基本信息 产品详情 公司简介 推荐产品
网站主页 化工产品目录 生物 细胞培养 原代细胞 人主动脉平滑肌细胞 人主动脉平滑肌细胞
  • 人主动脉平滑肌细胞

人主动脉平滑肌细胞

Human aortic smooth muscle cells
8880 1株 起订
上海 更新日期:2026-04-13

上海沪震实业有限公司

VIP4年
联系人:鲍丽雯
电话:021-60345367拨打
手机:13916550749 拨打
邮箱:sales@shzbio.com

产品详情:

中文名称:
人主动脉平滑肌细胞
英文名称:
Human aortic smooth muscle cells
品牌:
HZBIO/沪震实业
产地:
上海
产品类别:
细胞生物学 原代细胞
货号:
HZH-5081
规格:
5×10⁵Cells/T25培养瓶
培养条件:
气相:空气,95%;CO2,5%
生长特性:
贴壁
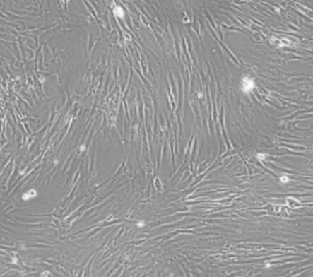
细胞形态:
成纤维细胞样
种属:

人主动脉平滑肌细胞

1.产品名称:人主动脉平滑肌细胞

2.组织来源:主动脉组织

3.产品规格:5×105cells/T25细胞培养瓶

4.细胞简介:

人主动脉平滑肌细胞分离自主动脉组织;主动脉是体循环的动脉主干。其运行路径为:升主动脉起于左心室,至右侧第2胸肋关节高度移行为主动脉弓,弓行向左后至第4胸椎体下缘移行为降主动脉;在第12胸椎体高度穿膈的主动脉裂孔移行为腹主动脉,以上为胸主动脉,至第4腰椎体下缘分为左、右髂总动脉;髂总动脉在骶髂关节高度分为髂内、外动脉。主动脉平滑肌细胞原代分离培养3天后,可见细胞贴壁伸展,细胞形态大小不一,呈梭形、不规则形、三角形或扇形,核卵圆形、居中;2周后细胞汇合,多数细胞伸展呈长梭形,胞浆丰富,有分枝状突起,细胞平行排列成单层或部分区域多层重叠生长,高低起伏;细胞密度低时,常交织成网状;密度高时,则排列为旋涡状或栅栏状。传代后细胞生长较快,4-6天即可汇合,并保持上述形态学特征和生长特点。主动脉平滑肌细胞在心血管疾病发生、发展中具有重要作用,以主动脉平滑肌细胞为实验研究对象,探讨心血管疾病相关发病机制是目前研究的热点;体外培养的主动脉平滑肌细胞对于研究其生理功能、药物作用以及各种致病因素作用下的病理生理改变具重要意义。

5.方法简介:

实验室分离的人主动脉平滑肌细胞采用胰蛋白酶 - 胶原酶联合消化法结合差速贴壁法制备而来,细胞总量约为5×10⁵cells/瓶。

6.质量检测:

实验室分离的人主动脉平滑肌细胞经α-SMA免疫荧光鉴定,纯度可达90%以上,且不含有HIV-1、HBV、HCV、支原体、细菌、酵母和真菌等。

7.培养信息:

培养基含FBS、生长添加剂、Penicillin、Streptomycin等
换液频率每2-3天换液一次
生长特性贴壁
细胞形态成纤维细胞样
传代特性可传5代左右;3代以内状态
消化液0.25%胰蛋白酶
培养条件气相:空气,95%;CO2,5%

人主动脉平滑肌细胞体外培养周期有限;建议使用配套的专用生长培养基及正确的操作方法来培养,以此保证该细胞的培养状态。

本产品仅供科研使用。不能用于人和动物治疗等其它临床诊断使用!以实际收货产品说明书为准,网站说明书仅供参考。

人主动脉平滑肌细胞;主动脉平滑肌细胞;主动脉平滑肌;人;

公司简介

上海沪震实业有限公司是一家集研发、生产和销售于一体的生命科学实验室产品生物科技企业。主营产品:试剂盒,ELISA试剂盒,抗体,重组蛋白,血清,胎牛血清,细胞,原代细胞 细胞培养试剂,常用生化试剂。

成立日期 (12年)
注册资本 100万元整
员工人数 10-50人
年营业额 ¥ 100万以内
经营模式 工厂,试剂,定制,服务
主营行业 生化试剂,细胞培养,蛋白组学,分子生物学,细胞生物学

人主动脉平滑肌细胞相关厂家报价 更多

内容声明
拨打电话 立即询价