基本信息 产品详情 公司简介 推荐产品
网站主页 小鼠羊膜上皮细胞 小鼠羊膜上皮细胞
  • 小鼠羊膜上皮细胞

小鼠羊膜上皮细胞

Mouse amniotic epithelial cells
4080 1株 起订
上海 更新日期:2026-04-17

上海沪震实业有限公司

VIP4年
联系人:鲍丽雯
电话:021-60345367拨打
手机:13916550749 拨打
邮箱:sales@shzbio.com

产品详情:

中文名称:
小鼠羊膜上皮细胞
英文名称:
Mouse amniotic epithelial cells
品牌:
HZBIO/沪震实业
产地:
上海
产品类别:
细胞生物学 原代细胞
货号:
HZM-5227
规格:
5×10⁵Cells/T25培养瓶
培养条件:
气相:空气,95%;CO2,5%
生长特性:
贴壁
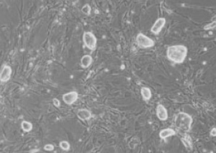
细胞形态:
上皮细胞样
种属:
小鼠

小鼠羊膜上皮细胞

1.产品名称:小鼠羊膜上皮细胞

2.组织来源:胎盘组织

3.产品规格:5×105cells/T25细胞培养瓶

4.细胞简介:

小鼠羊膜上皮细胞分离自胎盘组织;胎盘(placenta)是哺乳动物妊娠期间由胚胎的胚膜和母体子宫内膜联合长成的母子间交换物质的过渡性器官,由羊膜、叶状绒毛膜和底蜕膜构成。胎儿在子宫中发育,依靠胎盘从母体取得营养,而双方保持相当的独立性。胎盘还产生多种维持妊娠的激素,是一个重要的内分泌器官。有些爬行类和鱼类也以胎生方式繁殖后代,胚胎生长出一些辅助结构如卵黄囊、鳃丝等与母体组织紧密结合,以达到母子间物质的交换,这样的结构称假胎盘。羊膜是胎盘的最内层,与眼结膜组织结构相似,含有眼表上皮细胞,包括结膜细胞和角膜上皮细胞生长所需要的物质,其光滑,无血管、神经及淋巴,具有一定的弹性;在电镜下,其分为五层:上皮层、基底膜、致密层、纤维母细胞层和海绵层,羊膜基底膜和羊膜羊膜基质层含有大量不同的胶元,主要为Ⅰ、Ⅲ、Ⅳ、Ⅴ、Ⅶ型胶原和纤维粘连蛋白、层粘连蛋白等成份。羊膜细胞主要由羊膜上皮细胞和羊膜间充质细胞组成,均具有多分化潜能,可转化为神经元,且还有合成、释放生物活性物质和神经营养因子的功能。

5.方法简介:

实验室分离的小鼠羊膜上皮细胞采用胰蛋白酶-胶原酶混合消化法结合差速贴壁法,并通过上皮细胞专用培养基培养筛选制备而来,细胞总量约为5×10⁵cells/瓶。

6.质量检测:

实验室分离的小鼠羊膜上皮细胞经Cytokeratin-18免疫荧光鉴定,纯度可达90%以上,且不含有HIV-1、HBV、HCV、支原体、细菌、酵母和真菌等。

7.培养信息:

包被条件鼠尾胶原Ⅰ(2-5μg/cm2)
培养基含FBS、生长添加剂、Penicillin、Streptomycin等
换液频率每2-3天换液一次
生长特性贴壁
细胞形态上皮细胞样
传代特性可传1-2代
消化液0.25%胰蛋白酶
培养条件气相:空气,95%;CO2,5%

小鼠羊膜上皮细胞体外培养周期有限;建议使用配套的专用生长培养基及正确的操作方法来培养,以此保证该细胞的培养状态。

本产品仅供科研使用。不能用于人和动物治疗等其它临床诊断使用!以实际收货产品说明书为准,网站说明书仅供参考。


小鼠羊膜上皮细胞;羊膜上皮细胞;羊膜上皮;小鼠;

公司简介

上海沪震实业有限公司是一家集研发、生产和销售于一体的生命科学实验室产品生物科技企业。主营产品:试剂盒,ELISA试剂盒,抗体,重组蛋白,血清,胎牛血清,细胞,原代细胞 细胞培养试剂,常用生化试剂。

成立日期 (12年)
注册资本 100万元整
员工人数 10-50人
年营业额 ¥ 100万以内
经营模式 工厂,试剂,定制,服务
主营行业 生化试剂,细胞培养,蛋白组学,分子生物学,细胞生物学

小鼠羊膜上皮细胞相关厂家报价

内容声明
拨打电话 立即询价