基本信息 产品详情 公司简介 推荐产品
网站主页 化工产品目录 生物 细胞培养 原代细胞 人星形胶质细胞 人星形胶质细胞
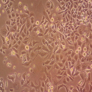
  • 人星形胶质细胞

人星形胶质细胞

SVG P12 Cells
询价 1Kg 起订
广东 更新日期:2026-04-17

吉奥蓝图(广东)生命科学技术中心

VIP5年
联系人:徐先生
电话:020-29185636拨打
手机:18802032712 拨打
邮箱:2130357954@qq.com

产品详情:

中文名称:
人星形胶质细胞
英文名称:
SVG P12 Cells
保存条件:
-20
纯度规格:
99.99%
产品类别:
细胞库

广州吉妮欧生物科技有限公司致力于生物医药领域的技术研发与生物试剂的销售,力求为中国广大生物科技研究者提供质最快捷的贴心服务。公司集研发、销售、实验室技术服务于一体,并以多家欧美研究平台先进的技术实力为依托,向中国市场提供国际品质国内价格的超值服务,专业提供实验所需的各类细胞株,因子,抗体等多种生物试剂。公司细胞主要来源ATCC,ECACC,ScienCell,ACC, Invitrogen 等,以及少数国内外大学建系。同时提供各种技术服务 整体课题 论文(SCI)服务等。轻小利,重品质。避浮夸,求务实。您的满意,将是我们不懈的追求。竭诚欢迎广大生物科技研究老师,前来咨询合作。

咨询电话:13710710356     服务QQ: 981280524     联系人:罗先生

人正常细胞

2BS       人胚肺二倍体细胞

293(HEK-293;HEK293)人胚肾细胞  

293 Ad5人原胚肾转化细胞

2V6.11人胚肾细胞

BEAS-2B人正常肺上皮细胞           

Caco-2人结直肠腺癌细胞  

Caov-3人乳头状卵巢腺癌细胞

C918人侵袭性脉络膜黑色素瘤细胞      

CNLMG-B5537SKIN      人类成纤维细胞

CNLMG-B5538LC   人永生化淋巴细胞

CNLMG-B5538SKIN      人类成纤维细胞

CCC-ESF-1人胚皮肤成纤维细胞     

CCC-HB-2人胚膀胱组织来源细胞   

CCC-HBE-2人胚气管组织来源细胞

CCC-HEH-2人胚心肌组织来源细胞

CCC-HEK-1人胚肾二倍体细胞 

CCC-HIE-2人胚肠粘膜组织来源细胞

CCC-HPE-2人胚胰腺组织来源细胞

CCC-HPF-1人胚肺成纤维细胞

CCC-HSM-2人胚肌肉组织来源细胞

D407(D-407,D-407)人视网膜色素上皮细胞

ECV-304(ECV 304)人脐静脉内皮细胞(人膀胱癌细胞污染)

ED-25(ED 25)人肝静脉内皮细胞

Ealy926Ealy-926)肠系膜下腔动脉血管内皮细胞

FBM儿骨髓间充质细胞(自建)

HSAS1人皮肤成纤维细胞

HSAS2人皮肤成纤维细胞

HSAS3人皮肤成纤维细胞

HSAS4人皮肤成纤维细胞

Hs 578Bst人正常乳腺细胞  

HUV-EC-C人脐静脉内皮细胞

HFT-8810 [HFT8810]人儿胸腺细胞株

HFTF人胚眼Tenon's囊成纤维细胞

HK-2人肾小管上皮细胞 

HPC-Y5人胰腺细胞系  

HKC人胚肾上皮细胞

Hs68人男性正常龟头细胞

HS-746T 人胃癌细胞

HEB人脑星型胶质正常细胞 

hFOB 1.19   SV40转染人成骨细胞

HFF       人包皮成纤维细胞                                               

HFL-I人胚肺成纤维细胞    

HFSF人胚眼巩膜成纤维细胞 

HA 人羊膜细胞

HAN人羊膜细胞

WISH人羊膜细胞

HFL1人肺成纤维细胞

HL-7702人肝细胞     

HEK-2人胚肾二倍体细胞

HEL 人二倍体细胞

HEL-1人胚肺二倍体细胞

HEL-2人胚肺二倍体细胞

IMR-90人胚肺成纤维细胞

KMB-17      人胚肺二倍体细胞

KuMA人胚肺细胞系

KiMA人胚肾上皮细胞系

L02 人正常肝细胞 

M-7人胚,皮肤,肌肉 成纤维细胞

M-20人胚,皮肤,肌肉 成纤维细胞

M-22人胚,皮肤,肌肉 成纤维细胞

MCF 10A人正常乳腺上皮细胞   

MRC-5  人胚肺成纤维细胞

RWPE-1       人前列腺上皮细胞  

RWPE-2       人前列腺正常细胞

SRA01/04(HLE)人晶体上皮细胞永生系  

SH.hEXl(46.xx)人胚干细胞

T/G HAVSMC血管平滑肌细胞   

WI-38 [WI38]     人胚肺成纤维细胞

 

 

人肿瘤细胞

 

1590人乳腺癌细胞

143B TK人胸腺激酶缺陷细胞

2F7 人肺癌杂交细胞

22RV1(22-RV1,22RV1)人前列腺癌细胞

5637(HTB-9)人膀胱癌细胞

786-O(786-0)人肾透明细胞腺癌细胞  

751-NA人神经瘤细胞

769-P人肾透明细胞腺癌细胞

99人直肠腺癌细胞系HRC-99(HRC99,HRC 99)

95-D(95D,95 D)人高转移肺腺癌细胞

AGS人胃腺癌细胞

AsPC-1人转移胰腺癌细胞  

ACC-2人涎腺腺样囊性癌细胞

ACC-3人涎腺腺样囊性癌细胞

ACC-M人涎腺癌细胞

A-431(A431,A 431)人皮肤鳞癌细胞

A172人胶质母细胞瘤细胞

A-375(A375)人恶性黑色素瘤细胞

A549(A-549)人肺癌细胞 

A-673(A673)人横纹肌肉瘤细胞

A-204人横纹肌肉瘤细胞

A2780人卵巢癌细胞                                                                         

A-427 [A427]     人肺癌细胞

A498人肾癌细胞

A875人黑色素瘤细胞

ACHN人肾腺癌细胞

AE1201人肺转化细胞系

AN3CA人子宫内膜腺癌(转移)细胞

Anglne人卵巢癌细胞

BE(2)-M17人神经母细胞瘤细胞

BeWo人盘绒膜癌细胞

BIU-87人膀胱癌细胞

BT-474(BT474)人乳腺导管瘤细胞    

BT-549(BT549)人乳腺癌细胞

BxPC-3(BxPC3)人胰腺腺癌细胞  

Bcap-37人乳腺癌细胞

BGC-823BGC823)人胃腺癌细胞

BT-325(BT325,BT 325)人脑多型胶质母细胞瘤细胞 

BEL-7402(BEL7402,BEL 7402)人肝癌细胞

BEL-7404(BEL7404,BEL 7404)人肝癌细胞

BEL-7405(BEL7405,BEL 7405)人肝癌细胞

BC-009      人乳腺癌细胞

BC-019      人乳腺癌细胞

BC-020      人乳腺癌细胞

BC-021      人乳腺癌细胞

BC-022      人乳腺癌细胞

BC-023      人乳腺癌细胞

BC-024      人乳腺癌细胞

BC-025      人乳腺癌细胞

BC-027      人乳腺癌细胞

BC-028      人乳腺癌细胞

CD2OS-RC-2人肾癌细胞    

C-33A(C33A)人宫颈癌细胞  

Ca Ski [CaSki]    人宫颈癌细胞

Caki-1人肾透明细胞癌皮肤转移细胞

Calu-3人肺腺癌细胞 (胸水)

