基本信息 产品详情 公司简介 推荐产品
网站主页 化工产品目录 生物 细胞培养 原代细胞 小鼠原代细胞 小鼠表皮角质形成细胞 小鼠表皮角质形成细胞
  • 小鼠表皮角质形成细胞

小鼠表皮角质形成细胞

Mouse epidermal keratinocytes
3880 1株 起订
上海 更新日期:2026-04-17

上海沪震实业有限公司

VIP4年
联系人:鲍丽雯
电话:021-60345367拨打
手机:13916550749 拨打
邮箱:sales@shzbio.com

产品详情:

中文名称:
小鼠表皮角质形成细胞
英文名称:
Mouse epidermal keratinocytes
品牌:
HZBIO/沪震实业
产地:
上海
产品类别:
细胞生物学 原代细胞
货号:
HZM-5094
规格:
5×10⁵Cells/T25培养瓶
培养条件:
气相:空气,95%;CO2,5%
生长特性:
贴壁
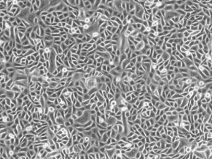
细胞形态:
上皮细胞样
种属:
小鼠

小鼠表皮角质形成细胞

1.产品名称:小鼠表皮角质形成细胞

2.组织来源:皮肤组织

3.产品规格:5×105cells/T25细胞培养瓶

4.细胞简介:

小鼠表皮角质形成细胞分离自皮肤组织;表皮位于动物皮肤的外层,由胚胎时期外胚层形成,具有抗摩擦和抗损伤的作用。表皮是皮肤的浅层结构,由复层扁平上皮构成。从基底层到表面可分为五层,即基底层、棘层、颗粒层、透明层和角质层。表皮角质形成细胞是一种能合成角质蛋白的上皮细胞,此类细胞为表皮的主体,由表皮深层始逐渐增殖、分化,并在成为角化的角质细胞中,细胞核与细胞器完全消失,细胞亦失去生理功能而脱落。未脱落部分对机体尚有保护作用,故不必在洗擦身体时用力搓擦,使其过早脱失。表皮角质形成细胞主要分布于表皮基底层,在上皮程序性死亡后,细胞产生角化并移向表皮。体外培养的表皮角化细胞容易导致终末分化,不能充分增殖。角质形成细胞最终产生角质蛋白,在其向角质细胞演变过程中,一般可以分为四层,即基底层、棘层、颗粒层以及角质层。有人把前三层或前二层称为生发层或马尔匹基层。此外,在某些部位,特别在掌跖部位,角质层下方还可见到透明层。

5.方法简介:

实验室分离的小鼠表皮角质形成层细胞先中性蛋白酶消化、后胰蛋白酶-胶原酶混合消化法制备而来,细胞总量约为5×10⁵cells/瓶。

6.质量检测:

实验室分离的小鼠表皮角质形成细胞经PCK免疫荧光鉴定,纯度可达90%以上,且不含有HIV-1、HBV、HCV、支原体、细菌、酵母和真菌等。

7.培养信息:

培养基含FBS、生长添加剂、Penicillin、Streptomycin等
换液频率每2-3天换液一次
生长特性贴壁
细胞形态上皮细胞样
传代特性可传1-2代
消化液0.25%胰蛋白酶
培养条件气相:空气,95%;CO2,5%

小鼠表皮角质形成细胞体外培养周期有限;建议使用配套的专用生长培养基及正确的操作方法来培养,以此保证该细胞的培养状态。

本产品仅供科研使用。不能用于人和动物治疗等其它临床诊断使用!以实际收货产品说明书为准,网站说明书仅供参考。

小鼠表皮角质形成细胞;表皮角质形成细胞;表皮角质形成;小鼠;

公司简介

上海沪震实业有限公司是一家集研发、生产和销售于一体的生命科学实验室产品生物科技企业。主营产品:试剂盒,ELISA试剂盒,抗体,重组蛋白,血清,胎牛血清,细胞,原代细胞 细胞培养试剂,常用生化试剂。

成立日期 (12年)
注册资本 100万元整
员工人数 10-50人
年营业额 ¥ 100万以内
经营模式 工厂,试剂,定制,服务
主营行业 生化试剂,细胞培养,蛋白组学,分子生物学,细胞生物学

小鼠表皮角质形成细胞相关厂家报价

内容声明
拨打电话 立即询价