSCells;细胞背景资料:详见相关文献介绍;细胞传代方法:1:2-1:3传代;每周换液2-3次。;细胞生长特性:贴壁或悬浮,详见细胞说明书部分;细胞形态特性:详见细胞说明书;相关细胞有:CEFCells、RT-BM 1Cells、RK 13细胞

D341MedCells;细胞背景资料:详见相关文献介绍;细胞传代方法:每周换液2-3次。;细胞生长特性:悬浮生长;细胞形态特性:髓母细胞样;相关细胞有:NCI-H2405Cells、U20SCells、MDA-MB-157细胞

NCIH2591Cells;细胞背景资料:上皮样间皮瘤;男性;细胞传代方法:1:2-1:3传代;每周换液2-3次。;细胞生长特性:贴壁;细胞形态特性:详见细胞说明书;相关细胞有:KS-SLKCells、Mouse Colon 38Cells、Meat Animal Research Center-145细胞

Hs343TCells;细胞背景资料:详见相关文献介绍;细胞传代方法:1:2—1:3传代;每周换液2-3次。;细胞生长特性:贴壁生长;细胞形态特性:成纤维Cells;相关细胞有:Colon 26Cells、HPDLFCells、FAO-1细胞

HUV-EC-CCells;细胞背景资料:脐静脉;内皮Cells;细胞传代方法:1:2-1:3传代;每周换液2-3次。;细胞生长特性:贴壁;细胞形态特性:详见细胞说明书;相关细胞有:B16/F0Cells、H1184Cells、H2444细胞

MDA-1386Cells;细胞背景资料:舌鳞癌;男性;细胞传代方法:1:2-1:3传代;每周换液2-3次。;细胞生长特性:贴壁;细胞形态特性:详见细胞说明书;相关细胞有:786-0Cells、VMM-5ACells、SK BR 03细胞

WM 239-ACells;细胞背景资料:黑色素瘤;女性;细胞传代方法:1:2-1:3传代;每周换液2-3次。;细胞生长特性:贴壁;细胞形态特性:详见细胞说明书;相关细胞有:BCP1Cells、H-2106Cells、TE353.SK细胞

CMEC/D3Cells;细胞背景资料:脑微血管;内皮Cells;细胞传代方法:1:2-1:3传代;每周换液2-3次。;细胞生长特性:贴壁;细胞形态特性:详见细胞说明书;相关细胞有:DBCells、GM00215ACells、FBHE细胞

SR-786Cells;细胞背景资料:间变性大细胞淋巴瘤;男性;细胞传代方法:1:2-1:3传代;每周换液2-3次。;细胞生长特性:悬浮;细胞形态特性:详见细胞说明书;相关细胞有:OCI/AML-4Cells、EFM-192BCells、SK-RC-52细胞

J111Cells;细胞背景资料:单核细胞白血病;细胞传代方法:1:2-1:3传代;每周换液2-3次。;细胞生长特性:悬浮;细胞形态特性:详见细胞说明书;相关细胞有:NCIH650Cells、Hs819TCells、University of Michigan-Urothelial Carcinoma-14细胞

RGECells;细胞背景资料:肾小球;内皮Cells;细胞传代方法:1:2-1:3传代;每周换液2-3次。;细胞生长特性:贴壁;细胞形态特性:详见细胞说明书;相关细胞有:Hs 683.TCells、L615Cells、NOZC-1细胞

RPMI 6666Cells;细胞背景资料:详见相关文献介绍;细胞传代方法:1:2-1:3传代;每周换液2-3次。;细胞生长特性:贴壁或悬浮,详见细胞说明书部分;细胞形态特性:详见细胞说明书;相关细胞有:TOV-112Cells、Fetal Human ColonCells、NCI-H1437细胞

Hs695Cells;细胞背景资料:详见相关文献介绍;细胞传代方法:1:2-1:4传代,2-3天换液1次。;细胞生长特性:贴壁生长;细胞形态特性:上皮Cells;相关细胞有:NB4Cells、C-33-ACells、M109细胞

HEC-1-B Cells|人子宫内膜癌可传代细胞系

IM-9Cells;细胞背景资料:详见相关文献介绍;细胞传代方法:1:3传代,2-3天传一代;细胞生长特性:悬浮生长;细胞形态特性:淋巴母细胞样;相关细胞有:SW948Cells、CPA47Cells、NCL-H548细胞

Centre Antoine Lacassagne-12TCells;细胞背景资料:详见相关文献介绍;细胞传代方法:1:2-1:3传代;每周换液2-3次。;细胞生长特性:贴壁或悬浮,详见细胞说明书部分;细胞形态特性:详见细胞说明书;相关细胞有:MDA MB 134VICells、HOSCells、Bronchial Epithelium transformed with Ad12-SV40 2B细胞

CEMC7Cells;细胞背景资料:急性T淋巴细胞白血病;女性;细胞传代方法:1:2-1:3传代;每周换液2-3次。;细胞生长特性:悬浮;细胞形态特性:详见细胞说明书;相关细胞有:HPDLFCells、JijoyeCells、H.Ep. #2细胞

RBECells;细胞背景资料:人肝胆管癌细胞。据说产CEA和CA19-9。;细胞传代方法:消化3-5分钟。1:2。3天内可长满。;细胞生长特性:贴壁生长;细胞形态特性:上皮细胞样;相关细胞有:IGROV-1Cells、HEK 293 c18Cells、NS1-Ag4/1细胞

