基本信息 产品详情 公司简介 推荐产品
网站主页 猪成骨细胞 猪成骨细胞
  • 猪成骨细胞

猪成骨细胞

Porcine osteoblast
3880 1株 起订
上海 更新日期:2026-04-17

上海沪震实业有限公司

VIP4年
联系人:鲍丽雯
电话:021-60345367拨打
手机:13916550749 拨打
邮箱:sales@shzbio.com

产品详情:

中文名称:
猪成骨细胞
英文名称:
Porcine osteoblast
品牌:
HZBIO/沪震实业
产地:
上海
产品类别:
细胞生物学 原代细胞
货号:
YB7P006
规格:
5×10⁵Cells/T25培养瓶
培养条件:
气相:空气,95%;CO2,5%
生长特性:
贴壁
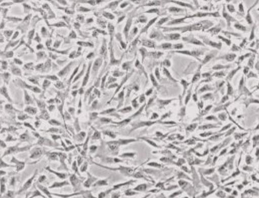
细胞形态:
梭形、多角形
种属:

猪成骨细胞

1.产品名称:猪成骨细胞

2.组织来源:颅骨组织

3.产品规格:5×105cells/T25细胞培养瓶

4.细胞简介:

猪成骨细胞分离自颅骨组织;颅骨位于脊柱上方,由23块形状和大小不同的扁骨和不规则骨组成。除下颌骨及舌骨外,其余各骨彼此借缝或软骨牢固连结,起着保护和支持脑、感觉器官以及消化器和呼吸器的起始部分的作用。颅分脑颅和面颅两部分。脑颅位于颅的后上部,内有颅腔,容纳脑,共8块。面颅为颅的前下部分,包含眶、鼻腔、口腔等结构,构成面部的支架,共15块。成骨细胞是骨形成的主要功能细胞,负责骨基质的合成、分泌和矿化。骨不断地进行着重建,骨重建过程包括破骨细胞贴附在旧骨区域,分泌酸性物质溶解矿物质,分泌蛋白酶消化骨基质,形成骨吸收陷窝;其后,成骨细胞移行至被吸收部位,分泌骨基质,骨基质矿化而形成新骨;破骨与成骨过程的平衡是维持正常骨量的关键。成骨细胞培养不仅有助于了解骨形成机制、骨骼系统疾病的分子和细胞学基础,也是药物筛选、生物材料开发和生物工程研究的重要手段。

5.方法简介:

实验室分离的猪成骨细胞采用先用胰蛋白酶短时间消化、后用胶原酶反复消化制备而来,细胞总量约为5×10⁵cells/瓶。

6.质量检测:

实验室分离的猪成骨细胞经ALP染色检测,纯度可达90%以上,且不含有HIV-1、HBV、HCV、支原体、细菌、酵母和真菌等。

7.培养信息:

培养基含FBS、生长添加剂、Penicillin、Streptomycin等
换液频率每2-3天换液一次
生长特性贴壁
细胞形态梭形、多角形
传代特性可传3代左右
消化液0.25%胰蛋白酶
培养条件气相:空气,95%;CO2,5%

猪成骨细胞体外培养周期有限;建议使用普套的专用生长培养基及正确的操作方法来培养,以此保证该细胞的培养状态。

本产品仅供科研使用。不能用于人和动物治疗等其它临床诊断使用!以实际收货产品说明书为准,网站说明书仅供参考。

猪成骨细胞;成骨细胞;成骨;猪;

公司简介

上海沪震实业有限公司是一家集研发、生产和销售于一体的生命科学实验室产品生物科技企业。主营产品:试剂盒,ELISA试剂盒,抗体,重组蛋白,血清,胎牛血清,细胞,原代细胞 细胞培养试剂,常用生化试剂。

成立日期 (12年)
注册资本 100万元整
员工人数 10-50人
年营业额 ¥ 100万以内
经营模式 工厂,试剂,定制,服务
主营行业 生化试剂,细胞培养,蛋白组学,分子生物学,细胞生物学

猪成骨细胞相关厂家报价

内容声明
拨打电话 立即询价