基本信息 产品详情 公司简介 推荐产品
网站主页 化工产品目录 生物 细胞培养 原代细胞 人角膜上皮细胞 人角膜上皮细胞
  • 人角膜上皮细胞

人角膜上皮细胞

Human corneal epithelial cells
8880 1株 起订
上海 更新日期:2026-04-14

上海沪震实业有限公司

VIP4年
联系人:鲍丽雯
电话:021-60345367拨打
手机:13916550749 拨打
邮箱:sales@shzbio.com

产品详情:

中文名称:
人角膜上皮细胞
英文名称:
Human corneal epithelial cells
品牌:
HZBIO/沪震实业
产地:
上海
产品类别:
细胞生物学 原代细胞
货号:
HZH-5128
规格:
5×10⁵Cells/T25培养瓶
培养条件:
气相:空气,95%;CO2,5%
生长特性:
贴壁
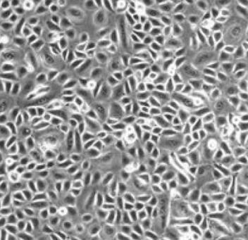
细胞形态:
上皮细胞样
种属:

人角膜上皮细胞

1.产品名称:人角膜上皮细胞

2.组织来源:眼角膜组织

3.产品规格:5×105cells/T25细胞培养瓶

4.细胞简介:

人角膜上皮细胞分离自眼角膜组织;角膜位于眼球前壁的一层透明膜,约占纤维膜的前1/6,从后面看角膜呈正圆形,从前面看为横椭圆形。角膜厚度各部分不尽相同,中央部最薄。角膜有十分敏感的神经末梢,如有外物接触角膜,眼睑便会不由自主地合上以保护眼睛。为了保持透明,角膜并没有血管,透过外界空气、泪液及房水获取养份及氧气。角膜分为五层,由前向后依次为:上皮细胞层、前弹力层、基质层、后弹力层、内皮细胞层。其主要功能如下:①角膜是唯一的无血管的组织,具有透明的特性和合成许多蛋白的功能,分三层细胞层,外层即是上皮细胞;②角膜上皮细胞能参与先天性免疫,能感应病原体存在并发出信号从而激活角膜防御系统;③角膜上皮细胞能高效表达醛脱氢酶。角膜上皮细胞的体外培养对研究角膜的生理学、病理学、免疫学以及分子生物学都是极为重要的手段,常用于研究细胞代谢产物、病毒感染、各种生长因子和药物对细胞生长的影响。

5.方法简介:

实验室分离的人角膜上皮细胞采用胰蛋白酶-胶原酶混合消化法结合差速贴壁法,并通过上皮细胞专用培养基培养筛选制备而来,细胞总量约为5×10⁵cells/瓶。

6.质量检测:

实验室分离的人角膜上皮细胞经PCK免疫荧光鉴定,纯度可达90%以上,且不含有HIV-1、HBV、HCV、支原体、细菌、酵母和真菌等。

7.培养信息:

包被条件鼠尾胶原Ⅰ(2-5μg/cm2)
培养基含FBS、生长添加剂、Penicillin、Streptomycin等
换液频率每2-3天换液一次
生长特性贴壁
细胞形态上皮细胞样
传代特性可传2-3代
消化液0.25%胰蛋白酶
培养条件气相:空气,95%;CO2,5%

人角膜上皮细胞体外培养周期有限;建议使用配套的专用生长培养基及正确的操作方法来培养,以此保证该细胞的培养状态。

本产品仅供科研使用。不能用于人和动物治疗等其它临床诊断使用!以实际收货产品说明书为准,网站说明书仅供参考。

人角膜上皮细胞;角膜上皮细胞;角膜上皮;人;

公司简介

上海沪震实业有限公司是一家集研发、生产和销售于一体的生命科学实验室产品生物科技企业。主营产品:试剂盒,ELISA试剂盒,抗体,重组蛋白,血清,胎牛血清,细胞,原代细胞 细胞培养试剂,常用生化试剂。

成立日期 (12年)
注册资本 100万元整
员工人数 10-50人
年营业额 ¥ 100万以内
经营模式 工厂,试剂,定制,服务
主营行业 生化试剂,细胞培养,蛋白组学,分子生物学,细胞生物学

人角膜上皮细胞相关厂家报价 更多

内容声明
拨打电话 立即询价