基本信息 产品详情 公司简介 推荐产品
网站主页 NCI-H1184 CELLS|人肺癌贴壁细胞 NCI-H1184 Cells|人肺癌可传代细胞系
  • NCI-H1184 Cells|人肺癌可传代细胞系

NCI-H1184 Cells|人肺癌可传代细胞系

NCI-H1184 Cells
询价 1000000细胞数 起订
2000000细胞数 起订
上海 更新日期:2026-04-15

上海冠导生物工程有限公司

VIP6年
联系人:全经理
电话:18818239863拨打
邮箱:3171921642@qq.com

产品详情:

中文名称:
NCI-H1184 Cells|人肺癌可传代细胞系
英文名称:
NCI-H1184 Cells
保存条件:
常温培养或液氮冻存
纯度规格:
NCI-H1184 Cells|人肺癌可传代细胞系
产品类别:
生化试剂

"NCI-H1184 Cells|人肺癌可传代细胞系

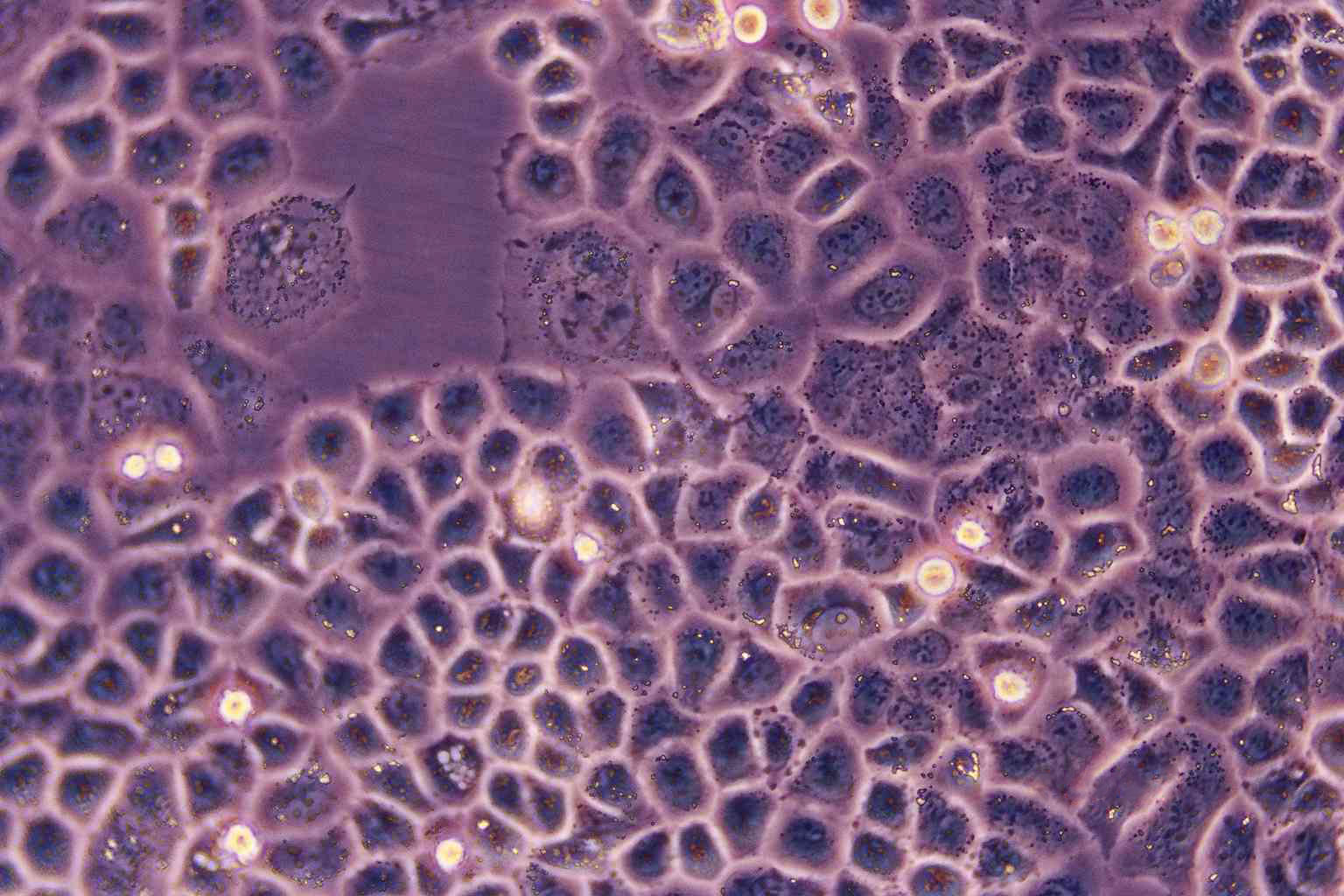
细胞形态:上皮细胞样

细胞生长:贴壁

细胞培养更HAO经验详解:1)收到细胞,首先要镜检:观察细胞形态是否正常,对于贴壁细胞则要注意看贴壁情况是否很HAO,观察细胞密度,有疑议及时咨提供细胞的技术人员。 由于运输的时间或者温度的变化,很多贴壁细胞在盛满培养基的瓶子里生长的状态和平时会有点不一样,主要是贴壁牢固问题。比如293T,平时贴壁就不是很牢,在装满的培养基瓶子里面,会发生大片的脱落,细胞聚集在一起,但是细胞生长还是正常的,通过离心收集,加以胰酶的消化,重新打散,又可以正常的贴壁生长。2)当通过上一步的观察,细胞初步没有问题时,进行下一步操作。当收到的细胞密达到80%左右时,则处理如下:弃除瓶中大部分培养基,仅保留5到10mL培养所需的常规培养基;或更换新鲜的培养基,置于培养箱中,随后每天观察。 细胞在低于正常生长温度情况下,会调整为静止期,或者慢速生长期,恢复37度的环境至少3个小时左右,才能重新调整到接近对数生长期的状态,在对数生长期进行细胞的传代会大大增加传代的成功率,和细胞的存活率。3)如果经步观察发现细胞密度超过90%,并且细胞状态很HAO时,则复温后2个小时需要立即传代。传代的比例应依据不同的细胞而定。对于生长比较快,状态稳定,不易受外界影响的细胞可以一次多传几瓶;对于生长较慢,细胞比较薄,状态容易波动的细胞类型,一次少传些,每瓶细胞密度大些,便于稳定生长。至于一些比较陌生的细胞,次处理也可以依照第二种情况。

