基本信息 产品详情 公司简介 推荐产品
网站主页 NUGC-3 CELLS:人胃癌细胞系 NUGC-3 Cells|人胃癌可传代细胞系
  • NUGC-3 Cells|人胃癌可传代细胞系

NUGC-3 Cells|人胃癌可传代细胞系

NUGC-3 Cells
询价 1000000细胞数 起订
2000000细胞数 起订
上海 更新日期:2026-04-12

上海冠导生物工程有限公司

VIP6年
联系人:全经理
电话:18818239863拨打
邮箱:3171921642@qq.com

产品详情:

中文名称:
NUGC-3 Cells|人胃癌可传代细胞系
英文名称:
NUGC-3 Cells
保存条件:
常温培养或液氮冻存
纯度规格:
NUGC-3 Cells|人胃癌可传代细胞系
产品类别:
生化试剂

"NUGC-3 Cells|人胃癌可传代细胞系

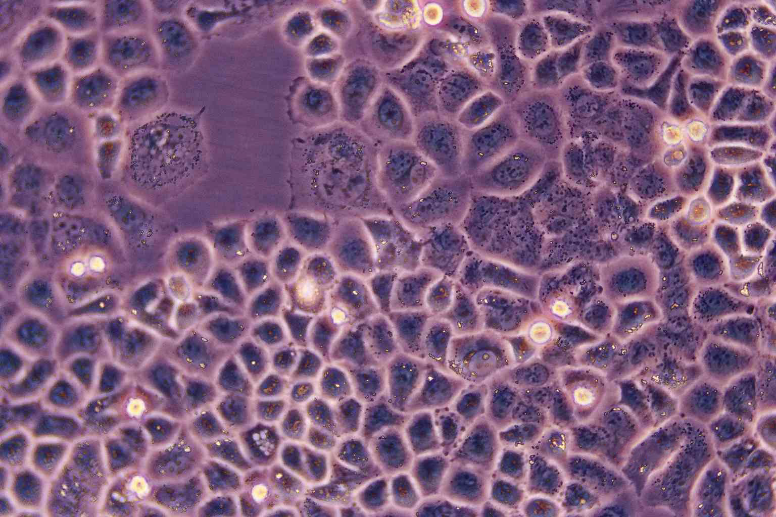
细胞形态:上皮细胞样

细胞生长:贴壁

细胞培养过程中,总是会出现各种意想不到的问题,一不留神就会全盘皆输。所谓细胞虐我千百遍,我待细胞如初恋。下面是贴壁细胞的保藏方法,希望对细胞培养初学操作者有所帮助:1)观察细胞状态:贴壁细胞密度达到85-90%,即可以细胞冻存形式进行保藏,拍照,记录细胞状态;2)细胞清洗:培养皿表面消毒后,转移至生物安全柜中,去除培养皿中培养液,加入12mlPBS,轻轻摇晃培养皿清洗细胞,随后吸除PBS清洗液;3)细胞消化:将2ml胰酶加入培养皿中,完全覆盖细胞,置于显微镜下观察(期间禁止摇晃培养皿),当细胞刚开始脱落时,立即转移至生物安全柜中,除去大部分胰酶,剩余约0.5ml胰酶,转移至培养箱内继续消化,每30秒肉眼观察细胞状态,至细胞成流沙状完全脱落,转移至生物安全柜中,加入12ml完全培养基,终止消化;4)细胞离心:将终止消化后的细胞悬液吹打均匀,吸取至15ml离心管中,1000r/min(110g),离心3min;5)细胞冻存:离心后去除细胞上清液,按照冻存细胞量5*10^5/ml,吸取冻存液重悬细胞沉淀,吹打均匀后分装至相应的冻存管中,进行冻存;6)细胞保藏:冻存管做HAO标记,放至程序降温盒中,于4℃冰箱放置30min,转移至-80℃超低温冰箱过夜,将过夜后的冻存细胞转移至液氮中保藏。

细胞物种来源:人源或鼠源等其它物种来源

WI-38Cells;细胞背景资料:LeonardHayflick建系;有限传代细胞系;寿命为50±10代(倍增时间24h);来自妊娠3个月的正常胚胎肺组织。该细胞系是个用于人制备的人二倍体Cells;培养基中添加TNFα可以加快细胞生长。;细胞传代方法:1:2-1:4传代;2-3天换液1次;细胞生长特性:贴壁生长;细胞形态特性:成纤维细胞样;相关细胞有:RDCells、LMTK-Cells、OCI-AML3细胞