Calu-6人肺退行性癌细胞

CCD-1095Sk人乳腺浸润性导管癌旁皮肤细胞

CFPAC-1人胰腺导管癌细胞            

COLO205人结直肠腺癌细胞

COLO-320人结肠腺癌细胞

COLO320DM人结直肠腺癌细胞

COLO394人结肠癌细胞

CW-2 [CW2]人结肠腺癌细胞      

COC1人卵巢癌细胞

CNE-1(CNE 1)人鼻咽癌细胞

CNE人鼻咽癌细胞

CNE-2Z(CNE2Z,CNE 2Z)人鼻咽癌细胞

Daudi人白血病细胞

DU 145(DU145;DU-145)人前列腺癌细胞

Dami人巨核细胞白血病细胞

D341 Med人髓母细胞瘤细胞

Daoy人髓母细胞瘤细胞

DiFi    人结直肠癌细胞 

DMS153人小细胞肺癌细胞

DLD-1人结直肠腺癌上皮细胞

ES-2人卵巢透明癌细胞

EC109人食管癌细胞

FaDu人咽鳞癌细胞 

F56 人腺癌细胞

GBC-SD [GBCSD]   人胆囊癌细胞

G401人肾癌Wilms细胞

GLC-15人肺癌腺细胞

GLC-82(GLC82)肺腺癌细胞

H/RB-CL2人膀胱癌细胞

H/RB-M       人膀胱癌细胞

H125人非小细胞肺癌细胞

H1299人肺癌细胞

H4人神经胶质瘤细胞

HAC-84人肺癌细胞

HB611人肝癌细胞

H-bc人膀胱癌细胞

HGC-27人胃癌细胞

HHCC人肝癌细胞

HIC       人小肠癌细胞

Homo Spaniens cell line Hep B1.2 人肝癌细胞

HOS人骨肉瘤细胞

HPAC人胰腺腺泡上皮癌细胞

Hep 3B2.1-7人肝癌细胞

Hep-3B [Hep3B]人肝癌细胞      

Hela P10s-11F     人宫颈癌细胞

Hela S3(HeLaS3)人宫颈癌细胞

HO-8910人卵巢癌细胞

HO-8910PM       人高转移卵巢癌细胞

Hs 578T人乳腺癌细胞

HT29     人结直肠腺癌细胞   

HuH-6人肝母细胞瘤细胞

HuH-7人肝癌细胞

HuTu-80人十二脂肠腺癌 

HL-60 (HL60)人早幼粒急性白血病细胞系

HLAmP人肺巨细胞癌细胞

HEL人红白细胞白血病细胞Erythroleukemia 

HNE-2( HNE2)人鼻咽癌细胞

HT-1080(HT 1080)人纤维肉瘤细胞

HCC-94 [HCC941122;HCC 94] 人子宫鳞癌细胞

HCC1937人乳腺癌细胞       

HCC827人非小细胞肺癌细胞    

HCCLM3人高转移肝癌细胞

HCC38  人乳腺导管癌细胞

HCCC-9810 人胆管细胞型肝癌细胞

Hce-8693 [HCE8693]    人盲肠腺癌细胞

HCT-8 [HRT-18]人回盲肠癌细胞,人结直肠腺癌细胞

HCT 116人结直肠腺癌细胞

HCT-15 [HCT15]人结直肠腺癌细胞

HEC-1-A [HEC-1A;HEC1A]人子宫内膜腺癌细胞

HEC-1-B [HEC-1B;HEC1B]人子宫内膜腺癌细胞

HeLa人宫颈癌细胞       

Hela 229 [HeLa229]人宫颈癌细胞

Hep 3B2.1-7人肝癌细胞                           

HepG2人肝癌细胞

HepG2-RHBV人肝癌细胞株

Hep-2 [Hep2]人喉癌上皮细胞

IMR-32人神经母细胞瘤细胞   

J-111人急性单核细胞白血病细胞

JH-2人纤维肉瘤细胞系

JAR人盘绒毛癌细胞     

JAR人食管癌细胞

JEG-3人绒毛膜癌细胞  

K-562人慢性髓原白血病细胞    

KG-1急性髓系细胞白血病细胞

KG-1a人急性骨髓白血病细胞

KP-N-NS人肾上腺神经母细胞瘤细胞(脑转移)

KLE人子宫内膜腺癌细胞

KB人口腔上皮癌细胞

K562(K-562)人慢性髓原白血病细胞

Lu-165人肺腺癌细胞

Li-7人肝癌细胞      

LNCaP人前列腺癌细胞

LNCaP clone FGC [LNCaP.FGC] 人前列腺癌细胞

LoVo人结直肠腺癌细胞

LS 174T [LS174T]     人结直肠腺癌细胞

LS 180 (CL-187) [LS180]       人结肠腺癌细胞

LTEP-a-2      人肺腺癌细胞

LTEP-s人肺鳞癌细胞

LTEP-sm      人小细胞肺癌细胞

MG-63(MG63,MG 63)人成骨肉瘤细胞

MCF 7B       人乳腺癌细胞

MDA-MB-157人乳腺癌细胞

MDA-MB-231人乳腺癌细胞

MDA-MB-415人乳腺腺癌细胞  

MDA-MB-435S人乳腺癌细胞/人乳腺导管癌

MDA-MB-436人乳腺腺癌细胞

MDA-MB-453人乳腺癌细胞

MDA-MB-468人乳腺癌细胞

MDA-MB-468-06人乳腺癌细胞

MKN-45      人胃癌细胞

MuM-2B      人侵袭性脉络膜黑色素瘤细胞 

MuM-2C      人侵袭性脉络膜黑色素瘤细胞

MS751人子宫颈表皮癌细胞

MSTO-211H人肺癌细胞株

M21       人黑色素瘤细胞

M619人侵袭性脉络膜黑色素瘤细胞   

M-07e人巨核细胞白血病细胞株

MCF7 [MCF-7]人乳腺癌细胞   

ME-180人子宫颈表皮癌细胞

MEG-01人成巨核细胞白血病细胞

MGC-803 [MGC803]人胃癌细胞, MGC80-3人胃癌细胞

NB4(NB-4)人急性早幼粒白血病细胞(悬浮) 

