基本信息 产品详情 公司简介 推荐产品
网站主页 化工产品目录 生物 细胞培养 人骨骼肌细胞 人骨骼肌细胞
  • 人骨骼肌细胞

人骨骼肌细胞

Human skeletal muscle cells
6080 1株 起订
上海 更新日期:2026-04-21

上海沪震实业有限公司

VIP4年
联系人:鲍丽雯
电话:021-60345367拨打
手机:13916550749 拨打
邮箱:sales@shzbio.com

产品详情:

中文名称:
人骨骼肌细胞
英文名称:
Human skeletal muscle cells
品牌:
HZBIO/沪震实业
产地:
上海
产品类别:
细胞生物学 原代细胞
货号:
HZH-5095
规格:
5×10⁵Cells/T25培养瓶
培养条件:
气相:空气,95%;CO2,5%
生长特性:
贴壁
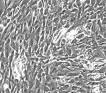
细胞形态:
成纤维细胞样
种属:

人骨骼肌细胞

1.产品名称:人骨骼肌细胞

2.组织来源:骨骼肌组织

3.产品规格:5×105cells/T25细胞培养瓶

4.细胞简介:

人骨骼肌细胞分离自四肢肌肉组织;骨骼肌又称横纹肌,肌肉中的一种,约占全身重量的40%。骨骼肌纤维为长柱形的多核细胞,肌膜的外面有基膜紧密贴附。属于横纹肌,横纹肌还包括心肌与内脏横纹肌,其中骨骼肌主要分布于四肢。每块肌肉都是具有一定形态、结构和功能的器官,有丰富的血管、淋巴分布,在躯体神经支配下收缩或舒张,进行随意运动。肌肉可根据共形状、大小、位置、起止点、纤维方向和作用等命名。依形态命名的如斜方肌、菱形肌、三角肌、梨状肌等。骨骼肌细胞呈纤维状,不分支,有明显横纹,核很多,且都位于细胞膜下方。肌细胞内有许多沿细胞长轴平行排列的细丝状肌原纤维。每一肌原纤维都有相间排列的明带(Ⅰ带)及暗带(A带)。明带染色较浅,而暗带染色较深。暗带中间有一条较明亮的线称H线。H线的中部有一M线。明带中间,有一条较暗的线称为Z线。两个Z线之间的区段,叫做一个肌节。骨骼肌细胞也称横纹肌细胞,细胞呈纤维状,不分支,有明显横纹,核很多,且都位于细胞膜下方,细胞多呈梭行,具有一定的方向性。骨骼肌细胞原代分离培养3天后,可见细胞贴壁伸展,细胞形态大小不一,呈梭形、不规则形、三角形或扇形,核卵圆形、居中;2周后细胞汇合,多数细胞伸展呈长梭形,胞浆丰富,有分枝状突起,细胞平行排列成单层或部分区域多层重叠生长,高低起伏;细胞密度低时,常交织成网状;密度高时,则排列为旋涡状或栅栏状。传代后细胞生长较快,4-6天即可汇合,并保持上述形态学特征和生长特点。

5.方法简介:

实验室分离的人骨骼肌细胞采用胶原酶消化法制备而来,细胞总量约为5×10⁵cells/瓶。

6.质量检测:

实验室分离的人骨骼肌细胞经α-Sarcometric actin免疫荧光鉴定,纯度可达90%以上,且不含有HIV-1、HBV、HCV、支原体、细菌、酵母和真菌等。

7.培养信息:

包被条件PLL(0.1mg/ml)
培养基含FBS、生长添加剂、Penicillin、Streptomycin等
换液频率每2-3天换液一次
生长特性贴壁
细胞形态成纤维细胞样
传代特性可传3代左右
消化液0.25%胰蛋白酶
培养条件气相:空气,95%;CO2,5%

人骨骼肌细胞体外培养周期有限;建议使用配套的专用生长培养基及正确的操作方法来培养,以此保证该细胞的培养状态。

本产品仅供科研使用。不能用于人和动物治疗等其它临床诊断使用!以实际收货产品说明书为准,网站说明书仅供参考。

人骨骼肌细胞;骨骼肌细胞;骨骼肌;人;

公司简介

上海沪震实业有限公司是一家集研发、生产和销售于一体的生命科学实验室产品生物科技企业。主营产品:试剂盒,ELISA试剂盒,抗体,重组蛋白,血清,胎牛血清,细胞,原代细胞 细胞培养试剂,常用生化试剂。

成立日期 (12年)
注册资本 100万元整
员工人数 10-50人
年营业额 ¥ 100万以内
经营模式 工厂,试剂,定制,服务
主营行业 生化试剂,细胞培养,蛋白组学,分子生物学,细胞生物学

人骨骼肌细胞相关厂家报价 更多

  • HSkMC
  • HSkMC
  • 吉奥蓝图(广东)生命科学技术中心 VIP
  • 2026-04-17
  • 询价
内容声明
拨打电话 立即询价