MDA-157Cells;细胞背景资料:该细胞源自一位患有乳腺髓样癌的44岁黑人女性,表达WNT7B癌基因,细胞与细胞边界处有细胞桥粒、微绒毛、张力细丝。;细胞传代方法:1:2-1:3传代;每周换液2-3次。;细胞生长特性:贴壁生长;细胞形态特性:上皮样;相关细胞有:SJ-RH30Cells、HES [Human embryonic skin fibroblast]Cells、NCIH820细胞

EBC1Cells;细胞背景资料:肺鳞癌;皮肤转移;男性;细胞传代方法:1:2-1:3传代;每周换液2-3次。;细胞生长特性:贴壁;细胞形态特性:详见细胞说明书;相关细胞有:Panc 04.03Cells、NK 10aCells、KNS-62细胞

[细胞产品包装]鲜活细胞:T25培养瓶(一瓶)或冻存细胞:1ml冻存管(两支)

NUGC-3 Cells|人胃癌可传代细胞系

细胞背景资料:详见相关文献介绍

细胞传代方法:1:6传代

EBC1Cells;细胞背景资料:肺鳞癌;皮肤转移;男性;细胞传代方法:1:2-1:3传代;每周换液2-3次。;细胞生长特性:贴壁;细胞形态特性:详见细胞说明书;相关细胞有:Panc 04.03Cells、NK 10aCells、KNS-62细胞

COLO 320HSRCells;细胞背景资料:该细胞1984年建系,源自一位33岁患有大肠腺癌男性经5-fu治疗后的腹水。;细胞传代方法:1:2传代。3天内可长满。;细胞生长特性:半贴壁生长;细胞形态特性:详见细胞说明书;相关细胞有:A 72Cells、OV90Cells、HHL-5细胞

MES23.5Cells;细胞背景资料:多巴胺能神经元Cells;细胞传代方法:1:2-1:3传代;每周换液2-3次。;细胞生长特性:贴壁;细胞形态特性:详见细胞说明书;相关细胞有:NCI-SNU-1040Cells、L Wnt-3ACells、SN12CPM6细胞

细胞冻存的步骤:1)选择处于对数生长期的细胞,在冻存前一天ZuiHAO换液。将多个培养瓶中的细胞培养液去掉,用0.25% 胰蛋白酶消化。适时去掉胰蛋白酶,加入少量新培养液。用吸管吸取培养液反复吹打瓶壁上的细胞,使其成为均匀分散的细胞悬液。悬浮生产细胞则不要消化处理。然后将细胞收集于离心管中离心(1000r/min,10分钟);2)去上清液,加入含20%小牛血清的完全培养基,于4℃预冷15分钟后,逐滴加入已无菌的DMSO或甘油,用吸管轻轻吹打使细胞均匀,细胞浓度为5×106~1×107/mL之间。(冻存培养液的配置是不是一定要用小牛血清呢?答案是不一定的,具体要看培养的细胞类型来选择;3)将分装上述细胞悬液于2ml冻存管中,每管0.25ml。冻存管要将盖子盖紧,并标记HAO细胞名称和冻存日期,同时作HAO登记(日期、细胞种类及代次、冻存支数);4)将装HAO细胞的冻存管放到冻存盒中,-80℃冰箱过夜。;如果有程序降温器(放在-80℃冰箱过夜,放入液氮罐)ZuiHAO;或者可以在4℃,2h;然后转到-20℃,2h;-80℃,2h;放入液氮罐;5)细胞冻存在液氮中可以长期保存,但为妥善起见,冻存半年后,ZuiHAO取出一只冻存管细胞复苏培养,观察生长情况,然后再继续冻存。

细胞来源说明:来源于RCB、ATCC、KCLB、DSMZ、ECACC、INCell、ScienCell、ECACC、JCRB、Asterand、ICLC等知名细胞库

NUGC-3 Cells|人胃癌可传代细胞系

细胞生长特性:贴壁生长

Centre Antoine Lacassagne-33Cells;细胞背景资料:详见相关文献介绍;细胞传代方法:1:2-1:3传代;每周换液2-3次。;细胞生长特性:贴壁或悬浮,详见细胞说明书部分;细胞形态特性:详见细胞说明书;相关细胞有:Det. 562Cells、MV522Cells、MAC1细胞