细胞物种来源:人源或鼠源等其它物种来源

OCI-Ly 10Cells;细胞背景资料:弥漫大B细胞淋巴瘤;细胞传代方法:1:2-1:3传代;每周换液2-3次。;细胞生长特性:悬浮;细胞形态特性:详见细胞说明书;相关细胞有:IEC 18Cells、HLE B-3Cells、WILL-2细胞

H526Cells;细胞背景资料:详见相关文献介绍;细胞传代方法:每周换液2-3次。;细胞生长特性:悬浮生长 ;细胞形态特性:上皮Cells;相关细胞有:PLCPRF5Cells、HMy2.CIRCells、GTL-16细胞

TE13Cells;细胞背景资料:食管鳞癌;男性;细胞传代方法:1:2-1:3传代;每周换液2-3次。;细胞生长特性:贴壁;细胞形态特性:详见细胞说明书;相关细胞有:H1944Cells、GM05372Cells、CT26.CL25细胞

[细胞产品包装]鲜活细胞:T25培养瓶(一瓶)或冻存细胞:1ml冻存管(两支)

NCI-H1184 Cells|人肺癌可传代细胞系

细胞背景资料:详见相关文献介绍

细胞传代方法:1:2-1:3传代;每周换液2-3次。

TE13Cells;细胞背景资料:食管鳞癌;男性;细胞传代方法:1:2-1:3传代;每周换液2-3次。;细胞生长特性:贴壁;细胞形态特性:详见细胞说明书;相关细胞有:H1944Cells、GM05372Cells、CT26.CL25细胞

Tu-212Cells;细胞背景资料:详见相关文献介绍;细胞传代方法:1:2传代;细胞生长特性:贴壁生长 ;细胞形态特性:详见细胞说明书;相关细胞有:SNU-475Cells、NCI-H526Cells、V79-4细胞

IOSE29Cells;细胞背景资料:卵巢;上皮Cells;女性;细胞传代方法:1:2-1:3传代;每周换液2-3次。;细胞生长特性:贴壁;细胞形态特性:详见细胞说明书;相关细胞有:C32rCells、SCC7Cells、CORL26细胞

