基本信息 产品详情 公司简介 推荐产品
网站主页 化工产品目录 生物 细胞培养 原代细胞 大鼠原代细胞 大鼠小脑颗粒细胞 大鼠小脑颗粒细胞
  • 大鼠小脑颗粒细胞

大鼠小脑颗粒细胞

Granular cells of rat cerebellum
3080 1株 起订
上海 更新日期:2026-04-03

上海沪震实业有限公司

VIP4年
联系人:鲍丽雯
电话:021-60345367拨打
手机:13916550749 拨打
邮箱:sales@shzbio.com

产品详情:

中文名称:
大鼠小脑颗粒细胞
英文名称:
Granular cells of rat cerebellum
品牌:
HZBIO/沪震实业
产地:
上海
产品类别:
细胞生物学 原代细胞
货号:
HZR-5112
规格:
5×10⁵Cells/T25培养瓶
培养条件:
气相:空气,95%;CO2,5%
生长特性:
贴壁
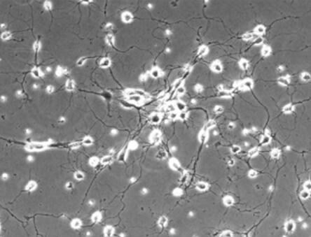
细胞形态:
神经元细胞样
种属:
大鼠

大鼠小脑颗粒细胞

1.产品名称:大鼠小脑颗粒细胞

2.组织来源:脑组织

3.产品规格:5×105cells/T25细胞培养瓶

4.细胞简介:

大鼠小脑颗粒细胞分离自小脑皮层组织;神经元是神经系统最基本的结构与功能单位,小脑颗粒神经元是体积较小的神经元,直径约10μm,在中枢神经系统中含量非常丰富,近乎神经元数量的一半。由于小脑神经元的生长、分化和大脑皮层神经元相似,而且数量多、便于取材,因此小脑颗粒神经元是研究神经元生长发育、神经轴突再生及神经疾病发生机制和临床神经药理的重要手段。小脑颗粒神经元是小脑主要的中间神经元,在哺乳动物的小脑内数量最为丰富。颗粒神经元的轴突与苔状纤维和爬行纤维相联系,形成小脑皮层内的神经元环路,在小脑的神经活动中起着非常重要的作用。在动物传染性海绵状脑病中,病变可波及小脑颗粒神经元,导致小脑皮层的神经元环路受损,从而呈现神经性行为失调。研究小脑颗粒神经元在动物传染性海绵状脑病病理学变化中的反应、病理发生的机理特别是分子机理,有赖于小脑颗粒神经元细胞模型的建立。小脑颗粒细胞的轴突是沿冠状轴分布的平行纤维,正是这种排列保证了兴奋的单向传导,这是小脑功能理论中的关键假设,小脑颗粒细胞通过g-氨基丁酸接受戈尔吉细胞的抑制性突触的信息传入。

5.方法简介:

实验室分离的大鼠小脑颗粒细胞采用胰蛋白酶消化法结合神经元专用培养基、化学试剂抑制法筛选制备而来,细胞总量约为5×10⁵cells/瓶。

6.质量检测:

实验室分离的大鼠小脑颗粒细胞经NSE免疫荧光鉴定,纯度可达90%以上,且不含有HIV-1、HBV、HCV、支原体、细菌、酵母和真菌等。

7.培养信息:

包被条件PLL(0.1mg/ml)
培养基含B-27、Penicillin、Streptomycin等
换液频率每2-3天换液一次
生长特性贴壁
细胞形态神经元细胞样
传代特性属于终末分化细胞;属于不增殖细胞群
消化液0.25%胰蛋白酶
培养条件气相:空气,95%;CO2,5%

大鼠小脑颗粒细胞体外培养周期有限;建议使用配套的专用生长培养基及正确的操作方法来培养,以此保证该细胞的培养状态。

本产品仅供科研使用。不能用于人和动物治疗等其它临床诊断使用!以实际收货产品说明书为准,网站说明书仅供参考。


大鼠小脑颗粒细胞;小脑颗粒细胞;小脑颗粒;大鼠;

公司简介

上海沪震实业有限公司是一家集研发、生产和销售于一体的生命科学实验室产品生物科技企业。主营产品:试剂盒,ELISA试剂盒,抗体,重组蛋白,血清,胎牛血清,细胞,原代细胞 细胞培养试剂,常用生化试剂。

成立日期 (12年)
注册资本 100万元整
员工人数 10-50人
年营业额 ¥ 100万以内
经营模式 工厂,试剂,定制,服务
主营行业 生化试剂,细胞培养,蛋白组学,分子生物学,细胞生物学

大鼠小脑颗粒细胞相关厂家报价

内容声明
拨打电话 立即询价