RAT2Cells;细胞背景资料:成纤维Cells;自发永生;Fischer 344;细胞传代方法:1:2-1:3传代;每周换液2-3次。;细胞生长特性:贴壁;细胞形态特性:详见细胞说明书;相关细胞有:Rat 2Cells、Walker256Cells、P31 FUJ细胞

HTR8/SVneoCells;细胞背景资料:详见相关文献介绍;细胞传代方法:1:2-1:3传代;每周换液2-3次。;细胞生长特性:贴壁;细胞形态特性:上皮细胞样;相关细胞有:COS7Cells、P19Cells、Hela-Ap-1细胞

养了几年细胞,说一点自己培养细胞方面的看法:1)培养细胞前,可以看看细胞点说明书,包括细胞正常生长的状态图、传代、培养基的类型等;2)不同细胞生长周期不同,有的生长很快,比如说MDA-MB-231,传代的时候取离心悬液的十分之一就已经足够了,有的又是别慢,等的人心焦,BT474就是,传代是一分二,复苏起始的时候两周多才能长满,所以就要在培养细胞的过程中多多摸索了;3)对于娇弱的细胞,就得细心呵护了,胰酶消化不能过久,吹得时候要轻柔,离心时候也要注意转速和时间,每天都要去看一下细胞,肉眼观察培养基状况、显微镜下观察细胞生长状况;4)冻存细胞复苏后第二天ZuiHAO更换一次培养基;5)培养箱隔一段时间彻底用酒精棉擦洗一次;6)养细胞Zui大的教训:不能偷懒!细胞虐我千百遍,我待细胞如初恋。1)不管买的细胞、惠赠的细胞,刚拿到手赶紧做两件事:检测是否有支原体污染; 迅速扩增冻存;2)发现有污染迅速处理掉,别是当你养了很多种细胞时; 细菌污染,真菌污染很容易发现,支原体污染的话,细胞会长的慢,买个支原体检测的kit定期检测一下;3)传代细胞日常的值日清洁是必须的,此外还要定期熏蒸;4)细胞的传代一定要规律,保持相同的confluency和传代时间间隔,不要随心所欲或者拖延;5)注意个人卫生。

