基本信息 产品详情 公司简介 推荐产品
网站主页 小鼠脐带间充质干细胞 小鼠脐带间充质干细胞
  • 小鼠脐带间充质干细胞

小鼠脐带间充质干细胞

Mouse umbilical cord mesenchymal stem cells
4080 1株 起订
上海 更新日期:2026-04-03

上海沪震实业有限公司

VIP4年
联系人:鲍丽雯
电话:021-60345367拨打
手机:13916550749 拨打
邮箱:sales@shzbio.com

产品详情:

中文名称:
小鼠脐带间充质干细胞
英文名称:
Mouse umbilical cord mesenchymal stem cells
品牌:
HZBIO/沪震实业
产地:
上海
产品类别:
细胞生物学 原代细胞
货号:
HZM-5238
规格:
5×10⁵Cells/T25培养瓶
培养条件:
气相:空气,95%;CO2,5%
生长特性:
贴壁
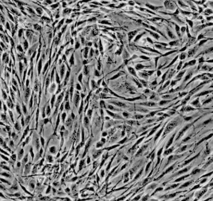
细胞形态:
成纤维细胞样
种属:
小鼠

小鼠脐带间充质干细胞

1.产品名称:小鼠脐带间充质干细胞

2.组织来源:脐带组织

3.产品规格:5×105cells/T25细胞培养瓶

4.细胞简介:

小鼠脐带间充质干细胞分离自脐带;脐带是哺乳类的连接胎儿和胎盘的管状结构。原来是由羊膜包卷着卵黄囊和尿膜的柄状伸长部而形成的。脐带中通过尿膜的血管即脐动脉和脐静脉,卵黄囊的血管即脐肠系膜动脉及脐肠系膜静脉。当卵黄囊及其血管退化,脐动脉和脐静脉就发达起来,在这些间隙中可以看到疏松的胶状的间充质。在子宫中,子宫动脉在胎盘的母体部分出的毛细血管,与胎盘的子体部胎儿毛细血管靠近,在此处母体和胎儿的血液间进行CO2和O2,代谢产物即代谢废物和营养物质的交换。脐动脉将胎儿来的废物运送至胎盘,脐静脉将O2和营养物质从胎盘运送给胎儿。最后由子宫静脉将来自胎儿的代谢废物运走,某种激素和抗体等也通过脐带从母体移交给胎儿。脐带中含有大量的干细胞,干细胞是生命的种子,它会分化成机体的各种细胞,结出各种不同的果实——血液细胞、神经细胞、骨骼细胞等。干细胞是具有自我更新、高度增殖和多项分化潜能的细胞群体;这些细胞可以通过分裂维持自身细胞的特性和数量,又可进一步分化为各种组织细胞,从而在组织修复等方面发挥积极作用。间充质干细胞(MSC)是一种具有高度自我更新和多向分化潜能的干细胞。在不同的诱导条件下,可分化为多种造血细胞以外的组织细胞,并具有造血支持、免疫调节、组织修复等作用;目前,多用于风湿免疫疾病的治疗。间充质干细胞(MSCs)是一种具有自我更新和多向分化潜能的成体干细胞,存在于骨髓、脂肪组织、脐血及多种胎儿组织。它可分泌多种细胞因子及生长因子,促进造血干细胞(HSC)的增殖与分化。MSCs还具有免疫调节、抗炎和组织修复作用,可减轻移植物抗宿主病(GVHD)及其他移植相关并发症。

5.方法简介:

实验室分离的小鼠脐带间充质干细胞采用组织贴块法制备而来,细胞总量约为5×10⁵cells/瓶。

6.质量检测:

实验室分离的小鼠脐带间充质干细胞经CD29、CD44免疫荧光鉴定,纯度可达90%以上,且不含有HIV-1、HBV、HCV、支原体、细菌、酵母和真菌等。

7.培养信息:

培养基含FBS、生长添加剂、Penicillin、Streptomycin等
换液频率每2-3天换液一次
生长特性贴壁
细胞形态成纤维细胞样
传代特性可传2-3代
消化液0.25%胰蛋白酶
培养条件气相:空气,95%;CO2,5%

小鼠脐带间充质干细胞体外培养周期有限;建议使用配套的专用生长培养基及正确的操作方法来培养,以此保证该细胞的培养状态。

本产品仅供科研使用。不能用于人和动物治疗等其它临床诊断使用!以实际收货产品说明书为准,网站说明书仅供参考。

小鼠脐带间充质干细胞;脐带间充质干细胞;脐带间充质;小鼠;

公司简介

上海沪震实业有限公司是一家集研发、生产和销售于一体的生命科学实验室产品生物科技企业。主营产品:试剂盒,ELISA试剂盒,抗体,重组蛋白,血清,胎牛血清,细胞,原代细胞 细胞培养试剂,常用生化试剂。

成立日期 (12年)
注册资本 100万元整
员工人数 10-50人
年营业额 ¥ 100万以内
经营模式 工厂,试剂,定制,服务
主营行业 生化试剂,细胞培养,蛋白组学,分子生物学,细胞生物学

小鼠脐带间充质干细胞相关厂家报价

内容声明
拨打电话 立即询价