基本信息 产品详情 公司简介 推荐产品
网站主页 化工产品目录 生物 细胞培养 原代细胞 大鼠原代细胞 大鼠小肠隐窝上皮细胞 大鼠小肠隐窝上皮细胞
  • 大鼠小肠隐窝上皮细胞

大鼠小肠隐窝上皮细胞

Small intestinal crypt epithelial cells in rats
3580 1株 起订
上海 更新日期:2026-04-13

上海沪震实业有限公司

VIP4年
联系人:鲍丽雯
电话:021-60345367拨打
手机:13916550749 拨打
邮箱:sales@shzbio.com

产品详情:

中文名称:
大鼠小肠隐窝上皮细胞
英文名称:
Small intestinal crypt epithelial cells in rats
品牌:
HZBIO/沪震实业
产地:
上海
产品类别:
细胞生物学 原代细胞
货号:
HZR-5037
规格:
5×10⁵Cells/T25培养瓶
培养条件:
气相:空气,95%;CO2,5%
生长特性:
贴壁
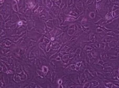
细胞形态:
上皮细胞样
种属:
大鼠

大鼠小肠隐窝上皮细胞

1.产品名称:大鼠小肠隐窝上皮细胞

2.组织来源:小肠组织

3.产品规格:5×105cells/T25细胞培养瓶

4.细胞简介:

大鼠小肠隐窝上皮细胞分离自小肠组织;小肠位于腹中,上端接幽门与胃相通,下端通过阑门与大肠相连,是食物消化吸收的主要场所。小肠盘曲于腹腔内,上连胃幽门,下接盲肠,分为十二指肠、空肠和回肠三部分。小肠内消化是至关重要的,因为食物经过小肠内胰液、胆汁和小肠液的化学性消化及小肠运动的机械性消化后,基本上完成了消化过程,同时营养物质被小肠粘膜吸收了。小肠管壁由粘膜、粘膜下层、肌层和浆膜构成。其结构特点是管壁有环形皱襞,粘膜有许多绒毛,绒毛根部的上皮下陷至固有层,形成管状的肠腺,其开口位于绒毛根部之间。绒毛和肠腺与小肠的消化和吸收功能关系密切;构成肠腺的细胞有柱状细胞、杯状细胞、潘氏细胞和未分化细胞。柱状细胞和内分泌细胞与绒毛上皮相似,接近绒毛的柱状细胞与吸收细胞相似,绒毛深部的柱状细胞微绒毛少而短,不形成纹状缘。小肠有三种功能即消化、吸收和分泌及运动功能,其中以吸收和分泌功能为主。小肠腔面的环行皱襞从幽门附近开始出现,在十二指肠末段和空肠头段极发达,向下逐渐减少和变矮,至肠中段以下基本消失。粘膜表面还有许多细小的肠绒毛,是由上皮和固有层向肠腔突起而成,形状不一,以十二指肠和空肠头段最发达。绒毛于十二指肠呈叶状,于空肠呈指状,于回肠则细而短。环行皱襞和绒毛使小肠表面积扩大20-30倍,绒毛根部的上皮下隐至固有层形成管状的小肠腺,又称肠隐窝,故小肠腺与绒毛的上皮是连续的,小肠腺直接开口于肠腔。

5.方法简介:

实验室分离的大鼠小肠隐窝上皮细胞采用先机械分离法、后胶原酶消化法并通过上皮细胞专用培养基培养筛选制备而来,细胞总量约为5×10⁵cells/瓶。

6.质量检测:

实验室分离的大鼠小肠隐窝上皮细胞经Cytokeratin-18免疫荧光鉴定,纯度可达90%以上,且不含有HIV-1、HBV、HCV、支原体、细菌、酵母和真菌等。

7.培养信息:

包被条件鼠尾胶原Ⅰ(2-5μg/cm2)
培养基含FBS、生长添加剂、Penicillin、Streptomycin等
换液频率每2-3天换液一次
生长特性贴壁
细胞形态上皮细胞样
传代特性可传1-2代
消化液0.25%胰蛋白酶
培养条件气相:空气,95%;CO2,5%

大鼠小肠隐窝上皮细胞体外培养周期有限;建议使用配套的专用生长培养基及正确的操作方法来培养,以此保证该细胞的培养状态。

本产品仅供科研使用。不能用于人和动物治疗等其它临床诊断使用!以实际收货产品说明书为准,网站说明书仅供参考。

大鼠小肠隐窝上皮细胞;小肠隐窝上皮细胞;小肠隐窝上皮;大鼠;

公司简介

上海沪震实业有限公司是一家集研发、生产和销售于一体的生命科学实验室产品生物科技企业。主营产品:试剂盒,ELISA试剂盒,抗体,重组蛋白,血清,胎牛血清,细胞,原代细胞 细胞培养试剂,常用生化试剂。

成立日期 (12年)
注册资本 100万元整
员工人数 10-50人
年营业额 ¥ 100万以内
经营模式 工厂,试剂,定制,服务
主营行业 生化试剂,细胞培养,蛋白组学,分子生物学,细胞生物学

大鼠小肠隐窝上皮细胞相关厂家报价 更多

内容声明
拨打电话 立即询价