MB39细胞类似产品::Mc Ardle 7777细胞、JROECL 19细胞、NIH-3T3-L1细胞

C32r细胞类似产品::NB19细胞、HEI193细胞、SF763细胞

NCM-460细胞类似产品::H-2227细胞、H-220细胞、Roswell Park Memorial Institute 8226细胞

Hmy.2 CIR细胞类似产品::Balb/c3T3细胞、NE1细胞、KYSE 450细胞

HN13细胞类似产品::16-HBEo细胞、B16 F10细胞、R 1610细胞

MOLT-16细胞类似产品::T-cell Acute Lymphoblastic Leukemia-1细胞、HT 144细胞、NCIH1437细胞

NUGC-3 Cells|人胃癌可传代细胞系

BRL-3A细胞类似产品::Calu-6细胞、Hi5细胞、KM.12细胞

CHO/dhFr-细胞类似产品::MDBK细胞、NOK细胞、HT 115细胞

SKRC-39细胞类似产品::H1155细胞、SPDC-CCL141细胞、MOLT-3细胞

PA1细胞类似产品::Nb2a细胞、EJ-1细胞、K-562细胞

BEL-7405细胞类似产品::H-1793细胞、OSKM-1细胞、Kit225/K6细胞

BCP1细胞类似产品::M4e细胞、SK-CO-1细胞、IOSE29细胞

AML12细胞类似产品::MC-3T3-E1细胞、PIG3细胞、Panc-08.13细胞

PC-14细胞类似产品::SW 982细胞、DV90细胞、C33A细胞

L615细胞类似产品::GM02132C细胞、KOSC-2细胞、Earles's cells细胞

C8161细胞类似产品::H1238细胞、H196细胞、FO [Mouse myeloma]细胞

C8161细胞类似产品::H1238细胞、H196细胞、FO [Mouse myeloma]细胞

H-322细胞类似产品::LOU-NH91细胞、NCI-H125细胞、KLM1细胞

CCRF细胞类似产品::EC9706细胞、SP2/0 Ag-14细胞、EA hy 926细胞

MDAMB157细胞类似产品::MRC-V细胞、H-596细胞、no-11细胞

MIN6细胞类似产品::NCIH1568细胞、10RGB细胞、LS 123细胞

PT67细胞类似产品::CWR22Rv1细胞、OCILY3细胞、CCD841CoN细胞

BHP-10细胞类似产品::SK-Mel 2细胞、FCCH1018细胞、OE33细胞

LIXC-002细胞类似产品::B4G12细胞、MRC9细胞、M059J细胞

COS-7细胞类似产品::U-87MG细胞、HS-695T细胞、TE-9细胞

F9细胞类似产品::Roswell Park Memorial Institute 8402细胞、NCI-H2052细胞、A-1847细胞

DU 4475细胞类似产品::WRL68细胞、32D.cl3细胞、K562/ADR细胞

SU-DHL-1细胞类似产品::DU-145细胞、H28细胞、A375-MEL细胞

BDCM细胞类似产品::OCI/AML2细胞、Plaepi 34细胞、SUIT-2细胞

NWACells;细胞背景资料:这株细胞有EB病毒基因组。;细胞传代方法:1:2传代。3天内可长满。;细胞生长特性:悬浮生长 ;细胞形态特性:淋巴母细胞样;相关细胞有:NCI H2106Cells、OCI AML3Cells、Natural Killer-92细胞

KE 37Cells;细胞背景资料:急性T淋巴细胞白血病;男性;细胞传代方法:1:2-1:3传代;每周换液2-3次。;细胞生长特性:悬浮;细胞形态特性:详见细胞说明书;相关细胞有:SU-DHL-4Cells、NCI-H747Cells、KP-N-RT细胞

Y3MCells;细胞背景资料:详见相关文献介绍;细胞传代方法:1:2-1:3传代;每周换液2-3次。;细胞生长特性:贴壁或悬浮,详见细胞说明书部分;细胞形态特性:详见细胞说明书;相关细胞有:HCCLM3Cells、DiFiCells、DHL8细胞

Hs 683.TCells;细胞背景资料:该细胞源自76岁白人男性的左颞叶侧胶质瘤组织,有微绒毛,无桥粒。 ;细胞传代方法:1:4传代,每周换液2次;细胞生长特性:贴壁生长;细胞形态特性:成纤维Cells;相关细胞有:TPC1Cells、RPTCCells、HS5细胞

MDAMB361Cells;细胞背景资料:该细胞源自40岁女性乳腺癌的脑转移组织。;细胞传代方法: 1:2—1:6传代,每周换液2—3次;细胞生长特性:松散贴壁生长;细胞形态特性:上皮细胞样;相关细胞有:HuH-6Cells、SW1783Cells、HT1080细胞

K-562Cells;细胞背景资料:详见相关文献介绍;细胞传代方法:1:2-1:3传代;每周换液2-3次。;细胞生长特性:贴壁或悬浮,详见细胞说明书部分;细胞形态特性:详见细胞说明书;相关细胞有:GFP-Olig2Cells、Colo205Cells、H3255细胞

P3X63Ag8.653Cells;细胞背景资料:详见相关文献介绍;细胞传代方法:1:2-1:3传代;每周换液2-3次。;细胞生长特性:贴壁或悬浮,详见细胞说明书部分;细胞形态特性:详见细胞说明书;相关细胞有:SW 48Cells、CMT-167Cells、Beta-TC-6细胞

NCI H157Cells;细胞背景资料:详见相关文献介绍;细胞传代方法:1:2传代;细胞生长特性:贴壁生长 ;细胞形态特性:详见细胞说明书;相关细胞有:Hs-606-TCells、HPAF/CD18Cells、KGN细胞

IMR 32Cells;细胞背景资料:该细胞是1967年4月由NicholsWW,LeeJ和DwightS建立,来源于一名13月龄白人男婴腹部肿块,临床诊断为神经母细胞瘤,伴有极少部位的类器官样分化。;细胞传代方法:1:2传代;细胞生长特性:贴壁生长;细胞形态特性:存在两种细胞类型,小的神经母细胞样细胞和大的透明成纤维样Cells;相关细胞有:RenCaCells、MDA-MB-134 VICells、H1048细胞

