基本信息 产品详情 公司简介 推荐产品
网站主页 化工产品目录 生物 细胞培养 原代细胞 兔气管上皮细胞 兔气管上皮细胞
  • 兔气管上皮细胞

兔气管上皮细胞

Rabbit tracheal epithelial cells
3880 1株 起订
上海 更新日期:2026-04-15

上海沪震实业有限公司

VIP4年
联系人:鲍丽雯
电话:021-60345367拨打
手机:13916550749 拨打
邮箱:sales@shzbio.com

产品详情:

中文名称:
兔气管上皮细胞
英文名称:
Rabbit tracheal epithelial cells
品牌:
HZBIO/沪震实业
产地:
上海
产品类别:
细胞生物学 原代细胞
货号:
HZRb-5022
规格:
5×10⁵Cells/T25培养瓶
培养条件:
气相:空气,95%;CO2,5%
生长特性:
贴壁
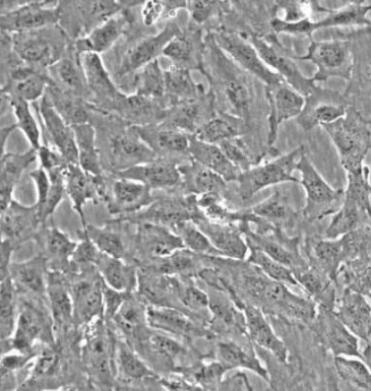
细胞形态:
上皮细胞样
种属:

兔气管上皮细胞

1.产品名称:兔气管上皮细胞

2.组织来源:气管

3.产品规格:5×105cells/T25细胞培养瓶

4.细胞简介:

兔气管上皮细胞分离自气管组织;气管(Trachea),呼吸器官的一部分;为后壁略平的圆筒型管状。上端平第六颈椎下缘,与环状软骨相连;向下至第四、五胸椎体(相当胸骨角平面)交界处,分左、右主支气管,分叉处称为气管杈。气管主要由14-16个半环状软骨构成,有弹性,软骨为“C”字形的软骨环,缺口向后,各软骨环以韧带连接起来,环后方缺口处由平滑肌和致密结缔组织连接,保持了持续张开状态。管腔衬以粘膜,表面覆盖纤毛上皮,粘膜分泌的粘液可粘附吸入空气中的灰尘颗粒,纤毛不断向咽部摆动将粘液与灰尘排出,以净化吸入的气体。气管上皮是气道与外界环境接触的道防线,不仅是各种病原体、炎症介质作用的靶细胞,还作为效应细胞合成、释放多种炎性介质和细胞因子从而参与气道炎症及免疫反应。体外培养的原代气管上皮细胞因与体内组织在形态结构和功能活动上存在很大的相似性,因此,在基础及临床研究中极为重要。

5.方法简介:

实验室分离的兔气管上皮细胞采用链霉蛋白酶-中性蛋白酶混合消化法结合差速贴壁法,并通过上皮细胞专用培养基培养筛选制备而来,细胞总量约为5×10⁵cells/瓶。

6.质量检测:

实验室分离的兔气管上皮细胞经PCK免疫荧光鉴定,纯度可达90%以上,且不含有HIV-1、HBV、HCV、支原体、细菌、酵母和真菌等。

7.培养信息:

包被条件鼠尾胶原Ⅰ(2-5μg/cm2)
培养基含FBS、生长添加剂、Penicillin、Streptomycin等
换液频率每2-3天换液一次
生长特性贴壁
细胞形态上皮细胞样
传代特性可传1-2代
消化液0.25%胰蛋白酶
培养条件气相:空气,95%;CO2,5%

兔气管上皮细胞体外培养周期有限;建议使用配套的专用生长培养基及正确的操作方法来培养,以此保证该细胞的培养状态。

本产品仅供科研使用。不能用于人和动物治疗等其它临床诊断使用!以实际收货产品说明书为准,网站说明书仅供参考。

兔气管上皮细胞;气管上皮细胞;气管上皮;兔;

公司简介

上海沪震实业有限公司是一家集研发、生产和销售于一体的生命科学实验室产品生物科技企业。主营产品:试剂盒,ELISA试剂盒,抗体,重组蛋白,血清,胎牛血清,细胞,原代细胞 细胞培养试剂,常用生化试剂。

成立日期 (12年)
注册资本 100万元整
员工人数 10-50人
年营业额 ¥ 100万以内
经营模式 工厂,试剂,定制,服务
主营行业 生化试剂,细胞培养,蛋白组学,分子生物学,细胞生物学

兔气管上皮细胞相关厂家报价 更多

内容声明
拨打电话 立即询价