基本信息 产品详情 公司简介 推荐产品
网站主页 化工产品目录 生物 细胞培养 原代细胞 人肾成纤维细胞 人肾成纤维细胞
  • 人肾成纤维细胞

人肾成纤维细胞

Human renal fibroblasts
5880 1株 起订
上海 更新日期:2026-04-15

上海沪震实业有限公司

VIP4年
联系人:鲍丽雯
电话:021-60345367拨打
手机:13916550749 拨打
邮箱:sales@shzbio.com

产品详情:

中文名称:
人肾成纤维细胞
英文名称:
Human renal fibroblasts
品牌:
HZBIO/沪震实业
产地:
上海
产品类别:
细胞生物学 原代细胞
货号:
HZH-5072
规格:
5×10⁵Cells/T25培养瓶
培养条件:
气相:空气,95%;CO2,5%
生长特性:
贴壁
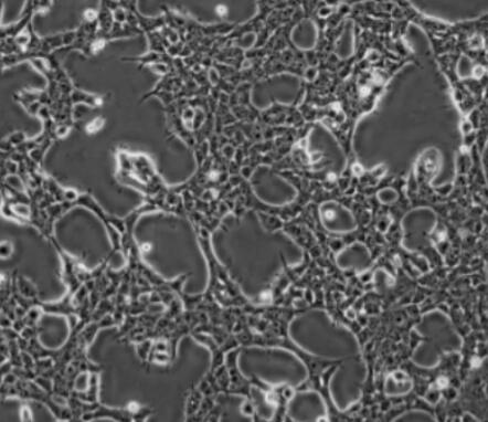
细胞形态:
成纤维细胞样
种属:

人肾成纤维细胞

1.产品名称:人肾成纤维细胞

2.组织来源:肾组织

3.产品规格:5×105cells/T25细胞培养瓶

4.细胞简介:

人肾成纤维细胞分离自肾组织;肾脏是机体的重要器官,它的基本功能是生成尿液,借以清除体内代谢产物及某些废物、毒物,同时经重吸收功能保留水份及其他有用物质,如葡萄糖、蛋白质、氨基酸、钠离子、钾离子、碳酸氢钠等,以调节水、电解质平衡及维护酸碱平衡。肾脏同时还有内分泌功能,生成肾素、促红细胞生成素、活性维生素D3、前列腺素、激肽等,又为机体部分内分泌激素的降解场所和肾外激素的靶器官。肾脏的这些功能,保证了机体内环境的稳定,使新陈代谢得以正常进行。成纤维细胞(Fibroblast)是疏松结缔组织的主要细胞成分,由胚胎时期的间充质细胞分化而来。成纤维细胞较大,轮廓清楚,多为突起的纺锤形或星形的扁平状结构,其细胞核呈规则的卵圆形,核仁大而明显。成纤维细胞功能活动旺盛,细胞质嗜弱碱性,具明显的蛋白质合成和分泌活动,在一定条件下,它可以实现跟纤维细胞的互相转化;成纤维细胞对不同程度的细胞变性、坏死和组织缺损以及骨创伤的修复有着十分重要的作用。肾成纤维细胞是肾脏结缔组织中最重要的细胞类型,在体外培养中,一般大致成梭形、多角形或不规则形等,为贴壁生长型细胞。刚分离的肾成纤维细胞呈圆形、折光性良好,悬浮于培养基中。30min细胞贴壁,其中部分开始伸出伪足,表现为小的突起;6h后细胞基本贴壁完全,伸展成梭形,胞核清晰,分布较均匀,散在生长,不聚集成团;细胞生长迅速,5-7天即呈融合状态,细胞排列紧密,有的交叉重叠生长,平坦、胞体较大,细胞质透明,细胞核较大,呈椭圆形,颜色淡。细胞融合,并彼此连接成网状;细胞呈突起的纺锤形或星形的扁平分布。其主要功能有:①组成过滤屏障内壁的重要部分;②在炎症和致血栓物质的刺激合成必要的生物活性分子;③受损后影响系膜细胞和上皮细胞,进而影响肾脏病变。

5.方法简介:

实验室分离的人肾成纤维细胞采用胰蛋白酶 - 胶原酶混合消化法结合差速贴壁法制备而来,细胞总量约为5×10⁵cells/瓶。

6.质量检测:

实验室分离的人肾成纤维细胞经Vimentin免疫荧光鉴定,纯度可达90%以上,且不含有HIV-1、HBV、HCV、支原体、细菌、酵母和真菌等。

7.培养信息:

培养基含FBS、生长添加剂、Penicillin、Streptomycin等
换液频率每2-3天换液一次
生长特性贴壁
细胞形态成纤维细胞样
传代特性可传5代左右;3代以内状态
消化液0.25%胰蛋白酶
培养条件气相:空气,95%;CO2,5%

人肾成纤维细胞体外培养周期有限;建议使用配套的专用生长培养基及正确的操作方法来培养,以此保证该细胞的培养状态。

本产品仅供科研使用。不能用于人和动物治疗等其它临床诊断使用!以实际收货产品说明书为准,网站说明书仅供参考。

人肾成纤维细胞;肾成纤维细胞;肾成纤维;人;

公司简介

上海沪震实业有限公司是一家集研发、生产和销售于一体的生命科学实验室产品生物科技企业。主营产品:试剂盒,ELISA试剂盒,抗体,重组蛋白,血清,胎牛血清,细胞,原代细胞 细胞培养试剂,常用生化试剂。

成立日期 (12年)
注册资本 100万元整
员工人数 10-50人
年营业额 ¥ 100万以内
经营模式 工厂,试剂,定制,服务
主营行业 生化试剂,细胞培养,蛋白组学,分子生物学,细胞生物学

人肾成纤维细胞相关厂家报价 更多

内容声明
拨打电话 立即询价