H-2126Cells;细胞背景资料:详见相关文献介绍;细胞传代方法:1:2-1:4传代,每周2-3次。;细胞生长特性:贴壁生长;细胞形态特性:上皮细胞样;相关细胞有:A253Cells、VCaPCells、Be Wo细胞

AMC-HN8Cells;细胞背景资料:喉癌;男性;细胞传代方法:1:2-1:3传代;每周换液2-3次。;细胞生长特性:贴壁;细胞形态特性:详见细胞说明书;相关细胞有:Hs746TCells、LTEP-a-2Cells、PC3M细胞

BEL/FUCells;细胞背景资料:详见相关文献介绍;细胞传代方法:1:2-1:3传代;每周换液2-3次。;细胞生长特性:贴壁或悬浮,详见细胞说明书部分;细胞形态特性:详见细胞说明书;相关细胞有:KOSC-2 cl3-43Cells、HBL1Cells、RT-BM细胞

L-5178-YCells;细胞背景资料:详见相关文献介绍;细胞传代方法:1:2-1:3传代;每周换液2-3次。;细胞生长特性:贴壁或悬浮,详见细胞说明书部分;细胞形态特性:详见细胞说明书;相关细胞有:Clone 929Cells、MD Anderson-Metastatic Breast-330Cells、GM03569D细胞

NCI-H1355Cells;细胞背景资料:详见相关文献介绍;细胞传代方法:每周换液2次。;细胞生长特性:悬浮生长;细胞形态特性:详见细胞说明书;相关细胞有:NCI-H1618Cells、COLO-1Cells、T 24细胞

EST81Cells;细胞背景资料:详见相关文献介绍;细胞传代方法:1:2-1:3传代;每周换液2-3次。;细胞生长特性:贴壁或悬浮,详见细胞说明书部分;细胞形态特性:详见细胞说明书;相关细胞有:HCC-1954Cells、WB-F344Cells、OVCAR.3细胞

BC-028Cells;细胞背景资料:详见相关文献介绍;细胞传代方法:1:2-1:3传代;每周换液2-3次。;细胞生长特性:贴壁或悬浮,详见细胞说明书部分;细胞形态特性:详见细胞说明书;相关细胞有:FHCCells、H446Cells、IAR20细胞

HCE-TCells;细胞背景资料:角膜上皮Cells;Ad-SV40转化;女性;细胞传代方法:1:2-1:3传代;每周换液2-3次。;细胞生长特性:贴壁;细胞形态特性:详见细胞说明书;相关细胞有:Panc-8_13Cells、CBRH-7919Cells、HTh-74细胞

32D.3Cells;细胞背景资料:骨髓淋巴瘤;C3H/HeJ;细胞传代方法:1:2-1:3传代;每周换液2-3次。;细胞生长特性:悬浮;细胞形态特性:详见细胞说明书;相关细胞有:TKB-1Cells、Hs 636.TCells、Capan1细胞

Malme-3 MCells;细胞背景资料:详见相关文献介绍;细胞传代方法:1:2-1:4传代,2天换液1次。;细胞生长特性:混合生长;细胞形态特性:成纤维Cells;相关细胞有:KNS-62Cells、NS1-Ag 4/1Cells、SRS-82细胞

MC-CARCells;细胞背景资料:B淋巴;EBV转化;细胞传代方法:1:2-1:3传代;每周换液2-3次。;细胞生长特性:悬浮;细胞形态特性:详见细胞说明书;相关细胞有:NSHCells、SKLU1Cells、BE2M17细胞

VCaPCells;细胞背景资料:1997从一位不受激素影响的前列腺癌患者脊椎转移灶中建立了这株细胞。先在小鼠中进行异种移植传代,随后进行体外培养。体内及体外都对雄性激素敏感。;细胞传代方法:消化3-5分钟。1:2。3天内可长满。;细胞生长特性:贴壁生长;细胞形态特性:上皮Cells;相关细胞有:Hs274TCells、LNCaP-C4-2Cells、SKOV-3细胞

MPVECsCells;细胞背景资料:肺;微血管;内皮Cells;细胞传代方法:1:2-1:3传代;每周换液2-3次。;细胞生长特性:贴壁;细胞形态特性:详见细胞说明书;相关细胞有:WM 239ACells、PL-9Cells、Hs819.T细胞

