基本信息 产品详情 公司简介 推荐产品
网站主页 ID8-LUC(小鼠卵巢上皮癌细胞-荧光素酶标记) ID8-LUC(小鼠卵巢上皮癌细胞-荧光素酶标记)
  • ID8-LUC(小鼠卵巢上皮癌细胞-荧光素酶标记)
  • ID8-LUC(小鼠卵巢上皮癌细胞-荧光素酶标记)

1/2

ID8-LUC(小鼠卵巢上皮癌细胞-荧光素酶标记)

询价 1瓶/管 起订
福建 更新日期:2023-09-13

厦门逸漠生物科技有限公司

非会员
联系人:阿***
手机:189***
邮箱:223***

产品详情:

中文名称:
ID8-LUC(小鼠卵巢上皮癌细胞-荧光素酶标记)
产品类别:
细胞系 小鼠细胞系
货号:
IML-015
规格:
1×106cells/T25或1mL冻存管

  

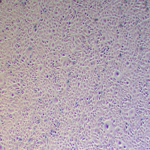
小鼠卵巢上皮癌细胞 ID8-LUC

  产品基本信息

  细胞名称:ID8-luc,小鼠卵巢上皮癌细胞-luc

       种属来源:小鼠

       组织来源:卵巢

  细胞形态:上皮细胞样

  生长特性:贴壁生长

  培养基:90% DMEM+10% FBS+双抗

  生长条件:气相:95%空气+5%二氧化碳;温度:37℃

  传代方法:1:2至1:3,每周 2-3次

  冻存条件:无血清冻存液,液氮储存

  支原体检测:无

     注:该细胞 puro 药筛浓度为 1.0ug/ml,培养过程中可不用再添加 puro,如若担心抗性随着 传代时间降低,可定期用 0.5ug/ml 浓度 puro 维持

  细胞培养操作

  1)复苏细胞:将含有1 mL细胞悬液的冻存管在 37℃水浴中迅速摇晃解冻,加4 mL培养基混合均匀。在1000 rpm条件下离心3 min,弃去上清液,加1-2 mL培养基后吹匀。然后将所有细胞悬液加入含适量培养基的培养瓶中培养过夜(或将细胞悬液加入6 cm皿中,加入约4 mL培养基,培养过夜)。第二天换液并检查细胞密度。

  2)细胞传代:如果细胞密度达80%-90%,即可进行传代培养。

  a、弃去培养上清,用不含钙、镁离子的PBS润洗细胞1-2次。

  b、加1 mL消化液(0.25%Trypsin-0.02%EDTA)于培养瓶中,使消化液浸润所有细胞,弃去消化液,将培养瓶置于37℃培养箱中消化1-3 min,然后在显微镜下观察细胞消化情况,若细胞大部分变圆并脱落,迅速拿回操作台,轻敲几下培养瓶后加少量培养基终止消化。

  c、按6-8 mL/瓶补加培养基,轻轻打匀后装入无菌离心管中,1000 rpm离心4 min,弃去上清液,补加1-2 mL培养液后吹匀。

  d、将细胞悬液按1:2比例分到新的含8 mL培养基的新皿中或者瓶中,置于培养箱中培养。

  3)细胞冻存:待细胞生长状态良好时,可进行细胞冻存。下面 T25 瓶为例;

  a、收集细胞及细胞培养液,装入无菌离心管中,1000 rpm条件下离心4 min,弃去上清液,用PBS清洗一遍,弃尽PBS,进行细胞计数。

  b、根据细胞数量加入无血清细胞冻存液,使细胞密度5×106~1×107/mL,轻轻混匀,每支冻存管冻存1mL细胞悬液,注意冻存管做好标识。

  c、将冻存管放入-80℃冰箱,24 h后转入液氮灌储存。记录冻存管位置以便下次拿取。

  培养注意事项

  1. 收到细胞后首先观察细胞瓶是否完好,培养液是否有漏液、浑浊等现象,干冰运输的细胞检查干冰是否完全挥发,细胞是否解冻,若有上述现象发生请及时和我们联系。

  2. 仔细阅读细胞说明书,了解细胞相关信息,如细胞形态、所用培养基、血清比例、所需细胞因子等,确保细胞培养条件一致,若由于培养条件不一致而导致细胞出现问题,责任由客户自行承担。

  3. 用75%酒精擦拭细胞瓶表面,显微镜下观察细胞状态。因运输问题,部分细胞由于温度变化及剧烈破碎形成碎片,是正常现象。.观察好细胞状态后,75%酒精消毒瓶壁将T25瓶置于37℃培养箱放置2-4h。

  4. 贴壁细胞可以消化,悬浮细胞直接混匀收集细胞,900 rpm-1000 rpm离心3 min,弃上清。加5 mL PBS重悬细胞,再900 rpm-1000 rpm离心3 min,,用新鲜的完全培养基重悬细胞,并接种到新的培养瓶或培养皿中,置于培养箱中进行培养。

  5. 请客户用相同条件的培养基用于细胞培养。

  6. 建议客户收到细胞后前3天各拍几张细胞照片,记录细胞状态,便于和我司技术部沟通交流。由于运输的原因,个别敏感细胞会出现不稳定的情况,请及时和我们联系,告知细胞的具体情况,以便我们的技术人员跟踪回访直至问题解决。

  7. 该细胞仅供科研使用。

  8. 备注:为防止回收培养基时操作造成污染,运输用的培养基(灌液培养基)建议不再用来培养细胞,请换用按照说明书细胞培养条件新配制的完全培养基来培养细胞。 收到细胞后传代建议1:2传代 。

  9. 注意: 1:2传代就是1个T25瓶传2个T25瓶或者2个6cm皿。不是1个T25瓶传2个10cm皿。

ID8-LUC(小鼠卵巢上皮癌细胞-荧光;ID8-LUC;ID8-LUC细胞;

公司简介

厦门逸漠生物科技有限公司(Xiamen Immocell Biotechnology Co.,Ltd.)坐落于厦门国家留学创业园(翔安)产业园,是一家专注于细胞生物学领域新产品、新技术开发的高新技术企业。公司产品涵盖:细胞系、原代细胞、标记细胞、耐药细胞、免疫细胞及胎牛血清、培养基、胰酶、双抗、无血清冷冻液、支原体/黑胶虫清除剂、细胞因子等产品,提供细胞形态和免疫相关检测、流式细胞检测 、细胞学服务、分子生物学检测等多种技术服务。 逸漠生物(IMMOCELL)拥有一支具有深厚造诣和丰富经验的高端技术人才,建设了高规格的研发实验室与生产车间,建立了规范的研发、生产、销售、客服管理体系。公司与国内外多家医院、高等院校、科研院所、生物医药公司建立了良好的合作关系,赢得了良好的市场声誉和广泛的客户认可,努力成为生命科学界可靠的合作伙伴和坚强的技术后盾。

成立日期 (7年)
注册资本 1000万
员工人数 50-100人
年营业额 ¥ 300万-500万
经营模式 试剂
主营行业 生化试剂,细胞培养

ID8-LUC(小鼠卵巢上皮癌细胞-荧光素酶标记)相关厂家报价

内容声明
拨打电话 立即询价