造成实验室细胞污染常见情况总结:细胞培养中Zui常见污染的是细菌、真菌和支原体污染。细胞一旦污染,大多数较难处理。那么,哪些情况我们不注意的话就会造成细胞污染呢?我们根据常见细胞培养实验分析总结下。【违规操作】1)为节省时间,有人已经用超净台四个多小时,不开紫外灭菌30min,酒精擦拭后直接开始试验;2)器材或者溶液很久没用,未检测是否污染而直接使用;离心管多次使用,枪头为了方便交叉使用;3)超净台不点酒精灯;点了酒精灯放在右上角,而你在左下角做试验;4)不带手套,徒手操作;5)细胞培养间配备枪式移液器、手术器械、离心机、冰箱等专用仪器设备以及专用的实验服和拖鞋,未定期消毒。专用物品被带出传代细胞使用。培养细胞过程中使用的所有实验用具,如移液管、一次性枪头、一次性塑料离心管、冻存管等未按要求灭菌使用(通常需121°CGAO压灭菌20分钟后37%烤干备用)。超净台和桌面,东西太多太乱:超净台不是储物箱,什么培养皿、各种规格的板子、枪头就不要堆在超净台!这样就会有许多紫外线顾不到的卫生死角。传代细胞其他的桌面,切忌东西堆积如山,不要将酒精棉球、标签纸、牛皮纸买来后全部堆在传代细胞!一不小心“飘”进你的细胞培养板里,细胞就会养的不HAO,啥时候死了都不知道!【培养箱太久没清洁】细胞污染了,并非直接扔了培养皿就不管了,首先你还得看看这个恒温培养箱里其他培养皿或孔板里的细胞是否污染,如果有而且HAO几个板子都有类似的污染块,那很可能是培养箱中的水或者空气污染了,得给培养箱做个大扫除,重新酒精消毒,照紫外;孵箱里的水,水没了要记得加,还得记得十天半个月的就用酒精擦擦托盘。【传代细胞人多口杂,难管理】在传代细胞这种卫生要求GAO,人多了,不确定因素多了,难以保证试验在无菌条件下操作。出入试验室,实验服当风衣穿,不扣纽扣,不戴,就容易造成细胞污染;超净台做实验时,喜欢说话聊着做试验,要是还不带口罩,里面就有很多细菌等着去攻击你的细胞呢!

细胞来源说明:来源于RCB、ATCC、KCLB、DSMZ、ECACC、INCell、ScienCell、ECACC、JCRB、Asterand、ICLC等知名细胞库

NCI-H1184 Cells|人肺癌可传代细胞系

细胞生长特性:贴壁或悬浮,详见细胞说明书部分

KM12-SMCells;细胞背景资料:结肠癌;细胞传代方法:1:2-1:3传代;每周换液2-3次。;细胞生长特性:贴壁;细胞形态特性:详见细胞说明书;相关细胞有:143B TK-Cells、Potorous tridactylus Kidney 2Cells、HLFa细胞

NGPCells;细胞背景资料:详见相关文献介绍;细胞传代方法:1:2-1:3传代;每周换液2-3次。;细胞生长特性:贴壁或悬浮,详见细胞说明书部分;细胞形态特性:详见细胞说明书;相关细胞有:CEM-C1Cells、K299Cells、MRC-9细胞

RPMI.8226Cells;细胞背景资料:来源于一位61岁的男性浆细胞瘤患者;可产生免疫球蛋白轻链,未检测到重链。;细胞传代方法:按1:2传代,5-6小时可以看到细胞分裂;细胞生长特性:悬浮生长;细胞形态特性:淋巴母细胞样;相关细胞有:NCIH250Cells、KYSE 50Cells、KMB 17细胞

