基本信息 产品详情 公司简介 推荐产品
网站主页 化工产品目录 生物 细胞培养 原代细胞 人大隐静脉内皮细胞 人大隐静脉内皮细胞
  • 人大隐静脉内皮细胞

人大隐静脉内皮细胞

Endothelial cells of great saphenous vein
6680 1株 起订
上海 更新日期:2026-04-15

上海沪震实业有限公司

VIP4年
联系人:鲍丽雯
电话:021-60345367拨打
手机:13916550749 拨打
邮箱:sales@shzbio.com

产品详情:

中文名称:
人大隐静脉内皮细胞
英文名称:
Endothelial cells of great saphenous vein
品牌:
HZBIO/沪震实业
产地:
上海
产品类别:
细胞生物学 原代细胞
货号:
HZH-5091
规格:
5×10⁵Cells/T25培养瓶
培养条件:
气相:空气,95%;CO2,5%
生长特性:
贴壁
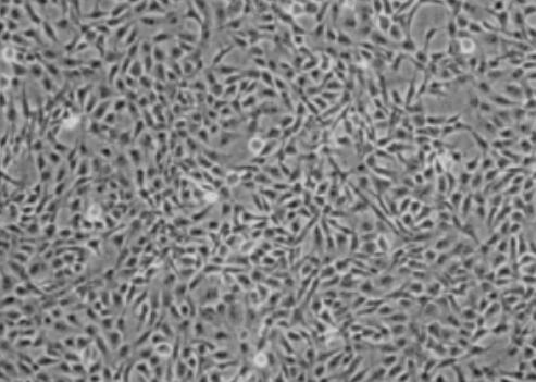
细胞形态:
内皮细胞样
种属:

人大隐静脉内皮细胞

1.产品名称:人大隐静脉内皮细胞

2.组织来源:大隐静脉组织

3.产品规格:5×105cells/T25细胞培养瓶

4.细胞简介:

人大隐静脉内皮细胞分离自大隐静脉;大隐静脉起于足背静脉弓内侧端,经内踝前方,沿小腿内侧缘伴隐神经上行,经股骨内侧髁后方,进入大腿内侧部,与股内侧皮神经伴行,逐渐向前上,在耻骨结节外下方穿隐静脉裂孔,汇入股静脉,其汇入点称为隐股点。有5条属支:旋髂浅静脉、腹壁浅静脉、阴部外静脉、股内侧浅静脉和股外侧浅静脉,它们汇入大隐静脉的形式多样,相互间吻合丰富。大隐静脉曲张行高位结扎时,须分别结扎、切断各属支,以防复发。大隐静脉内皮细胞对维持大隐静脉动态平衡起着重要作用。它们合成、分泌凝血和纤溶系统的激活因子和抑制因子、影响血小板粘附和聚集的调节因子;大隐静脉内皮细胞还释放控制细胞增殖和调节血管壁紧张度的分子。

5.方法简介:

实验室分离的人大隐静脉内皮细胞采用胰蛋白酶-胶原酶联合消化法结合差速贴壁法、并通过内皮细胞专用培养基培养筛选制备而来,细胞总量约为5×10⁵cells/瓶。

6.质量检测:

实验室分离的人大隐静脉内皮细胞经CD31免疫荧光鉴定,纯度可达90%以上,且不含有HIV-1、HBV、HCV、支原体、细菌、酵母和真菌等。

7.培养信息:

包被条件PLL(0.1mg/ml),明胶(0.1%)
培养基含FBS、生长添加剂、Penicillin、Streptomycin等
换液频率每2-3天换液一次
生长特性贴壁
细胞形态内皮细胞样
传代特性可传2-3代
消化液0.25%胰蛋白酶
培养条件气相:空气,95%;CO2,5%

人大隐静脉内皮细胞体外培养周期有限;建议使用配套的专用生长培养基及正确的操作方法来培养,以此保证该细胞的培养状态。

本产品仅供科研使用。不能用于人和动物治疗等其它临床诊断使用!以实际收货产品说明书为准,网站说明书仅供参考。

人大隐静脉内皮细胞;大隐静脉内皮细胞;大隐静脉内皮;人;

公司简介

上海沪震实业有限公司是一家集研发、生产和销售于一体的生命科学实验室产品生物科技企业。主营产品:试剂盒,ELISA试剂盒,抗体,重组蛋白,血清,胎牛血清,细胞,原代细胞 细胞培养试剂,常用生化试剂。

成立日期 (12年)
注册资本 100万元整
员工人数 10-50人
年营业额 ¥ 100万以内
经营模式 工厂,试剂,定制,服务
主营行业 生化试剂,细胞培养,蛋白组学,分子生物学,细胞生物学

人大隐静脉内皮细胞相关厂家报价 更多

内容声明
拨打电话 立即询价