基本信息 产品详情 公司简介 推荐产品
网站主页 化工产品目录 生物 细胞培养 细胞系 人细胞系 293 [HEK-293] 人胚肾细胞 293 [HEK-293] (人胚肾细胞)
  • 293 [HEK-293] (人胚肾细胞) (STR鉴定正确)
  • 293 [HEK-293] (人胚肾细胞) (STR鉴定正确)

1/2

293 [HEK-293] (人胚肾细胞) (STR鉴定正确)

293 [HEK-293]
1200 1株 起订
上海 更新日期:2026-04-03

上海沪震实业有限公司

VIP4年
联系人:鲍丽雯
电话:021-60345367拨打
手机:13916550749 拨打
邮箱:sales@shzbio.com

产品详情:

中文名称:
293 [HEK-293] (人胚肾细胞)
英文名称:
293 [HEK-293]
品牌:
HZBIO/沪震实业
产地:
上海
产品类别:
细胞生物学 细胞系
货号:
HZC-50001
规格:
1×10^6Cells/T25培养瓶
培养条件:
MEM,10%FBS;空气95%,二氧化碳5%;37℃培养
生长方式:
贴壁生长
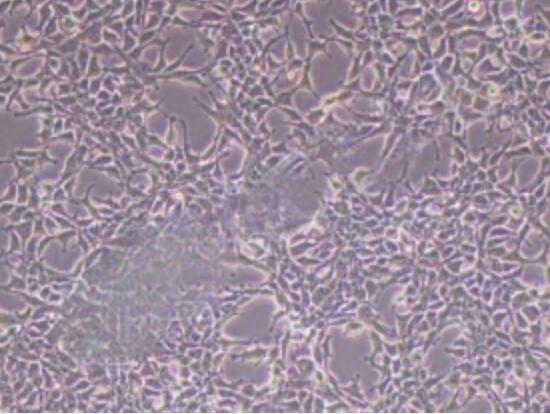
细胞形态:
上皮细胞样
种属:

293 [HEK-293] (人胚肾细胞)

产品信息

名称293 [HEK-293] (人胚肾细胞) (STR鉴定正确)
别称Hek293; HEK-293; HEK 293; HEK:293; 293; 293 HEK; Human Embryonic Kidney 293
背景描述293 [HEK-293]细胞是剪切过的人腺病毒5(Ad5)转染的人胚肾细胞形成的永生化细胞,293 [HEK-293]细胞包含并表达转染的Ad5基因。早期报道中指出,293 [HEK-293]细胞基因组中含有腺病毒5(Ad5)基因组的左侧端和右侧端的DNA,但是现在明确了只存在其左侧端的DNA。经过对Ad5的插入点的克隆测序发现,Ad5的1-4344位线性核苷酸整合入293 [HEK-293]细胞19号染色体(19q13.2)。293 [HEK-293]细胞为人类腺病毒载体扩增的宿主,可表达异常的玻连蛋白的细胞表面受体,由整合素β1亚单位和玻连蛋白受体α-v亚单位组成。
种属
年龄(性别)胚胎
组织来源肾;以腺病毒5DNA进行转化
生长特性贴壁细胞
细胞形态上皮细胞样
细胞类型转化细胞系
生物安全等级2
生长培养基MEM(ATCC改良)+10% FBS+1% P/S
推荐传代比例1:3-1:4
推荐换液频率2~3次/周
倍增时间~24-30 hours
冻存条件冻存液:55% 基础培养基+40%FBS+5%DMSO温度:液氮
培养条件气相:空气,95%;CO₂,5%温度:37℃
致瘤性Yes, forms tumors in nude mice.
受体表达情况vitronectin
注意事项该细胞贴壁松散,操作时请尽量轻柔;换液时需预热培养基;收货如有大块脱落的细胞团,为正常现象,请按照收货注意事项处理。
保藏机构ATCC; CRL-1573 ATCC: PTA-4488 DSMZ: ACC-305 ECACC: 85120602

本产品仅供科研使用。不能用于人和动物治疗等其它临床诊断使用!以实际收货产品说明书为准,网站说明书仅供参考。

293 [HEK-293](人胚肾细胞);293 [HEK-293];人胚肾细胞;

公司简介

上海沪震实业有限公司是一家集研发、生产和销售于一体的生命科学实验室产品生物科技企业。主营产品:试剂盒,ELISA试剂盒,抗体,重组蛋白,血清,胎牛血清,细胞,原代细胞 细胞培养试剂,常用生化试剂。

成立日期 (12年)
注册资本 100万元整
员工人数 10-50人
年营业额 ¥ 100万以内
经营模式 工厂,试剂,定制,服务
主营行业 生化试剂,细胞培养,蛋白组学,分子生物学,细胞生物学

293 [HEK-293] (人胚肾细胞)相关厂家报价

内容声明
拨打电话 立即询价