基本信息 产品详情 公司简介 推荐产品
网站主页 人骨髓单核细胞 人骨髓单核细胞
  • 人骨髓单核细胞

人骨髓单核细胞

Human bone marrow mononuclear cells
7080 1株 起订
上海 更新日期:2026-04-15

上海沪震实业有限公司

VIP4年
联系人:鲍丽雯
电话:021-60345367拨打
手机:13916550749 拨打
邮箱:sales@shzbio.com

产品详情:

中文名称:
人骨髓单核细胞
英文名称:
Human bone marrow mononuclear cells
品牌:
HZBIO/沪震实业
产地:
上海
产品类别:
细胞生物学 原代细胞
货号:
HZH-5185
规格:
5×10⁵Cells/T25培养瓶
培养条件:
气相:空气,95%;CO2,5%
生长特性:
贴壁
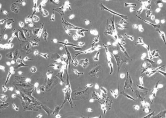
细胞形态:
巨噬细胞样
种属:

人骨髓单核细胞

1.产品名称:人骨髓单核细胞

2.组织来源:骨髓

3.产品规格:5×105cells/T25细胞培养瓶

4.细胞简介:

人骨髓单核细胞分离自骨髓;骨髓是机体的造血组织,位于身体的许多骨骼内。成年动物的骨髓分两种:红骨髓和黄骨髓。红骨髓能制造红细胞、血小板和各种白细胞。血小板有止血作用,白细胞能杀灭与抑制各种病原体,包括细菌、病毒等;某些淋巴细胞能制造抗体。因此,骨髓不但是造血器官,它还是重要的免疫器官。骨髓是存在于长骨(如肱骨、股骨)的骨髓腔和扁平骨(如髂骨)的稀松骨质间的网眼中,是一种海绵状的组织,能产生血细胞的骨髓略呈红色,称为红骨髓。出生时,红骨髓充满全身骨髓腔,随着年龄增大,脂肪细胞增多,相当部分红骨髓被黄骨髓取代,最后几乎只有扁平骨骨髓腔中有红骨髓。骨髓单核细胞是一种未成熟的单核细胞,在骨髓细胞中约占0.04%,被认为是破骨细胞的前体细胞,较外周血单个核细胞诱导的破骨细胞得率高、全骨髓诱导法产生的破骨细胞数量多,纯度高,较脾细胞诱导法分化效率高。骨髓单核细胞(BMMNCs)是从股骨或胫骨骨髓中分离提取出来的原代细胞,它属干细胞类型。目前,大多数研究用淋巴细胞分离液分离提取骨髓单核细胞,最近也有采用免疫磁珠分离法分离骨髓单核细胞。

5.方法简介:

实验室分离的人骨髓单核细胞采用密度梯度离心法结合差速贴壁法制备而来,细胞总量约为5×10⁵cells/瓶。

6.质量检测:

实验室分离的人骨髓单核细胞经CD68免疫荧光鉴定,纯度可达90%以上,且不含有HIV-1、HBV、HCV、支原体、细菌、酵母和真菌等。

7.培养信息:

培养基含FBS、生长添加剂、Penicillin、Streptomycin等
换液频率每2-3天换液一次
生长特性贴壁
细胞形态巨噬细胞样
传代特性不增殖;不传代
消化液0.25%胰蛋白酶
培养条件气相:空气,95%;CO2,5%

人骨髓单核细胞体外培养周期有限;建议使用配套的专用生长培养基及正确的操作方法来培养,以此保证该细胞的培养状态。

本产品仅供科研使用。不能用于人和动物治疗等其它临床诊断使用!以实际收货产品说明书为准,网站说明书仅供参考。

人骨髓单核细胞;骨髓单核细胞;骨髓单核;人;

公司简介

上海沪震实业有限公司是一家集研发、生产和销售于一体的生命科学实验室产品生物科技企业。主营产品:试剂盒,ELISA试剂盒,抗体,重组蛋白,血清,胎牛血清,细胞,原代细胞 细胞培养试剂,常用生化试剂。

成立日期 (12年)
注册资本 100万元整
员工人数 10-50人
年营业额 ¥ 100万以内
经营模式 工厂,试剂,定制,服务
主营行业 生化试剂,细胞培养,蛋白组学,分子生物学,细胞生物学

人骨髓单核细胞相关厂家报价

内容声明
拨打电话 立即询价