基本信息 产品详情 公司简介 推荐产品
网站主页 化工产品目录 生物 细胞培养 原代细胞 小鼠原代细胞 小鼠肾足突细胞 小鼠肾足突细胞
  • 小鼠肾足突细胞

小鼠肾足突细胞

Mouse kidney podocyte
3580 1株 起订
上海 更新日期:2026-04-13

上海沪震实业有限公司

VIP4年
联系人:鲍丽雯
电话:021-60345367拨打
手机:13916550749 拨打
邮箱:sales@shzbio.com

产品详情:

中文名称:
小鼠肾足突细胞
英文名称:
Mouse kidney podocyte
品牌:
HZBIO/沪震实业
产地:
上海
产品类别:
细胞生物学 原代细胞
货号:
HZM-5067
规格:
5×10⁵Cells/T25培养瓶
培养条件:
气相:空气,95%;CO2,5%
生长特性:
贴壁
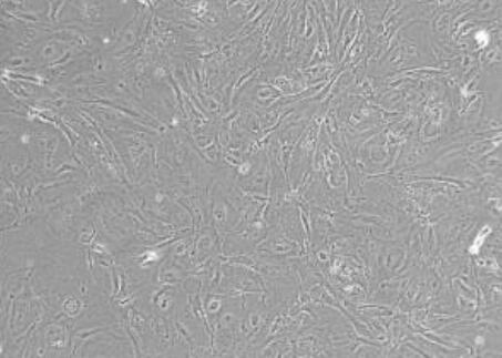
细胞形态:
上皮细胞样
种属:
小鼠

小鼠肾足突细胞

1.产品名称:小鼠肾足突细胞

2.组织来源:肾组织

3.产品规格:5×105cells/T25细胞培养瓶

4.细胞简介:

小鼠肾足突细胞分离自肾组织;肾小球是肾元中的用于将血液过滤生成原尿的一团毛细血丛,被鲍氏囊所包裹,是尿液形成的重要构造。血液经由入球小动脉进入肾小球。肾小球内的微血管不像其他微血管,汇流入静脉,而是流入出球小动脉。在肾小球内,微血管受到高压,而加速了超滤作用(hyperfiltration)的进行。微血管中的血液经由超滤作用之后,形成滤液,渗入鲍氏囊内。肾小球与鲍氏囊合称为肾小体,肾小球的过滤速率便称为肾小球过滤率。足细胞(podocyte)即肾小囊脏层上皮细胞,它附着于肾小球基底膜(GBM)的外侧,连同GBM和毛细血管内皮一起构成了肾小球血液滤过屏障。足细胞特殊的解剖位置,使得其体内研究较为困难;又由于正常成年机体的肾脏足细胞是一种终末分化细胞,体外培养的原代细胞不能增殖。足细胞呈星型多突状,胞体较大,由胞体伸出许多突起,又称足突(FP),呈指状交叉复盖于GBM外表面,并通过黏附分子和蛋白多糖分子与GBM相连。足细胞在正常情况下可以分泌GBM的主要组成成分,IV型胶原和纤维连接蛋白(FN);在促肾纤维化引资等刺激下还能分泌具有降解GBM作用的基质金属蛋白酶(MMPs)和组织蛋白酶,从而在GBM的代谢平衡中发挥重要作用。足细胞之间邻近的足突相互交替,形成了许多30-40nm的裂孔,孔上覆盖一层厚4-6nm的裂孔隔膜,即肾小球足突间裂孔隔膜。后者是血浆蛋白通过脉管系统的最后屏障,对于维持肾小球滤过屏障结构与功能完整性发挥关键作用。

5.方法简介:

实验室分离的小鼠肾足突细胞采用机械研磨过不同孔径不锈钢网筛结合胶原酶消化法制备而来,细胞总量约为5×10⁵cells/瓶。

6.质量检测:

实验室分离的小鼠肾足突细胞经PCK免疫荧光鉴定,纯度可达90%以上,且不含有HIV-1、HBV、HCV、支原体、细菌、酵母和真菌等。

7.培养信息:

包被条件鼠尾胶原Ⅰ(2-5μg/cm2)
培养基含FBS、生长添加剂、Penicillin、Streptomycin等
换液频率每2-3天换液一次
生长特性贴壁
细胞形态上皮细胞样
传代特性可传1-2代
消化液0.25%胰蛋白酶
培养条件气相:空气,95%;CO2,5%

小鼠肾足突细胞体外培养周期有限;建议使用配套的专用生长培养基及正确的操作方法来培养,以此保证该细胞的培养状态。

本产品仅供科研使用。不能用于人和动物治疗等其它临床诊断使用!以实际收货产品说明书为准,网站说明书仅供参考。

小鼠肾足突细胞;肾足突细胞;肾足突;小鼠;

公司简介

上海沪震实业有限公司是一家集研发、生产和销售于一体的生命科学实验室产品生物科技企业。主营产品:试剂盒,ELISA试剂盒,抗体,重组蛋白,血清,胎牛血清,细胞,原代细胞 细胞培养试剂,常用生化试剂。

成立日期 (12年)
注册资本 100万元整
员工人数 10-50人
年营业额 ¥ 100万以内
经营模式 工厂,试剂,定制,服务
主营行业 生化试剂,细胞培养,蛋白组学,分子生物学,细胞生物学

小鼠肾足突细胞相关厂家报价 更多

内容声明
拨打电话 立即询价