【细胞培养中支原体、黑蛟虫、真菌的污染情况总结】支原体:黑色的,HAO象多为多形,培养液一般培养液一般会浑浊,原体感染,国内血清很多都没有做支原体阴性检测,而支原体是牛血清中Zui常见的微生物之一。而且它不能用过滤的办法除去。支原体感染细胞以后,细胞病变不很明显,只是慢慢死去。用泰乐菌素,兽用支原体病的药,但可用于细胞培养,无任何不良反应。如果作为常用的抗生素的话, 建议用8ug/ml的浓度;黑蛟虫:可以穿透滤膜,也可以通过空气传播,低倍下为黑色点状,GAO倍下可看见黑色的小虫游来游去,培养液也是不浑的,一般不会太影响,细胞还是可以用的。常常是细胞生长状态良HAO,且观测到的运动物无明显增多,且培养液颜色、透明度无明显变化,可在同一批号的血清养的细胞中发现类似现象。对细胞生长状态不会有明显影响,在细胞增殖旺盛之后会自然消失,除更换血清外无须殊处理。建议如果细胞有可能是此种污染的话,可以增加细胞的种板密度,以提GAO细胞的生存率;真菌:一般培养液清亮,不变色,镜下有丝状物,有些真菌开始很像死细胞碎片,只是它很多很多的小块很清楚,象珊瑚状,不象细胞碎片分不清,慢慢的会长出很细的黑色丝状物。真菌生长的比较慢,不象细菌那么容易被发现,但是一旦发现有它的存在细胞就被污染了,也很难救活了。

JC细胞类似产品::NCI H157细胞、THEECs细胞、MDCKII-WT细胞

NG 108-15细胞类似产品::GM03569B细胞、MDA-MB-436细胞、A431细胞

GBC-SD细胞类似产品::Alexander细胞、Hx-147细胞、PL5细胞

Co-115细胞类似产品::RIN Cl-5F细胞、HCT-FET细胞、MDAMB415细胞

HTori3细胞类似产品::GM637A细胞、MDA330细胞、P30/Ohkubo细胞

Caki2细胞类似产品::BE2C细胞、OKT 3细胞、CAL-78细胞

NCI-H1184 Cells|人肺癌可传代细胞系

HIT T15细胞类似产品::SuDHL 8细胞、DH82细胞、TCMK-1细胞

MM1细胞类似产品::MV 4;11细胞、Tregs细胞、NIH-3T3细胞

SP-2/0-AG14细胞类似产品::LAD2细胞、MN60细胞、KP-N-NS细胞

MARC145细胞类似产品::FRH-0201细胞、IPLB-SF-21-AE细胞、HCC2157细胞

Adeno 293细胞类似产品::COLO-824细胞、Hep-G2/C3A细胞、HCAEC细胞

C4 I细胞类似产品::Alexander cells细胞、CWR-22rv1细胞、CC-LP-I细胞

N2a细胞类似产品::MPP89细胞、Gejiu Lung Carcinoma-82细胞、SNU16细胞

Factor Dependent Cell-Paterson 1细胞类似产品::HeLa S-3细胞、RPMI-8402细胞、G-Olig2细胞

GM00215细胞类似产品::OS-RC-2细胞、NCIH524细胞、OCI AML2细胞

SW260细胞类似产品::OVCAR-10细胞、PLMVEC细胞、PG-4(S+L-)细胞

SW260细胞类似产品::OVCAR-10细胞、PLMVEC细胞、PG-4(S+L-)细胞

NCTC 3960细胞类似产品::MD Anderson-Metastatic Breast-157细胞、HOS/MNNG细胞、JAR细胞

SW-1990细胞类似产品::H-2342细胞、NB19-RIKEN细胞、SKNEP细胞

Me-Wo细胞类似产品::CEM细胞、HO1-N-1细胞、SW837细胞

MC26细胞类似产品::Hs-274-T细胞、TW 01细胞、HC-11细胞

Mono-Mac-6细胞类似产品::KP-N-NS细胞、OSA细胞、P 815细胞

KFB细胞类似产品::YAC-1细胞、KYSE0030细胞、TK-10细胞

MDA-kb2细胞类似产品::COLO-699细胞、ketr 3细胞、P3/NS1/1-Ag4-1细胞

DMS273细胞类似产品::CF PAC-1细胞、CC-LP-I细胞、P-815细胞

NCI H345细胞类似产品::TOV112D细胞、Earles's cells细胞、PATU-S细胞

NCIH1944细胞类似产品::KMM1细胞、H295R-S1细胞、HCC9204细胞

MiaPaca.2细胞类似产品::MGHU1细胞、L-428细胞、MDA-MB-330细胞

Normal Rat Kidney-49F细胞类似产品::A-172MG细胞、Tu177细胞、HCC-1419细胞

Hs840TCells;细胞背景资料:详见相关文献介绍;细胞传代方法:1:4—1:8传代,每周换液2—3次;细胞生长特性:贴壁生长;细胞形态特性:成纤维Cells;相关细胞有:BTI-Tn5B14Cells、NCI H548Cells、HT-55细胞

