基本信息 产品详情 公司简介 推荐产品
网站主页 化工产品目录 生物 细胞培养 原代细胞 人食管上皮细胞 人食管上皮细胞
  • 人食管上皮细胞

人食管上皮细胞

Human esophageal epithelial cells
5280 1株 起订
上海 更新日期:2026-04-17

上海沪震实业有限公司

VIP4年
联系人:鲍丽雯
电话:021-60345367拨打
手机:13916550749 拨打
邮箱:sales@shzbio.com

产品详情:

中文名称:
人食管上皮细胞
英文名称:
Human esophageal epithelial cells
品牌:
HZBIO/沪震实业
产地:
上海
产品类别:
细胞生物学 原代细胞
货号:
HZH-5031
规格:
5×10⁵Cells/T25培养瓶
培养条件:
气相:空气,95%;CO2,5%
生长特性:
贴壁
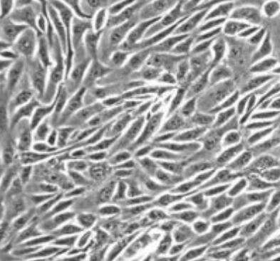
细胞形态:
上皮细胞样
种属:

人食管上皮细胞

1.产品名称:人食管上皮细胞

2.组织来源:食管组织

3.产品规格:5×105cells/T25细胞培养瓶

4.细胞简介:

人食管上皮细胞分离自食管组织;食管是咽和胃之间的消化管,食管在系统发生上起初很短,随着颈部的伸长和心肺的下降,而逐渐增长。食管可分为颈段、胸段和腹段。脊椎动物食管的颈段位于气管背后和脊柱前端,胸段位于左、右肺之间的纵膈内,胸段通过膈孔与腹腔内腹相连,腹段很短与胃相连。在发育过程中,食管的上皮细胞增殖,由单层变为复层,食管使管腔变狭窄,甚至一度闭锁,以后管腔又重新出现。哺乳动物的食管结构上由内向外分四层:黏膜层、黏膜下层、肌层和外膜。其中,黏膜层,包括上皮、固有层和黏膜肌层。上皮为较厚的未角化的复层扁平上皮,耐摩擦,有保护作用。在食管与胃贲门交界处,复层扁平上皮突然变成单层柱状上皮。食管被一层线性排列的、无角化、潮湿的复层扁平上皮细胞覆盖,其顶端细胞膜和细胞间连接复合体联合在一起产生有效渗透屏障,防止食管内容物的渗入。特别的是,层屏障使表层细胞的基质外侧细胞膜和深层细胞的全部细胞膜不暴露于食管腔内规律的大幅波动的渗透压之下。从组织学上讲,食管上皮由两层组成,基底层和分化层;其中,仅基底层的细胞可以增殖,然后向食管腔移行。移行过程伴随有分化的发生和分化标记的依序表达。食管上皮细胞的培养是研究食管正常生理机制和食管癌变机制的非常好的体外模型。

5.方法简介:

实验室分离的人食管上皮细胞采用机械分离法结合组织贴块法,并通过上皮细胞专用培养基培养筛选制备而来,细胞总量约为5×10⁵cells/瓶。

6.质量检测:

实验室分离的人食管上皮细胞经PCK免疫荧光鉴定,纯度可达90%以上,且不含有HIV-1、HBV、HCV、支原体、细菌、酵母和真菌等。

7.培养信息:

包被条件鼠尾胶原Ⅰ(2-5μg/cm2)
培养基含FBS、生长添加剂、Penicillin、Streptomycin等
换液频率每2-3天换液一次
生长特性贴壁
细胞形态上皮细胞样
传代特性可传2-3代
消化液0.25%胰蛋白酶
培养条件气相:空气,95%;CO2,5%

人食管上皮细胞体外培养周期有限;建议使用配套的专用生长培养基及正确的操作方法来培养,以此保证该细胞的培养状态。

本产品仅供科研使用。不能用于人和动物治疗等其它临床诊断使用!以实际收货产品说明书为准,网站说明书仅供参考。

人食管上皮细胞;食管上皮细胞;食管上皮;人;

公司简介

上海沪震实业有限公司是一家集研发、生产和销售于一体的生命科学实验室产品生物科技企业。主营产品:试剂盒,ELISA试剂盒,抗体,重组蛋白,血清,胎牛血清,细胞,原代细胞 细胞培养试剂,常用生化试剂。

成立日期 (12年)
注册资本 100万元整
员工人数 10-50人
年营业额 ¥ 100万以内
经营模式 工厂,试剂,定制,服务
主营行业 生化试剂,细胞培养,蛋白组学,分子生物学,细胞生物学

人食管上皮细胞相关厂家报价 更多

内容声明
拨打电话 立即询价