基本信息 产品详情 公司简介 推荐产品
网站主页 化工产品目录 生物 细胞培养 原代细胞 人原代细胞 SVOG 人卵巢颗粒细胞
  • 人卵巢颗粒细胞

人卵巢颗粒细胞

Human ovarian granulosa cells
6680 1株 起订
上海 更新日期:2026-04-16

上海沪震实业有限公司

VIP4年
联系人:鲍丽雯
电话:021-60345367拨打
手机:13916550749 拨打
邮箱:sales@shzbio.com

产品详情:

中文名称:
人卵巢颗粒细胞
英文名称:
Human ovarian granulosa cells
品牌:
HZBIO/沪震实业
产地:
上海
产品类别:
细胞生物学 原代细胞
货号:
HZH-5192
规格:
5×10⁵Cells/T25培养瓶
培养条件:
气相:空气,95%;CO2,5%
生长特性:
贴壁
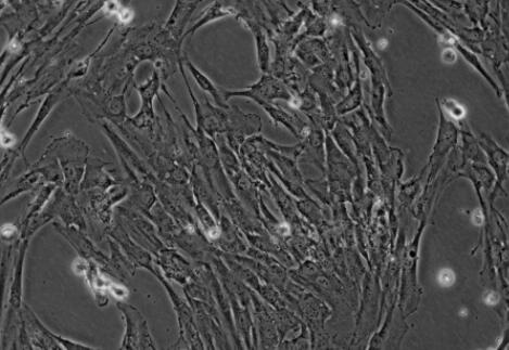
细胞形态:
上皮细胞样
种属:

人卵巢颗粒细胞

1.产品名称:人卵巢颗粒细胞

2.组织来源:卵巢组织

3.产品规格:5×105cells/T25细胞培养瓶

4.细胞简介:

人卵巢颗粒细胞分离自卵巢组织;卵巢是雌性动物的生殖器官,卵巢的功能是产生卵以及类固醇激素。卵巢的位置与睾丸相同,仅左侧发育(右侧已退化),呈葡萄状,均为处于不同发育时期的卵泡,卵泡呈黄色,卵巢表面密布血管。卵巢的大小与年龄和产卵期有关。大多数脊椎动物有两个卵巢,但是部分鱼类的两个卵巢融合为单个结构,而所有鸟类只有左侧卵巢有机能。卵巢是位于子宫两侧的一对卵圆形的生殖器官,它的外表有一层上皮组织,其下方有薄层的结缔组织。卵巢的内部结构可分为皮质和髓质。皮质位于卵巢的周围部分,主要由卵泡和结缔组织构成;髓质位于中央,由疏松结缔组织构成,其中有许多血管、淋巴管和神经。卵巢颗粒细胞是卵巢的主要功能细胞,其增殖与分化直接影响着卵泡的生长启动、发育、排卵、黄体形成以及甾体激素分泌等卵巢功能活动。卵巢颗粒细胞是卵泡内的细胞群,也是主要的功能细胞,卵泡发育的显著标志之一就是颗粒细胞迅速生长及增殖,而成年动物的卵泡闭锁主要是由颗粒细胞凋亡引起,尤其在卵泡发育后期,此外,颗粒细胞还与卵泡膜细胞共同完成卵巢激素的合成,维持着有利于卵母细胞生长和成熟的微环境。细胞形状呈圆形或椭圆形。

5.方法简介:

实验室分离的人卵巢颗粒细胞采用先机械分离,而后胶原酶消化,最后差速贴壁法制备而来,细胞总量约为5×10⁵cells/瓶。

6.质量检测:

实验室分离的人卵巢颗粒细胞经FSHR免疫荧光鉴定,纯度可达90%以上,且不含有HIV-1、HBV、HCV、支原体、细菌、酵母和真菌等。

7.培养信息:

培养基含FBS、生长添加剂、Penicillin、Streptomycin等
换液频率每2-3天换液一次
生长特性贴壁
细胞形态上皮细胞样
传代特性可传1-2代
消化液0.25%胰蛋白酶
培养条件气相:空气,95%;CO2,5%

人卵巢颗粒细胞体外培养周期有限;建议使用配套的专用生长培养基及正确的操作方法来培养,以此保证该细胞的培养状态。

本产品仅供科研使用。不能用于人和动物治疗等其它临床诊断使用!以实际收货产品说明书为准,网站说明书仅供参考。

人卵巢颗粒细胞;卵巢颗粒细胞;卵巢颗粒;人;

公司简介

上海沪震实业有限公司是一家集研发、生产和销售于一体的生命科学实验室产品生物科技企业。主营产品:试剂盒,ELISA试剂盒,抗体,重组蛋白,血清,胎牛血清,细胞,原代细胞 细胞培养试剂,常用生化试剂。

成立日期 (12年)
注册资本 100万元整
员工人数 10-50人
年营业额 ¥ 100万以内
经营模式 工厂,试剂,定制,服务
主营行业 生化试剂,细胞培养,蛋白组学,分子生物学,细胞生物学

人卵巢颗粒细胞相关厂家报价

内容声明
拨打电话 立即询价