RPMCCells;细胞背景资料:腹膜间皮Cells;细胞传代方法:1:2-1:3传代;每周换液2-3次。;细胞生长特性:贴壁;细胞形态特性:详见细胞说明书;相关细胞有:RA-FLSsCells、NeHepLxHTCells、H2286细胞

LS411NCells;细胞背景资料:详见相关文献介绍;细胞传代方法:1:2传代;每周2次;细胞生长特性:贴壁生长;细胞形态特性:上皮样;相关细胞有:H-510Cells、GM2219CCells、MC-CAR细胞

MXICells;细胞背景资料:详见相关文献介绍;细胞传代方法:1:2-1:3传代;每周换液2-3次。;细胞生长特性:贴壁或悬浮,详见细胞说明书部分;细胞形态特性:详见细胞说明书;相关细胞有:Earles's cellsCells、HET-1ACells、HepG2-luc细胞

NCIH1755Cells;细胞背景资料:详见相关文献介绍;细胞传代方法:1:2传代;细胞生长特性:贴壁生长;细胞形态特性:详见细胞说明书;相关细胞有:FETCells、RGM-1Cells、MILE SVEN1细胞

MOLT16Cells;细胞背景资料:详见相关文献介绍;细胞传代方法:1:2-1:3传代;每周换液2-3次。;细胞生长特性:贴壁或悬浮,详见细胞说明书部分;细胞形态特性:详见细胞说明书;相关细胞有:J774A1Cells、NCIH292Cells、NeHepLxHT细胞

PLC-8024Cells;细胞背景资料:该细胞系分泌乙肝病毒表面抗原(HBsAg)。 此细胞系原先被支原体污染,后用BM-cycline去除支原体;细胞传代方法:1:2传代;细胞生长特性:贴壁生长;细胞形态特性:上皮样;相关细胞有:aTC1-6Cells、BT-BCells、AMC-HN8细胞

WSU-HN13Cells;细胞背景资料:舌鳞癌;女性;细胞传代方法:1:2-1:3传代;每周换液2-3次。;细胞生长特性:贴壁;细胞形态特性:详见细胞说明书;相关细胞有:RPMI 8402Cells、H2073Cells、DAN-G细胞

MC9Cells;细胞背景资料:肥大Cells;C57BL/6 x A/J;细胞传代方法:1:2-1:3传代;每周换液2-3次。;细胞生长特性:悬浮;细胞形态特性:详见细胞说明书;相关细胞有:CCD1112SkCells、KYSE-180Cells、0V-1063细胞

HL-60 Clone 15Cells;细胞背景资料:详见相关文献介绍;细胞传代方法:维持细胞浓度在1×105-1×106/ml,每2-3天换液1次。;细胞生长特性:悬浮生长;细胞形态特性:淋巴母细胞样;相关细胞有:HHUACells、Roswell Park Memorial Institute 7666Cells、TE-6细胞

EMT-6Cells;细胞背景资料:详见相关文献介绍;细胞传代方法:1:2-1:3传代;每周换液2-3次。;细胞生长特性:贴壁或悬浮,详见细胞说明书部分;细胞形态特性:详见细胞说明书;相关细胞有:CTLL2Cells、MCMCells、GA-10细胞

GM04679Cells;细胞背景资料:该细胞源自一名3岁患有Burkitt's淋巴瘤的黑人男孩的B淋巴细胞,EBNA阳性。;细胞传代方法:1:2-1:4传代,每周2-3次。;细胞生长特性:悬浮生长;细胞形态特性:淋巴母细胞样;相关细胞有:HEK-2Cells、CO115Cells、SK-RC-42细胞

AMCells;细胞背景资料:详见相关文献介绍;细胞传代方法:1:2传代;细胞生长特性:贴壁生长;细胞形态特性:上皮Cells;相关细胞有:HFLS-RACells、GLC-15Cells、HO1N1细胞

OCI/AML-4Cells;细胞背景资料:急性髓系白血病;女性;细胞传代方法:1:2-1:3传代;每周换液2-3次。;细胞生长特性:悬浮;细胞形态特性:详见细胞说明书;相关细胞有:IGR.OV1Cells、PTK 2Cells、COLO 16细胞