LLCPK1Cells;细胞背景资料:肾;自发永生;Hampshire;细胞传代方法:1:2-1:3传代;每周换液2-3次。;细胞生长特性:贴壁;细胞形态特性:详见细胞说明书;相关细胞有:SK-NMCCells、B-CPAPCells、HBEpiC细胞

RajiCells;细胞背景资料:Raji细胞由PulvertaftRJV于1963年从一位11岁黑人男孩的左上颌骨的Burkitt淋巴瘤中分离建立的,是个人类造血系统的连续传代细胞,为B细胞起源。该细胞中含有EBV,需要在二级生物安全柜中操作;可作转染宿主。;细胞传代方法:维持细胞浓度在4×105/ml-3×106/ml;根据细胞浓度每2-3天补液1次。;细胞生长特性:悬浮生长;细胞形态特性:淋巴母细胞样;相关细胞有:VAESBJCells、Hs737TCells、HGC-27细胞

NCIH1092Cells;细胞背景资料:详见相关文献介绍;细胞传代方法:随细胞的密度而增加;细胞生长特性:悬浮生长;细胞形态特性:详见细胞说明书;相关细胞有:RCC-JFCells、D283Cells、SK-OV-433细胞

MES-23.5Cells;细胞背景资料:多巴胺能神经元Cells;细胞传代方法:1:2-1:3传代;每周换液2-3次。;细胞生长特性:贴壁;细胞形态特性:详见细胞说明书;相关细胞有:P3J.HR1KCells、TMD-8Cells、RT4细胞

MCF10-ACells;细胞背景资料:乳腺;上皮Cells;自发永生;女性;细胞传代方法:1:2-1:3传代;每周换液2-3次。;细胞生长特性:贴壁;细胞形态特性:详见细胞说明书;相关细胞有:ME-1 [Human leukemia]Cells、SNU387Cells、SNU251细胞

BC3 H1Cells;细胞背景资料:详见相关文献介绍;细胞传代方法:1:2-1:3传代;每周换液2-3次。;细胞生长特性:贴壁或悬浮,详见细胞说明书部分;细胞形态特性:详见细胞说明书;相关细胞有:Hs-27Cells、Los Angeles Prostate Cancer-4Cells、LAC细胞

Hs 343.TCells;细胞背景资料:详见相关文献介绍;细胞传代方法:1:2—1:3传代;每周换液2-3次。;细胞生长特性:贴壁生长;细胞形态特性:成纤维Cells;相关细胞有:TN5B14Cells、HKCCells、V79-1细胞

MKN1Cells;细胞背景资料:详见相关文献介绍;细胞传代方法:1:2传代;细胞生长特性:贴壁生长;细胞形态特性:上皮Cells;相关细胞有:MDCK2Cells、KLN-205Cells、Ly3细胞

CCRF-CEM C1Cells;细胞背景资料:详见相关文献介绍;细胞传代方法:1:2传代;细胞生长特性:贴壁生长 ;细胞形态特性:详见细胞说明书;相关细胞有:HIMECCells、FaDuCells、HCT-GEO细胞

Panc 02.03Cells;细胞背景资料:详见相关文献介绍;细胞传代方法:1:2传代;细胞生长特性:贴壁生长;细胞形态特性:上皮样;相关细胞有:HES [Human embryonic skin fibroblast]Cells、VK2/E6E7Cells、CCD-841CoN细胞

SNU484Cells;细胞背景资料:详见相关文献介绍;细胞传代方法:1:2传代;细胞生长特性:贴壁或悬浮,详见细胞说明书部分;细胞形态特性:详见细胞说明书;相关细胞有:Hs819TCells、NCIH64Cells、OV-2008细胞

T47D:ACells;细胞背景资料:浸润性导管癌;胸腔积液转移;女性;细胞传代方法:1:2-1:3传代;每周换液2-3次。;细胞生长特性:贴壁;细胞形态特性:详见细胞说明书;相关细胞有:PL-45Cells、FLC7Cells、OACP4 C细胞

CCC-HEL-1Cells;细胞背景资料:详见相关文献介绍;细胞传代方法:1:2-1:3传代;每周换液2-3次。;细胞生长特性:贴壁或悬浮,详见细胞说明书部分;细胞形态特性:详见细胞说明书;相关细胞有:SF763Cells、MDA.MB.231Cells、WM-266-mel细胞

CHO Lec1Cells;细胞背景资料:详见相关文献介绍;细胞传代方法:1:2-1:3传代;每周换液2-3次。;细胞生长特性:贴壁或悬浮,详见细胞说明书部分;细胞形态特性:详见细胞说明书;相关细胞有:Caco-2/BBeCells、Adult Retinal Pigment Epithelial cell line-19Cells、A375S2细胞

"


HEC-1-B Cells|人子宫内膜癌;

公司简介

上海冠导生物工程有限公司,先后从ATCC、DSMZ、ECACC、RIKEN、PromoCell、ScienCell、JCRB等国内外细胞库引进细胞2000余株。以此为契机,公司组建了冠导细胞库,我司细胞均由资深细胞培养工程师进行培养。我司可以提供的细胞有:①细胞系②原代细胞③稳转株④耐药株⑤标记细胞⑥细胞配套试剂等。

成立日期 (11年)
注册资本 100万(元)
员工人数 50-100人
年营业额 ¥ 1000万-5000万
经营模式 工厂,试剂,定制,服务
主营行业 细胞培养,微生物学,细胞生物学

HEC-1-B Cells|人子宫内膜癌可传代细胞系相关厂家报价 更多

内容声明
拨打电话 立即询价