基本信息 产品详情 公司简介 推荐产品
网站主页 化工产品目录 生物 细胞培养 细胞系 兔角膜内皮细胞 兔角膜内皮细胞
  • 兔角膜内皮细胞

兔角膜内皮细胞

Rabbit corneal endothelial cells
4280 1株 起订
上海 更新日期:2026-04-13

上海沪震实业有限公司

VIP4年
联系人:鲍丽雯
电话:021-60345367拨打
手机:13916550749 拨打
邮箱:sales@shzbio.com

产品详情:

中文名称:
兔角膜内皮细胞
英文名称:
Rabbit corneal endothelial cells
品牌:
HZBIO/沪震实业
产地:
上海
产品类别:
细胞生物学 原代细胞
货号:
HZRb-5001
规格:
5×10⁵Cells/T25培养瓶
培养条件:
气相:空气,95%;CO2,5%
生长特性:
贴壁
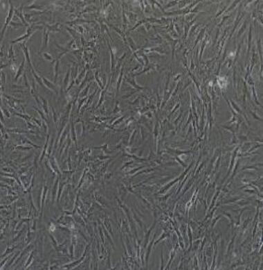
细胞形态:
内皮细胞样
种属:

兔角膜内皮细胞

1.产品名称:兔角膜内皮细胞

2.组织来源:眼角膜组织

3.产品规格:5×105cells/T25细胞培养瓶

4.细胞简介:

兔角膜内皮细胞分离自眼角膜组织;角膜位于眼球前壁的一层透明膜,约占纤维膜的前1/6,从后面看角膜呈正圆形,从前面看为横椭圆形。角膜厚度各部分不尽相同,中央部最薄。角膜有十分敏感的神经末梢,如有外物接触角膜,眼睑便会不由自主地合上以保护眼睛。为了保持透明,角膜并没有血管,透过外界空气、泪液及房水获取养份及氧气。角膜分为五层,由前向后依次为:上皮细胞层、前弹力层、基质层、后弹力层、内皮细胞层。角膜的高度透明性和光学性是正常发挥生理功能的必要条件之一,而角膜内皮细胞(CEC)在维持角膜的正常生理功能方面起重要作用。角膜内皮细胞是角膜内层的单层细胞,构成了后弹力层和房水之间的物理屏障,通过离子“泵”功能调节角膜中离子浓度和水分,维持角膜的半脱水状态,保证角膜的正常厚度和透明度。一旦角膜内皮细胞功能出现紊乱,常导致角膜水肿而使角膜部分甚至完全失去透明性。角膜内皮细胞主要功能有:①角膜是唯一的无血管的组织,具有透明的特性和合成许多蛋白的功能;②角膜内皮细胞对角膜透明性有重要作用;③角膜内皮细胞通过Na+-K+-ATP酶活性,维持角膜和房水内Na+梯度,防止水分渗入角膜内,维持角膜实质层相对脱水状态,维持透明性。

5.方法简介:

实验室分离的兔角膜内皮细胞采用混合胶原酶消化结合内皮细胞专用培养基培养筛选制备而来,细胞总量约为5×10⁵cells/瓶。

6.质量检测:

实验室分离的兔角膜内皮细胞经NSE(神经元特异性烯醇化酶)免疫荧光鉴定,纯度可达90%以上,且不含有HIV-1、HBV、HCV、支原体、细菌、酵母和真菌等。

7.培养信息:

包被条件PLL(0.1mg/ml),明胶(0.1%)
培养基含FBS、生长添加剂、Penicillin、Streptomycin等
换液频率每2-3天换液一次
生长特性贴壁
细胞形态内皮细胞样
传代特性可传2-3代
消化液0.25%胰蛋白酶
培养条件气相:空气,95%;CO2,5%

兔角膜内皮细胞体外培养周期有限;建议使用配套的专用生长培养基及正确的操作方法来培养,以此保证该细胞的培养状态。

本产品仅供科研使用。不能用于人和动物治疗等其它临床诊断使用!以实际收货产品说明书为准,网站说明书仅供参考。


兔角膜内皮细胞;角膜内皮细胞;角膜内皮;兔;

公司简介

上海沪震实业有限公司是一家集研发、生产和销售于一体的生命科学实验室产品生物科技企业。主营产品:试剂盒,ELISA试剂盒,抗体,重组蛋白,血清,胎牛血清,细胞,原代细胞 细胞培养试剂,常用生化试剂。

成立日期 (12年)
注册资本 100万元整
员工人数 10-50人
年营业额 ¥ 100万以内
经营模式 工厂,试剂,定制,服务
主营行业 生化试剂,细胞培养,蛋白组学,分子生物学,细胞生物学

兔角膜内皮细胞相关厂家报价 更多

内容声明
拨打电话 立即询价