基本信息 产品详情 公司简介 推荐产品
网站主页 化工产品目录 生物 细胞培养 原代细胞 HBSMC 人支气管平滑肌细胞
  • 人支气管平滑肌细胞

人支气管平滑肌细胞

Human bronchial smooth muscle cells
5880 1株 起订
上海 更新日期:2026-04-03

上海沪震实业有限公司

VIP4年
联系人:鲍丽雯
电话:021-60345367拨打
手机:13916550749 拨打
邮箱:sales@shzbio.com

产品详情:

中文名称:
人支气管平滑肌细胞
英文名称:
Human bronchial smooth muscle cells
品牌:
HZBIO/沪震实业
产地:
上海
产品类别:
细胞生物学 原代细胞
货号:
HZH-5012
规格:
5×10⁵Cells/T25培养瓶
培养条件:
气相:空气,95%;CO2,5%
生长特性:
贴壁
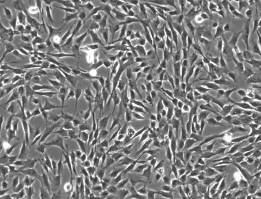
细胞形态:
成纤维细胞样
种属:

人支气管平滑肌细胞

1.产品名称:人支气管平滑肌细胞

2.组织来源:支气管组织

3.产品规格:5×105cells/T25细胞培养瓶

4.细胞简介:

人支气管平滑肌细胞分离自支气管组织;支气管(Bronchi),是指由支气管分出的各级分枝,由支气管分出的一级支气管,即左、右主支气管。左主支气管与右主支气管相比较,前者较细长,走向倾斜;后者较粗短,走向较前者略直,所以经支气管堕入的异物多进入右主支气管。支气管和支气管还有以区别就是,支气管是以“C”型的支气管软骨为支架,而支气管不是。支气管平滑肌细胞主要功能:①支气管平滑肌细胞能维持支气管张力,保持支气管形态;②支气管平滑肌特异的超微结构特点和调节机制是支气管正常生理功能的基础;③支气管平滑肌通过分泌细胞因子和趋化因子等促炎介质,发挥免疫调节功能。支气管平滑肌细胞原代分离培养3天后,可见细胞贴壁伸展,细胞形态大小不一,呈梭形、不规则形、三角形或扇形,核卵圆形、居中;2周后细胞汇合,多数细胞伸展呈长梭形,胞浆丰富,有分枝状突起,细胞平行排列成单层或部分区域多层重叠生长,高低起伏;细胞密度低时,常交织成网状;密度高时,则排列为旋涡状或栅栏状。传代后细胞生长较快,4-6天即可汇合,并保持上述形态学特征和生长特点。

5.方法简介:

实验室分离的人支气管平滑肌细胞采用胰蛋白酶 - 胶原酶联合消化法结合差速贴壁法制备而来,细胞总量约为5×10⁵cells/瓶。

6.质量检测:

实验室分离的人支气管平滑肌细胞经α-SMA免疫荧光鉴定,纯度可达90%以上,且不含有HIV-1、HBV、HCV、支原体、细菌、酵母和真菌等。

7.培养信息:

培养基含FBS、生长添加剂、Penicillin、Streptomycin等
换液频率每2-3天换液一次
生长特性贴壁
细胞形态成纤维细胞样
传代特性可传5代左右;3代以内状态
消化液0.25%胰蛋白酶
培养条件气相:空气,95%;CO2,5%

人支气管平滑肌细胞体外培养周期有限;建议使用配套的专用生长培养基及正确的操作方法来培养,以此保证该细胞的培养状态。

本产品仅供科研使用。不能用于人和动物治疗等其它临床诊断使用!以实际收货产品说明书为准,网站说明书仅供参考。


人支气管平滑肌细胞;支气管平滑肌细胞;支气管平滑肌;人;

公司简介

上海沪震实业有限公司是一家集研发、生产和销售于一体的生命科学实验室产品生物科技企业。主营产品:试剂盒,ELISA试剂盒,抗体,重组蛋白,血清,胎牛血清,细胞,原代细胞 细胞培养试剂,常用生化试剂。

成立日期 (12年)
注册资本 100万元整
员工人数 10-50人
年营业额 ¥ 100万以内
经营模式 工厂,试剂,定制,服务
主营行业 生化试剂,细胞培养,蛋白组学,分子生物学,细胞生物学

人支气管平滑肌细胞相关厂家报价 更多

  • HBSMC
  • HBSMC
  • 吉奥蓝图(广东)生命科学技术中心 VIP
  • 2026-04-03
  • 询价
内容声明
拨打电话 立即询价