HCC-1438Cells;细胞背景资料:详见相关文献介绍;细胞传代方法:1:2-1:3传代;每周换液2-3次。;细胞生长特性:贴壁或悬浮,详见细胞说明书部分;细胞形态特性:详见细胞说明书;相关细胞有:LN229Cells、PA ICells、BpRcl细胞

VSMCCells;细胞背景资料:胸主动脉平滑肌;细胞传代方法:1:2-1:3传代;每周换液2-3次。;细胞生长特性:贴壁;细胞形态特性:详见细胞说明书;相关细胞有:Hce8693Cells、Calu3Cells、IGROV 1细胞

U-343-MGCells;细胞背景资料:详见相关文献介绍;细胞传代方法:1:2传代;细胞生长特性:贴壁生长 ;细胞形态特性:详见细胞说明书;相关细胞有:OUMS-27Cells、CMT 93Cells、H1568细胞

H2029Cells;细胞背景资料:详见相关文献介绍;细胞传代方法:1:3-1:5传代;;细胞生长特性:贴壁生长;细胞形态特性:详见细胞说明书;相关细胞有:CAL27Cells、Panc08.13Cells、Hs 274细胞

HSAS4Cells;细胞背景资料:皮肤成纤维Cells;男性;细胞传代方法:1:2-1:3传代;每周换液2-3次。;细胞生长特性:贴壁;细胞形态特性:详见细胞说明书;相关细胞有:A 2058Cells、C8166Cells、MDA-MB-134VI细胞

SAOS 2Cells;细胞背景资料:该细胞是FoghJ和TrempeG分离和鉴定的众多人类肿瘤细胞系中的一种;该细胞来自一位11岁的白人女性的骨肉瘤组织。患者经过放疗以及甲喋呤、阿霉素、长春新碱、环磷酰胺和aramycin-C等多种药物治疗。该细胞在免疫抑制小鼠中不致瘤,细胞表达表皮生长因子EGF受体、转化生长因子β(1型和2型)受体。;细胞传代方法:1:2-1:4传代;每周1-2次。;细胞生长特性:贴壁生长;细胞形态特性:上皮样;多角形;相关细胞有:EO771Cells、SU.86Cells、Toledo细胞

NK-92MICells;细胞背景资料:NKCells;淋巴瘤;男性;细胞传代方法:1:2-1:3传代;每周换液2-3次。;细胞生长特性:悬浮;细胞形态特性:详见细胞说明书;相关细胞有:SLMT1Cells、SUPB-15Cells、NCI-SNU-407细胞

OKT 3Cells;细胞背景资料:详见相关文献介绍;细胞传代方法:1:2-1:3传代;每周换液2-3次。;细胞生长特性:贴壁或悬浮,详见细胞说明书部分;细胞形态特性:详见细胞说明书;相关细胞有:SNU-638Cells、ROS17/2.8Cells、SK-N-BE(2)-M17细胞

N87Cells;细胞背景资料:NCI-N87细胞表达表面糖蛋白癌胚抗原(CEA)和TAG72,并且没有左旋多巴胺脱羧酶(DDC)活性。它们的血管活性的肠肽(VIP)受体活性极低并缺乏胃泌激素受体。它们表达蕈毒碱胆碱受体。没有证据表明存在N-myc,L-myc,myb和EGF受体基因的重组。这个细胞株表达的c-myc和c-erb-B2RNA水平与其它细胞株相当。以下基因不表达:N-myc,L-myc,c-cis,IGF-2,或胃泌激素释放肽。报道NCI-N87细胞的植板率为4.3%。;细胞传代方法:消化15-20分钟。1:2。4-5天长满。;细胞生长特性:贴壁生长;细胞形态特性:上皮细胞样;相关细胞有:HDSMCCells、Th17Cells、L-M(TK-)细胞

SCL-2Cells;细胞背景资料:皮肤鳞癌;男性;细胞传代方法:1:2-1:3传代;每周换液2-3次。;细胞生长特性:贴壁;细胞形态特性:详见细胞说明书;相关细胞有:BNCL-2Cells、LNCaP subline C4-2Cells、PIG3细胞