NEC人食管癌细胞

NCI-H446 [H446]人小细胞肺癌细胞;

NCI-H1395人肺腺癌细胞

NCI-H1650人非小细胞肺癌细胞/人肺支气管癌细胞   

NCI-H292人肺癌细胞(淋巴结转移)/ 人肺黏液上皮样癌细胞

NCI-H358人非小细胞肺癌细胞        

NCI-H661人大细胞肺癌细胞     

NCI-H1688人典型小细胞肺癌细胞  

NCI-H1975人非小细胞肺腺癌细胞

NCI-H205人肾上腺腺瘤细胞

NCI-H2087人非小细胞肺腺癌细胞

NCI-H209人小细胞肺癌细胞

NCI-H2227人小细胞肺癌细胞

NCI-H295R人肾上腺皮质腺癌细胞 

NCI-H358人非小细胞肺癌细胞

NCI-H460 [H460]     人大细胞肺癌细胞

NCI-H520人肺鳞癌细胞  

NCI-H596人肺腺鳞癌细胞

NCI-H838人非小细胞肺癌细胞    

NCI-H23      人非小细胞肺癌细胞

NCI-N87 [N87]人胃癌细胞

NCI-H157人非小细胞肺腺癌细胞

NCI-H1299人肺腺癌细胞,人非小细胞肺癌细胞

NTERA-2人恶性多发性畸瘤细胞

OVCAR-3(OVCAR3)人卵巢腺癌细胞,

OCM-1A人低侵袭性脉络膜黑色素素瘤细胞

OS-RC-2人肾癌细胞

PC-3(PC 3)人前列腺癌细胞        

PANC-1       人胰腺癌细胞  

PC-3M-2B4人前列腺癌低转移细胞株

PC-3M-IE8人前列腺癌高转移细胞株

PG-BE1人肺巨细胞癌高转移细胞株

PG-LH7人肺巨细胞癌低转移细胞株

PsL-EGFmAb-2人源杂交瘤细胞株

PA-1人卵巢畸瘤细胞

PLC/PRF/5人肝癌亚力山大细胞

QG-56 [QG56]人肺扁平上皮癌细胞

QGY-7701 [QGY7701]人肝癌细胞

QGY-7703 [QGY7703]人肝癌细胞

QSG-7701 [QSG7701]人肝细胞

RL-952(RL952)人子宫内膜腺癌细胞

RPMI8226 [RPMI-8226] 人多发性骨髓瘤细胞

RKO-E6人结肠癌转基因细胞

RKO人结肠癌细胞/人结肠腺癌细胞      

RKO-AS45-1人结肠癌转基因细胞

RD 人恶性胚横纹肌肉瘤细胞

RBE人肝胆管癌细胞    

SHG-44(SHG44)人胶质瘤细胞,人星形胶质细胞瘤细胞

SUME-a(SUMEA,SUME a)人鼻咽癌细胞

SF-295(SF295)人XG恶性胶质瘤细胞

SF126人脑瘤细胞

SF17人脑瘤细胞

SF763人脑瘤细胞

SF767人脑瘤细胞

SL-1人胚肺转化细胞

SMMC-7721 [SMMC7721]人肝癌细胞                             

SV-HUC-1人膀胱上皮永生化细胞  

SW1116人结肠腺癌细胞      

SW-13人肾上腺皮质腺癌细胞   

SW480 [SW 480;SW-480]人结直肠腺癌细胞

SW579 [SW 579;SW-579]人甲状腺鳞癌细胞

SW620 [SW 620;SW-620]人结直肠腺癌细胞

SW038-C2人脑胶质母细胞瘤细胞

SW1353 人骨肉瘤细胞

SiHa 人子宫颈鳞状癌细胞                              

SK-NEP-1人肾母细胞瘤细胞            

SK-BR-3 [SKBR-3;SKBR3]人乳腺癌细胞

SK-HEP-1 [SKHEP-1;SKHEP1]       人肝腹水腺癌细胞

SK-LU-1 [SKLU-1;SKLU1]       人低分化肺腺癌细胞

SK-MEL-1人皮肤黑色素瘤细胞

SK-MES-1 [SKMES-1;SKMES1]     人肺鳞癌细胞

SK-N-MC [SKNMC]人神经上皮瘤细胞

SK-OV-3 [SKOV3]   人卵巢腺癌细胞

SK-N-SH [SKNSH]人神经母细胞瘤细胞

SMC-1  人胸膜瘤细胞

SPC-A-1人肺腺癌细胞

SSP-25人肝胆管癌细胞 

Saos-2   人成骨肉瘤细胞

SCaBER人膀胱鳞癌细胞

SGC-7901 [SGC7901]人胃腺癌细胞

SH-SY5Y人神经母细胞瘤细胞

T84 人结直肠癌细胞 

TF-1人红系白血病细胞

TJ905人胶质瘤细胞

TKB-1人肺癌细胞

TT   人髓状甲状腺导管肿瘤细胞

THP-1人急性单核细胞白血病细胞

TE671 subline No.2人横纹肌肉瘤细胞

TE-1人食管癌细胞

TE-10人食管癌细胞 

TE-11人食管癌细胞 

T24 人膀胱移行细胞癌细胞 

T47D [T-47D]人乳腺导管癌细胞

Tca-8113 [Tca8113]人舌鳞癌细胞

Tca8113-P160人舌鳞癌细胞

Tca8113-P60人舌鳞癌细胞

U-251 MG(U251MG)人星形胶质瘤细胞

U-87MG(U87MG)人脑星形胶质母细胞瘤细胞   

UACC812 [UACC-812]  人乳腺导管瘤细胞

UM 人葡萄膜黑色素细胞

UT-7人原巨核细胞型白血病细胞

U-2 OS [U2OS;U2-OS;U-2OS]人骨肉瘤细胞

YTMLC-90人肺鳞癌细胞

Y79       人视网膜母细胞瘤细胞 

ZR-75-1 [ZR751]       人乳腺导管癌细胞

ZR-75-30 [ZR7530]人乳腺导管癌细胞

 

 

 

人特殊细胞

293E人胚肾细胞(EBNA1基因修饰)

293T人胚肾细胞(SV40T基因修饰)

HeLa-GFP人子宫颈癌细胞(GFP基因修饰)

HeLa /DDP  Hela 细胞耐药亚株

FC33人胚肾细胞(Asp-2基因修饰)

 

人淋巴细胞

 

