基本信息 产品详情 公司简介 推荐产品
网站主页 化工产品目录 生物 细胞培养 原代细胞 人小梁网细胞 人小梁网细胞
  • 人小梁网细胞

人小梁网细胞

Human trabecular meshwork cells
8880 1株 起订
上海 更新日期:2026-04-15

上海沪震实业有限公司

VIP4年
联系人:鲍丽雯
电话:021-60345367拨打
手机:13916550749 拨打
邮箱:sales@shzbio.com

产品详情:

中文名称:
人小梁网细胞
英文名称:
Human trabecular meshwork cells
品牌:
HZBIO/沪震实业
产地:
上海
产品类别:
细胞生物学 原代细胞
货号:
HZH-5132
规格:
5×10⁵Cells/T25培养瓶
培养条件:
气相:空气,95%;CO2,5%
生长特性:
贴壁
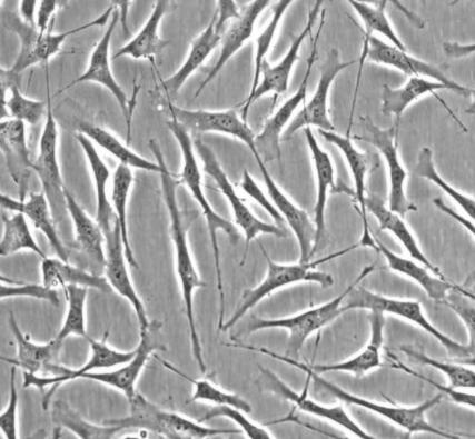
细胞形态:
梭形、多角形
种属:

人小梁网细胞

1.产品名称:人小梁网细胞

2.组织来源:眼球

3.产品规格:5×105cells/T25细胞培养瓶

4.细胞简介:

人小梁网细胞分离自眼球组织;小梁网由角膜基质纤维、后界膜和角膜内皮向后扩展而成,覆盖在巩膜静脉窦的内侧。小梁网细胞在眼内压调节中起着关键作用;小梁网细胞内有特定的神经递质和神经肽受体,其中包括肾上腺素、乙酰胆碱和神经肽Y。青光眼是由于眼内压力升高而造成的一种不可逆致盲眼病,小梁网细胞的体外培养是青光眼病因学研究的重要手段之一。在小梁网细胞中,一长串的血管活性多肽和生长因子能够触发细胞内信号传导机制,小梁网细胞可合成不同类型的细胞外基质蛋白以及金属蛋白酶。形态学观察可见,刚从组织块长出的原代细胞,形态各异,多数呈星状或不规则形。细胞有胞突,核椭圆形,胞体肥大,胞浆丰富,且可见吞噬颗粒。随着细胞的增生及相互融合为单层,细胞的形态趋于一致。胞浆的色素颗粒及胞突消失,排列紧密呈类似上皮细胞的扁椭圆形或不规则形。胞体透亮,包膜清晰。

5.方法简介:

实验室分离的人小梁网细胞采用组织贴块法制备而来,细胞总量约为5×10⁵cells/瓶。

6.质量检测:

实验室分离的人小梁网细胞经NSE(神经元特异性烯醇化酶)免疫荧光鉴定,纯度可达90%以上,且不含有HIV-1、HBV、HCV、支原体、细菌、酵母和真菌等。

7.培养信息:

培养基含FBS、生长添加剂、Penicillin、Streptomycin等
换液频率每2-3天换液一次
生长特性贴壁
细胞形态梭形、多角形
传代特性可传1-2代
消化液0.25%胰蛋白酶
培养条件气相:空气,95%;CO2,5%

人小梁网细胞体外培养周期有限;建议使用配套的专用生长培养基及正确的操作方法来培养,以此保证该细胞的培养状态。

本产品仅供科研使用。不能用于人和动物治疗等其它临床诊断使用!以实际收货产品说明书为准,网站说明书仅供参考。

人小梁网细胞;小梁网细胞;小梁网;人;

公司简介

上海沪震实业有限公司是一家集研发、生产和销售于一体的生命科学实验室产品生物科技企业。主营产品:试剂盒,ELISA试剂盒,抗体,重组蛋白,血清,胎牛血清,细胞,原代细胞 细胞培养试剂,常用生化试剂。

成立日期 (12年)
注册资本 100万元整
员工人数 10-50人
年营业额 ¥ 100万以内
经营模式 工厂,试剂,定制,服务
主营行业 生化试剂,细胞培养,蛋白组学,分子生物学,细胞生物学

人小梁网细胞相关厂家报价 更多

内容声明
拨打电话 立即询价