基本信息 产品详情 公司简介 推荐产品
网站主页 化工产品目录 生物 细胞培养 细胞系 人细胞系 COLO-201细胞系|人结肠癌细胞 COLO 201(人结直肠腺癌细胞)
  • COLO 201(人结直肠腺癌细胞)

COLO 201(人结直肠腺癌细胞)

COLO 201
1500 1株 起订
上海 更新日期:2026-04-21

上海沪震实业有限公司

VIP4年
联系人:鲍丽雯
电话:021-60345367拨打
手机:13916550749 拨打
邮箱:sales@shzbio.com

产品详情:

中文名称:
COLO 201(人结直肠腺癌细胞)
英文名称:
COLO 201
产品类别:
细胞生物学 细胞系
货号:
HZC-50268
规格:
1×10^6Cells/T25培养瓶
培养条件:
气相:空气,95%;CO2,5% 温度:37℃
生长方式:
半贴半悬
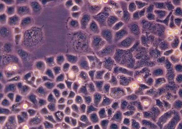
细胞形态:
成纤维细胞样
种属:

COLO 201(人结直肠腺癌细胞)

1.细胞起源:

细胞简称 COLO 201

细胞别称 Colo 201; Colo-201; COLO-201; COLO201; Colo201

细胞背景描述 COLO 201细胞源自一位70岁白人男性;COLO 201细胞CSAp(CSAp-)和CEA(CEA-)阴性。

供体年龄 男;70岁

组织来源 结肠;源自转移部位:腹水

细胞形态 成纤维细胞样

细胞类型 肿瘤细胞

肿瘤类型 肠癌细胞

生长特性 半贴半悬

生物安全等级 1

2.培养及保藏:

完全培养基 RPMI-1640(PM150110)+10% FBS(164210-50)+1% P/S(PB180120)

培养环境 空气,95%;CO 2,5%

37℃

冻存条件 55% 基础培养基+40%FBS+5%DMSO

液氮

3.传代方法:

传代步骤 

1、该细胞为半贴壁半悬浮细胞,悬浮细胞是活细胞,可用离心管收集细胞悬液后,于1200 rpm(250g左右)离心收集细胞;

2、部分贴壁不牢的细胞可直接吹起使之悬浮;

3、贴壁较牢固的细胞可用PBS润洗后,在培养瓶中加入1~2毫升0.25% 胰蛋白酶溶液(含EDTA)置于37℃培养箱中消化,待细胞变圆收缩后可用4~6 mL左右完全培养基进行终止消化,轻轻吹散细胞后离心搜集细胞;

4、将悬浮的细胞和贴壁的细胞收集到一起混匀后按比例接种到新的培养瓶。

传代比例(密度) 1:3-1:4

换液频次 2~3次/周

本产品仅供科研使用。不能用于人和动物治疗等其它临床诊断使用!以实际收货产品说明书为准,网站说明书仅供参考。

COLO 201(人结直肠腺癌细胞);COLO 201;人结直肠腺癌细胞;结直肠腺癌;

公司简介

上海沪震实业有限公司是一家集研发、生产和销售于一体的生命科学实验室产品生物科技企业。主营产品:试剂盒,ELISA试剂盒,抗体,重组蛋白,血清,胎牛血清,细胞,原代细胞 细胞培养试剂,常用生化试剂。

成立日期 (12年)
注册资本 100万元整
员工人数 10-50人
年营业额 ¥ 100万以内
经营模式 工厂,试剂,定制,服务
主营行业 生化试剂,细胞培养,蛋白组学,分子生物学,细胞生物学

COLO 201(人结直肠腺癌细胞)相关厂家报价 更多

  • Colo201
  • Colo201
  • 吉奥蓝图(广东)生命科学技术中心 VIP
  • 2026-04-17
  • 询价
内容声明
拨打电话 立即询价