U937(U-937,U 937)人组织细胞淋巴瘤细胞

Daudi人Burkkit淋巴瘤细胞

6T-CEM人T细胞白血病细胞

KM932  EB病毒转化的人B淋巴细胞

KM933  EB病毒转化的人B淋巴细胞

KM934  EB病毒转化的人B淋巴细胞(彝族)

KM9401       EB病毒转化的人B淋巴细胞

KM9402       EB病毒转化的人B淋巴细胞

KM9403       EB病毒转化的人B淋巴细胞(傣族)

KM9405       EB病毒转化的人B淋巴细胞(傣族)

KM9406       EB病毒转化的人B淋巴细胞(拉祜族)

KM9801       EB病毒转化的人B淋巴细胞

KM9803       EB病毒转化的人B淋巴细胞

HUT 102人T淋巴瘤细胞

HuT 78  人T淋巴细胞白血病细胞

HLCL 14C1人类淋巴母细胞瘤细胞

HLCL 21B8人类淋巴母细胞瘤细胞

HLCL 4B9人类淋巴母细胞瘤细胞

HLCL 4F10人类淋巴母细胞瘤细胞

HLCL 7D7人类淋巴母细胞瘤细胞

HLCL 9B10人类淋巴母细胞瘤细胞

HLCL 9C3   人类淋巴母细胞瘤细胞

HMy2.CIR人B淋巴母细胞

WIL2-S [WIL2S]人B淋巴细胞

A3人T淋巴细胞白血病细胞

H9人T淋巴瘤细胞

HYL  EB病毒转化的人B淋巴细胞(彝族)

I 2.1       人急性T淋巴细胞性白血病细胞

KM0501  EB病毒转化的人B淋巴细胞

Mao  EB病毒转化的人B淋巴细胞

IM-9人外周血B淋巴细胞

Wien 133非何杰金氏淋巴瘤细胞

TALL-104人急性T淋巴细胞白血病细胞

RAMOS(RA.1)人B淋巴细胞瘤细胞

Ramos   人B淋巴细胞瘤细胞

Kit225 IL-2依赖的人淋巴T细胞系

CCRF-CEM [CCRF CEM]人急性淋巴细胞白血病T淋巴细胞  

Cell line of lymph Penarus monodon      人淋巴瘤细胞

CGM1人EB病毒转化的B细胞             

CA46人Burkitt淋巴瘤细胞

3.10E+10人类T细胞杂交瘤细胞

AC5人类T细胞杂交瘤细胞

C8166人T细胞白血病细胞

1301人淋巴细胞

Jurkat, Clone E6-1人T淋巴细胞白血病细胞 

Jurkat CA人急性T细胞白血病细胞

Jurkat, Clone E6-1 [Jurkat E6-1]    人急性T淋巴细胞白血病细

Romas人淋巴瘤细胞

Reh 人急性非B非T淋巴细胞性白血病细胞

RAJI人Burkitt淋巴瘤细胞

MOLT-4人急性淋巴母细胞白血病细胞

NAMALWA人Burkitts淋巴瘤细胞

NK-92 [NK92]人恶性非霍奇金淋巴瘤患者的自然杀伤细胞

NK-92MI [NK92MI]人恶性非霍奇金淋巴瘤患者的自然杀伤细胞

 

 

动物正常

 

Mouse podocyte小鼠足细胞

3T3-L1小鼠脂肪细胞

3T3-Swiss albino小鼠胚成纤维细胞

4179长尾绿猴胚细胞    

4647长尾绿猴肾细胞    

A7r5大鼠胸大动脉平滑肌细胞  

A9小鼠皮下结缔组织细胞  

Ana-1小鼠巨噬细胞      

AR42J大鼠胰腺外分泌细胞

BHK-21(C-13)仓鼠幼仓鼠肾细胞

BNL CL.2小鼠胚肝细胞

BRL大鼠正常肝细胞(Buffalo)           

BRL3A(BRL-3A)大鼠肝细胞

BALBA/C-3T3,BALB/C小鼠成纤维细胞

BALB/3T3 clone A31小鼠胚成纤维细胞

CHO仓鼠卵巢细胞

C3H/10T1/2, Clone8小鼠胚成纤维细胞

CHL仓鼠肺细胞

CTLA4 Ig-24中国仓鼠卵巢细胞

CRFK猫肾细胞

CV-1 [Part of the Wistar Special Collection]非洲绿猴肾细胞

EBTr (NBL-4)牛胚气管细胞

F81猫肾细胞 

FRhK-4恒河猴胚肾细胞      

SV40 MES 13小鼠肾小球系膜细胞  

SRSV/3T3小鼠SRSV转化的3T3细胞

RSC96大鼠雪旺细胞

RF/6A猴脉络膜视网膜内皮细胞

R1610仓鼠肺细胞  

RIN-m(RINm)褐鼠胰岛素瘤上皮细胞

L929L-929)小鼠成纤维细胞

L6大鼠成肌细胞       

Lec1仓鼠卵巢细胞        

LLC-MK2恒河猴肾细胞

MEF早代小鼠胚成纤维细胞(KM鼠)

MA-104(MA104)恒河猴肾细胞  

MDCK(NBL-2)狗肾细胞

MC3T3-E1 Subclone 14小鼠颅顶前骨细胞亚克隆14

MDBK (NBL-1)牛肾细胞

MS1小鼠胰岛内皮细胞

Mv.1.Lu(NBL-7)貂肺上皮细胞                 

NR8383大鼠肺泡巨噬细胞        

NRK大鼠肾细胞                  

NRK-52E大鼠肾小管上皮细胞  

NIH/3T3小鼠胚细胞

OK负鼠肾细胞       

PA317(PA-317)小鼠成纤维细胞(逆转录病毒包装用的鼠胚成纤维细胞)

PIEC猪髋动脉内皮细胞

PK136小鼠X小鼠

Psi2 DAP小鼠胚成纤维细胞      

Pt K1 (NBL-3)袋鼠肾细胞

V79(V-79)中国仓鼠肺细胞

Vero 非洲绿猴肾细胞 

VERO C1008(E6)非洲绿猴肾细胞

VX2兔肿瘤细胞

TM3小鼠睾丸间质细胞

Y1小鼠肾上腺皮质细胞

 

 

动物肿瘤细胞

 

RBL-2H3大鼠嗜碱性细胞白血病细胞     

RAW 264.7小鼠单核巨噬细胞白血病细胞

RAG小鼠肾腺癌细胞   

P3/NSI/1-Ag4-1 [NS-1]小鼠骨髓瘤细胞

P3X63Ag8小鼠骨髓瘤细胞        

P3X63Ag8.653小鼠骨髓瘤细胞 

NG108-15 [108CC15]小鼠神经细胞瘤与大鼠神经胶质瘤之融合细胞

4T1小鼠乳腺癌细胞      

S-180(S180),C57BL/6小鼠肛门纤维肉瘤细胞

H22(H-22)BALB/c小鼠肝癌细胞

RM-1(RM1)小鼠前列腺癌细胞

Walker256(Walker-256)大鼠肝癌细胞(乳腺癌细胞接种到肝脏成瘤)

