基本信息 产品详情 公司简介 推荐产品
网站主页 人角膜基质细胞 人角膜基质细胞
  • 人角膜基质细胞

人角膜基质细胞

Human corneal stromal cells
8880 1株 起订
上海 更新日期:2026-04-24

上海沪震实业有限公司

VIP4年
联系人:鲍丽雯
电话:021-60345367拨打
手机:13916550749 拨打
邮箱:sales@shzbio.com

产品详情:

中文名称:
人角膜基质细胞
英文名称:
Human corneal stromal cells
品牌:
HZBIO/沪震实业
产地:
上海
产品类别:
细胞生物学 原代细胞
货号:
HZH-5190
规格:
5×10⁵Cells/T25培养瓶
培养条件:
气相:空气,95%;CO2,5%
生长特性:
贴壁
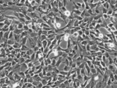
细胞形态:
成纤维细胞样
种属:

人角膜基质细胞

1.产品名称:人角膜基质细胞

2.组织来源:眼角膜组织

3.产品规格:5×105cells/T25细胞培养瓶

4.细胞简介:

人角膜基质细胞分离自眼角膜组织;角膜位于眼球前壁的一层透明膜,约占纤维膜的前1/6,从后面看角膜呈正圆形,从前面看为横椭圆形。角膜厚度各部分不尽相同,中央部最薄。角膜有十分敏感的神经末梢,如有外物接触角膜,眼睑便会不由自主地合上以保护眼睛。为了保持透明,角膜并没有血管,透过外界空气、泪液及房水获取养份及氧气。角膜分为五层,由前向后依次为:上皮细胞层、前弹力层、基质层、后弹力层、内皮细胞层。角膜基质层是角膜的主要组成部分,占据角膜厚度的90%,由角膜基质细胞、胶原纤维和细胞外基质构成。角膜基质层缺损的修复主要由角膜基质细胞的增殖及分泌细胞外基质完成。角膜基质层具有结构规整,透明度高的特点,正常情况下角膜基质细胞分泌组成基质层的成分,维持角膜的透明度,此细胞对于角膜损伤的修复具有重要意义。角膜基质细胞,存在于角膜基质层中,在正常情况下,处于静止状态。但当角膜损伤时,不同上皮来源的因子及环境信号,将影响角膜基质细胞的应答反应,决定着角膜能否完全被修复。

5.方法简介:

实验室分离的人角膜基质细胞采用胶原酶消化后组织贴块法制备而来,细胞总量约为5×10⁵cells/瓶。

6.质量检测:

实验室分离的人角膜基质细胞经Vimentin免疫荧光鉴定,纯度可达90%以上,且不含有HIV-1、HBV、HCV、支原体、细菌、酵母和真菌等。

7.培养信息:

培养基含FBS、生长添加剂、Penicillin、Streptomycin等
换液频率每2-3天换液一次
生长特性贴壁
细胞形态成纤维细胞样
传代特性可传5代左右;3代以内状态
消化液0.25%胰蛋白酶
培养条件气相:空气,95%;CO2,5%

人角膜基质细胞体外培养周期有限;建议使用配套的专用生长培养基及正确的操作方法来培养,以此保证该细胞的培养状态。

本产品仅供科研使用。不能用于人和动物治疗等其它临床诊断使用!以实际收货产品说明书为准,网站说明书仅供参考。

人角膜基质细胞;角膜基质细胞;角膜基质;人;

公司简介

上海沪震实业有限公司是一家集研发、生产和销售于一体的生命科学实验室产品生物科技企业。主营产品:试剂盒,ELISA试剂盒,抗体,重组蛋白,血清,胎牛血清,细胞,原代细胞 细胞培养试剂,常用生化试剂。

成立日期 (12年)
注册资本 100万元整
员工人数 10-50人
年营业额 ¥ 100万以内
经营模式 工厂,试剂,定制,服务
主营行业 生化试剂,细胞培养,蛋白组学,分子生物学,细胞生物学

人角膜基质细胞相关厂家报价

内容声明
拨打电话 立即询价