基本信息 产品详情 公司简介 推荐产品
网站主页 Aortic Endothelial Cells 兔主动脉内皮细胞
  • 兔主动脉内皮细胞

兔主动脉内皮细胞

Rabbit aortic endothelial cells
3580 1株 起订
上海 更新日期:2026-04-16

上海沪震实业有限公司

VIP4年
联系人:鲍丽雯
电话:021-60345367拨打
手机:13916550749 拨打
邮箱:sales@shzbio.com

产品详情:

中文名称:
兔主动脉内皮细胞
英文名称:
Rabbit aortic endothelial cells
品牌:
HZBIO/沪震实业
产地:
上海
产品类别:
细胞生物学 原代细胞
货号:
HZRb-5029
规格:
5×10⁵Cells/T25培养瓶
培养条件:
气相:空气,95%;CO2,5%
生长特性:
贴壁
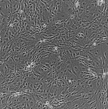
细胞形态:
内皮细胞样
种属:

兔主动脉内皮细胞

1.产品名称:兔主动脉内皮细胞

2.组织来源:主动脉组织

3.产品规格:5×105cells/T25细胞培养瓶

4.细胞简介:

兔主动脉内皮细胞分离自主动脉组织;主动脉是体循环的动脉主干。其运行路径为:升主动脉起于左心室,至右侧第2胸肋关节高度移行为主动脉弓,弓行向左后至第4胸椎体下缘移行为降主动脉;在第12胸椎体高度穿膈的主动脉裂孔移行为腹主动脉,以上为胸主动脉,至第4腰椎体下缘分为左、右髂总动脉;髂总动脉在骶髂关节高度分为髂内、外动脉。主动脉内皮细胞是覆盖在主动脉内面的单层细胞,可分泌一系列血管活性物质而保持血管稳态,当其受到炎症或其它因素刺激后稳态被破坏而导致一些心血管疾病的发生。因此,主动脉内皮细胞已成为研究心血管疾病发病机制及治疗药物不可缺少的工具。内皮细胞或血管内皮是一薄层的专门上皮细胞,由一层扁平细胞所组成。它形成血管的内壁,是血管管腔内血液及其他血管壁(单层鳞状上皮)的接口。内皮细胞是沿着整个循环系统,由心脏直至最小的微血管。

5.方法简介:

实验室分离的兔主动脉内皮细胞采用胰蛋白酶-胶原酶联合消化法结合差速贴壁法、并通过内皮细胞专用培养基培养筛选制备而来,细胞总量约为5×10⁵cells/瓶。

6.质量检测:

实验室分离的兔主动脉内皮细胞经CD31免疫荧光鉴定,纯度可达90%以上,且不含有HIV-1、HBV、HCV、支原体、细菌、酵母和真菌等。

7.培养信息:

包被条件PLL(0.1mg/ml),明胶(0.1%)
培养基含FBS、生长添加剂、Penicillin、Streptomycin等
换液频率每2-3天换液一次
生长特性贴壁
细胞形态内皮细胞样
传代特性可传2-3代
消化液0.25%胰蛋白酶
培养条件气相:空气,95%;CO2,5%

兔主动脉内皮细胞体外培养周期有限;建议使用配套的专用生长培养基及正确的操作方法来培养,以此保证该细胞的培养状态。

本产品仅供科研使用。不能用于人和动物治疗等其它临床诊断使用!以实际收货产品说明书为准,网站说明书仅供参考。

兔主动脉内皮细胞;主动脉内皮细胞;主动脉内皮;兔;

公司简介

上海沪震实业有限公司是一家集研发、生产和销售于一体的生命科学实验室产品生物科技企业。主营产品:试剂盒,ELISA试剂盒,抗体,重组蛋白,血清,胎牛血清,细胞,原代细胞 细胞培养试剂,常用生化试剂。

成立日期 (12年)
注册资本 100万元整
员工人数 10-50人
年营业额 ¥ 100万以内
经营模式 工厂,试剂,定制,服务
主营行业 生化试剂,细胞培养,蛋白组学,分子生物学,细胞生物学

兔主动脉内皮细胞相关厂家报价

内容声明
拨打电话 立即询价