CBRH7919(CBRH-7919)大鼠肝癌细胞(wistar大鼠)

HePa1-6小鼠肝癌细胞(C57BL小鼠)

B16(B-16),C57BL/6小鼠黑色素瘤细胞

Eca-109 (Eca 109) 人食管癌细胞

ECA小鼠艾氏腹水瘤细胞

PC12 (PC-12)大鼠肾上腺嗜铬细胞瘤细胞(褐鼠)

C6 (C-)大鼠胶质瘤细胞(褐鼠)

P815(P-815)小鼠肥大细胞瘤细胞

SP2/o小鼠杂交瘤细胞SP2/0小鼠骨髓瘤细胞

P388(P-388)小鼠白血病细胞

Yac-1(Yac 1)小鼠白血病细胞NK细胞靶细胞

HBZY-1(HBZY 1)大鼠肾小球系膜细胞

H9C2大鼠心肌细胞

H9c2(2-1),H9c-2(2-1)大鼠心肌细胞

CEL      鸡胚原代肝细胞

D3(D-3),129小鼠ES细胞

E14(E-14)129小鼠ES细胞

B/c-ES,BALB/c小鼠ES细胞

MSCS(曹)猴的骨髓间充质细胞

SDBMSC,SD大鼠骨髓间充质细胞

Renca小鼠肾癌细胞

B95-8绒猴EBV转化的白细胞  

Beta-TC-6小鼠胰岛素瘤胰岛β细胞

C127小鼠乳腺肿瘤细胞

F9小鼠畸瘤细胞

P19小鼠畸瘤细胞   

FO小鼠骨髓瘤细胞

RH-35大鼠肝癌细胞     

SAC-ⅡB2小鼠腹水瘤细胞        

SAC-ⅡC3小鼠腹水瘤细胞        

SHZ-88大鼠乳腺癌细胞

L6565小鼠白血病克隆细胞系

L1210小鼠白血病细胞                             

LLC小鼠肺癌细胞 

MFC小鼠胃癌细胞

MLTC-1小鼠睾丸间质细胞瘤细胞

Neuro-2a [N2a]小鼠脑神经瘤细胞

 

 

动特特殊细胞

 

PA317-GFP 转染入GFP基因的PA317细胞(GFP-绿色荧光蛋白)

CHO-AA8转入Tet-off调控,含EGFP基因的CHO细胞

COS-7(COS 7)非洲绿猴SV40转化的肾细胞 

COS-1(COS1)非洲绿猴SV40转化的肾细胞

 

动物淋巴细胞

CTLL-2小鼠T细胞

DT40鸡淋巴瘤细胞 

EL4小鼠淋巴瘤细胞            

EL4.IL-2小鼠淋巴瘤细胞

MR1 [derivative of HB-11048]中国仓鼠X小鼠B淋巴细胞杂交瘤

P388D1(P-388-D1,P388-D1)小鼠淋巴样瘤细胞

WEHI 231小鼠B淋巴细胞 

 

其他

 

