基本信息 产品详情 公司简介 推荐产品
网站主页 化工产品目录 生物 细胞培养 原代细胞 人脑静脉血管平滑肌细胞 人脑静脉血管平滑肌细胞
  • 人脑静脉血管平滑肌细胞

人脑静脉血管平滑肌细胞

Human cerebral vein vascular smooth muscle cells
8880 1株 起订
上海 更新日期:2026-04-21

上海沪震实业有限公司

VIP4年
联系人:鲍丽雯
电话:021-60345367拨打
手机:13916550749 拨打
邮箱:sales@shzbio.com

产品详情:

中文名称:
人脑静脉血管平滑肌细胞
英文名称:
Human cerebral vein vascular smooth muscle cells
品牌:
HZBIO/沪震实业
产地:
上海
产品类别:
细胞生物学 原代细胞
货号:
HZH-5118
规格:
5×10⁵Cells/T25培养瓶
培养条件:
气相:空气,95%;CO2,5%
生长特性:
贴壁
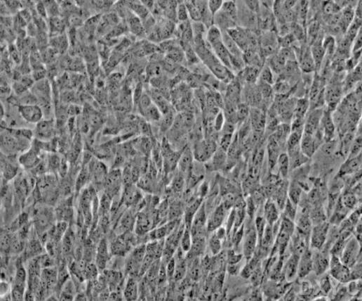
细胞形态:
成纤维细胞样
种属:

人脑静脉血管平滑肌细胞

1.产品名称:人脑静脉血管平滑肌细胞

2.组织来源:脑静脉组织

3.产品规格:5×105cells/T25细胞培养瓶

4.细胞简介:

人脑静脉血管平滑肌细胞分离自脑静脉组织;与脑动脉相比,脑静脉管壁较薄。与身体其他部位的静脉不同,脑静脉管壁中没有静脉瓣,静脉血的回流依赖高位的势能。脑静脉血的回流路径可以归纳为:大部脑静脉血经脑深部静脉和脑血窦流入颈内静脉;小部脑静脉血经眼部翼状静脉丛,进入静脉导血管再到头皮,最后流入椎管中的椎旁静脉系统。脑静脉系统有大量交通枝静脉丛,即使两侧颈内静脉都被阻塞,大脑静脉血仍可经椎静脉和颈外静脉系统完成其回流。脑静脉平滑肌细胞原代分离培养3天后,可见细胞贴壁伸展,细胞形态大小不一,呈梭形、不规则形、三角形或扇形,核卵圆形、居中;2周后细胞汇合,多数细胞伸展呈长梭形,胞浆丰富,有分枝状突起,细胞平行排列成单层或部分区域多层重叠生长,高低起伏;细胞密度低时,常交织成网状;密度高时,则排列为旋涡状或栅栏状。传代后细胞生长较快,4-6天即可汇合,并保持上述形态学特征和生长特点。

5.方法简介:

实验室分离的人脑静脉平滑肌细胞采用胰蛋白酶 - 胶原酶联合消化法结合差速贴壁法制备而来,细胞总量约为5×10⁵cells/瓶。

6.质量检测:

实验室分离的人脑静脉血管平滑肌细胞经α-SMA免疫荧光鉴定,纯度可达90%以上,且不含有HIV-1、HBV、HCV、支原体、细菌、酵母和真菌等。

7.培养信息:

培养基含FBS、生长添加剂、Penicillin、Streptomycin等
换液频率每2-3天换液一次
生长特性贴壁
细胞形态成纤维细胞样
传代特性可传5代左右;3代以内状态
消化液0.25%胰蛋白酶
培养条件气相:空气,95%;CO2,5%

人脑静脉血管平滑肌细胞体外培养周期有限;建议使用配套的专用生长培养基及正确的操作方法来培养,以此保证该细胞的培养状态。

本产品仅供科研使用。不能用于人和动物治疗等其它临床诊断使用!以实际收货产品说明书为准,网站说明书仅供参考。

人脑静脉血管平滑肌细胞;脑静脉血管内皮细胞;脑静脉血管内皮;人;

公司简介

上海沪震实业有限公司是一家集研发、生产和销售于一体的生命科学实验室产品生物科技企业。主营产品:试剂盒,ELISA试剂盒,抗体,重组蛋白,血清,胎牛血清,细胞,原代细胞 细胞培养试剂,常用生化试剂。

成立日期 (12年)
注册资本 100万元整
员工人数 10-50人
年营业额 ¥ 100万以内
经营模式 工厂,试剂,定制,服务
主营行业 生化试剂,细胞培养,蛋白组学,分子生物学,细胞生物学

人脑静脉血管平滑肌细胞相关厂家报价 更多

内容声明
拨打电话 立即询价