SP-2Cells;细胞背景资料:该细胞是由绵羊红细胞免疫的BALB/c小鼠脾细胞和P3X63Ag8骨髓瘤细胞融合得到的。该细胞不分泌免疫球蛋白,对20μg/ml的8-氮鸟嘌呤有抗性,对HAT比较敏感;该细胞可以作为细胞融合时的B细胞组分用于制备杂交瘤;鼠痘病毒阴性。;细胞传代方法:1:2传代;细胞生长特性:悬浮生长;细胞形态特性:淋巴母细胞样;圆形;相关细胞有:FBHECells、U-226AR1Cells、BNL 1ME A.7R.1细胞

NUGC-3 Cells|人胃癌可传代细胞系

CWR22-R1Cells;细胞背景资料:22RV1是来自异种移植(在阉割引起前列腺癌衰退又在其父亲的雄性激素信赖型CWR22嫁接后复发的小鼠中连续传代)的人前列腺癌上皮细胞系。此细胞系表达前列腺特异抗原。二羟基睾丸脂酮轻微刺激细胞生长,经westernblot检测溶解产物与抗雄性激素受体抗体起免疫反应。EGF刺激细胞生长,但TGFβ-1不能抑制细胞生长。该细胞在裸鼠中成瘤。;细胞传代方法:消化3-5分钟。1:2。3天内可长满。;细胞生长特性:贴壁生长;细胞形态特性:上皮Cells;相关细胞有:Bat lungCells、MCF-7BCells、LS-411细胞

Hs688(A)TCells;细胞背景资料:详见相关文献介绍;细胞传代方法:1:2-1:3传代;细胞生长特性:贴壁生长;细胞形态特性:成纤维Cells;相关细胞有:WM266-4Cells、mousepodocyteCells、HTR8/SVneo细胞

COLO-1Cells;细胞背景资料:角质形成层;细胞传代方法:1:2-1:3传代;每周换液2-3次。;细胞生长特性:贴壁;细胞形态特性:详见细胞说明书;相关细胞有:Hs 766TCells、OACP4 CCells、Hs-675-T细胞

Caki-2Cells;细胞背景资料:该细胞源自一位69岁白人男性的初期肾腺癌组织;细胞传代方法:1:3—1:6传代,每周换液2—3次;细胞生长特性:贴壁生长;细胞形态特性:上皮细胞样;相关细胞有:SK-Mel 1Cells、B16-F10-BL6Cells、MPVECs细胞

TW-039Cells;细胞背景资料:鼻咽癌;细胞传代方法:1:2-1:3传代;每周换液2-3次。;细胞生长特性:贴壁;细胞形态特性:详见细胞说明书;相关细胞有:RT-4Cells、102PTCells、GalK 1细胞

HEC1-ACells;细胞背景资料:这株细胞及其亚株HEC-1-B是H.Kuramoto及其同事1968年从一位IA期子宫内膜癌患者身上分离得到的。PAF可以诱导其c-fos的表达。;细胞传代方法:消化3-5分钟,1:2,3天内可长满;细胞生长特性:贴壁生长;细胞形态特性:上皮样;相关细胞有:C33ACells、hA549Cells、LAPC-4细胞

A-2058Cells;细胞背景资料:详见相关文献介绍;细胞传代方法:1:6-1:12传代,2-3天换液1次。;细胞生长特性:贴壁生长;细胞形态特性:上皮Cells;相关细胞有:U-2-OSCells、MC-3T3Cells、PK15细胞

PC-9/S1Cells;细胞背景资料:详见相关文献介绍;细胞传代方法:1:2传代;细胞生长特性:贴壁生长;细胞形态特性:上皮样;相关细胞有:SU86-86Cells、H-498Cells、D407细胞

DOKCells;细胞背景资料:口腔异常增生;男性;细胞传代方法:1:2-1:3传代;每周换液2-3次。;细胞生长特性:贴壁;细胞形态特性:详见细胞说明书;相关细胞有:GM12878Cells、Nthy ori 3.1Cells、NB-19细胞

B-3Cells;细胞背景资料:晶状体;Ad12-SV40转化;男性;细胞传代方法:1:2-1:3传代;每周换液2-3次。;细胞生长特性:贴壁;细胞形态特性:详见细胞说明书;相关细胞有:COLO-738Cells、Hs578BstCells、H-2452细胞

HR-1Cells;细胞背景资料:详见相关文献介绍;细胞传代方法:每2-3天换液;细胞生长特性:悬浮生长 ;细胞形态特性:淋巴母细胞样;相关细胞有:HEK293FCells、Walker-256-TCCells、SNU638细胞