35.1杂交瘤细胞抗CD2

AE-1杂交瘤细胞抗AChE

AE-2杂交瘤细胞抗AChE

Chang liver人张氏肝细胞

PC 61 5.3 [PC 61; PC 61.5.3]杂交瘤细胞CD25

Human Cell line 1D3人类粒细胞系

OKT 11杂交瘤细胞抗

HUVEC人脐静脉血管内皮细胞

CEM-C7人外周血急性淋巴细胞白血病

MH7A类风湿关节炎滑膜成纤维细胞  

PC14/B肺癌细胞株   

H226br肺癌细胞  

N9小鼠小胶质细胞      

HVSMC人血管平滑肌细胞

bEnd.3小鼠脑微血管内皮细胞  

capan-1胰腺癌细胞   

BJ 人皮肤成纤维细胞

c2c12人肌肉成纤维细胞瘤细胞

HT29人结肠癌细胞

me7o 白血病细胞

MLE-12小鼠肺上皮细胞

NCTC1469 小鼠正常肝细胞

RA FLSs 类风湿关节炎成纤维样滑膜细胞

GES-1 人胃粘膜细胞

MGC-803 人胃腺癌细胞

YTMLC-90人肺鳞癌细胞

HLEC 人淋巴内皮细胞

HPMEC 人肺微血管内皮细胞

牛子宫内膜上皮细胞

FHC人正常结直肠粘膜细胞   

HCM 人心肌细胞

HSkMC人骨骼肌细胞

HT22海马神经元细胞系  
RGC-5视网膜神经节细胞

HRMC人肾小球系膜细胞

SNK6  NK/T细胞淋巴瘤

McCoy 小鼠成纤维细胞系                              

H4IIE 大鼠肝癌细胞

GC-1 spg 小鼠精原细胞系                                    

GC-2 spd 小鼠精母细胞系    

U973 组织淋巴瘤细胞

rmc-1鼠视网膜muller细胞   

MHCC97H人高转移性肝癌细胞

Colon26 小鼠结肠癌细胞

HepaRG人肝癌细胞     

HEEC 人正常食管上皮细胞                      

AML12  小鼠正常肝细胞

SUM159  乳腺癌细胞  

SW962 人阴户磷癌细胞 
INS-1 大鼠胰岛细胞     

Pt K2袋鼠肾细胞

RPE人视网膜色素上皮细胞

U266人骨髓瘤细胞 

BAEC牛主动脉内皮细胞               

A20 小鼠B细胞淋巴瘤细胞     

PK15猪肾细胞系 

KYSE-30 人食管鳞癌细胞                      

DF-1  鸡胚成纤维细胞                                 

HRPEpiC人视网膜色素上皮细胞

HOPC人少突胶质前体细胞-贴壁生长 

HMC-1人肥大细胞株                                           

Het-1A人食管上皮细胞

SK-N-AS人神经母细胞瘤细胞

RASMC大鼠主动脉平滑肌细胞 

RBSMC大鼠脑动脉平滑肌细胞 

MRMT-1大鼠乳腺癌细胞           

HPASMC人肺动脉平滑肌细胞  

DOHH-2人胸腔积液滤泡中心母细胞淋巴瘤细胞

SC-1小鼠胚细胞

WPE-int人正常前列腺上皮细胞
HaCAT人永生化表皮细胞    

HSF人皮肤成纤维细胞株  

CATH.a神经元细胞  

SUP-M2人类间变性大细胞淋巴

M059J人神经胶质瘤细胞系 、

LN-18人神经胶质瘤细胞系

K1人甲状腺癌细胞  

BCPAP人甲状腺癌乳头状细胞   

WPMY-1  

NCI-H2347

TC-1 小鼠肺上皮细胞

CCD-18Co正常人结肠组织细胞    

TPC-1人乳头瘤状甲状腺癌细胞    

M5白血病细胞

Hs27人包皮皮肤成纤维细胞

HPDLF人牙周膜成纤维细胞  

HAmEpiC人羊膜上皮细胞

VSC4.1脊髓前角运动神经元瘤细胞系

HBVSMC 人脑血管平滑肌细胞  

MDCC-MSB-1鸡淋巴细胞

BCECs 鼠脑微血管内皮细胞  

IEC-6大鼠小肠上皮细胞系  

MUTZ-1人骨髓增生异常综合征(MDS)细胞 

SUDHL-5弥漫大D细胞淋巴瘤

MM1S骨髓瘤细胞株

MOVAS 小鼠主动脉血管平滑肌细胞                        

MIApaca-2胰腺癌细胞

IPEC-J2 猪小肠上皮细胞 

HOSEpiC人卵巢上皮细胞

SW837直肠癌细胞   

BJAB人B细胞淋巴瘤细胞 

SKM-1人骨髓增生异常综合征细胞株

3T3F442A小鼠脂肪细胞

IMCD3小鼠肾脏内髓集合管3上皮细胞 

C666-1鼻咽癌细胞

C8-D1A 小鼠脑星形细胞   

WEHI 164 小鼠纤维肉瘤细胞

LADMAC小鼠骨髓淋巴细胞  

SUNE-1 6-10-B鼻咽癌人亚株细胞

SUNE-1 5-8F鼻咽癌人亚株细胞

SBC-5   小细胞肺癌细胞

16HBE  人支气管上皮细胞

HS505.T 人淋巴结成纤维样细胞  

H226人肺癌细胞 

SJCRH30 [RC13; RMS 13; SJRH30](人骨髓横纹肌肉癌细胞)

NCI-H1975人非小细胞肺腺癌细胞

WSU-FSCCL滤泡淋巴瘤细胞株 

HNEpC人鼻粘膜上皮细胞

HBZY-1大鼠肾小球系膜细胞  

HHORSC人毛囊外根鞘细胞

HHDPC人毛乳头细胞

K562人慢性髓原白血病细胞

FTC-133甲状腺癌细胞株    

PT67小鼠逆转录病毒包装细胞

HSC-T6鼠肝星形细胞

PC-9人腺癌细胞

OE33人食管腺癌细胞

MC-SV-HUC T-2人输尿管肿瘤细胞

RT4人膀胱移行癌细胞

BNL 1NG A.2 小鼠胚肝细胞

BV173 人外周血B细胞白血病 

MLO-Y4 骨细胞

STC-1 小肠内分泌细胞系细胞

HFLS人成纤维样滑膜细胞

Hs917.T 人腮腺成纤维细胞 

OKT3总T淋巴细胞   

RINm5f大鼠胰岛β细胞  

NCM460正常结肠上皮细胞      

HLEB3人晶状体上皮细胞

MKN74胃癌细胞  

WSU-DLCL2淋巴瘤细胞

H441  人肺腺癌细胞

RMG-I人卵巢癌细胞

NP69鼻咽上皮细胞

BEP2D人永生化支气管上皮细胞

OC316人卵巢癌细胞

TGBC11TKB人胃癌细胞 
OVTOKO人卵巢癌细胞 

LCC1人乳腺癌细胞

TR146食管鳞状癌细胞 

SRBR3人乳腺癌细胞    
preB-697前B淋巴细胞
AC29鼠恶性间皮瘤细胞
OMC-1人眼脉络膜黑色素瘤细胞
CHP-126人成神经细胞瘤
NH-6人肾上腺神经母细胞瘤
SKG-IIIa人宫颈癌细胞
UPCI-SCC-090人口腔鳞癌细胞
HEC-251人子宫内膜细胞
HEC-151人子宫内膜癌细胞
PFSK-1人恶性胚瘤细胞
NALM-6人B淋巴白血病细胞  
SUDHL6人巨细胞B淋巴瘤细胞
HCFB 人心肌成纤维细胞
OCI-LY7 人B淋巴瘤细胞
NBL-S 人神经母细胞瘤细胞

SK-N-BE(2)人神经母细胞瘤细胞

1301  人急性T淋巴细胞

ME 口腔黑色素瘤细胞

CCC-HHM-2人胚心肌组织来源细胞

EMT6小鼠乳腺癌细胞    

CAL-120 人乳腺癌细胞  
FU-OV-1 人卵巢癌细胞  
HCC-78 人肺腺癌细胞  
L-540 Hodgkin淋巴瘤细胞  

BE3 食道癌细胞     高

HuCCT1胆管上皮癌细胞  

LIM1215结直肠癌细胞

H3255 肺癌细胞

MV4-11   急性单核细胞白血病细胞  

MONOMAC6  急性单核细胞白血病细胞

LCLC-97TM1 人肺癌细胞

HDLM-2  霍洁金淋巴瘤细胞

NCCIT  人畸瘤细胞

SW1222 人结肠癌细胞

H1563 人非小细胞肺癌 

H522 人肺腺癌细胞

H1437  人肺腺癌细胞

H2126  人肺癌细胞

SCC-25 人舌磷癌细胞

LXF-289 人肺腺癌细胞

WB-F344 大鼠肝上皮样细胞

So18 小鼠骨骼肌成肌细胞

TK-1 小鼠T淋巴瘤细胞  

MC/9 小鼠肥大氏细胞

panc03.27 人胰腺癌细胞

HS776T  人胰腺癌细胞

su.86.86 人胰腺导管癌细胞

HCEC-B4G12 人角膜内皮细胞

H1648 人肺淋巴癌细胞

PL-45 人胰腺癌细胞

MH-S 小鼠肺泡巨噬细胞  

SACC83腮腺囊癌细胞

hCMEC/D3永生化人脑微血管内皮细胞株  

OVCA432人卵巢癌细胞株

SU-DHL-4 人B淋巴瘤细胞

HIPAH-SMC 人原发性高血压平滑肌细胞

NGP 神经母细胞瘤细胞

CAL-33 人舌磷癌细胞

CAL-85-1 人乳腺癌细胞    

RAOEC大鼠血管内皮细胞

DAN-G  人胰腺癌细胞

HUP-T4 人胰腺癌细胞

PA-TU-8988S 人胰腺癌细胞(3周左右)

MIN-6  小鼠胰岛素瘤细胞

KU-19-19 人膀胱癌细胞

KCL-22  慢性髓样白血病细胞(1周左右)

EFM-19  人乳腺癌细胞(3周左右)