IGROV-1Cells;细胞背景资料:详见相关文献介绍;细胞传代方法:1:2-1:3传代;每周换液2-3次。;细胞生长特性:贴壁或悬浮,详见细胞说明书部分;细胞形态特性:详见细胞说明书;相关细胞有:G361Cells、PC-9/GRCells、RPE-1细胞

OV90Cells;细胞背景资料:详见相关文献介绍;细胞传代方法:1:2-1:3传代,3-4天换液1次。;细胞生长特性:贴壁生长;细胞形态特性:上皮Cells;相关细胞有:McG-1Cells、Hs 821.TCells、PANC-03-27细胞

EoL-1Cells;细胞背景资料:急性髓系白血病;男性;细胞传代方法:1:2-1:3传代;每周换液2-3次。;细胞生长特性:悬浮;细胞形态特性:详见细胞说明书;相关细胞有:MEG-01Cells、U-138-MGCells、C-Li-7细胞

T1-73Cells;细胞背景资料:详见相关文献介绍;细胞传代方法:1:2-1:4传代;每周换液2-3次。;细胞生长特性:贴壁生长;细胞形态特性:成纤维Cells;相关细胞有:PM6Cells、C12Cells、CL MC/9细胞

LM TK negativeCells;细胞背景资料:详见相关文献介绍;细胞传代方法:1:2-1:3传代;每周换液2-3次。;细胞生长特性:贴壁或悬浮,详见细胞说明书部分;细胞形态特性:详见细胞说明书;相关细胞有:SW1088Cells、P3JCells、HR1K细胞

AD293Cells;细胞背景资料:详见相关文献介绍;细胞传代方法:1:2传代;细胞生长特性:贴壁生长;细胞形态特性:详见细胞说明书;相关细胞有:T-TCells、MV4:11Cells、ID8/MOSEC细胞

B16 melanomaCells;细胞背景资料:该细胞源于C57BL/6J小鼠黑色素瘤,可以产生黑色素,同基因小鼠体内移植可成瘤;细胞传代方法:1:3传代,2-3天换液一次;细胞生长特性:贴壁生长;细胞形态特性:梭形;相关细胞有:As-PC1Cells、End1/E6E7Cells、H889细胞

HCGCCells;细胞背景资料:小脑;颗粒Cells;细胞传代方法:1:2-1:3传代;每周换液2-3次。;细胞生长特性:贴壁;细胞形态特性:详见细胞说明书;相关细胞有:BC3H-1Cells、PG-BE1Cells、OCUM-1细胞

578TCells;细胞背景资料:详见相关文献介绍;细胞传代方法:1:2-1:3传代;每周换液2-3次。;细胞生长特性:贴壁或悬浮,详见细胞说明书部分;细胞形态特性:详见细胞说明书;相关细胞有:ME1Cells、MES 23.5Cells、HT 29细胞

HEK293-ACells;细胞背景资料:胚肾;腺病毒包装;细胞传代方法:1:2-1:3传代;每周换液2-3次。;细胞生长特性:贴壁;细胞形态特性:详见细胞说明书;相关细胞有:UPCI:SCC154Cells、H-2170Cells、C-4-I细胞

SUIT-2Cells;细胞背景资料:胰腺管癌;男性;细胞传代方法:1:2-1:3传代;每周换液2-3次。;细胞生长特性:贴壁;细胞形态特性:详见细胞说明书;相关细胞有:K1735Cells、GalK 1Cells、HLCL9B10细胞

H-125Cells;细胞背景资料:腺鳞状肺癌;男性;细胞传代方法:1:2-1:3传代;每周换液2-3次。;细胞生长特性:贴壁;细胞形态特性:详见细胞说明书;相关细胞有:U937Cells、MV4IICells、P388细胞

B16 melanomaCells;细胞背景资料:该细胞源于C57BL/6J小鼠黑色素瘤,可以产生黑色素,同基因小鼠体内移植可成瘤;细胞传代方法:1:3传代,2-3天换液一次;细胞生长特性:贴壁生长;细胞形态特性:梭形;相关细胞有:As-PC1Cells、End1/E6E7Cells、H889细胞

