基本信息 产品详情 公司简介 推荐产品
网站主页 兔肌腱干细胞 兔肌腱干细胞
  • 兔肌腱干细胞

兔肌腱干细胞

Rabbit tendon stem cells
3580 1株 起订
上海 更新日期:2026-04-15

上海沪震实业有限公司

VIP4年
联系人:鲍丽雯
电话:021-60345367拨打
手机:13916550749 拨打
邮箱:sales@shzbio.com

产品详情:

中文名称:
兔肌腱干细胞
英文名称:
Rabbit tendon stem cells
品牌:
HZBIO/沪震实业
产地:
上海
产品类别:
细胞生物学 原代细胞
货号:
HZRb-5005
规格:
5×10⁵Cells/T25培养瓶
培养条件:
气相:空气,95%;CO2,5%
生长特性:
贴壁
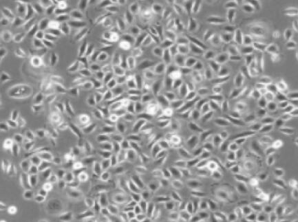
细胞形态:
成纤维细胞样
种属:

兔肌腱干细胞

1.产品名称:兔肌腱干细胞

2.组织来源:肌腱组织

3.产品规格:5×105cells/T25细胞培养瓶

4.细胞简介:

兔肌腱干细胞分离自肌腱组织;肌腱是肌腹两端的索状或膜状致密结缔组织,便于肌肉附着和固定。一块肌肉的肌腱分附在两块或两块以上的不同骨上,是由于肌腱的牵引作用才能使肌肉的收缩带动不同骨的运动。每一块骨骼肌都分成肌腹和肌腱两部分,肌腹由肌纤维构成,色红质软,有收缩能力,肌腱由致密结缔组织构成,色乳白较硬,没有收缩能力。肌腱把骨骼肌附着于骨骼。长肌的肌腱多呈圆索状,阔肌的肌腱阔而薄,呈膜状,又叫腱膜。此处的肌腹即为通常所说的红肌,而肌腱即为白肌,分别控制肌肉的力量、爆发力和耐力。肌腱干细胞(TSCs)是一种来源于肌腱组织的间充质干细胞,其具有多向分化潜能,并且在外源性前列腺素E2作用下异常分化。体外培养时该细胞群具有克隆形成能力、自我更新及多向分化潜能等干细胞的普遍特性。肌腱干细胞可以被诱导向脂肪细胞、软骨样细胞、骨细胞分化;在裸鼠模型中,肌腱干细胞还可以形成肌腱样组织,软骨样组织以及腱-骨连接样组织等。相比骨髓间充质干细胞而言,TSCs具有更好的克隆形成能力和增殖能力,软骨相关基因和肌腱相关基因表达更高,具有更好的成骨、成脂和成软骨能力,因此可以作为组织工程中的种子细胞。

5.方法简介:

实验室分离的兔肌腱干细胞采用胶原酶、中性蛋白酶混合消化法并通过肌腱干细胞专用培养基培养筛选制备而来,细胞总量约为5×10⁵cells/瓶。

6.质量检测:

实验室分离的兔肌腱干细胞经CD44免疫荧光鉴定,纯度可达90%以上,且不含有HIV-1、HBV、HCV、支原体、细菌、酵母和真菌等。

7.培养信息:

培养基含FBS、生长添加剂、Penicillin、Streptomycin等
换液频率每2-3天换液一次
生长特性贴壁
细胞形态成纤维细胞样
传代特性可传5代左右;3代以内状态
消化液0.25%胰蛋白酶
培养条件气相:空气,95%;CO2,5%

兔肌腱干细胞体外培养周期有限;建议使用配套的专用生长培养基及正确的操作方法来培养,以此保证该细胞的培养状态。

本产品仅供科研使用。不能用于人和动物治疗等其它临床诊断使用!以实际收货产品说明书为准,网站说明书仅供参考。

兔肌腱干细胞;肌腱干细胞;肌腱;兔;

公司简介

上海沪震实业有限公司是一家集研发、生产和销售于一体的生命科学实验室产品生物科技企业。主营产品:试剂盒,ELISA试剂盒,抗体,重组蛋白,血清,胎牛血清,细胞,原代细胞 细胞培养试剂,常用生化试剂。

成立日期 (12年)
注册资本 100万元整
员工人数 10-50人
年营业额 ¥ 100万以内
经营模式 工厂,试剂,定制,服务
主营行业 生化试剂,细胞培养,蛋白组学,分子生物学,细胞生物学

兔肌腱干细胞相关厂家报价

内容声明
拨打电话 立即询价