HCEC-12 人角膜内皮细胞
OCI-LY1 人B淋巴细胞
SCC-090 人口腔鳞癌细胞
CAL-62 人甲状腺癌细胞
CAL-12T 人非小细胞肺腺癌
CL-11 人结肠癌细胞
KE-37 人T淋巴瘤细胞
697 人前B淋巴瘤细胞
PF-382  人T淋巴瘤细胞
RH-30  人横纹肌肉瘤细胞
GM12878  人B淋巴细胞  
MOLP-2  人多发性骨髓瘤细胞
TCC-PAN2 人腹水转移癌细胞
VM-CUB1 人膀胱癌细胞
MHCC97L 人肝癌细胞   
NT2/D1 人畸瘤细胞
HUP-T3 人胰腺癌细胞
KELLY 人神经母细胞瘤   
BE(2)M17 人成神经细胞瘤
CHP-100 人成神经细胞瘤
BE2C  人神经母细胞瘤
SNU-869 人胆管癌细胞   
OAW42  人卵巢癌细胞
SLMT-1 人食管鳞癌细胞
ESC-410 人食管癌细胞
KYSE-70 人食管癌细胞 
KOPN-8 人前B淋巴瘤细胞
GP5d 人结肠腺癌细胞
293FT 人胚肾细胞
NRK-49F 大鼠纤维样肾细胞  

NSCF正常人瘢痕成纤维细胞

HSF人增生性瘢痕成纤维细胞,

LAN-1 人神经母细胞瘤细胞
UM-UC-3 人膀胱移行癌细胞  
G-292 人骨肉瘤细胞
SUSM-1 人肺成纤维细胞
KMST-6 人胚成纤维细胞
GM0637  人皮肤成纤维细胞
LX-2  人肝星状细胞
ARPE-19 人视网膜上皮细胞   
LP-1 人多发性骨髓瘤白血病细胞
GH3  大鼠垂体瘤细胞      

CAKI-2人肾癌细胞

HMrSV5 人腹膜间皮细胞

HUM-CELL-0116 人腹膜微血管内皮细胞

HPDE6-C7人正常胰腺导管上皮细胞系  

T98G 人脑胶质细胞瘤

HRGEC 人肾小球内皮细胞

HEK293A人胚肾细胞

COV434人卵巢颗粒细胞株

UM-UC-1 膀胱移行癌细胞 

SW780   膀胱移行癌细胞 

TCCSUP  膀胱移行癌细胞 

HT-1376 膀胱癌细胞     

HAEC  人主动脉内皮细胞

C4-2前列腺癌细胞

BAr-T人食管上皮细胞
FBHE牛心内皮细胞
HCC-15人肺癌细胞
EPLC-272H人肺磷癌细胞
BB19人脑血管内皮细胞
DAKiKi人B淋巴细胞           
KBM5 人慢性髓细胞白血病         
SF-539BT 人胶质瘤细胞
NCI-H1993 人肺腺癌细胞
U373 人星型胶质瘤
U343 人神经母细胞    

CCD-1112sk 人包皮成纤维细胞      

MA小鼠星型胶质细胞

HOK正常口腔上皮角质细胞

BV2小鼠小胶质细胞

OE19 人食管癌细胞
Mc57G 鼠纤维肉瘤细胞
NSC-34 鼠神经元细胞 
CCLP-1 人胆管癌细胞
MDCK-2 狗肾细胞
C1498 鼠白血病细胞
MKN-1 人胃癌细胞
MKN-7 人胃癌细胞
MKN-28 人胃癌细胞
SNU-16 人胃癌细胞
RT-112 人膀胱癌细胞
KYSE140 人食管磷癌细胞   
IPI-2I  猪回肠上皮细胞    

Nthy-ori 3-1  人甲状腺正常细胞 

B16-F10小鼠皮肤黑色素瘤细胞

MCA38 小鼠结肠癌细胞

HCoEpiC 人正常结肠上皮细胞  

HMSC 人骨髓间充质干细胞     

HCECs 人角膜上皮细胞

STO 鼠胚成纤维细胞

IGROV-1  人卵巢癌细胞 

KM12  人结肠癌细胞   

HpAEpic 人肺泡上皮细胞 

EOMA   鼠血管瘤细胞    

WM-35 人黑色素瘤细胞  

CCD-966SK人类皮肤纤维母细胞

8505C甲状腺细胞

HMVEC-L人肺微血管内皮细胞

CBRH-7919  大鼠肝癌细胞

IAR20大鼠肝细胞

SNU216人胃癌细胞 

MOLT-3淋巴细胞白血病细胞

WEHI-3B 小鼠髓样单核白血病细胞系

CT-26小鼠大肠癌细胞

LN18人脑胶质瘤细胞

PMVECs大鼠肺微血管内皮细胞

ARO甲状腺癌细胞   

NPA人甲状腺乳头状癌细胞  

NCI-H2170 肺鳞状细胞

U138人脑胶质瘤细胞

BALL-1人B淋巴细胞急性白血病细胞

HPF正常成人肺成纤维细胞

RC-4B/C 垂体瘤细胞

N1E-115 小鼠神经母细胞瘤细胞  

SU-DHL-2弥漫性组织淋巴瘤细胞 
OCI-LY19弥漫大B细胞淋巴瘤细胞   
OCI-LY10弥漫大B细胞淋巴瘤细胞  
H1672小细胞肺癌细胞
U2932弥漫大B细胞淋巴瘤细胞  

EAC小鼠艾氏腹水瘤细胞

HIEC正常人肠上皮细胞

Ishikawa人子宫内膜癌细胞

WML2小鼠肺成纤维细胞

Lewis小鼠肺癌细胞   

HBMEC人脑微血管内皮细胞     

HMEC 人k
HMEC-1 人微血管内皮细胞 
HFLS-OA 人滑膜关节炎成纤维
HUVEC-12 人脐静脉内皮细胞
3AO 人卵巢癌细胞
GL261小鼠胶质细胞  
MLg 小鼠肺成纤维细胞

Kuffer肝枯否细胞

CCRF-SB人B淋巴瘤细胞

SK-MEL-31 人皮肤恶性黑色素瘤细胞
SK-MEL-28人皮肤恶性黑色素瘤细胞

BEND 牛子宫内膜上皮细胞

OCI-AML2人急性髓系白血病细胞

SHP-77人肺癌细胞

XM13A1人骨骼肌细胞

HEM-l人表皮黑素细胞
KM-12-SM 结肠癌肝转移细胞

HTB-169(WERI-RB-1)人视网膜母细胞肿廇细胞

SUP-B15人骨髓急性淋巴白血病细胞

Kasumi-1人外周血急性髓细胞白血病细胞
Colo738胸腔积液恶性纤维组织细胞瘤

CAL-51人乳腺癌细胞

F-36P骨髓增生异常综合征细胞(MDS)

