基本信息 产品详情 公司简介 推荐产品
网站主页 化工产品目录 生物 细胞培养 细胞系 AGS/人胃腺癌细胞 AGS(人胃腺癌细胞)
  • AGS人胃腺癌细胞(STR鉴定正确)

AGS人胃腺癌细胞(STR鉴定正确)

AGS
1350 1株 起订
上海 更新日期:2026-04-03

上海沪震实业有限公司

VIP4年
联系人:鲍丽雯
电话:021-60345367拨打
手机:13916550749 拨打
邮箱:sales@shzbio.com

产品详情:

中文名称:
AGS(人胃腺癌细胞)
英文名称:
AGS
产品类别:
细胞生物学 细胞系
货号:
HZC-50022
规格:
1×10^6Cells/T25培养瓶
培养条件:
气相:95%空气+5%二氧化碳;温度:37℃
生长方式:
贴壁生长
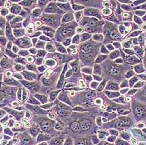
细胞形态:
上皮细胞样
种属:

AGS(人胃腺癌细胞)

产品基本信息

细胞名称:AGS,人胃癌细胞

种属来源:人

组织来源:胃

细胞形态:上皮细胞样

生长特性:贴壁生长

培养基::90%F12K+10%FBS+PS

生长条件:气相:95%空气+5%二氧化碳;温度:37℃

传代方法:1:2 至 1:3,每周 3 次

冻存条件:无血清冻存液,液氮储存

支原体检测:无

细胞培养操作

1)复苏细胞:将含有 1 mL 细胞悬液的冻存管在 37℃水浴中迅速摇晃解冻,加 4 mL 培养基混合均匀。在 1000 rpm 条件下离心 3 min,弃去上清液,加 1-2 mL 培养基后吹匀。然后将所有细胞悬液加入含适量培养基的培养瓶中培养过夜(或将细胞悬液加入 6 cm 皿中,加入约 4 mL培养基,培养过夜)。第二天换液并检查细胞密度。

2)细胞传代:如果细胞密度达 80%-90%,即可进行传代培养。

a、弃去培养上清,用不含钙、镁离子的 PBS 润洗细胞 1-2 次。

b、加 1 mL 消化液(0.25%Trypsin-0.02% EDTA)于培养瓶中,使消化液浸润所有细胞,将培养瓶置于 37℃培养箱中消化 1-3 min(视细胞情况而定),然后在显微镜下观察细胞消化情况,若细胞大部分变圆并脱落,迅速拿回操作台,轻敲几下培养瓶后加 2-3ml 完全培养基终止消化。轻轻打匀后装入无菌离心管中,1000 rpm 离心 5 min,弃去上清液,补加 1-2 mL 培养液后吹匀。

c、将细胞悬液按 1:2 比例分到新的含 8 mL 培养基的新皿中或者瓶中,置于培养箱中培养。

3)细胞冻存:待细胞生长状态良好时,可进行细胞冻存。下面 T25 瓶为例;

a、收集细胞及细胞培养液,装入无菌离心管中,1000 rpm 条件下离心 4 min,弃去上清液,用 PBS 清洗一遍,弃尽 PBS,进行细胞计数。

b、根据细胞数量加入无血清细胞冻存液,使细胞密度 5×106~1×107/mL,轻轻混匀,每支冻存管冻存 1mL 细胞悬液,注意冻存管做好标识。

c、将冻存管放入-80℃冰箱,24 h 后转入液氮灌储存。记录冻存管位置以便下次拿取。

培养注意事项

1. 收到细胞后首先观察细胞瓶是否完好,培养液是否有漏液、浑浊等现象,干冰运输的细胞检查干冰是否完全挥发,细胞是否解冻,若有上述现象发生请及时和我们联系。

2. 仔细阅读细胞说明书,了解细胞相关信息,如细胞形态、所用培养基、血清比例、所需细胞因子等,确保细胞培养条件一致,若由于培养条件不一致而导致细胞出现问题,责任由客户自行承担。

3. 用 75%酒精擦拭细胞瓶表面,显微镜下观察细胞状态。因运输问题,部分细胞由于温度变化及剧烈碰撞死亡破碎形成碎片,是正常现象。.观察好细胞状态后,75%酒精消毒瓶壁将T25 瓶置于 37℃培养箱放置 2-4h。

4. 贴壁细胞可以消化,悬浮细胞直接混匀收集细胞,900 rpm-1000 rpm 离心 3 min,弃上清。加 5 mL PBS 重悬细胞,再 900 rpm-1000 rpm 离心 3 min,,用新鲜的完全培养基重悬细胞,并接种到新的培养瓶或培养皿中,置于培养箱中进行培养。

5. 请客户用相同条件的培养基用于细胞培养。

6. 建议客户收到细胞后前 3 天各拍几张细胞照片,记录细胞状态,便于和我司技术部沟通交流。由于运输的原因,个别敏感细胞会出现不稳定的情况,请及时和我们联系,告知细胞的具体情况,以便我们的技术人员跟踪回访直至问题解决。

7. 该细胞仅供科研使用。

8. 备注:运输用的培养基(灌液培养基)不能再用来培养细胞,请换用按照说明书细胞培养条件新配制的完全培养基来培养细胞。 收到细胞后次传代建议 1:2 传代 。

9. 注意: 1:2 传代就是 1 个 T25 瓶传 2 个 T25 瓶或者 2 个 6cm 皿。不是 1 个 T25 瓶传 2 个10cm 皿。

本产品仅供科研使用。不能用于人和动物治疗等其它临床诊断使用!以实际收货产品说明书为准,网站说明书仅供参考。



AGS(人胃腺癌细胞);AGS;人胃腺癌细胞;胃腺癌;

公司简介

上海沪震实业有限公司是一家集研发、生产和销售于一体的生命科学实验室产品生物科技企业。主营产品:试剂盒,ELISA试剂盒,抗体,重组蛋白,血清,胎牛血清,细胞,原代细胞 细胞培养试剂,常用生化试剂。

成立日期 (12年)
注册资本 100万元整
员工人数 10-50人
年营业额 ¥ 100万以内
经营模式 工厂,试剂,定制,服务
主营行业 生化试剂,细胞培养,蛋白组学,分子生物学,细胞生物学

AGS(人胃腺癌细胞)相关厂家报价 更多

内容声明
拨打电话 立即询价