基本信息 产品详情 公司简介 推荐产品
网站主页 化工产品目录 生物 细胞培养 原代细胞 人子宫内膜基质细胞 人子宫内膜基质细胞
  • 人子宫内膜基质细胞

人子宫内膜基质细胞

Human endometrial stromal cells
6080 1株 起订
上海 更新日期:2026-04-13

上海沪震实业有限公司

VIP4年
联系人:鲍丽雯
电话:021-60345367拨打
手机:13916550749 拨打
邮箱:sales@shzbio.com

产品详情:

中文名称:
人子宫内膜基质细胞
英文名称:
Human endometrial stromal cells
品牌:
HZBIO/沪震实业
产地:
上海
产品类别:
细胞生物学 原代细胞
货号:
HZH-5208
规格:
5×10⁵Cells/T25培养瓶
培养条件:
气相:空气,95%;CO2,5%
生长特性:
贴壁
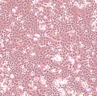
细胞形态:
成纤维细胞样
种属:

人子宫内膜基质细胞

1.产品名称:人子宫内膜基质细胞

2.组织来源:子宫组织

3.产品规格:5×105cells/T25细胞培养瓶

4.细胞简介:

人子宫内膜基质细胞分离自子宫组织;子宫是孕育胎儿的器官,位于盆腔中部,膀胱与直肠之间,其位置可随膀胱与直肠的充盈程度或体位而有变化。子宫的正常位置主要依靠子宫诸韧带、盆膈、尿生殖膈及会阴中心腱等结构维持,这些结构受损或松弛时,可以引起子宫脱垂。子宫内膜即黏膜,由上皮(属单层柱状上皮,有分泌细胞和纤毛细胞二种)和固有膜(由结缔组织构成,其内有大量的星形细胞,称为基质细胞)组成,子宫内膜可分为浅表的功能膜和深部的基底层,功能层较厚,约占内膜厚度的4/5;基底层较薄较致密,约占1/5,功能层可剥脱,而基底层不可剥脱。子宫内膜构成雌性哺乳动物子宫壁的最内层,位于子宫腔面,在动物生殖生理活动中占有重要地位。子宫和子宫内膜是维持雌性动物生理功能和生育能力的重要器官,子宫内膜的再生修复是子宫的重要生理功能。体外培养的子宫内膜基质细胞对于研究其生理功能、药物作用以及各种致病因素作用下的病理生理改变具重要意义。

5.方法简介:

实验室分离的人子宫内膜基质细胞采用混合胶原酶消化法结合差速贴壁法制备而来,细胞总量约为5×10⁵cells/瓶。

6.质量检测:

实验室分离的人子宫内膜基质细胞经Vimentin免疫荧光鉴定,纯度可达90%以上,且不含有HIV-1、HBV、HCV、支原体、细菌、酵母和真菌等。

7.培养信息:

培养基含FBS、生长添加剂、Penicillin、Streptomycin等
换液频率每2-3天换液一次
生长特性贴壁
细胞形态成纤维细胞样
传代特性可传3-5代左右
消化液0.25%胰蛋白酶
培养条件气相:空气,95%;CO2,5%

人子宫内膜基质细胞体外培养周期有限;建议使用配套的专用生长培养基及正确的操作方法来培养,以此保证该细胞的培养状态。

本产品仅供科研使用。不能用于人和动物治疗等其它临床诊断使用!以实际收货产品说明书为准,网站说明书仅供参考。



人子宫内膜基质细胞;子宫内膜基质细胞;子宫内膜基质;人;

公司简介

上海沪震实业有限公司是一家集研发、生产和销售于一体的生命科学实验室产品生物科技企业。主营产品:试剂盒,ELISA试剂盒,抗体,重组蛋白,血清,胎牛血清,细胞,原代细胞 细胞培养试剂,常用生化试剂。

成立日期 (12年)
注册资本 100万元整
员工人数 10-50人
年营业额 ¥ 100万以内
经营模式 工厂,试剂,定制,服务
主营行业 生化试剂,细胞培养,蛋白组学,分子生物学,细胞生物学

人子宫内膜基质细胞相关厂家报价 更多

内容声明
拨打电话 立即询价