基本信息 产品详情 公司简介 推荐产品
网站主页 化工产品目录 生物 细胞培养 原代细胞 人肺动脉成纤维细胞 人肺动脉成纤维细胞
  • 人肺动脉成纤维细胞

人肺动脉成纤维细胞

Human pulmonary artery fibroblasts
5880 1株 起订
上海 更新日期:2026-04-13

上海沪震实业有限公司

VIP4年
联系人:鲍丽雯
电话:021-60345367拨打
手机:13916550749 拨打
邮箱:sales@shzbio.com

产品详情:

中文名称:
人肺动脉成纤维细胞
英文名称:
Human pulmonary artery fibroblasts
品牌:
HZBIO/沪震实业
产地:
上海
产品类别:
细胞生物学 原代细胞
货号:
HZH-5006
规格:
5×10⁵Cells/T25培养瓶
培养条件:
气相:空气,95%;CO2,5%
生长特性:
贴壁
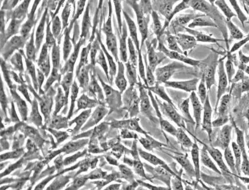
细胞形态:
成纤维细胞样
种属:

人肺动脉成纤维细胞

1.产品名称:人肺动脉成纤维细胞

2.组织来源:肺动脉组织

3.产品规格:5×105cells/T25细胞培养瓶

4.细胞简介:

人肺动脉成纤维细胞分离自肺动脉组织;肺动脉亦称肺动脉干。在呼吸空气的脊椎动物中,把静脉血由心脏导向肺脏的动脉。肺大动脉起于右心室,在主动脉之前向左上后方斜行,在主动脉弓下方分为左、右肺动脉,经肺门入肺。肺动脉干位于心包内,为一粗短的动脉干。起自右心室,在升主动脉前方向左后上方斜行,至主动脉弓下方分为左、右肺动脉。左肺动脉较短,在左主支气管前方横行,分二支进入左肺上、下叶。右肺动脉较长而粗,经升主动脉和上腔静脉后方向右横行,至右肺门处分为三支进入右肺上、中、下叶。成纤维细胞(Fibroblast)是疏松结缔组织的主要细胞成分,由胚胎时期的间充质细胞分化而来;成纤维细胞较大,轮廓清楚,多为突起的纺锤形或星形的扁平状结构,其细胞核呈规则的卵圆形,核仁大而明显。成纤维细胞功能活动旺盛,细胞质嗜弱碱性,具明显的蛋白质合成和分泌活动,在一定条件下,它可以实现跟纤维细胞的互相转化;成纤维细胞对不同程度的细胞变性、坏死和组织缺损的修复有着十分重要的作用。刚分离的肺动脉成纤维细胞呈圆形、折光性良好,悬浮于培养基中。30min细胞贴壁,其中部分开始伸出伪足,表现为小的突起;6h后细胞基本贴壁完全,伸展成梭形,胞核清晰,分布较均匀,散在生长,不聚集成团;细胞生长迅速,5-7天即呈融合状态,细胞排列紧密,有的交叉重叠生长,平坦、胞体较大,细胞质透明,细胞核较大,呈椭圆形,颜色淡。细胞融合,并彼此连接成网状;细胞呈突起的纺锤形或星形的扁平分布。肺动脉成纤维细胞在生理条件下的主要功能包括:构造和维持肺动脉的正常形态;合成和释放细胞外基质;组织损伤后及时大量聚集修复损伤组织。

5.方法简介:

实验室分离的人肺动脉成纤维细胞采用胰蛋白酶 - 胶原酶混合消化法结合差速贴壁法制备而来,细胞总量约为5×10⁵cells/瓶。

6.质量检测:

实验室分离的人肺动脉成纤维细胞经Vimentin免疫荧光鉴定,纯度可达90%以上,且不含有HIV-1、HBV、HCV、支原体、细菌、酵母和真菌等。

7.培养信息:

培养基含FBS、生长添加剂、Penicillin、Streptomycin等
换液频率每2-3天换液一次
生长特性贴壁
细胞形态成纤维细胞样
传代特性可传5代左右;3代以内状态
消化液0.25%胰蛋白酶
培养条件气相:空气,95%;CO2,5%

人肺动脉成纤维细胞体外培养周期有限;建议使用配套的专用生长培养基及正确的操作方法来培养,以此保证该细胞的培养状态。

本产品仅供科研使用。不能用于人和动物治疗等其它临床诊断使用!以实际收货产品说明书为准,网站说明书仅供参考。


人肺动脉成纤维细胞;肺动脉成纤维细胞;肺动脉成纤维;人;

公司简介

上海沪震实业有限公司是一家集研发、生产和销售于一体的生命科学实验室产品生物科技企业。主营产品:试剂盒,ELISA试剂盒,抗体,重组蛋白,血清,胎牛血清,细胞,原代细胞 细胞培养试剂,常用生化试剂。

成立日期 (12年)
注册资本 100万元整
员工人数 10-50人
年营业额 ¥ 100万以内
经营模式 工厂,试剂,定制,服务
主营行业 生化试剂,细胞培养,蛋白组学,分子生物学,细胞生物学

人肺动脉成纤维细胞相关厂家报价 更多

内容声明
拨打电话 立即询价