UMR106大鼠骨肉瘤细胞

HFLS-RA 类风湿关节炎成纤维样滑膜细胞       

SCC-15人舌磷癌细胞 

SCC-4人舌磷癌细胞

NS2OY小鼠神经母细胞瘤细胞

RPMI2650人鼻腔上皮细胞   

WM451人黑色素瘤细胞

HSC大鼠肝星状细胞

SW1088脑星型胶质瘤细胞

AZ521 胃癌细胞

NUGC3胃癌细胞

SNU182肝癌细胞

SNU398人肝癌细胞   

SNU475人肝癌细胞

SW982人滑膜肉瘤细胞

HUH28人胆管癌细胞  
NE-4C鼠神经干细胞样细胞

A-498 人肾癌细胞      

HUAEC 人脐带动脉内皮细胞

GT1-1鼠垂体瘤细胞

SHEE永生化食管上皮细胞

Nb2-11小鼠淋巴瘤细胞                

OCM-1人眼脉络黑色素瘤细胞      

HL-1心房肌细胞                 

SW1417人结肠癌细胞
SW48 人结肠癌细胞
CCD 841 CoN人正常结肠上皮细胞    

McA-RH7777大鼠肝癌细胞

LA-4鼠肺癌细胞 
KLN205鼠肺磷癌细胞 

KFB人肾成纤维细胞
HUVSMC人脐静脉平滑肌细胞

KATOⅢ人胃癌细胞  

H1385

H1437

KLM1胰腺癌细胞

Farage 人B淋巴瘤细胞 

A2058黑色素瘤细胞    

TFK-1胆管癌细胞     

J82膀胱癌细胞

GIST-T1胃肠道间质瘤细胞株

SK-MEl-5 

HLMVEC

HUMSC 人脐带间充质干细胞

BMSC  人骨髓间充质干细胞

BPH-1人前列腺增生细胞

HepA1-6小鼠肝癌细胞

FM88人黑色素瘤细胞

L615小鼠T淋巴细胞白血病细胞株

hTERT RPE-1人视网膜色素上皮细胞

NCI-H524人非小细胞肺癌细胞

GLAG-66 人乳头状甲状腺癌细胞
C17.2 鼠神经前体细胞

HBVAF 人脑血管外膜成纤维细胞

SEM 人前B淋巴白血病细胞

PG-4猫星形脑胶质细胞

KMY1036 EB病毒转化的人B淋巴细胞

HA1800正常星形胶质细胞

hRMECs人视网膜微血管内皮细胞

RBMVEC  大鼠脑微血管内皮细胞

HBL-100 人乳腺上皮细胞

HLEpiC人晶状体上皮细胞

NOMO1

RPMI-7951黑色素瘤细胞

OUMS-23结肠癌细胞

WiDr人大肠癌细胞

HIBEpic人肝内胆管上皮细胞

MIN6小鼠胰岛瘤细胞

QBC939人胆管癌细胞

RPMI6666 何杰金淋巴瘤细胞

ST猪睾丸传代细胞

RC-4BC垂体瘤细胞

CHO-K1中国仓鼠卵巢细胞

SVEC4 

HCAEC 人类冠状动脉内皮细胞

MN9D小鼠中脑多巴胺能神经元细胞

Pfeiffer 人弥漫性大细胞淋巴瘤B淋巴细胞

MARC-145猴肾细胞

MC3T3-E1 小鼠胚成骨细胞

MDA-MB-361 人乳腺癌细胞
SUP-B1人Ph+急淋白血病细胞
MSTO-211H人肺癌细胞

Karpas-299

HDLEC 细胞

HTR8-SVneo人绒毛膜滋养层细胞

KYSE410人食管癌细胞

KYSE450人食管癌细胞

KYSE520人食管癌细胞

FRH-0201人胆管癌细胞

CMK细胞

RLE-6TN肺泡II型上皮细胞

KGN 人卵巢颗粒细胞瘤

HUASMC 人脐动脉血管平滑肌细胞

U118MG人胶质瘤细胞

F98大鼠胶质瘤细胞

BT20 人乳腺癌细胞

NIT-1小鼠胰岛素瘤β细胞

OCI-AML1

CaES-17食管癌细胞

SCL-1人皮肤鳞状细胞癌细胞

SUP-T1人T淋巴瘤细胞

L5178Y小鼠淋巴瘤细胞

SGC-996人胆囊癌细胞

GBC-SD 人胆囊癌细胞

H8人宫颈上皮永生化细胞

RGM-1正常胃粘膜上皮细胞

LAN-5神经母细胞瘤细胞

HDMEC 人皮肤毛细血管内皮细胞

OSC-19人舌鳞癌细胞

大鼠骨髓间充干分化来源的内皮祖细胞

TM4正常小鼠睾丸Sertoli细胞

M619人侵袭性脉络膜黑色素瘤细胞

MEC-1人粘液表皮样癌细胞

HCMEC人心脏微血管内皮细胞

HIT-T15仓鼠beta胰岛细胞

HCASMC人冠状动脉平滑肌细胞

EJ人膀胱癌细胞 

SW1990 人胰腺癌细胞

D283med人脑髓母细胞瘤细胞

以上细胞只是部分展示,如未有你找寻的细胞,请根据联系方式进行咨询购买,谢谢



SVG P12 Cells;

公司简介

我公司致力于肿瘤免疫药研发临床前CRO服务和科研转化服务的国家高新技术企业。为全国客户提供PDX肿瘤标本库、原代ATCC细胞及其它源细胞、动物实验、SCI润色等产品和服务。 近年来我司已累计申报专利30件+,获授权自主知识产权18件,发明专利已授权1件、实审3件、在申报3件。通过广泛与中山大学、广州中科院、广州医科大学,南方医科大学等深度合作,建立产学研联盟,为企业不断输送技术支持,奠定在同行业内的核心竞争力。 企业核心项目为“PDX模型、动物疾病模型及CRC原代细胞在抗肿瘤新药研发、临床个体化治疗中的应用”,目前拥有各类细胞株/系近千株,PDX肿瘤异体移植活体标本库近200个,各类动物疾病模型40多种,可满足各类抗肿瘤新药的筛选需求。 公司用于新冠研究的“一种SARS-CoV-2假病毒小鼠体内包装系统及其制备方法”发明专利(已授权),更是国际上首个,无需P3级实验室的新冠动物模型,对于新冠的疫苗开发和新药研发有极高应用价值。 我们将继续不断进取,把新技术更好更快的向临床转化应用,让科研成果更多的服务于社会大众,推动生命健康领域的发展。

成立日期 (3年)
注册资本 伍佰万元(人民币)
员工人数 50-100人
年营业额 ¥ 1000万-5000万
经营模式 贸易,工厂,试剂,定制,服务
主营行业 分子生物学,细胞生物学,生物技术服务,第三方检测技术服务,整体实验外包服务

人星形胶质细胞相关厂家报价 更多

内容声明
拨打电话 立即询价