SKNDZCells;细胞背景资料:详见相关文献介绍;细胞传代方法:1:2传代;细胞生长特性:贴壁生长;细胞形态特性:详见细胞说明书;相关细胞有:751-NA-15Cells、HCC366Cells、PFSK-1细胞

RASMCCells;细胞背景资料:主动脉;平滑肌Cells;细胞传代方法:1:2-1:3传代;每周换液2-3次。;细胞生长特性:贴壁;细胞形态特性:详见细胞说明书;相关细胞有:OCI-Ly8Cells、TPC-1Cells、WSU-DLCL-2细胞

HS-695TCells;细胞背景资料:详见相关文献介绍;细胞传代方法:1:2-1:4传代,2-3天换液1次。;细胞生长特性:贴壁生长;细胞形态特性:上皮Cells;相关细胞有:HCV29Cells、SCC 25Cells、L M (TK-)细胞

H-1693Cells;细胞背景资料:详见相关文献介绍;细胞传代方法:1:2-1:3传代,每周换液2次。;细胞生长特性:贴壁生长;细胞形态特性:上皮Cells;相关细胞有:3 LLCells、Hs 274Cells、IHH4细胞

NCIH847Cells;细胞背景资料:详见相关文献介绍;细胞传代方法:1:2-1:3传代;每周换液2-3次。;细胞生长特性:贴壁或悬浮,详见细胞说明书部分;细胞形态特性:详见细胞说明书;相关细胞有:SUPM2Cells、Pa16CCells、H23细胞

HEK AD293Cells;细胞背景资料:详见相关文献介绍;细胞传代方法:1:2传代;细胞生长特性:贴壁生长;细胞形态特性:详见细胞说明书;相关细胞有:P3-X63.Ag8.653Cells、C918Cells、SF-767细胞

NCI-H1184 Cells|人肺癌可传代细胞系

WM-266-4Cells;细胞背景资料:详见相关文献介绍;细胞传代方法:1:2传代;细胞生长特性:贴壁生长;细胞形态特性:详见细胞说明书;相关细胞有:CCD-966SKCells、T-HSCCells、MCF-7/ADR-RES细胞

SNU-C2ACells;细胞背景资料:详见相关文献介绍;细胞传代方法:每周两次换液;细胞生长特性:松散附着、多单元的聚合;细胞形态特性:上皮细胞样;相关细胞有:AAV293Cells、SNU-354Cells、SNU-5细胞

TNC-1B12B4Cells;细胞背景资料:详见相关文献介绍;细胞传代方法:1:2-1:3传代;每周换液2-3次。;细胞生长特性:贴壁或悬浮,详见细胞说明书部分;细胞形态特性:详见细胞说明书;相关细胞有:Pa18CCells、G-402Cells、U373MG细胞

LA4Cells;细胞背景资料:肺癌;A/He;细胞传代方法:1:2-1:3传代;每周换液2-3次。;细胞生长特性:贴壁;细胞形态特性:详见细胞说明书;相关细胞有:293/EBNA-1Cells、NS1Cells、T HEECs细胞

SNU-16Cells;细胞背景资料:详见相关文献介绍;细胞传代方法:3-4天换液1次。;细胞生长特性:悬浮聚集;细胞形态特性:上皮Cells;相关细胞有:2E8Cells、JurkatE6-1Cells、X63-Ag8.653细胞

H1694Cells;细胞背景资料:详见相关文献介绍;细胞传代方法:3-4天换液1次。;细胞生长特性:悬浮生长;细胞形态特性:聚团悬浮;相关细胞有:beta TC6Cells、TE671Cells、CCRF/CEM/0细胞

Panc-08.13Cells;细胞背景资料:详见相关文献介绍;细胞传代方法:1:2传代;细胞生长特性:贴壁生长;细胞形态特性:上皮样;相关细胞有:C4-ICells、Normal Rat, August 3, 1983Cells、MCF 7细胞

H-841Cells;细胞背景资料:详见相关文献介绍;细胞传代方法:1:3—1:5传代,;细胞生长特性:混合型生长;细胞形态特性:详见细胞说明书;相关细胞有:SUM 102PTCells、MES-SACells、CEM/0细胞

HBL1Cells;细胞背景资料:弥漫大B淋巴瘤;男性;细胞传代方法:1:2-1:3传代;每周换液2-3次。;细胞生长特性:悬浮;细胞形态特性:详见细胞说明书;相关细胞有:U2-OSCells、VSMCCells、D324细胞