AML-193Cells;细胞背景资料:详见相关文献介绍;细胞传代方法:1:2传代。3天内可长满。;细胞生长特性:悬浮生长;细胞形态特性:淋巴母Cells;相关细胞有:SNU878Cells、KYSE 30Cells、Kelly细胞

HOECCells;细胞背景资料:口腔;上皮Cells;细胞传代方法:1:2-1:3传代;每周换液2-3次。;细胞生长特性:贴壁;细胞形态特性:详见细胞说明书;相关细胞有:HT(H9)Cells、GDM1Cells、EA. hy 926细胞

RPMI8226Cells;细胞背景资料:来源于一位61岁的男性浆细胞瘤患者;可产生免疫球蛋白轻链,未检测到重链。;细胞传代方法:按1:2传代,5-6小时可以看到细胞分裂;细胞生长特性:悬浮生长;细胞形态特性:淋巴母细胞样;相关细胞有:TERT-RPE1Cells、PLA801-95CCells、LIPF178C细胞

RPMI8226Cells;细胞背景资料:来源于一位61岁的男性浆细胞瘤患者;可产生免疫球蛋白轻链,未检测到重链。;细胞传代方法:按1:2传代,5-6小时可以看到细胞分裂;细胞生长特性:悬浮生长;细胞形态特性:淋巴母细胞样;相关细胞有:TERT-RPE1Cells、PLA801-95CCells、LIPF178C细胞

CWR22Rv1Cells;细胞背景资料:22RV1是来自异种移植(在阉割引起前列腺癌衰退又在其父亲的雄性激素信赖型CWR22嫁接后复发的小鼠中连续传代)的人前列腺癌上皮细胞系。此细胞系表达前列腺特异抗原。二羟基睾丸脂酮轻微刺激细胞生长,经westernblot检测溶解产物与抗雄性激素受体抗体起免疫反应。EGF刺激细胞生长,但TGFβ-1不能抑制细胞生长。该细胞在裸鼠中成瘤。;细胞传代方法:消化3-5分钟。1:2。3天内可长满。;细胞生长特性:贴壁生长;细胞形态特性:上皮Cells;相关细胞有:NCI-H2110Cells、Det 562Cells、HME-1细胞

LS-174Cells;细胞背景资料:LS 174T是LS 180 (ATCC CL 187)结肠腺癌细胞株的胰蛋白酶化变种。 它比亲本更易传代,象LS 180一样生成大量的癌胚抗原(CEA)。 电镜研究表明有丰富的微丝和细胞质粘液素液泡。 直肠抗原3阳性。 p53抗原表达阴性,但mRNA表达阳性。 与ATCC CL-187来源于同一个肿瘤。LS 174T细胞角蛋白染色阳性。 癌基因c-myc, N-myc, H-ras, N-ras, Myb, 和 fos的表达呈阳性。 癌基因k-ras和sis的表达未做检测。;细胞传代方法:1:2传代;细胞生长特性:贴壁生长;细胞形态特性:上皮样;相关细胞有:OLN-93Cells、NCI-H1703Cells、HCC-2279细胞

HSFCells;细胞背景资料:详见相关文献介绍;细胞传代方法:1:2传代;细胞生长特性:贴壁生长;细胞形态特性:成纤维细胞样;相关细胞有:C3H10T1/2 clone8Cells、MGECsCells、NCIH2106细胞

"


NUGC-3 Cells|人胃癌可传代细;

公司简介

上海冠导生物工程有限公司,先后从ATCC、DSMZ、ECACC、RIKEN、PromoCell、ScienCell、JCRB等国内外细胞库引进细胞2000余株。以此为契机,公司组建了冠导细胞库,我司细胞均由资深细胞培养工程师进行培养。我司可以提供的细胞有:①细胞系②原代细胞③稳转株④耐药株⑤标记细胞⑥细胞配套试剂等。

成立日期 (11年)
注册资本 100万(元)
员工人数 50-100人
年营业额 ¥ 1000万-5000万
经营模式 工厂,试剂,定制,服务
主营行业 细胞培养,微生物学,细胞生物学

NUGC-3 Cells|人胃癌可传代细胞系相关厂家报价

内容声明
拨打电话 立即询价