Metastatic Variant-522Cells;细胞背景资料:肺腺癌;女性;细胞传代方法:1:2-1:3传代;每周换液2-3次。;细胞生长特性:贴壁;细胞形态特性:详见细胞说明书;相关细胞有:NCI-H2291Cells、GH 3Cells、Granta 519细胞

S3-HeLaCells;细胞背景资料:该细胞是1955年由PuckTT,MarcusPI和CieciuraSJ建系的,含HPV-18序列;角蛋白阳性;可用于与染色体突变、细胞营养、集落形成相关的哺乳动物细胞的克隆分析。;细胞传代方法:1:2传代;细胞生长特性:贴壁生长;细胞形态特性:上皮样;相关细胞有:Hi-fiveCells、RPTEC/TERT 1Cells、HNTEC细胞

AR41PCells;细胞背景资料:详见相关文献介绍;细胞传代方法:1:3-1:6传代;每周2-3次。;细胞生长特性:贴壁生长;细胞形态特性:上皮细胞样;相关细胞有:SW527Cells、P3/X63/Ag8.653Cells、EC-GI-10细胞

Hs 766TCells;细胞背景资料:详见相关文献介绍;细胞传代方法:1:2—1:8传代,每周换液2—3次;细胞生长特性:贴壁生长;细胞形态特性:上皮Cells;相关细胞有:HRVECCells、MDA MB 436Cells、WM-266-4细胞

138 MGCells;细胞背景资料:星形细胞瘤;男性;细胞传代方法:1:2-1:3传代;每周换液2-3次。;细胞生长特性:贴壁;细胞形态特性:详见细胞说明书;相关细胞有:HCC-9724Cells、A-204Cells、C2BBe1细胞

138 MGCells;细胞背景资料:星形细胞瘤;男性;细胞传代方法:1:2-1:3传代;每周换液2-3次。;细胞生长特性:贴壁;细胞形态特性:详见细胞说明书;相关细胞有:HCC-9724Cells、A-204Cells、C2BBe1细胞

P19Cells;细胞背景资料:P19细胞株是从C3H/He小鼠中诱导的恶性畸胎瘤中建立的。该细胞在含有0.1mM的培养基中可高效率地克隆。该细胞具有多能性,在500nM维A酸诱导下可以分化成神经和神经胶质样Cells;在0.5%~1.0%二甲亚砜(DMSO)存在下,分化形成心脏和骨骼肌样细胞,但不形成神经或神经胶质样Cells;在DMSO和维A酸同时存在时,细胞的分化与只有维A酸一样。;细胞传代方法:1:2传代;细胞生长特性:贴壁生长;细胞形态特性:上皮样;相关细胞有:KYSE140Cells、LN-18Cells、L 363细胞

HCC0038Cells;细胞背景资料:详见相关文献介绍;细胞传代方法:1:2—1:4传代,每周换液2—3次;细胞生长特性:贴壁生长;细胞形态特性:上皮样;相关细胞有:U-373MGCells、Hs688(A)TCells、J-774细胞

OCI AML5Cells;细胞背景资料:急性髓系白血病Cells;男性;细胞传代方法:1:2-1:3传代;每周换液2-3次。;细胞生长特性:悬浮;细胞形态特性:详见细胞说明书;相关细胞有:H-1693Cells、Hs-688A-TCells、X63Ag8.653细胞

"


NCI-H1184 Cells|人肺癌可;

公司简介

上海冠导生物工程有限公司,先后从ATCC、DSMZ、ECACC、RIKEN、PromoCell、ScienCell、JCRB等国内外细胞库引进细胞2000余株。以此为契机,公司组建了冠导细胞库,我司细胞均由资深细胞培养工程师进行培养。我司可以提供的细胞有:①细胞系②原代细胞③稳转株④耐药株⑤标记细胞⑥细胞配套试剂等。

成立日期 (11年)
注册资本 100万(元)
员工人数 50-100人
年营业额 ¥ 1000万-5000万
经营模式 工厂,试剂,定制,服务
主营行业 细胞培养,微生物学,细胞生物学

NCI-H1184 Cells|人肺癌可传代细胞系相关厂家报价

内容声明
拨打电话 立即询价